Radiology for Radiation Oncologists
Skull base radiology
Dr Kanhu Charan Patro
MD,DNB[RADIATION ONCOLOGY],MBA,CEPC,PDCR
HOD, Radiation Oncology
MGCHRI, Visakhapatnam, INDIA
1
2
Why a radiation oncologist need it?
• Some head and neck cancers having perineural spread
• Para nasal sinus
• Nasopharynx
• Salivary gland
• Buccal mucosa
• Complex nature of skull base area
• Some tumors like schwannoma arise from cranial nerves
• Some functional issues like trigeminal neuralgia need SRS
3
The complex anatomy
4
Buccal mucosa with intracranial extension
5
Parotid with intracranial spread
6
Nasopharynx with sphenopalatine foramen
(SPf) left
7
Maxilla with Pterygo palatine fossa invasion
8
9
Normal skull base
• Extend – root of nose anteriorly to the superior nuchal line posteriorly
10
Structures and contents
• BONES
• Fossa
• Foramen
• Fissure
• Canal
• CONTENTS
• Ganglion
• Nerve
• Vessel
• Vein
• Artery
11
What to see?
• FORAMINA
• SUTURES
• CANALS
• FISSURES
• FOSSES
12
Normal skull base
• 5 bones:
– Frontal
– Ethmoid
– Sphenoid
– Temporal
– Occipital
13
14
Two ridges Sphenoid ridge
15
3 fossae
16
Ethmoid bone
• Cribriform plate is perforated by
approx 20 holes on each side of
the crista galli
• Nerve fibres of olfactory nerve (CN I)
pass from nasal mucosa to olfactory
bulb
• Crista galli serves as the anchor for
anterior margin of the falx cerebri
17
Normal skull base
• Most important part:
– Basisphenoid (anterior aspect of sella)
– Basiocciput (posterior lip of the foramen magnum)
18
Sphenoid bone
• 3 compartments:
– Basisphenoid:
• Dorsum sella, posterior clinoids, sella turcica,
tuberculum sella, sphenoid sinus
• Fused to clivus in adult
– Greater wing of sphenoid
• Medial two-thirds and anterior wall of the middle
cranialfossa floor
– Lesser wing of sphenoid
• Medial and superior aspects of the anterior wall of
the middle cranial fossa and the anterior clinoids
• Superior and medial edgesof the superior orbital
fissure
19
Anterior view
20
Superior view
21
Posterior view
22
23
24
25
26
27
Anterior fossa foramina
• Foramen cecum
• ANTERIOR ETHMOIDAL FORAMEN
• Foramen cribriform
• POSTERIOR ETHMOIDAL FORAMEN
• ORBITO MENINGEAL FORAMEN
28
Foramen cecum
29
Foramen cecum
Content
• Emissary veins to superior
sagittal sinus from the upper
part of the nose
30
Cribriform foramen
Content
• Olfactory nerve bundles (I)
31
Anterior and posterior ethmoidal foramen
Content
• Anterior ethmoidal foramen
• Anterior ethmoidal artery
• Anterior ethmoidal vein
• Posterior ethmoidal foramen
• Posterior ethmoidal artery
• Posterior ethmoidal vein
32
Supraorbital foramen
Content
• Supraorbital artery supraorbital
vein
• Supraorbital nerve
33
Middle cranial fossa foramina
• Superior orbital fissure
• Inferior orbital fissure
• Optic canal
• Foramen rotundum
• Foramen ovale
• Foramen lacerum
• Foramen spinosum
34
35
Superior orbital fissure
Content
• Superior ophthalmic vein
• Inferior ophthalmic veins
• Oculomotor nerve (III)
• Trochlear nerve (IV)
lacrimal, frontal
• Nasociliary branches
of ophthalmic nerve (V1)
• Abducent nerve (VI)
36
Inferior orbital fissure
Content
• Inferior ophthalmic veins
infraorbital artery
infraorbital vein,
• Tributary of pterygoid plexus
• Zygomatic nerve and infraorbital
nerve of maxillary nerve (V2)
• Orbital branches
of pterygopalatine ganglion
37
Optic canal
Content
• Ophthalmic artery
• Optic nerve (II)
38
Foramen rotundum
Content
• Maxillary nerve (V2)
39
Foramen ovale
Content
• Accessory meningeal artery,
• Emissary vein connecting cavernous
sinus with pterygoid plexus
• Mandibular nerve (V3)
• Lesser petrosal nerve
40
Foramen lacerum
Content
• Artery of pterygoid canal,
• Meningeal branch of ascending
pharyngeal artery,
• Emissary vein
• Nerve of pterygoid
canal through its anterior wall
41
Foramen spinosum
Content
• Middle meningeal artery
• Meningeal branch of the
mandibular nerve (V3)
42
Posterior cranial fossa foramina
• Internal auditory meatus
• Jugular Foramen
• Hypoglossal canal
• Foramen magnum
43
Internal auditory meatus
Content
• Labyrinthine artery
• Facial nerve (VII),
• Vestibulocochlear nerve (VIII)
44
Jugular foramen
Content
• Internal jugular vein,
• Inferior petrosal sinus,
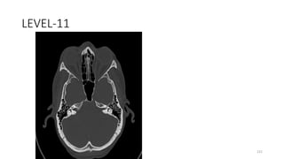
• Sigmoid sinus
• Glossopharyngeal nerve (IX),
• Vagus nerve (X),
• Accessory nerve (XI)
45
Hypoglossal canal
Content
• Hypoglossal nerve
46
Foramen magnum
Content
1. Anterior and posterior spinal
arteries, vertebral arteries
2. Lowest part of medulla
oblongata, three meninges,
ascending spinal fibers
of accessory nerve (XI)
47
OVALE OVAL
MAGNUM MAGNA
ROTUNDUM ROUND
LACERUM LARGE
SPINOSUM SMALL
SUPERIOR ORBITAL FISSURE SUPERIOR
INFERIOR ORBITAL FISSURE INFERIOR
OPTIC CANAL CANAL
VIDIAN CANAL CANAL
SOFTWARERadiAnt DICOM
Viewer (64-bit).lnk
48
Pterygomaxillary area
• Pterygopalatine fossa
• Pterygomaxillary fissure
• Sphenopalatine foramen
• Sphenopalatine ganglion
49
50
51
52
59
60
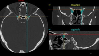
Pterygopalatine fossa
https://radiopaedia.org/cases/ct-head-bone-window-axial-
skull-base-labelling-questions?lang=gb 61
Pterygopalatine ganglion
62
Sphenopalatine foramen opens to nasal cavity
63
Vidian canal
64
Stylomastoid foramen
65
Inferior opthalmic vein
Drains via:
Sphenoparietal sinus
Petrosal sinuses
Basilar plexus
Connection:
Contains:
Pterygoid plexus
Circular sinus
CN III, IV, V1, V2, VI
Skull Base Anatomy
Cavernous Sinus
Receives: Superior opthalmic vein
Meckel’s Cave
• Posterior aspect of cavernous sinus
• Gasserian ganglion (sensory root ganglion of CN V)
66
Origin of cranial nerves
1. Magnetic resonance imaging (MRI) is the gold standard
technique in the study of the cranial nerves
2. Steady-state free procession (SSFP) images are the best
sequences for the visualization of the cisternal segments
showing dark cranial nerves against a background of bright
cerebrospinal fluid (CSF)
3. Computed tomography (CT) can be useful to evaluate
intraosseous segments of cranial nerves, skull base
foramina, and bony traumatic lesions
https://mrimaster.com/anatomy%20brain%20cranial%20nerves
.html for cranial nerve
67
Olfactory nerve
68
2nd cranial nerve
69
3rd cranial nerve
70
4th cranial nerve
71
5th cranial nerve
72
6th cranial nerve
73
7th and 8th cranial nerve
74
9th ,10th and 11th cranial nerve
75
12th cranial nerve
76
softwareRadiAnt DICOM Viewer (32-bit).lnk
SLICE BY SLICE DOWN TO UP
77
LEVEL-1
78
MANDIBLE, CORONOID PROCESS
79
Mandible, neck
80
MASTOID PROCESS
81
OCCIPITAL CONDYLE
82
PTERYGOMAXILLARY FISSURE
83
PTERYGOPALATINE FOSSA
84
PTERYGOID PLATES
85
PTERYGOID PROCESS
86
STYLOID PROCESS
87
LEVEL-2
88
MANDIBLE CONDYLE
89
MASTOID
90
OCCIPITAL CONDYLE
91
PTERYGO MAXILLARY FISSURE
92
PTERYGOPALATINE FOSSA
93
PTERYGOID PLATES
94
PTERYGOID PROCESS
95
STYLOID PROCESS
96
LEVEL-3
97
MASTOID PROCESS
98
OCCIPITAL BONE
99
OCCIPITOMASTOID SUTURE
100
PTERYGOMAXILLARY FISSURE
101
PTERYGOPALATINE FOSSA
102
PTERYGOID PLATES
103
PTERYGOID PROCESS
104
SPHENOID SPINE, LEFT
105
STYLOID PROCESS
106
ZYGOMATIC BONE
107
Articular tubercle
(at anterior root of zygomatic arch)
108
LEVEL-4
109
Basiocciput (posterior clivus)
110
Hypoglossal canal
111
Pterygopalatine fossa
112
Pterygoid plates
113
Pterygoid process
114
Occipitomastoid suture
115
Occipital bone (squamous part)
116
Pterygomaxillary fissure
117
Sphenoid, greater wing
118
Sphenoid spine
119
Sphenopalatine foramen
120
Styloid process, base
121
Zygomatic arch
122
Zygomaticofacial foramen / canal
123
LEVEL-5
124
Foramen ovale
125
Foramen spinosum
126
Hyoglossal canal
127
Inferior orbital fissure
128
Occipital bone (squamous portion)
129
Occipitomastoid suture
130
Pterygopalatine fossa
131
Sphenoid, greater wing
132
Sphenoid spine (right)
133
Sphenopalatine foramen
134
Sphenosquamous suture
135
Temporal bone, tympanic
and petrous portions
136
Tympanomastoid fissure
137
LEVEL-6
138
Carotid canal
139
Clivus –occipital part
140
FORAMEN OVALE
141
FORAMEN SPINOSUM
142
FORAMEN LACERUM
143
Sphenoid bone, greater wing
144
HYPOGLOSSAL CANNAL
145
INFERIOR ORBITAL FISSURE
146
JUGULAR FORAMEN
147
Occipital bone, squamous part
148
OCCIPITOMASTOID SUTURE
149
Petrooccipital fissure
150
Petrosphenoidal fissure
151
VIDIAN CANAL-Pterygoid canal
152
Pterygopalatine fossa
153
SPHENOID BONE BODY
154
Sphenopalatine foramen
155
Sphenosquamous suture
156
PETROUS PART OF TEMPORAL BONE
157
. Temporal bone, squamous part
158
Temporal bone, tympanic part
159
TYMPANO MASTOID FISSURE
160
LEVEL-7
161
CAROTID CANAL
162
CLIVUS
163
Foramen lacerum
164
FORAMEN OVALE
165
FORAMEN SPINOSUM
166
Jugular foramen becoming sigmoid sinus
167
INFERIOR ORBITAL FISSURE
168
Jugular tubercle of occipital bone (roof of
hypoglossal canal)
169
Occipital bone, squamous part
170
Occipitomastoid suture
171
Petroocipital fissure
172
Petrosphenoidal fissure
173
Pterygopalatine fossa
174
BODY SPHENOID
175
GREATER WING SPHENOID
176
SPHENO SQUAMOUS SUTURE
177
TYMPANO SQUAMOUS FISSURE
178
PETROUS TEMPORAL
179
TYMPANIC PART OF TEMPORAL
180
SQUMOUS TEMPORAL
181
LEVEL-8
182
CAROTID CANAL
183
FORAMEN ROTUNDUM
184
JUGULAR TUBERCULE OF OCCIPITAL BONE
185
MANDIBULAR FOSSA ROOF
186
MIDDLE EAR
187
SQUOMOS OCCIPUT
188
OCCIPITO MASTOID SUTURE
189
PETRO OCCIPITAL FISSURE
190
SPHENOID BODY
191
GREATER WING SPHENOID
192
SPHENO SQUAMOUS SUTURE
193
SPHENO ZYGOMATIC SUTURE
194
PETROUS TEMPORAL
195
SQUAMOUS TEMPORAL
196
TYMPANIC TEMPORAL PART
197
TYMPANOSQUAMOUS FISSURE
198
LEVEL-9
199
BASAL TURN OF COCHLEA
200
Groove in body of sphenoid bone for internal
carotid artery
201
MIDDLE EAR
202
SQUOMOS OCCIPUT
203
OCCIPITO MASTOID SUTURE
204
Space connecting superior and inferior orbital
fissures
205
BODY SPHENOID
206
GREATER WING SPHENOID
207
SPHENO SQUAMOUS SUTURE
208
SPHENO ZYGOMATIC SUTURE
209
TEMPORAL BONE, SQUAMOUS PART
210
LEVEL-10
211
COCHLEA
212
INTERNAL AUDITORY CANAL
213
MIDDLE EAR WITH MALLEUS AND INCUS
214
SQUAMO OCCIPUT
215
Occipitomastoid suture
216
BODY SPHENOID
217
GREATER WING SPHENOID
218
Space connecting superior and inferior orbital
fissures
219
Sphenosquamous suture
220
PETROUS TEMPORAL
221
LEVEL-11
222
Internal auditory canal
223
Middle ear with malleus and incus
224
SQUAMOUS OCCIPITO
225
OCCIPITO MASTOID SUTURE
226
BODY SPHENOID
227
GREATER WING SPHENOID
228
Sphenosquamous suture
229
PETROUS TEMPORAL
230
SUPERIOR ORBITAL FISSURE
231
VESTIBULE WITH SEMICIRCULAR CANAL
232
LEVEL-12
233
SQUAMO- OCCIPITO
234
OCCIPITO MASTOID SUTURE
235
POSTERIOR SEMICIRCULAR CANAL
236
BODY SPHENOID
237
GREATER WING SPHENOID
238
SPHENOSQUAMOUS SUTURE
239
PETROUS TEMPORAL
240

#Skull base radiology FOR #RADIATION ONCOLOGISTS