Bone Formation
Ossification
Ossification
Intra-membranous Intra- cartilaginous
1ry
2ry
1.Intra-membranous ossification`
• occurs in flat bones of skull, face and clavicle.
•with no cartilage template
• It takes place within the center of mesenchymal tissue, where a
primary center of ossification appears in which the mesenchymal
cells differentiate into osteogenic cells and the blood vessels are
increased.
•The osteogenic cells divide to form osteoblasts which form bone
matrix.
• The osteoblasts that are surrounded by bone matrix are now
called osteocytes.
• The new bone extends from the center of ossification outwards
in radial manner forming a net of interlacing trabeculae. Thus the
mesenchymal membrane is changed into spongy bone.
• The vascular tissue that fills the spaces between the
trabeculae of spongy bone forms the bone marrow and the
osteogenic cells form the endosteum. The osteogenic cells
in the tissue covering the bone plate form the periosteum.
• The osteoblasts present in the periosteum deposit bone in
regular layers forming parallel lamellae of compact bone.
Intramembranous ossification
)osteoid is the organic part(
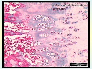
2.Endochondral ossification
• Occurs in long bones in which a temporary
cartilaginous model of the future bone is first
formed.
• The cartilage is then removed and its place is
taken by new bone.
• This process involves the development of primary
and secondary centers of ossification.
Primary center of ossification
It occurs in the diaphysis of the cartilaginous model during the late
embryonic and early fetal life:
1. Chondrocytes within the core of the cartilage model undergo
hypertrophy and calcium salts are deposited around their
lacunae.
2. Chondrocytes degenerate due to prevention of diffusion from
the matrix, leaving empty spaces.
3. The perichondrium becomes highly vascular causing the
transformation of the chondrogenic cells to osteogenic cells
which differentiate into osteoblasts. The perichondrium is now
called the periosteum.
4. The osteoblasts start to lay down a collar of compact bone
around the shaft called periosteal collar.
5. The osteoclasts form perforations in the bone collar that permits
the periosteal bud to enter the newly formed spaces in the
cartilaginous model. The periosteal bud consists of blood
vessels and osteoblasts.
6. The thin walls of the empty lacunae are broken down
forming the primary marrow spaces which will be filled by
primary red marrow derived from the vascular bud.
7. The subperiosteal bone collar becomes thicker and
elongates toward the epiphysis.
8. Osteoblasts that have accompanied the vascular bud
start to lay down bone on the walls of the spaces.
9. Gradually, as a result of bone resorption by the
osteoclasts and bone deposition by osteoblasts, spongy
bone is formed in the center of the shaft, surrounded by
compact bone.
10. Later, a large marrow cavity occupied by red marrow
appears in the center of the bone.
Secondary center of ossification
The secondary center of ossification develops at the
epiphysis after birth in a sequence similar to the
described for the primary center.
The chondrocytes in the center of epiphysis hypertrophy.
The matrix becomes calcified thus the chondrocytes
degenerate leaving empty spaces.
Blood vessels and osteogenic cells invade these spaces and
the osteoblasts lay down bone matrix on the
disintegrating cartilage. Thus, the cartilage in the middle
of the epiphysis is replaced by cancellous bone.
When the epiphyses are filled with bone tissue, cartilage
remains in two areas; the articular surface and the
epiphyseal plates.
The epiphyseal plate:
During growth of long bone the following zones are found in the
epiphyseal plate from epiphysis to diaphysis.
• Resting zone: It is present next to the epiphyseal cartilage. It is
a layer of hyaline cartilage. The covering perichondrium of this
cartilage is very rich in osteogenic cells and blood vessels.
• Proliferative zone: chondrocytes divide rapidly and form
columns parallel to the long axis of the bone.
• Hypertrophic zone: chondrocytes accumulate glycogen and
increase in size, while the matrix between them is reduced. They
produce alkaline phosphatase, which is concerned with the
calcification of intercellular matrix.
• Calcification zone: the thin septa of cartilage matrix become
calcified by the deposition of hydroxyapatite. Calcification
prevents the nutrients from diffusion through the matrix leading
to degeneration of chondrocytes.
• Invasion & Ossification zone: blood capillaries & osteogenic
cells invade the cavities left by chondrocytes. Osteogenic cells
differentiate into osteoblasts, which deposit bone matrix over the
calcified cartilage.
(maturation)
Long bone growth
Zone of
ossification
Zone of reserve
Organization
of cartilage
within the
epiphyseal
plate of a
growing long
bone
Bone growth and remodeling
• Bone growth is generally associated with partial
resorption of bone tissue and simultaneous lying down of
new bone. The growth of long bones is a complex
process. The diaphyseal shaft increases in length as a
result of osteogenic activity of the epiphyseal plate, and
increases in width as a result of formation of new bone by
the periosteum on the external surface. At the same time,
bone is removed from the internal surface causing the
bone marrow cavity to increase in diameter.
• When the cartilage of the epiphyseal plate stops growing,
it is replaced by bone tissue around age 20.
Repair of bone fractures (breaks(
•Simple and compound fractures
•Closed and open reduction
Normal bone
Osteoporotic bone
Factors regulating bone growth
 Vitamin D: increases calcium from gut
 Parathyroid hormone (PTH(: increases
blood calcium (some of this comes out of
bone(
 Calcitonin: decreases blood calcium
(opposes PTH(
 Growth hormone & thyroid hormone:
modulate bone growth
 Sex hormones: growth spurt at adolescense
and closure of epiphyses
Osteogenesis

Osteogenesis

  • 1.
  • 2.
  • 4.
    1.Intra-membranous ossification` • occursin flat bones of skull, face and clavicle. •with no cartilage template • It takes place within the center of mesenchymal tissue, where a primary center of ossification appears in which the mesenchymal cells differentiate into osteogenic cells and the blood vessels are increased. •The osteogenic cells divide to form osteoblasts which form bone matrix. • The osteoblasts that are surrounded by bone matrix are now called osteocytes. • The new bone extends from the center of ossification outwards in radial manner forming a net of interlacing trabeculae. Thus the mesenchymal membrane is changed into spongy bone.
  • 5.
    • The vasculartissue that fills the spaces between the trabeculae of spongy bone forms the bone marrow and the osteogenic cells form the endosteum. The osteogenic cells in the tissue covering the bone plate form the periosteum. • The osteoblasts present in the periosteum deposit bone in regular layers forming parallel lamellae of compact bone.
  • 7.
  • 8.
    2.Endochondral ossification • Occursin long bones in which a temporary cartilaginous model of the future bone is first formed. • The cartilage is then removed and its place is taken by new bone. • This process involves the development of primary and secondary centers of ossification.
  • 9.
    Primary center ofossification It occurs in the diaphysis of the cartilaginous model during the late embryonic and early fetal life: 1. Chondrocytes within the core of the cartilage model undergo hypertrophy and calcium salts are deposited around their lacunae. 2. Chondrocytes degenerate due to prevention of diffusion from the matrix, leaving empty spaces. 3. The perichondrium becomes highly vascular causing the transformation of the chondrogenic cells to osteogenic cells which differentiate into osteoblasts. The perichondrium is now called the periosteum. 4. The osteoblasts start to lay down a collar of compact bone around the shaft called periosteal collar. 5. The osteoclasts form perforations in the bone collar that permits the periosteal bud to enter the newly formed spaces in the cartilaginous model. The periosteal bud consists of blood vessels and osteoblasts.
  • 10.
    6. The thinwalls of the empty lacunae are broken down forming the primary marrow spaces which will be filled by primary red marrow derived from the vascular bud. 7. The subperiosteal bone collar becomes thicker and elongates toward the epiphysis. 8. Osteoblasts that have accompanied the vascular bud start to lay down bone on the walls of the spaces. 9. Gradually, as a result of bone resorption by the osteoclasts and bone deposition by osteoblasts, spongy bone is formed in the center of the shaft, surrounded by compact bone. 10. Later, a large marrow cavity occupied by red marrow appears in the center of the bone.
  • 12.
    Secondary center ofossification The secondary center of ossification develops at the epiphysis after birth in a sequence similar to the described for the primary center. The chondrocytes in the center of epiphysis hypertrophy. The matrix becomes calcified thus the chondrocytes degenerate leaving empty spaces. Blood vessels and osteogenic cells invade these spaces and the osteoblasts lay down bone matrix on the disintegrating cartilage. Thus, the cartilage in the middle of the epiphysis is replaced by cancellous bone. When the epiphyses are filled with bone tissue, cartilage remains in two areas; the articular surface and the epiphyseal plates.
  • 14.
    The epiphyseal plate: Duringgrowth of long bone the following zones are found in the epiphyseal plate from epiphysis to diaphysis. • Resting zone: It is present next to the epiphyseal cartilage. It is a layer of hyaline cartilage. The covering perichondrium of this cartilage is very rich in osteogenic cells and blood vessels. • Proliferative zone: chondrocytes divide rapidly and form columns parallel to the long axis of the bone. • Hypertrophic zone: chondrocytes accumulate glycogen and increase in size, while the matrix between them is reduced. They produce alkaline phosphatase, which is concerned with the calcification of intercellular matrix. • Calcification zone: the thin septa of cartilage matrix become calcified by the deposition of hydroxyapatite. Calcification prevents the nutrients from diffusion through the matrix leading to degeneration of chondrocytes. • Invasion & Ossification zone: blood capillaries & osteogenic cells invade the cavities left by chondrocytes. Osteogenic cells differentiate into osteoblasts, which deposit bone matrix over the calcified cartilage.
  • 16.
    (maturation) Long bone growth Zoneof ossification Zone of reserve
  • 17.
  • 21.
    Bone growth andremodeling • Bone growth is generally associated with partial resorption of bone tissue and simultaneous lying down of new bone. The growth of long bones is a complex process. The diaphyseal shaft increases in length as a result of osteogenic activity of the epiphyseal plate, and increases in width as a result of formation of new bone by the periosteum on the external surface. At the same time, bone is removed from the internal surface causing the bone marrow cavity to increase in diameter. • When the cartilage of the epiphyseal plate stops growing, it is replaced by bone tissue around age 20.
  • 22.
    Repair of bonefractures (breaks( •Simple and compound fractures •Closed and open reduction
  • 23.
  • 24.
    Factors regulating bonegrowth  Vitamin D: increases calcium from gut  Parathyroid hormone (PTH(: increases blood calcium (some of this comes out of bone(  Calcitonin: decreases blood calcium (opposes PTH(  Growth hormone & thyroid hormone: modulate bone growth  Sex hormones: growth spurt at adolescense and closure of epiphyses