Embed presentation
Downloaded 14 times












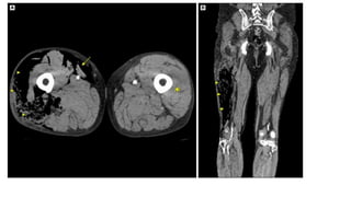
This document discusses necrotizing soft tissue infections such as necrotizing fasciitis. It notes that these infections can originate from trauma, surgery, immunosuppression or malignancy. They can be polymicrobial, involving multiple organisms, or monomicrobial, involving an aggressive single organism. Diagnosis involves history, examination, and imaging tests. Differential diagnoses include deep vein thrombosis, pyomyositis, pyoderma gangrenosum, and cellulitis. Treatment involves stabilization, broad spectrum antibiotics, debridement of infected tissue, and reconstruction.











