ORAL REGION
Oral cavity (mouth)
• Is the region inferior to the nasal cavities s
Boundaries
The oral cavity can be thought of as a rectangular box
 Anteriorly, it communicates with the exterior through the oral fissure
 Posteriorly, the oral cavity ends at the oropharyngeal isthmus, the opening
the oropharynx
 roof
 floor
 lateral walls
 The roof of the oral cavity consists of the hard and soft palates
 The floor of the oral cavity is formed mainly by 3 structures:
I. A muscular diaphragm, which fills the U-shaped gap between the left and
right sides of the body of the mandible and is composed of the paired
mylohyoid muscles
II. Two cord-like geniohyoid muscles above the diaphragm, which run from
the mandible in front to the hyoid bone behind
III. The tongue, which is superior to the geniohyoid muscles
 The lateral walls are the cheeks and merge anteriorly with the lips
surrounding the oral fissure (the anterior opening of the oral cavity)
Oral Region
 The oral region includes the:
• oral cavity
• teeth
• gingivae
• tongue
• palate
• region of the palatine tonsils
Oral cavity
• The oral cavity is the start of the alimentary canal
• It is where food is ingested and prepared for digestion in the
stomach and small intestine
parts:
• has 2 parts
 oral vestibule
 oral cavity proper
•

in the oral cavity, food and drinks are tasted and savored and
where mastication and lingual manipulation of food occur

oral vestibule:
• is the slit-like space between the (teeth and buccal gingiva) and
the (lips and cheeks)
• it communicates with the exterior through the mouth
• The size of the oral fissure is controlled by the circumoral muscles,
such as the orbicularis oris, buccinator, risorius, depressors and
elevators of the lips
oral cavity proper:
• is the space between the upper and the lower dental arches or
arcades (maxillary and mandibular alveolar arches and the teeth
they bear)
• It is limited laterally and anteriorly by the maxillary and mandibular
alveolar arches housing the teeth
• The roof of the oral cavity is formed by the palate
• Posteriorly, the oral cavity communicates with the oropharynx (oral part of
the pharynx)
• When the mouth is closed and at rest, the oral cavity is fully occupied by the
tongue
Lips, Cheeks, and Gingivae
Lips
• The lips are mobile, musculofibrous folds surrounding the mouth
• that are connected to the gums by superior and inferior frenula
• they extend from the nares and nasolabial sulci superiorly and laterally
and to the mentolabial sulcus inferiorly
• In between the lip (red colored) and the adjacent normal skin is a sharp
demarcation called the vermilion border
• The vermilion border of the upper lip is known as the cupid's bow
{Cupid's bow is a facial feature where the double curve of a human upper lip
is said to resemble the bow of Cupid, the Roman god of erotic love}
Cupid’s bow
•

The typically reddish area within the borders is called the vermilion
zone
• The median part of the upper lip shows a shallow external groove, the
philtrum
• The lips are covered externally by skin and internally by mucous
membrane
• They contain the orbicularis oris and superior and inferior labial
muscles, vessels, and nerves
functions
 Serves as the valves of the oral fissure, containing the sphincter
(orbicularis oris) that controls entry and exit from the mouth and
upper alimentary and respiratory tracts
 used for grasping food, sucking liquids, keeping food out of the oral
vestibule
 forming speech,
 osculation (kissing)
The transitional zone of the lip, ranging from brown to red, continues
into the oral cavity where it is continuous with the mucous membrane
labial frenula
• are free-edged folds of mucous membrane in the midline, extending
from the labial gingiva to the mucosa of the upper and lower lips
• the one extending to the lower lip is smaller
Arterial supply
• The upper lip: superior labial branches of the facial and
infraorbital arteries
• The lower lip: inferior labial branches of the facial and mental
arteries
innervation
The upper lip : supplied by the superior labial branches of the
infraorbital nerves (of CN V2)
and the lower lip is supplied by the inferior labial branches of the
mental nerves (of CN V3)
Lymphatic drainage
• Lymph from the upper lip and lateral parts of the lower lip passes
primarily to the submandibular lymph nodes
• lymph from the medial part of the lower lip passes initially to the
submental lymph nodes
Clinical anatomy
Cleft Lip
• Cleft lip (harelip) is a congenital anomaly (usually of the upper lip) that
occurs in 1 of 1000 births
• 60-80% of affected infants are males
• The clefts vary from a small notch in the transitional zone and vermilion
border to a notch that extends through the lip into the nose
• In severe cases, the cleft extends deeper and is continuous with a cleft in the
palate
• Cleft lip may be unilateral or bilateral
Large Labial Frenula
• Excessively large superior labial frenula in children may cause a space
between the central incisor teeth
• Resection of the frenulum and the underlying connective tissue
(frenulectomy) between the incisors allows approximation of the teeth, which
may require an orthodontic appliance
• Large lower labial frenula in adults may pull on the labial gingiva and
contribute to gingival recession, which results in abnormal exposure of the
roots of the teeth
Cheek
• They are continuous with the lips
• The cheeks form the movable walls of the oral cavity
• The prominence of the cheek occurs at the junction of the zygomatic
and buccal regions
• The zygomatic bone underlying the prominence and the zygomatic
arch that continues posteriorly are commonly referred to as the cheek
bone
• Numerous small buccal glands lie between the mucous membrane and
the buccinators
• Superficial to the buccinators are encapsulated collections of fat
• these buccal fat-pads are proportionately much larger in infants,
presumably to reinforce the cheeks and keep them from collapsing
during sucking
Arterial supply
• supplied by buccal branches of the maxillary artery
innervation
• innervated by buccal branches of the mandibular nerve
Gingivae
• The gingivae (gums) are composed of fibrous tissue covered with
mucous membrane
parts
I. The gingiva proper (attached gingiva) is firmly attached to the
alveolar processes of the jaws and the necks of the teeth
• The gingiva proper is normally pink, stippled, and keratinizing
11. The alveolar mucosa (unattached gingiva) is normally shiny red
and non-keratinizing
Clinical anatomy
Gingivitis
• Improper oral hygiene results in food and bacterial deposits in tooth
and gingival crevices that may cause inflammation of the gingivae
(gingivitis)
• The gingivae swell and redden as a result
• If untreated, the disease spreads to other supporting structures,
including alveolar bone, producing periodontitis (inflammation and
destruction of the bone and the periodontium)
Teeth
• The teeth are set in the tooth sockets and are used in mastication and
in assisting in articulation
• A tooth is identified and described on the basis of whether it is
 deciduous (primary) tooth
 permanent (secondary) tooth
• Children have 20 deciduous teeth
• Adults normally have 32 permanent teeth
• 20 deciduous teeth (milk teeth or baby teeth) erupt from the ages of 6
to 30 months, beginning with the incisors
• Between 6 and 25 years of age, these are replaced by the 32
permanent teeth
 The types of teeth are identified by their characteristics:
 Incisors: thin cutting edges
 canines: single prominent cones
 Premolars: (bicuspids), two cusps
 molars: three or more cusps
Parts and Structure of the Teeth
 A tooth has a:
 crown
 Neck
 root
• The crown projects from the gingiva
• The neck is between the crown and the root
• The root is fixed in the tooth socket by the periodontium
• Most of the tooth is composed of dentin
• The dentine is covered by enamel over the crown and cement over the
root
• The central cavity of a tooth is the pulp cavity contains connective
tissue, blood vessels, and nerves
• The root canal (pulp canal) transmits the nerves and vessels to and
from the pulp cavity through the apical foramen
• The tooth sockets are in the alveolar processes of the maxillae and
mandible
• they are the skeletal features that display the greatest change
during a lifetime
• Adjacent sockets are separated by interalveolar septa
• within the socket, the roots of teeth with more than one root are
separated by interradicular septa
Arterial supply
• superior and inferior alveolar arteries, branches of the maxillary
artery, supply the maxillary and mandibular teeth, respectively
Venous drainage
• Alveolar veins with the same names and distribution accompany
the arteries
Lyphatic drainage
• Lymphatic vessels from the teeth and gingivae pass mainly to the
submandibular lymph nodes
Innervation of the Teeth
 branches of the maxillary nerve supply the maxillary(upper) teeth and
they are:
• Anterior superior alveolar nerve
• middle superior alveolar nerve
• Posterior superior alveolar nerve
 The inferior superior alveolar nerve which is a branch of the
mandibular nerve supply the manbibular(lower) teeth
Clinical anatomy
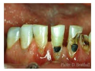
Dental Caries, Pulpitis, and Tooth Abscesses
• Decay of the hard tissues of a tooth results in the formation of dental
caries (cavities)
• Neglected dental caries eventually invade and inflame tissues in the
pulp cavity
• Invasion of the pulp by a deep carious lesion results in infection
and irritation of the tissues (pulpitis)
• Because the pulp cavity is a rigid space, the swollen tissues cause
considerable pain (toothache)
• If untreated, the small vessels in the root canal may die from the
pressure of the swollen tissue, and the infected material may pass
through the apical canal and foramen into the periodontal tissues
• An infective process develops and spreads through the root canal
to the alveolar bone, producing an abscess
• Pus from an abscess of a maxillary molar tooth may extend into
the nasal cavity or the maxillary sinus
• The roots of the maxillary molar teeth are closely related to the
floor of this sinus
• As a consequence, infection of the pulp cavity may also cause
sinusitis or sinusitis may stimulate nerves entering the teeth and
simulate a toothache
Tongue
• The tongue is a mobile muscular organ that can assume a variety
of shapes and positions
• It is partly in the oral cavity and partly in the oropharynx
• The tongue is involved with mastication, taste, deglutition
(swallowing), articulation, and oral cleansing;
• however, its main functions are forming words during speaking
and squeezing food into the oropharynx when swallowing
Parts and Surfaces of the Tongue
 The tongue has
 a root
 a body
 an apex
 a curved dorsum
 and an inferior surface
parts
The root of the tongue:
• is the part of the tongue that rests on the floor of the mouth
• It is usually defined as the posterior third of the tongue
The body of the tongue:
• is the anterior two thirds of the tongue
The apex (tip) of the tongue:
• is the anterior end of the body, which rests against the incisor teeth
 note: The body and apex of the tongue are extremely mobile.
The dorsum (dorsal surface) of the tongue :
• is the posterosuperior surface, which is located partly in the oral
cavity and partly in the oropharynx
• The dorsum is characterized by a V-shaped groove called the
terminal sulcus or groove (sulcus terminalis)
• posterior to this groove is foramen cecum.
• This small pit, frequently absent, is the non-functional remnant of
the proximal part of the embryonic thyroglossal duct from which
the thyroid gland developed
• The terminal sulcus divides the dorsum of the tongue into the:
 anterior (oral) part in the oral cavity proper
 posterior (pharyngeal) part in the oropharynx
• The margin of the tongue is related on each side to the lingual
gingivae and lateral teeth
• The mucous membrane on the anterior part of the tongue is rough
because of the presence of numerous small lingual papillae(small
nipple like process):
 Vallate papillae: Large and flat topped, they lie directly anterior to the
terminal sulcus and are arranged in a V-shaped row
 Foliate papillae: Small lateral folds of the lingual mucosa
• They are poorly developed in humans
 Filiform papillae: Long and numerous, they contain afferent nerve
endings that are sensitive to touch
 Fungiform papillae: Mushroom shaped pink or red spots, they are
scattered among the filiform papillae but are most numerous at the
apex and margins of the tongue
• The vallate, foliate, and most of the fungiform papillae contain taste
receptors in the taste buds
• The mucous membrane over the anterior part of the dorsum of the
tongue is thin and closely attached to the underlying muscle
• A shallow midline groove of the tongue divides the tongue into
right and left halves called the median sulcus
• The mucous membrane of the posterior part of the tongue is thick
and freely movable
• It has no lingual papillae, but the underlying lymphoid nodules
give this part of the tongue an irregular, cobblestone appearance
• The lymphoid nodules are known collectively as the lingual tonsil
• The pharyngeal part of the tongue constitutes the anterior wall of
the oropharynx
• The inferior surface of the tongue is covered with a thin,
transparent mucous membrane through which one can see the
underlying veins
• This surface is connected to the floor of the mouth by a midline
fold called the frenulum of the tongue
• The frenulum allows the anterior part of the tongue to move freely
• On each side of the frenulum, a deep lingual vein is visible through the
thin mucous membrane
Note:
 There are four basic taste sensations: sweet, salty, sour, and bitter
• Sweetness is detected at the apex
• saltiness at the anterolateral margins
• sourness at the posterolateral margins
• bitterness at the posterior part of the
tongue
Muscles of the Tongue
• The tongue is essentially a mass of muscles that is mostly covered by
mucous membrane
• extrinsic muscles alter the position of the tongue while intrinsic
muscles alter its shape
• The four intrinsic and four extrinsic muscles in each half of the
tongue are separated by a median fibrous lingual septum, which
merges posteriorly with the lingual aponeurosis
Extrinsic Muscles of the Tongue
These include:
 genioglossus
 Hyoglossus
 styloglossus
 palatoglossus
• They originate outside the tongue and attach to it
• They mainly move the tongue but they can alter its shape as well
Intrinsic Muscles of the Tongue
They include:
 superior longitudinal muscle
 inferior longitudinal muscle
 transverse muscle
 vertical muscles
• They have their attachments entirely within the tongue and are not
attached to bone
Vasculature of the Tongue
Arterial supply
• The arteries of the tongue are derived from the lingual artery,
which arises from the external carotid artery
On entering the tongue, the lingual artery passes deep to the
hyoglossus muscle and give rise to the:
 The dorsal lingual arteries supply the posterior part (root);
 the deep lingual arteries supply the anterior part.
• The deep lingual arteries communicate with each other near the
apex of the tongue.
• The dorsal lingual arteries are prevented from communicating by
the lingual septum
Venous drainage
• The veins of the tongue are the dorsal lingual veins, which
accompany the lingual artery;
• the deep lingual veins, which begin at the apex of the tongue, run
posteriorly beside the lingual frenulum to join the sublingual vein
• The sublingual veins in elderly people are often varicose (enlarged
and tortuous)
• All these lingual veins terminate, directly or indirectly, in the IJV
The lymphatic drainage of the tongue
 Lymph from the tongue takes four routes
• Lymph from the posterior third drains into the superior deep cervical
lymph nodes
• Lymph from the medial part of the anterior two thirds drains directly
to the inferior deep cervical lymph nodes
• Lymph from the lateral parts of the anterior two thirds drains to the
submandibular lymph nodes
• The apex and frenulum drain to the submental lymph nodes
• The posterior third and the medial part of the anterior two thirds
drain bilaterally
Innervation of the Tongue
Motor innervation
• All muscles of the tongue, except the palatoglossus (actually a
palatine muscle supplied by the vagus nerve(X) of the pharyngeal
plexus), receive motor innervation from the hypoglossal nerve (CN
XII)
Sensory innervation
The anterior two thirds of the tongue are supplied by:
• the lingual nerve (CN V3) for general sensation
• the chorda tympani, a branch of the facial nerve (CN VII) transferring
nerve fibers to the lingual nerve, for taste
The posterior third of the tongue and the vallate papillae are supplied
by:
• the lingual branch of the glossopharyngeal nerve (CN IX) for both
general sensation and taste
• Another contribution is made by the internal laryngeal branch of the
vagus (CN X) for general sensation and taste
 Hence CN VII, CN IX, and CN X provide nerve fibers for taste; those
from CN VII are ultimately conveyed by CN V3
Clinical anatomy
Lingual Carcinoma
• A lingual carcinoma in the posterior part of the tongue metastasizes to
the superior deep cervical lymph nodes on both sides, whereas a
tumor in the anterior part usually does not metastasize to the inferior
deep cervical lymph nodes until late in the disease.
• Because these nodes are closely related to the IJV, metastases from the
tongue may be widely distributed through the submental and
submandibular regions and along the IJVs in the neck.
Frenectomy
• An overly large lingual frenulum (tongue-tie/ ankyloglossa) interferes
with tongue movements and may affect speech
• In unusual cases, a frenectomy (cutting the frenulum) in infants may
be necessary to free the tongue for normal movement and speech
Thyroglossal Duct Cyst
• A cystic remnant of the thyroglossal duct, associated with
development of the thyroid gland, may be found in the root of the
tongue and be connected to a sinus that opens at the foramen
cecum
• Surgical excision of the cyst may be necessary
• Most thyroglossal duct cysts are in the neck, close or just inferior
to the body of the hyoid bone

Oral region

  • 1.
  • 2.
    Oral cavity (mouth) •Is the region inferior to the nasal cavities s Boundaries The oral cavity can be thought of as a rectangular box  Anteriorly, it communicates with the exterior through the oral fissure  Posteriorly, the oral cavity ends at the oropharyngeal isthmus, the opening the oropharynx  roof  floor  lateral walls  The roof of the oral cavity consists of the hard and soft palates  The floor of the oral cavity is formed mainly by 3 structures: I. A muscular diaphragm, which fills the U-shaped gap between the left and right sides of the body of the mandible and is composed of the paired mylohyoid muscles II. Two cord-like geniohyoid muscles above the diaphragm, which run from the mandible in front to the hyoid bone behind III. The tongue, which is superior to the geniohyoid muscles
  • 7.
     The lateralwalls are the cheeks and merge anteriorly with the lips surrounding the oral fissure (the anterior opening of the oral cavity)
  • 9.
    Oral Region  Theoral region includes the: • oral cavity • teeth • gingivae • tongue • palate • region of the palatine tonsils Oral cavity • The oral cavity is the start of the alimentary canal • It is where food is ingested and prepared for digestion in the stomach and small intestine parts: • has 2 parts  oral vestibule  oral cavity proper
  • 10.
    • in the oralcavity, food and drinks are tasted and savored and where mastication and lingual manipulation of food occur oral vestibule: • is the slit-like space between the (teeth and buccal gingiva) and the (lips and cheeks) • it communicates with the exterior through the mouth • The size of the oral fissure is controlled by the circumoral muscles, such as the orbicularis oris, buccinator, risorius, depressors and elevators of the lips oral cavity proper: • is the space between the upper and the lower dental arches or arcades (maxillary and mandibular alveolar arches and the teeth they bear)
  • 12.
    • It islimited laterally and anteriorly by the maxillary and mandibular alveolar arches housing the teeth • The roof of the oral cavity is formed by the palate • Posteriorly, the oral cavity communicates with the oropharynx (oral part of the pharynx) • When the mouth is closed and at rest, the oral cavity is fully occupied by the tongue Lips, Cheeks, and Gingivae Lips • The lips are mobile, musculofibrous folds surrounding the mouth • that are connected to the gums by superior and inferior frenula • they extend from the nares and nasolabial sulci superiorly and laterally and to the mentolabial sulcus inferiorly • In between the lip (red colored) and the adjacent normal skin is a sharp demarcation called the vermilion border • The vermilion border of the upper lip is known as the cupid's bow {Cupid's bow is a facial feature where the double curve of a human upper lip is said to resemble the bow of Cupid, the Roman god of erotic love}
  • 15.
  • 16.
    • The typically reddisharea within the borders is called the vermilion zone • The median part of the upper lip shows a shallow external groove, the philtrum • The lips are covered externally by skin and internally by mucous membrane • They contain the orbicularis oris and superior and inferior labial muscles, vessels, and nerves functions  Serves as the valves of the oral fissure, containing the sphincter (orbicularis oris) that controls entry and exit from the mouth and upper alimentary and respiratory tracts  used for grasping food, sucking liquids, keeping food out of the oral vestibule  forming speech,  osculation (kissing) The transitional zone of the lip, ranging from brown to red, continues into the oral cavity where it is continuous with the mucous membrane
  • 18.
    labial frenula • arefree-edged folds of mucous membrane in the midline, extending from the labial gingiva to the mucosa of the upper and lower lips • the one extending to the lower lip is smaller Arterial supply • The upper lip: superior labial branches of the facial and infraorbital arteries • The lower lip: inferior labial branches of the facial and mental arteries innervation The upper lip : supplied by the superior labial branches of the infraorbital nerves (of CN V2) and the lower lip is supplied by the inferior labial branches of the mental nerves (of CN V3)
  • 19.
    Lymphatic drainage • Lymphfrom the upper lip and lateral parts of the lower lip passes primarily to the submandibular lymph nodes • lymph from the medial part of the lower lip passes initially to the submental lymph nodes
  • 20.
    Clinical anatomy Cleft Lip •Cleft lip (harelip) is a congenital anomaly (usually of the upper lip) that occurs in 1 of 1000 births • 60-80% of affected infants are males • The clefts vary from a small notch in the transitional zone and vermilion border to a notch that extends through the lip into the nose • In severe cases, the cleft extends deeper and is continuous with a cleft in the palate • Cleft lip may be unilateral or bilateral Large Labial Frenula • Excessively large superior labial frenula in children may cause a space between the central incisor teeth • Resection of the frenulum and the underlying connective tissue (frenulectomy) between the incisors allows approximation of the teeth, which may require an orthodontic appliance • Large lower labial frenula in adults may pull on the labial gingiva and contribute to gingival recession, which results in abnormal exposure of the roots of the teeth
  • 21.
    Cheek • They arecontinuous with the lips • The cheeks form the movable walls of the oral cavity • The prominence of the cheek occurs at the junction of the zygomatic and buccal regions • The zygomatic bone underlying the prominence and the zygomatic arch that continues posteriorly are commonly referred to as the cheek bone • Numerous small buccal glands lie between the mucous membrane and the buccinators • Superficial to the buccinators are encapsulated collections of fat • these buccal fat-pads are proportionately much larger in infants, presumably to reinforce the cheeks and keep them from collapsing during sucking Arterial supply • supplied by buccal branches of the maxillary artery innervation • innervated by buccal branches of the mandibular nerve
  • 22.
    Gingivae • The gingivae(gums) are composed of fibrous tissue covered with mucous membrane parts I. The gingiva proper (attached gingiva) is firmly attached to the alveolar processes of the jaws and the necks of the teeth • The gingiva proper is normally pink, stippled, and keratinizing 11. The alveolar mucosa (unattached gingiva) is normally shiny red and non-keratinizing Clinical anatomy Gingivitis • Improper oral hygiene results in food and bacterial deposits in tooth and gingival crevices that may cause inflammation of the gingivae (gingivitis) • The gingivae swell and redden as a result • If untreated, the disease spreads to other supporting structures, including alveolar bone, producing periodontitis (inflammation and destruction of the bone and the periodontium)
  • 24.
    Teeth • The teethare set in the tooth sockets and are used in mastication and in assisting in articulation • A tooth is identified and described on the basis of whether it is  deciduous (primary) tooth  permanent (secondary) tooth • Children have 20 deciduous teeth • Adults normally have 32 permanent teeth • 20 deciduous teeth (milk teeth or baby teeth) erupt from the ages of 6 to 30 months, beginning with the incisors • Between 6 and 25 years of age, these are replaced by the 32 permanent teeth  The types of teeth are identified by their characteristics:  Incisors: thin cutting edges  canines: single prominent cones  Premolars: (bicuspids), two cusps  molars: three or more cusps
  • 27.
    Parts and Structureof the Teeth  A tooth has a:  crown  Neck  root • The crown projects from the gingiva • The neck is between the crown and the root • The root is fixed in the tooth socket by the periodontium • Most of the tooth is composed of dentin • The dentine is covered by enamel over the crown and cement over the root • The central cavity of a tooth is the pulp cavity contains connective tissue, blood vessels, and nerves • The root canal (pulp canal) transmits the nerves and vessels to and from the pulp cavity through the apical foramen
  • 30.
    • The toothsockets are in the alveolar processes of the maxillae and mandible • they are the skeletal features that display the greatest change during a lifetime • Adjacent sockets are separated by interalveolar septa • within the socket, the roots of teeth with more than one root are separated by interradicular septa Arterial supply • superior and inferior alveolar arteries, branches of the maxillary artery, supply the maxillary and mandibular teeth, respectively Venous drainage • Alveolar veins with the same names and distribution accompany the arteries
  • 31.
    Lyphatic drainage • Lymphaticvessels from the teeth and gingivae pass mainly to the submandibular lymph nodes Innervation of the Teeth  branches of the maxillary nerve supply the maxillary(upper) teeth and they are: • Anterior superior alveolar nerve • middle superior alveolar nerve • Posterior superior alveolar nerve  The inferior superior alveolar nerve which is a branch of the mandibular nerve supply the manbibular(lower) teeth Clinical anatomy Dental Caries, Pulpitis, and Tooth Abscesses • Decay of the hard tissues of a tooth results in the formation of dental caries (cavities) • Neglected dental caries eventually invade and inflame tissues in the pulp cavity
  • 33.
    • Invasion ofthe pulp by a deep carious lesion results in infection and irritation of the tissues (pulpitis) • Because the pulp cavity is a rigid space, the swollen tissues cause considerable pain (toothache) • If untreated, the small vessels in the root canal may die from the pressure of the swollen tissue, and the infected material may pass through the apical canal and foramen into the periodontal tissues • An infective process develops and spreads through the root canal to the alveolar bone, producing an abscess • Pus from an abscess of a maxillary molar tooth may extend into the nasal cavity or the maxillary sinus • The roots of the maxillary molar teeth are closely related to the floor of this sinus • As a consequence, infection of the pulp cavity may also cause sinusitis or sinusitis may stimulate nerves entering the teeth and simulate a toothache
  • 34.
    Tongue • The tongueis a mobile muscular organ that can assume a variety of shapes and positions • It is partly in the oral cavity and partly in the oropharynx • The tongue is involved with mastication, taste, deglutition (swallowing), articulation, and oral cleansing; • however, its main functions are forming words during speaking and squeezing food into the oropharynx when swallowing Parts and Surfaces of the Tongue  The tongue has  a root  a body  an apex  a curved dorsum  and an inferior surface
  • 36.
    parts The root ofthe tongue: • is the part of the tongue that rests on the floor of the mouth • It is usually defined as the posterior third of the tongue The body of the tongue: • is the anterior two thirds of the tongue The apex (tip) of the tongue: • is the anterior end of the body, which rests against the incisor teeth  note: The body and apex of the tongue are extremely mobile. The dorsum (dorsal surface) of the tongue : • is the posterosuperior surface, which is located partly in the oral cavity and partly in the oropharynx
  • 39.
    • The dorsumis characterized by a V-shaped groove called the terminal sulcus or groove (sulcus terminalis) • posterior to this groove is foramen cecum. • This small pit, frequently absent, is the non-functional remnant of the proximal part of the embryonic thyroglossal duct from which the thyroid gland developed • The terminal sulcus divides the dorsum of the tongue into the:  anterior (oral) part in the oral cavity proper  posterior (pharyngeal) part in the oropharynx • The margin of the tongue is related on each side to the lingual gingivae and lateral teeth
  • 40.
    • The mucousmembrane on the anterior part of the tongue is rough because of the presence of numerous small lingual papillae(small nipple like process):  Vallate papillae: Large and flat topped, they lie directly anterior to the terminal sulcus and are arranged in a V-shaped row  Foliate papillae: Small lateral folds of the lingual mucosa • They are poorly developed in humans  Filiform papillae: Long and numerous, they contain afferent nerve endings that are sensitive to touch  Fungiform papillae: Mushroom shaped pink or red spots, they are scattered among the filiform papillae but are most numerous at the apex and margins of the tongue • The vallate, foliate, and most of the fungiform papillae contain taste receptors in the taste buds
  • 42.
    • The mucousmembrane over the anterior part of the dorsum of the tongue is thin and closely attached to the underlying muscle • A shallow midline groove of the tongue divides the tongue into right and left halves called the median sulcus • The mucous membrane of the posterior part of the tongue is thick and freely movable • It has no lingual papillae, but the underlying lymphoid nodules give this part of the tongue an irregular, cobblestone appearance • The lymphoid nodules are known collectively as the lingual tonsil • The pharyngeal part of the tongue constitutes the anterior wall of the oropharynx • The inferior surface of the tongue is covered with a thin, transparent mucous membrane through which one can see the underlying veins • This surface is connected to the floor of the mouth by a midline fold called the frenulum of the tongue
  • 43.
    • The frenulumallows the anterior part of the tongue to move freely • On each side of the frenulum, a deep lingual vein is visible through the thin mucous membrane Note:  There are four basic taste sensations: sweet, salty, sour, and bitter • Sweetness is detected at the apex • saltiness at the anterolateral margins • sourness at the posterolateral margins • bitterness at the posterior part of the tongue
  • 46.
    Muscles of theTongue • The tongue is essentially a mass of muscles that is mostly covered by mucous membrane • extrinsic muscles alter the position of the tongue while intrinsic muscles alter its shape • The four intrinsic and four extrinsic muscles in each half of the tongue are separated by a median fibrous lingual septum, which merges posteriorly with the lingual aponeurosis Extrinsic Muscles of the Tongue These include:  genioglossus  Hyoglossus  styloglossus  palatoglossus • They originate outside the tongue and attach to it • They mainly move the tongue but they can alter its shape as well
  • 49.
    Intrinsic Muscles ofthe Tongue They include:  superior longitudinal muscle  inferior longitudinal muscle  transverse muscle  vertical muscles • They have their attachments entirely within the tongue and are not attached to bone Vasculature of the Tongue Arterial supply • The arteries of the tongue are derived from the lingual artery, which arises from the external carotid artery On entering the tongue, the lingual artery passes deep to the hyoglossus muscle and give rise to the:  The dorsal lingual arteries supply the posterior part (root);
  • 50.
     the deeplingual arteries supply the anterior part. • The deep lingual arteries communicate with each other near the apex of the tongue. • The dorsal lingual arteries are prevented from communicating by the lingual septum Venous drainage • The veins of the tongue are the dorsal lingual veins, which accompany the lingual artery; • the deep lingual veins, which begin at the apex of the tongue, run posteriorly beside the lingual frenulum to join the sublingual vein • The sublingual veins in elderly people are often varicose (enlarged and tortuous) • All these lingual veins terminate, directly or indirectly, in the IJV
  • 51.
    The lymphatic drainageof the tongue  Lymph from the tongue takes four routes • Lymph from the posterior third drains into the superior deep cervical lymph nodes • Lymph from the medial part of the anterior two thirds drains directly to the inferior deep cervical lymph nodes • Lymph from the lateral parts of the anterior two thirds drains to the submandibular lymph nodes • The apex and frenulum drain to the submental lymph nodes • The posterior third and the medial part of the anterior two thirds drain bilaterally
  • 52.
    Innervation of theTongue Motor innervation • All muscles of the tongue, except the palatoglossus (actually a palatine muscle supplied by the vagus nerve(X) of the pharyngeal plexus), receive motor innervation from the hypoglossal nerve (CN XII) Sensory innervation The anterior two thirds of the tongue are supplied by: • the lingual nerve (CN V3) for general sensation • the chorda tympani, a branch of the facial nerve (CN VII) transferring nerve fibers to the lingual nerve, for taste The posterior third of the tongue and the vallate papillae are supplied by: • the lingual branch of the glossopharyngeal nerve (CN IX) for both general sensation and taste • Another contribution is made by the internal laryngeal branch of the vagus (CN X) for general sensation and taste
  • 54.
     Hence CNVII, CN IX, and CN X provide nerve fibers for taste; those from CN VII are ultimately conveyed by CN V3 Clinical anatomy Lingual Carcinoma • A lingual carcinoma in the posterior part of the tongue metastasizes to the superior deep cervical lymph nodes on both sides, whereas a tumor in the anterior part usually does not metastasize to the inferior deep cervical lymph nodes until late in the disease. • Because these nodes are closely related to the IJV, metastases from the tongue may be widely distributed through the submental and submandibular regions and along the IJVs in the neck.
  • 55.
    Frenectomy • An overlylarge lingual frenulum (tongue-tie/ ankyloglossa) interferes with tongue movements and may affect speech • In unusual cases, a frenectomy (cutting the frenulum) in infants may be necessary to free the tongue for normal movement and speech
  • 56.
    Thyroglossal Duct Cyst •A cystic remnant of the thyroglossal duct, associated with development of the thyroid gland, may be found in the root of the tongue and be connected to a sinus that opens at the foramen cecum • Surgical excision of the cyst may be necessary • Most thyroglossal duct cysts are in the neck, close or just inferior to the body of the hyoid bone