MENINGIOMA
Dr. Ayush Garg
•Introduction
•Epidemiology
•Risk Factors
•Clinical Features
•Investigations
•Treatment
•Follow Up
INTRODUCTION
• Meningioma was first coined by Harvey Cushing (1922).
• Refers to a set of tumors that arise contiguously to the meninges.
• Meningiomas may occur intracranially or within the spinal canal.
They are thought to arise from arachnoidal cap cells, which reside in
the arachnoid layer covering the surface of the brain.
Meningiomas can also occur in an intraventricular or
intraosseous location. (Rare)
EPIDEMIOLOGY
• 2-10 cases per 100,000 individuals.
• Account for approximately 20% of all primary intracranial neoplasms.
majority are benign, with about 1%-3% classified as malignant
98% are intracranial but may arise anywhere in central nervous system
• 2.3% of individuals have undiagnosed asymptomatic meningioma on
autopsy.
• Synchronous Meningiomas in 5-40% of cases.
• Women affected twice as often as men. (1:1.4 to 1:2.8)
8.4-9.6 for women vs 2.2-3.8 for men per 100,000.
• Incidence increases with age.
RISK FACTORS
• Likely
First degree relative.
NF2 gene – Chromosome 22q12.2
• Merlin Protein (thought to be involved in cell-to-cell contact and motility)
• Lower expression in meningioma and loss of Merlin protein lead to
development of benign meningioma.
Exposure to ionizing radiation
• Cranial radiation associated with increased risk of meningioma and other central
nervous system tumors in survivors of childhood cancer.
• Computed tomography scans during childhood or adolescence associated with
increased risk of brain cancer.
any cancer
brain cancer
• Possible
HRT
Obesity
Intrathecal Methotrexate
Oral Contraceptive
• Current or past hormone replacement therapy associated with
increased risk of meningioma.
• Increased with any estradiol-only therapy.
• Increased with use of estradiol-only for ≥ 3 years.
• Not significantly affected by use of estradiol plus progestin.
• Obesity associated with increased risk of meningioma
compared to normal weight.
Associated Syndromes
•Hereditary syndromes associated with
meningioma include
Li-Fraumeni syndrome – AD, TP53, Sarcoma, breast,
leukaemia and adrenal gland (SBLA) syndrome.
Turcot – DNA repair, HNPCC + Brain tumour.
Gardener – Cr5q21, APC, AD
Von Hippel-Lindau – Cr3p25, AD, VHL suppresor gene
Cowden – PTEN tumour suppresor.
Gorlin – Cr9q22 PTCH1 tumour suppressor
Multiple endocrine neoplasia type I – pituitary, parathyroid,
and pancreas.
Cause
• Unknown
• NF2 gene – familial cases.
CLINICAL FEATURES
• Presentation depends on size and location of tumor frequent
manifestations include:
– Partial seizures (most common symptom)
– Headache
– Personality changes
– Neuropsychological deficits
– Sensory-motor symptoms
– Visual symptoms eg Foster-Kennedy
– Aphasia
Mechanism
• Irritation: By irritating the underlying cortex, meningiomas can cause
seizures. New-onset seizures in adults justify neuroimaging (eg, MRI) to
exclude the possibility of an intracranial neoplasm.
• Compression: Localized or nonspecific headaches are common.
Compression of the underlying brain can give rise to focal or more
generalized cerebral dysfunction, as evinced by focal weakness, dysphasia,
apathy, and/or somnolence.
• Causing reactive swelling in brain tissue surrounding the tumor
• Blocking the flow of the cerebrospinal fluid (CSF) (hydrocephalus) in the
brain and spinal cord resulting in its accumulation
• Blocking the flow of blood in various veins and arteries in the head by
compressing these structures or invading them.
• Others:
Meningiomas in the vicinity of the sella turcica may produce
panhypopituitarism.
Meningiomas that compress the visual pathways produce various visual field
defects, depending on their location. – e.g. Foster Kennedy syndrome
Location
• 85-90% supratentorial
45% parasagittal, convexities
15-20% sphenoid ridge
10% olfactory groove / planum sphenoidale
5-10% juxtasellar
• 5-10% infratentorial
• < 5% miscellaneous intracranial
intraventricular meningioma (choroid plexus)
optic nerve meningioma
pineal gland
spinal : especially thoracic
• <1% "extra dural"
sinonasal cavity : most common
intraosseous and may involve scalp
parotid gland
skin
IMAGING
• Meningiomas are located at any site where meninges are found.
• Modalities
X Ray
CT
MRI
X Ray
• X Ray no longer have a role in the diagnosis or management of
meningiomas. Historically a number of features were observed,
including:
enlarged meningeal A. grooves
hyperostosis or lytic regions
calcification
Computerized Tomography
CT is often the first modality employed to investigate
neurological signs or symptoms, and often is the modality
which detects an incidental lesion.
• 60% slightly hyper-dense to normal brain
• 20-30% have some calcification 8
• 72% brightly and homogenously contrast enhance 8, less frequent in
malignant or cystic variants
• Hyperostosis
otypical for meningiomas that abut the base of skull
oneed to distinguish reactive hyperostosis from skull vault invasion (eventually
involves the outer table too)
Lytic regions
MRI
• MRI is the investigation of choice for the diagnosis and
characterization of meningiomas.
• When appearance and location is typical, the diagnosis can be made
with a very high degree of certainty.
• Typically appear as extra-axial masses with a broad dural base. They
are usually homogeneous and well circumscribed.
Frontal view at MRI of a typical convexity
meningioma
Parafalx meningioma Buckling of
white matter(Thick arrow) and
Dural tail enhancement(thin
arrow)
Dural tail
CECT
MRI:POST CONTRAST AXIA & SAGITTAL:
Sphenoid wing meningioma
Cisterns are widened(thick arrow)
& Dural tail enhancement(Thin arrow)
EXTRAAXIAL SOLS: MENINGIOMAs, Dural tail enhancement& widened
cisterns
PET-CT Scan
• There is no established role of PET-CT Scan
Pathology
Macroscopic Microscopic
In general there are two main
macroscopic forms: globose and en
plaque.
• Globose are rounded, well defined
dural masses, likened to the
appearance of a fried egg seen in
profile.
• En plaque meningiomas on the
other hand are extensive regions
of dural thickening.
• Arise from meningothelial arachnoid
cells
• Histological sub types include
Transitional
Fibroblastic
Syncytial
Psammomatous
Secretory
Microcytic
Papillary and rhabdoid : have a
propensity to recur
HISTOLOGICAL GRADING
• WHO grading 1993, 2000, 2007:
• WHO 1 meningioma : 80-90%
• Varying rates of progression to higher grade
• 7%-20% recurrence rate
• Pathologic features include
• Pleomorphic,
• Occasional mitotic figures,
• Absence of pathologic features found in atypical or anaplastic
meningiomas
• Histologic types include
• Meningothelial,
• Psammomatous,
• Secretory,
• Fibroblastic,
• Angiomatous,
• Lymphoplasmacyte rich,
• Transitional,
• Microcytic,
• Metaplastic
• WHO 2 atypical meningioma (atypical, clear cell,
chordoid) : 5-15 %
• 30%-40% recurrence rate
• Pathologic features include any of
• 4 mitotic figures per 10 high-power fields of 0.16
mm2
• 3 of (a) increased cellularity, (b) small cells with
high N:C ratio, (c) prominent nucleoli, (d) sheet-like
growth, (e) necrosis
• Brain invasion
• WHO 3 malignant meningioma (rhabdoid, anaplastic, papillary) :
1-3 %
• 50%-80% recurrence rate
• pathologic features require 20 mitotic figures per 10 high-power
fields of 0.16 mm2 or frank anaplastic features
TREATMENT
Overview
• Treatment depends on meningioma size and location, and on
patient age, symptoms, comorbidities, health status, and treatment
preference
• Conservative management, consisting of observation with close
monitoring of clinical and disease status, may be option for
patients with asymptomatic meningioma
• For patients with symptomatic meningioma, or with asymptomatic
progressively enlarging tumors, complete surgical resection
recommended, where possible
• Alternative options include
Partial surgical resection plus radiation therapy
Radiation therapy
• For patients with inoperable or recurrent meningioma after surgery
or radiation therapy, medical therapies may be tried but have
limited and inconsistent evidence of efficacy
Treatment Modalities
The available treatment
modalities are-
Observation Surgery Radiotherapy Chemotherapy
Selecting treatment modality
• Meningioma treatment approach treatment of asymptomatic meningioma
 For lesions < 3 cm (long axis), options include
Observation
Surgery for tumor with potential neurologic consequences if
accessible, followed by radiation therapy for world health organization
(WHO) grade III tumor or for subtotal resection of WHO grade II
tumor
Radiotherapy for tumor with potential for neurologic consequences
 For lesions > 3 cm, options include
Surgery if tumor is accessible followed by radiotherapy if tumor is
WHO grade III, and consider radiotherapy if resection is incomplete
and tumor is WHO grade I or II
Observation
• Treatment of symptomatic meningioma
 For lesions < 3 cm, options include
Surgery if tumor is accessible, followed by radiotherapy for
WHO grade III tumors
Radiotherapy
 For lesions > 3 cm, options include
Surgery if tumor is accessible, followed by radiotherapy for
WHO grade III tumors, and consider radiotherapy for
incomplete resection of WHO grade I or II tumors
Radiotherapy
• Treatment options for recurrent meningioma include
Surgery if accessible, or radiotherapy
Additional radiotherapy if tumor not surgically accessible
Chemotherapy if tumor not surgically accessible and additional
radiotherapy not possible
Medical
• Indications of Medical Therapy
 Malignant tumors,
 Inoperable tumors,
 Patients not candidates for surgery, or
 When other treatment options have been exhausted
• Types:
Chemotherapy
Hormonal therapy for unresectable or recurrent meningioma
Other
Somatostatin receptor agents
Targeted molecular agents for recurrent or progressive
meningioma
Chemotherapy
• Hydroxyurea
• Patients with progression of World Health Organization (WHO)
Grade II or III meningioma treated with hydroxyurea reported
to have median 2 months progression-free survival.
• Cyclophosphamide, Adriamycin, and Vincristine (CAV)
• Patients with malignant meningioma treated with CAV
chemotherapy following surgery and radiation therapy reported
to have median survival 5.3 years
Hormonal Therapy
• Tamoxifen reported to improve or stabilize refractory unresectable
meningioma in some patients
• Mifepristone reported to improve tumor size or visual field in
some patients with unresectable meningioma
• Patients with refractory recurrent meningioma treated with
temozolomide reported to have median survival 7.5 months
Other Agents
Somatostatin Analogues
• Patients with recurrent WHO grade II or III meningioma treated
with octreotide reported to have median 4.2 months to progression
• Patients with recurrent or progressive unresectable meningioma
treated with octreotide reported to have median 17 weeks to
progression
• Patients with progressive recurrent meningioma treated with 90y-
edotreotide radionuclide therapy reported to have median survival
69 months for WHO grade I tumors and 30.5 months for WHO
grade II-III tumors
Interferon α
• Patients with progression of WHO grade I unresectable
meningioma treated with interferon alpha reported to have median
survival 8 months
• Targeted molecular agents for recurrent or progressive
meningioma
• Patients with recurrent meningioma following surgery and
radiation therapy treated with Imatinib (tyrosine kinase inhibitor)
600-800 mg/day reported to have median progression-free survival
of 2 months in case series of 23 patients.
• Patients with recurrent meningioma treated with an epidural
growth factor inhibitor, Gefitinib or Erlotinib, reported to have
median overall survival of 23 months.
Seizure Prophylaxis
Prophylactic antiepileptic drugs may not be effective for prevention
of seizures in patients having craniotomy
• Systematic review of 6 randomized trials evaluating prophylactic treatment
with antiepileptic drugs in 1,398 patients without epilepsy having craniotomy
• Comparing phenytoin to placebo or no treatment
• Phenytoin significantly reduced early seizures (< 1 week postoperatively) in 1 of 4 trials
• No significant differences in late seizures in 3 of 3 trials
• No significant differences in any outcomes comparing other antiepileptics vs.
No treatment or comparing different antiepileptics
Surgery
Simpson Grading 1957
• Grade I
complete removal including resection of underlying bone and associated
dura
9% symptomatic recurrence at 10 years
• Grade II
complete removal and coagulation of dural attachment
19% symptomatic recurrence at 10 years
• Grade III
complete removal w/o resection of dura or coagulation
29% symptomatic recurrence at 10 years
• Grade IV
subtotal resection
44% symptomatic recurrence at 10 years
• Grade V
decompression with or without biopsy
100% symptomatic recurrence at 10 years (small sample in original paper)
Embolization
• Preoperative embolization of meningioma to minimize intraoperative
bleeding
• Embolization may be an alternative primary treatment of
meningioma for patients not candidates for craniotomy and surgical
resection. - Reported associated with marked tumor shrinkage over
20 months.
Radiotherapy
Overview
• Conventional radiation therapy
• Stereotactic radiosurgery
Gamma Knife
Cyber Knife
• Fractionated stereotactic radiosurgery
• Intensity-modulated radiation therapy (IMRT)
Indications/Side effects
• Primary treatment for inoperable meningioma or for patients for whom
surgery would be inappropriate
follow-up treatment for patients with incomplete resection of meningioma
• Complete tumor eradication not possible but tumor shrinkage reported
• Treatment to dose of 54 Gy for Grade I and 60 Gy for Grade II-III.
• Complications of radiation therapy may include
Alopecia
Tooth loss
New onset seizures
Neurological deficits
Cranial nerve palsy
Headache
Edema
Radio-necrosis
Delayed hydrocephalus
Conventional – Whole Brain Radiotherapy
• Conventional radiation therapy used to treat incompletely resected
meningioma, or treat patients for whom surgery is inappropriate
• Addition of radiation therapy to partial resection may not improve
overall survival but may reduce tumor progression in patients with
WHO Grade I cerebral meningioma.
5-year progression-free survival91% for partial tumor resection plus radiation therapy
vs. 38% for partial tumor resection alone (p = 0.0005)
77% for total tumor resection vs. 52% for partial tumor resection with or without
radiation therapy (p = 0.02)
65% overall
• Whole-brain irradiation is administered through parallel-opposed
lateral portals. The inferior field border should be inferior to the
cribriform plate, the middle cranial fossa, and the foramen magnum,
all of which should be distinguishable on simulation or portal
localization radiographs.
• The safety margin depends on penumbra width, head fixation, and
anatomic factors but should be at least 1 cm, even under optimal
conditions.
• A special problem arises anteriorly because sparing of the ocular
lenses and lacrimal glands may require blocking with margins <5 mm
at the cribriform plate.
• The anterior border of the field should be approximately 3 cm
posterior to the ipsilateral eyelid for the diverging beam to exclude
the contralateral lens. However, this results in only approximately
40% of the prescribed dose to the posterior eye.
• A better alternative is to angle the beam approximately 3 degrees or
more (100- or 80-cm source-to-axis distance midline, but also field
size dependent) against the frontal plane so that the anterior beam
border traverses posterior to the lenses (approximately 2 cm
posterior to eyelid markers).
• Placing a radiopaque marker on both lateral canthi and aligning the
markers permits individualization in terms of the couch angle.
• This arrangement provides full dose to the posterior eyes. However,
the eyelid-to-lens and eyelid-to-retina topography is individually
more constant than the canthus, and lateral beam eye shielding is
better individualized with the aid of CT or MRI scans.
• When in doubt about tumor coverage or lens sparing for tumors in a
subfrontal or middle cranial fossa location, one should consider CT-
based contouring and planning.
SRS
• Stereotactic radiosurgery (SRS) may be alternative to external beam
radiation in patients with recurrent or partially resected
meningiomas < 35 mm in diameter
• Contraindications to surgery due to comorbidities or tumor location
• Skull base tumors of small or moderate size, for which surgical
resection carries greater risk
• Allows larger radiation doses to be delivered more accurately and
limits radiation exposure to surrounding tissue.
Fractionated SRS
• Fractionated stereotactic radiation therapy spares normal tissue
sensitive to hypofractionation.
• Preferred treatment of optic nerve sheath meningioma.
Examples of radiation therapy planning of
(A) stereotactic radiosurgery as a salvage therapy for a patient
with recurrent meningioma,
(B) fractionated stereotactic radiotherapy as a definitive
therapy for a patient with unresectable tumor due to a high
risk of cranial nerve damage after a surgery and
(C) 3-dimensional conformal radiotherapy as a postoperative
radiotherapy for a patient with residual tumor after surgical
resection.
Gamma Knife
Based on case series of 4,565 patients with 5,300 benign meningiomas
• 10-year progression-free survival 88.6% and 5-year progression-free survival
95.2%
• Permanent morbidity rate at last follow-up 6.6%
• Tumor volume after treatment
Decreased in 58%
Unchanged in 34.5%
Increased in 7.5%
Gamma knife stereotactic radiosurgery as primary treatment for
cavernous sinus meningiomas may be associated with better
neurologic recovery than surgical resection with adjuvant radiosurgery.
The scans below show a patient with meningioma
The scans below show the same patient with meningioma SIX
MONTHS after gamma knife treatment.
Cyber Knife
Multisession Cyber Knife radiosurgery for a petrosal meningioma in a patient
affected by multiple sclerosis.
IMRT
• IMRT is computer optimized 3D conformal tumor localization with
computer-controlled radiation intensity modulation
• Appropriate for tumors that are irregularly shaped and too large for
stereotactic radiosurgery.
Emerging Role of Proton Therapy
Radiation oncologists at the Roberts Proton Therapy Center are
conducting a Phase II clinical trial to ascertain the feasibility of
proton therapy as an adjunct to surgery for WHO Grade I-III
meningiomas and hemangiopericytomas.
This study seeks to assess the effect of proton therapy on rates of
acute toxicity, fatigue and quality of life in the same population. The
frequency of recurrence and long term toxicity will also be
evaluated.
The Most Significant Benefits of Proton
Therapy
• Causes fewer short- and long-term
side effects
• Proven to be effective in adults and
children
• Targets tumors and cancer cells
with precision, reducing the risk of
damage to surrounding healthy
tissue and organs
• Reduces the likelihood of secondary
tumors caused by treatment
• Treats recurrent tumors, even in
patients who have already received
radiation
• Improves quality of life during and
after treatment
Study Compares Effects of X-ray Radiation with
Proton Therapy
• A study analyzed patients
treated with X-ray radiation and
compared them with patients
treated with proton therapy.
• Of the patients treated with X-
ray radiation, 12.8% developed
secondary cancers caused by
treatment, while only 6.4% of
the proton therapy patients
developed secondary cancers.
Follow up and Prognosis
Follow up
• No standard guidelines for follow-up.
• For symptomatic patients, individualize follow-up based on tumor grade,
previous treatment, and remaining treatment options
Consider first magnetic resonance imaging 3-6 months after surgery or
radiotherapy
Perform subsequent magnetic resonance imaging (MRI) every 6 months for 2
years in clinically stable patients, and then every year as indicated, and
thereafter, every 2 years
For patients with atypical or malignant meningioma, MRI every 3 months during
first year and subsequently as for malignant brain tumors
• For asymptomatic meningioma
Observation with close clinical and radiological follow-up
Serial volumetric measurements of tumor are useful, especially in younger
patients with greater potential for tumor growth
Prognosis
• Median patient survival reported as:
 10 years for WHO grade I meningioma
 11.5 years for WHO grade II meningioma
 2.7 years for WHO grade III meningioma
• Patients with meningioma have reduced survival compared to
general population.
 Compared to population without meningioma, meningioma associated with83% 1-year
relative survival rate
 71% 15-year relative survival rate
• 5-year survival rate:
 81% for patients aged 21-64 years and 56% for patients ≥ 65 years old
• Larger tumor size at presentation and faster tumor growth rate
might be associated with new or worsening symptoms in patients
with untreated meningiomas
 4% with tumor diameter < 2 cm, 17% with tumor diameter > 2.5 to 3 cm
 0% with tumor diameter 2-2.5 cm growing at ≤ 10% per year AND42% with tumor
diameter 2-2.5 cm growing at ≥ 10% per year
• For benign meningiomas, factors independently associated
with longer survival included:
female sex, Caucasian race, surgery, small tumor size, no radiation
treatment, skull base tumor, and treatment at community
hospitals
• For malignant meningiomas, factors independently
associated with longer survival included:
Younger age at diagnosis, female sex, surgery, no radiation
treatment, and ≥ 800 new cancer cases seen per year by the
treating hospital
THANK YOU

Meningioma final

  • 1.
  • 2.
  • 3.
    INTRODUCTION • Meningioma wasfirst coined by Harvey Cushing (1922). • Refers to a set of tumors that arise contiguously to the meninges. • Meningiomas may occur intracranially or within the spinal canal. They are thought to arise from arachnoidal cap cells, which reside in the arachnoid layer covering the surface of the brain. Meningiomas can also occur in an intraventricular or intraosseous location. (Rare)
  • 4.
    EPIDEMIOLOGY • 2-10 casesper 100,000 individuals. • Account for approximately 20% of all primary intracranial neoplasms. majority are benign, with about 1%-3% classified as malignant 98% are intracranial but may arise anywhere in central nervous system • 2.3% of individuals have undiagnosed asymptomatic meningioma on autopsy. • Synchronous Meningiomas in 5-40% of cases. • Women affected twice as often as men. (1:1.4 to 1:2.8) 8.4-9.6 for women vs 2.2-3.8 for men per 100,000. • Incidence increases with age.
  • 5.
    RISK FACTORS • Likely Firstdegree relative. NF2 gene – Chromosome 22q12.2 • Merlin Protein (thought to be involved in cell-to-cell contact and motility) • Lower expression in meningioma and loss of Merlin protein lead to development of benign meningioma. Exposure to ionizing radiation • Cranial radiation associated with increased risk of meningioma and other central nervous system tumors in survivors of childhood cancer. • Computed tomography scans during childhood or adolescence associated with increased risk of brain cancer. any cancer brain cancer
  • 6.
    • Possible HRT Obesity Intrathecal Methotrexate OralContraceptive • Current or past hormone replacement therapy associated with increased risk of meningioma. • Increased with any estradiol-only therapy. • Increased with use of estradiol-only for ≥ 3 years. • Not significantly affected by use of estradiol plus progestin. • Obesity associated with increased risk of meningioma compared to normal weight.
  • 7.
    Associated Syndromes •Hereditary syndromesassociated with meningioma include Li-Fraumeni syndrome – AD, TP53, Sarcoma, breast, leukaemia and adrenal gland (SBLA) syndrome. Turcot – DNA repair, HNPCC + Brain tumour. Gardener – Cr5q21, APC, AD Von Hippel-Lindau – Cr3p25, AD, VHL suppresor gene Cowden – PTEN tumour suppresor. Gorlin – Cr9q22 PTCH1 tumour suppressor Multiple endocrine neoplasia type I – pituitary, parathyroid, and pancreas.
  • 8.
    Cause • Unknown • NF2gene – familial cases.
  • 9.
  • 10.
    • Presentation dependson size and location of tumor frequent manifestations include: – Partial seizures (most common symptom) – Headache – Personality changes – Neuropsychological deficits – Sensory-motor symptoms – Visual symptoms eg Foster-Kennedy – Aphasia
  • 11.
    Mechanism • Irritation: Byirritating the underlying cortex, meningiomas can cause seizures. New-onset seizures in adults justify neuroimaging (eg, MRI) to exclude the possibility of an intracranial neoplasm. • Compression: Localized or nonspecific headaches are common. Compression of the underlying brain can give rise to focal or more generalized cerebral dysfunction, as evinced by focal weakness, dysphasia, apathy, and/or somnolence. • Causing reactive swelling in brain tissue surrounding the tumor
  • 12.
    • Blocking theflow of the cerebrospinal fluid (CSF) (hydrocephalus) in the brain and spinal cord resulting in its accumulation • Blocking the flow of blood in various veins and arteries in the head by compressing these structures or invading them. • Others: Meningiomas in the vicinity of the sella turcica may produce panhypopituitarism. Meningiomas that compress the visual pathways produce various visual field defects, depending on their location. – e.g. Foster Kennedy syndrome
  • 13.
    Location • 85-90% supratentorial 45%parasagittal, convexities 15-20% sphenoid ridge 10% olfactory groove / planum sphenoidale 5-10% juxtasellar • 5-10% infratentorial • < 5% miscellaneous intracranial intraventricular meningioma (choroid plexus) optic nerve meningioma pineal gland spinal : especially thoracic • <1% "extra dural" sinonasal cavity : most common intraosseous and may involve scalp parotid gland skin
  • 15.
    IMAGING • Meningiomas arelocated at any site where meninges are found. • Modalities X Ray CT MRI
  • 16.
    X Ray • XRay no longer have a role in the diagnosis or management of meningiomas. Historically a number of features were observed, including: enlarged meningeal A. grooves hyperostosis or lytic regions calcification
  • 17.
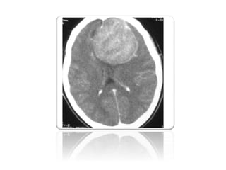
    Computerized Tomography CT isoften the first modality employed to investigate neurological signs or symptoms, and often is the modality which detects an incidental lesion. • 60% slightly hyper-dense to normal brain • 20-30% have some calcification 8 • 72% brightly and homogenously contrast enhance 8, less frequent in malignant or cystic variants • Hyperostosis otypical for meningiomas that abut the base of skull oneed to distinguish reactive hyperostosis from skull vault invasion (eventually involves the outer table too) Lytic regions
  • 19.
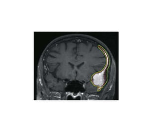
    MRI • MRI isthe investigation of choice for the diagnosis and characterization of meningiomas. • When appearance and location is typical, the diagnosis can be made with a very high degree of certainty. • Typically appear as extra-axial masses with a broad dural base. They are usually homogeneous and well circumscribed. Frontal view at MRI of a typical convexity meningioma
  • 20.
    Parafalx meningioma Bucklingof white matter(Thick arrow) and Dural tail enhancement(thin arrow) Dural tail CECT MRI:POST CONTRAST AXIA & SAGITTAL: Sphenoid wing meningioma Cisterns are widened(thick arrow) & Dural tail enhancement(Thin arrow) EXTRAAXIAL SOLS: MENINGIOMAs, Dural tail enhancement& widened cisterns
  • 21.
    PET-CT Scan • Thereis no established role of PET-CT Scan
  • 22.
  • 23.
    Macroscopic Microscopic In generalthere are two main macroscopic forms: globose and en plaque. • Globose are rounded, well defined dural masses, likened to the appearance of a fried egg seen in profile. • En plaque meningiomas on the other hand are extensive regions of dural thickening. • Arise from meningothelial arachnoid cells • Histological sub types include Transitional Fibroblastic Syncytial Psammomatous Secretory Microcytic Papillary and rhabdoid : have a propensity to recur
  • 24.
    HISTOLOGICAL GRADING • WHOgrading 1993, 2000, 2007: • WHO 1 meningioma : 80-90% • Varying rates of progression to higher grade • 7%-20% recurrence rate • Pathologic features include • Pleomorphic, • Occasional mitotic figures, • Absence of pathologic features found in atypical or anaplastic meningiomas • Histologic types include • Meningothelial, • Psammomatous, • Secretory, • Fibroblastic, • Angiomatous, • Lymphoplasmacyte rich, • Transitional, • Microcytic, • Metaplastic
  • 25.
    • WHO 2atypical meningioma (atypical, clear cell, chordoid) : 5-15 % • 30%-40% recurrence rate • Pathologic features include any of • 4 mitotic figures per 10 high-power fields of 0.16 mm2 • 3 of (a) increased cellularity, (b) small cells with high N:C ratio, (c) prominent nucleoli, (d) sheet-like growth, (e) necrosis • Brain invasion
  • 26.
    • WHO 3malignant meningioma (rhabdoid, anaplastic, papillary) : 1-3 % • 50%-80% recurrence rate • pathologic features require 20 mitotic figures per 10 high-power fields of 0.16 mm2 or frank anaplastic features
  • 27.
  • 28.
    Overview • Treatment dependson meningioma size and location, and on patient age, symptoms, comorbidities, health status, and treatment preference • Conservative management, consisting of observation with close monitoring of clinical and disease status, may be option for patients with asymptomatic meningioma
  • 29.
    • For patientswith symptomatic meningioma, or with asymptomatic progressively enlarging tumors, complete surgical resection recommended, where possible • Alternative options include Partial surgical resection plus radiation therapy Radiation therapy • For patients with inoperable or recurrent meningioma after surgery or radiation therapy, medical therapies may be tried but have limited and inconsistent evidence of efficacy
  • 30.
    Treatment Modalities The availabletreatment modalities are- Observation Surgery Radiotherapy Chemotherapy
  • 31.
    Selecting treatment modality •Meningioma treatment approach treatment of asymptomatic meningioma  For lesions < 3 cm (long axis), options include Observation Surgery for tumor with potential neurologic consequences if accessible, followed by radiation therapy for world health organization (WHO) grade III tumor or for subtotal resection of WHO grade II tumor Radiotherapy for tumor with potential for neurologic consequences  For lesions > 3 cm, options include Surgery if tumor is accessible followed by radiotherapy if tumor is WHO grade III, and consider radiotherapy if resection is incomplete and tumor is WHO grade I or II Observation
  • 32.
    • Treatment ofsymptomatic meningioma  For lesions < 3 cm, options include Surgery if tumor is accessible, followed by radiotherapy for WHO grade III tumors Radiotherapy  For lesions > 3 cm, options include Surgery if tumor is accessible, followed by radiotherapy for WHO grade III tumors, and consider radiotherapy for incomplete resection of WHO grade I or II tumors Radiotherapy
  • 33.
    • Treatment optionsfor recurrent meningioma include Surgery if accessible, or radiotherapy Additional radiotherapy if tumor not surgically accessible Chemotherapy if tumor not surgically accessible and additional radiotherapy not possible
  • 34.
    Medical • Indications ofMedical Therapy  Malignant tumors,  Inoperable tumors,  Patients not candidates for surgery, or  When other treatment options have been exhausted • Types: Chemotherapy Hormonal therapy for unresectable or recurrent meningioma Other Somatostatin receptor agents Targeted molecular agents for recurrent or progressive meningioma
  • 35.
    Chemotherapy • Hydroxyurea • Patientswith progression of World Health Organization (WHO) Grade II or III meningioma treated with hydroxyurea reported to have median 2 months progression-free survival. • Cyclophosphamide, Adriamycin, and Vincristine (CAV) • Patients with malignant meningioma treated with CAV chemotherapy following surgery and radiation therapy reported to have median survival 5.3 years
  • 36.
    Hormonal Therapy • Tamoxifenreported to improve or stabilize refractory unresectable meningioma in some patients • Mifepristone reported to improve tumor size or visual field in some patients with unresectable meningioma • Patients with refractory recurrent meningioma treated with temozolomide reported to have median survival 7.5 months
  • 37.
    Other Agents Somatostatin Analogues •Patients with recurrent WHO grade II or III meningioma treated with octreotide reported to have median 4.2 months to progression • Patients with recurrent or progressive unresectable meningioma treated with octreotide reported to have median 17 weeks to progression • Patients with progressive recurrent meningioma treated with 90y- edotreotide radionuclide therapy reported to have median survival 69 months for WHO grade I tumors and 30.5 months for WHO grade II-III tumors
  • 38.
    Interferon α • Patientswith progression of WHO grade I unresectable meningioma treated with interferon alpha reported to have median survival 8 months
  • 39.
    • Targeted molecularagents for recurrent or progressive meningioma • Patients with recurrent meningioma following surgery and radiation therapy treated with Imatinib (tyrosine kinase inhibitor) 600-800 mg/day reported to have median progression-free survival of 2 months in case series of 23 patients. • Patients with recurrent meningioma treated with an epidural growth factor inhibitor, Gefitinib or Erlotinib, reported to have median overall survival of 23 months.
  • 40.
    Seizure Prophylaxis Prophylactic antiepilepticdrugs may not be effective for prevention of seizures in patients having craniotomy • Systematic review of 6 randomized trials evaluating prophylactic treatment with antiepileptic drugs in 1,398 patients without epilepsy having craniotomy • Comparing phenytoin to placebo or no treatment • Phenytoin significantly reduced early seizures (< 1 week postoperatively) in 1 of 4 trials • No significant differences in late seizures in 3 of 3 trials • No significant differences in any outcomes comparing other antiepileptics vs. No treatment or comparing different antiepileptics
  • 41.
  • 42.
    Simpson Grading 1957 •Grade I complete removal including resection of underlying bone and associated dura 9% symptomatic recurrence at 10 years • Grade II complete removal and coagulation of dural attachment 19% symptomatic recurrence at 10 years • Grade III complete removal w/o resection of dura or coagulation 29% symptomatic recurrence at 10 years • Grade IV subtotal resection 44% symptomatic recurrence at 10 years • Grade V decompression with or without biopsy 100% symptomatic recurrence at 10 years (small sample in original paper)
  • 43.
    Embolization • Preoperative embolizationof meningioma to minimize intraoperative bleeding • Embolization may be an alternative primary treatment of meningioma for patients not candidates for craniotomy and surgical resection. - Reported associated with marked tumor shrinkage over 20 months.
  • 44.
  • 45.
    Overview • Conventional radiationtherapy • Stereotactic radiosurgery Gamma Knife Cyber Knife • Fractionated stereotactic radiosurgery • Intensity-modulated radiation therapy (IMRT)
  • 46.
    Indications/Side effects • Primarytreatment for inoperable meningioma or for patients for whom surgery would be inappropriate follow-up treatment for patients with incomplete resection of meningioma • Complete tumor eradication not possible but tumor shrinkage reported • Treatment to dose of 54 Gy for Grade I and 60 Gy for Grade II-III. • Complications of radiation therapy may include Alopecia Tooth loss New onset seizures Neurological deficits Cranial nerve palsy Headache Edema Radio-necrosis Delayed hydrocephalus
  • 47.
    Conventional – WholeBrain Radiotherapy • Conventional radiation therapy used to treat incompletely resected meningioma, or treat patients for whom surgery is inappropriate • Addition of radiation therapy to partial resection may not improve overall survival but may reduce tumor progression in patients with WHO Grade I cerebral meningioma. 5-year progression-free survival91% for partial tumor resection plus radiation therapy vs. 38% for partial tumor resection alone (p = 0.0005) 77% for total tumor resection vs. 52% for partial tumor resection with or without radiation therapy (p = 0.02) 65% overall
  • 48.
    • Whole-brain irradiationis administered through parallel-opposed lateral portals. The inferior field border should be inferior to the cribriform plate, the middle cranial fossa, and the foramen magnum, all of which should be distinguishable on simulation or portal localization radiographs. • The safety margin depends on penumbra width, head fixation, and anatomic factors but should be at least 1 cm, even under optimal conditions. • A special problem arises anteriorly because sparing of the ocular lenses and lacrimal glands may require blocking with margins <5 mm at the cribriform plate.
  • 49.
    • The anteriorborder of the field should be approximately 3 cm posterior to the ipsilateral eyelid for the diverging beam to exclude the contralateral lens. However, this results in only approximately 40% of the prescribed dose to the posterior eye. • A better alternative is to angle the beam approximately 3 degrees or more (100- or 80-cm source-to-axis distance midline, but also field size dependent) against the frontal plane so that the anterior beam border traverses posterior to the lenses (approximately 2 cm posterior to eyelid markers). • Placing a radiopaque marker on both lateral canthi and aligning the markers permits individualization in terms of the couch angle. • This arrangement provides full dose to the posterior eyes. However, the eyelid-to-lens and eyelid-to-retina topography is individually more constant than the canthus, and lateral beam eye shielding is better individualized with the aid of CT or MRI scans. • When in doubt about tumor coverage or lens sparing for tumors in a subfrontal or middle cranial fossa location, one should consider CT- based contouring and planning.
  • 52.
    SRS • Stereotactic radiosurgery(SRS) may be alternative to external beam radiation in patients with recurrent or partially resected meningiomas < 35 mm in diameter • Contraindications to surgery due to comorbidities or tumor location • Skull base tumors of small or moderate size, for which surgical resection carries greater risk • Allows larger radiation doses to be delivered more accurately and limits radiation exposure to surrounding tissue.
  • 54.
    Fractionated SRS • Fractionatedstereotactic radiation therapy spares normal tissue sensitive to hypofractionation. • Preferred treatment of optic nerve sheath meningioma.
  • 55.
    Examples of radiationtherapy planning of (A) stereotactic radiosurgery as a salvage therapy for a patient with recurrent meningioma, (B) fractionated stereotactic radiotherapy as a definitive therapy for a patient with unresectable tumor due to a high risk of cranial nerve damage after a surgery and (C) 3-dimensional conformal radiotherapy as a postoperative radiotherapy for a patient with residual tumor after surgical resection.
  • 56.
    Gamma Knife Based oncase series of 4,565 patients with 5,300 benign meningiomas • 10-year progression-free survival 88.6% and 5-year progression-free survival 95.2% • Permanent morbidity rate at last follow-up 6.6% • Tumor volume after treatment Decreased in 58% Unchanged in 34.5% Increased in 7.5% Gamma knife stereotactic radiosurgery as primary treatment for cavernous sinus meningiomas may be associated with better neurologic recovery than surgical resection with adjuvant radiosurgery.
  • 57.
    The scans belowshow a patient with meningioma The scans below show the same patient with meningioma SIX MONTHS after gamma knife treatment.
  • 58.
    Cyber Knife Multisession CyberKnife radiosurgery for a petrosal meningioma in a patient affected by multiple sclerosis.
  • 59.
    IMRT • IMRT iscomputer optimized 3D conformal tumor localization with computer-controlled radiation intensity modulation • Appropriate for tumors that are irregularly shaped and too large for stereotactic radiosurgery.
  • 61.
    Emerging Role ofProton Therapy
  • 62.
    Radiation oncologists atthe Roberts Proton Therapy Center are conducting a Phase II clinical trial to ascertain the feasibility of proton therapy as an adjunct to surgery for WHO Grade I-III meningiomas and hemangiopericytomas. This study seeks to assess the effect of proton therapy on rates of acute toxicity, fatigue and quality of life in the same population. The frequency of recurrence and long term toxicity will also be evaluated.
  • 63.
    The Most SignificantBenefits of Proton Therapy • Causes fewer short- and long-term side effects • Proven to be effective in adults and children • Targets tumors and cancer cells with precision, reducing the risk of damage to surrounding healthy tissue and organs • Reduces the likelihood of secondary tumors caused by treatment • Treats recurrent tumors, even in patients who have already received radiation • Improves quality of life during and after treatment
  • 64.
    Study Compares Effectsof X-ray Radiation with Proton Therapy • A study analyzed patients treated with X-ray radiation and compared them with patients treated with proton therapy. • Of the patients treated with X- ray radiation, 12.8% developed secondary cancers caused by treatment, while only 6.4% of the proton therapy patients developed secondary cancers.
  • 65.
    Follow up andPrognosis
  • 66.
    Follow up • Nostandard guidelines for follow-up. • For symptomatic patients, individualize follow-up based on tumor grade, previous treatment, and remaining treatment options Consider first magnetic resonance imaging 3-6 months after surgery or radiotherapy Perform subsequent magnetic resonance imaging (MRI) every 6 months for 2 years in clinically stable patients, and then every year as indicated, and thereafter, every 2 years For patients with atypical or malignant meningioma, MRI every 3 months during first year and subsequently as for malignant brain tumors • For asymptomatic meningioma Observation with close clinical and radiological follow-up Serial volumetric measurements of tumor are useful, especially in younger patients with greater potential for tumor growth
  • 67.
    Prognosis • Median patientsurvival reported as:  10 years for WHO grade I meningioma  11.5 years for WHO grade II meningioma  2.7 years for WHO grade III meningioma • Patients with meningioma have reduced survival compared to general population.  Compared to population without meningioma, meningioma associated with83% 1-year relative survival rate  71% 15-year relative survival rate • 5-year survival rate:  81% for patients aged 21-64 years and 56% for patients ≥ 65 years old • Larger tumor size at presentation and faster tumor growth rate might be associated with new or worsening symptoms in patients with untreated meningiomas  4% with tumor diameter < 2 cm, 17% with tumor diameter > 2.5 to 3 cm  0% with tumor diameter 2-2.5 cm growing at ≤ 10% per year AND42% with tumor diameter 2-2.5 cm growing at ≥ 10% per year
  • 68.
    • For benignmeningiomas, factors independently associated with longer survival included: female sex, Caucasian race, surgery, small tumor size, no radiation treatment, skull base tumor, and treatment at community hospitals • For malignant meningiomas, factors independently associated with longer survival included: Younger age at diagnosis, female sex, surgery, no radiation treatment, and ≥ 800 new cancer cases seen per year by the treating hospital
  • 69.

Editor's Notes

  • #8 A useful mnemonic to remember the associated neoplasias is below: MEN I (3 Ps) - Pituitary, Parathyroid, Pancreas MEN IIa (1M,2Ps) - Medullary Thyroid Ca, Pheochromocytoma, Parathyroid MEN IIb (2Ms,1P) - Medullary Thyroid Ca, Marfanoid habitus/mucosal neuroma, Pheochromocytoma
  • #10 Foster Kennedy refers to a constellation of findings associated with tumors of the frontal lobe.[1] The syndrome is defined as the following changes: 1) optic atrophy in the ipsilateral eye 2) Papilledema in the contralateral eye 3) Central scotoma (loss of vision in the middle of the visual fields) in the ipsilateral eye 4) anosmia (loss of smell) ipsilaterally This syndrome is due to optic nerve compression, olfactory nerve compression, and increased intracranial pressure (ICP) secondary to a mass (such as meningioma or plasmacytoma, usually an olfactory groove meningioma).[4][5] There are other symptoms present in some cases such as nausea and vomiting, memory loss and emotional lability (i.e. frontal lobe signs).[5]
  • #33 meningioma treatment approach treatment of asymptomatic meningioma for lesions < 3 cm (long axis), options include observation surgery for tumor with potential neurologic consequences if accessible, followed by radiation therapy for World Health Organization (WHO) Grade III tumor or for subtotal resection of WHO Grade II tumor radiotherapy for tumor with potential for neurologic consequences for lesions > 3 cm, options include surgery if tumor is accessible followed by radiotherapy if tumor is WHO Grade III, and consider radiotherapy if resection is incomplete and tumor is WHO Grade I or II observation treatment of symptomatic meningioma for lesions < 3 cm, options include surgery if tumor is accessible, followed by radiotherapy for WHO Grade III tumors radiotherapy for lesions > 3 cm, options include surgery if tumor is accessible, followed by radiotherapy for WHO Grade III tumors, and consider radiotherapy for incomplete resection of WHO Grade I or II tumors radiotherapy treatment options for recurrent meningioma include surgery if accessible, or radiotherapy additional radiotherapy if tumor not surgically accessible chemotherapy if tumor not surgically accessible and additional radiotherapy not possible
  • #37 hydroxyurea patients with progression of World Health Organization (WHO) Grade II or III meningioma treated with hydroxyurea reported to have median 2 months progression-free survival (level 3 [lacking direct] evidence) based on case series of 35 patients previously treated with surgery plus radiotherapy patients given hydroxyurea 1,000 mg/m2 orally in 2 divided doses per day Reference - J Neurooncol 2012 Apr;107(2):315 hydroxyurea reported to stabilize disease in most patients with unresectable or residual meningioma following surgery (level 3 [lacking direct] evidence) based on case series of 20 patients treated with hydroxyurea 20 mg/kg/day orally median time to progression was 176 weeks 70% had no progression within 1 year Reference - Br J Neurosurg 2004 Oct;18(5):495  EBSCOhost Full Text cyclophosphamide, adriamycin, and vincristine (CAV) chemotherapy regimen patients with malignant meningioma treated with CAV chemotherapy following surgery and radiation therapy reported to have median survival 5.3 years (level 3 [lacking direct] evidence) based on case series of 14 patients (median age 51 years) median time to tumor progression 4.6 years dose reduction or early termination of CAV regimen in 7 patients due to myelosuppression Reference - J Neurosurg 1996 May;84(5):733 full-text
  • #38 tamoxifen reported to improve or stabilize refractory unresectable meningioma in some patients (level 3 [lacking direct] evidence) based on case series of 21 patients, 19 evaluable patients given tamoxifen 40 mg/m2 twice daily for 4 days followed by 10 mg/m2 twice daily thereafter 3 patients had minor or partial response by neuroimaging 6 patients remained stable for median 31 months 10 patients had tumor progression Reference - J Neurooncol 1993 Jan;15(1):75 mifepristone reported to improve tumor size or visual field in some patients with unresectable meningioma (level 3 [lacking direct] evidence) based on case series of 28 patients treated with mifepristone 200 mg/day orally for median 35 months 5 patients had small decrease in tumor size 3 patients had improved visual field exam 3 patients developed endometrial hyperplasia or polyps and 1 developed peritoneal adenocarcinoma after 9 years treatment Reference - Cancer Invest 2006 Dec;24(8):727  EBSCOhost Full Text full-text patients with refractory recurrent meningioma treated with temozolomide reported to have median survival 7.5 months (level 3 [lacking direct] evidence) based on case series of 16 patients with previous surgery and radiation therapy patients treated with temozolomide orally for 42 consecutive days every 10 weeks median survival 7.5 months (range 4-9 months) median time to tumor progression 5 months (range 2.5-5 months) no patient had neuroradiographic complete or partial response Reference - Neurology 2004 Apr 13;62(7):1210
  • #39 patients with recurrent WHO Grade II or III meningioma treated with octreotide reported to have median 4.2 months to progression (level 3 [lacking direct] evidence) based on case series of 9 patients (median age 65 years) with prior surgery and radiation therapy patients treated with octreotide (somatostatin analog) 30-40 mg intramuscularly once every 28 days until progression all patients had progressive disease at 10 months no partial radiographic responses Reference - Cancer Chemother Pharmacol 2014 May;73(5):919 patients with recurrent or progressive unresectable meningioma treated with octreotide reported to have median 17 weeks to progression (level 3 [lacking direct] evidence) based on case series of 12 patients with previous surgery and radiation therapy (1 patient had hemangiopericytoma) patients treated with octreotide 500 mcg subcutaneously 3 times daily median survival 2.7 years 2 patients had long progression-free periods (30 months and ≥ 18 years) no radiographic response reported Reference - Neuro Oncol 2011 May;13(5):530 full-text patients with progressive recurrent meningioma treated with 90Y-edotreotide radionuclide therapy reported to have median survival 69 months for WHO Grade I tumors and 30.5 months for WHO Grade II-III tumors (level 3 [lacking direct] evidence)based on case series of 29 patients (median age 54 years) with previous meningioma treatment (surgery, radiation therapy) and scintigraphically proven somatostatin subtype 2 receptor-positive meningioma patients given peptide receptor radionuclide therapy using 90Y-edotreotide (DOTATOC) median time to progression 61 months for WHO Grade I tumors and 13 months for WHO Grade II-III tumors no patient had radiographic complete or partial response Reference - Eur J Nucl Med Mol Imaging 2009 Sep;36(9):1407  EBSCOhost Full Text
  • #40 based on case series of 35 patients (median age 61 years) with tumor progression following surgery, radiation therapy, and chemotherapy all patients treated with interferon alpha 10 million units/m2 subcutaneously every other day median survival 8 months (range 3-28 months) progression-free survival 54% at 6 months and 31% at 12 months median time to tumor progression 7 months (range 2-24 months) no patient had neuroradiographic complete or partial response treatment terminated in 3 patients due to toxicity and 7 patients had dose reduction Reference - Cancer 2008 Oct 15;113(8):2146 full-text
  • #41 imatinib patients with recurrent meningioma following surgery and radiation therapy treated with imatinib 600-800 mg/day reported to have median progression-free survival of 2 months in case series of 23 patients (Neuro Oncol 2009 Dec;11(6):853 full-text) patients with recurrent or progressive meningioma treated with imatinib plus hydroxyurea reported to have 24-month survival of 100% for WHO Grade I tumors and 46.2% for WHO Grade II-III tumors despite significant tumor progression (level 3 [lacking direct] evidence) based on case series of 21 patients treated with imatinib 400-1,000 mg/day plus hydroxyurea 500 mg twice daily most patients had previous surgery or radiation therapy 8 patients had WHO Grade I tumors and 13 patients had WHO Grade II-III tumors 24-month survival 100% for WHO Grade I tumors and 46.2% for WHO Grade II-III tumors 24-month progression-free survival 12.5% for WHO Grade I tumors and 7.7% for WHO Grade II-III tumors Reference - J Neurooncol 2012 Jan;106(2):409 full-text patients with recurrent meningioma treated with an epidural growth factor inhibitor, gefitinib or erlotinib, reported to have median overall survival of 23 months (level 3 [lacking direct] evidence) based on case series of 25 patients (median age 57 years) treated with gefitinib 500 mg/day (16 patients) or erlotinib 150 mg/day (9 patients) 8 patients had benign tumors and 17 had atypical or malignant tumors median overall survival of 23 months 12-month survival was 60% 12-month progression free survival was 16% no significant differences in overall survival or progression-free survival comparing patients with benign vs. atypical or malignant meningioma Reference - J Neurooncol 2010 Jan;96(2):211 full-text patients with progressive or recurrent meningioma treated with bevacizumab therapy, alone or in combination with chemotherapy, reported to have 6-month progression-free survival of 86% in case series of 14 adults (J Neurooncol 2012 Aug;109(1):63 full-text)
  • #45 preoperative embolization of meningioma to minimize intraoperative bleeding(1, 3) dense vascularization common and may be assessed preoperatively by magnetic resonance angiography preoperative embolization in selected patients may reduce intraoperative bleeding and need for transfusion, operation time, and postoperative complications risks include hemorrhage, extensive edema, and vascular infarction embolization of meningioma in 1,012 patients reported to result in complications in 1.5% of patients but no significant disability in 91.3% of patients in Japanese neuroendovascular registry (Neuroradiology 2014 Feb;56(2):139) embolization may be an alternative primary treatment of meningioma for patients not candidates for craniotomy and surgical resection(3) embolization of meningioma by microcatheter delivery of gelatin microspheres reported associated with marked tumor shrinkage over 20 months in 6 of 7 patients not candidates for surgery in case series (Neuroradiology 2003 Jul;45(7):451) conservative management (active surveillance) asymptomatic meningiomas may be treated conservatively with close monitoring of clinical and radiological disease status(1, 2, 3) conservative management of asymptomatic meningioma associated with tumor growth in 37% of patients and development of symptoms in 16% within 5 years based on retrospective cohort study 1,434 patients with meningioma were evaluated 603 patients (42%) were asymptomatic of 67 patients with conservative treatment and > 5 years follow-up 25 (37%) had tumor regrowth 11 (16%) developed symptoms of 213 patients with surgical treatment, morbidity rate was 4.4% in patients < 70 years old and 9.4% in patients ≥ 70 years old Reference - J Neurosurg 2006 Oct;105(4):538 full-text, commentary can be found in J Neurosurg 2006 Oct;105(4):536
  • #49 based on cohort study92 patients with benign World Health Organization (WHO) Grade I cerebral meningioma had total tumor resection (48 patients), partial tumor resection (32 patients), or partial tumor resection plus adjuvant radiation therapy (12 patients), and were followed for median 7.7 yearsoverall survival rate was 93% (no significant differences between groups)5-year progression-free survival91% for partial tumor resection plus radiation therapy vs. 38% for partial tumor resection alone (p = 0.0005) 77% for total tumor resection vs. 52% for partial tumor resection with or without radiation therapy (p = 0.02) 65% overall
  • #59 gamma-knife stereotactic radiosurgery reported to have 88.6% 10-year progression-free survival in patients with benign meningioma (level 3 [lacking direct] evidence) based on case series 4,565 patients with 5,300 benign meningiomas treated with gamma-knife radiosurgery were evaluated 3,768 meningiomas with imaging follow-up ≥ 24 months (median 63 months) were analyzed 10-year progression-free survival 88.6% and 5-year progression-free survival 95.2% permanent morbidity rate at last follow-up 6.6% tumor volume after treatment decreased in 58% unchanged in 34.5% increased in 7.5% tumor control (tumor volume decreased or unchanged) significantly greater for females vs. males sporadic vs. multiple meningiomas skull base vs. convexity (upper surface of the brain next to the skull) tumors gamma knife stereotactic radiosurgery as primary treatment for cavernous sinus meningiomas may be associated with better neurologic recovery than surgical resection with adjuvant radiosurgery (level 2 [mid-level] evidence) based on cohort study 138 patients (mean age 56 years) with cavernous sinus meningioma were treated with primary gamma knife radiosurgery (68 patients) or surgical resection plus postoperative adjuvant gamma knife radiosurgery (70 patients) 111 patients with follow-up ≥ 12 months (median 48.2 months) were analyzed neurologic recovery in 76% with gamma knife radiosurgery vs. 56.5% with adjuvant gamma knife radiosurgery (p < 0.03) clinical condition improved or stable in 96.5% overall control of tumor growth adequate in 97% overall (tumor shrinkage or disappearance in 63% of patients and no volume change 34%) radio neurological complications were transient in 4 patients and permanent in 1 case Reference - Int J Radiat Oncol Biol Phys 2002 Jul 15;53(4):992
  • #70 survivalmedian patient survival reported as(1) 10 years for WHO Grade I meningioma 11.5 years for WHO Grade II meningioma 2.7 years for WHO Grade III meningioma patients with meningioma have reduced survival compared to general population based on retrospective cohort study 1,986 patients in Finland with histologically verified intracranial meningioma (1953-1984) were followed through 1987 compared to population without meningioma, meningioma associated with 83% 1-year relative survival rate 71% 15-year relative survival rate Reference - Cancer 1992 Sep 15;70(6):1568 5-year survival rate 81% for patients aged 21-64 years and 56% for patients ≥ 65 years old based on retrospective cohort study 9,827 patients with meningioma from National Cancer Data Base were evaluated 5-year survival 81% for patients aged 21-64 years 56% for patients ≥ 65 years old 70% for benign tumors 75% for atypical tumors 55% for malignant meningioma for benign meningiomas, factors independently associated with longer survival included female sex, Caucasian race, surgery, small tumor size, no radiation treatment, skull base tumor, and treatment at community hospitals for malignant meningiomas, factors independently associated with longer survival included younger age at diagnosis, female sex, surgery, no radiation treatment, and ≥ 800 new cancer cases seen per year by the treating hospital Reference - J Neurosurg 1998 May;88(5):831 full-text