PATHOLOGY DEPARTMENT
  FACULTY OF MEDICINE
  AL-AZHAR UNIVERSITY
Allergic Nasal Polyp
         1
             2            4




     3




                 1) Resp. epith.
                 2) Edematous core
                 3) Hyperplastic mucous
                    glands
                 4) Mucus
Allergic Nasal Polyp


1                              1)   Hyperplastic resp. epithel.
                               2)   Edematous stroma
                               3)   Dilated congested capillaries
                               4)   Eosinophils
    2




    3                               4
1- Fibrinous (inflammation) Pleurisy
4- Lobar Pneumonia, red hepatization
                (Diagram)



                Alveolar           Alveolar
    Alveolar                         wall
                wall
    Capillary
                    Alveolar
                    Lumen        Alveolar
                                 capillary
                                   Alveolar
                                    lumen
4- Lobar Pneumonia, red hepatization
            (Low Power)




                Alveolar
                wall

                     Alveolar
                     Lumen
14- Chronic Venous Congestion, Lung
             (Diagram)
                           Heart Failure Cell

                          Congested Alveolar
                          capillaries




                          Red Cells
14- Chronic Venous Congestion, Lung
             Low Power



                      Alveolar Wall




            Alveolar Capillary



     Alveolar Space
14- Chronic Venous Congestion, Lung
             High Power


                Thick Congested Alveolar wall

                                    Heart Failure
                                    cells




               Brown Hemosiderin
Lobar Pneumonia, Grey Hepatization
 1


 2




 3

 4




     1)   Inflammatory cells
     2)   Clumps of fibrin and edema
     3)   Fragmented RBCs
     4)   Congested alveolar capillaries
Bronchopneumonia
Bronchopneumonia
Emphysema
    1




    2

3




1) Distended, distorted, thin-walled, and wide alveolar spaces
2) Intralveolar spur
3) Thick walled capillaries
Emphysema
2




3




1



1) Distended, distorted, thin-walled, and wide alveolar spaces
2) Thick walled capillaries
3) Inflamed alveolar speta with congested blood vessel
Infarction, Lung




Congested lung tissue



                        Infarct
Oat Cell Carcinoma
                                                                         1



                                                                         2




1) Lung tissue
2) Tumor showing peripheral infiltration of lung tissue (short arrows)
Oat Cell Carcinoma




      Malignant cells
Acute Diffuse Glomerulonephritis

3
    1


    2




1) This glomerulus is enlarged, hypercellular and capillary loops are poorly defined.
2) Increased numbers of epithelial, endothelial, and mesangial cells as well as
neutrophils in and around the glomerular capillary loops.
3) Tubule shows intraluminal casts
Rapidly Progressive Glomerulonephritis


  1

  2



      3




      1) Epithelial creascent
      2) Compressed and distorted glomerular capillaries
      3) Edematous stroma
Chronic Glomerulonephritis
4
3


1




2




     1)   Global glomerulosclerosis
     2)   Tubular thyroidization
     3)   Arteriolosclerosis
     4)   Interstitial chronic inflammatory cells
Infarction, Kidney
          High Power



                  Inflammatory
Infarct                Zone


                             Viable
                             Tissue
Infarction, Kidney
   High Power
Renal Cell Carcinoma
1




2




    1) Sheets and cords of vacuolated malignant tumor cells
    2) Thin vascularized connective tissue septa
Nephroblastoma

1


2




3




    1) Blastema cells
    2) Epithelial cells
    3) Undifferentiated stroma cells
30- Bilharziasis, urinary bladder
            Diagram
           Transitional epithelium



   Calcified Ova
                              Brun’s nest


                                Fresh Ova
30- Bilhaarziasis Transitional Bladder
                  . Urinary
         EpithelialEpithelium
                    Changes

                  Epithelial Hyperplasia




              Cystitis Cystica



         Brun’s nest
30- Bilhaarziasis . Urinary Bladder
        Epithelial Changes


Epithelial
Hyperplasia




Cystitis
Glandularis
Prostatic Hyperplasia

2




    1




        1) Hyperplastic prostatic acini
        2) Fibromuscular stroma
Prostatic Hyperplasia
1




2




    1) Dilated acinus containing corpora amyllacae
    2) Papillary formation
Seminoma

1




    2




        1) Benign-looking testicular tissue
        2) Tumor tissue
Seminoma

1




2




    1) Cords of seminoma cells
    2) Vascularized fibrous septa
2- Acute Suppurative Appendicitis
            (Diagram)
2- Acute Suppurative Appendicitis
            (Low Power)
2- Acute Suppurative Appendicitis
           (Low power)
2- Acute Suppurative Appendicitis
(Congested dilated Bl. Vs. with PNLs infiltration)
Amoebic Colitis
                            2

1

3




    1) Flask-shaped ulcer
    2) Undermined edge
    3) Necrotic floor
Amoebic Colitis
1




2




    1) Entamoeba histolytica
    2) Inflammatory cells
29- Bilharzial Polyp, colon
                 Diagram

Polyp

                                   Bilharzial
                                      Ova




                               Vasular C. T. Core
30- Bilharzial Polyp, colon
           Low Power




                         Calcjfied Bilharzial Ova
           Calcified Bilharzial Ova in C.T. Stroma
Colonic                  In C.T.Stroma
mucosa
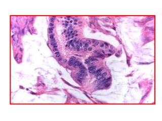
42- Adenoma, Intestine
56- Adenocarcinoma, Colon
adenocarcinoma
57- Mucoid Carcinoma, Colon
12- Fatty Change, liver
      Low Power




                  Signet ring
                  cells
12- Fatty Change, liver
               High Power


Normal Cells


                Signet ring cells
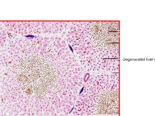
15- Chronic Venous Congestion, liver
             (Diagram)
                             Congested Central
                             vein




                             Degenerated liver c
                                Degenerated liver
                             cells

                              Portal Tract
15- Chronic Venous Congestion, liver
             Low Power
15- Chronic Venous Congestion, liver
             High Power
Amoebic Liver Abscess
    2




                                                                     3

1




        1) Necrotic liver cells
        2) Entamoeba histolytica
        3) Hepatocytes infiltrated with chronic inflammatory cells
Acute Yellow Atrophy
1


                                                              4


    2




3




        1)   Necrotic hepatocytes + interstitial hemorrhage
        2)   Dilated congested sinusoid
        3)   Normal-looking bile ductule
        4)   Chronic inflammatory cells
31- Bilharzial Fibrosis, liver
Portal Cirrhosis
1




2




    1) Cirrhotic nodules with absent central veins
    2) Bands of vascularized fibrous tissue infiltrated with chronic
       inflammatory cells
Portal Cirrhosis
1




2




    1) Cirrhotic nodules showing fatty change with absent central veins
    2) Bands of vascularized fibrous tissue infiltrated with chronic
       inflammatory cells. Blood vessels are dilated
Portal Cirrhosis




Higher power of previous slide
Biliary Cirrhosis

1




2




    1) Dilated bile ductules and canaliculi filled with
       brown bile pigment
    2) Cholestasis
Biliary Cirrhosis
1




    1) Bands of fibrous tissue surrounding cirrhotic nodule
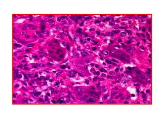
Hepatocellular Carcinoma
1




    1) Cords and clusters of malignant hepatocytes
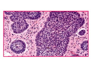
Proliferative Phase
 Glands are regular, round or elongated,
 Lined by columnar epithelium
 No secretion



 Stroma is dense and cellular
Secretory Phase
Glands are dilated and tortuous
Lined with col. Or cuboidal epith.
Sub- or supranuclear vacuoles
Luminal secretion



  Stroma is edematous
  Cells are plump
Secretory Phase
1




2
Endometrial Hyperplasia
1




2




3



     1) Glands
     2) Stroma
     3) Hemorrhage
Endometrial Hyperplasia
1




2
34- Leiomyoma
Adenocarcinoma, Uterus
    1




2




        1) Malignant glands
        2) Desmoplastic stroma
Adenocarcinoma, Uterus
1




2



    3




        1) Malignant glands
        2) Desmoplastic stroma
        3) Invasion of myometrium
Complete Hydatidiform Mole

    1




2




1) Chorionic villi
2) Trophoblast
Choriocarcinoma
1


2




    1) Cytotrophoblasts (Langhans cells)
    2) syncytiotrophoblasts
Fibrocystic changes of Breast
        1


             2


         3


            4


             5



1)   Epitheliosis
2)   Cyst
3)   Adenosis
4)   Fibrosis
5)   Apocrine metaplasia
43- Pericanalicular Fibroadenoma
44- Intracanalicular Fibroadenoma
Ductal Carcinoma-in-situ

1


2




3



     1) Dilated breast duct filled with malignant cells
     2) Central necrosis
     3) Stromal fibrosis
54- Infiltrating Duct carcinoma
1           Rheumatic Myocarditis
2



3




    1) Myocardium
    2) Blood vessels
    3) Perivascular Aschoff body
Rheumatic Myocarditis
1



2




    1) Fibrinoid degeneration of collagen fibers and interstitial edema
    2) Aschoff giant cell
Muscle
Bundles
                Congested
                Capillary


          Fibrous Tissue
Bacterial Endocarditis
1


2


3




    1) Ulcerated valve cusp
    2) Bacterial colonies
    3) Inflammatory cells
Bacterial Endocarditis
1



2


3




    1) Sparse inflammatory cells
    2) Fibrin
    3) Colonies of bacteria
Atheroma
1                       6

2

3

4
               1) Focal calcification
               2) Fibrosis
               3) Ulcerated
5
                  endothelium
               4) Foam cells
               5) Cholesterol clefts
               6) Recanalisation
Colloid Goitre

1




2




    1) Acini
    2) cyst
Toxic Goiter


              1




1) Follicle
2) Inflammatory cells


               2
Papillary Carcinoma

1


    2




         1) Tumor papillae lined by tumor cells
         2) Psammoma body
Papillary Carcinoma

1




2




     1) Tumor papillae lined by tumor cells
     2) Tumor nuclei
18- Infarction, spleen
       Diagram
                              Capsule




                             Infarct




            Hyperemic Zone
18- Infarction, spleen
      Low Power

             Capsule



               Infarct

                         Hyperemic Zone
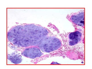
21- T.B. Lymphadenitis
        Diagram
21- T.B.Lymphadenitis
             Low power

Lymphoid Tissue    Langhan’s
                   Giant Cell




                  Tubercle
Hodgkin’s Lymphoma
(Mixed Cellularity Type)
58- Metastatic Carcinoma, Lymph Node
•Soft tissue
25- Rhinoscleroma
                              Diagram
Stratified Squamous   Mickulicz cell Lymphocyt Russle Body
Epithelium                           e
25- Rhinoscleroma
    Low Power
26- Actinomycosis
                     Diagram
                              Colony
Chronic inflammatory cells


                                           Fibrous Tissue




                             Multiple abscesses
26- Actinomycosis
    LOW Power

          Chronic
          inflammatory
          cells




          Fungal Colonies
35- Lipoma
39- Cavernous Lymphangioma
40- Cavernous Hemangioma
bone
37- Chondroma
45- Giant Cell Tumor, Bone
47- Chondrosarcoma
48- Osteosarcoma
Skin
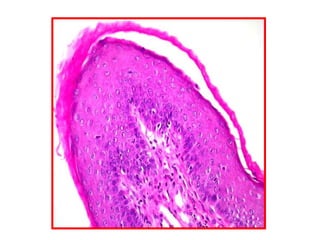
41- Squamous Cell Papilloma
38- Capillary Hemangioma
50- Intradermal Nevocytic Nevus
51- Malignant Melanoma
52- Squamous Cell Carcinoma
53- Basal Cell Carcinoma
Meningioma
1




2




    1) Whorls of round, spindle or oval cells
    2) Central capillary with hyalinised wall
Meningioma




Multiple psammoma bodies
33- Schwanoma
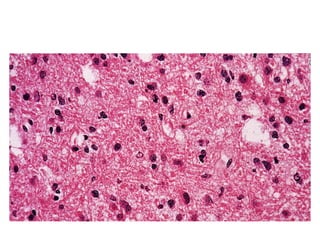
Astrocytoma
1




    2




        1) Astrocytes with large nuclei and scanty cytoplasm
        2) Network of interlacing fibrils
New practical histopathology

New practical histopathology