Management of
incomplete for vital tooth
Supervisors : Dr.Basem Abu Qubi’
Dr.Shurooq Al-Bakri
Presented By :Cezar E. Laham
Outline :
• 1- Embryology “ Tooth development “ ---3 min’s
• 2- Factors influence root development --- 1 min
• 3- Management of open apex for vital tooth
“Apexogenesis”
• 4- Techniques & Materials
• 5- Conclusion
• 6- References
8 mins
6/19/2017 Apexogenesis by Cezar E.L. 2
1-Embryology
Title and Content Layout with Chart
Prognosis
6/19/2017 Apexogenesis by Cezar E.L. 5
2- Factors influence
root development
• 1- Dental Caries
• 2- Trauma
• 3- Iatrogenic “ Ortho. / Over-instrumentation”
• 4- Others
6/19/2017 Apexogenesis by Cezar E.L. 7
3- Management of
open apex for vital
tooth “Apexogenesis”
Definition
• Apexogenesis :
• - Physiologic process
• -Formation of apex in vital, young, permanent teeth with
appropriate vital pulp therapy
The Goals
1-development of root length for favourable crown:root ratio
2-preserving pulp vitality to secure further root development
and tooth maturation.
3-Promoting a root end closure6/19/2017 Apexogenesis by Cezar E.L. 9
6/19/2017 Apexogenesis by Cezar E.L. 10
4-Techniques & Materials
1- Indirect pulp capping
2- Direct pulp capping
3- Pulpotomy
1- Ca(OH)2
2- MTA
Vital Pulp therapy6/19/2017 Apexogenesis by Cezar E.L. 11
1- Indirect pulp capping
Deep Carious lesion WITHOUT pulp exposure or any signs or
symptoms of pulp degeneration
OBJECTIVE: Preserve the vitality of the pulp by completely
removing the carious infected dentin followed by placement of a
material that would enable the affected dentin to remineralize by
stimulating the underlying ododntoblasts to form tertiary dentin.
INDICATIONS: Thin residual dentinal tissue “less than 2 mm “ with
normal pulp or with reversible pulpitis !
CONTRAINDICATIONS: pulp exposure, root resorption , irreversible
pulpitis , necrotic pulp .
6/19/2017 Apexogenesis by Cezar E.L. 12
Add a Slide Title - 4
PULP CAPPING AGENT ADVANTAGES DISADVANTAGES
1) Calcium hydroxide. 1) Excellent antibacterial properties.
2) Induction of mineralization.
3) Low cytotoxicity.
1) Highly soluble in oral fluids.
2) Subject to dissolution over time.
3) Presence of tunnels in reparative
dentin.(tunnel defect.)
4) Lack of adhesion.
PULP CAPPING
AGENT
ADVANTAGES DISADVANTAGES.
2) Mineral trioxide aggregate. 1) Good biocompatibility.
2) Less pulpal inflammation.
3) More predictable hard tissue barrier formation in
comparison to calcium hydroxide.
4) Radiopacity.
1) More expensive.
2) Poor handling characteristics.
3) Two step procedure .
4) High solubility.
MATERIALS USED AS PULP CAPPING AGENT….
3 powder : 1 Liquid
Setting time : 5mins6/19/2017 Apexogenesis by Cezar E.L. 13
DEEP CARIOUS LESION..
6/19/2017 Apexogenesis by Cezar E.L. 14
Tertiary Dentin
formation
6/19/2017 Apexogenesis by Cezar E.L. 15
Procedure :-
It could be performed as a single or two step approach.
asymptomatic symptomatic
6/19/2017 Apexogenesis by Cezar E.L. 16
a)Use of local Anesthesia and isolate with rubber dam.
b)A slow speed hand piece with round burs is used to
remove the superficial debris and majority of soft
infected dentin without exposing the pulp.
c)Deepest layer of infected dentin is covered with a
hard setting calcium hydroxide preparation and sealed
with an overlying base of reinforced zinc-oxide eugenol
preparation.
d)This sealed cavity is not disturbed for6-8 weeks.
FIRST APPOINTMENT…
6/19/2017 Apexogenesis by Cezar E.L. 17
A bitewing radiograph of the treated tooth is
obtained.
Use local Anesthesia and isolate with rubber dam.
The previous remaining soft, deep, brownish red
affected dentin will have changed to lighter brownish
gray colour and most importantly harder in nature.
The entire floor is covered with calcium hydroxide
preparation.
When clinical and radiographic findings are negative
the final restoration is placed.
SECOND APPOINTMENT.
6/19/2017 Apexogenesis by Cezar E.L. 18
6/19/2017 Apexogenesis by Cezar E.L. 19
Defined as a procedure in which the exposed vital pulp is
covered with a protective dressing or base placed directly
over the site of exposure in an attempt to preserve the pulp
vitality.
OBJECTIVES: a) preservation of vitality of the radicular pulp.
b) relief of pain in patients with acute pulpagia.
c) ensuring the continuity of normal apexogenesis
in immature permanent teeth.
2- Direct pulp capping
6/19/2017 Apexogenesis by Cezar E.L. 20
Tinal bridge
6/19/2017 Apexogenesis by Cezar E.L. 21
INDICATIONS:
a) asymptomatic conditions.
b) small exposure less than 0.5mm in diameter
c)haemorrhage from the exposure site is easily controlled.
d) the exposure occurred is clean
CONTRAINDICATION:
Large carious exposure ,irreversible pulpitis, necrotic pulp
6/19/2017 Apexogenesis by Cezar E.L. 22
First appointment:
- Anesthetize and isolate with rubber dam.
- Clean the cavity with chlorhexidine solution.
- Rinse with anesthetic or sterile saline.
- using a sterile cotton pellet control the bleeding.
- Mix the capping agent & apply it to exposure site.
- Temporize and observe for 5-10 days.
Second appointment : “after 10-14 day”
-check signs+ symptoms
-P.A radiograph
-remove TF
-Permanent restoration -->Then follow up
6/19/2017 Apexogenesis by Cezar E.L. 23
6/19/2017 Apexogenesis by Cezar E.L. 24
3- Pulpotomy
Total removal of coronal pulp tissue
Partial removal of coronal pulp tissue =Cvek
defined as a procedure in which a portion of
exposed vital pulp is surgically removed as a
means of preserving the vitality and function of the
remaining radicular portion. “so root development
continues”
6/19/2017 Apexogenesis by Cezar E.L. 25
Indications
- Mechanical or carious exposures in permanent teeth with
incomplete root formation.
- Traumatic exposures of longer duration where coronal
pulp is inflamed in young permanent teeth.
- Pulpally involved children’s permanent teeth in which the
root apex is not completely formed.
- Carious pulp, exposure in an asymptomatic primary tooth;
e.x a child’s posterior tooth with wide open apices that has
a small, asymptomatic carious exposure.
6/19/2017 Apexogenesis by Cezar E.L. 26
Contraindications
- Patients with irreversible pulpitis.
- Abnormal sensitivity to heat and cold.
- Chronic pulpalgia.
- Tenderness to percussion or palpation because of pulp
disease.
- Periradicular radiographic changes.
- Marked constriction of pulp chamber or root canals
(calcifications)
6/19/2017 Apexogenesis by Cezar E.L. 27
Clinical Procedure
- Anesthetize.
- Caries removal.
- Isolation.
- Access: 1- For cervical pulpotomy the access cavity
should be large enough to expose the
entire chamber.
2- For a partial pulpotomy ( Cvek’s pulpotomy) only
the pulp horns or superficial chamber tissue is
exposed with access preparation.
6/19/2017 Apexogenesis by Cezar E.L. 28
- Control bleeding.
- Placement of medicaments:
_ Calcium hydroxide.
_ MTA.
_ Formacresol.
- Coronal seal.
- Recall
6/19/2017 Apexogenesis by Cezar E.L. 29
6/19/2017 Apexogenesis by Cezar E.L. 30
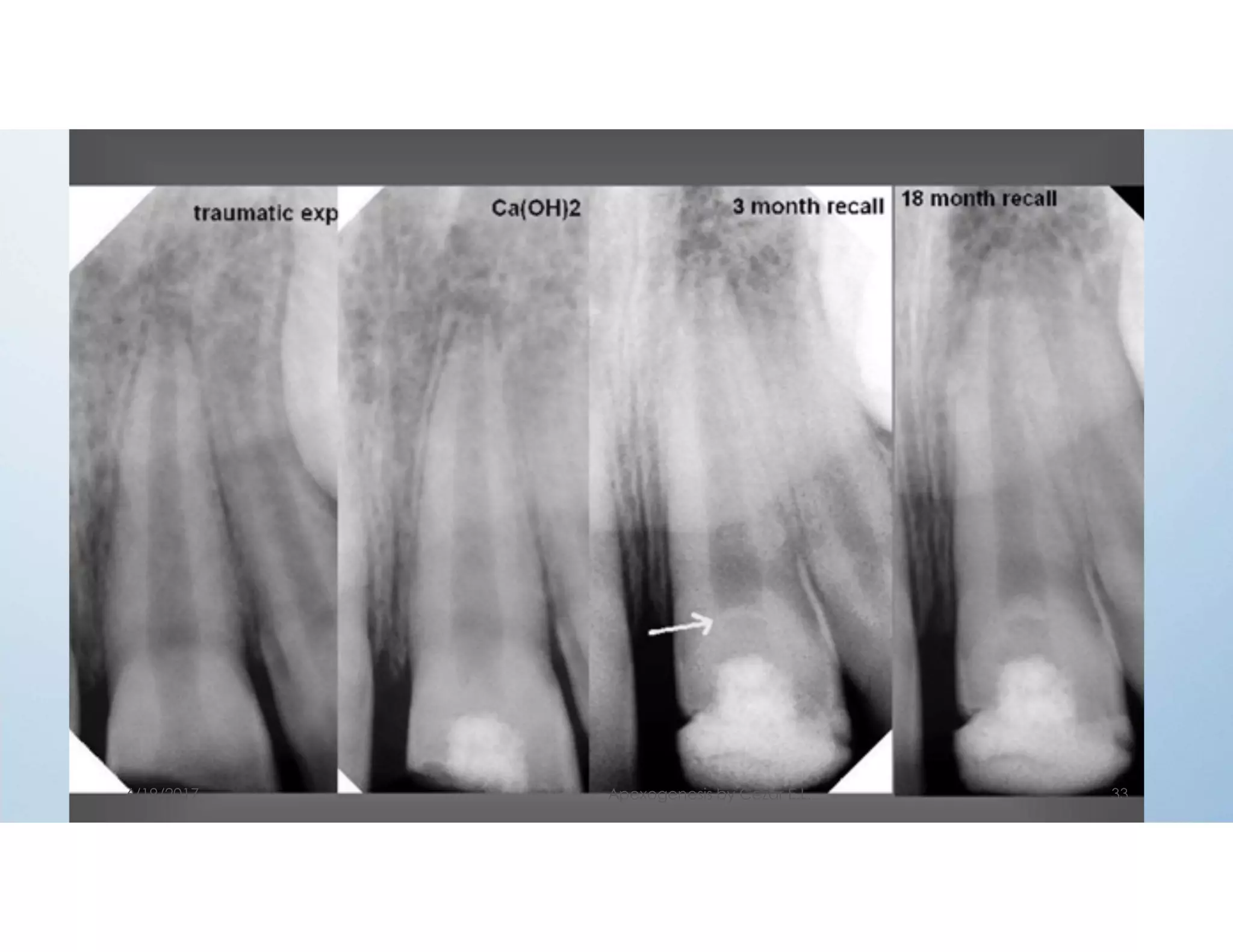
Treatment outcome
- The hard tissue barrier over the pulp may be
observed as early as 6 weeks.
- The apexogenesis or completion of root may
take unto 2-4 years.
When is pulpotomy considered successful:
1- Clinically the tooth should be asymptomatic
without tenderness and mobility.
6/19/2017 Apexogenesis by Cezar E.L. 31
2- The periodontium should remain healthy
without pockets or sinus.
3- The tooth should respond normally to the pulp
vitality tests.
4- Radiographically a calcific barrier should be seen .
5- There should not be external or internal resorption.
6- The root formation should have been completed
with the apex closed.
6/19/2017 Apexogenesis by Cezar E.L. 32
6/19/2017 Apexogenesis by Cezar E.L. 33
6/19/2017 Apexogenesis by Cezar E.L. 34
References:
1- McDonald “Pediatric dentistry”
2-Principles and practice “by M. Torbinejad
3-Art and sience
4-Lecture notes
6/19/2017 Apexogenesis by Cezar E.L. 35

Management of incomplete root apex for vital tooth

  • 1.
    Management of incomplete forvital tooth Supervisors : Dr.Basem Abu Qubi’ Dr.Shurooq Al-Bakri Presented By :Cezar E. Laham
  • 2.
    Outline : • 1-Embryology “ Tooth development “ ---3 min’s • 2- Factors influence root development --- 1 min • 3- Management of open apex for vital tooth “Apexogenesis” • 4- Techniques & Materials • 5- Conclusion • 6- References 8 mins 6/19/2017 Apexogenesis by Cezar E.L. 2
  • 3.
  • 5.
    Title and ContentLayout with Chart Prognosis 6/19/2017 Apexogenesis by Cezar E.L. 5
  • 6.
  • 7.
    • 1- DentalCaries • 2- Trauma • 3- Iatrogenic “ Ortho. / Over-instrumentation” • 4- Others 6/19/2017 Apexogenesis by Cezar E.L. 7
  • 8.
    3- Management of openapex for vital tooth “Apexogenesis”
  • 9.
    Definition • Apexogenesis : •- Physiologic process • -Formation of apex in vital, young, permanent teeth with appropriate vital pulp therapy The Goals 1-development of root length for favourable crown:root ratio 2-preserving pulp vitality to secure further root development and tooth maturation. 3-Promoting a root end closure6/19/2017 Apexogenesis by Cezar E.L. 9
  • 10.
  • 11.
    4-Techniques & Materials 1-Indirect pulp capping 2- Direct pulp capping 3- Pulpotomy 1- Ca(OH)2 2- MTA Vital Pulp therapy6/19/2017 Apexogenesis by Cezar E.L. 11
  • 12.
    1- Indirect pulpcapping Deep Carious lesion WITHOUT pulp exposure or any signs or symptoms of pulp degeneration OBJECTIVE: Preserve the vitality of the pulp by completely removing the carious infected dentin followed by placement of a material that would enable the affected dentin to remineralize by stimulating the underlying ododntoblasts to form tertiary dentin. INDICATIONS: Thin residual dentinal tissue “less than 2 mm “ with normal pulp or with reversible pulpitis ! CONTRAINDICATIONS: pulp exposure, root resorption , irreversible pulpitis , necrotic pulp . 6/19/2017 Apexogenesis by Cezar E.L. 12
  • 13.
    Add a SlideTitle - 4 PULP CAPPING AGENT ADVANTAGES DISADVANTAGES 1) Calcium hydroxide. 1) Excellent antibacterial properties. 2) Induction of mineralization. 3) Low cytotoxicity. 1) Highly soluble in oral fluids. 2) Subject to dissolution over time. 3) Presence of tunnels in reparative dentin.(tunnel defect.) 4) Lack of adhesion. PULP CAPPING AGENT ADVANTAGES DISADVANTAGES. 2) Mineral trioxide aggregate. 1) Good biocompatibility. 2) Less pulpal inflammation. 3) More predictable hard tissue barrier formation in comparison to calcium hydroxide. 4) Radiopacity. 1) More expensive. 2) Poor handling characteristics. 3) Two step procedure . 4) High solubility. MATERIALS USED AS PULP CAPPING AGENT…. 3 powder : 1 Liquid Setting time : 5mins6/19/2017 Apexogenesis by Cezar E.L. 13
  • 14.
    DEEP CARIOUS LESION.. 6/19/2017Apexogenesis by Cezar E.L. 14
  • 15.
  • 16.
    Procedure :- It couldbe performed as a single or two step approach. asymptomatic symptomatic 6/19/2017 Apexogenesis by Cezar E.L. 16
  • 17.
    a)Use of localAnesthesia and isolate with rubber dam. b)A slow speed hand piece with round burs is used to remove the superficial debris and majority of soft infected dentin without exposing the pulp. c)Deepest layer of infected dentin is covered with a hard setting calcium hydroxide preparation and sealed with an overlying base of reinforced zinc-oxide eugenol preparation. d)This sealed cavity is not disturbed for6-8 weeks. FIRST APPOINTMENT… 6/19/2017 Apexogenesis by Cezar E.L. 17
  • 18.
    A bitewing radiographof the treated tooth is obtained. Use local Anesthesia and isolate with rubber dam. The previous remaining soft, deep, brownish red affected dentin will have changed to lighter brownish gray colour and most importantly harder in nature. The entire floor is covered with calcium hydroxide preparation. When clinical and radiographic findings are negative the final restoration is placed. SECOND APPOINTMENT. 6/19/2017 Apexogenesis by Cezar E.L. 18
  • 19.
  • 20.
    Defined as aprocedure in which the exposed vital pulp is covered with a protective dressing or base placed directly over the site of exposure in an attempt to preserve the pulp vitality. OBJECTIVES: a) preservation of vitality of the radicular pulp. b) relief of pain in patients with acute pulpagia. c) ensuring the continuity of normal apexogenesis in immature permanent teeth. 2- Direct pulp capping 6/19/2017 Apexogenesis by Cezar E.L. 20
  • 21.
  • 22.
    INDICATIONS: a) asymptomatic conditions. b)small exposure less than 0.5mm in diameter c)haemorrhage from the exposure site is easily controlled. d) the exposure occurred is clean CONTRAINDICATION: Large carious exposure ,irreversible pulpitis, necrotic pulp 6/19/2017 Apexogenesis by Cezar E.L. 22
  • 23.
    First appointment: - Anesthetizeand isolate with rubber dam. - Clean the cavity with chlorhexidine solution. - Rinse with anesthetic or sterile saline. - using a sterile cotton pellet control the bleeding. - Mix the capping agent & apply it to exposure site. - Temporize and observe for 5-10 days. Second appointment : “after 10-14 day” -check signs+ symptoms -P.A radiograph -remove TF -Permanent restoration -->Then follow up 6/19/2017 Apexogenesis by Cezar E.L. 23
  • 24.
  • 25.
    3- Pulpotomy Total removalof coronal pulp tissue Partial removal of coronal pulp tissue =Cvek defined as a procedure in which a portion of exposed vital pulp is surgically removed as a means of preserving the vitality and function of the remaining radicular portion. “so root development continues” 6/19/2017 Apexogenesis by Cezar E.L. 25
  • 26.
    Indications - Mechanical orcarious exposures in permanent teeth with incomplete root formation. - Traumatic exposures of longer duration where coronal pulp is inflamed in young permanent teeth. - Pulpally involved children’s permanent teeth in which the root apex is not completely formed. - Carious pulp, exposure in an asymptomatic primary tooth; e.x a child’s posterior tooth with wide open apices that has a small, asymptomatic carious exposure. 6/19/2017 Apexogenesis by Cezar E.L. 26
  • 27.
    Contraindications - Patients withirreversible pulpitis. - Abnormal sensitivity to heat and cold. - Chronic pulpalgia. - Tenderness to percussion or palpation because of pulp disease. - Periradicular radiographic changes. - Marked constriction of pulp chamber or root canals (calcifications) 6/19/2017 Apexogenesis by Cezar E.L. 27
  • 28.
    Clinical Procedure - Anesthetize. -Caries removal. - Isolation. - Access: 1- For cervical pulpotomy the access cavity should be large enough to expose the entire chamber. 2- For a partial pulpotomy ( Cvek’s pulpotomy) only the pulp horns or superficial chamber tissue is exposed with access preparation. 6/19/2017 Apexogenesis by Cezar E.L. 28
  • 29.
    - Control bleeding. -Placement of medicaments: _ Calcium hydroxide. _ MTA. _ Formacresol. - Coronal seal. - Recall 6/19/2017 Apexogenesis by Cezar E.L. 29
  • 30.
  • 31.
    Treatment outcome - Thehard tissue barrier over the pulp may be observed as early as 6 weeks. - The apexogenesis or completion of root may take unto 2-4 years. When is pulpotomy considered successful: 1- Clinically the tooth should be asymptomatic without tenderness and mobility. 6/19/2017 Apexogenesis by Cezar E.L. 31
  • 32.
    2- The periodontiumshould remain healthy without pockets or sinus. 3- The tooth should respond normally to the pulp vitality tests. 4- Radiographically a calcific barrier should be seen . 5- There should not be external or internal resorption. 6- The root formation should have been completed with the apex closed. 6/19/2017 Apexogenesis by Cezar E.L. 32
  • 33.
  • 34.
    6/19/2017 Apexogenesis byCezar E.L. 34 References: 1- McDonald “Pediatric dentistry” 2-Principles and practice “by M. Torbinejad 3-Art and sience 4-Lecture notes
  • 35.