Magnetic Resonance
Imaging (MRI)
Resource faculties:
Dr. Jyotsna Rimal
Additional Prof. and HOD
Dr. Iccha Kumar Maharjan
Associate Prof.
Dr. Sushma Pandey (Dhakal)
Associate Prof.
Presenter :
Abhinaya Luitel
JR- II
Department of Oral Medicine and Radiology
Contents
• MRI history
• MRI basics
• Fat suppression in MRI
• MRI artifacts
• MRI clinical aspects
Advantages
Disadvantages
Safety
Indications
Contraindications
Normal anatomy
Pathologies
• Modifications and advances in MRI
• Summary
• conclusion
Timeline of MR Imaging
1920 1930 1940 1950 1960 1970 1980 1990 2000
1924 - Pauli
suggests that nuclear
particles may have
angular momentum
(spin).
1937 – Rabi measures
magnetic moment of
nucleus. Coins
“magnetic resonance”.
1946 – Purcell shows
that matter absorbs
energy at a resonant
frequency.
1946 – Bloch demonstrates
that nuclear precession can be
measured in detector coils.
1972 – Damadian
patents idea for large
NMR scanner to
detect malignant
tissue.
1959 – Singer
measures blood flow
using NMR (in
mice).
1973 – Lauterbur
publishes method for
generating images
using NMR gradients.
1973 – Mansfield
independently
publishes gradient
approach to MR.
1975 – Ernst
develops 2D-Fourier
transform for MR.
NMR renamed MRI
MRI scanners
become clinically
prevalent.
1990 – Ogawa and
colleagues create
functional images
using endogenous,
blood-oxygenation
contrast.
1985 – Insurance
reimbursements for
MRI exams begin.
Nobel Prizes for Magnetic Resonance
• 1944: Rabi, Physics (Measured magnetic moment of nucleus)
• 1952: Felix Bloch and Edward Mills Purcell , Physics (Basic science of NMR
phenomenon)
• 1991: Richard Ernst, Chemistry (High-resolution pulsed FT-NMR)
• 2002: KurtWüthrich , Chemistry (3D molecular structure in solution by NMR)
• 2003: Paul Lauterbur & Peter Mansfield, Physiology and Medicine (MRI technology)
Magnetic ResonanceTechniques
• NMR (Nuclear Magnetic Resonance)
• MRI (Magnetic Resonance Imaging)
• EPI (Echo-Planar Imaging)
• fMRI (Functional MRI)
• MRSI (MR Spectroscopic Imaging)
MRI BASICS
What is MRI?
• MRI is a spectroscopic imaging technique used in medical settings to
produce images of the inside of the human body.
• Based on the principles of nuclear magnetic resonance (NMR), which is a
spectroscopic technique used to obtain microscopic chemical and physical
data about molecules
• In 1977 the first MRI exam was performed on a human being. It took 5
hours to produce one image.
Equipment
Magnet Gradient Coil RF Coil
RF Coil
4T magnet
gradient coil
(inside)
B0
MRI Basic Layout
The magnetic field of an MRI machine is typically 3 Tesla!
The Earth’s magnetic field is less that 30 microtesla (0.00003 Ts).
The Components:
• A magnet which produces a very powerful
uniform magnetic field.
• Gradient Magnets which are much lower in
strength.
• Equipment to transmit radio frequency (RF).
• A very powerful computer system, which
translates the signals transmitted by the
coils.
Transmit Receive
rf
coil
rf
coil
main
magnet
main
magnet
gradient
Shimming
Control
Computer
The Magnet
• Permanent magnet:
 Made of ferromagnetic materials i.e. alnico. Do not require power supply. Available
magnetic strength 0.2T to 0.5T
• Resistive magnets:
Electromagnetism, strength of magnetic field proportional to applying current
• Super conducting magnets:
Free resistance , made from neobium/titanium, embeded in copper matrix
Free resistance acquired by super cooling to 4K by liquid helium known as cryogens
• A shim is a device used to adjust the homogeneity of a magnetic field.
• Shims received their name from the purely mechanical shims used to adjust
position and parallelity of the pole faces of an electromagnet.
• Hetrogeneity:
Iron constructions in walls and floor of the examination room become
magnetized and disturb the field of the scanner.
 The probe and the sample or the patient become slightly magnetized when
brought into the strong magnetic field and create additional inhomogeneous
fields
Magnetic shim coils
• Passive shimming: small pieces of sheet metal or ferromagnetic pellets are affixed at
various locations within the scanner bore.
• Active shimming uses currents directed through specialized coils.
superconducting, located within the liquid helium-containing cryostat
Resistive, mounted on the same support structure as the gradient coils within the room-
temperature inner walls of the scanner.
Both types of active shims require their own power supplies and are controlled by
special circuitry
Principle: Magnetized to produce their own magnetic field.The additional
magnetic fields (produced by coils or steel) add to the overall magnetic field of
the superconducting magnet in such a way as to increase the homogeneity of
the total field.
ENCODING GRADIENTS
Gradient coil used to vary the magnetic field in specific area and specific
direction in patient homogenous magnetic field exerted by main magnet
 Slice encoding gradients- define the area or region for imaging i.e slice
thickness
 Phase encoding gradients- define matrix of selected region.
 Frequency encoding gradients- measure the signal ,also knows readout
gradients
Why is a Slice Selection
Gradient used?
• Magnetic Field applied perpendicular to
desired slice, because we can now “focus”
on a layer with a specific processional
frequency.
• Hydrogen atoms to either side of desired
layer are either too fast or too slow.
H
H
H
H
Bapplied
H
H
H
H
H
H
H
H
H
H
H
H
Lets select this
slice
H
H
H
H
H
H
H
H
H
H
H
H
Phase Encoding –
• Resolves image in second dimension.
• Apply a magnetic gradient, but only
briefly.
• Goal: Get hydrogen atoms out of sync
with each other so they can be
distinguished along another axis.
H
H
H
H
H
H
H
H
H H
H H
H H
H H
B B
After applying encoding gradients , radio-frequency wave is used by RF coil
for imaging process
 The MRI machine applies radio frequency (RF) pulse that is specific to
hydrogen.
 The RF pulses are applied through a coil that is specific to the part of
the body being scanned.
RF Coil
Radiofrequency Coils
• Defined by their function:
Transmit / receive coil (most common)
Transmit only coil (can only excite the system)
Receive only coil (can only receive MR signal)
Multiply tuned coil.
• Defined by geometry
Volume coil (low sensitivity but uniform coverage)
Surface coil (High sensitivity but limited coverage)
Gradient coil (High sensitivity, near-uniform coverage)
• Signal comes out in form radiofrequency as a read out pick up by
receiver coil
• Frequency of waves or oscillation change into sine or cosine function
for image formation and this mathematical process know as Fourier
transformation
Common nuclei with NMR properties
•Criteria:
Must have ODD number of protons or ODD number of neutrons.
Reason?
Impossible to arrange these nuclei so that a zero net angular momentum is achieved.
Thus, these nuclei will display a magnetic moment and angular momentum necessary for
NMR.
Examples:
1H, 13C, 19F, 23N, and 31P with gyromagnetic ratio of 42.58, 10.71,
40.08, 11.27 and 17.25 MHz/T.
Since hydrogen protons are the most abundant in human body, we use
1H MRI most of the time.
Spin up
Spin down
Precession
• Precessional frequency, Resonance frequency,
Larmor frequency
n = g/2p Bo
Larmor frequency
g/2p = 42.57 MHz / Tesla for proton
RF pulse, Resonance andTransverse
magnetization
Ω
Faraday’s law of induction
MR signal
90-degree RF Pulse
Frequency
Magnitude
Strength
Spin density/proton density
Relaxation
Ω MR signal
Decay
Free induction decay:
reduced voltage induced
Factors that affect MR signal
• Relaxation time
• Flip angle
• Free induction decay
• Proton density
• Magnetic susceptibility
• Haemorrahge
• Flow
• Chemical shift
Relaxation T1 Relaxation time/ spin-lattice relaxation time
 63 % Recovery of longitudinal magnetization:
transfer of energy from spin nuclei to lattice
molecule
T2 Relaxation time/ spin-spin relaxation
time
 37 % Loss of transverse magnetization:
magnetic moment of hydrogen nuclei
interfere and dephase
T1 weighted image
• ShortTR (300-700ms) andTE (20ms)
• Bright: fat
• Dark: water
• More commonly used to demonstrate
anatomy.
• LongTR (2000ms) andTE (>=60ms)
• Bright: CSF,TMJ fluid
• Dark: fat
• More commonly used to demonstrate
pathology.
T2 weighted image
Tissues T1 (ms) T2 (ms)
Fat 240-250 60-80
Bone marrow 550 50
White matter of cerebrum 780 90
Grey matter of cerebrum 920 100
Muscle 860-900 50
CSF (similar to water) 2200-2400 500-1400
TR - REPETITION TIME
Time from the application of one RF pulse to another RF pulse
Determines the amount of T1 relaxation.
TE - ECHO TIME
Time from the application of the RF pulse to the peak of the signal
induced in the coil
Determines the amount of T2 relaxation.
Image contrast
Intrinsic factors:
Proton density
T1 andT2 relaxation time of tissue being
imaged.
Extrinsic factors:
Repetition time
Echo time
MR SIGNAL
• Collected by a coil
• Encoded through a series of complex techniques and calculations
• Stored as data
• Mapped onto an image matrix
Resolving theThird Dimension, Frequency Encoding
H
H
H
H
H
H
H
H
H
H
H
H
H
H
H
H
x
y
z
Slice plane
Review of Spatial Resolution:
1. Apply and turn off phase encoding gradient.
This gets hydrogen in the x-axis out of sync.
2. Apply a third gradient, now we can distinguish
hydrogen in the y-axis based on the
precessional speeds.
B
Fourier’sTransform
• The pick up coil receives many different frequency oscillations.
• Use Fourier’sTransform to process the data.
Time [s]
Signal
Strength
1
4
Freqency [Hz]
Signal
Strength
1
0.25
f = 1/T = ¼ = .25
1.5
0.5
1.5
-1
-1.5
f = 1/T = ½ = .5
f = 1/T = 1/1 = 1
1.0
Transform
FourierTransform (cont.)
The pickup coil does not distinguish between the input of each hydrogen.
They are all read together, and constructively and destructively interfere.
Fourier’s allows us to determine which frequencies are along the axis.
For instance, if there are two hydrogen at different frequencies along an axis:
Signal
Strength
Time [s]
1
-1
4
Time [s]
1
-1
4
Time [s]
1
-1
4
+ =
Current
Fourier
Frequency [Hz]
1
0.25
Signal
Strength
0.25
Frequency [Hz]
1
0.25 1
0.25
Frequency [Hz]
1
0.25
1
K-Space
A 2D Fourier transform is conducted by performing two Fourier transforms
orthogonal to each other.
This yields a “K-Space”
The “K-Space” undergoes an Inverse Fourier Transform.
Following this mathematical step, we finally have an image.
General spatial information is
concentrated towards the center of “K-
Space”
Image: Inverse Fourier Transform of
the center of the K-Space.
The peripheral regions of the K-Space encode for the edges of the
image.
Pulse sequence
It is time chart interplay of
A) Patients net longitudinal Magnetization
B) Transmission of the RF pulse
C) X,Y,&Z gradient activation for localization and acquisition signal
D) k-space filling with the acquired signal
common symbols used in
pulse sequence diagrams
Pulse sequence broadly divided into
• Spin Echo sequence
1) Conventional spin echo sequence
2) Fast / turbo spin echo
• Inversion recovery
1) Short time inversion recovery(STIR)
2) Long time inversion recovery-FLAIR(fluid linear attenuated inversion
recovery)
• Gradient Echo sequences(GRE)
• Ultrafast sequences
SPIN ECHO SEQUENCE
90 deg excitatory RF pulse and 180 deg
rephasing pulse
In this sequence NMV flip from the Z-
axis(longitudinal magnetization) to X-Y
plane (transverse magnetization)
After switch off RF pulse, NMV recover in its
original direction
Rephasing pulse uses to increase the
transverse magnetization and more
homogenous signal recorded by the receiver
coil
The main objective of spin echo sequence to increase the homogeneity
in the received signal
ADVANCED SPIN ECHO-TURBO SPIN ECHO SEQUENCE
• Multiple 180 deg rephasing pulse sent after 90 deg excitatory pulse
• Multiple echoes obtained perTR i.e. 1 echo/TR
• Fast scanning sequence
• Turbo factor – it is number of 180 deg rephasing pulse after each 90 deg
pulse . It is also known as echo-train length(ETL)
INVERSION RECOVERY
• IR sequence consist of an inverting 180 deg pulse followed by 90 deg
excitation pulse followed by rephasing 180 deg pulse
• After inverting 180 deg pulse is switched off NMV begin to relax
• After a define time(TI) 90 deg excitatory pulse is applied
• TI can be selected according to need
• The time between inversion 180 deg and excitatory 90
deg pulse is known as time of invert (TI)
• TI is the main determinant of contrast in IR sequence
• Excitatory 90 deg pulse flips NMV into transverse plane
• When it switched off spins starts dephasing and
magnitude of theTM(transverse magnetization) reduces
then again 180 deg rephasing pulse applied to get signal.
GRADIENT ECHO SEQUENCE
Three basic difference between SE and GRE sequences
• No 180 deg pulse in GRE
• Rephasing ofTM done by gradients not by RF pulse
• Flip angle in GRE are smaller(less than 90 deg) than spin echo
• Early recover of LM ,TR is less so scanning time reduced.
• In GRE sequence dephasing effect of magnetic field inhomogenity
are not compensated as there is no 180 deg pulse.T2 relaxation in
GRE is called asT2*(T2 star)
• UsuallyT2*<T2
Ultra fast sequence
• Rapid scanning technique are either based on low flip angle with gradient
reversal or on RF refocusing .
• Low flip angle with gradient reversal reducesTR hence the scanning time,.
• By using multiple refocusing RF pulses multiple lines of k-space are filled
everyTR thus making the acquisition rapid
Synopsis of MR imaging
 Placing the patient in the magnet:
Nuclei of many atom, particularly hydrogen align with magnetic field.
Sending radiofrequency pulse by coil:
Resonate
RF turned off: energy released.
Detected as signal by coil
Signal are sent to computers for complex processing to get image
Fat suppression in MRI
• Used to enhance tissue contrast and lesion conspicuity, to determine if the
tissue of interest has a high or low lipid content and to remove artefacts.
• Fat signals can have contributions from many inequivalent hydrogen atoms
(e.g. CH3, CH2, CH=CH, etc.) each of which will have distinct resonance
frequencies.
Eg: suppression of the marrow signal from around joints, suppression of the fat signal in
the orbits to better differentiate tissues of interest (cartilage and ligaments, bone
metastases, optic nerve, etc.) from surrounding fatty tissue.
• To suppress the fat signal, fat suppression module is typically inserted at the
beginning of an otherwise normal MRI sequence.
• To prepare the signal such that the fat contribution is as small as possible,
without perturbing the water signal, one or more of the following properties
is exploited:
1) fat and water have different resonant frequencies,
2) they have different Larmor precession frequencies and
3) they have differentT1 relaxation times
Spectral Fat Saturation:
• Fat resonance is excited selectively and then the signal is “spoiled” using gradient
pulses.
• The fat spins are initially tipped into the transverse plane using a special 90° pulse
that affects only the fat spins.
• After the RF pulse, the fat spins are aligned perpendicular to the main magnetic
field, B0, while the water spins are still parallel to B0.
• Spoiler gradient pulses are used to dephase the fat spins causing the fat signal to
decay to zero without affecting the water spins.
• The fat signal is said to be “saturated”.
• Standard MR sequence can now be initiated.The resulting image have no
contribution from fat spins.
STIR (Short TI Inversion Recovery or Short Tau
Inversion Recovery)
• The value of the inversion time,TI, is chosen such that the fat signal does not
contribute to the resulting image.
• With this fat suppression technique the total signal (fat and water) is initially
inverted (i.e. flip angle = 180°) and allowed to relax back to equilibrium viaT1
relaxation
• At the fat null point the fat signal will be zero but the signal for the other tissues
will normally be non‐zero.
• Therefore, if a standard MRI sequence is started when the fat signal is at its null
point, fat spins will not contribute to the resulting image
SPIR (Spectral Presaturation with Inversion
Recovery)
• Selective excitation of the fat signal andT1 relaxation.
• This pulse is designed to excite only the fat spins.This is similar to the situation
with Spectral Fat Saturation.
• After the inversion, the fat spins evolve back to their equilibrium orientation
parallel to the main field.
• As they pass through the fat null point (i.e. when the fat signal is zero) a
conventional MR sequence is initiated.
• The resulting image will be fat suppressed.
Dixon Method
• Since fat and water have different resonance frequencies, they will also precess
in the transverse plane at different rates.
• One with the fat and water spins in‐phase and the other with them out‐of‐phase.
• These images can be obtained from separate acquisitions or as different echoes
of the same acquisition.
• If these two images are added together pixel by pixel the result will be a fat
suppressed image.
• Complex pixel intensities must be used for these calculations.
Water excitation
• Exciting only the water spins and leaving the fat spins unaffected.
• Special type of RF pulse known as a binomial pulse.
• Set of RF pulses whose net effect is to produce a 90° pulse for the water
spins and a 0° pulse for the fat spins.
• Dual echo in the steady state (DESS)
• Fast low-angle shot (FLASH) sequence
MRI ARTIFACTS
Something observed in a scientific procedure, investigation
or experiment that is not naturally present but occurs as a
result of the preparative or investigative procedure
Metal artifacts: Braces
Braces may cause an artifact distant from the source. The axial proton density
and T2-weighted images exhibit horseshoe shaped artifacts. Note it is much
subtler on the T2 image.
Metal Artifact Causing Cone head Appearance
presence of a small metal clip on an elastic in the patients hair. Ferrous metal will cause a
magnetic field inhomogeneity which in turn causes a local signal void, often ringed by an
area of high signal intensity, as well as a distortion of the image. Once the metal was
removed the patients head returned to a more normal shape.
Patient Wearing Belt
The patient was wearing a metal-studded belt during this coronal T1-
weighted abdominal scan.
Aliasing or "Wrap-around "
Field of view (FOV) is smaller than the body part being imaged.
The part of the body that lies beyond the edge of the FOV is projected
on to the other side of the image.
REMEDY :
 By over sampling the data. In the frequency direction, sampling the
signal twice as fast. In the phase direction, the number of phase-
encoding steps must be increased.
Motion artifacts: Phase-encoded Motion Artifacts
Bright noise or repeating densities in the phase
direction, as the results of motion during acquisition of a
sequence.
 arterial pulsations, swallowing, breathing, peristalsis,
and physical movement of a patient.
REMEDY
Spatial pre saturation pulses prior to entry of the vessel
into the slices, can also reduce some swallowing and
breathing artifacts.
Moving Coil
Two examples where the patient moved while attached to the posterior neck
coil, moving the coil.
Patient Leaving Magnet
In this case the patient pushed the head coil out of position in the middle of the
scanning sequence. patient was in a hurry to leave!
Uncontrolled Coughing
The patient had a fit of uncontrolled coughing during this axial T1-weighted
lumbar spine scan.
Swallowing Motion
Patient motion during a scan will cause artifacts to propagate in the phase
direction. The image on the left demonstrates the artifact generated by the
patient swallowing. Area of increased signal intensity in the spinal cord.
REMEDY :
Applying pre saturation RF pulses to the anatomy that was generating the
artifact.
Motion Artifact from Peristalsis
Severe artifact due to bowel motion occurring during image acquisition. This
was resolved on the second image with the intravenous injection of an anti-
spasmodic (Buscopan in this case).
Cardiac Motion
Acquired without any form of motion compensation technique for cardiac motion, blurring
of the cardiac structures. The image on the right was obtained using cardiac gating. This
effectively eliminates cardiac motion.
Stimulated Echo
Appears as a series of fine lines (arrows) on the T2-weighted image. The narrow
bandwidth (2.57 kHz) caused a wide read window which allowed the stimulated echo to
be incorporated into the image data.
Remedy:
Increasing the receive bandwidth which would narrow the read window, thus not
incorporating the extraneous echo.
To change the first echo time which may change the spacing of the stimulated echos to
outside that of the read window for the second echo.
RF Interference
The wide band of RF noise is due to unshielded electric components in the
magnet room. RF "buzz" will be seen over a range of frequencies on the image.
The frequency encoding gradient runs A/P in this example.
RF Overflow Artifacts
Nonuniform, washed-out appearance to an image. Occurs when the signal received by the
scanner from the patient is too intense to be accurately digitized by the analog-to-digital
converter.
Remedy :
Auto-prescanning usually adjusts the receiver gain or the receiver gain can be decreased
manually.
Phased Array Coil Malfunction
One coil of a phased array multi-coil is out of phase with the other coils.
This results in bands of phase addition and cancellation, demonstrated here.
Fast Spin Echo Optimization induced artifact
FSE optimization has been applied resulting in artifacts.
FSE optimization runs a preliminary TR period at the central slice and compares the phase of
each echo in the echo train. If the phases do not compliment each other the RF is recalibrated
and then the entire sequence is run. If there is an error in calibrating the phases of each of the
echoes the artifact will appear
Partial Volume Averaging
The two T1-weighted images of the head were obtained at exactly the
same location, yet the second image shows the VII cranial nerve while the
first does not.
The reason for the is explained by partial volume averaging.
The first slice was obtained with a thickness of 10 mm while the second was
at a thickness of 3 mm.
When a small structure is entirely contained within the slice thickness with
other tissue of differing signal intensity then the resulting signal displayed on
the image is a combination of these two intensities.
This may cause the small structure to disappear.
Black Boundary Artifact
Artificially created black line located at fat-water interfaces such as
muscle-fat interfaces.
This results in a sharp delineation of the muscle-fat boundary that is
sometimes visually appealing but not an anatomical structure.
The most common reason is a result of selecting an echo
time (TE) in which the fat and water spins (located in the
same pixel at an interface) are out of phase, cancelling each
other.
Gibbs or Truncation Artifacts
Bright or dark lines seen parallel and adjacent to borders of abrupt intensity change, as when
going from bright CSF to dark spinal cord on a T2-weighted image.
It is also seen in other locations as at the brain/calvarium interface. This artifact is related to
the finite number of encoding steps used by the Fourier transform to reconstruct an image.
The more encoding steps, the less intense and narrower the artifacts.
Magic Angle Effects
Magic angle effects are seen most frequently in tendons and ligaments that are oriented
at about a 55 degree angle to the main magnetic field.
At an angle of about 55 degrees to the main magnetic field, the dipolar interactions
become zero, resulting in an increase of the T2 Times about 100 fold.
This results in signal being visible in tendons with ordinary pulse sequences.
Moire Fringes
Moire fringes are an interference pattern most commonly seen when doing gradient echo
images with the body coil.
Lack of perfect homogeneity of the main magnetic field from one side of the body to the
other, results in superimposition of signals of different phases that add and cancel.
This causes the banding appearance and is similar to the effect of looking though two screen
windows.
Zipper Artifacts
Most of them are related to hardware or software problems beyond the radiologist
immediate control. The zipper artifacts that can be controlled easily are those due to RF
entering the scanning room when the door is open during acquisition of images. Other
equipment and software problems can cause zippers in either axis
Zero-Fill Artifacts
Occasionally, data in the K-space array will be missing or will be set to zero by the
scanner.
The abrupt change from signal to no signal at all results in artifacts in the images such as
zebra stripes and other anomalies.
MOVING INTO
CLINICAL ASPECTS
Advantages
• No ionizing radiation.
• No radiobiological effects
• Higher soft tissue contrast
• Excellent differentiation between normal and pathological soft tissues
• Blood vessels are clearly seen
• Direct multiplanar imaging is possible without reorienting the patient
• No need for image enhancement using iv contrast media
Disadvantages
• Expensive
• Long imaging time
• Potential hazard by ferromagnetic substances in vicinity of
imaging magnet
• Claustrophobic procedure
• Metallic objects in oral cavity may cause artifacts
Safety
The strong magnetic field of the magnet can turn the following
into dangerous projectiles:
• wheelchairs
• oxygen tanks
• I.V. poles
• I.D. tags
• keys
• coins
• scissors
• trauma boards
• sandbags
• safety pins
•Monitoring equipment
•Infusion pumps
•Credit cards
•Cellular telephones
•Any electronic device
The changing magnetic fields can do damage to
• RF antennae effects: Burn hazards due to electrical currents in conducive
loops. Electrically and thermally insulated.
• Claustrophobia: controllable air movements, good patient contact and
education.
• Quenching: sudden loss of absolute 0 temperature of magnetic coils,
become resistive, helium escapes from cryogen bath. Replaces oxygen
when leaked into scan room. Oxygen monitoring device with alarm.
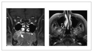
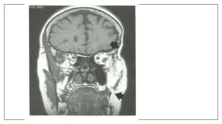
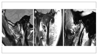
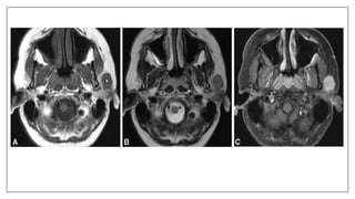
Indications:
• To evaluate the position and integrity of disk inTMJ.
• Evaluating soft tissue disease, especially neoplasia of tongue, cheek,
salivary gland and neck.
• Determining the malignant involvement of lymph nodes.
• Determining perineural invasions.
• Adjunct to ultrasonography in fetal head and neck pathology.
• Visualize edematous changes in fatty marrow and soft tissue in osteomyelitis.
• Localization of mandibular nerve.
• Sweep imaging with fourier transformation (SWIFT): penetration of
carcinoma into mandibular cortex.
• Contrast enhanced MRI: enhance image resolution in neoplasia
• MR angiography: arteries, occlusion, aneurysms, A-V malformations
Contraindications:
Normal anatomy
Pathologies
Modifications and advances in MRI
Contrast Enhanced MRI
Contrast agents are chemical substances introduced to the anatomical or
functional region being imaged, to increase the differences between different
tissues or between normal and abnormal tissue, by altering the relaxation
times.
MRI contrast agents are classified by the different changes in relaxation times
after their injection
Positive contrast agents
• Reduction in theT1 relaxation time (increased signal intensity onT1
weighted images).
• They (appearing bright on MRI) are typically small molecular weight
compounds containing as their active element Gadolinium, Manganese, or
Iron
• All of these elements have unpaired electron spins in their outer shells and
long relaxivities.
• Some typical contrast agents as gadopentetate dimeglumine, gadoteridol,
and gadoterate meglumine are utilized for the central nervous system and
the complete body.
Negative contrast agents
• (Appearing predominantly dark on MRI) are small particulate aggregates
often termed superparamagnetic iron oxide (SPIO).
• These agents produce predominantly spin spin relaxation effects (local
field inhomogeneities), which results in shorterT1 andT2 relaxation times.
• SPIO's and USPIO usually consist of a crystalline iron oxide core containing
thousands of iron atoms and a shell of polymer, dextran,
polyethyleneglycol, and produce very highT2 relaxivities.
• USPIOs smaller than 300 nm cause a substantial T1 relaxation,T2
weighted effects are predominant
• Tissues that normally enhance: vessels with slow flowing blood, sinus mucosa and
muscles
• Pathologic tissue that enhance: tumors, infections, inflammations, post traumatic
lesions.
0.1-0.2mmol/kg
3-5ml/sec
MRSI:
• Provides spectroscopic information in addition to the image that is
generated by MRI alone.
• The spectroscopic information can be used to infer further information
about cellular metabolic activity.
• Each biochemical, or metabolite, has a different peak in the spectrum which
appears at a known frequency
• N-acetyl Aspartate (NAA): resonance peak at 2.02 ppm, decrease indicate
loss or damage to neuronal tissue. Its presence in normal conditions
indicates neuronal and axonal integrity.
• Choline: peak at 3.2 ppm. Increased choline indicates increase membrane
breakdown, suggest demyelination or presence of malignant tumors.
• Creatine and phosphocreatine: peak at 3.0 ppm, marks metabolism of brain
energy. Gradual loss indicates tissue death or major cell death, injury or lack
of blood supply. Increase concentration could be a response to
cranialcerebral trauma. Absence may be indicative of a rare congenital
disease.
• Lactate: reveals itself as a doublet (two symmetric peaks in one) at 1.33
ppm. Normally lactate is not visible, however, presence
indicates glycolysis has been initiated in an oxygen-deficient environment.
Several causes of this include ischemia, hypoxia, mitochondrial disorders
• Myo-inositol: peak at 3.56 ppm, an increase seen in patients with
Alzheimer's, dementia, and HIV patients.
• Glutamate and glutamine: series of resonance peaks between 2.2 and 2.4
ppm. Hyperammonemia, hepatic encephalopathy are two major conditions
that result in elevated levels of glutamine and glutamate.
• Lipids: peaks located in the 0.9–1.5 ppm range, increase in lipids indicative
of necrosis.
MR Sialography
• MR-Si is a noninvasive method of imaging the ductal system of
submandibular gland and parotid gland.
• This MR technique has the potential to provide a comprehensive
examination for the detailed anatomic assessment of the major salivary
glands.
• The patient’s salivary secretion is used as contrast agent, method of
examination based on a basic principle of usingT2-weighted sequence for
monitoring liquids.
• Its superior properties also include its capability of displaying the duct
diameter in its actual value due to the nonuse of the contrast agent.
EPI
• Performed using a pulse sequence in which multiple echoes of different
phase steps are acquired using rephasing gradients.
• This is accomplished by rapidly reversing the readout or frequency- encoding
gradient.
• In a single-shot echo planar sequence, the entire range of phase encoding
steps, usually up to 128, are acquired in oneTR.
• In multi-shot echo-planar imaging, the range of phase steps is
equally divided into several "shots" orTR periods. For example an image with
256 phase steps could be divided into 4 shots of 64 steps each
Benefits
• Reduced imaging time
• Decreased motion artifact,
• Ability to image rapid physiologic processes of the
human body.
Drawbacks
• Sensitive to main magnetic field inhomogeneity
• Long gradient echo train causes greaterT2*
weighting
• Requires high-performance gradients
fMRI
• fMRI has contributed to improve our insight into how the human brain
works, both in the normal and diseased states.
• fMRI refers to the demonstration of brain function with neuro - anatomic
localization on a real time basis.
• The vast majority of these studies are performed using ‘Blood Oxygen
Level Dependent’ contrast or BOLD which requires the detection of very
small signal intensity changes
• They map the brain with fMRI to identify regions linked to critical functions
such as speaking, moving, sensing, or planning.
• Clinicians also use fMRI to anatomically map the brain and detect the
effects of tumors, stroke, head and brain injury, or diseases such
as Alzheimer's.
MR Fingerprinting
• Relatively recent approach to the acquisition and evaluation of MRI data
aimed at generating quantitative multiparametric data from a single
acquisition.
• The underlying process is acquiring data in a pseudorandom manner
resulting in a unique pattern of signal evolution unique to that tissue – thus
the term 'fingerprinting’
• The unique signal evolutions matched to a
pre-defined 'dictionary' of signal fingerprints,
allowing quantitative maps ofT1,T2, proton
density, and diffusion to be generated
• The hope of MR fingerprinting is that it will
make comparison across individuals, scanners
and vendors possible, rather than the current
situation in which the vast majority of imaging
data is qualitative
MRI continues to be a fertile area for technological advances:
• Signal Processing and Image Reconstruction
• RF technology
• Magnet technology
• Contrast mechanisms
Summary
History: 1973 – Lauterbur
publishes method for
generating images using
NMR gradients.
Advancements
Conclusion
Magnetic Resonance Imaging is one of the most efficient and inventions in
history. It does not radiate any unhealthy waves to the body that can be
mutate the human gene
It is to visualize the body of a patient in a detailed form without having to cut
it open. It has a variety of purposes and uses. Its significance in medical field
is unimaginable.
It continues to have great impacts in the human life and with scientists
continuing to improve this important device, it seems that we may not have
seen the full potential of the MRI scanners just yet
Larmor frequency for magnetic field of 1.5
tesla is:
a) 62
b) 63
c) 64
d) 65
A 2D fourier transformation yields:
a) K space
b) L space
c) M space
d) N space
Information about cellular metabolic
activity is possible with:
a. EPI
b. fMRI
c. MRSI
d. MRI fingerprinting
If FOV is smaller than the body part being imaged, part of the body that lies beyond the
edge of the FOV is projected on to the other side of the image.This is:
a) Partial volume averaging
b) RF interference
c) Black boundary artifact
d) Aliasing artifact
Which of the following is not the disadvantage of MRI:
a) Expensive
b) Direct multiplanar imaging
c) Long imaging time
d) Claustrophobic procedure
References
• White SC, Pharoah MJ. Oral Radiology Principles and Interpretation. 6th edition. India: Mosby Elsevier;2012
• CurryTS, Dowdey J, Murry R. Christensen’s Physics of Diagnostic Radiology. 4th edition. Philadelphia:
LippincottWilliams andWilkins; 1990
• Weber EC,Vilensky JA,W Stephen. Netter’s concise radiologic anatomy. 1st edition. China: saunders Elsevier;
2009
• MoellerTB, Reef E. Pocket atlas of sectional anatomy: computed tomography and magnetic resonance
imaging. 3rd edition. Germany:Thieme; 2007
• DillT. Contraindications to magnetic resonance imaging. Heart. 2008;94:943-948
• Ho ML, JulianoA, Eisenberg RL, MoonisG. Anatomy and pathology of facial nerve. AJR. 2015; 204:W612–
W619
• Porte L et al,. Imaging the floor of mouth and sublingual space. Radiographics. 2011; 31 (5): 1215-1230
• Ong CK, ChongVFH. Imaging of tongue carcinoma.Cancer Imaging. 2006; 6: 186–193
• Law CP, Chandra RV, Hoang JK, Phal PM. Imaging the oral cavity: key concepts for the radiologist.The
British Journal of Radiology; 84 (2011): 944–957
• Schellas KP. MR imaging of muscles of mastication. AJNR. 1989; 10:829-837
• Hughes MA et al,. MRI of theTrigeminal Nerve in PatientsWithTrigeminal Neuralgia Secondary
toVascular Compression. AJR. 2016; 206: 595-600
• Hapani H et al,. Magnetic Resonance Imaging inTongue Malignancy. IOSRJournal of Dental and
Medical Sciences . 2015; 14 (2): 38-45
• Nicolas S et al,. Anatomy of theTrigeminal Nerve:Key Anatomical Facts for MRI Examination of
Trigeminal Neuralgia. Rev Imagenol. 2009; 12(2):28-33.
• Lenz M et al,. Oropharynx, oral cavity, floor of the mouth: CT and MRI. European Journal of
Radiology. 2000; 33: 203–215
• Theony HC. Imaging of salivary gland tumors. Cancer Imaging. 2007; 7: 52-62
• Bag KA et al,. Imaging of the temporomandibular joint: an update. WorldJ Radiol. 2014; 6 (8):
567-582
• Majoie C et al,.Trigeminal neuropathy: evaluation with MR imaging. Radiographics. 1995; 15:
795-811
• Erdogan N et al,. Magnetic Resonance Sialography Findings of Submandibular Ducts Imaging.
Biomed Research International. 2013; doi.org/10.1155/2013/417052
• Magnetic Resonance Fingerprinting - a promising new approach to obtain standardized imaging
biomarkers from MRI. Insights into imaging. 6 (2): 163-5
• Patkar D et al,. New advances in MRI. JIMSA. 2013; 26 (1): 59-64
• Magnetic Resonance, a critical peer-reviewed introduction; functional MRI. European Magnetic
Resonance Forum. Retrieved 17 November 2014
• Stevens AA, Skudlarski P, Gatenby JC, Gore JC. Event-related fMRI of auditory and visual oddball
task. Magn. Reson. Imaging. 2000;18:495–502
• Kim HC et al,. CT and MR Imaging of the Buccal Space: Normal Anatomy and Abnormalities.
Korean J Radiol. 2005; 6(1): 22–30.
• KagawaT et al,. Basic principles of magnetic resonance imaging for beginner oral and maxillofacial
radiologists. Oral Radiol. Japanese Society for Oral and Maxillofacial Radiology and Springer Japan
2017
• E.M. Haacke, R.W. Brown, M.R.Thompson, R.Venkatesan, Magnetic Resonance Imaging : Physical
Principles and Sequence Design, NewYork: JohnWiley & Sons, Inc. 1999. p. 422.
• G.M. Bydder, I.R.Young, MRI: Clinical Use of the Inversion Recovery Sequence, J. Comp. Asst.
Tomogr. 9:659‐675, 1985.
• Kerviller E et al,. Fat suppression techniques in MRI:an update. Biomed and Phnrmacother. 1998;
52 : 69-15
Thank you !!!
Discussion
RF coil is made of:
• Copper
• Brass
• Carbon Steel
• Stainless steel
Strength: epoxy material
Boer,Jacques and MarinusVlaardingerbroek. Magnetic Resonance ImagingTheory and
Practice. Springer, 1996
RF coils forTMJ imaging
What is 1Tesla?
• The International System (SI) unit of field intensity for magnetic fields is
Tesla (T). One tesla (1T) is defined as the field intensity generating one
newton of force per ampere of current per meter of conductor.
Types of MRI images
• T1 weighted image
• T2 weighted image
• Proton Density weighted image
• Gradient echo images
T2* imaging
• T2* imaging is mostly used to detect iron in its various forms.
• The iron in hemoglobin and hemosiderin is paramagnetic and thus causes
an susceptibility difference in the damaged region, which shows up as dark
regions inT2* scans.
• Hemosiderosis and haemorrages can be detected byT2* scans for the same
reason. Calcification shows up bright in aT2* MRI due to its higher
diamagnetism than the surrounding tissue.
• T2* can be recorded using GRE sequences with a low flip angle, longTE,
and longTR
Radiographics. 2009 Sep; 29(5): 1433–1449.
Interaction between MRI and dental material
• Ferromagnetic: chromium oxide, cobalt, ferrite (iron), gadolinium, nickel,
magnetite, yttrium, etc.
• Paramagnetic: magnesium, tin, platinum, lithium, tantalum, aluminum,
molybdenum, etc.
• Diamagnetic: wood, zinc, copper, bismuth, silver, gold.
Impact on dental materials:
• Projectiles
• Thermal heating
• Failure of prosthesis
• Dental restorations/appliances which may cause safety problem
1. Complete denture with metal denture base
2. Orthodontic brackets, wires
3. Crowns
4. Fixed partial dentures
5. Cast partial denture
6. Implants
7. Magnets in overdenture
Artifacts
• No artifacts: amalgam, titanium, Co-Cr crowns, Ni-Cr crowns, light cure
resins, acrylic resins, gold fillings, gold crowns, ceramic restorations, fiber
reinforced polymers, magnesium, zirconia, aluminium crown and microfilled
resin
• Minimal to moderate artifacts: titanium, vitalium, Zn phosphate, stainless
steel crown, bur fragments, metal ceramic, amalgam pins, orthodontic
bands and brackets
• Significant artifacts: stainless steel crowns, metallic dentures, magnetic
keepers, orthodontic appliances, gold, endodontic post
Mathew CA, Maller S, Maheshwaran. Interactions between magnetic resonance imaging and
dental material. J Pharm Bioall Sci 2013;5:113-6.
MRI and Pregnancy
• On-going concern that acoustic noise associated with MRI may impact the
fetus and may cause substantial neonatal hearing impairment.
• At high (2–7 times the dose used in humans) and repeated doses of
gadolinium, teratogenic effects (including growth retardation, visual
problems, and bone and visceral anomalies) are noted
Bulas D, Egloff A. Benefits and risk of MRI in pregnancy. Seminars in perinatology. 2013: 37; 301 –
304
Sweep Imaging with FourierTransform (SWIFT)
• Sequence of frequency-modulated pulses with short repetition timeTR that
exceeds the pulse lengthTP by at least the amount of time needed for
setting a new value (or orientation) of a magnetic field gradient used to
encode spatial information.
• The images are processed using 3D back-projection reconstruction.
• During SWIFT acquisition the applied imaging gradients usually exceed all
intrinsic gradients due to susceptibility or inhomogeneity.
• For this condition the images obtained are fully independent of transverse
relaxation and signal intensity depends only onT1 and spin density.
1. J. Dadok, R. F. Sprecher, J. Magn. Reson. 13, 243 (1974).
2. R. K. Gupta, J. A. Ferretti, E. D. Becker, J. Magn. Reson. 13, 275 (1974).
3. M. Garwood, L. DelaBarre, J. Magn. Reson. 153, 155 (2001)
Advantages • Fast
• Sensitive to shortT2.
• Reduced motion artifact
• Quiet
Metallic artifact: reason
• Ferromagnetic objects experience strong forces that originate from the
static magnetic field.The forces are strongest in regions near the magnet
where the field strength changes rapidly over a small distance.
• Some metals can cause heating because of interaction with radiofrequency
fields.
• Presence of metal can result in severe variations in the static magnetic field
because of susceptibility variations between metal and surrounding tissue.
• Signal loss and dephasing of signal.
H Brian et al,. Metal induced artifacts in MRI. AJR. 2011; 197:547–555
180 degree RF Pulse
• Can rephase spins and reverse static field inhomogeneities and transverse
magnetization reappears.
• Protons go out of sync bcoz the magnetic field applied is not uniform and due
to material (tissues, bones etc).
• Local variations in the field causes the protons to go out of sync.
• The 180 brings them in to coherence, not instantly but they do catch up and
become coherent
Hanson, LG. "Is Quantum Mechanics Necessary for Understanding Magnetic
Resonance?" Concepts in Magnetic Resonance Part A,Vol. 32A(5) 329340 (2008)
Neurostimulatory devices
• Neurostimulation is the purposeful modulation of the nervous system's activity
using invasive or non-invasive means.
• Neurostimulation usually refers to the electromagnetic approaches
to neuromodulation.
• Brain stimulation: Epilepsy, Optogenetics
• Deep brain stimulation: Parkinson’s disease, Pulse generator
• Non-invasive brain stimulation: Focal brain lesions, Transcranial magnetic
stimulation,Transcranial direct current stimulation,Transcranial alternating
current stimulation, transcranial pulsed current stimulation
• Spinal cord stimulation: Herpes zoster pain, post-herpetic neuralgia,
Microelectrodes
Hallett M (July 2000). "Transcranial magnetic stimulation and the human brain". Nature. 406 (6792): 147–50
Pharyngeal recess
• Behind the ostium of the eustachian tube (ostium pharyngeum tuba
auditiva) is a deep recess, the pharyngeal recess (fossa of Rosenmüller)
• At the base of this recess is the retropharyngeal lymph node (the Node of
Rouvier.)This is clinically significant in that it may be involved in certain
head and neck cancers, notably Nasopharyngeal cancer.
L E Loh,TSG Chee, AB John.The anatomy of the Fossa of Rossenmuller- Its possible influence on
the detection of occult nasopharyngeal carcinoma: Singapore Medical Journal;Vol 32 : 154-55
Stuck disk Phenomenon inTMJ
• A stuck disc refers to aTMJ disc which does not translate anteriorly out of
the mandibular fossa onto the articular eminence, but rather remains (thus
"stuck") in the fossa. It is a form ofTMJ dysfunction and is typically
associated with restricted range of motion.
• Its due to fibrous adhesions
Campos PS, Macedo Sobrinho JB, Crusoé-Rebello IM, Pena N, Dantas JA, Mariz AC, et al.Temporomandibular joint disk
adhesion without mouth-opening limitation. J Oral Maxillofac Surg. 2008;66(3):551-4. doi:10.1016/j.joms.2006.11.006
MRI in space infection
• Used in deep neck space infection: Retropharyngeal and Parapharyngeal
space infection
Reynolds SC, Chow AW. Life-threatening infections of the peripharyngeal and deep fascial spaces of the head and
neck. Infect Dis Clin North Am. 2007;21:557–576
Boundaries of Meckel’s Cave
• The cerebellar tentorium superolaterally
• The lateral wall of the cavernous sinus superomedially
• The clivus medially
• The posterior petrous face inferolaterally
fMRI and Sensory Function
• Yes, sensory function can also be assessed by fMRI
Corbetta M et al,. Functional reorganization and stability of somatosensory-motor cortical topography
in a tetraplegic subject with late recovery. PNAS. 2002; 99(26)
Titanium and magnetic property
• It is paramagnetic.
Causes of myosteatosis (infiltration of
muscle by fat)
• Disuse
• Altered leptin signaling
• Sex steroid deficiency
• Glucocorticoid treatment
• Trauma
Hamrick M et al,. Fatty Infiltration of Skeletal Muscle: Mechanisms and Comparisons with Bone Marrow Adiposity.
Front Endocrinol (Lausanne). 2016; 7: 69

Magnetic resonance imaging

  • 1.
    Magnetic Resonance Imaging (MRI) Resourcefaculties: Dr. Jyotsna Rimal Additional Prof. and HOD Dr. Iccha Kumar Maharjan Associate Prof. Dr. Sushma Pandey (Dhakal) Associate Prof. Presenter : Abhinaya Luitel JR- II Department of Oral Medicine and Radiology
  • 2.
    Contents • MRI history •MRI basics • Fat suppression in MRI • MRI artifacts • MRI clinical aspects Advantages Disadvantages Safety Indications Contraindications Normal anatomy Pathologies • Modifications and advances in MRI • Summary • conclusion
  • 3.
    Timeline of MRImaging 1920 1930 1940 1950 1960 1970 1980 1990 2000 1924 - Pauli suggests that nuclear particles may have angular momentum (spin). 1937 – Rabi measures magnetic moment of nucleus. Coins “magnetic resonance”. 1946 – Purcell shows that matter absorbs energy at a resonant frequency. 1946 – Bloch demonstrates that nuclear precession can be measured in detector coils. 1972 – Damadian patents idea for large NMR scanner to detect malignant tissue. 1959 – Singer measures blood flow using NMR (in mice). 1973 – Lauterbur publishes method for generating images using NMR gradients. 1973 – Mansfield independently publishes gradient approach to MR. 1975 – Ernst develops 2D-Fourier transform for MR. NMR renamed MRI MRI scanners become clinically prevalent. 1990 – Ogawa and colleagues create functional images using endogenous, blood-oxygenation contrast. 1985 – Insurance reimbursements for MRI exams begin.
  • 4.
    Nobel Prizes forMagnetic Resonance • 1944: Rabi, Physics (Measured magnetic moment of nucleus) • 1952: Felix Bloch and Edward Mills Purcell , Physics (Basic science of NMR phenomenon) • 1991: Richard Ernst, Chemistry (High-resolution pulsed FT-NMR) • 2002: KurtWüthrich , Chemistry (3D molecular structure in solution by NMR) • 2003: Paul Lauterbur & Peter Mansfield, Physiology and Medicine (MRI technology)
  • 5.
    Magnetic ResonanceTechniques • NMR(Nuclear Magnetic Resonance) • MRI (Magnetic Resonance Imaging) • EPI (Echo-Planar Imaging) • fMRI (Functional MRI) • MRSI (MR Spectroscopic Imaging)
  • 6.
  • 7.
    What is MRI? •MRI is a spectroscopic imaging technique used in medical settings to produce images of the inside of the human body. • Based on the principles of nuclear magnetic resonance (NMR), which is a spectroscopic technique used to obtain microscopic chemical and physical data about molecules • In 1977 the first MRI exam was performed on a human being. It took 5 hours to produce one image.
  • 8.
    Equipment Magnet Gradient CoilRF Coil RF Coil 4T magnet gradient coil (inside) B0
  • 9.
    MRI Basic Layout Themagnetic field of an MRI machine is typically 3 Tesla! The Earth’s magnetic field is less that 30 microtesla (0.00003 Ts).
  • 10.
    The Components: • Amagnet which produces a very powerful uniform magnetic field. • Gradient Magnets which are much lower in strength. • Equipment to transmit radio frequency (RF). • A very powerful computer system, which translates the signals transmitted by the coils. Transmit Receive rf coil rf coil main magnet main magnet gradient Shimming Control Computer
  • 11.
    The Magnet • Permanentmagnet:  Made of ferromagnetic materials i.e. alnico. Do not require power supply. Available magnetic strength 0.2T to 0.5T • Resistive magnets: Electromagnetism, strength of magnetic field proportional to applying current • Super conducting magnets: Free resistance , made from neobium/titanium, embeded in copper matrix Free resistance acquired by super cooling to 4K by liquid helium known as cryogens
  • 12.
    • A shimis a device used to adjust the homogeneity of a magnetic field. • Shims received their name from the purely mechanical shims used to adjust position and parallelity of the pole faces of an electromagnet. • Hetrogeneity: Iron constructions in walls and floor of the examination room become magnetized and disturb the field of the scanner.  The probe and the sample or the patient become slightly magnetized when brought into the strong magnetic field and create additional inhomogeneous fields Magnetic shim coils
  • 13.
    • Passive shimming:small pieces of sheet metal or ferromagnetic pellets are affixed at various locations within the scanner bore. • Active shimming uses currents directed through specialized coils. superconducting, located within the liquid helium-containing cryostat Resistive, mounted on the same support structure as the gradient coils within the room- temperature inner walls of the scanner. Both types of active shims require their own power supplies and are controlled by special circuitry Principle: Magnetized to produce their own magnetic field.The additional magnetic fields (produced by coils or steel) add to the overall magnetic field of the superconducting magnet in such a way as to increase the homogeneity of the total field.
  • 14.
    ENCODING GRADIENTS Gradient coilused to vary the magnetic field in specific area and specific direction in patient homogenous magnetic field exerted by main magnet  Slice encoding gradients- define the area or region for imaging i.e slice thickness  Phase encoding gradients- define matrix of selected region.  Frequency encoding gradients- measure the signal ,also knows readout gradients
  • 15.
    Why is aSlice Selection Gradient used? • Magnetic Field applied perpendicular to desired slice, because we can now “focus” on a layer with a specific processional frequency. • Hydrogen atoms to either side of desired layer are either too fast or too slow. H H H H Bapplied H H H H H H H H H H H H Lets select this slice
  • 16.
    H H H H H H H H H H H H Phase Encoding – •Resolves image in second dimension. • Apply a magnetic gradient, but only briefly. • Goal: Get hydrogen atoms out of sync with each other so they can be distinguished along another axis. H H H H H H H H H H H H H H H H B B
  • 17.
    After applying encodinggradients , radio-frequency wave is used by RF coil for imaging process  The MRI machine applies radio frequency (RF) pulse that is specific to hydrogen.  The RF pulses are applied through a coil that is specific to the part of the body being scanned. RF Coil
  • 18.
    Radiofrequency Coils • Definedby their function: Transmit / receive coil (most common) Transmit only coil (can only excite the system) Receive only coil (can only receive MR signal) Multiply tuned coil. • Defined by geometry Volume coil (low sensitivity but uniform coverage) Surface coil (High sensitivity but limited coverage) Gradient coil (High sensitivity, near-uniform coverage)
  • 19.
    • Signal comesout in form radiofrequency as a read out pick up by receiver coil • Frequency of waves or oscillation change into sine or cosine function for image formation and this mathematical process know as Fourier transformation
  • 20.
    Common nuclei withNMR properties •Criteria: Must have ODD number of protons or ODD number of neutrons. Reason? Impossible to arrange these nuclei so that a zero net angular momentum is achieved. Thus, these nuclei will display a magnetic moment and angular momentum necessary for NMR. Examples: 1H, 13C, 19F, 23N, and 31P with gyromagnetic ratio of 42.58, 10.71, 40.08, 11.27 and 17.25 MHz/T. Since hydrogen protons are the most abundant in human body, we use 1H MRI most of the time.
  • 21.
  • 22.
    Precession • Precessional frequency,Resonance frequency, Larmor frequency n = g/2p Bo Larmor frequency g/2p = 42.57 MHz / Tesla for proton
  • 23.
    RF pulse, ResonanceandTransverse magnetization Ω Faraday’s law of induction MR signal 90-degree RF Pulse Frequency Magnitude Strength Spin density/proton density
  • 24.
    Relaxation Ω MR signal Decay Freeinduction decay: reduced voltage induced
  • 25.
    Factors that affectMR signal • Relaxation time • Flip angle • Free induction decay • Proton density • Magnetic susceptibility • Haemorrahge • Flow • Chemical shift
  • 26.
    Relaxation T1 Relaxationtime/ spin-lattice relaxation time  63 % Recovery of longitudinal magnetization: transfer of energy from spin nuclei to lattice molecule T2 Relaxation time/ spin-spin relaxation time  37 % Loss of transverse magnetization: magnetic moment of hydrogen nuclei interfere and dephase
  • 27.
    T1 weighted image •ShortTR (300-700ms) andTE (20ms) • Bright: fat • Dark: water • More commonly used to demonstrate anatomy. • LongTR (2000ms) andTE (>=60ms) • Bright: CSF,TMJ fluid • Dark: fat • More commonly used to demonstrate pathology. T2 weighted image
  • 29.
    Tissues T1 (ms)T2 (ms) Fat 240-250 60-80 Bone marrow 550 50 White matter of cerebrum 780 90 Grey matter of cerebrum 920 100 Muscle 860-900 50 CSF (similar to water) 2200-2400 500-1400
  • 30.
    TR - REPETITIONTIME Time from the application of one RF pulse to another RF pulse Determines the amount of T1 relaxation. TE - ECHO TIME Time from the application of the RF pulse to the peak of the signal induced in the coil Determines the amount of T2 relaxation.
  • 31.
    Image contrast Intrinsic factors: Protondensity T1 andT2 relaxation time of tissue being imaged. Extrinsic factors: Repetition time Echo time
  • 32.
    MR SIGNAL • Collectedby a coil • Encoded through a series of complex techniques and calculations • Stored as data • Mapped onto an image matrix
  • 33.
    Resolving theThird Dimension,Frequency Encoding H H H H H H H H H H H H H H H H x y z Slice plane Review of Spatial Resolution: 1. Apply and turn off phase encoding gradient. This gets hydrogen in the x-axis out of sync. 2. Apply a third gradient, now we can distinguish hydrogen in the y-axis based on the precessional speeds. B
  • 34.
    Fourier’sTransform • The pickup coil receives many different frequency oscillations. • Use Fourier’sTransform to process the data. Time [s] Signal Strength 1 4 Freqency [Hz] Signal Strength 1 0.25 f = 1/T = ¼ = .25 1.5 0.5 1.5 -1 -1.5 f = 1/T = ½ = .5 f = 1/T = 1/1 = 1 1.0 Transform
  • 35.
    FourierTransform (cont.) The pickupcoil does not distinguish between the input of each hydrogen. They are all read together, and constructively and destructively interfere. Fourier’s allows us to determine which frequencies are along the axis. For instance, if there are two hydrogen at different frequencies along an axis: Signal Strength Time [s] 1 -1 4 Time [s] 1 -1 4 Time [s] 1 -1 4 + = Current Fourier Frequency [Hz] 1 0.25 Signal Strength 0.25 Frequency [Hz] 1 0.25 1 0.25 Frequency [Hz] 1 0.25 1
  • 36.
    K-Space A 2D Fouriertransform is conducted by performing two Fourier transforms orthogonal to each other. This yields a “K-Space” The “K-Space” undergoes an Inverse Fourier Transform. Following this mathematical step, we finally have an image.
  • 37.
    General spatial informationis concentrated towards the center of “K- Space” Image: Inverse Fourier Transform of the center of the K-Space. The peripheral regions of the K-Space encode for the edges of the image.
  • 38.
    Pulse sequence It istime chart interplay of A) Patients net longitudinal Magnetization B) Transmission of the RF pulse C) X,Y,&Z gradient activation for localization and acquisition signal D) k-space filling with the acquired signal
  • 39.
    common symbols usedin pulse sequence diagrams
  • 40.
    Pulse sequence broadlydivided into • Spin Echo sequence 1) Conventional spin echo sequence 2) Fast / turbo spin echo • Inversion recovery 1) Short time inversion recovery(STIR) 2) Long time inversion recovery-FLAIR(fluid linear attenuated inversion recovery) • Gradient Echo sequences(GRE) • Ultrafast sequences
  • 41.
    SPIN ECHO SEQUENCE 90deg excitatory RF pulse and 180 deg rephasing pulse In this sequence NMV flip from the Z- axis(longitudinal magnetization) to X-Y plane (transverse magnetization) After switch off RF pulse, NMV recover in its original direction Rephasing pulse uses to increase the transverse magnetization and more homogenous signal recorded by the receiver coil
  • 42.
    The main objectiveof spin echo sequence to increase the homogeneity in the received signal
  • 43.
    ADVANCED SPIN ECHO-TURBOSPIN ECHO SEQUENCE • Multiple 180 deg rephasing pulse sent after 90 deg excitatory pulse • Multiple echoes obtained perTR i.e. 1 echo/TR • Fast scanning sequence • Turbo factor – it is number of 180 deg rephasing pulse after each 90 deg pulse . It is also known as echo-train length(ETL)
  • 44.
    INVERSION RECOVERY • IRsequence consist of an inverting 180 deg pulse followed by 90 deg excitation pulse followed by rephasing 180 deg pulse • After inverting 180 deg pulse is switched off NMV begin to relax • After a define time(TI) 90 deg excitatory pulse is applied • TI can be selected according to need
  • 45.
    • The timebetween inversion 180 deg and excitatory 90 deg pulse is known as time of invert (TI) • TI is the main determinant of contrast in IR sequence • Excitatory 90 deg pulse flips NMV into transverse plane • When it switched off spins starts dephasing and magnitude of theTM(transverse magnetization) reduces then again 180 deg rephasing pulse applied to get signal.
  • 46.
    GRADIENT ECHO SEQUENCE Threebasic difference between SE and GRE sequences • No 180 deg pulse in GRE • Rephasing ofTM done by gradients not by RF pulse • Flip angle in GRE are smaller(less than 90 deg) than spin echo • Early recover of LM ,TR is less so scanning time reduced.
  • 47.
    • In GREsequence dephasing effect of magnetic field inhomogenity are not compensated as there is no 180 deg pulse.T2 relaxation in GRE is called asT2*(T2 star) • UsuallyT2*<T2
  • 48.
    Ultra fast sequence •Rapid scanning technique are either based on low flip angle with gradient reversal or on RF refocusing . • Low flip angle with gradient reversal reducesTR hence the scanning time,. • By using multiple refocusing RF pulses multiple lines of k-space are filled everyTR thus making the acquisition rapid
  • 49.
    Synopsis of MRimaging  Placing the patient in the magnet: Nuclei of many atom, particularly hydrogen align with magnetic field. Sending radiofrequency pulse by coil: Resonate RF turned off: energy released. Detected as signal by coil Signal are sent to computers for complex processing to get image
  • 50.
    Fat suppression inMRI • Used to enhance tissue contrast and lesion conspicuity, to determine if the tissue of interest has a high or low lipid content and to remove artefacts. • Fat signals can have contributions from many inequivalent hydrogen atoms (e.g. CH3, CH2, CH=CH, etc.) each of which will have distinct resonance frequencies. Eg: suppression of the marrow signal from around joints, suppression of the fat signal in the orbits to better differentiate tissues of interest (cartilage and ligaments, bone metastases, optic nerve, etc.) from surrounding fatty tissue.
  • 51.
    • To suppressthe fat signal, fat suppression module is typically inserted at the beginning of an otherwise normal MRI sequence. • To prepare the signal such that the fat contribution is as small as possible, without perturbing the water signal, one or more of the following properties is exploited: 1) fat and water have different resonant frequencies, 2) they have different Larmor precession frequencies and 3) they have differentT1 relaxation times
  • 52.
    Spectral Fat Saturation: •Fat resonance is excited selectively and then the signal is “spoiled” using gradient pulses. • The fat spins are initially tipped into the transverse plane using a special 90° pulse that affects only the fat spins. • After the RF pulse, the fat spins are aligned perpendicular to the main magnetic field, B0, while the water spins are still parallel to B0. • Spoiler gradient pulses are used to dephase the fat spins causing the fat signal to decay to zero without affecting the water spins. • The fat signal is said to be “saturated”. • Standard MR sequence can now be initiated.The resulting image have no contribution from fat spins.
  • 53.
    STIR (Short TIInversion Recovery or Short Tau Inversion Recovery) • The value of the inversion time,TI, is chosen such that the fat signal does not contribute to the resulting image. • With this fat suppression technique the total signal (fat and water) is initially inverted (i.e. flip angle = 180°) and allowed to relax back to equilibrium viaT1 relaxation • At the fat null point the fat signal will be zero but the signal for the other tissues will normally be non‐zero. • Therefore, if a standard MRI sequence is started when the fat signal is at its null point, fat spins will not contribute to the resulting image
  • 54.
    SPIR (Spectral Presaturationwith Inversion Recovery) • Selective excitation of the fat signal andT1 relaxation. • This pulse is designed to excite only the fat spins.This is similar to the situation with Spectral Fat Saturation. • After the inversion, the fat spins evolve back to their equilibrium orientation parallel to the main field. • As they pass through the fat null point (i.e. when the fat signal is zero) a conventional MR sequence is initiated. • The resulting image will be fat suppressed.
  • 55.
    Dixon Method • Sincefat and water have different resonance frequencies, they will also precess in the transverse plane at different rates. • One with the fat and water spins in‐phase and the other with them out‐of‐phase. • These images can be obtained from separate acquisitions or as different echoes of the same acquisition. • If these two images are added together pixel by pixel the result will be a fat suppressed image. • Complex pixel intensities must be used for these calculations.
  • 56.
    Water excitation • Excitingonly the water spins and leaving the fat spins unaffected. • Special type of RF pulse known as a binomial pulse. • Set of RF pulses whose net effect is to produce a 90° pulse for the water spins and a 0° pulse for the fat spins. • Dual echo in the steady state (DESS) • Fast low-angle shot (FLASH) sequence
  • 58.
    MRI ARTIFACTS Something observedin a scientific procedure, investigation or experiment that is not naturally present but occurs as a result of the preparative or investigative procedure
  • 59.
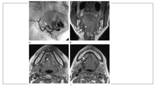
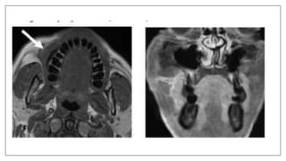
    Metal artifacts: Braces Bracesmay cause an artifact distant from the source. The axial proton density and T2-weighted images exhibit horseshoe shaped artifacts. Note it is much subtler on the T2 image.
  • 60.
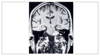
    Metal Artifact CausingCone head Appearance presence of a small metal clip on an elastic in the patients hair. Ferrous metal will cause a magnetic field inhomogeneity which in turn causes a local signal void, often ringed by an area of high signal intensity, as well as a distortion of the image. Once the metal was removed the patients head returned to a more normal shape.
  • 61.
    Patient Wearing Belt Thepatient was wearing a metal-studded belt during this coronal T1- weighted abdominal scan.
  • 62.
    Aliasing or "Wrap-around" Field of view (FOV) is smaller than the body part being imaged. The part of the body that lies beyond the edge of the FOV is projected on to the other side of the image. REMEDY :  By over sampling the data. In the frequency direction, sampling the signal twice as fast. In the phase direction, the number of phase- encoding steps must be increased.
  • 63.
    Motion artifacts: Phase-encodedMotion Artifacts Bright noise or repeating densities in the phase direction, as the results of motion during acquisition of a sequence.  arterial pulsations, swallowing, breathing, peristalsis, and physical movement of a patient. REMEDY Spatial pre saturation pulses prior to entry of the vessel into the slices, can also reduce some swallowing and breathing artifacts.
  • 64.
    Moving Coil Two exampleswhere the patient moved while attached to the posterior neck coil, moving the coil.
  • 65.
    Patient Leaving Magnet Inthis case the patient pushed the head coil out of position in the middle of the scanning sequence. patient was in a hurry to leave!
  • 66.
    Uncontrolled Coughing The patienthad a fit of uncontrolled coughing during this axial T1-weighted lumbar spine scan.
  • 67.
    Swallowing Motion Patient motionduring a scan will cause artifacts to propagate in the phase direction. The image on the left demonstrates the artifact generated by the patient swallowing. Area of increased signal intensity in the spinal cord. REMEDY : Applying pre saturation RF pulses to the anatomy that was generating the artifact.
  • 68.
    Motion Artifact fromPeristalsis Severe artifact due to bowel motion occurring during image acquisition. This was resolved on the second image with the intravenous injection of an anti- spasmodic (Buscopan in this case).
  • 69.
    Cardiac Motion Acquired withoutany form of motion compensation technique for cardiac motion, blurring of the cardiac structures. The image on the right was obtained using cardiac gating. This effectively eliminates cardiac motion.
  • 70.
    Stimulated Echo Appears asa series of fine lines (arrows) on the T2-weighted image. The narrow bandwidth (2.57 kHz) caused a wide read window which allowed the stimulated echo to be incorporated into the image data. Remedy: Increasing the receive bandwidth which would narrow the read window, thus not incorporating the extraneous echo. To change the first echo time which may change the spacing of the stimulated echos to outside that of the read window for the second echo.
  • 71.
    RF Interference The wideband of RF noise is due to unshielded electric components in the magnet room. RF "buzz" will be seen over a range of frequencies on the image. The frequency encoding gradient runs A/P in this example.
  • 72.
    RF Overflow Artifacts Nonuniform,washed-out appearance to an image. Occurs when the signal received by the scanner from the patient is too intense to be accurately digitized by the analog-to-digital converter. Remedy : Auto-prescanning usually adjusts the receiver gain or the receiver gain can be decreased manually.
  • 73.
    Phased Array CoilMalfunction One coil of a phased array multi-coil is out of phase with the other coils. This results in bands of phase addition and cancellation, demonstrated here.
  • 74.
    Fast Spin EchoOptimization induced artifact FSE optimization has been applied resulting in artifacts. FSE optimization runs a preliminary TR period at the central slice and compares the phase of each echo in the echo train. If the phases do not compliment each other the RF is recalibrated and then the entire sequence is run. If there is an error in calibrating the phases of each of the echoes the artifact will appear
  • 75.
    Partial Volume Averaging Thetwo T1-weighted images of the head were obtained at exactly the same location, yet the second image shows the VII cranial nerve while the first does not. The reason for the is explained by partial volume averaging.
  • 76.
    The first slicewas obtained with a thickness of 10 mm while the second was at a thickness of 3 mm. When a small structure is entirely contained within the slice thickness with other tissue of differing signal intensity then the resulting signal displayed on the image is a combination of these two intensities. This may cause the small structure to disappear.
  • 77.
    Black Boundary Artifact Artificiallycreated black line located at fat-water interfaces such as muscle-fat interfaces. This results in a sharp delineation of the muscle-fat boundary that is sometimes visually appealing but not an anatomical structure.
  • 78.
    The most commonreason is a result of selecting an echo time (TE) in which the fat and water spins (located in the same pixel at an interface) are out of phase, cancelling each other.
  • 79.
    Gibbs or TruncationArtifacts Bright or dark lines seen parallel and adjacent to borders of abrupt intensity change, as when going from bright CSF to dark spinal cord on a T2-weighted image. It is also seen in other locations as at the brain/calvarium interface. This artifact is related to the finite number of encoding steps used by the Fourier transform to reconstruct an image. The more encoding steps, the less intense and narrower the artifacts.
  • 80.
    Magic Angle Effects Magicangle effects are seen most frequently in tendons and ligaments that are oriented at about a 55 degree angle to the main magnetic field. At an angle of about 55 degrees to the main magnetic field, the dipolar interactions become zero, resulting in an increase of the T2 Times about 100 fold. This results in signal being visible in tendons with ordinary pulse sequences.
  • 81.
    Moire Fringes Moire fringesare an interference pattern most commonly seen when doing gradient echo images with the body coil. Lack of perfect homogeneity of the main magnetic field from one side of the body to the other, results in superimposition of signals of different phases that add and cancel. This causes the banding appearance and is similar to the effect of looking though two screen windows.
  • 82.
    Zipper Artifacts Most ofthem are related to hardware or software problems beyond the radiologist immediate control. The zipper artifacts that can be controlled easily are those due to RF entering the scanning room when the door is open during acquisition of images. Other equipment and software problems can cause zippers in either axis
  • 83.
    Zero-Fill Artifacts Occasionally, datain the K-space array will be missing or will be set to zero by the scanner. The abrupt change from signal to no signal at all results in artifacts in the images such as zebra stripes and other anomalies.
  • 84.
  • 85.
    Advantages • No ionizingradiation. • No radiobiological effects • Higher soft tissue contrast • Excellent differentiation between normal and pathological soft tissues • Blood vessels are clearly seen • Direct multiplanar imaging is possible without reorienting the patient • No need for image enhancement using iv contrast media
  • 86.
    Disadvantages • Expensive • Longimaging time • Potential hazard by ferromagnetic substances in vicinity of imaging magnet • Claustrophobic procedure • Metallic objects in oral cavity may cause artifacts
  • 87.
    Safety The strong magneticfield of the magnet can turn the following into dangerous projectiles: • wheelchairs • oxygen tanks • I.V. poles • I.D. tags • keys • coins • scissors • trauma boards • sandbags • safety pins
  • 88.
    •Monitoring equipment •Infusion pumps •Creditcards •Cellular telephones •Any electronic device The changing magnetic fields can do damage to
  • 89.
    • RF antennaeeffects: Burn hazards due to electrical currents in conducive loops. Electrically and thermally insulated. • Claustrophobia: controllable air movements, good patient contact and education. • Quenching: sudden loss of absolute 0 temperature of magnetic coils, become resistive, helium escapes from cryogen bath. Replaces oxygen when leaked into scan room. Oxygen monitoring device with alarm.
  • 90.
    Indications: • To evaluatethe position and integrity of disk inTMJ. • Evaluating soft tissue disease, especially neoplasia of tongue, cheek, salivary gland and neck. • Determining the malignant involvement of lymph nodes. • Determining perineural invasions. • Adjunct to ultrasonography in fetal head and neck pathology.
  • 91.
    • Visualize edematouschanges in fatty marrow and soft tissue in osteomyelitis. • Localization of mandibular nerve. • Sweep imaging with fourier transformation (SWIFT): penetration of carcinoma into mandibular cortex. • Contrast enhanced MRI: enhance image resolution in neoplasia • MR angiography: arteries, occlusion, aneurysms, A-V malformations
  • 92.
  • 95.
  • 113.
  • 148.
    Modifications and advancesin MRI Contrast Enhanced MRI Contrast agents are chemical substances introduced to the anatomical or functional region being imaged, to increase the differences between different tissues or between normal and abnormal tissue, by altering the relaxation times. MRI contrast agents are classified by the different changes in relaxation times after their injection
  • 149.
    Positive contrast agents •Reduction in theT1 relaxation time (increased signal intensity onT1 weighted images). • They (appearing bright on MRI) are typically small molecular weight compounds containing as their active element Gadolinium, Manganese, or Iron • All of these elements have unpaired electron spins in their outer shells and long relaxivities. • Some typical contrast agents as gadopentetate dimeglumine, gadoteridol, and gadoterate meglumine are utilized for the central nervous system and the complete body.
  • 150.
    Negative contrast agents •(Appearing predominantly dark on MRI) are small particulate aggregates often termed superparamagnetic iron oxide (SPIO). • These agents produce predominantly spin spin relaxation effects (local field inhomogeneities), which results in shorterT1 andT2 relaxation times. • SPIO's and USPIO usually consist of a crystalline iron oxide core containing thousands of iron atoms and a shell of polymer, dextran, polyethyleneglycol, and produce very highT2 relaxivities. • USPIOs smaller than 300 nm cause a substantial T1 relaxation,T2 weighted effects are predominant
  • 151.
    • Tissues thatnormally enhance: vessels with slow flowing blood, sinus mucosa and muscles • Pathologic tissue that enhance: tumors, infections, inflammations, post traumatic lesions. 0.1-0.2mmol/kg 3-5ml/sec
  • 153.
    MRSI: • Provides spectroscopicinformation in addition to the image that is generated by MRI alone. • The spectroscopic information can be used to infer further information about cellular metabolic activity. • Each biochemical, or metabolite, has a different peak in the spectrum which appears at a known frequency
  • 154.
    • N-acetyl Aspartate(NAA): resonance peak at 2.02 ppm, decrease indicate loss or damage to neuronal tissue. Its presence in normal conditions indicates neuronal and axonal integrity. • Choline: peak at 3.2 ppm. Increased choline indicates increase membrane breakdown, suggest demyelination or presence of malignant tumors. • Creatine and phosphocreatine: peak at 3.0 ppm, marks metabolism of brain energy. Gradual loss indicates tissue death or major cell death, injury or lack of blood supply. Increase concentration could be a response to cranialcerebral trauma. Absence may be indicative of a rare congenital disease.
  • 155.
    • Lactate: revealsitself as a doublet (two symmetric peaks in one) at 1.33 ppm. Normally lactate is not visible, however, presence indicates glycolysis has been initiated in an oxygen-deficient environment. Several causes of this include ischemia, hypoxia, mitochondrial disorders • Myo-inositol: peak at 3.56 ppm, an increase seen in patients with Alzheimer's, dementia, and HIV patients. • Glutamate and glutamine: series of resonance peaks between 2.2 and 2.4 ppm. Hyperammonemia, hepatic encephalopathy are two major conditions that result in elevated levels of glutamine and glutamate. • Lipids: peaks located in the 0.9–1.5 ppm range, increase in lipids indicative of necrosis.
  • 156.
    MR Sialography • MR-Siis a noninvasive method of imaging the ductal system of submandibular gland and parotid gland. • This MR technique has the potential to provide a comprehensive examination for the detailed anatomic assessment of the major salivary glands. • The patient’s salivary secretion is used as contrast agent, method of examination based on a basic principle of usingT2-weighted sequence for monitoring liquids. • Its superior properties also include its capability of displaying the duct diameter in its actual value due to the nonuse of the contrast agent.
  • 159.
    EPI • Performed usinga pulse sequence in which multiple echoes of different phase steps are acquired using rephasing gradients. • This is accomplished by rapidly reversing the readout or frequency- encoding gradient. • In a single-shot echo planar sequence, the entire range of phase encoding steps, usually up to 128, are acquired in oneTR. • In multi-shot echo-planar imaging, the range of phase steps is equally divided into several "shots" orTR periods. For example an image with 256 phase steps could be divided into 4 shots of 64 steps each
  • 160.
    Benefits • Reduced imagingtime • Decreased motion artifact, • Ability to image rapid physiologic processes of the human body. Drawbacks • Sensitive to main magnetic field inhomogeneity • Long gradient echo train causes greaterT2* weighting • Requires high-performance gradients
  • 161.
    fMRI • fMRI hascontributed to improve our insight into how the human brain works, both in the normal and diseased states. • fMRI refers to the demonstration of brain function with neuro - anatomic localization on a real time basis. • The vast majority of these studies are performed using ‘Blood Oxygen Level Dependent’ contrast or BOLD which requires the detection of very small signal intensity changes
  • 162.
    • They mapthe brain with fMRI to identify regions linked to critical functions such as speaking, moving, sensing, or planning. • Clinicians also use fMRI to anatomically map the brain and detect the effects of tumors, stroke, head and brain injury, or diseases such as Alzheimer's.
  • 163.
    MR Fingerprinting • Relativelyrecent approach to the acquisition and evaluation of MRI data aimed at generating quantitative multiparametric data from a single acquisition. • The underlying process is acquiring data in a pseudorandom manner resulting in a unique pattern of signal evolution unique to that tissue – thus the term 'fingerprinting’
  • 164.
    • The uniquesignal evolutions matched to a pre-defined 'dictionary' of signal fingerprints, allowing quantitative maps ofT1,T2, proton density, and diffusion to be generated • The hope of MR fingerprinting is that it will make comparison across individuals, scanners and vendors possible, rather than the current situation in which the vast majority of imaging data is qualitative
  • 165.
    MRI continues tobe a fertile area for technological advances: • Signal Processing and Image Reconstruction • RF technology • Magnet technology • Contrast mechanisms
  • 166.
    Summary History: 1973 –Lauterbur publishes method for generating images using NMR gradients. Advancements
  • 167.
    Conclusion Magnetic Resonance Imagingis one of the most efficient and inventions in history. It does not radiate any unhealthy waves to the body that can be mutate the human gene It is to visualize the body of a patient in a detailed form without having to cut it open. It has a variety of purposes and uses. Its significance in medical field is unimaginable. It continues to have great impacts in the human life and with scientists continuing to improve this important device, it seems that we may not have seen the full potential of the MRI scanners just yet
  • 168.
    Larmor frequency formagnetic field of 1.5 tesla is: a) 62 b) 63 c) 64 d) 65 A 2D fourier transformation yields: a) K space b) L space c) M space d) N space Information about cellular metabolic activity is possible with: a. EPI b. fMRI c. MRSI d. MRI fingerprinting
  • 169.
    If FOV issmaller than the body part being imaged, part of the body that lies beyond the edge of the FOV is projected on to the other side of the image.This is: a) Partial volume averaging b) RF interference c) Black boundary artifact d) Aliasing artifact Which of the following is not the disadvantage of MRI: a) Expensive b) Direct multiplanar imaging c) Long imaging time d) Claustrophobic procedure
  • 172.
    References • White SC,Pharoah MJ. Oral Radiology Principles and Interpretation. 6th edition. India: Mosby Elsevier;2012 • CurryTS, Dowdey J, Murry R. Christensen’s Physics of Diagnostic Radiology. 4th edition. Philadelphia: LippincottWilliams andWilkins; 1990 • Weber EC,Vilensky JA,W Stephen. Netter’s concise radiologic anatomy. 1st edition. China: saunders Elsevier; 2009 • MoellerTB, Reef E. Pocket atlas of sectional anatomy: computed tomography and magnetic resonance imaging. 3rd edition. Germany:Thieme; 2007 • DillT. Contraindications to magnetic resonance imaging. Heart. 2008;94:943-948 • Ho ML, JulianoA, Eisenberg RL, MoonisG. Anatomy and pathology of facial nerve. AJR. 2015; 204:W612– W619 • Porte L et al,. Imaging the floor of mouth and sublingual space. Radiographics. 2011; 31 (5): 1215-1230 • Ong CK, ChongVFH. Imaging of tongue carcinoma.Cancer Imaging. 2006; 6: 186–193 • Law CP, Chandra RV, Hoang JK, Phal PM. Imaging the oral cavity: key concepts for the radiologist.The British Journal of Radiology; 84 (2011): 944–957
  • 173.
    • Schellas KP.MR imaging of muscles of mastication. AJNR. 1989; 10:829-837 • Hughes MA et al,. MRI of theTrigeminal Nerve in PatientsWithTrigeminal Neuralgia Secondary toVascular Compression. AJR. 2016; 206: 595-600 • Hapani H et al,. Magnetic Resonance Imaging inTongue Malignancy. IOSRJournal of Dental and Medical Sciences . 2015; 14 (2): 38-45 • Nicolas S et al,. Anatomy of theTrigeminal Nerve:Key Anatomical Facts for MRI Examination of Trigeminal Neuralgia. Rev Imagenol. 2009; 12(2):28-33. • Lenz M et al,. Oropharynx, oral cavity, floor of the mouth: CT and MRI. European Journal of Radiology. 2000; 33: 203–215 • Theony HC. Imaging of salivary gland tumors. Cancer Imaging. 2007; 7: 52-62 • Bag KA et al,. Imaging of the temporomandibular joint: an update. WorldJ Radiol. 2014; 6 (8): 567-582 • Majoie C et al,.Trigeminal neuropathy: evaluation with MR imaging. Radiographics. 1995; 15: 795-811 • Erdogan N et al,. Magnetic Resonance Sialography Findings of Submandibular Ducts Imaging. Biomed Research International. 2013; doi.org/10.1155/2013/417052
  • 174.
    • Magnetic ResonanceFingerprinting - a promising new approach to obtain standardized imaging biomarkers from MRI. Insights into imaging. 6 (2): 163-5 • Patkar D et al,. New advances in MRI. JIMSA. 2013; 26 (1): 59-64 • Magnetic Resonance, a critical peer-reviewed introduction; functional MRI. European Magnetic Resonance Forum. Retrieved 17 November 2014 • Stevens AA, Skudlarski P, Gatenby JC, Gore JC. Event-related fMRI of auditory and visual oddball task. Magn. Reson. Imaging. 2000;18:495–502 • Kim HC et al,. CT and MR Imaging of the Buccal Space: Normal Anatomy and Abnormalities. Korean J Radiol. 2005; 6(1): 22–30. • KagawaT et al,. Basic principles of magnetic resonance imaging for beginner oral and maxillofacial radiologists. Oral Radiol. Japanese Society for Oral and Maxillofacial Radiology and Springer Japan 2017 • E.M. Haacke, R.W. Brown, M.R.Thompson, R.Venkatesan, Magnetic Resonance Imaging : Physical Principles and Sequence Design, NewYork: JohnWiley & Sons, Inc. 1999. p. 422. • G.M. Bydder, I.R.Young, MRI: Clinical Use of the Inversion Recovery Sequence, J. Comp. Asst. Tomogr. 9:659‐675, 1985. • Kerviller E et al,. Fat suppression techniques in MRI:an update. Biomed and Phnrmacother. 1998; 52 : 69-15
  • 175.
  • 176.
    Discussion RF coil ismade of: • Copper • Brass • Carbon Steel • Stainless steel Strength: epoxy material Boer,Jacques and MarinusVlaardingerbroek. Magnetic Resonance ImagingTheory and Practice. Springer, 1996
  • 177.
  • 179.
    What is 1Tesla? •The International System (SI) unit of field intensity for magnetic fields is Tesla (T). One tesla (1T) is defined as the field intensity generating one newton of force per ampere of current per meter of conductor. Types of MRI images • T1 weighted image • T2 weighted image • Proton Density weighted image • Gradient echo images
  • 181.
    T2* imaging • T2*imaging is mostly used to detect iron in its various forms. • The iron in hemoglobin and hemosiderin is paramagnetic and thus causes an susceptibility difference in the damaged region, which shows up as dark regions inT2* scans. • Hemosiderosis and haemorrages can be detected byT2* scans for the same reason. Calcification shows up bright in aT2* MRI due to its higher diamagnetism than the surrounding tissue. • T2* can be recorded using GRE sequences with a low flip angle, longTE, and longTR Radiographics. 2009 Sep; 29(5): 1433–1449.
  • 182.
    Interaction between MRIand dental material • Ferromagnetic: chromium oxide, cobalt, ferrite (iron), gadolinium, nickel, magnetite, yttrium, etc. • Paramagnetic: magnesium, tin, platinum, lithium, tantalum, aluminum, molybdenum, etc. • Diamagnetic: wood, zinc, copper, bismuth, silver, gold. Impact on dental materials: • Projectiles • Thermal heating • Failure of prosthesis
  • 183.
    • Dental restorations/applianceswhich may cause safety problem 1. Complete denture with metal denture base 2. Orthodontic brackets, wires 3. Crowns 4. Fixed partial dentures 5. Cast partial denture 6. Implants 7. Magnets in overdenture
  • 184.
    Artifacts • No artifacts:amalgam, titanium, Co-Cr crowns, Ni-Cr crowns, light cure resins, acrylic resins, gold fillings, gold crowns, ceramic restorations, fiber reinforced polymers, magnesium, zirconia, aluminium crown and microfilled resin • Minimal to moderate artifacts: titanium, vitalium, Zn phosphate, stainless steel crown, bur fragments, metal ceramic, amalgam pins, orthodontic bands and brackets • Significant artifacts: stainless steel crowns, metallic dentures, magnetic keepers, orthodontic appliances, gold, endodontic post Mathew CA, Maller S, Maheshwaran. Interactions between magnetic resonance imaging and dental material. J Pharm Bioall Sci 2013;5:113-6.
  • 185.
    MRI and Pregnancy •On-going concern that acoustic noise associated with MRI may impact the fetus and may cause substantial neonatal hearing impairment. • At high (2–7 times the dose used in humans) and repeated doses of gadolinium, teratogenic effects (including growth retardation, visual problems, and bone and visceral anomalies) are noted Bulas D, Egloff A. Benefits and risk of MRI in pregnancy. Seminars in perinatology. 2013: 37; 301 – 304
  • 186.
    Sweep Imaging withFourierTransform (SWIFT) • Sequence of frequency-modulated pulses with short repetition timeTR that exceeds the pulse lengthTP by at least the amount of time needed for setting a new value (or orientation) of a magnetic field gradient used to encode spatial information. • The images are processed using 3D back-projection reconstruction. • During SWIFT acquisition the applied imaging gradients usually exceed all intrinsic gradients due to susceptibility or inhomogeneity. • For this condition the images obtained are fully independent of transverse relaxation and signal intensity depends only onT1 and spin density. 1. J. Dadok, R. F. Sprecher, J. Magn. Reson. 13, 243 (1974). 2. R. K. Gupta, J. A. Ferretti, E. D. Becker, J. Magn. Reson. 13, 275 (1974). 3. M. Garwood, L. DelaBarre, J. Magn. Reson. 153, 155 (2001)
  • 187.
    Advantages • Fast •Sensitive to shortT2. • Reduced motion artifact • Quiet
  • 188.
    Metallic artifact: reason •Ferromagnetic objects experience strong forces that originate from the static magnetic field.The forces are strongest in regions near the magnet where the field strength changes rapidly over a small distance. • Some metals can cause heating because of interaction with radiofrequency fields. • Presence of metal can result in severe variations in the static magnetic field because of susceptibility variations between metal and surrounding tissue. • Signal loss and dephasing of signal. H Brian et al,. Metal induced artifacts in MRI. AJR. 2011; 197:547–555
  • 189.
    180 degree RFPulse • Can rephase spins and reverse static field inhomogeneities and transverse magnetization reappears. • Protons go out of sync bcoz the magnetic field applied is not uniform and due to material (tissues, bones etc). • Local variations in the field causes the protons to go out of sync. • The 180 brings them in to coherence, not instantly but they do catch up and become coherent Hanson, LG. "Is Quantum Mechanics Necessary for Understanding Magnetic Resonance?" Concepts in Magnetic Resonance Part A,Vol. 32A(5) 329340 (2008)
  • 190.
    Neurostimulatory devices • Neurostimulationis the purposeful modulation of the nervous system's activity using invasive or non-invasive means. • Neurostimulation usually refers to the electromagnetic approaches to neuromodulation. • Brain stimulation: Epilepsy, Optogenetics • Deep brain stimulation: Parkinson’s disease, Pulse generator • Non-invasive brain stimulation: Focal brain lesions, Transcranial magnetic stimulation,Transcranial direct current stimulation,Transcranial alternating current stimulation, transcranial pulsed current stimulation • Spinal cord stimulation: Herpes zoster pain, post-herpetic neuralgia, Microelectrodes Hallett M (July 2000). "Transcranial magnetic stimulation and the human brain". Nature. 406 (6792): 147–50
  • 191.
    Pharyngeal recess • Behindthe ostium of the eustachian tube (ostium pharyngeum tuba auditiva) is a deep recess, the pharyngeal recess (fossa of Rosenmüller)
  • 192.
    • At thebase of this recess is the retropharyngeal lymph node (the Node of Rouvier.)This is clinically significant in that it may be involved in certain head and neck cancers, notably Nasopharyngeal cancer. L E Loh,TSG Chee, AB John.The anatomy of the Fossa of Rossenmuller- Its possible influence on the detection of occult nasopharyngeal carcinoma: Singapore Medical Journal;Vol 32 : 154-55
  • 193.
    Stuck disk PhenomenoninTMJ • A stuck disc refers to aTMJ disc which does not translate anteriorly out of the mandibular fossa onto the articular eminence, but rather remains (thus "stuck") in the fossa. It is a form ofTMJ dysfunction and is typically associated with restricted range of motion. • Its due to fibrous adhesions Campos PS, Macedo Sobrinho JB, Crusoé-Rebello IM, Pena N, Dantas JA, Mariz AC, et al.Temporomandibular joint disk adhesion without mouth-opening limitation. J Oral Maxillofac Surg. 2008;66(3):551-4. doi:10.1016/j.joms.2006.11.006
  • 194.
    MRI in spaceinfection • Used in deep neck space infection: Retropharyngeal and Parapharyngeal space infection Reynolds SC, Chow AW. Life-threatening infections of the peripharyngeal and deep fascial spaces of the head and neck. Infect Dis Clin North Am. 2007;21:557–576
  • 195.
    Boundaries of Meckel’sCave • The cerebellar tentorium superolaterally • The lateral wall of the cavernous sinus superomedially • The clivus medially • The posterior petrous face inferolaterally
  • 196.
    fMRI and SensoryFunction • Yes, sensory function can also be assessed by fMRI Corbetta M et al,. Functional reorganization and stability of somatosensory-motor cortical topography in a tetraplegic subject with late recovery. PNAS. 2002; 99(26)
  • 197.
    Titanium and magneticproperty • It is paramagnetic.
  • 198.
    Causes of myosteatosis(infiltration of muscle by fat) • Disuse • Altered leptin signaling • Sex steroid deficiency • Glucocorticoid treatment • Trauma Hamrick M et al,. Fatty Infiltration of Skeletal Muscle: Mechanisms and Comparisons with Bone Marrow Adiposity. Front Endocrinol (Lausanne). 2016; 7: 69