Periodontal flap surgery
Presented by
R.Dhivya.,MDS
CONTENT
 Introduction
 Definitions
 Historical Background
 Objectives of flap surgery
 Indications and contra-indications
 Advantages and Disadvantages
 Principle of flap design
 Classification of flap
 Properties of ideal flap
 Types of Incisions
 Different flap techniques
 Healing after flap surgery
 Factors affecting the outcome of flap surgery
 Conclusion
 References
 video clip
Introduction
 The ultimate aim of periodontal therapy is to establish a healthy
dentition with sound attachment apparatus resulting in proper form,
function and esthetics.
 To achieve this goal, many non surgical and surgical techniques have
been proposed to treat a variety of periodontal conditions, most
commonly – the periodontal pocket
 Periodontal therapy comprises of initial non- surgical debridement
followed by a re-evaluation, at which stage the need for further
treatment, usually surgical in nature is established.
3
Definitions
 Periodontal flap is defined as a section of gingiva and/or mucosa surgically separated from the
underlying tissues to provide visibility of and access to the bone and root surface.
- (Carranza 10th edition).
 Flap is defined as the separation of a section of tissue from the surrounding tissue except at its
base.
- (Glossary of periodontal terms).
 A flap is defined as a mass of tissue, usually including skin, only partially removed from one part of
the body so that it retains its own blood supply during transfer to another site.
- (Dorland’s medical dictionary).
4
Historical background
Pierre Fauchard - 1742
John W. Riggs - 1875
5
Carl Partch - 19th century - 1907 Partch Incision
Robert Neumann - 1912 1st introduced mucoperiosteal flap - ‘Neumann flap’
Leonard Widman - 1918 Modified the Neumann flap – ‘Widmann flap’
Cieszynski - 1918 Reverse bevel incision
Kirkland - 1931 Modified flap procedure
Carranza - 1939 Surgical treatment of periodontitis
Nabers - 1954 Introduced ‘repositioning of attached gingiva’
Ariaudo and Tyrrell - 1957 Modified Nabers procedure
Friedman - 1962 Apically positioned flap
Ochsenbein and Bohannan - 1964 Palatal flap
Morris -1965 Unrepositioned mucoperiosteal flap
Ramfjord and Nissle -1974 Modified Widman flap
Takei et al - 1985 Papilla preservation flap
Trombelli et al - 2007 single flap approach (SFA)
Bianchi and Bassetti - 2009 Whales technique
6
Objectives of flap surgery
1. Access to roots and alveolar bone
• enhance visibility
• increase scaling and root planing effectiveness
• less tissue trauma
2. Modification of osseous defect
• establish physiologic architecture of hard tissues through
regeneration or resection
• augment alveolar ridge defects
3. Repair or regeneration of the periodontium
4. Pocket reduction
• enhance maintenance by patient and therapist
• improve long-term stability
5. Provide acceptable soft tissue contours
• enhance plaque control and maintenance
• improve esthetics
To enable visual
instrumentation of root
surfaces
To re-establish the
healthy, clinical status of
periodontium with long
term maintenance
To restore the
periodontal apparatus
when attachment loss has
occurred
MAIN OBJECTIVE of periodontal
surgery is to contribute to the long-
term preservation of the
periodontium by facilitating plaque
removal and plaque control
- Jan Lindhe
7
Indications
 Irregular bony contours
 Deep craters
 Pockets on teeth in which a complete
removal of root irritants is not clinically
possible
 Grade II or III furcation involvement
 Root resection / hemisection
 Intrabony pockets on distal areas of last
molars
 Persistent inflammation in areas with
moderate to deep pockets.
Unaccesible areas like root concavities,
furcation areas etc,
Deep periodontal pockets:- Waerhaug stated
that pocket depth greater than 5mm
demonstrated only an 11% efficacy in removal of
plaque and calculus.
Osseous defects:- the morphology of osseous
defects can limit the effectiveness of nonsurgical
therapy.eg: narrow intrabony defects.
8
Contraindications
A. Patient non co-operation:
 Since, optimal post-operative infection control is decisive for the success of periodontal treatment
( Axelsson & Lindhe,1981), a patient who fails to co-operate during the cause related phase of
therapy should not be exposed to surgical treatment.
B. Poor plaque control
C. High caries rate
D. Systemic conditions:
Cardiovascular disease:
 Arterial hypertension: patient’s consent should be taken and local anesthesia with low adrenaline
or without adrenaline (as it has ionotropic effect on heart muscles) must be used.
 Angina pectoris: premedication with sedatives and L.A, low in adrenaline is recommended.
9
 Myocardial Infarction: MI patients should not be subjected within 6 months following
hospitalization and thereafter only in co-operation with the physician of the patient.
 Anticoagulant treatment: The range within which scaling & surgical procedures can be safely
performed is one and half to two times the average normal prothrombin time (12-14 sec). (Lindhe
5th edition)
 Aspirin and other NSAID drugs should not be used for post-operative pain control.
 Rheumatic Endocarditis, Congenital heart lesions and heart/vascular implants involve risk of
transient bacteremia that follows manipulation of infected periodontal pockets.
 ADA- recommeded antibiotic prophylaxis and antiseptic mouthrinsing 0.2% chlorhexidine prior to
surgery .
 AHA (1997), 2 grams of amoxicillin administerated orally 1 hour before the treatment, if allergic to
penicillin, clindamycin (600 mg) orally 1 hour before treatment is recommended.
10
Organ Transplantation:
 Prophylactic antibiotics are recommended in transplant patients taking immunosuppressive drugs.
Blood Disorders:
 patients suffering from acute leukemias, agranulocytosis, and lymphogranulomatosis must not be
subjected to periodontal surgery.
Diabetes:
 well controlled diabetics(Hb A1c6-8%) may be subjected to periodontal surgery provided
precautions are taken taken. (Seymour and Heasman,1992).
Neurologic disorders:
 multiple sclerosis and Parkinson’s disease in severe cases, make periodontal surgery impossible.
Epilepsy :
 drugs used to treat epilepsy may cause gingival enlargements. These patients may withspecial
restrictions be subjected to periodontal surgery. 11
Advantages and Disadvantages
Advantages
• Direct vision
• Pocket epithelium is entirely removed by
the internal bevel incision
• Flaps can be repositioned
• Interdental bone or infrabony defects can
be covered
• No open wound
• Little periodontal tissue is lost
Disadvantages
• Apical resposition
• postoperative sensitivity and esthetics
12
Principles of flap design
According to Hupp (1933) the following principles should be followed:
Prevention of flap necrosis:
1. The apex of the flap should never be wider than the base.
2. Flap should either run parallel to each other or preferably converge
from the base of the flap to its apex.
3. Flap length to base ratio should be no greater than 2:1
The major blood supply to a flap was found to exist at its base and travels in an apical to coronal
direction. So,it was also determined that the greater the ratio of flap length to flap base, the greater the
vascular compromise at the flap margins.
13
4. Whenever possible, an axial blood supply should be included in the base
of the flap.
5. The base of the flap should not be excessively twisted or stretched
(as either of these will compromise the supplying vessels).
Prevention of flap tearing
 The access of the flap should be enough to avoid tearing.
 If an envelope flap does not provide sufficient access, another incision
should be made.
 Vertical (oblique) releasing incisions should be placed one full tooth
anterior to the area of any anticipated bone removal.
 The incision should be started at the line angle of the tooth & carried
obliquely apically into the unattached gingiva.
14
Properties of ideal flap
Ideal Flap/ Section of a soft tissue:
 Is outlined by a surgical incision
 Carries its own blood supply
 Allows surgical access to underlying tissues
 Can be placed in the original position
 Can be maintained with sutures in a particular desired position
 And is expected to heal
 Sharp incisions heal rapidly
 Flap extension- 2 teeth anterior and 1 tooth posterior to area of surgery
 Incisions- over intact bone/ 6-8mm away from diseased bone - ( Peterson)
15
Types of incision
Principles governing incision placement
According to LASKIN (1980), they are-:
 The incision should not be made over the operative site but in the adjacent, undisturbed areas so
that the flap will be supported by normal tissue & the potential for rapid revascularization is
preserved.
 The incision should be placed so that major nerves are not transected unless necessary.
 An adequate blood supply should be maintained by incising parallel to the major vessels,
minimizing the number of side cuts, & having the base of the flap as wider than the apex.
 Incisions should not be made in areas of thinned mucosa like that found over an exostosis because
the blood supply is reduced, suturing is difficult & rate of dehiscence is very high.
16
 When developing flaps around teeth, the incisions should be made in the gingival crevice.
 It is also important to maintain the integrity of the interdental papillae.
 If access is inadequate, the surgeon may extend the length of the incision or make a releasing
incision. The releasing incision is usually made at about at an angle of 450 from the direction of the
parent incision.
 If the flap is to include both mucosa & the periosteum, the incision should be made directly to the
bone with one cut & it should be elevated in one piece without tearing the periosteum.
 After the necessary surgery, the clotted blood should be removed from beneath the flap to lessen
the possibility of infection & permit tissue fluid to penetrate more readily.
17
SEVEN main incision types are commonly used in periodontal surgery:
 The external bevel or gingivectomy incision
 Types of Horizontal incisions
a) The internal bevel incision
b) The crevicular incision / Sulcular incision
c) The interdental incision
 Vertical / Oblique releasing incisions
 Cutback incisions
 Thinning incisions
 Distal wedge incisions
 Periosteal releasing incisions 18
The external bevel or gingivectomy incision
 It is contained in the gingiva and coronally directed with the surgical objectives of
pocket elimination, access to roots, and improved gingival contours.
 Indications: to treat gingival enlargement and to perform esthetic crown
lengthening when access to the underlying bone is not required.
 It is sometimes used in conjunction with flap surgery when there is need to thin the
tissues externally before flap reflection.
 An example would be a case of severe gingival enlargement with lobulated gingiva
and highly irregular gingival margins.
 The dotted line represents the external bevel incision, and the shaded area
corresponds to the tissue to be excised.
19
Types of horizontal incisions
 A) The internal bevel incision, which
starts at a distance from the gingival
margin and is aimed at the bone crest.
 B) The crevicular incision, which starts at
the bottom of the pocket and is directed to
the bone margin.
 C) The interdental incision is performed
after the flap is elevated.
20
Internal bevel incision
 This incision has been termed as the first incision because it is the initial incision in the reflection
of the flap & the reverse bevel incision, because its bevel is in reverse direction from the
gingivectomy incision.
 The # 11 or #15 surgical scalpel is used most commonly.
Objectives of internal bevel incision:
 It removes the pocket lining and the area of the tissue invaded by microorganisms .
 Therefore the chief advantage of this incision is that it eliminates the part of the gingival margin
which has been penetrated by pathogens.
 It conserves the relatively less involved outer surface of the gingiva.
 It produces a sharp, thin flap margin for adaptation to the bone tooth junction.
21
Indications:
 Primary incision of the flap surgery if there is a sufficient band of attached gingiva.
 Desire to correct bone morphology (osteoplasty, osseous resection)
 Thick gingiva (such as palatal gingiva)
 Deep periodontal pockets and bone defect
 Desire to lengthen clinical crown
Incision design:
The placement of the primary incision is determined by the following factors:
l. Band of attached gingiva.
2. Method of periodontal surgery.
3. periodontal pocket depth.
22
4. Whether osteoplasty and ostectomy are necessary
5. Esthetics
6. Whether restorative treatment is necessary after periodontal surgery
7. Clinical crown length needed for abutment
 A scalloped incision design is incorporated in the flap when this incision is used.
 The shape of this scallop is dictated by the anatomy of the tooth and underlying root form.
23
Variations in the type of internal bevel incision for the different
types of flaps.
 Modified Widman flap does not intend to remove the pocket wall, but
eliminates the pocket lining. Therefore the internal bevel incision starts
close, no more than 1 to 2 mm apically to the gingival margin and
follows the normal scalloping of the gingival margin.
 For apically displaced flap, the pocket wall is to be preserved to be
positioned apically while its lining is removed. So, the internal bevel
incision is to be made as close to the tooth as possible 0.5 to 1mm.
 For an undisplaced flap, the internal bevel incision is initiated at or
near a point just coronal to the projection of the bottom of the pocket on
the outer surface of the gingiva.
 Locations of the internal bevel incisions for the different types of flaps.
24
Diagram showing the location of two different areas
 where the internal bevel incision is made in an undisplaced flap.
 The incision is made at the level of the pocket .
Studies in favour of the benefits of removal of pocket epithelium by
internal bevel incision:
Morris 1949 stated that
the removal of pocket
epithelium is necessary
for new connective tissue
attachment.
Stone 1966 postulated that
any residual epithelium on
the wound edge could serve as
a “seed area” and result in
rapid proliferation of the
junctional epithelium along
the root surface. 25
Yukna 1976 successfully
removed all epithelium with
internal bevel incison as
described by ENAP
Caffesse et al 1968 observed
that all pocket epithelium
was removed with the
reverse bevel incision as
described in the Modified
Widman Flap procedure.
Carranza has stated that placement of the scalloped internal
bevel incison 1mm subcrestally will remove most of the
granulation tissue contained in the lateral wall of pocket.
26
Sulcular or Crevicular incision
 It is selected if preservation of all the existing
keratinized tissue is desirable.
 The scalpel blade is inserted into the gingival crevice,
aligned parallel to the long axis of the tooth, and angled
toward the alveolar crest. Interproximally, the incision is
extended into the embrasure space to include as much
papilla as possible.
27
Indications
 Narrow band of attached gingiva
 Thin gingiva and alveolar process
 Shallow periodontal pocket
 Desire to lessen post operative gingival recession for esthetic reasons in the maxillary anterior
region
 As a secondary incision of usual flap surgery
 Bone graft or GTR: desire to preserve as much periodontal tissue (especially interdental papilla) as
possible to completely cover grafted bone and membrane by flaps.
 Its purpose is to facilitate the removal of the inflammatory granulation tissue surrounding the
cervical area and the secondary flap of soft tissue walls of the periodontal pocket (after reflecting
the primary flap).
 A no. 12 blade, is recommended. 28
Interdental incision
 After the first two incisions have been placed, periosteal
elevator is inserted into the initial internal bevel incision, and
the flap is separated from the bone. With this access the
interdental incision is placed to separate the collar of
gingiva(around facial,lingual & interdental areas that is left
around the tooth.
 Orban Knife is used
29
Vertical releasing incisions
 They are normally perpendicular to the gingival margin and placed at the line angles of the teeth.
Advantages :
 increase access to alveolar bone,
 decrease tension on retracted flaps,
 allow apical and coronal positioning of flaps,
 Vertical incisions in the lingual and palatal areas are avoided.
 Facial vertical incision should always be placed at the line angles of the teeth and never over the
height of contour of the root. This accomplishes two things:
1.It protects the interdental papilla adjacent to the surgical site.
2. It allows the vertical incision to be sutured without having to stretch the flap over the cervical
convexity of the tooth.
30
 As a rule, when trying to decide on what side of the
interproximal space to place the releasing incision, it is
best to include the papilla with the flap to enhance the
blood supply to the flap and to allow for ease of
suturing.
 Suture vertical incisions before horizontal portion of
flap.
Correct incision
Incorrect incision
31
Cutback Incisions
 Vertical incisions may be used to move the flap laterally (as in
pedicle flap.)
 In this situation vertical incision is made at an acute angle to
the horizontal incision, in the direction toward which flap is
moved, placing the base of the pedicle at the recipient site.
This is termed as cutback incision.
 care must be taken not to extend cutback incisions more than
2 to 3 mm to minimize disruption of the remaining blood
supply to the flap.
INDICATIONS
 To prevent tension in tissues during healing
 To prevent the displacement of the laterally displaced flap
32
Thinning incisions
 It reduces the bulk of connective tissue from the underside of the flap and are used to reduce
the thickness of flaps before reflection.
 Such incisions are used as part of distal wedge procedures and to thin bulky papillae.
 Thinning incisions are performed either in conjunction with flap reflection (i.e., reflecting the
flap as it is thinned) or after completing flap reflection.
33
Distal wedge incisions
 Triangular: These are placed creating the apex of
the triangle close to the hamular notch and the base
of the triangle next to the distal surface of the
terminal tooth.
 The thinning or undermining incisions are
accomplished before full reflection of tissue and are
extended 2 to 3 mm apical to the crestal aspect of the
tuberosity.
 The incision should follow the areas of greatest
attached gingiva and underlying bone.
Incision designs for surgical procedures distal
to the mandibular second molar.
34
 The linear distal wedge incorporates two parallel incisions over the
crest of the tuberosity that extend from the proximal surface of the
terminal molar to the hamular notch area.
 The distance between the two linear incisions is determined by the
thickness of the tissues, with wider separation of the incisions in
thicker tissue.
35
Periosteal releasing incisions
 These are used when coronal or lateral advancement of a flap onto the root or crown of the tooth is
indicated.
 This incision, which severs the underlying periosteum at the base of full-thickness flaps, allows tension-
free coronal positioning of the flap to cover exposed root surfaces and to provide primary closure over
barrier membranes used in guided tissue and guided bone regeneration procedures.
Method:
 The periosteum on the underside of the flap is scored with a scalpel blade to increase flap mobility,
allowing passive coronal advancement of the flap.
36
Incisions Description Indication
External Bevel Coronally Directed Gingivectomy, crown
lengthening, Gingivoplasty
Internal Bevel Apically directed, placed at the crest of the
gingival margin or stepped back from the
margin 0.5 to 2.0 mm
Excisional new attachment
procedure, modified Widman
flap, flap and curettage, crown
lengthening
Sulcular / Crevicular Apically directed, placed in the gingival
crevice and directed toward the alveolar crest
When preservation of gingiva.
is critical, as in esthetic areas
or areas of minimal keratinized
tissue, guided tissue
regeneration (GTR) procedures
37
Incisions Description Indication
Releasing Perpendicular to the gingival margin at line
angles of teeth
To increase access, to allow
apical or coronal positioning
of flap
Thinning Internal or undermining incision extending
from gingival margin toward the base of the
flap to decrease the bulk of connective tissue
on the underside of the flap
Palatal flaps, distal wedge
procedures, internal bevel
gingivectomy, bulky papillae
Periosteal Incision at the base of the flap severing the
underlying periosteum
To release flap tension
allowing coronal
advancement of the flap
38
Classification of flaps
 Based on bone exposure after flap reflection (by Carranza, 1979).
 Based on flap placement after surgery (by Carranza in 1990).
 Based on management of papilla.
 Based on Presence/Absence of releasing incisions.
 Based on the main purpose of the procedure (by Ramfjord in 1979) .
 Based on the anatomic type of mucosa.
39
A] Based on bone exposure after flap reflection (by Carranza, 1979).
- mucoperiosteal or full thickness flap
- partial thickness or mucosal flap
- combination flap
B] Based on placement of flap after surgery (by Carranza in 1990).
- displaced flap / positioned flap
1.Apical displaced flap
2.Coronal displaced flap
3.Lateral displaced flap
- non displaced flap / re-positioned flap [Eg : conventional flap]
C] Based on management of papilla
- conventional flap
- papilla preservation flap 40
D] Based on Presence/Absence of releasing incisions :
- Flap with releasing incision [relaxed flaps]
- Flap without releasing incision [ envelope flaps]
E] According to the main purpose of the procedure (by Ramfjord in 1979)
- Pocket elimination flap
- Reattachment flap surgery
- Mucogingival repair
F] Flaps are also classified by the anatomic type of mucosa.
- Gingival Flap: Includes only the gingival tissue.
- Mucogingival flap: extends beyond the mucogingival junction to include the alveolar mucosa.
41
Detailed description
of
various flap procedures
42
Full thickness flap
 In 1979, Carranza classified flap as
 Full thickness- In this, all the soft tissue along with the periosteum is
reflected to expose the underlying bone.
Advantages:
 They offer improved visibility of the alveolar bone.
 They are generally associated with less bleeding and post operative
pain.
 It is the most common type of flap used when access to the bone is
indicated for resective or regenerative procedures.
 The full-thickness flap can be used to reduce or eliminate periodontal
pockets, but there must be a sufficient band of attached gingiva and
sufficient alveolar crest width to achieve this
43
Contraindications:
 Thin periodontal tissue with probable osseous dehiscence and
osseous fenestration.
 Area where alveolar bone is thin.
44
Partial / Split thickness
In this only the epithelium and a layer of the underlying connective tissue are included. The bone
remains covered by a layer of connective tissue, including the periosteum.
Indications:
 when the flap is to be positioned apically or when the operator does not want to expose the bone.
 Indicated on buccal surfaces. Palatal and lingual surfaces , with their wide zones of attached
gingiva and thick alveolar bone do not require split thickness flaps.
Contraindications:
 The partial-thickness flap should not be attempted in areas where the gingiva is thin (1mm).
 It is also contraindicated in posterior areas of the mandible where the vestibule is shallow and
access is difficult.
45
Advantages:
 The partial-thickness flap is favorable in augmentation of
attached gingiva with thin bone (done by positioning the flap
apically or laterally)
Disadvantages:
 The biggest problem of a partial-thickness flap is with the
thickness of the remaining periosteum-connective tissue bed on
the bone.
 If it is less than 0.5-1 mm, the remaining periosteum-connective
tissue may become necrotic.
46
Comparision b/w full and partial thickness flaps
47
Combination flap
 A useful variation of these two flaps is the combination or “ Split-full-split” flap.
 First, a crevicular incision is made lateral to the periodontal pocket and down to the crest of the alveolar
bone (Split).
 Second, periodontal elevator is used to bluntly dissect the flap down to the approximate level of the
mucogingival junction (full).
 Third, scalpel is again used to split the alveolar mucosa apically beyond the mucogingival junction
(split).
 This type of flap design exposes alveolar bone, which can then be recontoured or augmented,while it
maintain periosteum in the apical part of the surgical site for the protection and to aid in suturing and
flap reattachment.
48
The original Widman Flap
 One of the first detailed descriptions of the use of a flap procedure for pocket elimination was published in
1916 by Leonard Widman.
 Widman described a mucoperiosteal flap design aimed at removing the pocket epithelium and the inflamed
connective tissue, thereby facilitating optimal cleaning of the root surfaces
Advantages
 Less discomfort for the patient, since healing was by primary intention and
 It was possible to re-establish a proper contour of the alveolar bone in sites with angular bony defects.
Disadvantages
 Exposure of root surfaces
 Vertical incisions
49
Procedure :
 Two releasing incisions demarcate the area scheduled for surgical therapy. A scalloped reverse
bevel incision is made in the gingival margin to connect the two releasing incisions.
 The collar of inflamed gingival tissue is removed following the elevation of a mucoperiosteal flap.
 By bone recontouring, a "physiologic" contour of the alveolar bone may be reestablished.
 The coronal ends of the buccal and lingual flaps are placed at the alveolar bone crest and secured
in this position by interdentally placed sutures.
50
The Neumann flap
 Neumann in 1912 suggested the use of a flap procedure which was:
Technique
 The first incisions are vertical incisions made in long axis of the tooth, generally in sextants
without bisecting the papilla.
 An intracrevicular incision was made through the base of the gingival pockets, and the entire
gingiva was elevated in a mucoperiosteal flap to gain a clear view of the field being operated.
 Following flap elevation, the inside of the flap was curetted to remove the pocket epithelium and
granulation tissue.
 The root surfaces were subsequently carefully “cleaned. Any irregularities of the alveolar bone
were corrected to give the bone crest as far as possible the “normal shape nature intended for it”.
 The flaps were trimmed to allow both an optimal adaptation to the teeth and a proper coverage of
the bone at the alveolar crest margin. 51
Intracrevicular incision
Gingiva is retracted to
expose the diseased root surface
Exposed root surfaces are subjected
to mechanical debridement
Suturing
Vertical incisions
52
The Modified flap or Kirkland flap
 In a publication from 1931 Kirkland described surgical procedure to be used in the treatment of
“periodontal pus pockets”.
 The procedure was called as the modified flap operation, and is basically an access flap for proper
root debridement.
Advantages
 Less extensive procedure, thus preserving the non inflamed tissues from unnecessary trauma.
 Less postoperative pain and swelling.
 No apical displacement of the gingival margins.
 More esthetic results postoperatively.
 More chances of bone regeneration.
53
Technique :
 Intracrevicular incision.
 The gingiva is retracted to expose the “diseased” root surface.
 The exposed root surfaces are subjected to mechanical debridement.
 The flaps are replaced to their original position and sutured.
54
Modified widman flap
 Ramfjord and Nissle – 1974 and it is a Open flap curettage technique.
 Original widman flap = Apical displacement + Osseous recontouring
 Modified widman flap = does not meet above objectives.
Indications
 whenever reattachment with minimal gingival recession is desired.
 Especially effective with pocket depths of 5–7mm.
 Moderate furcation involvement, and
 Patient with a high caries rate and root sensitivity problem.
Contraindications
 Very thin and narrow attached gingiva
 Osseous surgical procedures (expansive osteoplasty or ostectomy) with very deep osseous defects
and irregular bone loss. 55
Advantages:
Root cleaning with direct vision
 “Tissue friendly”
 Reparative, with healing by primary intention
 Minimal crestal bone resorption
 Lack of post-operative discomfort
Disadvantages:
 Unfavourable proximal architecture immediately following surgery.
 However, it has been shown that if meticulous oral hygiene is maintained, the proximal tissues will
regenerate.
 Pockets are not completely eliminated.
 Cannot be used for regenerative purposes.
56
Principles
1 Initial incision—continuous, “scalloping,” paramarginal (intragingival) incision; no vertical
releasing incisions
2 Second incision—sulcular incision
3 Third incision—horizontal incision, also interdentally; removal of the delineated tissue and all
granulation tissue
4 Root cleaning and planing with direct vision
5 Flap adaptation, complete coverage interdentally.
57
58
Step 1: The initial incision is an internal bevel incision
to the alveolar crest starting 0.5 to 1 mm away from
the gingival margin
Step 2: The gingiva is reflected with a periosteal
elevator .
Step 3: A crevicular incision is made from the bottom
of the pocket to the bone,
59
Step 4: third incision is made in the interdental spaces
coronal to the bone with a curette or an interproximal
knife, and the gingival collar is removed .
Step 5:Tissue tags and granulation tissue are
removed with a curette.
Step 6: adapt the facial and lingual interproximal
tissue adjacent to each other in such a way that no
interproximal bone remains exposed at the time of
suturing . Interrupted direct sutures are placed .
Differences between Modified Widman and Original Widman flaps
MODIFIED WIDMAN FLAP ORIGINAL WIDMAN FLAP
Main aim is access for root debridement with
pocket reduction
Main aim is pocket elimination.
Flaps are elevated to a much lesser extent Flaps are elevated to a larger extent.
Flaps are placed at alveolar crest margins Flaps are placed apically
Less postoperative pain and swelling More post operative pain and swellling
60
 Pocket lining was removed with the help of a diode laser
 The laser setting used for this procedure was 4 W in
continuous mode.
 Crevicular incision was given with a bard parker # 15 blade
directed toward the alveolar crest.
 Full thickness mucoperiosteal flap was raised buccally and
lingually.
 The granulation tissue was removed from the defects by
manual debridement .
 Reduction in probing depth was from 11 mm to 6 mm.
 Radiographs revealed increased bone fill.
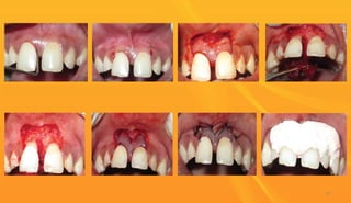
Laser - assisted modified Widman flap (LAMWF) – Case report
Removing the pocket lining with diode laser
[ sanjeev et al – 2010]
61
Apically repositioned flap
 In 1950s and 1960s new surgical techniques for the removal of soft tissue were described.
 The importance of maintaining an adequate zone of attached gingival after surgery was
emphasized.
 Apically positioned flap surgery, in which flaps are reflected with an internal bevel incision and
sutured apical to pre-operative position.
 Norberg (1926) first advocated this technique for mucogingival problems in periodontal disease.
 Nabers (1954) described this technique for the preservation of the gingiva following surgery.
62
Following a vertical releasing incision, the reverse bevel
incision is made through the gingiva and the periosteum
to separate the inflamed tissue adjacent to the tooth from
the flap.
A mucoperiosteal flap is raised and the tissue collar
remaining around the teeth, including the pocket
epithelium and the inflamed connective tissue, is
removed with a currette.
Osseous surgery
is performed
with the use of a
rotating bur
63
The flaps are repositioned in an apical direction
to the level of the recontoured alveolar bone
crest and retained in this position by sutures.
A periodontal dressing is placed over the
surgical area to ensure that the flaps
remain in the correct position during
healing.
64
Indications
 To eliminate periodontal pockets.
 To increase the width of attached gingiva.
 To lengthen the clinical crown for prosthetic treatment.
 To improve gingiva and alveolar bone morphology.
Contraindications
 Periodontal pockets in severe periodontal disease.
 Periodontal pockets in areas where esthetics is critical.
 Deep intrabony defects.
 Patient at high risk for caries.
 Severe hypersensitivity.
 Tooth with marked mobility and severe attachment loss.
 Tooth with extremely unfavourable clinical crown/root ratio. 65
Advantages :
 Minimum pocket depth postoperatively.
 If optimal soft tissue coverage of the alveolar bone is obtained, the postsurgical bone loss is minimum.
 Preserves attached gingiva and increase its width.
 Establishes gingival morphology facilitating good hygiene.
 Ensures healthy root surface necessary for biologic width on alveolar margin and lengthened clinical crown.
Disadvantages :
 May cause esthetic problems due to root exposure.
 May cause attachment loss due to surgery.
 May cause hypersensitivity.
 May increase risk of root caries.
 Unsuitable for treatment of deep periodontal pockets.
 Possibility of exposure of furcations & roots, which complicates postoperative supragingival plaque control.
66
Papilla preservation flap:
 Proposed by Takei et al (1985) later, Cortellini et al (1995,1999) described modifications of
flap design to be used in combination with regenerative procedures.
 For esthetic reasons, the papilla preservation technique is often utilized in the surgical
treatment of anterior tooth regions.
Two types :
 Modified papilla preservation (Cortellini et al, 1995)
 Simplified papilla preservation( Cortellini et al,1999)
67
A] An intrasulcular incision is made along the lingual/palatal aspect of the teeth with a
semi-lunar incision made across each interdental area.
B] A curette or interproximal knife is used to carefully free the interdental papilla from the
underlying hard tissue.
C-D]The detached interdental tissue is pushed through the embrasure with a blunt
instrument to be included in the facial flap.
E]The flap is replaced and sutures are placed on the palatal aspect of the interdental areas.
68
 Access to the interdental defect consists of a horizontal incision buccal keratinized gingiva at the
base of the papilla
 Connected with mesio-distal buccal intrasulcular incisions for elevation of full-thickness buccal flap
 Residual interdental tissues are dissected from neighboring teeth and the underlying bone and
elevated towards the palatal aspect
 Elevation of full thickness palatal flap, including the interdental papilla, interdental defect exposure
 Debridement of the defect
 Buccal flap is mobilized with vertical and periosteal incisions, when needed
69
70
To overcome technical problems encountered with the MPPT
 Difficult application in narrow interdental spaces and in posterior areas
 Suturing technique not appropriate for use with non supportive barriers
 Modified papilla preservation is used in wide interdental spaces (>2mm ) especially in anterior
dentition.
Simplified papilla preservation( Cortellini et al,1999)
Sulcular incisions and buccal flap
elevation
Oblique incision in papilla begins at the gingival
margin line angle, blade parallel to the long
axis of the tooth and reaches the midpoint of the
distal surfaceof adjacent tooth below the
contact point
Palatal flap reflection
71
Distal molar surgery
 Procedures for this purpose were described by Robinson and Braden and modified
by several other investigators.
Objectives of wedge procedure
 Eliminate periodontal pockets.
 Maintain and preserve attached gingiva.
 Make area accessible to the instruments.
 Lengthen clinical crown.
 Create easily clearable gingival – alveolar form.
72
Maxillary Molars
Usually simpler than mandibular molars because of the following reasons:
 The tuberosity presents a greater amount of fibrous attached gingiva than does the area of retromolar
pad.
 The anatomy of tuberosity extending distally is more adaptable to pocket elimination than is that of
mandibular molar.
73
A, Removal of a pocket distal to the maxillary
second molar may be difficult if there is
minimal attached gingiva.
If the bone ascends acutely apically, the
removal of this bone may make the procedure
easier.
B, Long distal tuberosity with abundant
attached gingiva is an ideal anatomic
situation for distal pocket eradication.
74
Mandibular molars:
Differences from the treatment in the maxillary tuberosity region due to to the following
reasons:
 The retromolar pad area does not usually present as much fibrous attached gingiva.
 The keratinized gingiva, if present may not be found directly to the molar.
 The greatest amount may be distolingual or distofacial and may be over the bony crest.
 The ascending ramus of the mandible may also create a short horizontal area distal to the
terminal molar. The shorter this area, the more difficult it is to treat any deep distal lesion
around the terminal molar.
75
A, Pocket eradication distal to a
mandibular second molar with minimal
attached gingiva and a
close ascending ramus is anatomically
difficult.
B, For surgical procedures distal to a
mandibular second molar, abundant
attached gingiva and distal space are ideal.
76
77
Modified distal wedge procedure
Buccal and palatal flaps are elevated (a)
and the rectangular wedge is released
from the tooth and underlying bone by
sharp dissection and removed (b).
Following bone recontouring and root
debridement, the flaps are trimmed and
shortened to avoid overlapping wound margins
and sutured .A close soft tissue adaptation
should be accomplished to the distal surface of
the molar. The remaining fibrous tissue pad
distal to the buccolingual incision line is
"leveled" by the use of a gingivectomy incision .
78
The palatal flap
 The surgical approach to the palatal area differs from that for other areas because of the character
of the palatal tissue and the anatomy of the area.
 The palatal tissue is all attached, keratinized tissue and has none of the elastic properties
associated with other gingival tissues. Therefore the palatal tissue cannot be apically displaced,
and a partial-thickness (split-thickness) flap cannot be accomplished.
Two methods for eliminating a palatal pocket.
 One incision is an internal bevel
- incision made at the area of the apical
extent of the pocket.
 The other procedure uses a
- gingivectomy incision, which is followed
by an internal bevel incision 79
 Primary incision is made intracrevicularly through the bottom of the
periodontal pocket.
 The palatal flap is replaced and Osseous recontouring is performed in the
surgical area.
 A secondary, scalloped, reverse bevel incision is made to adjust the length
of the flap to the height of the remaining alveolar bone.
 The shortened and thinned flap is replaced over the alveolar bone and in
close contact with the root surfaces.
80
The single flap approach (SFA)
The Single Flap Approach (SFA) is a simplified, Minimally invasive surgical approach to access intra-osseous
periodontal defect. - Trombelli et al. 2007
Advantages
 First, it may facilitate flap repositioning and suturing; the flap can easily be stabilized to the undetached
papilla, thus optimizing wound closure for primary intention healing.
 Second, by limiting the surgical trauma on the vascular supply of the interproximal supracrestal soft
tissues due to a limited flap elevation, a faster wound-healing process, particularly at the level of the
incision line, is promoted.
 Wound stabilization and preservation of an intact interdental papilla may also minimize the post-surgery
shrinkage of gingival tissues and, therefore, limit the esthetic impairment of the patient. 81
82
83
When combined with rhPDGF-BB and b-TCP, the SFA may result in similar clinical outcomes, better
quality of early wound healing, and lower pain and consumption of analgesics during the first postoperative
days compared to the DFA. Schincaglia GP, 2015
Buccal single flap approach and rh -pdgf-bb plus b-tcp
CTG + SFA
84
The adjunctive use of a CTG in the regenerative treatment of intraosseous defects associated with
buccal bone dehiscence accessed by buccal SFA may support the stability of the gingival profile.
Leonardo Trombelli 2016
SFA + HA
85
A recent study showed that SFA combined with a hydroxyapatite (HA) biomaterial and GTR
allowed substantial clinical attachment gain, limited gingival recession (REC), and generally
uneventful healing in deep intraosseous periodontal defects
Trombelli L, 2009
Whales technique
 In 2009, Bianchi and Bassetti described a new surgical technique – the “Whale’s tail” technique,
which was designed for the treatment of wide intrabony defects in the esthetic zone.
 This technique involved the elevation of a large flap from the buccal to the palatal side to facilitate
access and visualization of the intrabony defect and was created, especially to perform regeneration
while maintaining interdental tissue over grafting material.
Advantages
 Good access to the defect area and placement of margins away from the regenerative material, which
will prevent the inflammatory response near the regenerative material, thereby increasing the chances
of graft uptake
 The handling of the interdental papilla is easier and more convenient than the conventional papilla
preservation technique.
86
87
Indications
 therapies aimed at regeneration of periodontal defects such as bone grafts, membrane, or
combination of these materials,
 surgical treatment of anterior tooth region with diastema present.
Contraindications
 high frenal attachment,
 recession
 diastema <2 mm.
88
Modified whales technique
89
Healing after flap surgery
Flap-tooth by blood clot
24 hours
Space reduced.
Epithelial cells migrate
1-3 days
Epithelial attachment to
root by hemidesmosomes
1 week
Collagen fibres
arranged parallely
2 weeks
Fully epithelialized
gingival crevice
1 month
90
Healing after flap surgery
1) Immediately after
suturing ( up to
24 hours)
A connection between the flap and the tooth or bone surface
is established which contains fibrin reticulum with many
PMN leukocytes, erythrocytes, debris of injured cells, &
capillaries at the edge of the wound.
2) 1-3 days after
flap surgery.
The space between the flap & the tooth or bone is thinner &
epithetlial cells migrate over the border of the flap, usually
contacting the tooth at this time.
91
3) One week after
surgery.
An epithelial attachment to the root has been established by
means of hemidesmosomes & a basal lamina.
Blood clot is replaced by granulation tissue derived from the
gingival connective tissue, the bone marrow, & the PDL.
4) Two weeks after
surgery.
Collagen fibers begin to appear parallel to the tooth surface.
Union of the flap to the tooth is still weak because of presence of
immature collagen collagen fibers.
5) One month after
surgery.
A fully epithelialized gingival crevice with a well defined
epithelial attachment is present.
There is beginning of functional arrangement of supra crestal
fibers.
92
Pre therapeutic causes
Therapeutic causes
Post therapeutic causes
Pre therapeutic causes
1) Incorrect patient selection
2) Improper diagnosis
Systemic condition
Type of periodontitis
Involvement of hopeless tooth
Oral hygiene assessment
3) Inappropriate dental restorations
Factors affecting the outcome of flap surgery
3 Types
93
4)Morphology of tooth surfaces
- Failure to eliminate aberrations like enamel pearls and grooves which act as a “guide plane”
for a bacterial penetration of deeper periodontal tissues
5)Habits
- mouth breathing
- bruxism
- thumb sucking
- Smoking
6)Occlusal trauma
94
Therapeutic causes
Improper selection of surgical technique :
 width of attached gingiva
 height of remaining bone
 pocket depth
 mobility
 co-operation of the patient
 patients systemic back ground
 Decreased width of attached gingiva - internal bevel incision will further decrease the width of attached
gingiva leading to mucogingival problems
 Surgical technique which does not allow proper adaptation of interdental tissue will lead to food and
plaque accumulation in the interproximal area and therapy leads to recurrence of periodontal disease
 Improper asepsis of the surgical field and patient, improper sterilization of the instruments
95
Improper flap design
 A properly designed flap will anatomically fall into its correct position on its bony base following
surgery
 If a mucoperiosteal flap is not designed correctly it may
 Rise too high coronally- redundant tissue with subsequent repocketing
 Fall far short of the osseous margin - resorption or sequestra formation
 Inadequately cover the bone graft - minimizing the opportunity for ideal healing
 Inadequate thinning of the full thickness flap (palatal flap), results in an excessively thick bulky gingival
margin –gingivoplasty
 It may also encourage the overzealous tightening of the sutures, thereby endangering the blood supply
and enhancing the possibility of sloughing of flap and post operative pain
 Incomplete debridement
 Improper suturing
96
 Improper incision: the rationale of any periodontal flap surgery is to gain access to underlying root
and bone surfaces.
 If incisions are not made upto the bone/root surface and a mucosal flap is elevated which hinders
in gaining proper access to the underlying root surfaces, It can cause increased amount of bone
resorption.
 Therefore while giving incision the blade should hit the bone in order to elevate a full thickness
flap.
Reflection of the flap: elevation of the periodontal flap should be such that only around 1 mm of
marginal bone is exposed.
Over reflection - bone resorption,
Under reflection - limited access to the underlying root/bone surface.
97
Debridement of the root surfaces and the bone: complete debridement with removal of plaque and
calculus from the root surface
Suturing of the separated flaps should be done to closely adapt the flap to the tooth margins.
Failure to properly place the sutures gaping of the wound and hence recurrence of the disease
Post therapeutic causes
Unsupervised healing :
 Post-operative care
Inadequate restorations post surgically :
 failure to replace missing teeth
 correct overhanging restorations
 correct carious lesions
98
Conclusion
 Periodontal therapy is directed at disease prevention,
 slowing or arresting disease progression,
 regenerating lost periodontium, and
 maintaining achieved therapeutic objectives.
Conclusion
99
References
 Fermin A. Carranza, Jr., Michael G. Newman,Textbook of Clinical periodontology.,10th
edition.
 Jan Lindhe, Thorkild Karring . Niklaus P. Lang, Textbook of Clinical Periodontology and
Implant Dentistry, 4th ed.
 Hom-laywang & Henry Greenwell, Surgical periodontal therapy, Periodontology 2000,
Vol. 25, 2001, 89–99.
 Edward S. Cohen,Atlas of Cosmetic and Reconstructive Periodontal Surgery – 3rd – ed.
 Naoshi Sato, Periodontal Surgery: A Clinical Atlas
 Modified Whale’s tail technique for the management of bone-defect in anterior teeth Anu
Kuriakose, Majo Ambooken, Jayan Jacob, Priya John Journal of Indian Society of
Periodontology - Vol 19, Issue 1, Jan-Feb 2015
100
 Whale’s tail technique: A case series Deshpande Milind Mrunal, Jarde Samiksha Jaypal, Rohan
Srinivasan Wilson, Anirban Chatterjee Journal of Indian Society of Periodontology.
 Single versus double flap approach in periodontal regenerative treatment Schincaglia GP, Hebert
E, Farina R, Simonelli A, Trombelli L. Single versus double flap approach in periodontal
regenerative treatment. J Clin Periodontol 2015; 42: 557–566.
 Single-Flap Approach for Surgical Debridement of Deep Intraosseous Defects: A Randomized
Controlled Trial Leonardo Trombelli, Anna Simonelli, Gian Pietro Schincaglia, Alessandro Cucchi,
and Roberto Farina J Periodontol 2012;83:27-35.
 Single Flap Approach With and Without Guided Tissue Regeneration and a Hydroxyapatite
Biomaterial in the Management of Intraosseous Periodontal Defects Leonardo Trombelli, Anna
Simonelli, Mattia Pramstraller, Ulf M.E. Wikesjo¨, and Roberto Farina J Periodontol
2010;81:1256-1263.
101
102

Periodontal flap surgery

  • 1.
  • 2.
    CONTENT  Introduction  Definitions Historical Background  Objectives of flap surgery  Indications and contra-indications  Advantages and Disadvantages  Principle of flap design  Classification of flap  Properties of ideal flap  Types of Incisions  Different flap techniques  Healing after flap surgery  Factors affecting the outcome of flap surgery  Conclusion  References  video clip
  • 3.
    Introduction  The ultimateaim of periodontal therapy is to establish a healthy dentition with sound attachment apparatus resulting in proper form, function and esthetics.  To achieve this goal, many non surgical and surgical techniques have been proposed to treat a variety of periodontal conditions, most commonly – the periodontal pocket  Periodontal therapy comprises of initial non- surgical debridement followed by a re-evaluation, at which stage the need for further treatment, usually surgical in nature is established. 3
  • 4.
    Definitions  Periodontal flapis defined as a section of gingiva and/or mucosa surgically separated from the underlying tissues to provide visibility of and access to the bone and root surface. - (Carranza 10th edition).  Flap is defined as the separation of a section of tissue from the surrounding tissue except at its base. - (Glossary of periodontal terms).  A flap is defined as a mass of tissue, usually including skin, only partially removed from one part of the body so that it retains its own blood supply during transfer to another site. - (Dorland’s medical dictionary). 4
  • 5.
    Historical background Pierre Fauchard- 1742 John W. Riggs - 1875 5
  • 6.
    Carl Partch -19th century - 1907 Partch Incision Robert Neumann - 1912 1st introduced mucoperiosteal flap - ‘Neumann flap’ Leonard Widman - 1918 Modified the Neumann flap – ‘Widmann flap’ Cieszynski - 1918 Reverse bevel incision Kirkland - 1931 Modified flap procedure Carranza - 1939 Surgical treatment of periodontitis Nabers - 1954 Introduced ‘repositioning of attached gingiva’ Ariaudo and Tyrrell - 1957 Modified Nabers procedure Friedman - 1962 Apically positioned flap Ochsenbein and Bohannan - 1964 Palatal flap Morris -1965 Unrepositioned mucoperiosteal flap Ramfjord and Nissle -1974 Modified Widman flap Takei et al - 1985 Papilla preservation flap Trombelli et al - 2007 single flap approach (SFA) Bianchi and Bassetti - 2009 Whales technique 6
  • 7.
    Objectives of flapsurgery 1. Access to roots and alveolar bone • enhance visibility • increase scaling and root planing effectiveness • less tissue trauma 2. Modification of osseous defect • establish physiologic architecture of hard tissues through regeneration or resection • augment alveolar ridge defects 3. Repair or regeneration of the periodontium 4. Pocket reduction • enhance maintenance by patient and therapist • improve long-term stability 5. Provide acceptable soft tissue contours • enhance plaque control and maintenance • improve esthetics To enable visual instrumentation of root surfaces To re-establish the healthy, clinical status of periodontium with long term maintenance To restore the periodontal apparatus when attachment loss has occurred MAIN OBJECTIVE of periodontal surgery is to contribute to the long- term preservation of the periodontium by facilitating plaque removal and plaque control - Jan Lindhe 7
  • 8.
    Indications  Irregular bonycontours  Deep craters  Pockets on teeth in which a complete removal of root irritants is not clinically possible  Grade II or III furcation involvement  Root resection / hemisection  Intrabony pockets on distal areas of last molars  Persistent inflammation in areas with moderate to deep pockets. Unaccesible areas like root concavities, furcation areas etc, Deep periodontal pockets:- Waerhaug stated that pocket depth greater than 5mm demonstrated only an 11% efficacy in removal of plaque and calculus. Osseous defects:- the morphology of osseous defects can limit the effectiveness of nonsurgical therapy.eg: narrow intrabony defects. 8
  • 9.
    Contraindications A. Patient nonco-operation:  Since, optimal post-operative infection control is decisive for the success of periodontal treatment ( Axelsson & Lindhe,1981), a patient who fails to co-operate during the cause related phase of therapy should not be exposed to surgical treatment. B. Poor plaque control C. High caries rate D. Systemic conditions: Cardiovascular disease:  Arterial hypertension: patient’s consent should be taken and local anesthesia with low adrenaline or without adrenaline (as it has ionotropic effect on heart muscles) must be used.  Angina pectoris: premedication with sedatives and L.A, low in adrenaline is recommended. 9
  • 10.
     Myocardial Infarction:MI patients should not be subjected within 6 months following hospitalization and thereafter only in co-operation with the physician of the patient.  Anticoagulant treatment: The range within which scaling & surgical procedures can be safely performed is one and half to two times the average normal prothrombin time (12-14 sec). (Lindhe 5th edition)  Aspirin and other NSAID drugs should not be used for post-operative pain control.  Rheumatic Endocarditis, Congenital heart lesions and heart/vascular implants involve risk of transient bacteremia that follows manipulation of infected periodontal pockets.  ADA- recommeded antibiotic prophylaxis and antiseptic mouthrinsing 0.2% chlorhexidine prior to surgery .  AHA (1997), 2 grams of amoxicillin administerated orally 1 hour before the treatment, if allergic to penicillin, clindamycin (600 mg) orally 1 hour before treatment is recommended. 10
  • 11.
    Organ Transplantation:  Prophylacticantibiotics are recommended in transplant patients taking immunosuppressive drugs. Blood Disorders:  patients suffering from acute leukemias, agranulocytosis, and lymphogranulomatosis must not be subjected to periodontal surgery. Diabetes:  well controlled diabetics(Hb A1c6-8%) may be subjected to periodontal surgery provided precautions are taken taken. (Seymour and Heasman,1992). Neurologic disorders:  multiple sclerosis and Parkinson’s disease in severe cases, make periodontal surgery impossible. Epilepsy :  drugs used to treat epilepsy may cause gingival enlargements. These patients may withspecial restrictions be subjected to periodontal surgery. 11
  • 12.
    Advantages and Disadvantages Advantages •Direct vision • Pocket epithelium is entirely removed by the internal bevel incision • Flaps can be repositioned • Interdental bone or infrabony defects can be covered • No open wound • Little periodontal tissue is lost Disadvantages • Apical resposition • postoperative sensitivity and esthetics 12
  • 13.
    Principles of flapdesign According to Hupp (1933) the following principles should be followed: Prevention of flap necrosis: 1. The apex of the flap should never be wider than the base. 2. Flap should either run parallel to each other or preferably converge from the base of the flap to its apex. 3. Flap length to base ratio should be no greater than 2:1 The major blood supply to a flap was found to exist at its base and travels in an apical to coronal direction. So,it was also determined that the greater the ratio of flap length to flap base, the greater the vascular compromise at the flap margins. 13
  • 14.
    4. Whenever possible,an axial blood supply should be included in the base of the flap. 5. The base of the flap should not be excessively twisted or stretched (as either of these will compromise the supplying vessels). Prevention of flap tearing  The access of the flap should be enough to avoid tearing.  If an envelope flap does not provide sufficient access, another incision should be made.  Vertical (oblique) releasing incisions should be placed one full tooth anterior to the area of any anticipated bone removal.  The incision should be started at the line angle of the tooth & carried obliquely apically into the unattached gingiva. 14
  • 15.
    Properties of idealflap Ideal Flap/ Section of a soft tissue:  Is outlined by a surgical incision  Carries its own blood supply  Allows surgical access to underlying tissues  Can be placed in the original position  Can be maintained with sutures in a particular desired position  And is expected to heal  Sharp incisions heal rapidly  Flap extension- 2 teeth anterior and 1 tooth posterior to area of surgery  Incisions- over intact bone/ 6-8mm away from diseased bone - ( Peterson) 15
  • 16.
    Types of incision Principlesgoverning incision placement According to LASKIN (1980), they are-:  The incision should not be made over the operative site but in the adjacent, undisturbed areas so that the flap will be supported by normal tissue & the potential for rapid revascularization is preserved.  The incision should be placed so that major nerves are not transected unless necessary.  An adequate blood supply should be maintained by incising parallel to the major vessels, minimizing the number of side cuts, & having the base of the flap as wider than the apex.  Incisions should not be made in areas of thinned mucosa like that found over an exostosis because the blood supply is reduced, suturing is difficult & rate of dehiscence is very high. 16
  • 17.
     When developingflaps around teeth, the incisions should be made in the gingival crevice.  It is also important to maintain the integrity of the interdental papillae.  If access is inadequate, the surgeon may extend the length of the incision or make a releasing incision. The releasing incision is usually made at about at an angle of 450 from the direction of the parent incision.  If the flap is to include both mucosa & the periosteum, the incision should be made directly to the bone with one cut & it should be elevated in one piece without tearing the periosteum.  After the necessary surgery, the clotted blood should be removed from beneath the flap to lessen the possibility of infection & permit tissue fluid to penetrate more readily. 17
  • 18.
    SEVEN main incisiontypes are commonly used in periodontal surgery:  The external bevel or gingivectomy incision  Types of Horizontal incisions a) The internal bevel incision b) The crevicular incision / Sulcular incision c) The interdental incision  Vertical / Oblique releasing incisions  Cutback incisions  Thinning incisions  Distal wedge incisions  Periosteal releasing incisions 18
  • 19.
    The external bevelor gingivectomy incision  It is contained in the gingiva and coronally directed with the surgical objectives of pocket elimination, access to roots, and improved gingival contours.  Indications: to treat gingival enlargement and to perform esthetic crown lengthening when access to the underlying bone is not required.  It is sometimes used in conjunction with flap surgery when there is need to thin the tissues externally before flap reflection.  An example would be a case of severe gingival enlargement with lobulated gingiva and highly irregular gingival margins.  The dotted line represents the external bevel incision, and the shaded area corresponds to the tissue to be excised. 19
  • 20.
    Types of horizontalincisions  A) The internal bevel incision, which starts at a distance from the gingival margin and is aimed at the bone crest.  B) The crevicular incision, which starts at the bottom of the pocket and is directed to the bone margin.  C) The interdental incision is performed after the flap is elevated. 20
  • 21.
    Internal bevel incision This incision has been termed as the first incision because it is the initial incision in the reflection of the flap & the reverse bevel incision, because its bevel is in reverse direction from the gingivectomy incision.  The # 11 or #15 surgical scalpel is used most commonly. Objectives of internal bevel incision:  It removes the pocket lining and the area of the tissue invaded by microorganisms .  Therefore the chief advantage of this incision is that it eliminates the part of the gingival margin which has been penetrated by pathogens.  It conserves the relatively less involved outer surface of the gingiva.  It produces a sharp, thin flap margin for adaptation to the bone tooth junction. 21
  • 22.
    Indications:  Primary incisionof the flap surgery if there is a sufficient band of attached gingiva.  Desire to correct bone morphology (osteoplasty, osseous resection)  Thick gingiva (such as palatal gingiva)  Deep periodontal pockets and bone defect  Desire to lengthen clinical crown Incision design: The placement of the primary incision is determined by the following factors: l. Band of attached gingiva. 2. Method of periodontal surgery. 3. periodontal pocket depth. 22
  • 23.
    4. Whether osteoplastyand ostectomy are necessary 5. Esthetics 6. Whether restorative treatment is necessary after periodontal surgery 7. Clinical crown length needed for abutment  A scalloped incision design is incorporated in the flap when this incision is used.  The shape of this scallop is dictated by the anatomy of the tooth and underlying root form. 23
  • 24.
    Variations in thetype of internal bevel incision for the different types of flaps.  Modified Widman flap does not intend to remove the pocket wall, but eliminates the pocket lining. Therefore the internal bevel incision starts close, no more than 1 to 2 mm apically to the gingival margin and follows the normal scalloping of the gingival margin.  For apically displaced flap, the pocket wall is to be preserved to be positioned apically while its lining is removed. So, the internal bevel incision is to be made as close to the tooth as possible 0.5 to 1mm.  For an undisplaced flap, the internal bevel incision is initiated at or near a point just coronal to the projection of the bottom of the pocket on the outer surface of the gingiva.  Locations of the internal bevel incisions for the different types of flaps. 24
  • 25.
    Diagram showing thelocation of two different areas  where the internal bevel incision is made in an undisplaced flap.  The incision is made at the level of the pocket . Studies in favour of the benefits of removal of pocket epithelium by internal bevel incision: Morris 1949 stated that the removal of pocket epithelium is necessary for new connective tissue attachment. Stone 1966 postulated that any residual epithelium on the wound edge could serve as a “seed area” and result in rapid proliferation of the junctional epithelium along the root surface. 25
  • 26.
    Yukna 1976 successfully removedall epithelium with internal bevel incison as described by ENAP Caffesse et al 1968 observed that all pocket epithelium was removed with the reverse bevel incision as described in the Modified Widman Flap procedure. Carranza has stated that placement of the scalloped internal bevel incison 1mm subcrestally will remove most of the granulation tissue contained in the lateral wall of pocket. 26
  • 27.
    Sulcular or Crevicularincision  It is selected if preservation of all the existing keratinized tissue is desirable.  The scalpel blade is inserted into the gingival crevice, aligned parallel to the long axis of the tooth, and angled toward the alveolar crest. Interproximally, the incision is extended into the embrasure space to include as much papilla as possible. 27
  • 28.
    Indications  Narrow bandof attached gingiva  Thin gingiva and alveolar process  Shallow periodontal pocket  Desire to lessen post operative gingival recession for esthetic reasons in the maxillary anterior region  As a secondary incision of usual flap surgery  Bone graft or GTR: desire to preserve as much periodontal tissue (especially interdental papilla) as possible to completely cover grafted bone and membrane by flaps.  Its purpose is to facilitate the removal of the inflammatory granulation tissue surrounding the cervical area and the secondary flap of soft tissue walls of the periodontal pocket (after reflecting the primary flap).  A no. 12 blade, is recommended. 28
  • 29.
    Interdental incision  Afterthe first two incisions have been placed, periosteal elevator is inserted into the initial internal bevel incision, and the flap is separated from the bone. With this access the interdental incision is placed to separate the collar of gingiva(around facial,lingual & interdental areas that is left around the tooth.  Orban Knife is used 29
  • 30.
    Vertical releasing incisions They are normally perpendicular to the gingival margin and placed at the line angles of the teeth. Advantages :  increase access to alveolar bone,  decrease tension on retracted flaps,  allow apical and coronal positioning of flaps,  Vertical incisions in the lingual and palatal areas are avoided.  Facial vertical incision should always be placed at the line angles of the teeth and never over the height of contour of the root. This accomplishes two things: 1.It protects the interdental papilla adjacent to the surgical site. 2. It allows the vertical incision to be sutured without having to stretch the flap over the cervical convexity of the tooth. 30
  • 31.
     As arule, when trying to decide on what side of the interproximal space to place the releasing incision, it is best to include the papilla with the flap to enhance the blood supply to the flap and to allow for ease of suturing.  Suture vertical incisions before horizontal portion of flap. Correct incision Incorrect incision 31
  • 32.
    Cutback Incisions  Verticalincisions may be used to move the flap laterally (as in pedicle flap.)  In this situation vertical incision is made at an acute angle to the horizontal incision, in the direction toward which flap is moved, placing the base of the pedicle at the recipient site. This is termed as cutback incision.  care must be taken not to extend cutback incisions more than 2 to 3 mm to minimize disruption of the remaining blood supply to the flap. INDICATIONS  To prevent tension in tissues during healing  To prevent the displacement of the laterally displaced flap 32
  • 33.
    Thinning incisions  Itreduces the bulk of connective tissue from the underside of the flap and are used to reduce the thickness of flaps before reflection.  Such incisions are used as part of distal wedge procedures and to thin bulky papillae.  Thinning incisions are performed either in conjunction with flap reflection (i.e., reflecting the flap as it is thinned) or after completing flap reflection. 33
  • 34.
    Distal wedge incisions Triangular: These are placed creating the apex of the triangle close to the hamular notch and the base of the triangle next to the distal surface of the terminal tooth.  The thinning or undermining incisions are accomplished before full reflection of tissue and are extended 2 to 3 mm apical to the crestal aspect of the tuberosity.  The incision should follow the areas of greatest attached gingiva and underlying bone. Incision designs for surgical procedures distal to the mandibular second molar. 34
  • 35.
     The lineardistal wedge incorporates two parallel incisions over the crest of the tuberosity that extend from the proximal surface of the terminal molar to the hamular notch area.  The distance between the two linear incisions is determined by the thickness of the tissues, with wider separation of the incisions in thicker tissue. 35
  • 36.
    Periosteal releasing incisions These are used when coronal or lateral advancement of a flap onto the root or crown of the tooth is indicated.  This incision, which severs the underlying periosteum at the base of full-thickness flaps, allows tension- free coronal positioning of the flap to cover exposed root surfaces and to provide primary closure over barrier membranes used in guided tissue and guided bone regeneration procedures. Method:  The periosteum on the underside of the flap is scored with a scalpel blade to increase flap mobility, allowing passive coronal advancement of the flap. 36
  • 37.
    Incisions Description Indication ExternalBevel Coronally Directed Gingivectomy, crown lengthening, Gingivoplasty Internal Bevel Apically directed, placed at the crest of the gingival margin or stepped back from the margin 0.5 to 2.0 mm Excisional new attachment procedure, modified Widman flap, flap and curettage, crown lengthening Sulcular / Crevicular Apically directed, placed in the gingival crevice and directed toward the alveolar crest When preservation of gingiva. is critical, as in esthetic areas or areas of minimal keratinized tissue, guided tissue regeneration (GTR) procedures 37
  • 38.
    Incisions Description Indication ReleasingPerpendicular to the gingival margin at line angles of teeth To increase access, to allow apical or coronal positioning of flap Thinning Internal or undermining incision extending from gingival margin toward the base of the flap to decrease the bulk of connective tissue on the underside of the flap Palatal flaps, distal wedge procedures, internal bevel gingivectomy, bulky papillae Periosteal Incision at the base of the flap severing the underlying periosteum To release flap tension allowing coronal advancement of the flap 38
  • 39.
    Classification of flaps Based on bone exposure after flap reflection (by Carranza, 1979).  Based on flap placement after surgery (by Carranza in 1990).  Based on management of papilla.  Based on Presence/Absence of releasing incisions.  Based on the main purpose of the procedure (by Ramfjord in 1979) .  Based on the anatomic type of mucosa. 39
  • 40.
    A] Based onbone exposure after flap reflection (by Carranza, 1979). - mucoperiosteal or full thickness flap - partial thickness or mucosal flap - combination flap B] Based on placement of flap after surgery (by Carranza in 1990). - displaced flap / positioned flap 1.Apical displaced flap 2.Coronal displaced flap 3.Lateral displaced flap - non displaced flap / re-positioned flap [Eg : conventional flap] C] Based on management of papilla - conventional flap - papilla preservation flap 40
  • 41.
    D] Based onPresence/Absence of releasing incisions : - Flap with releasing incision [relaxed flaps] - Flap without releasing incision [ envelope flaps] E] According to the main purpose of the procedure (by Ramfjord in 1979) - Pocket elimination flap - Reattachment flap surgery - Mucogingival repair F] Flaps are also classified by the anatomic type of mucosa. - Gingival Flap: Includes only the gingival tissue. - Mucogingival flap: extends beyond the mucogingival junction to include the alveolar mucosa. 41
  • 42.
  • 43.
    Full thickness flap In 1979, Carranza classified flap as  Full thickness- In this, all the soft tissue along with the periosteum is reflected to expose the underlying bone. Advantages:  They offer improved visibility of the alveolar bone.  They are generally associated with less bleeding and post operative pain.  It is the most common type of flap used when access to the bone is indicated for resective or regenerative procedures.  The full-thickness flap can be used to reduce or eliminate periodontal pockets, but there must be a sufficient band of attached gingiva and sufficient alveolar crest width to achieve this 43
  • 44.
    Contraindications:  Thin periodontaltissue with probable osseous dehiscence and osseous fenestration.  Area where alveolar bone is thin. 44
  • 45.
    Partial / Splitthickness In this only the epithelium and a layer of the underlying connective tissue are included. The bone remains covered by a layer of connective tissue, including the periosteum. Indications:  when the flap is to be positioned apically or when the operator does not want to expose the bone.  Indicated on buccal surfaces. Palatal and lingual surfaces , with their wide zones of attached gingiva and thick alveolar bone do not require split thickness flaps. Contraindications:  The partial-thickness flap should not be attempted in areas where the gingiva is thin (1mm).  It is also contraindicated in posterior areas of the mandible where the vestibule is shallow and access is difficult. 45
  • 46.
    Advantages:  The partial-thicknessflap is favorable in augmentation of attached gingiva with thin bone (done by positioning the flap apically or laterally) Disadvantages:  The biggest problem of a partial-thickness flap is with the thickness of the remaining periosteum-connective tissue bed on the bone.  If it is less than 0.5-1 mm, the remaining periosteum-connective tissue may become necrotic. 46
  • 47.
    Comparision b/w fulland partial thickness flaps 47
  • 48.
    Combination flap  Auseful variation of these two flaps is the combination or “ Split-full-split” flap.  First, a crevicular incision is made lateral to the periodontal pocket and down to the crest of the alveolar bone (Split).  Second, periodontal elevator is used to bluntly dissect the flap down to the approximate level of the mucogingival junction (full).  Third, scalpel is again used to split the alveolar mucosa apically beyond the mucogingival junction (split).  This type of flap design exposes alveolar bone, which can then be recontoured or augmented,while it maintain periosteum in the apical part of the surgical site for the protection and to aid in suturing and flap reattachment. 48
  • 49.
    The original WidmanFlap  One of the first detailed descriptions of the use of a flap procedure for pocket elimination was published in 1916 by Leonard Widman.  Widman described a mucoperiosteal flap design aimed at removing the pocket epithelium and the inflamed connective tissue, thereby facilitating optimal cleaning of the root surfaces Advantages  Less discomfort for the patient, since healing was by primary intention and  It was possible to re-establish a proper contour of the alveolar bone in sites with angular bony defects. Disadvantages  Exposure of root surfaces  Vertical incisions 49
  • 50.
    Procedure :  Tworeleasing incisions demarcate the area scheduled for surgical therapy. A scalloped reverse bevel incision is made in the gingival margin to connect the two releasing incisions.  The collar of inflamed gingival tissue is removed following the elevation of a mucoperiosteal flap.  By bone recontouring, a "physiologic" contour of the alveolar bone may be reestablished.  The coronal ends of the buccal and lingual flaps are placed at the alveolar bone crest and secured in this position by interdentally placed sutures. 50
  • 51.
    The Neumann flap Neumann in 1912 suggested the use of a flap procedure which was: Technique  The first incisions are vertical incisions made in long axis of the tooth, generally in sextants without bisecting the papilla.  An intracrevicular incision was made through the base of the gingival pockets, and the entire gingiva was elevated in a mucoperiosteal flap to gain a clear view of the field being operated.  Following flap elevation, the inside of the flap was curetted to remove the pocket epithelium and granulation tissue.  The root surfaces were subsequently carefully “cleaned. Any irregularities of the alveolar bone were corrected to give the bone crest as far as possible the “normal shape nature intended for it”.  The flaps were trimmed to allow both an optimal adaptation to the teeth and a proper coverage of the bone at the alveolar crest margin. 51
  • 52.
    Intracrevicular incision Gingiva isretracted to expose the diseased root surface Exposed root surfaces are subjected to mechanical debridement Suturing Vertical incisions 52
  • 53.
    The Modified flapor Kirkland flap  In a publication from 1931 Kirkland described surgical procedure to be used in the treatment of “periodontal pus pockets”.  The procedure was called as the modified flap operation, and is basically an access flap for proper root debridement. Advantages  Less extensive procedure, thus preserving the non inflamed tissues from unnecessary trauma.  Less postoperative pain and swelling.  No apical displacement of the gingival margins.  More esthetic results postoperatively.  More chances of bone regeneration. 53
  • 54.
    Technique :  Intracrevicularincision.  The gingiva is retracted to expose the “diseased” root surface.  The exposed root surfaces are subjected to mechanical debridement.  The flaps are replaced to their original position and sutured. 54
  • 55.
    Modified widman flap Ramfjord and Nissle – 1974 and it is a Open flap curettage technique.  Original widman flap = Apical displacement + Osseous recontouring  Modified widman flap = does not meet above objectives. Indications  whenever reattachment with minimal gingival recession is desired.  Especially effective with pocket depths of 5–7mm.  Moderate furcation involvement, and  Patient with a high caries rate and root sensitivity problem. Contraindications  Very thin and narrow attached gingiva  Osseous surgical procedures (expansive osteoplasty or ostectomy) with very deep osseous defects and irregular bone loss. 55
  • 56.
    Advantages: Root cleaning withdirect vision  “Tissue friendly”  Reparative, with healing by primary intention  Minimal crestal bone resorption  Lack of post-operative discomfort Disadvantages:  Unfavourable proximal architecture immediately following surgery.  However, it has been shown that if meticulous oral hygiene is maintained, the proximal tissues will regenerate.  Pockets are not completely eliminated.  Cannot be used for regenerative purposes. 56
  • 57.
    Principles 1 Initial incision—continuous,“scalloping,” paramarginal (intragingival) incision; no vertical releasing incisions 2 Second incision—sulcular incision 3 Third incision—horizontal incision, also interdentally; removal of the delineated tissue and all granulation tissue 4 Root cleaning and planing with direct vision 5 Flap adaptation, complete coverage interdentally. 57
  • 58.
    58 Step 1: Theinitial incision is an internal bevel incision to the alveolar crest starting 0.5 to 1 mm away from the gingival margin Step 2: The gingiva is reflected with a periosteal elevator . Step 3: A crevicular incision is made from the bottom of the pocket to the bone,
  • 59.
    59 Step 4: thirdincision is made in the interdental spaces coronal to the bone with a curette or an interproximal knife, and the gingival collar is removed . Step 5:Tissue tags and granulation tissue are removed with a curette. Step 6: adapt the facial and lingual interproximal tissue adjacent to each other in such a way that no interproximal bone remains exposed at the time of suturing . Interrupted direct sutures are placed .
  • 60.
    Differences between ModifiedWidman and Original Widman flaps MODIFIED WIDMAN FLAP ORIGINAL WIDMAN FLAP Main aim is access for root debridement with pocket reduction Main aim is pocket elimination. Flaps are elevated to a much lesser extent Flaps are elevated to a larger extent. Flaps are placed at alveolar crest margins Flaps are placed apically Less postoperative pain and swelling More post operative pain and swellling 60
  • 61.
     Pocket liningwas removed with the help of a diode laser  The laser setting used for this procedure was 4 W in continuous mode.  Crevicular incision was given with a bard parker # 15 blade directed toward the alveolar crest.  Full thickness mucoperiosteal flap was raised buccally and lingually.  The granulation tissue was removed from the defects by manual debridement .  Reduction in probing depth was from 11 mm to 6 mm.  Radiographs revealed increased bone fill. Laser - assisted modified Widman flap (LAMWF) – Case report Removing the pocket lining with diode laser [ sanjeev et al – 2010] 61
  • 62.
    Apically repositioned flap In 1950s and 1960s new surgical techniques for the removal of soft tissue were described.  The importance of maintaining an adequate zone of attached gingival after surgery was emphasized.  Apically positioned flap surgery, in which flaps are reflected with an internal bevel incision and sutured apical to pre-operative position.  Norberg (1926) first advocated this technique for mucogingival problems in periodontal disease.  Nabers (1954) described this technique for the preservation of the gingiva following surgery. 62
  • 63.
    Following a verticalreleasing incision, the reverse bevel incision is made through the gingiva and the periosteum to separate the inflamed tissue adjacent to the tooth from the flap. A mucoperiosteal flap is raised and the tissue collar remaining around the teeth, including the pocket epithelium and the inflamed connective tissue, is removed with a currette. Osseous surgery is performed with the use of a rotating bur 63
  • 64.
    The flaps arerepositioned in an apical direction to the level of the recontoured alveolar bone crest and retained in this position by sutures. A periodontal dressing is placed over the surgical area to ensure that the flaps remain in the correct position during healing. 64
  • 65.
    Indications  To eliminateperiodontal pockets.  To increase the width of attached gingiva.  To lengthen the clinical crown for prosthetic treatment.  To improve gingiva and alveolar bone morphology. Contraindications  Periodontal pockets in severe periodontal disease.  Periodontal pockets in areas where esthetics is critical.  Deep intrabony defects.  Patient at high risk for caries.  Severe hypersensitivity.  Tooth with marked mobility and severe attachment loss.  Tooth with extremely unfavourable clinical crown/root ratio. 65
  • 66.
    Advantages :  Minimumpocket depth postoperatively.  If optimal soft tissue coverage of the alveolar bone is obtained, the postsurgical bone loss is minimum.  Preserves attached gingiva and increase its width.  Establishes gingival morphology facilitating good hygiene.  Ensures healthy root surface necessary for biologic width on alveolar margin and lengthened clinical crown. Disadvantages :  May cause esthetic problems due to root exposure.  May cause attachment loss due to surgery.  May cause hypersensitivity.  May increase risk of root caries.  Unsuitable for treatment of deep periodontal pockets.  Possibility of exposure of furcations & roots, which complicates postoperative supragingival plaque control. 66
  • 67.
    Papilla preservation flap: Proposed by Takei et al (1985) later, Cortellini et al (1995,1999) described modifications of flap design to be used in combination with regenerative procedures.  For esthetic reasons, the papilla preservation technique is often utilized in the surgical treatment of anterior tooth regions. Two types :  Modified papilla preservation (Cortellini et al, 1995)  Simplified papilla preservation( Cortellini et al,1999) 67
  • 68.
    A] An intrasulcularincision is made along the lingual/palatal aspect of the teeth with a semi-lunar incision made across each interdental area. B] A curette or interproximal knife is used to carefully free the interdental papilla from the underlying hard tissue. C-D]The detached interdental tissue is pushed through the embrasure with a blunt instrument to be included in the facial flap. E]The flap is replaced and sutures are placed on the palatal aspect of the interdental areas. 68
  • 69.
     Access tothe interdental defect consists of a horizontal incision buccal keratinized gingiva at the base of the papilla  Connected with mesio-distal buccal intrasulcular incisions for elevation of full-thickness buccal flap  Residual interdental tissues are dissected from neighboring teeth and the underlying bone and elevated towards the palatal aspect  Elevation of full thickness palatal flap, including the interdental papilla, interdental defect exposure  Debridement of the defect  Buccal flap is mobilized with vertical and periosteal incisions, when needed 69
  • 70.
  • 71.
    To overcome technicalproblems encountered with the MPPT  Difficult application in narrow interdental spaces and in posterior areas  Suturing technique not appropriate for use with non supportive barriers  Modified papilla preservation is used in wide interdental spaces (>2mm ) especially in anterior dentition. Simplified papilla preservation( Cortellini et al,1999) Sulcular incisions and buccal flap elevation Oblique incision in papilla begins at the gingival margin line angle, blade parallel to the long axis of the tooth and reaches the midpoint of the distal surfaceof adjacent tooth below the contact point Palatal flap reflection 71
  • 72.
    Distal molar surgery Procedures for this purpose were described by Robinson and Braden and modified by several other investigators. Objectives of wedge procedure  Eliminate periodontal pockets.  Maintain and preserve attached gingiva.  Make area accessible to the instruments.  Lengthen clinical crown.  Create easily clearable gingival – alveolar form. 72
  • 73.
    Maxillary Molars Usually simplerthan mandibular molars because of the following reasons:  The tuberosity presents a greater amount of fibrous attached gingiva than does the area of retromolar pad.  The anatomy of tuberosity extending distally is more adaptable to pocket elimination than is that of mandibular molar. 73
  • 74.
    A, Removal ofa pocket distal to the maxillary second molar may be difficult if there is minimal attached gingiva. If the bone ascends acutely apically, the removal of this bone may make the procedure easier. B, Long distal tuberosity with abundant attached gingiva is an ideal anatomic situation for distal pocket eradication. 74
  • 75.
    Mandibular molars: Differences fromthe treatment in the maxillary tuberosity region due to to the following reasons:  The retromolar pad area does not usually present as much fibrous attached gingiva.  The keratinized gingiva, if present may not be found directly to the molar.  The greatest amount may be distolingual or distofacial and may be over the bony crest.  The ascending ramus of the mandible may also create a short horizontal area distal to the terminal molar. The shorter this area, the more difficult it is to treat any deep distal lesion around the terminal molar. 75
  • 76.
    A, Pocket eradicationdistal to a mandibular second molar with minimal attached gingiva and a close ascending ramus is anatomically difficult. B, For surgical procedures distal to a mandibular second molar, abundant attached gingiva and distal space are ideal. 76
  • 77.
  • 78.
    Modified distal wedgeprocedure Buccal and palatal flaps are elevated (a) and the rectangular wedge is released from the tooth and underlying bone by sharp dissection and removed (b). Following bone recontouring and root debridement, the flaps are trimmed and shortened to avoid overlapping wound margins and sutured .A close soft tissue adaptation should be accomplished to the distal surface of the molar. The remaining fibrous tissue pad distal to the buccolingual incision line is "leveled" by the use of a gingivectomy incision . 78
  • 79.
    The palatal flap The surgical approach to the palatal area differs from that for other areas because of the character of the palatal tissue and the anatomy of the area.  The palatal tissue is all attached, keratinized tissue and has none of the elastic properties associated with other gingival tissues. Therefore the palatal tissue cannot be apically displaced, and a partial-thickness (split-thickness) flap cannot be accomplished. Two methods for eliminating a palatal pocket.  One incision is an internal bevel - incision made at the area of the apical extent of the pocket.  The other procedure uses a - gingivectomy incision, which is followed by an internal bevel incision 79
  • 80.
     Primary incisionis made intracrevicularly through the bottom of the periodontal pocket.  The palatal flap is replaced and Osseous recontouring is performed in the surgical area.  A secondary, scalloped, reverse bevel incision is made to adjust the length of the flap to the height of the remaining alveolar bone.  The shortened and thinned flap is replaced over the alveolar bone and in close contact with the root surfaces. 80
  • 81.
    The single flapapproach (SFA) The Single Flap Approach (SFA) is a simplified, Minimally invasive surgical approach to access intra-osseous periodontal defect. - Trombelli et al. 2007 Advantages  First, it may facilitate flap repositioning and suturing; the flap can easily be stabilized to the undetached papilla, thus optimizing wound closure for primary intention healing.  Second, by limiting the surgical trauma on the vascular supply of the interproximal supracrestal soft tissues due to a limited flap elevation, a faster wound-healing process, particularly at the level of the incision line, is promoted.  Wound stabilization and preservation of an intact interdental papilla may also minimize the post-surgery shrinkage of gingival tissues and, therefore, limit the esthetic impairment of the patient. 81
  • 82.
  • 83.
    83 When combined withrhPDGF-BB and b-TCP, the SFA may result in similar clinical outcomes, better quality of early wound healing, and lower pain and consumption of analgesics during the first postoperative days compared to the DFA. Schincaglia GP, 2015 Buccal single flap approach and rh -pdgf-bb plus b-tcp
  • 84.
    CTG + SFA 84 Theadjunctive use of a CTG in the regenerative treatment of intraosseous defects associated with buccal bone dehiscence accessed by buccal SFA may support the stability of the gingival profile. Leonardo Trombelli 2016
  • 85.
    SFA + HA 85 Arecent study showed that SFA combined with a hydroxyapatite (HA) biomaterial and GTR allowed substantial clinical attachment gain, limited gingival recession (REC), and generally uneventful healing in deep intraosseous periodontal defects Trombelli L, 2009
  • 86.
    Whales technique  In2009, Bianchi and Bassetti described a new surgical technique – the “Whale’s tail” technique, which was designed for the treatment of wide intrabony defects in the esthetic zone.  This technique involved the elevation of a large flap from the buccal to the palatal side to facilitate access and visualization of the intrabony defect and was created, especially to perform regeneration while maintaining interdental tissue over grafting material. Advantages  Good access to the defect area and placement of margins away from the regenerative material, which will prevent the inflammatory response near the regenerative material, thereby increasing the chances of graft uptake  The handling of the interdental papilla is easier and more convenient than the conventional papilla preservation technique. 86
  • 87.
  • 88.
    Indications  therapies aimedat regeneration of periodontal defects such as bone grafts, membrane, or combination of these materials,  surgical treatment of anterior tooth region with diastema present. Contraindications  high frenal attachment,  recession  diastema <2 mm. 88
  • 89.
  • 90.
    Healing after flapsurgery Flap-tooth by blood clot 24 hours Space reduced. Epithelial cells migrate 1-3 days Epithelial attachment to root by hemidesmosomes 1 week Collagen fibres arranged parallely 2 weeks Fully epithelialized gingival crevice 1 month 90
  • 91.
    Healing after flapsurgery 1) Immediately after suturing ( up to 24 hours) A connection between the flap and the tooth or bone surface is established which contains fibrin reticulum with many PMN leukocytes, erythrocytes, debris of injured cells, & capillaries at the edge of the wound. 2) 1-3 days after flap surgery. The space between the flap & the tooth or bone is thinner & epithetlial cells migrate over the border of the flap, usually contacting the tooth at this time. 91
  • 92.
    3) One weekafter surgery. An epithelial attachment to the root has been established by means of hemidesmosomes & a basal lamina. Blood clot is replaced by granulation tissue derived from the gingival connective tissue, the bone marrow, & the PDL. 4) Two weeks after surgery. Collagen fibers begin to appear parallel to the tooth surface. Union of the flap to the tooth is still weak because of presence of immature collagen collagen fibers. 5) One month after surgery. A fully epithelialized gingival crevice with a well defined epithelial attachment is present. There is beginning of functional arrangement of supra crestal fibers. 92
  • 93.
    Pre therapeutic causes Therapeuticcauses Post therapeutic causes Pre therapeutic causes 1) Incorrect patient selection 2) Improper diagnosis Systemic condition Type of periodontitis Involvement of hopeless tooth Oral hygiene assessment 3) Inappropriate dental restorations Factors affecting the outcome of flap surgery 3 Types 93
  • 94.
    4)Morphology of toothsurfaces - Failure to eliminate aberrations like enamel pearls and grooves which act as a “guide plane” for a bacterial penetration of deeper periodontal tissues 5)Habits - mouth breathing - bruxism - thumb sucking - Smoking 6)Occlusal trauma 94
  • 95.
    Therapeutic causes Improper selectionof surgical technique :  width of attached gingiva  height of remaining bone  pocket depth  mobility  co-operation of the patient  patients systemic back ground  Decreased width of attached gingiva - internal bevel incision will further decrease the width of attached gingiva leading to mucogingival problems  Surgical technique which does not allow proper adaptation of interdental tissue will lead to food and plaque accumulation in the interproximal area and therapy leads to recurrence of periodontal disease  Improper asepsis of the surgical field and patient, improper sterilization of the instruments 95
  • 96.
    Improper flap design A properly designed flap will anatomically fall into its correct position on its bony base following surgery  If a mucoperiosteal flap is not designed correctly it may  Rise too high coronally- redundant tissue with subsequent repocketing  Fall far short of the osseous margin - resorption or sequestra formation  Inadequately cover the bone graft - minimizing the opportunity for ideal healing  Inadequate thinning of the full thickness flap (palatal flap), results in an excessively thick bulky gingival margin –gingivoplasty  It may also encourage the overzealous tightening of the sutures, thereby endangering the blood supply and enhancing the possibility of sloughing of flap and post operative pain  Incomplete debridement  Improper suturing 96
  • 97.
     Improper incision:the rationale of any periodontal flap surgery is to gain access to underlying root and bone surfaces.  If incisions are not made upto the bone/root surface and a mucosal flap is elevated which hinders in gaining proper access to the underlying root surfaces, It can cause increased amount of bone resorption.  Therefore while giving incision the blade should hit the bone in order to elevate a full thickness flap. Reflection of the flap: elevation of the periodontal flap should be such that only around 1 mm of marginal bone is exposed. Over reflection - bone resorption, Under reflection - limited access to the underlying root/bone surface. 97
  • 98.
    Debridement of theroot surfaces and the bone: complete debridement with removal of plaque and calculus from the root surface Suturing of the separated flaps should be done to closely adapt the flap to the tooth margins. Failure to properly place the sutures gaping of the wound and hence recurrence of the disease Post therapeutic causes Unsupervised healing :  Post-operative care Inadequate restorations post surgically :  failure to replace missing teeth  correct overhanging restorations  correct carious lesions 98
  • 99.
    Conclusion  Periodontal therapyis directed at disease prevention,  slowing or arresting disease progression,  regenerating lost periodontium, and  maintaining achieved therapeutic objectives. Conclusion 99
  • 100.
    References  Fermin A.Carranza, Jr., Michael G. Newman,Textbook of Clinical periodontology.,10th edition.  Jan Lindhe, Thorkild Karring . Niklaus P. Lang, Textbook of Clinical Periodontology and Implant Dentistry, 4th ed.  Hom-laywang & Henry Greenwell, Surgical periodontal therapy, Periodontology 2000, Vol. 25, 2001, 89–99.  Edward S. Cohen,Atlas of Cosmetic and Reconstructive Periodontal Surgery – 3rd – ed.  Naoshi Sato, Periodontal Surgery: A Clinical Atlas  Modified Whale’s tail technique for the management of bone-defect in anterior teeth Anu Kuriakose, Majo Ambooken, Jayan Jacob, Priya John Journal of Indian Society of Periodontology - Vol 19, Issue 1, Jan-Feb 2015 100
  • 101.
     Whale’s tailtechnique: A case series Deshpande Milind Mrunal, Jarde Samiksha Jaypal, Rohan Srinivasan Wilson, Anirban Chatterjee Journal of Indian Society of Periodontology.  Single versus double flap approach in periodontal regenerative treatment Schincaglia GP, Hebert E, Farina R, Simonelli A, Trombelli L. Single versus double flap approach in periodontal regenerative treatment. J Clin Periodontol 2015; 42: 557–566.  Single-Flap Approach for Surgical Debridement of Deep Intraosseous Defects: A Randomized Controlled Trial Leonardo Trombelli, Anna Simonelli, Gian Pietro Schincaglia, Alessandro Cucchi, and Roberto Farina J Periodontol 2012;83:27-35.  Single Flap Approach With and Without Guided Tissue Regeneration and a Hydroxyapatite Biomaterial in the Management of Intraosseous Periodontal Defects Leonardo Trombelli, Anna Simonelli, Mattia Pramstraller, Ulf M.E. Wikesjo¨, and Roberto Farina J Periodontol 2010;81:1256-1263. 101
  • 102.

Editor's Notes

  • #4  Periodontal pocket is defined as ‘ a pathologically deepened gingival sulcus’ The etiologic factor for pocket formation is plaque. The surgical phase of periodontal therapy has the following objectives Improvement of prognosis of teeth Improvement of esthetics
  • #6 Pierre Fauchard, who has been called “ the father of modern dentistry” 1723, said that a procedure in 1742 and designed specific instrumentation to remove the excessive gingival tissue. Riggs(1810-1885) known as “the father of periodontology” credited the cause of periodontal disease to the calculary deposits over the teeth and advocated their removal followed by curettage of the alveolar process. Carl Partsh developed a technique in nineteenth century, for the surgical treatment of periapical lesions and cysts.( performed under cocaine local anesthesia) The procedure involved a curved incision with convexity toward the crown of the teeth, called the Partsch incision. After separating the tissues and elevating the flap, a cyst could be removed and the flap was returned to its original position. After 1907, Partsch recommended that the flap be sutured. Most of the progress in periodontal surgery in this period came from germany and other central European countries, and is associated with three names: Robert Neumann, Leonard Widmann and A. Cieszinski. Periodontal surgical techniques used in the nineteenth century were essentially gingivectomies with straight line incisions followed by an aggressive curettage to remove the crestal bone & thorough scaling of the root surface.
  • #51 Two releasing incisions demarcate the area scheduled for surgical therapy. A scalloped reverse bevel incision is made in the gingival margin to connect the two releasing incisions. The collar of inflamed gingival tissue is removed following the elevation of a mucoperiosteal flap. By bone recontouring, a "physiologic" contour of the alveolar bone may be reestablished. The coronal ends of the buccal and lingual flaps are placed at the alveolar bone crest and secured in this position by interdentally placed sutures
  • #73 The gingivectomy incision is the most direct approach in treating distal pockets that have adequate attached gingiva and no osseous lesions. However, the flap approach is less traumatic postsurgically, because it produces a primary closure incision. In addition, it results in attached gingiva and provides access for examination and, if needed, correction of the osseous defect.
  • #82 The basic underlying principle of the SFA consists of the elevation of a limited mucoperiosteal flap to allow access to the defect from either the buccal or oral aspect only, depending on the main buccal/oral extension of the lesion, allowing the interproximal supracrestal gingival tissues to remain intact.
  • #87 To preserve the interdental soft tissue for maximum soft tissue coverage following surgical intervention involving the treatment of proximal osseous defects, Takei et al., proposed a surgical approach called papilla preservation technique.[3] Later Cortellini et al. gave modifications of the flap design – modified papilla preservation flap and simplified papilla preservation flap to be used in combination with regenerative procedures
  • #91 Headings from perio complications