Emergenze pediatriche

              Vittorio Miele

      AO S. Camillo-Forlanini – Roma
UO Diagnostica per Immagini nel DEA e per le
                 Urgenze
Fattori socio-sanitari

Dipartimenti di Emergenza (DE) oberati di richieste
di assistenza, in parte legittime, ma in parte
inappropriate, per molti motivi, tra cui:
• Carenze della medicina territoriale
• Lunghe o lunghissime liste d’attesa
• Difficoltà nell’accesso alle cure da parte delle fasce
  socio-economiche più deboli

Spesso rivolgersi al Pronto Soccorso è l’unica possibilità
di ricevere un’assistenza sanitaria in tempi utili a risolvere
non solo le vere emergenze, ma anche situazioni cliniche
di urgenza relativa o inesistente
Pazienti DEA / Prestazioni DI 2005-2011

      Accessi totali Prestazioni % Accessi /
Anno                                           TC    Eco    RX
         DEA SC          DI      Prestazioni
2005     100.430       56.794        57      9.562 7.351 39.881
2006     100.302       62.932        63      11.527 8.506 42.899
2007      97.561       68.286        70      13.587 9.089 45.610
2008      96.106       70.046        73      14.762 9.487 45.797
2009      97.234       72.882        75      16.833 8.933 47.116
2010      95.845       74.147        77      17.343 9.478 47.326
2011      95.417       74.584        78      19.468 9.819 46.197
    Rapporto %
                        131                   204    134   116
   prestazioni DI
Pazienti PS pediatrico / Prestazioni DI 2005-2011

      Accessi PS Prestazioni   % Accessi /
Anno                                         TC    Eco      RX
      Pediatrico      DI       Prestazioni
2005    13.356      1.476          11        47     459     969
2006    17.011      3.698          22        128    861    2.709
2007    18.415      6.539          36        239   1.730   4.570
2008    18.681      7.009          38        260   1.969   4.780
2009    18.868      6.537          35        179   1.862   4.496
2010    19.467      7.126          37        121   2.176   4.829
2011    20.129      7.057          35        119   2.192   4.746
  Rapporto %
                     478                     253   478     490
 prestazioni DI
Il cambiamento della DpI in Emergenza
Utenti            Utilizzo improprio del PS per:
                   • Superamento liste d’attesa ambulatoriali
                   • Evasione del ticket

Medici di PS      Medicina difensiva
                   • “Nessun paziente esca dal PS senza aver
                     effettuato almeno un test diagnostico”

Aspetti economici Medicina Legale in PS
e sociali          • Maggior valenza legale delle prescrizioni
                   • Impatto assicurativo/risarcitorio

         Aumento delle prestazioni RX/Ecografia
Il cambiamento della DpI in Emergenza

La riduzione di posti letto in tutti gli ospedali per
acuti determina una congestione delle strutture
di Pronto Soccorso, ed inoltre rende inevitabile
il ricorso massiccio alla Diagnostica per
Immagini, che viene usata come filtro tra
ricovero e dimissione e per indirizzare verso il
ricovero nell’ambiente più appropriato
  Aumento esponenziale delle prestazioni di
   Diagnostica per Immagini (RX, Eco, TC)
Esito del percorso di PS



        Totale % Accessi / % Ricoveri         DEA     % Accessi Ricoveri
Anno                                  Anno
         DEA Prestazioni DI da PS          pediatrico / prest. DI da PS (%)
2005   100.430     57        25,23    2005  13.356        11        16,11
2006   100.302     63        23,12    2006   17.011       22        13,44
2007    97.561     70        23,05    2007  18.415        36        10,71
2008    96.106     73        20,65    2008  18.681        38         7,80
2009    97.234     75        17,98    2009  18.868        35         5,90
2010    95.845     77        17,94    2010  19.467        37         5,26
2011    95.417     78        18,21    2011  20.129        35         5,45
Uso e abuso della DpI in Emergenza



             • Filtro al ricovero/dimissione
Uso          • Appropriatezza del ricovero medico/chirurgico
             • Ottimizzazione tempo e risorse



             •   Utilizzo improprio del PS
             •   Funzioni di medicina del territorio
Abuso
             •   Medicina difensiva in PS
             •   Medicina Legale
Diagnostica per Immagini in età pediatrica


   Principi basilari
   • Minore radioesposizione possibile
   • Minore invasività possibile
   • Alta accuratezza diagnostica
   • Tempi brevi
Radioesposizione in età pediatrica

Il rischio del danno da irradiazione è maggiore
nel bambino
 Maggiore radiosensibilità dei tessuti in via di
  sviluppo
 Maggiore aspettativa di vita
        Evitare esami inutili
        Privilegiare energie non ionizzanti
        Immobilizzazione adeguata
        Limitazione del fascio (diaframmi)
        Uso dei dispositivi di protezione
        Adeguati valori di esposizione
Cause di accesso in PS in età pediatrica

•   Dolore addominale e/o pelvico
•   Disturbi dell’alvo: occlusione-sub occlusione, diarrea
•   Vomito
•   Febbre
•   Traumi
•   Pianto inconsolabile
•   Masse palpabili/neoplasie
•   Ingestione di sostanze e/o corpi estranei
Dolore addominale in età pediatrica

      Primi anni di vita                   Dai 2 ai 6 anni                       Dopo i 6 anni
1) coliche gassose (primi
                                   1) gastroenterite acuta           1) gastroenterite acuta
mesi)

2) gastroenterite acuta            2) stipsi                         2) stipsi

3) occlusioni intestinali da                                         3) sindrome del dolore
                                   3) infezione delle vie urinarie
cause congenite                                                      addominale ricorrente
4) invaginazione                   4) lesioni traumatiche            4) lesioni traumatiche

5) Ernia inguinale strozzata       5) appendicite acuta              5) appendicite acuta

6) Torsione del funicolo / cisti
                                   6) polmonite basale               6) infezione delle vie urinarie
ovarica prenatale

7) Appendicite acuta rara          7) adenite mesenterica            7) adenite mesenterica
Dolore addominale in età pediatrica – Cause rare


                   Dai 2 ai 6 anni                             Dopo i 6 anni
 1) diverticolite di Meckel                   1) polmoniti
 2) porpora di Schonlein-Henoch               2) malattia di Crohn
 3) invaginazione intestinale                 3) colite ulcerosa
 4) nefrolitiasi                              4) ulcera peptica
 5) sindrome uremico-emolitica                5) colecistite
 6) Neoplasie (neuroblastoma e t. di Wilms)   6) malattie del pancreas
 7) epatiti                                   7) la chetoacidosi diabetica
 8) chetoacidosi diabetica                    8) la torsione di cisti ovarica e funicolare
                                              9) annessiti e la gravidanza
Localizzazione del dolore
        A differenza dell’adulto, nel paziente pediatrico, la localizzazione
        del dolore non presenta un preciso valore indicativo diagnostico
Appendicite retrocecale                  Pielonefrite                  Peritonite
Pielonefrite                             Polmonite basale              Pancreatite
Polmonite basale                         Rottura splenica              Occlusione
Epatite acuta                                                          Stipsi
Colecistite                                                            Coliche gassose




Appendicite acuta
Nefrolitiasi
Ernia strozzata
Torsione testicolo                    Stipsi
Torsione ovaio                        Nefrolitiasi
Gravidanza ectopica                   Ernia strozzata
                                      Torsione testicolo
                                      Torsione ovaio
                                      Gravidanza ectopica
Principali urgenze addominali in età pediatrica


         Stenosi ipertrofica del piloro
         Invaginazione intestinale
         Appendicite
         Patologia ovarica
         Patologia testicolare
         Diverticolo di Meckel
         Volvolo
         Colelitiasi
         Pancreatite
         Altro
Principali urgenze addominali in età pediatrica


         Stenosi ipertrofica del piloro
         Invaginazione intestinale
         Appendicite
         Patologia ovarica
         Patologia testicolare
         Diverticolo di Meckel
         Volvolo
         Colelitiasi
         Pancreatite
         Altro
Stenosi ipertrofica del piloro (SIP)
• Riscontro tra la 3 e la 10 settimana di vita; più frequente nel
  maschio (M/F = 5:1).
• Incidenza media 3 casi per 1000.
• Patologia acquisita per spasmo prolungato, con sofferenza
  ischemica del piloro, nel periodo neonatale, con ipertrofia delle fibre
  muscolari dell’antro.
• Segni clinici: vomito a getto, mancata crescita e/o calo ponderale,
  disidratazione, palpazione dell’oliva pilorica.
Stenosi ipertrofica del piloro (SIP)
                                                      Prima…

Esame RX diretto:
sovradistensione gastrica.

RX mdc (30-40 cc per SNG)
piloro allungato, filiforme, “a
binario”, “tra parentesi” etc.



      Radioesposizione per il bambino e per l’operatore!!!
Stenosi ipertrofica del piloro (SIP)
                            Piloro nomale        Oggi…




Piloro allungato:       DL > 17 mm
Piloro “a bersaglio”:   DT > 12 mm
Spessore di parete:     > 2 mm
Invaginazione intestinale
 • Data dall’invaginazione dell’intestino e del suo mesentere
    (invaginato) nel lume di un segmento intestinale a valle (invaginante)
 • La forma più frequente è la ileo-ciecale
 • Più frequente in forma idiopatica intorno al primo anno di vita, (65%
    < 1 anno; 85% < 2 anni), rapporto M-F=3:1, in primavera-autunno.
• Nel bimbo più grande può essere causata da
   diverticoli, polipi, tumori, infiammazioni intestinali
   ricorrenti o adeniti.
• Clinica aspecifica: dolori addominali, massa
   palpabile, feci a gelatina di lampone (65%),
   paziente sofferente o iporeattivo, vomito riflesso
   non ostruttivo, disidratazione.
Invaginazione intestinale
                                                           Prima…




RX clisma: (100 cc mdc diluiti 1:10) lungo, esposizione rilevante
per bambino ed operatore, pericolo di perforazione con bario
Invaginazione intestinale
                                                           Oggi…




Ecografia: sonda HF, immagine a bersaglio o “pseudorene”,
linfonodi mesenterici, eventuale versamento e condizione delle altre
anse intestinali
Invaginazione intestinale




EcocolorDoppler:
• Segnale di doppio anello (DD con il volvolo – asse vascolare centrale).
• L’assenza di iperemia si lega all’aumento del rischio di perforazione
Invaginazione intestinale – Riduzione idrostatica

Sotto guida ecografica si può tentare di risolvere l’invaginazione,
previo posizionamento di catetere di Foley, fissato lassamente con
cerotti, mediante clisma (sacca ad 1 m di altezza dal lettino) con
acqua tiepida nel quale si diluisce poca quantità di mdc iodato per
eventuale conferma radiografica.
Almeno 3 tentativi, riempimento del colon fino al punto di ostacolo,
per alcuni minuti poi drenaggio all’esterno.


       Attenzione! Quando non tentare:
       •   anamnesi di invaginazione non recente (> 48 ore)
       •   nei bambini grandi o sotto i 3 mesi
       •   nei casi di reinvaginazione
       •   spessore della parete dell’invaginato è > ai 16mm
Invaginazione intestinale – Riduzione idrostatica
Appendicite acuta

• 80% circa delle emergenze chirurgiche pediatriche
• Genesi ostruttiva da cui deriva una sovradistensione del lume,
  ischemia della parete e sovrainfezione batterica
• La leucocitosi neutrofila non è sempre presente (70-90%)
• L’ecografia, in mani esperte ha alta sensibilità e specificità
• L’appendice normale difficilmente si visualizza, parete circa 2 mm di
  spessore, lume virtuale. Punti di repere: muscolo psoas e vasi iliaci


 • Clinicamente la diagnosi non pone problemi nel 70-80%
   dei casi
 • Presentazione atipica nel 20 % dei pazienti
Appendicite acuta – Ecografia

•   Compressione graduale con trasduttore lineare ad alta frequenza.
•   Appendice infiammata: tubulare, non comprimibile, a fondo cieco
•   Lume ipoecogeno: per distensione fluida, coprolita, gas.
•   Parete ispessita: stratificazione di parete mantenuta nelle forme
    catarrali, persa nelle più gravi flemmonose e gangrenose
•   ECD: iperemia della parete, ipoperfusa in fase di perforazione
•   Adipe periviscerale iperecogeno
•   Liquido tra le anse
•   Linfonodi mesenterici
Appendicite acuta – Ecografia




 Distensione del lume, stratificazione di parete, ipoecogenicità sottomucosa




Appendicolita, fluido periappendicolare, iperecogenicità adipe periappendicolare
Appendicite acuta – EcocolorDoppler




L’analisi spettrale dimostra una vascolarizzazione di tipo arterioso
con aumento della velocità diastolica (tipico dell’infiammazione) e
nella perforazione assenza di segnale nell’apice appendicolare
Flogosi periviscerale – Adenopatie
Appendicite acuta – Complicanze




Ascesso periappendicolare
(aria e coprolita)
Appendicite acuta – Difficoltà diagnostiche
Limiti dell’ecografia                  Diagnosi differenziale
•   Esperienza dell’operatore          •   Gastroenterite
•   Costituzione del paziente          •   Patologia ovarica
•   Valore predittivo negativo basso   •   Litiasi urinaria
•   65% in posizione retrociecale      •   M. Di Crohn
                                       •   Linfoadenite mesenterica
                                       •   Diverticolo di Meckel




                                                Integrazione con TC
Conclusioni
La Diagnostica per Immagini nell’urgenza pediatrica pone
problemi significativi, sia dal punto di vista organizzativo che
clinico.
Occorre una stretta collaborazione ed integrazione tra clinici
e Radiologi per evitare esami inutili ed inappropriati, ma allo
stesso tempo sfruttare al massimo le potenzialità
diagnostiche delle metodiche attualmente disponibili.
A differenza che nell’adulto, in cui l’uso della TC è ormai
prevalente e consolidato, in ambito pediatrico la diagnostica
per immagini in urgenza poggia ancora in modo importante
su radiologia tradizionale ed ecografia; soprattutto
l’ecografia, può dare un contributo molto rilevante, purchè se
ne eviti l’utilizzo “a pioggia” in assenza di precise indicazioni.
Apparato genitourinario


• Torsione ovarica
• Torsione testicolare
• Sepsi urinarie gravi
• Trombosi della vena renale
• Emorragia surrenalica
• Idrometrocolpo
• Litiasi reno-ureterale
• Ritenzione acuta d’urina
Apparato genitourinario


• Torsione ovarica
• Torsione testicolare
• Sepsi urinarie gravi
• Trombosi della vena renale
• Emorragia surrenalica
• Idrometrocolpo
• Litiasi reno-ureterale
• Ritenzione acuta d’urina
Torsione ovarica
• Cause più frequenti: cisti ovariche, neoplasie, teratoma
  cistico benigno (3,5 al 16% dei casi)
• ++ unilaterale, con lieve prevalenza per il lato dx (per il
  maggior ingombro del colon a sin e per la maggiore mobilità
  del cieco e dell’ileo distale a destra)
• Sintomatologia caratterizzata da dolore acuto nei quadranti
  inferiori a crisi subentranti
• Se la torsione è parziale ed intermittente si può risolvere
  spontaneamente; la sintomatologia sarà subdola e si
  ripresenterà nel giro di poche ore, giorni o settimane
• La diagnosi precoce può aiutare a prevenire danni
  irreversibili all’ovaio e si può tentare trattamento
  conservativo
Torsione ovarica – Ecografia
• primo esame in PS
• ovaio di dimensioni aumentate rispetto al controlaterale
• ovaio ipoecogeno per edema
• numerosi follicoli ipertrofici per secrezione fluida endofollicolare
  dovuta all’ostruzione venosa
• presenza di eventuale formazione espansiva (cisti, teratoma)
• versamento nello scavo pelvico di significato reattivo
• riduzione del flusso al Doppler
Torsione ovarica – TC
• aumento dimensioni ovaio
• ipodensità per edema
• iperdensità all’esame senza mdc (necrosi, emorragia)
• enhancement disomogeneo dopo mdc
• ispessimento della tuba
• versamento fluido
Rottura di cisti ovarica o corpo luteo emorragico
• frequente durante la fase luteinica del ciclo
• se la parete rimane integra l’emorragia si      Risoluzione
  autolimita
• se la parete della cisti si rompe l’emorragia   Emoperitoneo
  si riversa nello scavo pelvico




   • Esame senza mdc: presenza di fluido iperdenso
   • Possibile evidenziazione dello stravaso ematico attivo
   • Importanti DD: cisti endometriosica e GEU
Torsione del testicolo
Quadro clinico
• Dolore testicolare irradiato all’inguine
• Posizione antalgica
• Scroto tumefatto




•   Danno ischemico irreversibile in 3-6 ore
•   Entro le 5-6 ore il testicolo si salva nell’80-100% dei casi
•   Dopo: 24% non si recupera più l’organo, rimozione
•   Nel 42% dei casi recidiva dallo stesso lato o dall’altro.
Torsione del testicolo
In fase acuta
•   Testicolo ingrandito ed ipoecogeno
•   Assenza di flusso al Color-Doppler
•   Epididimo ingrandito, disomogeneo
•   Idrocele avvolgente (bell clapper)
•   Pareti scrotali lievemente ispessite
Dopo circa 12 ore
• Testicolo etrogeneo per necrosi
• Ipotrofico, volume ridotto
Torsione del testicolo
 EcocolorDoppler:
 • sensibilità dell’85-100%
   in assenza di flusso
   parenchimale.
 • Importante anche la
   valutazione      di    una
   ridotta vascolarizzazione
   rispetto al controlaterale
Conclusioni
La Diagnostica per Immagini nell’urgenza pediatrica pone
problemi significativi, sia dal punto di vista organizzativo che
clinico.
Occorre una stretta collaborazione ed integrazione tra clinici
e Radiologi per evitare esami inutili ed inappropriati, ma allo
stesso tempo sfruttare al massimo le potenzialità
diagnostiche delle metodiche attualmente disponibili.
A differenza che nell’adulto, in cui l’uso della TC è ormai
prevalente e consolidato, in ambito pediatrico la diagnostica
per immagini in urgenza poggia ancora in modo importante
su radiologia tradizionale ed ecografia; soprattutto
l’ecografia, può dare un contributo molto rilevante, purchè se
ne eviti l’utilizzo “a pioggia” in assenza di precise indicazioni.
Trauma in età pediatrica

 Causa più frequente di morte ed invalidità da 1 a 14 anni, rispetto a
  tutte le altre patologie maggiori: neoplasie, polmoniti, meningiti,
  cardiopatie ecc.
 Negli USA: 22 milioni di bambini /anno subiscono un trauma
 Nei bambini <1 anno 1000 decessi/anno per cadute, ustioni,
  annegamenti o soffocamenti. Fattori predisponenti sono fame o
  stanchezza o un ambiente nuovo (trasloco o vacanze).
 Nell’adolescenza la causa più frequente sono incidenti stradali
  (passeggero – pedone – ciclista) , seguiti dagli omicidi
 Incidenza di 4/100.000 bambini con < 1 anno, 7/ 100.000 bambini da
  1 a 14 anni, 40/100.000 nell'età compresa tra i 15 e i 24 anni
 Cadute ed incidenti: 90% dei traumi
Dinamica
Differenze anatomo-fisiologiche con l’adulto
A causa dell’elevato rapporto tra superficie corporea e volume
corporeo l’energia trasmessa determina una maggiore forza
applicata per unità di superficie corporea.
 Minore quantità di tessuto adiposo
 Minore quantità di tessuto elastico
 Maggiore vicinanza organi interni
 Scheletro più flessibile  danno possibile in assenza di frattura
 Se presente una frattura costale  ipotizzare alto trasferimento di
  energia
 Rapporto superficie/volume corporeo alto alla nascita diminuisce
  con la crescita
 Molto temibile l’ipotermia
Trauma pediatrico

 Meccanismi e caratteristiche fisiche  lesioni multiple
 Ipotizzare l’interessamento di tutti gli organi fin quando non si
  dimostri il contrario
 I bambini traumatizzati possono peggiorare rapidamente e
  sviluppare temibili complicanze



      Mortalità per trauma toracico:              15-25%
      Mortalità per trauma addominale:             3-15%
Trauma pediatrico

Nella gestione del trauma pediatrico le priorità sono le stesse
dell’adulto ma è bene ricordare che: il bambino non è un piccolo
adulto, poiché si differenzia per caratteristiche anatomo-fisiologiche
e psichiche che ne modificano la risposta al trauma e alle cure
conseguenti
Trauma pediatrico

L’imaging gioca un ruolo fondamentale nei traumi in età
pediatrica

 Sintomi: non sempre riferiti con chiarezza
 Esame obiettivo: difficile esecuzione
 Torace: alta incidenza di lesioni interne in assenza di fratture
  costali
 Addome: è la regione anatomica che più di frequente subisce
  lesioni non diagnosticate tempestivamente e potenzialmente
  fatali (mortalità 8%)
Traumi addominali in età pediatrica




 Quale ruolo per l’Ecografia?
 Quale ruolo per la TC?
Traumi addominali

Di fronte al trauma ad alta energia le procedure
diagnostiche nel bambino sono le stesse che
nell’adulto

    Pazienti                   Pazienti
emodinamicamente           emodinamicamente
    instabili                   stabili


  RX torace
                              TC multistrato
Ecografia FAST
Trauma ad alta energia

Tomografia Computerizzata multistrato
• Esame panoramico
• Valutazione completa ed accurata di tutti
  gli organi
• Valutazione degli indicatori prognostici
  (estensione della lesione, coinvolgimento
  strutture vascolari, sanguinamento attivo)
• Ricostruzioni multiplanari
 Nel paziente politraumatizzato emodinamicamente stabile o
 stabilizzato dopo rianimazione primaria la TCms è la metodica di
 scelta per l’inquadramento diagnostico e prognostico
Traumi addominali isolati

Nel bambino, come nell’adulto, gli organi
coinvolti più frequentemente sono il fegato, la
milza e i reni, in rapporto a:

   Sede (contiguità con coste, rachide e diaframma)
   Dimensioni
   Consistenza parenchimatosa
   Posizione fissa
Traumi addominali isolati


            Quale ruolo per l’Ecografia?

 Ricerca di liquido libero in addome (emoperitoneo)
 Ricerca di lesioni degli organi addominali
Traumi addominali


            Quale ruolo per l’Ecografia?

 Ricerca di liquido libero in addome (emoperitoneo)
 Ricerca di lesioni degli organi addominali
Traumi addominali – Limiti dell’ecografia di base

Limitazioni tecniche di esecuzione dell’esame
 correlate alle condizioni cliniche del paziente

Bassa accuratezza diagnostica nella definizione ed
 estensione delle lesioni parenchimali traumatiche
 rispetto alla TC con mdc (gold standard)

Scarsa panoramicità e panesplorabilità

Scarsa sensibilità nel rilievo dell’emoretroperitoneo
Traumi addominali – Possibilità della CEUS




Identificazione delle lesioni degli organi solidi
Stadiazione delle lesioni
Follow-up dei pazienti trattati conservativamente
CEUS – Identificazione delle lesioni
 I mdc di II generazione permettono lo studio real-time della
  perfusione e le diverse fasi vascolari
 Il segnale proveniente dai tessuti inerti è quasi del tutto
  cancellato
 Possibilità di rilevare lesioni inapprezzabili all’ecografia di base
 La sensibilità, rispetto all’eco senza mdc, sale dal 45,7% al
  91,4% (Valentino M, AJR, 2006)
 I focolai lacero-contusivi e gli ematomi (aree avascolari)
  appaiono ipoecogeni rispetto al parenchima sano circostante che
  appare iperecogeno dopo mdc
 L’ecocontrasto, sfruttando un segnale di tipo vascolare, permette
  di identificare l’eventuale presenza di sanguinamento (fuoriuscita
  di microbolle)
 Massima evidenza delle lesioni nella fase venosa
CEUS – Indicazioni



   Traumi localizzati
   Traumi a bassa energia cinetica
   Pazienti collaboranti
   Pazienti pediatrici
   Follow-up dei pazienti in trattamento conservativo
CEUS – Identificazione delle lesioni


                                        Lesione epatica di I grado




Maggiore sensibilità nell’identificazione di piccole lesioni
CEUS – Stadiazione delle lesioni



             Lesione epatica di II grado “affiorante”
CEUS – Stadiazione delle lesioni




Lesione epatica di III grado intraparenchimale
Bambina, 10 aa, trauma diretto all’ipocondrio
dx (calcio di cavallo)
CEUS – Stadiazione delle lesioni




               Lesione epatica di III grado
Semeiotica TC: Emorragia attiva




Caduta dal monopattino, trauma localizzato, lacerazione della
capsula epatica e sanguinamento attivo
Lacerazione epatica sanguinamento attivo
Lesione splenica di II
grado “affiorante” alla
capsula
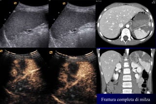
Lesione splenica di III grado “affiorante”
Frattura completa di milza
Lacerazione al 1/3
medio del rene dx
Ematoma perirenale
Traumi del pancreas
 Rispetto all’adulto, i traumi del pancreas nel bambino sono più
  frequenti
 Il meccanismo più comune è la compressione del pancreas
  contro il rachide lombare retrostante
 Dovuti ad un urto diretto della regione epigastrica
 Minor protezione da parte della parete addominale anteriore
 Nel bambino: tipico il trauma da urto della regione epigastrica
  contro il manubrio della bicicletta
 Regione più colpita: corpo-istmo
Traumi pancreatici – Stadiazione di gravità

Grado A:    Contusione o lacerazione superficiale (< 50%)
Grado B1:   Lacerazione profonda (> 50%) corpo- coda
Grado B2:   Transezione del corpo - coda
Grado C1:   Lacerazione profonda della testa
Grado C2:   Transezione della testa                 Wong YJ, JCAT, 1997


        • Esiste una lesione traumatica del pancreas?
        • Lacerazione parziale o transezione (frattura)?
        • Frattura distale o prossimale ?
        • Lesione del dotto?
        • Frattura comminuta/distruzione del pancreas?
        • Complicanze?
Trauma pancreatico integrazione tra metodiche
Trauma associato del lobo sinistro del fegato e del corpo del pancreas

In età pediatrica anche traumi lievi possono determinare una lesione




Lesione del lobo sinistro          Transezione del corpo pancreatico (B2)

Cause: ridotto spessore, scarso sviluppo e ridotto tono dei piani
muscolari della parete addominale
Transezione del corpo del pancreas, senza diastasi dei frammenti, con
sezione del dotto di Wirsung
Modesta ectasia del dotto a livello della parte distale del corpo e della coda
Transezione della testa del pancreas – Grado C2
Traumi del pancreas – Tomografia Computerizzata

• Valutazione accurata del danno pancreatico
• Esplorazione panoramica: valutazione del coinvolgimento
  multiorgano e rilievo delle eventuali complicanze
• Velocità di esecuzione


Il limite è la difficoltà a stabilire con precisione la sede della
eventuale lesione del dotto del Wirsung, di cui si può solo
ipotizzarne un coinvolgimento in relazione all’entità e alla sede del
danno parenchimale
Conclusioni

In età pediatrica, sia nelle emergenze traumatiche che non
traumatiche, il quadro clinico è spesso aspecifico, a fronte di
una situazione generale che può essere rapidamente
ingravescente.
A differenza che nell’adulto, in cui l’uso della TC è ormai
prevalente e consolidato, la diagnostica per immagini in
urgenza poggia ancora in modo importante su radiologia
tradizionale ed ecografia.
E’ necessario quindi che il radiologo conosca i quadri
patologici più comuni in questa fascia di età e i
corrispondenti reperti di imaging che possono orientare la
diagnosi e l’iter terapeutico.

Miele Vittorio. Emergenze Pediatriche. ASMaD 2012

  • 1.
    Emergenze pediatriche Vittorio Miele AO S. Camillo-Forlanini – Roma UO Diagnostica per Immagini nel DEA e per le Urgenze
  • 2.
    Fattori socio-sanitari Dipartimenti diEmergenza (DE) oberati di richieste di assistenza, in parte legittime, ma in parte inappropriate, per molti motivi, tra cui: • Carenze della medicina territoriale • Lunghe o lunghissime liste d’attesa • Difficoltà nell’accesso alle cure da parte delle fasce socio-economiche più deboli Spesso rivolgersi al Pronto Soccorso è l’unica possibilità di ricevere un’assistenza sanitaria in tempi utili a risolvere non solo le vere emergenze, ma anche situazioni cliniche di urgenza relativa o inesistente
  • 3.
    Pazienti DEA /Prestazioni DI 2005-2011 Accessi totali Prestazioni % Accessi / Anno TC Eco RX DEA SC DI Prestazioni 2005 100.430 56.794 57 9.562 7.351 39.881 2006 100.302 62.932 63 11.527 8.506 42.899 2007 97.561 68.286 70 13.587 9.089 45.610 2008 96.106 70.046 73 14.762 9.487 45.797 2009 97.234 72.882 75 16.833 8.933 47.116 2010 95.845 74.147 77 17.343 9.478 47.326 2011 95.417 74.584 78 19.468 9.819 46.197 Rapporto % 131 204 134 116 prestazioni DI
  • 4.
    Pazienti PS pediatrico/ Prestazioni DI 2005-2011 Accessi PS Prestazioni % Accessi / Anno TC Eco RX Pediatrico DI Prestazioni 2005 13.356 1.476 11 47 459 969 2006 17.011 3.698 22 128 861 2.709 2007 18.415 6.539 36 239 1.730 4.570 2008 18.681 7.009 38 260 1.969 4.780 2009 18.868 6.537 35 179 1.862 4.496 2010 19.467 7.126 37 121 2.176 4.829 2011 20.129 7.057 35 119 2.192 4.746 Rapporto % 478 253 478 490 prestazioni DI
  • 5.
    Il cambiamento dellaDpI in Emergenza Utenti Utilizzo improprio del PS per: • Superamento liste d’attesa ambulatoriali • Evasione del ticket Medici di PS Medicina difensiva • “Nessun paziente esca dal PS senza aver effettuato almeno un test diagnostico” Aspetti economici Medicina Legale in PS e sociali • Maggior valenza legale delle prescrizioni • Impatto assicurativo/risarcitorio Aumento delle prestazioni RX/Ecografia
  • 6.
    Il cambiamento dellaDpI in Emergenza La riduzione di posti letto in tutti gli ospedali per acuti determina una congestione delle strutture di Pronto Soccorso, ed inoltre rende inevitabile il ricorso massiccio alla Diagnostica per Immagini, che viene usata come filtro tra ricovero e dimissione e per indirizzare verso il ricovero nell’ambiente più appropriato Aumento esponenziale delle prestazioni di Diagnostica per Immagini (RX, Eco, TC)
  • 7.
    Esito del percorsodi PS Totale % Accessi / % Ricoveri DEA % Accessi Ricoveri Anno Anno DEA Prestazioni DI da PS pediatrico / prest. DI da PS (%) 2005 100.430 57 25,23 2005 13.356 11 16,11 2006 100.302 63 23,12 2006 17.011 22 13,44 2007 97.561 70 23,05 2007 18.415 36 10,71 2008 96.106 73 20,65 2008 18.681 38 7,80 2009 97.234 75 17,98 2009 18.868 35 5,90 2010 95.845 77 17,94 2010 19.467 37 5,26 2011 95.417 78 18,21 2011 20.129 35 5,45
  • 8.
    Uso e abusodella DpI in Emergenza • Filtro al ricovero/dimissione Uso • Appropriatezza del ricovero medico/chirurgico • Ottimizzazione tempo e risorse • Utilizzo improprio del PS • Funzioni di medicina del territorio Abuso • Medicina difensiva in PS • Medicina Legale
  • 9.
    Diagnostica per Immaginiin età pediatrica Principi basilari • Minore radioesposizione possibile • Minore invasività possibile • Alta accuratezza diagnostica • Tempi brevi
  • 10.
    Radioesposizione in etàpediatrica Il rischio del danno da irradiazione è maggiore nel bambino  Maggiore radiosensibilità dei tessuti in via di sviluppo  Maggiore aspettativa di vita  Evitare esami inutili  Privilegiare energie non ionizzanti  Immobilizzazione adeguata  Limitazione del fascio (diaframmi)  Uso dei dispositivi di protezione  Adeguati valori di esposizione
  • 11.
    Cause di accessoin PS in età pediatrica • Dolore addominale e/o pelvico • Disturbi dell’alvo: occlusione-sub occlusione, diarrea • Vomito • Febbre • Traumi • Pianto inconsolabile • Masse palpabili/neoplasie • Ingestione di sostanze e/o corpi estranei
  • 12.
    Dolore addominale inetà pediatrica Primi anni di vita Dai 2 ai 6 anni Dopo i 6 anni 1) coliche gassose (primi 1) gastroenterite acuta 1) gastroenterite acuta mesi) 2) gastroenterite acuta 2) stipsi 2) stipsi 3) occlusioni intestinali da 3) sindrome del dolore 3) infezione delle vie urinarie cause congenite addominale ricorrente 4) invaginazione 4) lesioni traumatiche 4) lesioni traumatiche 5) Ernia inguinale strozzata 5) appendicite acuta 5) appendicite acuta 6) Torsione del funicolo / cisti 6) polmonite basale 6) infezione delle vie urinarie ovarica prenatale 7) Appendicite acuta rara 7) adenite mesenterica 7) adenite mesenterica
  • 13.
    Dolore addominale inetà pediatrica – Cause rare Dai 2 ai 6 anni Dopo i 6 anni 1) diverticolite di Meckel 1) polmoniti 2) porpora di Schonlein-Henoch 2) malattia di Crohn 3) invaginazione intestinale 3) colite ulcerosa 4) nefrolitiasi 4) ulcera peptica 5) sindrome uremico-emolitica 5) colecistite 6) Neoplasie (neuroblastoma e t. di Wilms) 6) malattie del pancreas 7) epatiti 7) la chetoacidosi diabetica 8) chetoacidosi diabetica 8) la torsione di cisti ovarica e funicolare 9) annessiti e la gravidanza
  • 14.
    Localizzazione del dolore A differenza dell’adulto, nel paziente pediatrico, la localizzazione del dolore non presenta un preciso valore indicativo diagnostico Appendicite retrocecale Pielonefrite Peritonite Pielonefrite Polmonite basale Pancreatite Polmonite basale Rottura splenica Occlusione Epatite acuta Stipsi Colecistite Coliche gassose Appendicite acuta Nefrolitiasi Ernia strozzata Torsione testicolo Stipsi Torsione ovaio Nefrolitiasi Gravidanza ectopica Ernia strozzata Torsione testicolo Torsione ovaio Gravidanza ectopica
  • 16.
    Principali urgenze addominaliin età pediatrica Stenosi ipertrofica del piloro Invaginazione intestinale Appendicite Patologia ovarica Patologia testicolare Diverticolo di Meckel Volvolo Colelitiasi Pancreatite Altro
  • 17.
    Principali urgenze addominaliin età pediatrica Stenosi ipertrofica del piloro Invaginazione intestinale Appendicite Patologia ovarica Patologia testicolare Diverticolo di Meckel Volvolo Colelitiasi Pancreatite Altro
  • 18.
    Stenosi ipertrofica delpiloro (SIP) • Riscontro tra la 3 e la 10 settimana di vita; più frequente nel maschio (M/F = 5:1). • Incidenza media 3 casi per 1000. • Patologia acquisita per spasmo prolungato, con sofferenza ischemica del piloro, nel periodo neonatale, con ipertrofia delle fibre muscolari dell’antro. • Segni clinici: vomito a getto, mancata crescita e/o calo ponderale, disidratazione, palpazione dell’oliva pilorica.
  • 19.
    Stenosi ipertrofica delpiloro (SIP) Prima… Esame RX diretto: sovradistensione gastrica. RX mdc (30-40 cc per SNG) piloro allungato, filiforme, “a binario”, “tra parentesi” etc. Radioesposizione per il bambino e per l’operatore!!!
  • 20.
    Stenosi ipertrofica delpiloro (SIP) Piloro nomale Oggi… Piloro allungato: DL > 17 mm Piloro “a bersaglio”: DT > 12 mm Spessore di parete: > 2 mm
  • 21.
    Invaginazione intestinale •Data dall’invaginazione dell’intestino e del suo mesentere (invaginato) nel lume di un segmento intestinale a valle (invaginante) • La forma più frequente è la ileo-ciecale • Più frequente in forma idiopatica intorno al primo anno di vita, (65% < 1 anno; 85% < 2 anni), rapporto M-F=3:1, in primavera-autunno. • Nel bimbo più grande può essere causata da diverticoli, polipi, tumori, infiammazioni intestinali ricorrenti o adeniti. • Clinica aspecifica: dolori addominali, massa palpabile, feci a gelatina di lampone (65%), paziente sofferente o iporeattivo, vomito riflesso non ostruttivo, disidratazione.
  • 22.
    Invaginazione intestinale Prima… RX clisma: (100 cc mdc diluiti 1:10) lungo, esposizione rilevante per bambino ed operatore, pericolo di perforazione con bario
  • 23.
    Invaginazione intestinale Oggi… Ecografia: sonda HF, immagine a bersaglio o “pseudorene”, linfonodi mesenterici, eventuale versamento e condizione delle altre anse intestinali
  • 24.
    Invaginazione intestinale EcocolorDoppler: • Segnaledi doppio anello (DD con il volvolo – asse vascolare centrale). • L’assenza di iperemia si lega all’aumento del rischio di perforazione
  • 25.
    Invaginazione intestinale –Riduzione idrostatica Sotto guida ecografica si può tentare di risolvere l’invaginazione, previo posizionamento di catetere di Foley, fissato lassamente con cerotti, mediante clisma (sacca ad 1 m di altezza dal lettino) con acqua tiepida nel quale si diluisce poca quantità di mdc iodato per eventuale conferma radiografica. Almeno 3 tentativi, riempimento del colon fino al punto di ostacolo, per alcuni minuti poi drenaggio all’esterno. Attenzione! Quando non tentare: • anamnesi di invaginazione non recente (> 48 ore) • nei bambini grandi o sotto i 3 mesi • nei casi di reinvaginazione • spessore della parete dell’invaginato è > ai 16mm
  • 26.
    Invaginazione intestinale –Riduzione idrostatica
  • 27.
    Appendicite acuta • 80%circa delle emergenze chirurgiche pediatriche • Genesi ostruttiva da cui deriva una sovradistensione del lume, ischemia della parete e sovrainfezione batterica • La leucocitosi neutrofila non è sempre presente (70-90%) • L’ecografia, in mani esperte ha alta sensibilità e specificità • L’appendice normale difficilmente si visualizza, parete circa 2 mm di spessore, lume virtuale. Punti di repere: muscolo psoas e vasi iliaci • Clinicamente la diagnosi non pone problemi nel 70-80% dei casi • Presentazione atipica nel 20 % dei pazienti
  • 28.
    Appendicite acuta –Ecografia • Compressione graduale con trasduttore lineare ad alta frequenza. • Appendice infiammata: tubulare, non comprimibile, a fondo cieco • Lume ipoecogeno: per distensione fluida, coprolita, gas. • Parete ispessita: stratificazione di parete mantenuta nelle forme catarrali, persa nelle più gravi flemmonose e gangrenose • ECD: iperemia della parete, ipoperfusa in fase di perforazione • Adipe periviscerale iperecogeno • Liquido tra le anse • Linfonodi mesenterici
  • 29.
    Appendicite acuta –Ecografia Distensione del lume, stratificazione di parete, ipoecogenicità sottomucosa Appendicolita, fluido periappendicolare, iperecogenicità adipe periappendicolare
  • 30.
    Appendicite acuta –EcocolorDoppler L’analisi spettrale dimostra una vascolarizzazione di tipo arterioso con aumento della velocità diastolica (tipico dell’infiammazione) e nella perforazione assenza di segnale nell’apice appendicolare
  • 31.
  • 32.
    Appendicite acuta –Complicanze Ascesso periappendicolare (aria e coprolita)
  • 33.
    Appendicite acuta –Difficoltà diagnostiche Limiti dell’ecografia Diagnosi differenziale • Esperienza dell’operatore • Gastroenterite • Costituzione del paziente • Patologia ovarica • Valore predittivo negativo basso • Litiasi urinaria • 65% in posizione retrociecale • M. Di Crohn • Linfoadenite mesenterica • Diverticolo di Meckel Integrazione con TC
  • 34.
    Conclusioni La Diagnostica perImmagini nell’urgenza pediatrica pone problemi significativi, sia dal punto di vista organizzativo che clinico. Occorre una stretta collaborazione ed integrazione tra clinici e Radiologi per evitare esami inutili ed inappropriati, ma allo stesso tempo sfruttare al massimo le potenzialità diagnostiche delle metodiche attualmente disponibili. A differenza che nell’adulto, in cui l’uso della TC è ormai prevalente e consolidato, in ambito pediatrico la diagnostica per immagini in urgenza poggia ancora in modo importante su radiologia tradizionale ed ecografia; soprattutto l’ecografia, può dare un contributo molto rilevante, purchè se ne eviti l’utilizzo “a pioggia” in assenza di precise indicazioni.
  • 35.
    Apparato genitourinario • Torsioneovarica • Torsione testicolare • Sepsi urinarie gravi • Trombosi della vena renale • Emorragia surrenalica • Idrometrocolpo • Litiasi reno-ureterale • Ritenzione acuta d’urina
  • 36.
    Apparato genitourinario • Torsioneovarica • Torsione testicolare • Sepsi urinarie gravi • Trombosi della vena renale • Emorragia surrenalica • Idrometrocolpo • Litiasi reno-ureterale • Ritenzione acuta d’urina
  • 37.
    Torsione ovarica • Causepiù frequenti: cisti ovariche, neoplasie, teratoma cistico benigno (3,5 al 16% dei casi) • ++ unilaterale, con lieve prevalenza per il lato dx (per il maggior ingombro del colon a sin e per la maggiore mobilità del cieco e dell’ileo distale a destra) • Sintomatologia caratterizzata da dolore acuto nei quadranti inferiori a crisi subentranti • Se la torsione è parziale ed intermittente si può risolvere spontaneamente; la sintomatologia sarà subdola e si ripresenterà nel giro di poche ore, giorni o settimane • La diagnosi precoce può aiutare a prevenire danni irreversibili all’ovaio e si può tentare trattamento conservativo
  • 38.
    Torsione ovarica –Ecografia • primo esame in PS • ovaio di dimensioni aumentate rispetto al controlaterale • ovaio ipoecogeno per edema • numerosi follicoli ipertrofici per secrezione fluida endofollicolare dovuta all’ostruzione venosa • presenza di eventuale formazione espansiva (cisti, teratoma) • versamento nello scavo pelvico di significato reattivo • riduzione del flusso al Doppler
  • 39.
    Torsione ovarica –TC • aumento dimensioni ovaio • ipodensità per edema • iperdensità all’esame senza mdc (necrosi, emorragia) • enhancement disomogeneo dopo mdc • ispessimento della tuba • versamento fluido
  • 40.
    Rottura di cistiovarica o corpo luteo emorragico • frequente durante la fase luteinica del ciclo • se la parete rimane integra l’emorragia si Risoluzione autolimita • se la parete della cisti si rompe l’emorragia Emoperitoneo si riversa nello scavo pelvico • Esame senza mdc: presenza di fluido iperdenso • Possibile evidenziazione dello stravaso ematico attivo • Importanti DD: cisti endometriosica e GEU
  • 41.
    Torsione del testicolo Quadroclinico • Dolore testicolare irradiato all’inguine • Posizione antalgica • Scroto tumefatto • Danno ischemico irreversibile in 3-6 ore • Entro le 5-6 ore il testicolo si salva nell’80-100% dei casi • Dopo: 24% non si recupera più l’organo, rimozione • Nel 42% dei casi recidiva dallo stesso lato o dall’altro.
  • 42.
    Torsione del testicolo Infase acuta • Testicolo ingrandito ed ipoecogeno • Assenza di flusso al Color-Doppler • Epididimo ingrandito, disomogeneo • Idrocele avvolgente (bell clapper) • Pareti scrotali lievemente ispessite Dopo circa 12 ore • Testicolo etrogeneo per necrosi • Ipotrofico, volume ridotto
  • 43.
    Torsione del testicolo EcocolorDoppler: • sensibilità dell’85-100% in assenza di flusso parenchimale. • Importante anche la valutazione di una ridotta vascolarizzazione rispetto al controlaterale
  • 44.
    Conclusioni La Diagnostica perImmagini nell’urgenza pediatrica pone problemi significativi, sia dal punto di vista organizzativo che clinico. Occorre una stretta collaborazione ed integrazione tra clinici e Radiologi per evitare esami inutili ed inappropriati, ma allo stesso tempo sfruttare al massimo le potenzialità diagnostiche delle metodiche attualmente disponibili. A differenza che nell’adulto, in cui l’uso della TC è ormai prevalente e consolidato, in ambito pediatrico la diagnostica per immagini in urgenza poggia ancora in modo importante su radiologia tradizionale ed ecografia; soprattutto l’ecografia, può dare un contributo molto rilevante, purchè se ne eviti l’utilizzo “a pioggia” in assenza di precise indicazioni.
  • 45.
    Trauma in etàpediatrica  Causa più frequente di morte ed invalidità da 1 a 14 anni, rispetto a tutte le altre patologie maggiori: neoplasie, polmoniti, meningiti, cardiopatie ecc.  Negli USA: 22 milioni di bambini /anno subiscono un trauma  Nei bambini <1 anno 1000 decessi/anno per cadute, ustioni, annegamenti o soffocamenti. Fattori predisponenti sono fame o stanchezza o un ambiente nuovo (trasloco o vacanze).  Nell’adolescenza la causa più frequente sono incidenti stradali (passeggero – pedone – ciclista) , seguiti dagli omicidi  Incidenza di 4/100.000 bambini con < 1 anno, 7/ 100.000 bambini da 1 a 14 anni, 40/100.000 nell'età compresa tra i 15 e i 24 anni  Cadute ed incidenti: 90% dei traumi
  • 46.
  • 47.
    Differenze anatomo-fisiologiche conl’adulto A causa dell’elevato rapporto tra superficie corporea e volume corporeo l’energia trasmessa determina una maggiore forza applicata per unità di superficie corporea.  Minore quantità di tessuto adiposo  Minore quantità di tessuto elastico  Maggiore vicinanza organi interni  Scheletro più flessibile  danno possibile in assenza di frattura  Se presente una frattura costale  ipotizzare alto trasferimento di energia  Rapporto superficie/volume corporeo alto alla nascita diminuisce con la crescita  Molto temibile l’ipotermia
  • 48.
    Trauma pediatrico  Meccanismie caratteristiche fisiche  lesioni multiple  Ipotizzare l’interessamento di tutti gli organi fin quando non si dimostri il contrario  I bambini traumatizzati possono peggiorare rapidamente e sviluppare temibili complicanze Mortalità per trauma toracico: 15-25% Mortalità per trauma addominale: 3-15%
  • 49.
    Trauma pediatrico Nella gestionedel trauma pediatrico le priorità sono le stesse dell’adulto ma è bene ricordare che: il bambino non è un piccolo adulto, poiché si differenzia per caratteristiche anatomo-fisiologiche e psichiche che ne modificano la risposta al trauma e alle cure conseguenti
  • 50.
    Trauma pediatrico L’imaging giocaun ruolo fondamentale nei traumi in età pediatrica  Sintomi: non sempre riferiti con chiarezza  Esame obiettivo: difficile esecuzione  Torace: alta incidenza di lesioni interne in assenza di fratture costali  Addome: è la regione anatomica che più di frequente subisce lesioni non diagnosticate tempestivamente e potenzialmente fatali (mortalità 8%)
  • 51.
    Traumi addominali inetà pediatrica  Quale ruolo per l’Ecografia?  Quale ruolo per la TC?
  • 52.
    Traumi addominali Di fronteal trauma ad alta energia le procedure diagnostiche nel bambino sono le stesse che nell’adulto Pazienti Pazienti emodinamicamente emodinamicamente instabili stabili RX torace TC multistrato Ecografia FAST
  • 53.
    Trauma ad altaenergia Tomografia Computerizzata multistrato • Esame panoramico • Valutazione completa ed accurata di tutti gli organi • Valutazione degli indicatori prognostici (estensione della lesione, coinvolgimento strutture vascolari, sanguinamento attivo) • Ricostruzioni multiplanari Nel paziente politraumatizzato emodinamicamente stabile o stabilizzato dopo rianimazione primaria la TCms è la metodica di scelta per l’inquadramento diagnostico e prognostico
  • 54.
    Traumi addominali isolati Nelbambino, come nell’adulto, gli organi coinvolti più frequentemente sono il fegato, la milza e i reni, in rapporto a:  Sede (contiguità con coste, rachide e diaframma)  Dimensioni  Consistenza parenchimatosa  Posizione fissa
  • 55.
    Traumi addominali isolati Quale ruolo per l’Ecografia?  Ricerca di liquido libero in addome (emoperitoneo)  Ricerca di lesioni degli organi addominali
  • 56.
    Traumi addominali Quale ruolo per l’Ecografia?  Ricerca di liquido libero in addome (emoperitoneo)  Ricerca di lesioni degli organi addominali
  • 57.
    Traumi addominali –Limiti dell’ecografia di base Limitazioni tecniche di esecuzione dell’esame correlate alle condizioni cliniche del paziente Bassa accuratezza diagnostica nella definizione ed estensione delle lesioni parenchimali traumatiche rispetto alla TC con mdc (gold standard) Scarsa panoramicità e panesplorabilità Scarsa sensibilità nel rilievo dell’emoretroperitoneo
  • 58.
    Traumi addominali –Possibilità della CEUS Identificazione delle lesioni degli organi solidi Stadiazione delle lesioni Follow-up dei pazienti trattati conservativamente
  • 59.
    CEUS – Identificazionedelle lesioni  I mdc di II generazione permettono lo studio real-time della perfusione e le diverse fasi vascolari  Il segnale proveniente dai tessuti inerti è quasi del tutto cancellato  Possibilità di rilevare lesioni inapprezzabili all’ecografia di base  La sensibilità, rispetto all’eco senza mdc, sale dal 45,7% al 91,4% (Valentino M, AJR, 2006)  I focolai lacero-contusivi e gli ematomi (aree avascolari) appaiono ipoecogeni rispetto al parenchima sano circostante che appare iperecogeno dopo mdc  L’ecocontrasto, sfruttando un segnale di tipo vascolare, permette di identificare l’eventuale presenza di sanguinamento (fuoriuscita di microbolle)  Massima evidenza delle lesioni nella fase venosa
  • 60.
    CEUS – Indicazioni  Traumi localizzati  Traumi a bassa energia cinetica  Pazienti collaboranti  Pazienti pediatrici  Follow-up dei pazienti in trattamento conservativo
  • 61.
    CEUS – Identificazionedelle lesioni Lesione epatica di I grado Maggiore sensibilità nell’identificazione di piccole lesioni
  • 62.
    CEUS – Stadiazionedelle lesioni Lesione epatica di II grado “affiorante”
  • 63.
    CEUS – Stadiazionedelle lesioni Lesione epatica di III grado intraparenchimale Bambina, 10 aa, trauma diretto all’ipocondrio dx (calcio di cavallo)
  • 64.
    CEUS – Stadiazionedelle lesioni Lesione epatica di III grado
  • 65.
    Semeiotica TC: Emorragiaattiva Caduta dal monopattino, trauma localizzato, lacerazione della capsula epatica e sanguinamento attivo
  • 66.
  • 67.
    Lesione splenica diII grado “affiorante” alla capsula
  • 68.
    Lesione splenica diIII grado “affiorante”
  • 69.
  • 70.
    Lacerazione al 1/3 mediodel rene dx Ematoma perirenale
  • 71.
    Traumi del pancreas Rispetto all’adulto, i traumi del pancreas nel bambino sono più frequenti  Il meccanismo più comune è la compressione del pancreas contro il rachide lombare retrostante  Dovuti ad un urto diretto della regione epigastrica  Minor protezione da parte della parete addominale anteriore  Nel bambino: tipico il trauma da urto della regione epigastrica contro il manubrio della bicicletta  Regione più colpita: corpo-istmo
  • 72.
    Traumi pancreatici –Stadiazione di gravità Grado A: Contusione o lacerazione superficiale (< 50%) Grado B1: Lacerazione profonda (> 50%) corpo- coda Grado B2: Transezione del corpo - coda Grado C1: Lacerazione profonda della testa Grado C2: Transezione della testa Wong YJ, JCAT, 1997 • Esiste una lesione traumatica del pancreas? • Lacerazione parziale o transezione (frattura)? • Frattura distale o prossimale ? • Lesione del dotto? • Frattura comminuta/distruzione del pancreas? • Complicanze?
  • 73.
  • 74.
    Trauma associato dellobo sinistro del fegato e del corpo del pancreas In età pediatrica anche traumi lievi possono determinare una lesione Lesione del lobo sinistro Transezione del corpo pancreatico (B2) Cause: ridotto spessore, scarso sviluppo e ridotto tono dei piani muscolari della parete addominale
  • 75.
    Transezione del corpodel pancreas, senza diastasi dei frammenti, con sezione del dotto di Wirsung Modesta ectasia del dotto a livello della parte distale del corpo e della coda
  • 76.
    Transezione della testadel pancreas – Grado C2
  • 77.
    Traumi del pancreas– Tomografia Computerizzata • Valutazione accurata del danno pancreatico • Esplorazione panoramica: valutazione del coinvolgimento multiorgano e rilievo delle eventuali complicanze • Velocità di esecuzione Il limite è la difficoltà a stabilire con precisione la sede della eventuale lesione del dotto del Wirsung, di cui si può solo ipotizzarne un coinvolgimento in relazione all’entità e alla sede del danno parenchimale
  • 78.
    Conclusioni In età pediatrica,sia nelle emergenze traumatiche che non traumatiche, il quadro clinico è spesso aspecifico, a fronte di una situazione generale che può essere rapidamente ingravescente. A differenza che nell’adulto, in cui l’uso della TC è ormai prevalente e consolidato, la diagnostica per immagini in urgenza poggia ancora in modo importante su radiologia tradizionale ed ecografia. E’ necessario quindi che il radiologo conosca i quadri patologici più comuni in questa fascia di età e i corrispondenti reperti di imaging che possono orientare la diagnosi e l’iter terapeutico.