Embed presentation
Download as PDF, PPTX















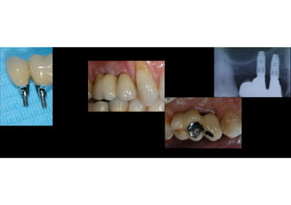
The document discusses digital workflow for making proper abutments when dental fixtures are placed close together. It outlines the treatment planning process, including CBCT scanning and surgical guides. There are two types of abutments: traditional pre-made abutments and digitally customized abutments made through CAD/CAM. Digital workflow allows visualization of contacts, non-contacts, and pressure points before and after extraction and placement of fixtures to determine the best type of final prosthesis.













