ICP waveforms & monitoring
Dr Sashanka
Physiology
Waveforms
Monitoring
Physiology
Vintracranial vault=Vbrain+Vblood +Vcsf
“compliance reflects the ability
of the intracranial system to
compensate for increases in
volume without subsequent
increases in ICP. When
compliance is decreased, even
small increases in intracranial
volume result in large increases
in ICP.”
Normal ICP
It is difficult to establish a universal “normal
value” for ICP as it depends on age, body posture
and clinical conditions.
The upper limit of normal ICP – 15 mm Hg
(5 – 10 mm Hg)
Physiologic increase – Coughing, sneezing – 30-50
mm Hg
ICP waveforms
ICP monitoring waveforms
Flow of 3 upstrokes in one wave.
P1 = (Percussion wave) represents arterial pulsation
P2 = (Tidal wave) represents intracranial compliance
P3 = (Dicrotic wave) represents venous pulsation
In normal ICP waveform P1 should have highest
upstroke, P2 in between and P3 should show lowest
upstroke.
On eyeballing the monitor, if P2 is higher than P1 - it
indicates intracranial hypertension.
Related to
Cardiac cycle : within individual waves
Respiratory cycle : between consecutive waves
ICP waveform – pulsatile
Baseline is referred to as ICP
Magnitude of baseline, amplitude & periodicity of
pulsatile components
Earliest sign of ↑ ICP – Changes in pulsatile
components
Flat
EVD clogged / kinked
Patient expired
↑⁄↓ amplitude
Increasing CSF volume
(or decreased)
If a large volume of CSF
is drained off, the
waveform will decrease
in amplitude.
Missing bone flap
Prominent P1 wave
The systolic BP is too
high
Diminished P1 wave
If the systolic BP is too
low, P1 decreases and
eventually disappears,
leaving only P2.
P2 and P3 are not
changed by this.
Prominent P2 wave
The mass lesion is
increasing in volume
The intracranial
compliance has
decreased
An inspiratory breath
hold (as ICP will also
rise)
Diminished P2 and P3 waves
Hyperventilation
Rounded ICP waveform
ICP critically high
Lundberg waves
Nils Lundberg
Lundberg A wave
Lundberg A waves
Increases of ICP sustained for several minutes and
then return spontaneously to baseline, which is
slightly higher than the preceding one.
Results from ↑ cerebrovascular volume due to
vasodilatation (Lundberg)
Results from normal compensatory response to
decreases in CPP. Hence give vasopressors.
(Rosner) – But may enhance lesion size & edema
4 phases:
1.Drift phase : ↓ CPP → vasodilatation
2.Plateau phase : Vasodilatation → ↑ ICP
3.Ischemic response phase : ↓ CPP → Cerebral
ischemia → Brainstem vasomotor centres →
Cushing response
4.Resolution phase : Cushing response →
Restores CPP
Lundberg B wave
Lundberg B waves
Short elevations of modest nature (10 – 20 mm Hg)
0.5 – 2 Hz
Relate to vasodilatation secondary to respiratory
fluctuations in PaCO2
Seen in ventilated patients (?)
Secondary to intracranial vasomotor waves, causing
variations in CBF
Reflects ↑ ICP in a qualitative manner
Lundberg C waves
Lundberg C wave
Lundberg C waves
More rapid sinusoidal fluctuation (0.1 Hz)
Corresponds to Traube-Hering-Meyer fluctuations
in arterial pressure brought about by oscillations
in baroreceptor and chemoreceptor reflex control
systems
Sometimes seen in normal ICP waveform
High amplitude – pre-terminal, seen on top of A
waves
ICP monitoring
Why look at ICP waveform analysis?
“…provides information about intracranial
dynamics that can help identify individuals who have
decreased adaptive capacity and are at risk for
increases in ICP and decreases in CPP, which may
contribute to secondary brain injury and have a
negative impact on neurologic outcome.”
C.J Kirkness et. al; J Neurosci Nurs. 2000 Oct; 32(5):271-7.
The main indications for ICP monitoring are:
Glasgow Coma Scale (GCS ) < 8
Posturing (extension, flexion)
Bilateral or unilateral pupil dilation (except with Epidural
Hematomas)
CT Scan results showing edema and/or mid-line shift
Physical assessment /neurological assessment findings which
indicate a need for monitoring
Contraindications:
Awake patient
Coagulopathy
Methods of ICP
measurement
Technology
external strain gauge
catheter tip (internal)
strain gauge
fibre-optic
Location
Ventricular (EVD/IVC)
Intraparenchymal
Subarachnoid
Subdural/Extradural
External Fontanelle
External Ventricular Drain
EVD connected to external strain gauge is the
gold standard for measuring ICP
Tip in foramen of Monro
Extensive history, low cost, reliability, therapeutic
Success rate of cannulation – 82%
Malposition: 4 – 20%
Did not have significant clinical sequelae
Occlusion : By brain matter / blood clots
Flush EVD
Hemorrhage : 0 – 15% (1.1%)
Most asymptomatic
Intervention in 0.5%
Infection : 0 – 22% (8.8%)
Risk factors : IVH, SAH, craniotomy, CSF leakage, systemic
infection, depressed skull #
Duration of catheterization & irrigation of catheter
Venue of insertion – No difference
Extended tunneling
Sandalcioglu - <5 vs >5 cm – 83% vs 17%
Leung – No difference
Prophylactic catheter exchange : No difference
Prophylactic antibiotics:
Periprocedural vs none – No difference
Periprocedural vs entire duration – No difference
Guidelines for the Management of Severe Traumatic
Brain Injury – No antibiotic prophylaxis
Antibiotic impregnated catheter:
Rifampin + Minocycline (Zabramski) – 9.4 to 1.3%
Cost
When to pull the EVD out?
CT evidence of resolution of cerebral oedema,
and
Improvement of ICP (consistently under 20-25)
Or if the EVD is infected.
Fibreoptic ICP monitor
Catheter tip measures the amount of light reflected off a
pressure sensitive diaphragm
Intraparenchymal Camino ICP monitor
Ease of insertion – Right frontal
Also in the region with pathology
Can be inserted in severely compressed ventricles or those with
midline shift
Low risk of hemorrhage and infection
Zero drift: Recalibration cannot be performed
2 mm Hg (first 24 hrs); 1 mm Hg (first 5 days) – Manufacturer
0.5 – 3.2 mm Hg drift - Actual
Miniature Strain Gauge
Codman MicroSensor ICP Transducer
Microchip pressure sensor at the tip of a flexible nylon cable that produces
different electricity based on pressure
Intraventricular (Correlation coefficient 0.97 with EVD, Drift 0.2 mm Hg)
Intraparenchymal (Less accurate)
Subdural space (Not enough studies)
Spiegelberg Parenchymal Transducer
Air pouch at the tip that is maintained at constant volume
Pressure transducer located in ICP monitor
Recalibration can be made easily
Good correlation with ICP measured by ventriculostomy
Compliance Monitor
Experimental stage
Change in volume per unit change in pressure
Spielberg compliance monitor injects small amount of air into the air balloon
pouch and measures the pressure response to this change in volume
Inverse relationship between compliance and ICP
Noninvasive ICP monitoring
CT, clinical examination, monitoring pressure in epidural space
Optic Nerve Sheath Diameter (ONSD)
Measured by ultrasound
Critical value is different in different studies
Venous Opening Pressure (VOP)
Measured by venous ophthalmodynamometry
Requires dilatation of pupil
Performed intermittently – Only screening purpose
Cochlear fluid pressure, Flow velocity in intracranial arteries, Delay in VEPs
Pediatric ICP monitoring
ICP monitoring only as an option for treating patients with severe traumatic
brain injury
(GCS < 8)
Similar complication rates as in adults
BRAIN HERNIATION SYNDROME
BRAIN HERNIATION
• most common types
– Subfalcine herniation
– descending transtentorial herniation
• Others
– Posterior fossa herniations
• ascending transtentorial herniation
• tonsillar herniation
– Transalar herniation
• Rare but important types
– transdural/transcranial herniations
– brain displacements across the sphenoid
wing
SUBFALCINE
HERNIATION
Subfalcine herniation
• most common
• supratentorial mass in one hemicranium
• affected hemisphere pushes across the midline
under the inferior "free" margin of the falx,
extending into the contralateral hemicranium
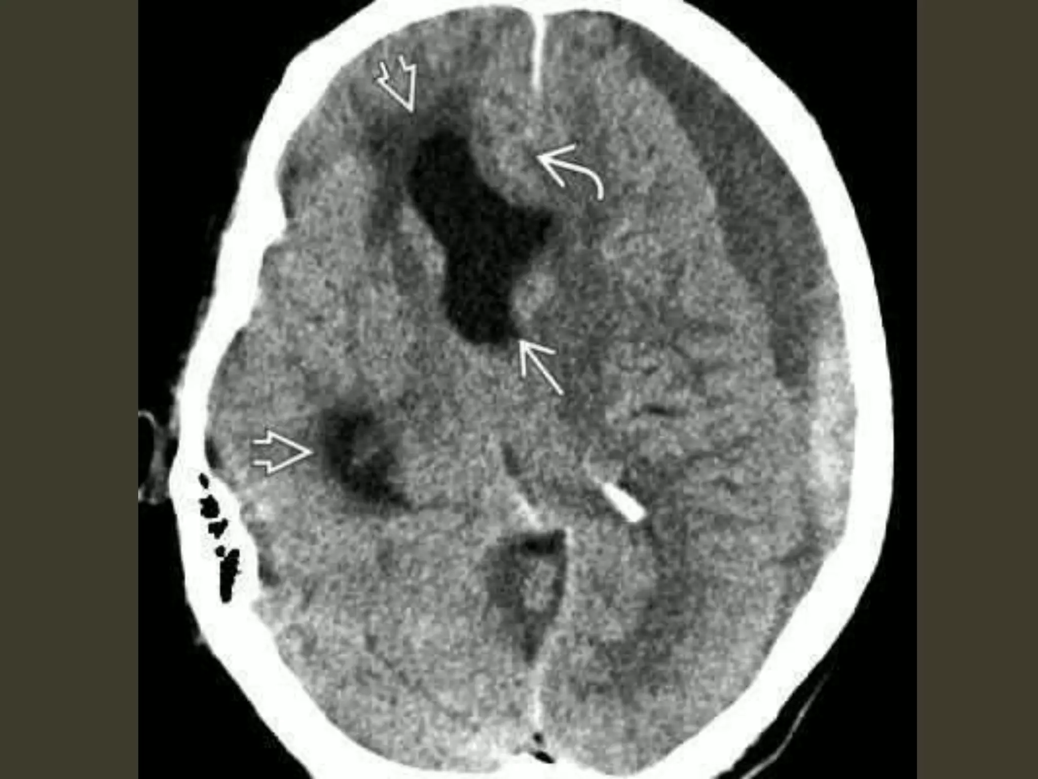
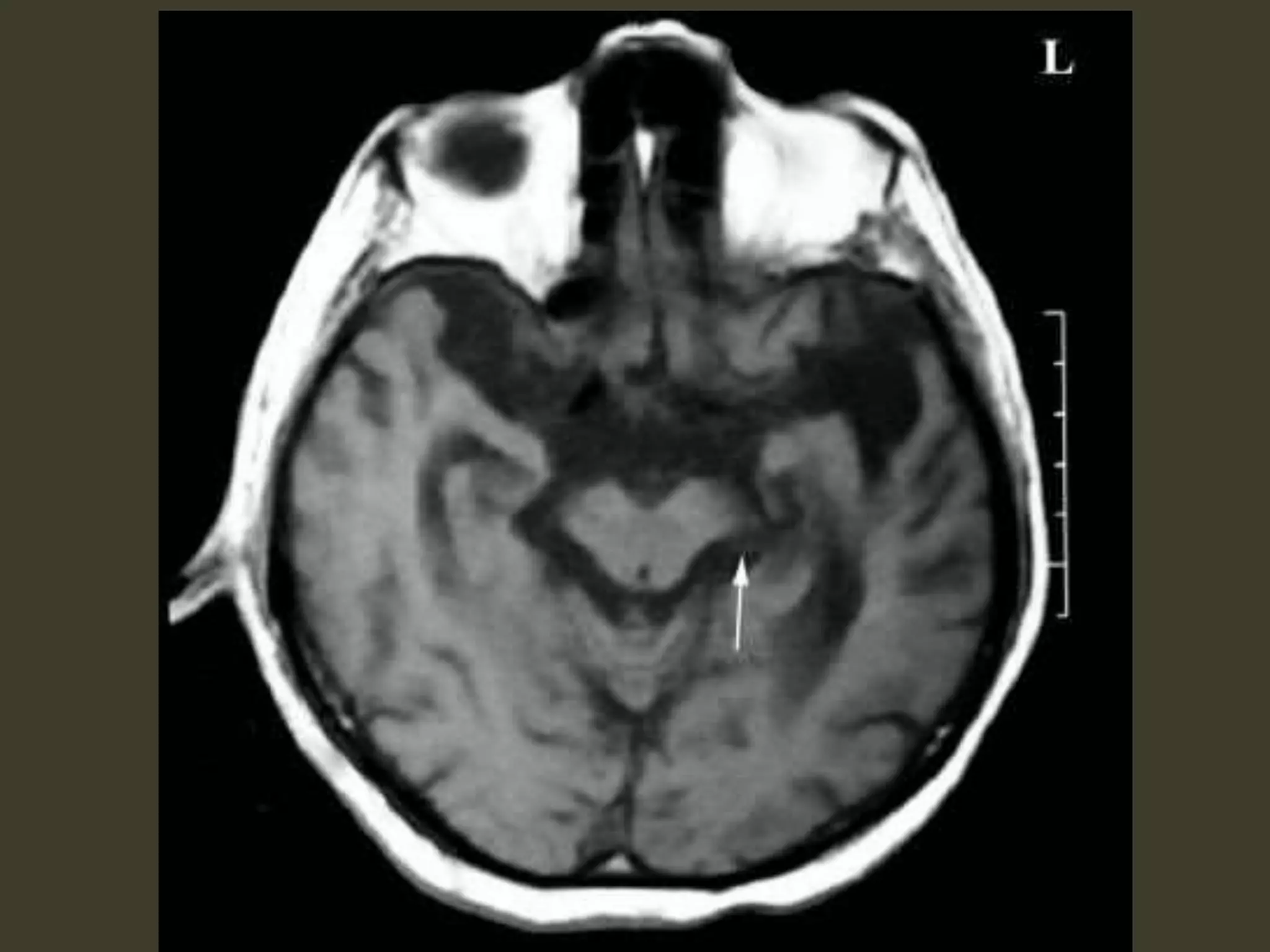
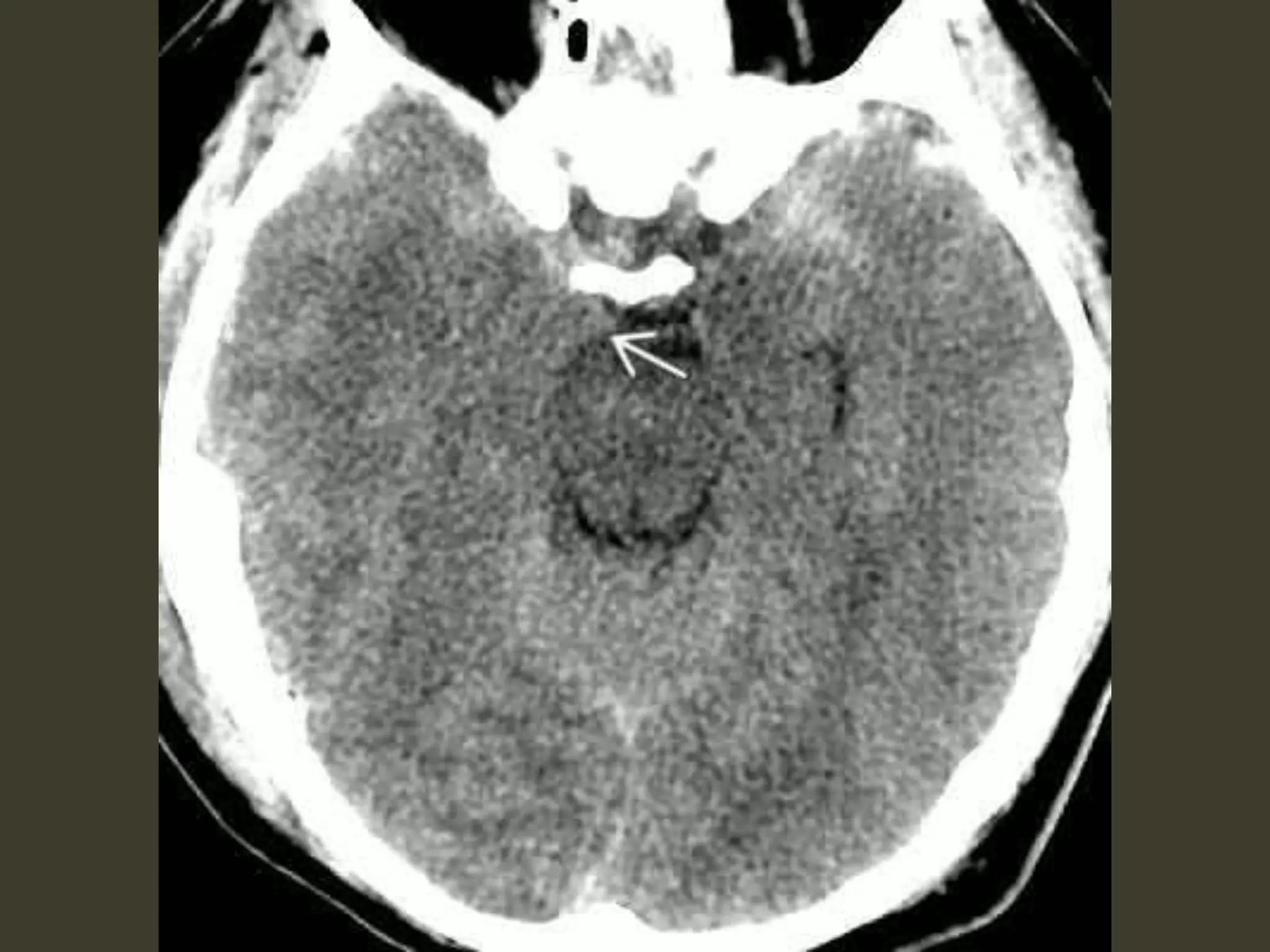
Subfalcine herniation: imaging
Axial and coronal images show that
•cingulate gyrus
•anterior cerebral artery (ACA)
•internal cerebral vein (ICV)
are pushed from one side to the other under the
falx cerebri.
The ipsilateral ventricle appears compressed
and displaced across the midline
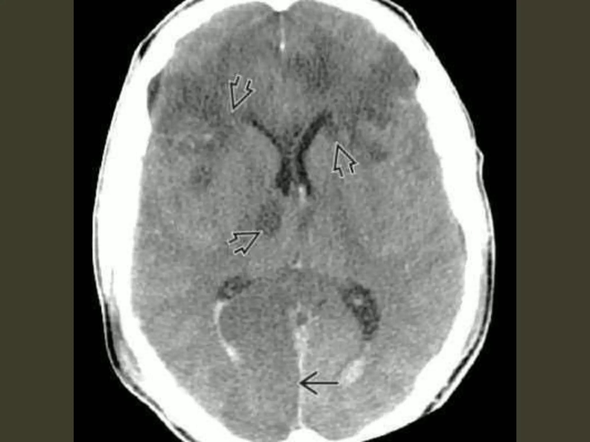
Complications
• unilateral obstructive hydrocephalus
– foramen of Monro occlusion
• Periventricular hypodensity with "blurred"
margins of the lateral ventricle
– Fluid accumulates in the periventricular white
matter
Complications
• When severe, the herniating ACA can be
pinned against the inferior "free" margin of
the falx cerebri
🡪 secondary infarction of the cingulate gyrus
TRANSTENTORIAL
HERNIATION
Transtentorial herniations
descending
herniations
ascending herniations
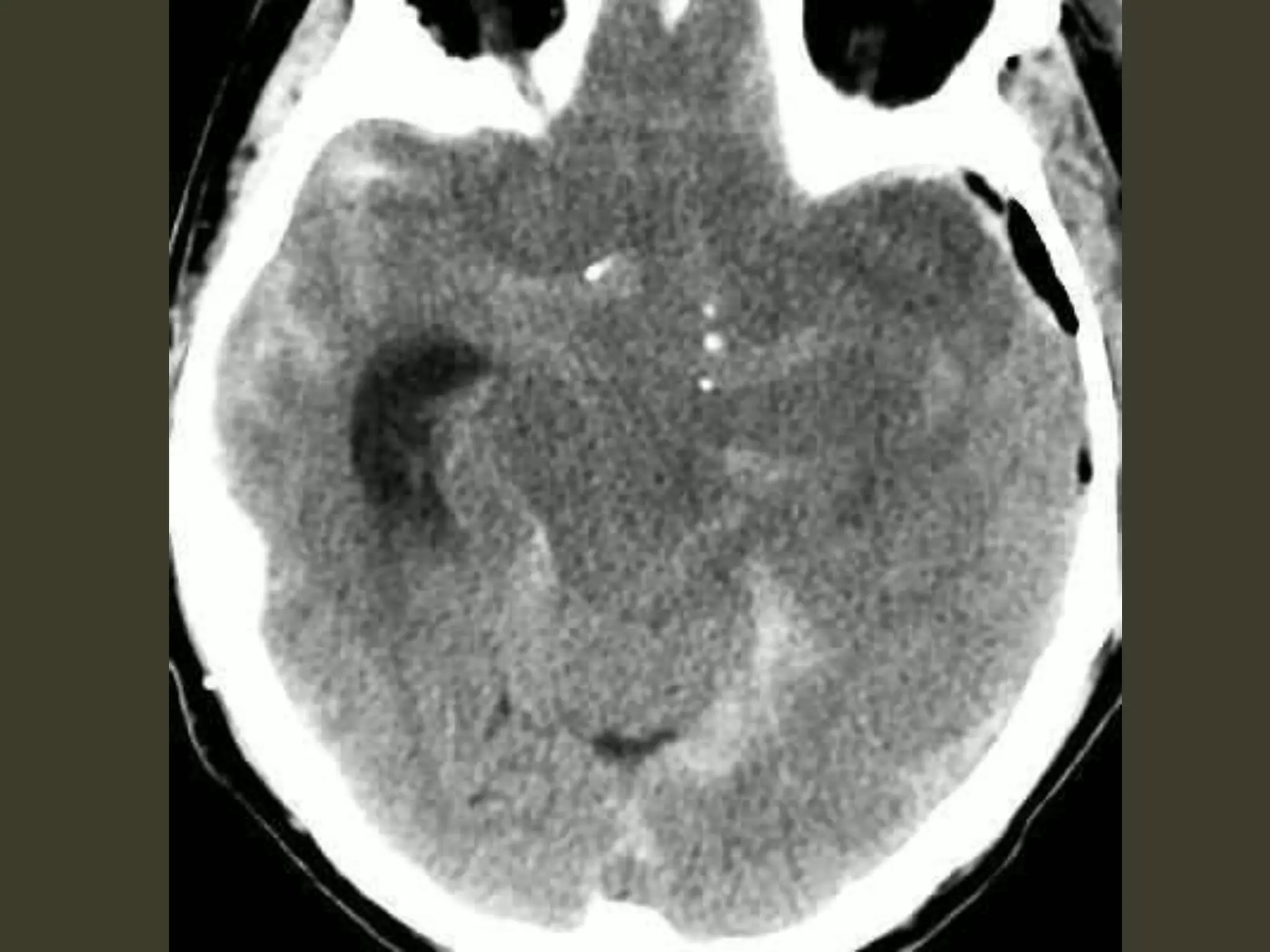
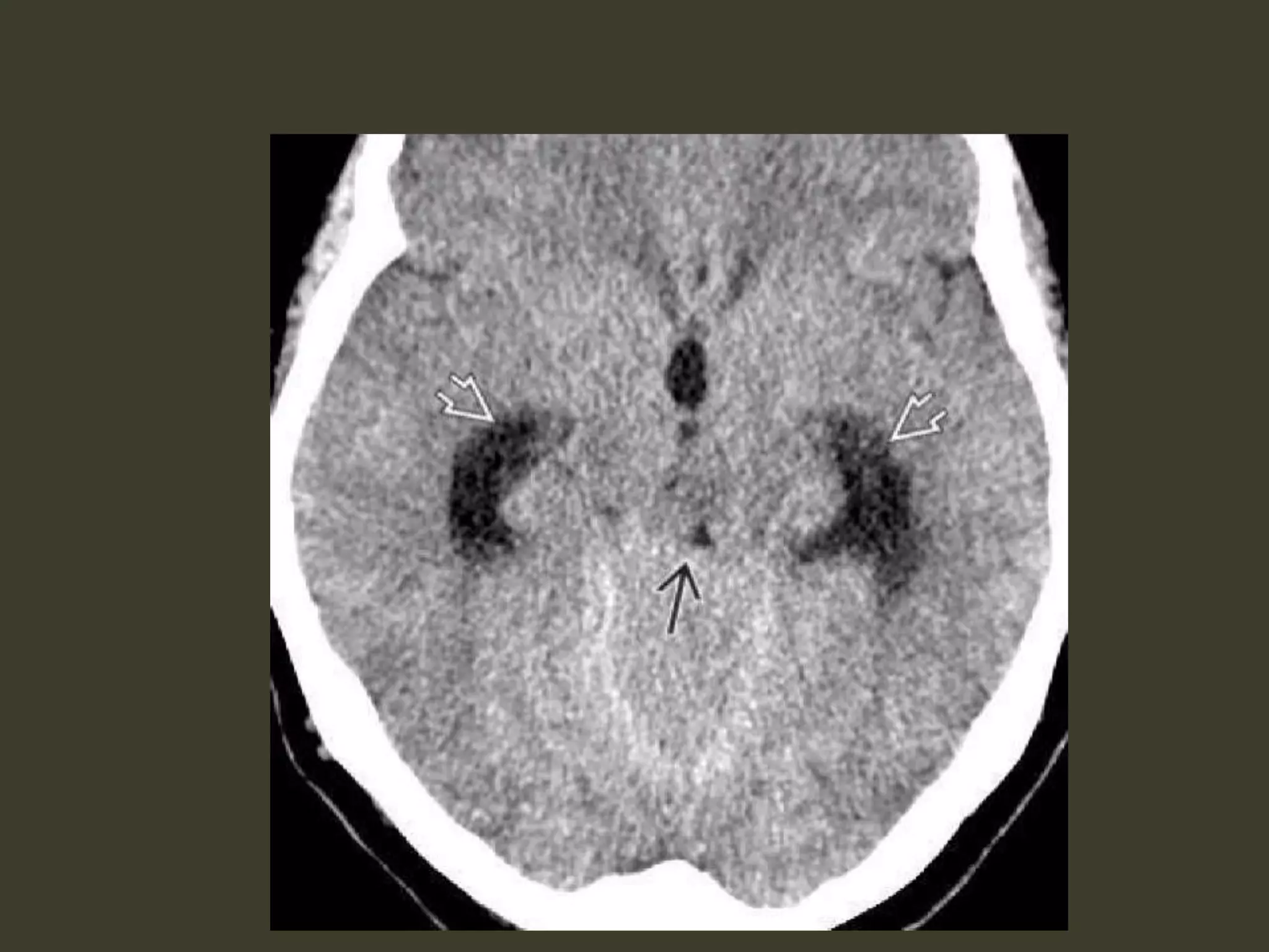
Descending transtentorial
herniations• the second most common
• a hemispheric mass
• initially produces subfalcine herniation
• As the mass effect increases,
the uncus of the temporal lobe is pushed medially
begins to encroach on the suprasellar cistern
hippocampus follows
hippocampus effaces the ipsilateral quadrigeminal
cistern
both the uncus and hippocampus herniate inferiorly
through the tentorial incisura
"Dysautonomia, Multisystem Atrophy and Parkinson's." Dysautonomia, Multisystem
Atrophy and Parkinson's. N.p., n.d. Web. 18 Nov. 2014
Descending transtentorial
herniation
• Unilateral
• Bilateral ;"central“
– Severe
unilateral DTH: imaging
early
uncus is displaced medially
Ipsilateral aspect of the suprasellar cistern
effaced
Ipsilateral prepontine + cerebellopontine angle
cistern enlarged
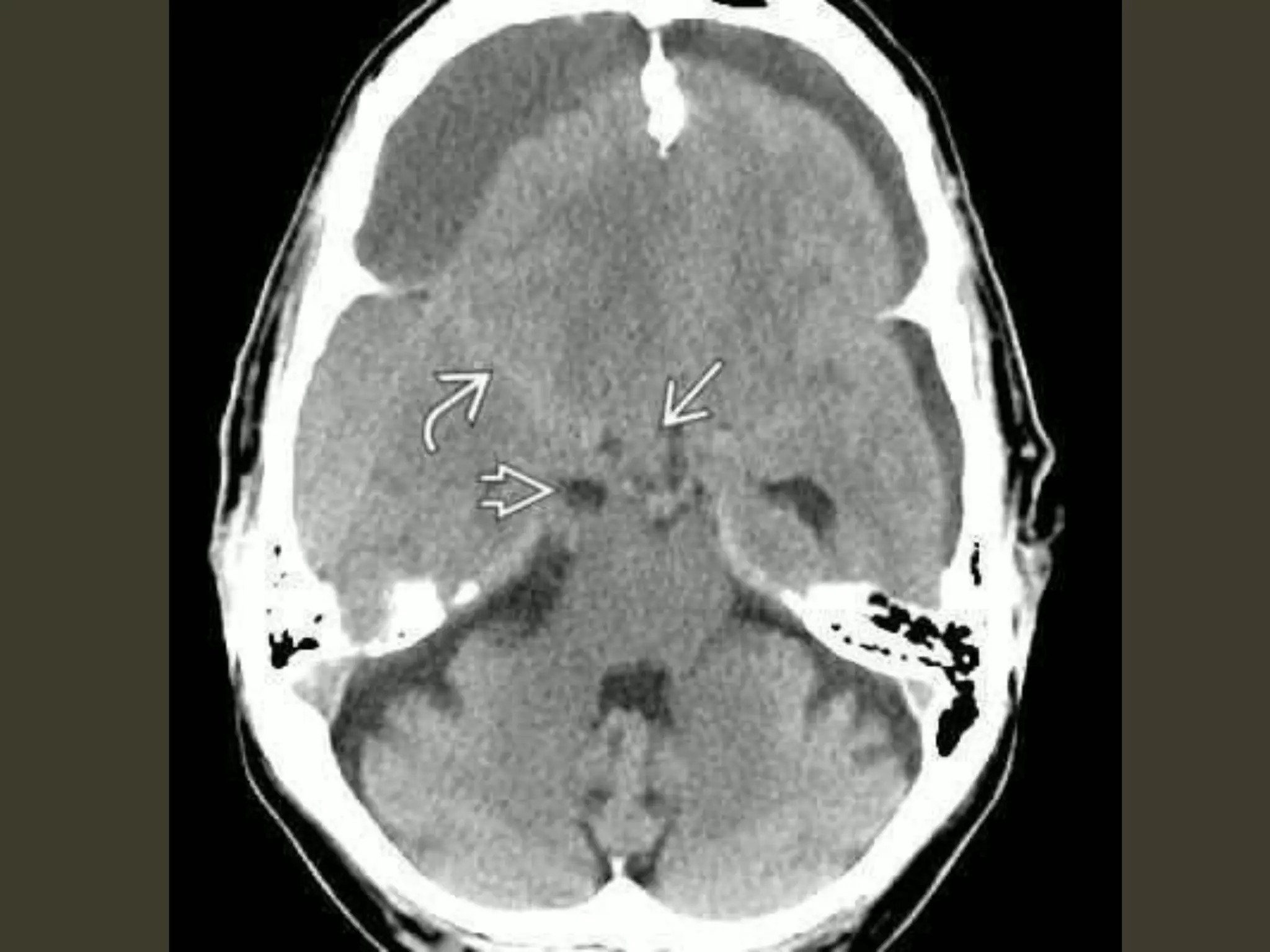
Descending transtentorial
herniation
As DTH increases
hippocampus also herniates
medially
quadrigeminal cistern
compression midbrain pushed
toward the opposite side of the incisura
Descending transtentorial
herniation
severe cases
entire suprasellar and quadrigeminal cisterns
are effaced.
The temporal horn can even be displaced almost
into the midline
bilateral DTH
both hemispheres become swollen
the whole central brain is flattened against the
skull base
All the basal cisterns are obliterated
hypothalamus and optic chiasm are crushed
against the sella turcica
Complete bilateral DTH
both temporal lobes herniate medially into the
tentorial hiatus
midbrain and pons displaced inferiorly through
the tentorial incisura
The angle between the midbrain and pons
is progressively reduced from 90° to almost 0°
Complications
• CN III (oculomotor) nerve compression
– CN III palsy
• PCA occlusion as it passes back up over the
medial edge of the tentorium
– secondary PCA (occipital) infarct
Kernohan notch
• As the herniating temporal lobe pushes the
midbrain toward the opposite side of the
incisura
– contralateral cerebral peduncle is forced
against the hard edge of the tentorium
• Pressure ischemia 🡪 ipsilateral hemiplegia
– the "false localizing" sign
Duret hemorrhage
"Top-down" mass effect displaces the midbrain
inferiorly
closes the midbrain-pontine angle
Perforating arteries from basilar artery
are compressed and buckled
hypothalamic and basal
ganglia infarcts
complete bilateral DTH
perforating arteries from the
circle of Willis compression against the
central skull base
hypothalamic and basal ganglia
infarcts
POSTERIOR FOSSA
MASS: TONSILLAR
HERNIATION
ASCENDING
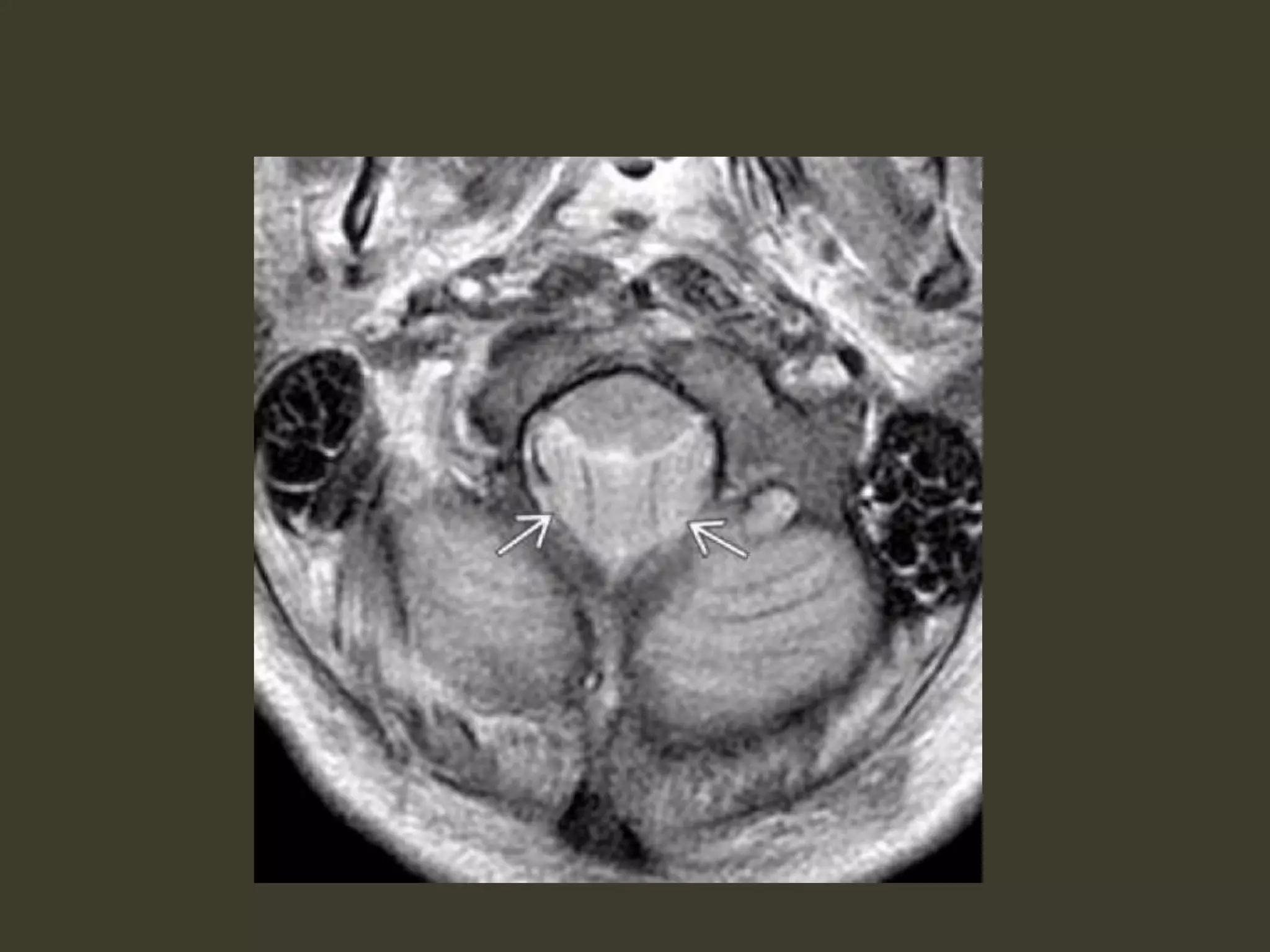
Tonsillar herniation
• The cerebellar tonsils are displaced inferiorly
and become impacted into the foramen
magnum.
• congenital (e.g., Chiari 1 malformation)
– mismatch between size and content of the posterior
fossa
• Acquired
– an expanding posterior fossa mass pushing the tonsils
downward—more common
– intracranial hypotension: abnormally low intraspinal
CSF pressure
• tonsils are pulled downward
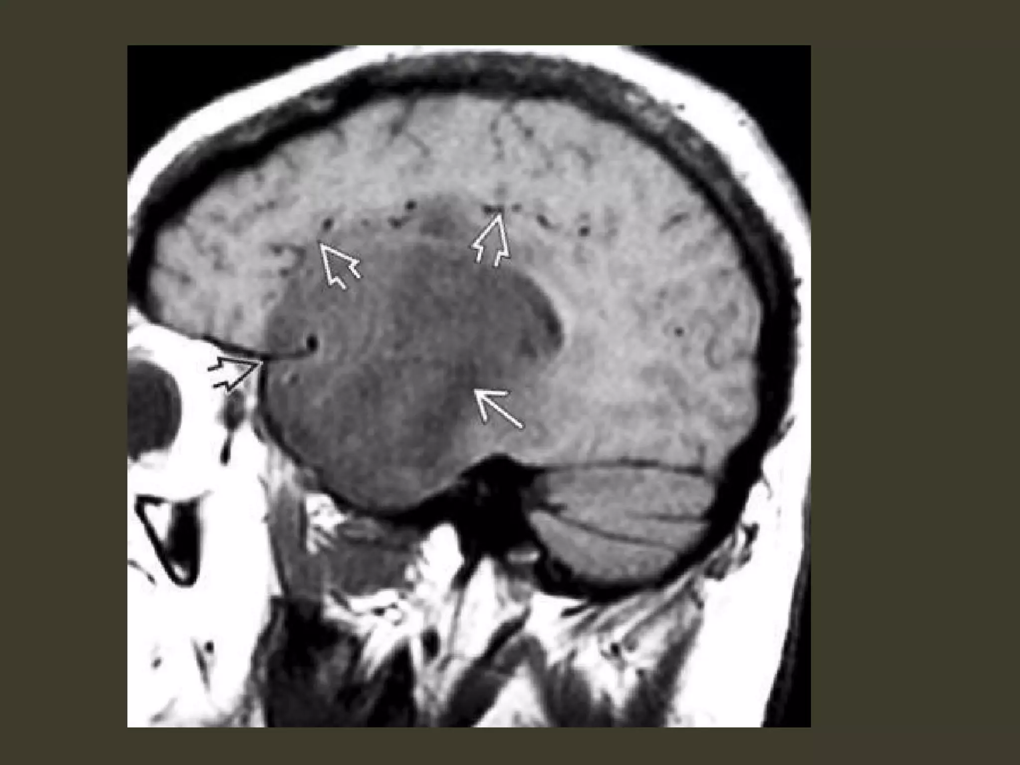
Tonsillar herniation: imaging
• Diagnosing tonsillar herniation on NECT scans
may be problematic.
Cisterna magna obliteration
Tonsillar herniation: imaging
• MR: much more easily diagnosed
• In the sagittal plane
– the tonsillar folia become vertically oriented
– the inferior aspect of the tonsils becomes
pointed
– Tonsils > 5 mm (or 7 mm in children) below the
foramen magnum are generally abnormal
• especially if they are peg-like or pointed (rather than
rounded)
Tonsillar herniation: imaging
• In the axial plane, T2 scans show that the
tonsils are impacted into the foramen
magnum
– obliterating CSF in the cisterna magna
– displacing the medulla anteriorly
Complications
•obstructive hydrocephalus
•tonsillar necrosis
ASCENDING TRANSTENTORIAL HERNIATION
Ascending transtentorial herniation
•caused by any expanding posterior fossa mass
–Neoplasms > trauma
Complications
•Acute intraventricular obstructive
hydrocephalus
–caused by compression of the cerebral aqueduct
OTHER LESS COMMON HERNIATION:
TRANSALAR
TRANSDURAL
TRANSCRANIAL HERNIATIONS
Transalar Herniation
•brain herniates across the greater sphenoid wing
(GSW) or "ala"
•ascending > descending
Ascending transalar herniation
•caused by a large middle cranial fossa mass
•An intratemporal or large extraaxial mass
Temporal lobe + sylvian fissure + MCA
up and over the greater sphenoid wing
References
•Osborn, Anne G. "Secondary Effects and
Sequellae of CNS Trauma."Osborn's Brain:
Imaging, Pathology, and Anatomy. Salt Lake City,
UT: Amirsys Pub., 2013. N. pag. Print.
•Osborn, Anne G. "Cerebral Vasculature: Normal
Anatomy and Pathology."Diagnostic
Neuroradiology. St. Louis: Mosby, 1994. N. pag.
Print.

Icp monitoring &amp;brainherniation

  • 1.
    ICP waveforms &monitoring Dr Sashanka
  • 2.
  • 3.
  • 5.
  • 8.
    “compliance reflects theability of the intracranial system to compensate for increases in volume without subsequent increases in ICP. When compliance is decreased, even small increases in intracranial volume result in large increases in ICP.”
  • 9.
    Normal ICP It isdifficult to establish a universal “normal value” for ICP as it depends on age, body posture and clinical conditions. The upper limit of normal ICP – 15 mm Hg (5 – 10 mm Hg) Physiologic increase – Coughing, sneezing – 30-50 mm Hg
  • 10.
  • 11.
    ICP monitoring waveforms Flowof 3 upstrokes in one wave. P1 = (Percussion wave) represents arterial pulsation P2 = (Tidal wave) represents intracranial compliance P3 = (Dicrotic wave) represents venous pulsation In normal ICP waveform P1 should have highest upstroke, P2 in between and P3 should show lowest upstroke. On eyeballing the monitor, if P2 is higher than P1 - it indicates intracranial hypertension.
  • 13.
    Related to Cardiac cycle: within individual waves Respiratory cycle : between consecutive waves
  • 15.
    ICP waveform –pulsatile Baseline is referred to as ICP Magnitude of baseline, amplitude & periodicity of pulsatile components Earliest sign of ↑ ICP – Changes in pulsatile components
  • 16.
    Flat EVD clogged /kinked Patient expired
  • 17.
    ↑⁄↓ amplitude Increasing CSFvolume (or decreased) If a large volume of CSF is drained off, the waveform will decrease in amplitude. Missing bone flap
  • 18.
    Prominent P1 wave Thesystolic BP is too high
  • 19.
    Diminished P1 wave Ifthe systolic BP is too low, P1 decreases and eventually disappears, leaving only P2. P2 and P3 are not changed by this.
  • 20.
    Prominent P2 wave Themass lesion is increasing in volume The intracranial compliance has decreased An inspiratory breath hold (as ICP will also rise)
  • 21.
    Diminished P2 andP3 waves Hyperventilation
  • 22.
    Rounded ICP waveform ICPcritically high
  • 23.
  • 25.
  • 26.
    Lundberg A waves Increasesof ICP sustained for several minutes and then return spontaneously to baseline, which is slightly higher than the preceding one. Results from ↑ cerebrovascular volume due to vasodilatation (Lundberg) Results from normal compensatory response to decreases in CPP. Hence give vasopressors. (Rosner) – But may enhance lesion size & edema
  • 27.
    4 phases: 1.Drift phase: ↓ CPP → vasodilatation 2.Plateau phase : Vasodilatation → ↑ ICP 3.Ischemic response phase : ↓ CPP → Cerebral ischemia → Brainstem vasomotor centres → Cushing response 4.Resolution phase : Cushing response → Restores CPP
  • 29.
  • 30.
    Lundberg B waves Shortelevations of modest nature (10 – 20 mm Hg) 0.5 – 2 Hz Relate to vasodilatation secondary to respiratory fluctuations in PaCO2 Seen in ventilated patients (?) Secondary to intracranial vasomotor waves, causing variations in CBF Reflects ↑ ICP in a qualitative manner
  • 31.
  • 32.
  • 33.
    Lundberg C waves Morerapid sinusoidal fluctuation (0.1 Hz) Corresponds to Traube-Hering-Meyer fluctuations in arterial pressure brought about by oscillations in baroreceptor and chemoreceptor reflex control systems Sometimes seen in normal ICP waveform High amplitude – pre-terminal, seen on top of A waves
  • 34.
  • 35.
    Why look atICP waveform analysis? “…provides information about intracranial dynamics that can help identify individuals who have decreased adaptive capacity and are at risk for increases in ICP and decreases in CPP, which may contribute to secondary brain injury and have a negative impact on neurologic outcome.” C.J Kirkness et. al; J Neurosci Nurs. 2000 Oct; 32(5):271-7.
  • 36.
    The main indicationsfor ICP monitoring are: Glasgow Coma Scale (GCS ) < 8 Posturing (extension, flexion) Bilateral or unilateral pupil dilation (except with Epidural Hematomas) CT Scan results showing edema and/or mid-line shift Physical assessment /neurological assessment findings which indicate a need for monitoring
  • 37.
  • 38.
    Methods of ICP measurement Technology externalstrain gauge catheter tip (internal) strain gauge fibre-optic Location Ventricular (EVD/IVC) Intraparenchymal Subarachnoid Subdural/Extradural External Fontanelle
  • 39.
    External Ventricular Drain EVDconnected to external strain gauge is the gold standard for measuring ICP Tip in foramen of Monro Extensive history, low cost, reliability, therapeutic Success rate of cannulation – 82%
  • 41.
    Malposition: 4 –20% Did not have significant clinical sequelae Occlusion : By brain matter / blood clots Flush EVD Hemorrhage : 0 – 15% (1.1%) Most asymptomatic Intervention in 0.5%
  • 42.
    Infection : 0– 22% (8.8%) Risk factors : IVH, SAH, craniotomy, CSF leakage, systemic infection, depressed skull # Duration of catheterization & irrigation of catheter Venue of insertion – No difference Extended tunneling Sandalcioglu - <5 vs >5 cm – 83% vs 17% Leung – No difference Prophylactic catheter exchange : No difference
  • 43.
    Prophylactic antibiotics: Periprocedural vsnone – No difference Periprocedural vs entire duration – No difference Guidelines for the Management of Severe Traumatic Brain Injury – No antibiotic prophylaxis Antibiotic impregnated catheter: Rifampin + Minocycline (Zabramski) – 9.4 to 1.3% Cost
  • 44.
    When to pullthe EVD out? CT evidence of resolution of cerebral oedema, and Improvement of ICP (consistently under 20-25) Or if the EVD is infected.
  • 45.
    Fibreoptic ICP monitor Cathetertip measures the amount of light reflected off a pressure sensitive diaphragm Intraparenchymal Camino ICP monitor Ease of insertion – Right frontal Also in the region with pathology Can be inserted in severely compressed ventricles or those with midline shift Low risk of hemorrhage and infection Zero drift: Recalibration cannot be performed 2 mm Hg (first 24 hrs); 1 mm Hg (first 5 days) – Manufacturer 0.5 – 3.2 mm Hg drift - Actual
  • 47.
    Miniature Strain Gauge CodmanMicroSensor ICP Transducer Microchip pressure sensor at the tip of a flexible nylon cable that produces different electricity based on pressure Intraventricular (Correlation coefficient 0.97 with EVD, Drift 0.2 mm Hg) Intraparenchymal (Less accurate) Subdural space (Not enough studies)
  • 48.
    Spiegelberg Parenchymal Transducer Airpouch at the tip that is maintained at constant volume Pressure transducer located in ICP monitor Recalibration can be made easily Good correlation with ICP measured by ventriculostomy
  • 50.
    Compliance Monitor Experimental stage Changein volume per unit change in pressure Spielberg compliance monitor injects small amount of air into the air balloon pouch and measures the pressure response to this change in volume Inverse relationship between compliance and ICP
  • 51.
    Noninvasive ICP monitoring CT,clinical examination, monitoring pressure in epidural space Optic Nerve Sheath Diameter (ONSD) Measured by ultrasound Critical value is different in different studies Venous Opening Pressure (VOP) Measured by venous ophthalmodynamometry Requires dilatation of pupil Performed intermittently – Only screening purpose Cochlear fluid pressure, Flow velocity in intracranial arteries, Delay in VEPs
  • 52.
    Pediatric ICP monitoring ICPmonitoring only as an option for treating patients with severe traumatic brain injury (GCS < 8) Similar complication rates as in adults
  • 53.
  • 56.
    BRAIN HERNIATION • mostcommon types – Subfalcine herniation – descending transtentorial herniation • Others – Posterior fossa herniations • ascending transtentorial herniation • tonsillar herniation – Transalar herniation • Rare but important types – transdural/transcranial herniations – brain displacements across the sphenoid wing
  • 57.
  • 58.
    Subfalcine herniation • mostcommon • supratentorial mass in one hemicranium • affected hemisphere pushes across the midline under the inferior "free" margin of the falx, extending into the contralateral hemicranium
  • 60.
    Subfalcine herniation: imaging Axialand coronal images show that •cingulate gyrus •anterior cerebral artery (ACA) •internal cerebral vein (ICV) are pushed from one side to the other under the falx cerebri. The ipsilateral ventricle appears compressed and displaced across the midline
  • 62.
    Complications • unilateral obstructivehydrocephalus – foramen of Monro occlusion • Periventricular hypodensity with "blurred" margins of the lateral ventricle – Fluid accumulates in the periventricular white matter
  • 63.
    Complications • When severe,the herniating ACA can be pinned against the inferior "free" margin of the falx cerebri 🡪 secondary infarction of the cingulate gyrus
  • 65.
  • 66.
  • 67.
    Descending transtentorial herniations• thesecond most common • a hemispheric mass • initially produces subfalcine herniation • As the mass effect increases, the uncus of the temporal lobe is pushed medially begins to encroach on the suprasellar cistern hippocampus follows hippocampus effaces the ipsilateral quadrigeminal cistern both the uncus and hippocampus herniate inferiorly through the tentorial incisura
  • 68.
    "Dysautonomia, Multisystem Atrophyand Parkinson's." Dysautonomia, Multisystem Atrophy and Parkinson's. N.p., n.d. Web. 18 Nov. 2014
  • 70.
  • 71.
    unilateral DTH: imaging early uncusis displaced medially Ipsilateral aspect of the suprasellar cistern effaced Ipsilateral prepontine + cerebellopontine angle cistern enlarged
  • 73.
    Descending transtentorial herniation As DTHincreases hippocampus also herniates medially quadrigeminal cistern compression midbrain pushed toward the opposite side of the incisura
  • 74.
    Descending transtentorial herniation severe cases entiresuprasellar and quadrigeminal cisterns are effaced. The temporal horn can even be displaced almost into the midline
  • 76.
    bilateral DTH both hemispheresbecome swollen the whole central brain is flattened against the skull base All the basal cisterns are obliterated hypothalamus and optic chiasm are crushed against the sella turcica
  • 79.
    Complete bilateral DTH bothtemporal lobes herniate medially into the tentorial hiatus midbrain and pons displaced inferiorly through the tentorial incisura The angle between the midbrain and pons is progressively reduced from 90° to almost 0°
  • 81.
    Complications • CN III(oculomotor) nerve compression – CN III palsy • PCA occlusion as it passes back up over the medial edge of the tentorium – secondary PCA (occipital) infarct
  • 84.
    Kernohan notch • Asthe herniating temporal lobe pushes the midbrain toward the opposite side of the incisura – contralateral cerebral peduncle is forced against the hard edge of the tentorium • Pressure ischemia 🡪 ipsilateral hemiplegia – the "false localizing" sign
  • 88.
    Duret hemorrhage "Top-down" masseffect displaces the midbrain inferiorly closes the midbrain-pontine angle Perforating arteries from basilar artery are compressed and buckled
  • 89.
    hypothalamic and basal gangliainfarcts complete bilateral DTH perforating arteries from the circle of Willis compression against the central skull base hypothalamic and basal ganglia infarcts
  • 93.
  • 95.
    Tonsillar herniation • Thecerebellar tonsils are displaced inferiorly and become impacted into the foramen magnum. • congenital (e.g., Chiari 1 malformation) – mismatch between size and content of the posterior fossa • Acquired – an expanding posterior fossa mass pushing the tonsils downward—more common – intracranial hypotension: abnormally low intraspinal CSF pressure • tonsils are pulled downward
  • 96.
    Tonsillar herniation: imaging •Diagnosing tonsillar herniation on NECT scans may be problematic. Cisterna magna obliteration
  • 98.
    Tonsillar herniation: imaging •MR: much more easily diagnosed • In the sagittal plane – the tonsillar folia become vertically oriented – the inferior aspect of the tonsils becomes pointed – Tonsils > 5 mm (or 7 mm in children) below the foramen magnum are generally abnormal • especially if they are peg-like or pointed (rather than rounded)
  • 99.
    Tonsillar herniation: imaging •In the axial plane, T2 scans show that the tonsils are impacted into the foramen magnum – obliterating CSF in the cisterna magna – displacing the medulla anteriorly
  • 101.
  • 102.
  • 104.
    Ascending transtentorial herniation •causedby any expanding posterior fossa mass –Neoplasms > trauma
  • 106.
  • 109.
    OTHER LESS COMMONHERNIATION: TRANSALAR TRANSDURAL TRANSCRANIAL HERNIATIONS
  • 110.
    Transalar Herniation •brain herniatesacross the greater sphenoid wing (GSW) or "ala" •ascending > descending
  • 111.
    Ascending transalar herniation •causedby a large middle cranial fossa mass •An intratemporal or large extraaxial mass Temporal lobe + sylvian fissure + MCA up and over the greater sphenoid wing
  • 117.
    References •Osborn, Anne G."Secondary Effects and Sequellae of CNS Trauma."Osborn's Brain: Imaging, Pathology, and Anatomy. Salt Lake City, UT: Amirsys Pub., 2013. N. pag. Print. •Osborn, Anne G. "Cerebral Vasculature: Normal Anatomy and Pathology."Diagnostic Neuroradiology. St. Louis: Mosby, 1994. N. pag. Print.