tooth 
prepara)on 
impression 
tradi)onal op)cal 
stone 
model virtual 
model 
waxing 
cas)ng 
ceramic 
layering 
finishing 
CAD 
CAM 
finishing
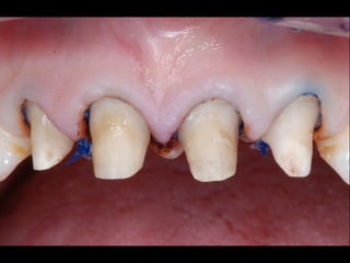
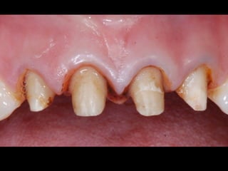
preparation 
impression 
traditional 
stone model 
Waxing 
(Casting) 
Ceramic layering 
Finishing
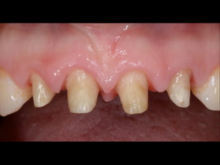
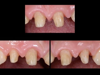
preparation 
OPTICAL IMPRESSION 
scanner 
imaging 
CAD 
CAM 
finishing
Optical impression 
Optical technology Laser technology 
C.O.S. (3M Espe) 
! 
Fast Scan (IOS Technologies) 
! 
Intraoral camera (Densys3D) 
! 
Cerec Bluecam (Sirona) 
E4D (D4D Technologies) 
! 
iTero (Cadent) 
! 
3D Progress (MHT)
Optical Technology 
CCD - CMOS 
Acquisition of static or dynamic images that with different 
imaging using algorythm are meta-ricombined modeling a three-dimensional 
virtual images 
Laser Technology (Confocal technique) 
LASER 
Laser beam is convergent in small spots and with an array of 
oscillating mirrors laser is moved through the entire 
observation field for scanning all focal planes.
3M - C.O.S. 
! 
! 
! 
System 
type 
: 
Chairside 
CAD/CAM 
Architecture 
: 
Selec)vely 
OpenClosed* 
Powder 
: 
Yes 
? 
Lab 
Equipment 
: 
COS 
soHware 
, 
LavaDesign, 
3Shape, 
Dental 
Wings 
Case 
Delivery 
: 
Doctor 
> 
Margin 
Making 
> 
Milling 
Center 
> 
Laboratory 
Web 
Interface, 
E-­‐mail. 
FTP, 
Sneaker-­‐net 
Case 
Type 
: 
Scan 
Only 
Materials 
: 
LAVA, 
3rd 
party 
Zirconia, 
LAVA 
DVS, 
Wax, 
e.Max 
CAD, 
Chrome-­‐cobalt 
Special 
Features 
: 
3D 
margin 
making, 
Scan 
file 
edi)ng, 
(wax 
on 
/wax 
off)
IOS Technologies FastScan 
! 
!!! 
System 
type 
: 
Chairside 
digital 
impression 
Architecture 
: 
Open 
Powder 
: 
??? 
Lab 
Equipment 
: 
3Shape, 
Dental 
Wings, 
Dent 
CAD 
Case 
Delivery 
: 
Doctor 
> 
Laboratory 
Web 
interface, 
E-­‐mail, 
FTP 
Case 
Type 
: 
Scan 
Only 
Materials 
: 
3rd 
party 
Zirconia, 
Wax, 
e.Max 
CAD, 
Chrome-­‐cobalt 
Special 
Features 
:
Densys3D 
! 
! 
! 
System 
type 
: 
Chairside 
digital 
impression 
Architecture 
: 
Open 
Powder 
: 
??? 
Lab 
Equipment 
: 
3Shape, 
Dental 
Wings, 
Dent 
CAD 
Case 
Delivery 
: 
Doctor 
(Margin 
Marking) 
> 
Laboratory 
Web 
interface 
Case 
Type 
: 
Scan 
Only 
Materials 
: 
3rd 
party 
Zirconia, 
Wax, 
e.Max 
CAD, 
Chrome-­‐cobalt 
Special 
Features 
:
D4D Technologies – E4D 
! 
! 
! 
System 
type 
: 
Chairside 
CAD/CAM 
Architecture 
: 
Closed* 
Powder 
: 
Op)onal 
Lab 
Equipment 
: 
Labworks 
– 
Scanner/Mill, 
E4D 
Studio 
Case 
Delivery 
: 
SkyNetwork, 
LAN/Ethernet 
Case 
Type 
: 
Scan 
Only, 
or 
Scan 
and 
Designed 
Materials 
: 
Empress 
CAD, 
e.Max 
CAD, 
Paradigm 
C, 
Paradign 
Z100, 
Empress 
Zircad, 
BOB 
(acrylic), 
Telocad 
(provisional) 
Special 
Features 
: 
Mul)ple 
unit 
edi)ng, 
rubber 
tooth 
(sophis)cated, 
Milling 
independent 
on 
IOD 
status, 
SOS
iTero Cadent 
! 
! 
! 
System 
type 
: 
Chairside 
digital 
impression 
Architecture 
: 
Open 
Powder 
: 
NO 
Lab 
Equipment 
: 
Cadent 
Lab 
SoHware 
> 
3Shape, 
Dental 
Wings, 
Dent 
CAD 
Case 
Delivery 
: 
Doctor 
> 
Margin 
Marking 
> 
Milling 
Center 
> 
Laboratory 
Web 
interface, 
E-­‐mail, 
FTP, 
Sneaker-­‐net 
Case 
Type 
: 
Scan 
Only 
Materials 
: 
3rd 
party 
Zirconia, 
Wax, 
e.Max 
CAD, 
Chrome-­‐cobalt 
Special 
Features 
: 
Margin 
line 
extension
3D Progress MHT 
! 
! 
! 
System 
type 
: 
Chairside 
digital 
impression 
Architecture 
: 
Open 
Powder 
: 
NO/YES 
(Yes 
on 
metals) 
Lab 
Equipment 
: 
3Shape, 
Dental 
Wings, 
Dent 
CAD 
Case 
Delivery 
: 
Doctor 
(Margin 
Marking) 
> 
Laboratory 
Web 
interface 
Case 
Type 
: 
Scan 
Only 
Materials 
: 
3rd 
party 
Zirconia, 
Wax, 
e.Max 
CAD, 
Chrome-­‐cobalt 
Special 
Features 
:
Clon3D Progress IODIS 
! 
! 
! 
System 
type 
: 
Chairside 
digital 
impression 
Architecture 
: 
Open 
Powder 
: 
NO/YES 
(Yes 
on 
metals) 
Lab 
Equipment 
: 
3Shape, 
Dental 
Wings, 
Dent 
CAD 
Case 
Delivery 
: 
Doctor 
(Margin 
Marking) 
> 
Laboratory 
Web 
interface 
Case 
Type 
: 
Scan 
Only 
Materials 
: 
3rd 
party 
Zirconia, 
Wax, 
e.Max 
CAD, 
Chrome-­‐cobalt 
Special 
Features 
:
iTero Cadent 
! 
! 
! 
System 
type 
: 
Chairside 
digital 
impression 
Architecture 
: 
Open 
Powder 
: 
NO 
Lab 
Equipment 
: 
Cadent 
Lab 
SoHware 
> 
3Shape, 
Dental 
Wings, 
Dent 
CAD 
Case 
Delivery 
: 
Doctor 
> 
Margin 
Marking 
> 
Milling 
Center 
> 
Laboratory 
Web 
interface, 
E-­‐mail, 
FTP, 
Sneaker-­‐net 
Case 
Type 
: 
Scan 
Only 
Materials 
: 
3rd 
party 
Zirconia, 
Wax, 
e.Max 
CAD, 
Chrome-­‐cobalt 
Special 
Features 
: 
Margin 
line 
extension
Sirona - CEREC 
! 
! 
! 
System 
type 
: 
Chairside 
CAD/CAM 
Architecture 
: 
Closed* 
Powder 
: 
Yes 
Lab 
Equipment 
: 
inLAB, 
inLAB 
MC 
XL 
Case 
Delivery 
: 
Cerec 
Connect, 
LAN/Ethernet, 
E-­‐mail, 
FTP, 
Sneaker.net 
Materials 
: 
Cerec 
Bloc, 
Empress 
CAD, 
e.Max 
CAD, 
Paradigm 
C, 
inCoris 
Zi, 
InCoris 
Al, 
Vita 
Mark 
II, 
Vita 
Triluxe, 
Vita 
In 
Ceram 
Spinell, 
Al, 
Zirconia, 
Vita 
YZ 
Special 
Features 
: 
Biogeneric 
Library, 
Cone 
beam 
integra)on, 
abutments
Cerec optical impression 
Cerec 
1 
: 
50 
micron 
! 
Cerec 
2 
: 
25 
micron 
! 
Cerec 
3 
: 
25 
micron
Collimating lens
Collimating lens
Active triangulation
Projecting an array of lines
Sinusoidal phase shift
Sequence of images (4) 
Immagine 
di 
un 
modello 
virtuale 
?
Virtual model 
1. Op)cal 
impression 
! 
2. Laser 
scan 
of 
the 
stone 
model 
! 
3. Op)cal 
scan 
of 
the 
stone 
model
Virtual model 
1. Op)cal 
impression 
! 
2. Laser 
scan 
of 
the 
stone 
model 
! 
3. Op)cal 
scan 
of 
the 
stone 
model
CEREC optical impression 
1. All 
the 
areas 
of 
interest 
has 
to 
be 
clearly 
visible 
! 
2. The 
surfaces 
have 
to 
be 
reflec)ng
Brand and types of powdering 
(optical impression)
Cerec optical impression 
Cerec 
1 
: 
50 
micron 
! 
Cerec 
2 
: 
25 
micron 
! 
Cerec 
3 
: 
25 
micron 
! 
Cerec 
3 
BC: 
20 
micron
Die 
CAD/CAM-­‐Systemkompetenz 
von 
Sirona. 32 
CEREC Omnicam
CEREC Omnicam – Scanning simplicity.
CEREC Omnicam 
Powder-­‐free 
scanning 
3D 
impressions 
in 
natural 
color
CEREC Omnicam – Scanning simplicity. 
3D scans in color 
PPossible Benefits 
! 
§ Intuitive orientation in the 
patient’s mouth 
§ Good differentiation between 
tooth structure and gingiva 
§ Differentiation from amalgam, 
gold or composite
Screenshots with CEREC SW 4.0.4
Communication with patients
Camera CEREC 
Omnicam CEREC 
Bluecam 
Imaging 
technique Con)nuous 
color 
imaging Single 
image 
acquisi)on 
Area 
of 
applica)on Single 
tooth, 
quadrant, 
full 
jaw. 
Single 
tooth, 
quadrant 
(full 
jaw 
possible). 
Dimensions Overall 
length: 
228 
mm 
Length 
of 
camera 
sleeve: 
108 
mm 
Height 
and 
width 
of 
the 
)p: 
16 
mm 
Overall 
length: 
206 
mm 
Length 
of 
the 
camera 
)p: 
86 
mm 
Height 
and 
width 
of 
the 
)p: 
22 
x 
17 
mm 
Weight 313 
g 270 
g 
Clearance/depth 
of 
field The 
camera 
is 
moved 
closely 
over 
the 
tooth 
surface 
0 
-­‐ 
15 
mm 
The 
camera 
can 
be 
placed 
directly 
on 
the 
teeth. 
Open 
data* ü ü 
No 
charge 
for 
using 
Sirona 
Connect: 
! 
! 
(Transmission 
of 
impression 
data 
to 
an 
ü 
ü 
external 
laboratory) 
Can 
be 
combined 
with 
a 
milling 
unit ü ü 
3D 
scans 
in 
color ü 
No 
powder 
coa)ng 
required ü
Ender 
A, 
Mehl 
A 
Full 
arch 
scans: 
conven)onal 
versus 
digital 
impression: 
an 
in-­‐vitro 
study 
! 
Int 
J 
Comp 
Dent 
2011:14-­‐11:21
Full 
arch 
scans: 
conven)onal 
versus 
digital 
impression: 
an 
in-­‐vitro 
study 
! 
Int 
J 
Comp 
Dent 
2011:14-­‐11:21 
Conclusion 
! 
These in-vitro results show that 
accuracy of the digital impression 
Ender 
A, 
Mehl 
A 
is similar to that of the conventional impressions.
Seelbach 
P, 
Brueckel 
C, 
Wöstmann 
B 
! 
Accuracy 
of 
digital 
and 
conven)onal 
impression 
techniques 
and 
workflow 
! 
Clin 
Oral 
Invest 
2013 
DOI 
10.1007/s00784-­‐012-­‐0864-­‐4
Seelbach 
P, 
Brueckel 
C, 
Wöstmann 
B 
! 
Accuracy 
of 
digital 
and 
conven)onal 
impression 
techniques 
and 
workflow 
! 
Clin 
Oral 
Invest 
2013 
DOI 
10.1007/s00784-­‐012-­‐0864-­‐4 
Conclusions 
! 
Within 
the 
limita+ons 
of 
this 
in 
vitro 
study, 
it 
can 
be 
stated 
that 
digital 
impression 
systems 
allow 
the 
fabrica+on 
of 
fixed 
prosthe+c 
restora+ons 
with 
similar 
accuracy 
as 
conven+onal 
impression 
methods. 
! 
Clinical 
relevance 
! 
Digital 
impression 
techniques 
can 
be 
regarded 
as 
a 
clinical 
alterna+ve 
to 
conven+onal 
impressions 
for 
fixed 
dental 
restora+ons.
43 
Trasferisce 
- geometria dell’impianto 
- dimensione dell’impianto 
- posizione 3D nell’arcata 
! 
! 
! 
! 
! 
! 
! 
! 
coping tradizionale scan body
L’accuratezza del processo di digitalizzazione dipende da: 
! 
- tecnica di scansione del clinico (a zig-zag o lineare) 
- sistema di scanner utilizzato (microscopia cofocale, paralella, a 
raggio laser, a luce strutturata) 
- forma e dimensioni dello scan body 
44
Questi modelli non sono concepiti per realizzare delle protesi dall’inizio 
Possono solo essere utilizzati per posizionare le strutture realizzate 
tramite le tecnologie cad-cam per poter applicare la ceramica e 
controllare i punti di contatto. 
45
46 
METODI DI FABBRICAZIONE 
! 
Sottrattivo Additivo 
! 
Fresatura da un blocco Sinterizzazione al laser di polvere 
Polimetilmetacrilato (PMMA) 
Resina composita 
Leghe metalliche (vili, titanio) 
Vetro ceramiche (Disilicato di litio, leucite) 
Zirconia
Future Developments 
! 
1. Control of the costs 
2. Enahncement of the application spectrum (edentulous jaw) 
3. Introduction of trans-gengival scanners 
4. Ultrasonography (accuracy?) 
5. Optical coherence tomography (OCT) 
!!!
Joda and Bragger 
IOS Work Time for Single Unit (In minutes) 
Economical and clinical process analysis for implant-supported 
single-unit reconstructions. 
Clin Impl Dent Rel Res (In press) 
Clinic 1 
(Traditional vs 
digital 
Lab (abutment 
and crown) 
Digital 14 160 
Conventional 18 190 
Clinic 2 (try-in) Clinic 3 (Clinical 
Adjustments) 
Total 
12 45% 180 
15 100% 220
hlps://www.youtube.com/watch?v=LRU0dk0KBJQ
LIMITS: 
! 
- USEFUL ONLY FOR SMALL RESTORATIONS 
- COSTS 
- NEED FOR USB ATTACHMENT TO PC 
WITHOUT TROLLEY 
- - STL FILES 
- - SIMPLIFICATION OF PROCEDURES 
- - MANAGEMENT OF SOFT TISSUES…WE NEED 
- NEW TECHNOLOGY TO PASS THE SOFT TISSUE 
- AND RECORD HARD TISSUE 
! 
!
51 
Problemi 
* Acquisizione dei dati per arcate intere è ancora imprecisa 
* Per molti sistemi è necessario applicare una polvere opacizzata che 
non è facilmente controllabile 
* Per i pilastri naturali, se le preparazioni sono umide, la polvere 
tende a creare grumi 
Costi (scanner e procedura) 
* Per elementi multipli l’unione di diversi gruppi di dati può generare 
delle inesattezze 
* Non è ancora possibile catturare un margine intrasulculare senza 
esporlo tramire retrazione gengivale 
. Necessità di fili di retrazione.
52 
Potenziali benefici 
Impronta tradizionale Scanner intraorale 
Comfort del paziente No Si 
Feedback immediato sulla qualità 
delle preparazioni 
No Ni 
Possibilità di creare n modelli 
con lo stesso grado di 
distorsione, senza stoccarli 
No Si
53 
SCANNER INTRAORALI 
Lava Itero BlueCam 
Cerec 
ZFX 
Accuratezza 
della scansione 
6-11 um 40 um 25 um 40 um 
Possibilità 
scansionare denti 
singoli & multipli 
si si si si 
Possibilità di 
scansionare 
impianti singoli & 
multipli 
3i certified solo x straumann si con scan body si con scan body 
Trios 
20 um 
si 
si con scan body 
Costs (Euro) 21-35.000 12.000 25.000 53.000 27.000 
Scan Type Monographic/True color Monographic Monographic True color Monographic

IOS Impression by iTero

  • 1.
    tooth prepara)on impression tradi)onal op)cal stone model virtual model waxing cas)ng ceramic layering finishing CAD CAM finishing
  • 2.
    preparation impression traditional stone model Waxing (Casting) Ceramic layering Finishing
  • 3.
    preparation OPTICAL IMPRESSION scanner imaging CAD CAM finishing
  • 4.
    Optical impression Opticaltechnology Laser technology C.O.S. (3M Espe) ! Fast Scan (IOS Technologies) ! Intraoral camera (Densys3D) ! Cerec Bluecam (Sirona) E4D (D4D Technologies) ! iTero (Cadent) ! 3D Progress (MHT)
  • 5.
    Optical Technology CCD- CMOS Acquisition of static or dynamic images that with different imaging using algorythm are meta-ricombined modeling a three-dimensional virtual images Laser Technology (Confocal technique) LASER Laser beam is convergent in small spots and with an array of oscillating mirrors laser is moved through the entire observation field for scanning all focal planes.
  • 6.
    3M - C.O.S. ! ! ! System type : Chairside CAD/CAM Architecture : Selec)vely OpenClosed* Powder : Yes ? Lab Equipment : COS soHware , LavaDesign, 3Shape, Dental Wings Case Delivery : Doctor > Margin Making > Milling Center > Laboratory Web Interface, E-­‐mail. FTP, Sneaker-­‐net Case Type : Scan Only Materials : LAVA, 3rd party Zirconia, LAVA DVS, Wax, e.Max CAD, Chrome-­‐cobalt Special Features : 3D margin making, Scan file edi)ng, (wax on /wax off)
  • 7.
    IOS Technologies FastScan ! !!! System type : Chairside digital impression Architecture : Open Powder : ??? Lab Equipment : 3Shape, Dental Wings, Dent CAD Case Delivery : Doctor > Laboratory Web interface, E-­‐mail, FTP Case Type : Scan Only Materials : 3rd party Zirconia, Wax, e.Max CAD, Chrome-­‐cobalt Special Features :
  • 8.
    Densys3D ! ! ! System type : Chairside digital impression Architecture : Open Powder : ??? Lab Equipment : 3Shape, Dental Wings, Dent CAD Case Delivery : Doctor (Margin Marking) > Laboratory Web interface Case Type : Scan Only Materials : 3rd party Zirconia, Wax, e.Max CAD, Chrome-­‐cobalt Special Features :
  • 9.
    D4D Technologies –E4D ! ! ! System type : Chairside CAD/CAM Architecture : Closed* Powder : Op)onal Lab Equipment : Labworks – Scanner/Mill, E4D Studio Case Delivery : SkyNetwork, LAN/Ethernet Case Type : Scan Only, or Scan and Designed Materials : Empress CAD, e.Max CAD, Paradigm C, Paradign Z100, Empress Zircad, BOB (acrylic), Telocad (provisional) Special Features : Mul)ple unit edi)ng, rubber tooth (sophis)cated, Milling independent on IOD status, SOS
  • 10.
    iTero Cadent ! ! ! System type : Chairside digital impression Architecture : Open Powder : NO Lab Equipment : Cadent Lab SoHware > 3Shape, Dental Wings, Dent CAD Case Delivery : Doctor > Margin Marking > Milling Center > Laboratory Web interface, E-­‐mail, FTP, Sneaker-­‐net Case Type : Scan Only Materials : 3rd party Zirconia, Wax, e.Max CAD, Chrome-­‐cobalt Special Features : Margin line extension
  • 11.
    3D Progress MHT ! ! ! System type : Chairside digital impression Architecture : Open Powder : NO/YES (Yes on metals) Lab Equipment : 3Shape, Dental Wings, Dent CAD Case Delivery : Doctor (Margin Marking) > Laboratory Web interface Case Type : Scan Only Materials : 3rd party Zirconia, Wax, e.Max CAD, Chrome-­‐cobalt Special Features :
  • 12.
    Clon3D Progress IODIS ! ! ! System type : Chairside digital impression Architecture : Open Powder : NO/YES (Yes on metals) Lab Equipment : 3Shape, Dental Wings, Dent CAD Case Delivery : Doctor (Margin Marking) > Laboratory Web interface Case Type : Scan Only Materials : 3rd party Zirconia, Wax, e.Max CAD, Chrome-­‐cobalt Special Features :
  • 13.
    iTero Cadent ! ! ! System type : Chairside digital impression Architecture : Open Powder : NO Lab Equipment : Cadent Lab SoHware > 3Shape, Dental Wings, Dent CAD Case Delivery : Doctor > Margin Marking > Milling Center > Laboratory Web interface, E-­‐mail, FTP, Sneaker-­‐net Case Type : Scan Only Materials : 3rd party Zirconia, Wax, e.Max CAD, Chrome-­‐cobalt Special Features : Margin line extension
  • 14.
    Sirona - CEREC ! ! ! System type : Chairside CAD/CAM Architecture : Closed* Powder : Yes Lab Equipment : inLAB, inLAB MC XL Case Delivery : Cerec Connect, LAN/Ethernet, E-­‐mail, FTP, Sneaker.net Materials : Cerec Bloc, Empress CAD, e.Max CAD, Paradigm C, inCoris Zi, InCoris Al, Vita Mark II, Vita Triluxe, Vita In Ceram Spinell, Al, Zirconia, Vita YZ Special Features : Biogeneric Library, Cone beam integra)on, abutments
  • 15.
    Cerec optical impression Cerec 1 : 50 micron ! Cerec 2 : 25 micron ! Cerec 3 : 25 micron
  • 16.
  • 17.
  • 18.
  • 19.
  • 20.
  • 21.
    Sequence of images(4) Immagine di un modello virtuale ?
  • 22.
    Virtual model 1.Op)cal impression ! 2. Laser scan of the stone model ! 3. Op)cal scan of the stone model
  • 23.
    Virtual model 1.Op)cal impression ! 2. Laser scan of the stone model ! 3. Op)cal scan of the stone model
  • 24.
    CEREC optical impression 1. All the areas of interest has to be clearly visible ! 2. The surfaces have to be reflec)ng
  • 25.
    Brand and typesof powdering (optical impression)
  • 30.
    Cerec optical impression Cerec 1 : 50 micron ! Cerec 2 : 25 micron ! Cerec 3 : 25 micron ! Cerec 3 BC: 20 micron
  • 32.
    Die CAD/CAM-­‐Systemkompetenz von Sirona. 32 CEREC Omnicam
  • 33.
    CEREC Omnicam –Scanning simplicity.
  • 34.
    CEREC Omnicam Powder-­‐free scanning 3D impressions in natural color
  • 35.
    CEREC Omnicam –Scanning simplicity. 3D scans in color PPossible Benefits ! § Intuitive orientation in the patient’s mouth § Good differentiation between tooth structure and gingiva § Differentiation from amalgam, gold or composite
  • 36.
  • 37.
  • 38.
    Camera CEREC OmnicamCEREC Bluecam Imaging technique Con)nuous color imaging Single image acquisi)on Area of applica)on Single tooth, quadrant, full jaw. Single tooth, quadrant (full jaw possible). Dimensions Overall length: 228 mm Length of camera sleeve: 108 mm Height and width of the )p: 16 mm Overall length: 206 mm Length of the camera )p: 86 mm Height and width of the )p: 22 x 17 mm Weight 313 g 270 g Clearance/depth of field The camera is moved closely over the tooth surface 0 -­‐ 15 mm The camera can be placed directly on the teeth. Open data* ü ü No charge for using Sirona Connect: ! ! (Transmission of impression data to an ü ü external laboratory) Can be combined with a milling unit ü ü 3D scans in color ü No powder coa)ng required ü
  • 39.
    Ender A, Mehl A Full arch scans: conven)onal versus digital impression: an in-­‐vitro study ! Int J Comp Dent 2011:14-­‐11:21
  • 40.
    Full arch scans: conven)onal versus digital impression: an in-­‐vitro study ! Int J Comp Dent 2011:14-­‐11:21 Conclusion ! These in-vitro results show that accuracy of the digital impression Ender A, Mehl A is similar to that of the conventional impressions.
  • 41.
    Seelbach P, Brueckel C, Wöstmann B ! Accuracy of digital and conven)onal impression techniques and workflow ! Clin Oral Invest 2013 DOI 10.1007/s00784-­‐012-­‐0864-­‐4
  • 42.
    Seelbach P, Brueckel C, Wöstmann B ! Accuracy of digital and conven)onal impression techniques and workflow ! Clin Oral Invest 2013 DOI 10.1007/s00784-­‐012-­‐0864-­‐4 Conclusions ! Within the limita+ons of this in vitro study, it can be stated that digital impression systems allow the fabrica+on of fixed prosthe+c restora+ons with similar accuracy as conven+onal impression methods. ! Clinical relevance ! Digital impression techniques can be regarded as a clinical alterna+ve to conven+onal impressions for fixed dental restora+ons.
  • 43.
    43 Trasferisce -geometria dell’impianto - dimensione dell’impianto - posizione 3D nell’arcata ! ! ! ! ! ! ! ! coping tradizionale scan body
  • 44.
    L’accuratezza del processodi digitalizzazione dipende da: ! - tecnica di scansione del clinico (a zig-zag o lineare) - sistema di scanner utilizzato (microscopia cofocale, paralella, a raggio laser, a luce strutturata) - forma e dimensioni dello scan body 44
  • 45.
    Questi modelli nonsono concepiti per realizzare delle protesi dall’inizio Possono solo essere utilizzati per posizionare le strutture realizzate tramite le tecnologie cad-cam per poter applicare la ceramica e controllare i punti di contatto. 45
  • 46.
    46 METODI DIFABBRICAZIONE ! Sottrattivo Additivo ! Fresatura da un blocco Sinterizzazione al laser di polvere Polimetilmetacrilato (PMMA) Resina composita Leghe metalliche (vili, titanio) Vetro ceramiche (Disilicato di litio, leucite) Zirconia
  • 47.
    Future Developments ! 1. Control of the costs 2. Enahncement of the application spectrum (edentulous jaw) 3. Introduction of trans-gengival scanners 4. Ultrasonography (accuracy?) 5. Optical coherence tomography (OCT) !!!
  • 48.
    Joda and Bragger IOS Work Time for Single Unit (In minutes) Economical and clinical process analysis for implant-supported single-unit reconstructions. Clin Impl Dent Rel Res (In press) Clinic 1 (Traditional vs digital Lab (abutment and crown) Digital 14 160 Conventional 18 190 Clinic 2 (try-in) Clinic 3 (Clinical Adjustments) Total 12 45% 180 15 100% 220
  • 49.
  • 50.
    LIMITS: ! -USEFUL ONLY FOR SMALL RESTORATIONS - COSTS - NEED FOR USB ATTACHMENT TO PC WITHOUT TROLLEY - - STL FILES - - SIMPLIFICATION OF PROCEDURES - - MANAGEMENT OF SOFT TISSUES…WE NEED - NEW TECHNOLOGY TO PASS THE SOFT TISSUE - AND RECORD HARD TISSUE ! !
  • 51.
    51 Problemi *Acquisizione dei dati per arcate intere è ancora imprecisa * Per molti sistemi è necessario applicare una polvere opacizzata che non è facilmente controllabile * Per i pilastri naturali, se le preparazioni sono umide, la polvere tende a creare grumi Costi (scanner e procedura) * Per elementi multipli l’unione di diversi gruppi di dati può generare delle inesattezze * Non è ancora possibile catturare un margine intrasulculare senza esporlo tramire retrazione gengivale . Necessità di fili di retrazione.
  • 52.
    52 Potenziali benefici Impronta tradizionale Scanner intraorale Comfort del paziente No Si Feedback immediato sulla qualità delle preparazioni No Ni Possibilità di creare n modelli con lo stesso grado di distorsione, senza stoccarli No Si
  • 53.
    53 SCANNER INTRAORALI Lava Itero BlueCam Cerec ZFX Accuratezza della scansione 6-11 um 40 um 25 um 40 um Possibilità scansionare denti singoli & multipli si si si si Possibilità di scansionare impianti singoli & multipli 3i certified solo x straumann si con scan body si con scan body Trios 20 um si si con scan body Costs (Euro) 21-35.000 12.000 25.000 53.000 27.000 Scan Type Monographic/True color Monographic Monographic True color Monographic