ORAL CAVITY LESIONS  Frederick Mars Untalan, MD
mouth ulcerLatin ulcus and from Greek "ἕλκος" - elkos, "wound"[American English, canker soreopen sore inside the mouth, or rarely a break in the mucous membrane or the epithelium on the lips or surrounding the mouth. Causes:  physical abrasion, acidic fruit, infection, other medical conditions, medications, and cancerous and nonspecific processes.  Two common types :aphthous ulcerscold sores or fever blisters
EpidemiologyEpidemiological studies show an average prevalence between 15% and 30%.women > men and  < 45 years. >16-25 year olds, and  <over 55.The frequency of mouth ulcers varies from fewer than 4 episodes per year (85% of all cases) to more than one episode per month (10% of all cases) including people suffering from continuous RAS
ORAL CAVITYLIPSTEETHGINGIVAPALATETONGUEORAL MUCOUS MEMBRANESORAL LYMPHOID TISSUES
Acute: small, recent onset, short duration, recurrentTraumaRecurrent Aphthous StomatitisBehcet’sHerpesvirus InfectionHerpangina
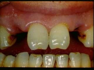
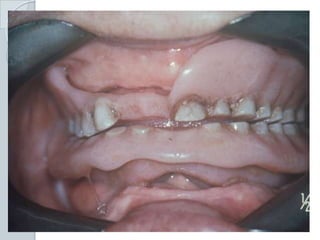
Trauma:Cheek Biting
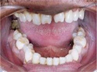
Trauma:Ill-Fitting dentures
Trauma:Chemical Burns
Trauma:Abrasions from Teeth
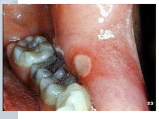
Recurrent Aphthous Stomatitis(RAS)Most common ulcerative lesion of oral cavityRecurrent, painful ulcersConfined to soft mucosaSubdivided into three types:Minor aphthaeMajor aphthaeHerpetiformaphthae
Recurrent Aphthous Stomatitis(RAS)Minor aphthae:Less than 1 cmHeal completely in 7-10 days without scarringPainful Prodromal stageShallow and round to ovalGray to yellow membraneClusters of up to 5 ulcersSteroids
Recurrent Aphthous Stomatitis (RAS)Minor apthae
Recurrent Aphthous Stomatitis (RAS)Major AphthaeUncommonIrregular, deep ulcers1-3 cm in sizeRaised bordersHeal in 4-6 weeksExtensive scarring and distortionBIOPSY!!Steroids
Recurrent Aphthous Stomatitis (RAS)Major apthae
Major aphthous ulcer
Recurrent Aphthous Stomatitis (RAS)Herpetiform AphthaeUncommonCrops of up to 150 very small (<3mm) ulcersHeal completely in 7-10 daysCOMPLETELY UNRELATED TO HERPESVIRUS
Recurrent Aphthous Stomatitis (RAS)Herpetiform aphthae
Behcet’sSymptom complex of:Recurrent aphthous ulcers of the mouthPainful genital ulcersUveitis or conjuctivitis
Behcet’sAffects persons of Mediterranean, Middle Eastern, or Japanese decentEasily confused with Stevens-Johnson syndrome or Reiter’s diseaseNeed referral for systemic treatment
Acute UlcerativeBehcet’s Syndrome	recurrent oral and genital ulcers	arthritis	inflammatory disease of eyes and GI tract.
Acute UlcerativeReiter’s Syndromemainly young men 20 to 30Classis triad ConjunctivitisArthritisurethritis. Oral lesions range from erythema to papules to ulcerations involving the buccal mucosa, gingiva, and lips. Lesions on the tongue resemble geographic tongue
Herpesvirus InfectionHSV-1 and/or HSV-2Primary InfectionSecondary InfectionVaricella zoster virus (HHV-3)
Herpesvirus InfectionPrimary InfectionHerpetic gingivostomatitisYounger patientsOften asymptomaticMay be associated with fever, chills, malaiseVesicles-ulcers-crustingAnywhere in the oral cavity
Herpesvirus InfectionPrimary Infection
Herpesvirus InfectionPrimary Infection
Herpesvirus InfectionSecondary InfectionReactivation of latent virusNot associated with systemic symptomsSmall vesicles Occur only on the hard palate and gingivaProdromal signs
Herpesvirus InfectionSecondary infection
Herpesvirus InfectionVaricella zoster virus (HHV-3)Latent infectionOral ulcersDermatomal distribution
Herpesvirus InfectionVaricella zoster virus
Herpesvirus InfectionVaricella zoster virus
HerpanginaNOT caused by HerpesvirusCoxsackie A virusChildren < 10 years of ageCommon in summer and fallOften subclinical presentationHeadache/Abdominal pain 48hrs prior to papulovesicular lesions on tonsils & uvula.Sore throat
Herpangina
Primary Herpetic Gingivostomatitis
Acute ulcerativeVaricella zoster virus- distribution of trigeminal nerveCoxsackie- prodrome, vesicular, pharynx,tonsils, soft palateRecurrent herpes simplex- prodrome present, 	herpes labialis, limited to keratinized epithelium and can involve the gingiva and hard Viral InfectionsHerpes simplex- 600,000 new cases annually, prodrome followed by small vesicles that ulcerate, primary infection involves the gingiva, and can involve the entire oral cavitypalate
Recurrent herpes simplex
Chronic:  longer duration, well circumscribed, raised borders, indurated base with craterTraumaInfectionNeoplasmNecrotizing sialometaplasia
Trauma:Ill-Fitting dentures
InfectionRareHIV/AIDS patientsBacterialDeep mycotic infectionCandida
InfectionBacterialUsually secondary infectionPrimary infection:  syphilis, tuberculous, or actinomycosis
InfectionBacterial-Syphilis
Syphilis
Acute ulcerative	SyphilisCongenital syphilisHutchinson’s incisors, “moon’s molars”	Primary		painless, indurated, ulcerated, usually involving the lips, tongue	Secondary- mucous patches, split papules	Tertiary- Gummas, can involve palate, tongue
InfectionBacterial-Syphilis
InfectionMycoticBlastomycosisHistoplasmosis
InfectionHistoplasmosis
Acute ulcerative	Histoplasmosisdisseminated form, oropharyngeal lesions may present as ulcerative, nodular, or vegetative 	Biopsy will provide the diagnosis
InfectionCandidaCandida albicansMost commonNormal floraPredisposing factorsWhite creamy patches KOH prep Nystatin oral suspension
InfectionCandida
Candidiasis
CandidiasisOpportunistic infection, Candida albicans  Pseudomembranous (thrush), erythematous, atrophic, hyperplasticRisk factors: Local- topical steroids, xerostomia, heavy smoking, denture appliances. Systemic- Poorly controlled diabetes mellitus, immunosuppression
CandidiasisSymptoms: burning, dysgeusia, sensitivity, generalized discomfortAngular cheilitis, coinfection with staph may be presentAcutely- atrophic red patches or white curd-like surface colonies  Chronic- denture related form confined to area of appliance
CandidiasisConfirmation with KOH smear, tissue PAS or silver stainsTreatment- topical or systemic, polyene,azoles
LeukoedemaDiffuse, filmy grayish surface with white streaks, wrinkles, or milky alterationSymmetric, usually involving the buccal mucosa, lesser extent labial mucosaNormal variationpresent in the majority of black adults, and half of black childrenAt rest, opaque appearance. When stretched dissipates
Leukoedema
Oral LeukoplakiaClinically defined white patch or plaque that has been excluded from other disease entitiesPresence of dysplasia, carcinoma in situ, and invasive carcinoma from all sites 17-25% (Bouqot and Gorlin 1986)Etiologyassociated with tobacco (smoking, smokeless tobacco), areca nut/betel preparations
Oral Leukoplakia
Oral Leukoplakia
Oral LeukoplakiaMay be macular, slightly elevated, ulcerative, erosive, speckled, nodular, or verrucousClinical shift in appearance from homogenous to heterogenous, speckled, or nodular, a rebiopsy is mandatoryCorrelation between increasing levels of dysplasia and increases in regional heterogeneity or speckled quality
Proliferative Verrucous LeukoplakiaUncommon variant of leukoplakia	Multifocal, occurring more in women, and in those without the usual risk factorsEvolution from a thin, flat white patch to leathery, then papillary to verrucousDevelopment of squamous cell CA in over 70% of cases
Proliferative Verrucous Leukoplakia
Site of Leukoplakia	Risk of dysplasia/carcinoma higher with floor of mouth, ventrolateral tongue, retromolar trigone, soft palate than with other oral sites
Epithelial Dysplasia
Treatment	Trial of cessation of offending agent, follow-upGuided by microscopic characterizationBenign, minimally dysplastic- periodic observation or elective excisionComplete excision scalpel excisionlaser ablationelectrocautery, cryoablationChemoprevention
Oral Hairy Leukoplakia
Oral hairy leukoplakiaAsymptomatic, seen with systemic immunosuppressionEBVLateral tongue bilaterally; subtle white keratotic vertical streaks to thick corrugated ridgesDiagnosis by microscopy and in situ hybridizationManagement includes establishing diagnosis and treating immunosuppression
NeoplasmSquamous cell carcinoma (SCC)Most commonIrregular ulcers with raised marginsMay be exophytic, infiltrative or verrucoidMimic benign lesions grossly
NeoplasmSquamous cell carcinoma
NeoplasmSquamous cell carcinoma
NeoplasmSquamous cell carcinoma
Necrotizing SialometaplasiaInflammatory conditionIschemia to minor salivary glandsDeep ulcers of the hard palateResolves in 6 weeks
Sialometaplasia
Sialometaplasia
Generalized:  broad classification encompassing a wide variety of causative agents or conditionsContact stomatitisRadiation mucositisCancer chemotherapy
Dermatologic Disorders:  cutaneous and oral manifestationsErythema multiformeLichen planusBenign mucous membrane pemphigoidBullous pemphigoidPemphigus vulgaris
Dermatologic DisordersErythema multiformeRapidly progressiveAntigen-antibody complex deposition in vessels of the dermisTarget lesions of the skinDiffuse ulceration, crusting of lips, tongue, buccal mucosaSelf-limited, heal without scarring
Acute ulcerative 		Erythema multiforme	Mucocutaneous hypersensitivity reactionEtiologyinfectious (strong association with HHV-1, viral, mycoplasma)drugs (antiseizure medications, sulfonamides)Clinicallytarget lesions develop over the skin with erythematous periphery central area that can develop bullae, vesicles.
Dermatologic DisordersErythema multiforme
Erythema Multiforme
Erythema MultiformeClinicallyOral mucosa and lips demonstrate aphthous like ulcers and occasionally vesicles or bullae may be present.Gingiva rarely involved; common sites include labial mucosa, palate, tongue, and buccalmucosaMucosal ulcers are irregular in size and shape, tender and covered with fibrinousexudate.Sialorrhea, pain, odynophagia, dysathria. Severe EM are associated with involvement of other mucosal sites- eyes, genitalia, and less common esophagus and lungs
Erythema MultiformeHistopathology]Intense lymphocytic infiltration in a perivascular distribution and edema from submucosa into the lamina propria, epithelium lack antibodies, blood vessels contain fibrin, C3, IgM Treatment- with oral involvement only can treat symptomatically/short course of corticosteroids
Dermatologic DisordersLichen planusChronic disease of skin and mucous membranesDestruction of basal cell layer by activated lymphocytesReticular: fine, lacy appearance on buccal mucosa (Wickman’s striae)Hypertrophic: resembles leukoplakiaAtrophic or erosive: painful
Oral lichen planus
Oral lichen planus0.2%- 2% population affectedUsually asymptomatic, reticular from, white striaform symmetric lesions in the buccal mucosaT-cell lymphocytic reaction to antigenic components in the surface epithelial layerOther variants: plaque, atrophic/erythematous, erosive
Dermatologic DisordersLichen planus
Oral lichen planusSmall risk of squamous cell carcinoma, more likely seen in the atrophic or erosive typesStudies show that dysplasia with lichenoid features have significant degree of alleic loss. Recommendation is to remove these lesions/follow patient closely
Dermatologic DisordersLichen planus
Dermatologic DisordersLichen planus
Dermatologic DisordersBenign mucous membrane pemphigoidTense subepithelial bullae of skin and mucous membranesRupture, large erosions, heal without scarringSloughing (Nikolsky sign)Bullous pemphigoidCutaneous lesions more commonBoth show subepithelial clefting with dissolution of the basement membraneIgG in basement membrane
Dermatologic DisordersBenign mucous membrane pemphigoid
Dermatologic DisordersBenign mucous membrane pemphigoid
Dermatologic DisordersPemphigus vulgarisSevere, potentially fatalJewish and ItaliansIntraepithelial bullae and acantholysisNikolsky’s signLoss of intracellular bridgesAutoimmune response to desmoglein 3Intraepithelial clefting
Dermatologic DisordersPemphigus vulgaris
Dermatologic DisordersPemphigus vulgaris
Quinn’s Rule for Stomatitis:“Call it aphthous stomatitis.  Treat it for two weeks.  If it is still there, biopsy it.”
 ORAL CAVITY LESIONS  Frederick Mars Untalan, MD

Oral cavity lesions