NEW INSIGHT IN THE USE OF
ULTRASONOGRAPHY IN CLINICAL
NEUROLOGY
By
Ahmed Abd El Hady
AGENDA
 The advantages of medical ultrasound
 Neurovascular ultrasound.
 Uses of ultrasound in movement disorder
 Uses of ultrasound in Peripheral nervous system
 Skeletal muscle ultrasound
THE ADVANTAGES OF MEDICAL ULTRASOUND
 Excellent safety
 very high temporal and high spatial resolution
 real-time evaluation
 low cost
 The ability to perform examinations at the bedside
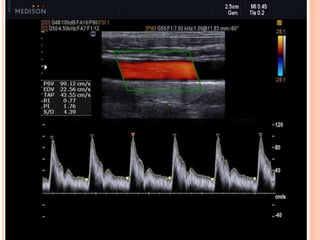
1-NEUROVASCULAR ULTRASOUND
 Vascular ultrasound was the first modality adopted
in clinical neurology for the evaluation of extra
cranial (1970s) and intracranial (1980s) vasculature
ALL CAROTID ARTERY EXAMINATIONS SHOULD BE
PERFORMED WITH:
• Gray-scale US
• Color Doppler
• Duplex ultrasonography
• Power Doppler
• Spectral Doppler
•Grayscale ultrasound to visualize the structure
or architecture of the body part. No motion or blood flow is assessed.
•Color Doppler visualize the flow or movement of a structure,
typically used to image blood within an artery. Blood flow velocities
increase through a region of narrowing, like a finger pressing up against
the end of a running garden hose. Increased velocities indicate a region of
narrowing or resistance
• Duplex ultrasonography is a form of medical
ultrasonography that incorporates the two elements (gray-scale
doppler and color-doppler):
• Power Doppler provide greater detail of blood flow,
especially in vessels that are located inside organs. Power Doppler
is more sensitive than color Doppler for the detection and
demonstration of blood flow, but provides no information about the
direction of flow
•Spectral Doppler is a method of graphically displaying the
velocity of blood flow through the analysis of frequency and phase shift of
the reflected ultrasound
 The extracranial internal carotid, common carotid,
external carotid, and vertebral arteries can be assessed
by cervical duplex.
 while the middle cerebral, anterior cerebral, posterior
cerebral, ophthalmic, intracranial vertebral, and basilar
arteries can be investigated by transcranial Doppler or
transcranial color-coded duplex sonography
APPLICATIONS OF CERVICAL DUPLEX
ULTRASONOGRAPHY
1-INFORMATION ABOUT PLAQUE COMPOSITION AND
SURFACE
 Cervical duplex ultrasonography can directly visualize
atherosclerotic plaque composition that can be classified
based on its echogenicity.
 Uniformly hyperechoic carotid plaques are mainly
composed of fibrotic tissue needed for plaque stability.
 In contrast, heterogeneous (and predominantly
hypoechoic) plaques consisting of matrix deposition,
cholesterol accumulation, necrosis, calcification, and
intraplaque hemorrhage are considered unstable, being
the source of artery-to-artery embolic strokes
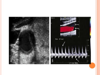
2- DIAGNOSIS OF THE DEGREE OF CAROTID
ARTERY STENOSIS
 For grading the percentage of stenosis in
extracranial carotid artery steno-occlusive disease
using Peak systolic velocity, end-diastolic velocity,
and the systolic internal carotid artery
(ICA)/common carotid artery (CCA) velocity.
ICA Stenosis
Range
Peak Systolic
Velocity
(cm/s)
End-Diastolic
Velocity
(cm/s)
Peak Systolic
Velocity ICA/
CCA Ratio
Plaque
Normal <125 <40 <2 Non
0-49% <125 <40 <2 <50%
diameter
reduction
50-69% 125-230 40-100 2-4 >50%
diameter
reduction
70-99% >230 >100 >4 >50%
diameter
reduction
Near
occlusion
High/low or
undetectable
variable variable Significant,
detectable
lumen
Occlusion Undetectable NA NA Significant, no
detectable
OCCLUSION OF ICA
 Retrograde flow in stump of ICA
 Absence of flow in ICA beyond
ICA
ECA
CCA
3- SUBCLAVIAN STEAL PHENOMENON
 refers to steno-occlusive disease of the proximal
subclavian artery with retrograde flow in ipsilateral
vertebral artery
VERTEBRAL TO SUBCLAVIAN STEAL
Presteal
Incomplete steal
Complete steal
Compared to bunny in profile
4- DIAGNOSIS OF THE DEGREE OF VERTEBRAL
ARTERY STENOSIS
 There are no widely accepted duplex criteria for the
diagnosis of vertebral artery stenosis. Some have used a
peak systolic velocity of >100 cm/sec to diagnose a
stenosis >50%. Bi-derectional flow could mean a high
grade stenosis
 A problem with ultrasound for the vertebral arteries is that
the stenosis is often at the origin and this cannot be seen
in many cases
5- ULTRASONOGRAPHY MAY ASSIST IN THE DIAGNOSIS
OF CAROTID OR VERTEBRAL ARTERY DISSECTION.
 Cervical duplex ultrasonography may detect reversed
systolic blood flow at the origin of the vessel and absent
or minimal diastolic blood flow that concurs with high-
resistance bidirectional Doppler signal.
 In B-mode imaging, a tapered lumen with a characteristic
string sign appearance may be shown, as well as a
floating intimal flap. The true lumen can be compressed
by the false lumen thrombus, and subsequently a low-
velocity Doppler waveform can be recorded
6- TAKAYASU AND TEMPORAL ARTERITIS
 Takayasu arteritis presents with smooth homogenous
concentric thickening of the arterial wall on B-mode
imaging in proximal cervical vessels
 In contrast to atherosclerotic disease, patients with
Takayasu arteritis have an affected CCA with sparing of
the ICA and external carotid artery.
 Giant cell arteritis An examination of the superficial
temporal artery with high-frequency 12-MHz to 15-MHz
B-mode transducers can detect hypoechoic
circumferential thickening (the halo sign).The halo sign is
moderately sensitive (68%) but highly specific (91%)
when present at the superficial temporal artery and can
also be used to guide biopsy as well as monitor treatment
7- FIBROMUSCULAR DYSPLASIA
String of beads pattern
ICA
USES OF TRANSCRANIAL DOPPLER OR COLOR-
CODED DUPLEX SONOGRAPHY
1- Fast detection and localization of occlusion/stenosis
 2- Mapping of the collateral circulation
 3- Transcranial Doppler assesses recanalization and
potential reocclusion in real time in patients with acute
ischemic stroke treated with systemic or intraarterial
reperfusion therapies
 4- Cerebral Arteriovenous Malformations
 TCD is highly sensitive for large and medium-sized
AVMs;
 in acute cerebral hemorrhage TCD may help to
differentiate AVM from non-AVM bleeds
 5- Cerebral Venous Thrombosis
 ultrasonographic techniques are not sensitive enough to
exclude cerebral venous thrombosis, but they may
complement other imaging techniques. In the follow-up,
sonographic findings are related to the functional
outcome.
 6-The transcranial Doppler bubble test is more sensitive
than transthoracic echocardiography (with or without
contrast injection) in detection of a right-to-left shunt
through a patent foramen ovale.
 8-Transcranial Doppler stratifies the risk of patients with
sickle cell anemia and those in need of blood transfusions
for primary stroke prevention. Those who meet
transcranial Doppler criteria for blood transfusions should
stay on transfusions since these children remain at high
risk of stroke if transfusions are discontinued
 8-Potential augmentation of clot lysis and clinical recovery
(sonothrombolysis).
 9- One of the first applications of TCD in clinical use has
been the identification of cerebral vasospasm after
subarachnoid hemorrhage (SAH). Blood extravasation has
a toxic effect on brain arteries and leads to lumen
narrowing that, when severe enough, can lead to ischemic
lesions. TCD can estimate the severity of vasospasm by
detecting increased blood velocities in areas of
vasospasm.
 10- Transcranial doppler sonography diagnostic value for
the cerebral flow velocity changes in the interictal phase of
classic migraine
 11- Brain death is a clinical diagnosis that can be supported
by transcranial Doppler, given the ability of transcranial
Doppler to detect cerebral circulatory arrest
NEW INSIGHT IN THE USE OF
ULTRASONOGRAPHY IN CLINICAL
NEUROLOGY
By
Ahmed Abd El Hady
AGENDA
 The advantages of medical ultrasound
 Neurovascular ultrasound.
 Uses of ultrasound in movement disorder
 Uses of ultrasound in Peripheral nervous system
 Skeletal muscle ultrasound
2-MOVEMENT DISORDERS
MOVEMENT DISORDERS
 The midbrain appears hypoechoic in transcranial
sonography, surrounded by the hyperechoic basal
cisterns, while the substantia nigra appears as a thin
hyperechoic strip with total surface not exceeding 0.20
cm2 in normal subjects.
 Increased substantia nigra hyperechogenicity can be
detected with transcranial parenchymal sonography in
approximately 90% of patients with idiopathic Parkinson
disease.
 Substantia nigra hyperechogenicity may serve as a
preclinical marker of idiopathic parkinsonism.
Condition Substantia
Nigra
Hyperechog-
enicity
Lentiform
Nucleus
Hyperechoge-
nicity
Caudate
Nucleus
Hyperecho-
genicity
Increase
of Third
Ventricular
Diameter
Increase of
Lateral
Ventricular
Diameter
Healthy
individual>
60 years
old
Rare Rare Rare Very rare Rare
Idiopathic
Parkinson
disease
Almost
always
Rare Often Never
observed
Very rare
Multiple
system
atrophy
Very rare Almost always Often Never
observed
Very rare
Progressi-
ve
supranucl-
ear palsy
Rare Almost always Almost
always
Almost
always
Often
Condition Substantia
Nigra
Hyperechog-
enicity
Lentiform
Nucleus
Hyperechoge-
nicity
Caudate
Nucleus
Hyperecho-
genicity
Increase
of Third
Ventricular
Diameter
Increase of
Lateral
Ventricular
Diameter
Corticobasal
degeneration
Almost
always
Almost
always
Almost
always
Never
observed
Rare
Dementia with
Lewy bodies
Almost
always
Rare Almost
always
Never
observed
Often
3-PERIPHERAL NERVOUS SYSTEM
PERIPHERAL NERVOUS SYSTEM
 Ultrasonography of a peripheral nerve examines
five parameters:
(1) cross-sectional area at certain sites of clinical
interest
(2) variability of the cross-sectional area along its
course
(3) echogenicity
(4) vascularity
(5) mobility
 Normal peripheral nerves have a tubular form, with
alternating hypoechoic (nerve fibers) and
hyperechoic (perineurium) zones that give the
impression of a honeycomb pattern
ENTRAPMENT NEUROPATHIES
Carpal tunnel syndrome.
1. Enlarged CSA of the median nerve proximal to
the edge of the flexor retinaculum (normal value
less than 0.11 cm2)
2. Increased wrist to forearm swelling ratio
3. Hypoechogenicity and disturbed fascicular echo
structure
4. Reduced slippage of the nerve after finger flexion
5. Increased vascularity
Cubital tunnel syndrome CSA > 0.09 cm2
Elbow to upper arm ratio >1.4
Reduced echogenicity
Increased echogenicity of
epineurium
Radial nerve compression CSA > 0.06 cm2
Reduced echogenicity
Fibular nerve compression CSA > 0.12 cm2
Reduced echogenicity
Popliteal fossa to fibular head
ratio > 1.4
Cervical radiculopathy Side-to-side difference ratio
>1.5
INFLAMMATORY POLYNEUROPATHIES
Chronic inflammatory
demyelinating
polyradiculoneuropathy
Brachial plexus hypertrophy and
multifocal peripheral nerve
hypertrophy can be seen
differentiating this condition
From AIDP using Bochum
ultrasound score
Multifocal motor neuropathy multifocal pattern of nerve
enlargement at sites with or
without clinical or
electrophysiologic abnormalities
differentiating this condition
from amyotrophic lateral sclerosis
Systemic vasculitis Diffuse thickening of peripheral
nerves, primarily of the lower
limbs, and reduction of nerve
diameter after corticosteroid
therapy have been described
using Ultrasound
4-SKELETAL MUSCLE ULTRASOUND
SKELETAL MUSCLE ULTRASOUND
 Neuromuscular disorders can lead to increased muscle
echo intensity, i.e. a muscle becomes whiter in
appearance.
 it reliable to assess muscle thickness and objectify
muscle atrophy.
 it is also very suitable to visualize muscle movements as
fibrillations.
 It can additionally be used to select the optimal site for
muscle biopsy
INTERVENTIONAL ULTRASOUND
 Ultrasound can be used to guide steroid injection near the
median nerve for the treatment of carpal tunnel syndrome.
 Under ultrasound guidance, botulinum toxin can be injected
into muscles for spasticity and dystonia or into the salivary
glands for sialorrhea.
 The most common situation in which ultrasound is used to
guide intervention is for regional anesthesia.
 Other interventional procedures in which ultrasound can by
used include guidance of muscle and nerve biopsy also in
determination of optimal lumbar puncture site
ULTRASOUND AS A COMPLEMENT
TO ELECTRODIAGNOSTIC STUDIES
 Ultrasound can improve nerve conduction study techniques by
visualizing nerve pathways involved in surface stimulation and
recording.
 The accuracy of needle placement in cadavers for diagnostic
electromyography is 96% with ultrasound guidance, whereas it
is only 50% to 83% (depending on operator experience)
without ultrasound.
 Ultrasound, including color Doppler detection of vascular
structures, can improve the safety of diagnostic
electromyography (EMG) in anticoagulated patients, and it
allows for continued monitoring after the procedure for
hematoma development.
 Diaphragmatic EMG is a relatively safe procedure, but there is
a risk of pneumothorax. Ultrasound can make this procedure
safer by allowing direct visualization of diaphragm and lung
movement with respiration, which permits accurate estimates
of optimal insertion points and necessary needle depth or real-
time guidance of the EMG needle into the diaphragm
Neurosonology

Neurosonology

  • 1.
    NEW INSIGHT INTHE USE OF ULTRASONOGRAPHY IN CLINICAL NEUROLOGY By Ahmed Abd El Hady
  • 2.
    AGENDA  The advantagesof medical ultrasound  Neurovascular ultrasound.  Uses of ultrasound in movement disorder  Uses of ultrasound in Peripheral nervous system  Skeletal muscle ultrasound
  • 3.
    THE ADVANTAGES OFMEDICAL ULTRASOUND  Excellent safety  very high temporal and high spatial resolution  real-time evaluation  low cost  The ability to perform examinations at the bedside
  • 4.
  • 5.
     Vascular ultrasoundwas the first modality adopted in clinical neurology for the evaluation of extra cranial (1970s) and intracranial (1980s) vasculature
  • 6.
    ALL CAROTID ARTERYEXAMINATIONS SHOULD BE PERFORMED WITH: • Gray-scale US • Color Doppler • Duplex ultrasonography • Power Doppler • Spectral Doppler
  • 7.
    •Grayscale ultrasound tovisualize the structure or architecture of the body part. No motion or blood flow is assessed.
  • 8.
    •Color Doppler visualizethe flow or movement of a structure, typically used to image blood within an artery. Blood flow velocities increase through a region of narrowing, like a finger pressing up against the end of a running garden hose. Increased velocities indicate a region of narrowing or resistance
  • 9.
    • Duplex ultrasonographyis a form of medical ultrasonography that incorporates the two elements (gray-scale doppler and color-doppler): • Power Doppler provide greater detail of blood flow, especially in vessels that are located inside organs. Power Doppler is more sensitive than color Doppler for the detection and demonstration of blood flow, but provides no information about the direction of flow
  • 10.
    •Spectral Doppler isa method of graphically displaying the velocity of blood flow through the analysis of frequency and phase shift of the reflected ultrasound
  • 12.
     The extracranialinternal carotid, common carotid, external carotid, and vertebral arteries can be assessed by cervical duplex.  while the middle cerebral, anterior cerebral, posterior cerebral, ophthalmic, intracranial vertebral, and basilar arteries can be investigated by transcranial Doppler or transcranial color-coded duplex sonography
  • 13.
    APPLICATIONS OF CERVICALDUPLEX ULTRASONOGRAPHY
  • 14.
    1-INFORMATION ABOUT PLAQUECOMPOSITION AND SURFACE  Cervical duplex ultrasonography can directly visualize atherosclerotic plaque composition that can be classified based on its echogenicity.  Uniformly hyperechoic carotid plaques are mainly composed of fibrotic tissue needed for plaque stability.  In contrast, heterogeneous (and predominantly hypoechoic) plaques consisting of matrix deposition, cholesterol accumulation, necrosis, calcification, and intraplaque hemorrhage are considered unstable, being the source of artery-to-artery embolic strokes
  • 16.
    2- DIAGNOSIS OFTHE DEGREE OF CAROTID ARTERY STENOSIS  For grading the percentage of stenosis in extracranial carotid artery steno-occlusive disease using Peak systolic velocity, end-diastolic velocity, and the systolic internal carotid artery (ICA)/common carotid artery (CCA) velocity.
  • 17.
    ICA Stenosis Range Peak Systolic Velocity (cm/s) End-Diastolic Velocity (cm/s) PeakSystolic Velocity ICA/ CCA Ratio Plaque Normal <125 <40 <2 Non 0-49% <125 <40 <2 <50% diameter reduction 50-69% 125-230 40-100 2-4 >50% diameter reduction 70-99% >230 >100 >4 >50% diameter reduction Near occlusion High/low or undetectable variable variable Significant, detectable lumen Occlusion Undetectable NA NA Significant, no detectable
  • 19.
    OCCLUSION OF ICA Retrograde flow in stump of ICA  Absence of flow in ICA beyond ICA ECA CCA
  • 20.
    3- SUBCLAVIAN STEALPHENOMENON  refers to steno-occlusive disease of the proximal subclavian artery with retrograde flow in ipsilateral vertebral artery
  • 21.
    VERTEBRAL TO SUBCLAVIANSTEAL Presteal Incomplete steal Complete steal Compared to bunny in profile
  • 22.
    4- DIAGNOSIS OFTHE DEGREE OF VERTEBRAL ARTERY STENOSIS  There are no widely accepted duplex criteria for the diagnosis of vertebral artery stenosis. Some have used a peak systolic velocity of >100 cm/sec to diagnose a stenosis >50%. Bi-derectional flow could mean a high grade stenosis  A problem with ultrasound for the vertebral arteries is that the stenosis is often at the origin and this cannot be seen in many cases
  • 25.
    5- ULTRASONOGRAPHY MAYASSIST IN THE DIAGNOSIS OF CAROTID OR VERTEBRAL ARTERY DISSECTION.  Cervical duplex ultrasonography may detect reversed systolic blood flow at the origin of the vessel and absent or minimal diastolic blood flow that concurs with high- resistance bidirectional Doppler signal.  In B-mode imaging, a tapered lumen with a characteristic string sign appearance may be shown, as well as a floating intimal flap. The true lumen can be compressed by the false lumen thrombus, and subsequently a low- velocity Doppler waveform can be recorded
  • 28.
    6- TAKAYASU ANDTEMPORAL ARTERITIS  Takayasu arteritis presents with smooth homogenous concentric thickening of the arterial wall on B-mode imaging in proximal cervical vessels  In contrast to atherosclerotic disease, patients with Takayasu arteritis have an affected CCA with sparing of the ICA and external carotid artery.
  • 30.
     Giant cellarteritis An examination of the superficial temporal artery with high-frequency 12-MHz to 15-MHz B-mode transducers can detect hypoechoic circumferential thickening (the halo sign).The halo sign is moderately sensitive (68%) but highly specific (91%) when present at the superficial temporal artery and can also be used to guide biopsy as well as monitor treatment
  • 32.
  • 33.
    USES OF TRANSCRANIALDOPPLER OR COLOR- CODED DUPLEX SONOGRAPHY
  • 34.
    1- Fast detectionand localization of occlusion/stenosis
  • 35.
     2- Mappingof the collateral circulation
  • 36.
     3- TranscranialDoppler assesses recanalization and potential reocclusion in real time in patients with acute ischemic stroke treated with systemic or intraarterial reperfusion therapies
  • 37.
     4- CerebralArteriovenous Malformations  TCD is highly sensitive for large and medium-sized AVMs;  in acute cerebral hemorrhage TCD may help to differentiate AVM from non-AVM bleeds
  • 38.
     5- CerebralVenous Thrombosis  ultrasonographic techniques are not sensitive enough to exclude cerebral venous thrombosis, but they may complement other imaging techniques. In the follow-up, sonographic findings are related to the functional outcome.
  • 39.
     6-The transcranialDoppler bubble test is more sensitive than transthoracic echocardiography (with or without contrast injection) in detection of a right-to-left shunt through a patent foramen ovale.  8-Transcranial Doppler stratifies the risk of patients with sickle cell anemia and those in need of blood transfusions for primary stroke prevention. Those who meet transcranial Doppler criteria for blood transfusions should stay on transfusions since these children remain at high risk of stroke if transfusions are discontinued
  • 40.
     8-Potential augmentationof clot lysis and clinical recovery (sonothrombolysis).  9- One of the first applications of TCD in clinical use has been the identification of cerebral vasospasm after subarachnoid hemorrhage (SAH). Blood extravasation has a toxic effect on brain arteries and leads to lumen narrowing that, when severe enough, can lead to ischemic lesions. TCD can estimate the severity of vasospasm by detecting increased blood velocities in areas of vasospasm.  10- Transcranial doppler sonography diagnostic value for the cerebral flow velocity changes in the interictal phase of classic migraine
  • 41.
     11- Braindeath is a clinical diagnosis that can be supported by transcranial Doppler, given the ability of transcranial Doppler to detect cerebral circulatory arrest
  • 42.
    NEW INSIGHT INTHE USE OF ULTRASONOGRAPHY IN CLINICAL NEUROLOGY By Ahmed Abd El Hady
  • 43.
    AGENDA  The advantagesof medical ultrasound  Neurovascular ultrasound.  Uses of ultrasound in movement disorder  Uses of ultrasound in Peripheral nervous system  Skeletal muscle ultrasound
  • 44.
  • 45.
    MOVEMENT DISORDERS  Themidbrain appears hypoechoic in transcranial sonography, surrounded by the hyperechoic basal cisterns, while the substantia nigra appears as a thin hyperechoic strip with total surface not exceeding 0.20 cm2 in normal subjects.  Increased substantia nigra hyperechogenicity can be detected with transcranial parenchymal sonography in approximately 90% of patients with idiopathic Parkinson disease.  Substantia nigra hyperechogenicity may serve as a preclinical marker of idiopathic parkinsonism.
  • 47.
    Condition Substantia Nigra Hyperechog- enicity Lentiform Nucleus Hyperechoge- nicity Caudate Nucleus Hyperecho- genicity Increase of Third Ventricular Diameter Increaseof Lateral Ventricular Diameter Healthy individual> 60 years old Rare Rare Rare Very rare Rare Idiopathic Parkinson disease Almost always Rare Often Never observed Very rare Multiple system atrophy Very rare Almost always Often Never observed Very rare Progressi- ve supranucl- ear palsy Rare Almost always Almost always Almost always Often
  • 48.
    Condition Substantia Nigra Hyperechog- enicity Lentiform Nucleus Hyperechoge- nicity Caudate Nucleus Hyperecho- genicity Increase of Third Ventricular Diameter Increaseof Lateral Ventricular Diameter Corticobasal degeneration Almost always Almost always Almost always Never observed Rare Dementia with Lewy bodies Almost always Rare Almost always Never observed Often
  • 49.
  • 50.
    PERIPHERAL NERVOUS SYSTEM Ultrasonography of a peripheral nerve examines five parameters: (1) cross-sectional area at certain sites of clinical interest (2) variability of the cross-sectional area along its course (3) echogenicity (4) vascularity (5) mobility
  • 51.
     Normal peripheralnerves have a tubular form, with alternating hypoechoic (nerve fibers) and hyperechoic (perineurium) zones that give the impression of a honeycomb pattern
  • 52.
    ENTRAPMENT NEUROPATHIES Carpal tunnelsyndrome. 1. Enlarged CSA of the median nerve proximal to the edge of the flexor retinaculum (normal value less than 0.11 cm2) 2. Increased wrist to forearm swelling ratio 3. Hypoechogenicity and disturbed fascicular echo structure 4. Reduced slippage of the nerve after finger flexion 5. Increased vascularity
  • 54.
    Cubital tunnel syndromeCSA > 0.09 cm2 Elbow to upper arm ratio >1.4 Reduced echogenicity Increased echogenicity of epineurium Radial nerve compression CSA > 0.06 cm2 Reduced echogenicity Fibular nerve compression CSA > 0.12 cm2 Reduced echogenicity Popliteal fossa to fibular head ratio > 1.4 Cervical radiculopathy Side-to-side difference ratio >1.5
  • 55.
    INFLAMMATORY POLYNEUROPATHIES Chronic inflammatory demyelinating polyradiculoneuropathy Brachialplexus hypertrophy and multifocal peripheral nerve hypertrophy can be seen differentiating this condition From AIDP using Bochum ultrasound score Multifocal motor neuropathy multifocal pattern of nerve enlargement at sites with or without clinical or electrophysiologic abnormalities differentiating this condition from amyotrophic lateral sclerosis
  • 56.
    Systemic vasculitis Diffusethickening of peripheral nerves, primarily of the lower limbs, and reduction of nerve diameter after corticosteroid therapy have been described using Ultrasound
  • 57.
  • 58.
    SKELETAL MUSCLE ULTRASOUND Neuromuscular disorders can lead to increased muscle echo intensity, i.e. a muscle becomes whiter in appearance.  it reliable to assess muscle thickness and objectify muscle atrophy.  it is also very suitable to visualize muscle movements as fibrillations.  It can additionally be used to select the optimal site for muscle biopsy
  • 60.
    INTERVENTIONAL ULTRASOUND  Ultrasoundcan be used to guide steroid injection near the median nerve for the treatment of carpal tunnel syndrome.  Under ultrasound guidance, botulinum toxin can be injected into muscles for spasticity and dystonia or into the salivary glands for sialorrhea.  The most common situation in which ultrasound is used to guide intervention is for regional anesthesia.  Other interventional procedures in which ultrasound can by used include guidance of muscle and nerve biopsy also in determination of optimal lumbar puncture site
  • 61.
    ULTRASOUND AS ACOMPLEMENT TO ELECTRODIAGNOSTIC STUDIES  Ultrasound can improve nerve conduction study techniques by visualizing nerve pathways involved in surface stimulation and recording.  The accuracy of needle placement in cadavers for diagnostic electromyography is 96% with ultrasound guidance, whereas it is only 50% to 83% (depending on operator experience) without ultrasound.  Ultrasound, including color Doppler detection of vascular structures, can improve the safety of diagnostic electromyography (EMG) in anticoagulated patients, and it allows for continued monitoring after the procedure for hematoma development.
  • 62.
     Diaphragmatic EMGis a relatively safe procedure, but there is a risk of pneumothorax. Ultrasound can make this procedure safer by allowing direct visualization of diaphragm and lung movement with respiration, which permits accurate estimates of optimal insertion points and necessary needle depth or real- time guidance of the EMG needle into the diaphragm