Glaucoma:
Preferred Practice Patterns
Outline
● First we will review the AAO’s preferred practice patterns for open angle
glaucoma.
● We will also discuss the Canadian glaucoma guidelines for medical
management of glaucoma.
● Two newer classes of glaucoma eye drops will also be discussed.
Glaucoma: Disease Definition
● Primary open-angle glaucoma (POAG) is a chronic, progressive optic
neuropathy in adults in which there is a characteristic acquired atrophy of the
optic nerve and loss of retinal ganglion cells and their axons.
● This condition is associated with an open anterior chamber angle by
gonioscopy
Glaucoma Clinical Objectives
● Document the status of optic nerve structure and function on presentation
● Estimate an IOP below which further optic nerve damage is unlikely to occur.
● Attempt to maintain IOP at or below this target level by initiating appropriate
medical and/or surgical intervention.
● Monitor the structure and function of the optic nerve for further damage and
adjust the target IOP to a lower level if deterioration occurs.
● Minimize the side effects of treatment and their impact on the patient’s vision,
general health, and quality of life.
● Educate and involve the patient and appropriate family members/caregivers
in the management of the disease.
Prevalence
● Glaucoma is the second leading cause of blindness worldwide.
● In the US, it is estimated that almost 2% of adults over the age of 40 have
glaucoma (from the Eye Disease Prevalence Research group in 2004).
● Glaucoma is relatively common in all races, but is most common in African
Americans and Afro-Caribbeans.
Risk Factors
● Numerous studies have identified risk factors for POAG
● Elevated IOP is the primary risk factor
● Older Age, family history, race/ethnicity, CCT, Low ocular perfusion pressure,
DM type 2, and myopia are also important risk factors.
● Other less important risk factors include:
○ Migraines
○ Peripheral vasospasm
○ HTN (controversial)
○ Low CSF/ICP pressure
Risk Factors: Family History
● In the Rotterdam Eye Study, in which all siblings of glaucoma cases and
controls were examined, the odds of having POAG were 9.2-fold higher for
individuals who have a first-degree relative (sibling or parent) with confirmed
POAG.
● Other studies have not demonstrated as high as a risk, but in most other
studies the family members were not physically examined. Therefore the
data depends on patient reports of the status of family members, and these
are known to be subject to several biases.
● The Los Angeles Latino Eye Study (LALES) demonstrated a two to three fold
increased risk for those with a first degree family member with glaucoma.
Risk Factors: Central Corneal Thickness
● In addition to causing underestimation of IOP, a thinner central cornea has
also been reported as an independent risk factor (some controversy).
○ In LALES, the risk of having POAG was higher in persons with thinner CCT compared with
those with normal or thicker CCT even after adjusting the IOP.
● Corneal biomechanical properties such as hysteresis may also have an
impact on IOP measurement and glaucoma risk.
○ In particular, in eyes with a thin CCT following refractive surgery, IOP may be significantly
underestimated by Goldmann applanation tonometry.
Risk Factors: Low Ocular Perfusion Pressure
● Ocular perfusion pressure is the difference between blood pressure (at
systole or diastole) and the IOP.
● It has been hypothesized that low ocular perfusion pressures lead to
alterations in blood flow at the optic nerve head (ONH) and contribute to
progressive glaucomatous optic nerve damage.
○ Population based studies have demonstrated that low diastolic perfusion pressure (<50
mmHg) is associated with a higher prevalence of POAG.
○ The Early Manifest Glaucoma Treatment Study demonstrated a high risk of glaucoma
progression with low systolic perfusion pressure (<125 mmHg).
Risk Factors: Low Ocular Perfusion Pressure
● More recent data suggest that nocturnal mean arterial pressure 10 mmHg
lower than daytime mean arterial pressure may predict progression of normal-
tension glaucoma and increased risk of visual field loss.
● Recent evidence suggests that low diastolic perfusion pressure is associated
with increased risk for glaucoma only in patients taking treatment for systemic
hypertension.
○ However, statistical analysis is unable to determine whether perfusion pressure is associated
with glaucoma because of its individual components (systolic blood pressure, diastolic blood
pressure, or IOP), a combination of these components, or an interaction between these
components.
○ Further research is needed.
Risk Factors: Type 2 Diabetes
● While there is some conflicting data, several population studies have
demonstrated a 40% or higher increased risk of glaucoma in persons with
type 2 DM.
● In LALES, a longer duration of DM type 2 was associated with a higher risk of
glaucoma.
● One explanation for this observation is that microvascular changes in the
optic nerve may contribute to the greater susceptibility of optic nerve damage
in persons with type 2 diabetes mellitus.
Risk Factors: Myopia
● A longer axial length is an independent risk factor for POAG.
● The underlying hypothesis is that individuals with axial myopia have weaker
scleral support at the optic nerve. This may contribute to a greater
susceptibility of the optic nerve to glaucomatous damage.
Care Process: Diagnosis and Staging
● Diagnosis begins with a comprehensive eye exam.
● Often more than one visit is required to confirm the diagnosis.
● Patients often return for further evaluation to have:
■ repeat IOP measurements
■ Gonioscopy
■ Pachymetry
■ visual fields
■ RNFL evaluation/documentation
Care Process: History
● A thorough history is essential:
○ Trauma?
○ Surgery?
■ Especially refractive?
○ Family history
■ Severity and outcomes
○ Systemic history
■ Asthma, steroids, DM, heart disease, etc.
Care Process: Examination
● The ophthalmic evaluation focuses specifically on the following elements in
the comprehensive adult medical eye evaluation:
○ Visual acuity measurement
○ Pupil examination
○ Anterior segment examination
■ Must eval for secondary causes of glaucoma
○ IOP measurement
○ Gonioscopy
○ ONH and RNFL examination
○ Fundus examination
Gonioscopy
● Must perform gonioscopy to exclude alternative types of glaucoma such as
angle closure, angle recession, PDS, etc.
● Gonioscopy can be challenging in many patients.
● A useful technique for examining the angle in an eye with a narrow anterior
chamber is to have the patient look towards the mirror of the gonio prism into
which the examiner is looking.
Gonioscopy: “over the hill” view
Optic Nerve Examination
● Physical features that may indicate glaucomatous optic neuropathy include
the following:
○ Vertical elongation of the optic cup with associated decrease in neuroretinal rim width
○ Excavation of the cup
○ Thinning of the RNFL
○ Notching of the neuroretinal rim
○ Thinning of the inferior and/or superior neuroretinal rim
○ Disc hemorrhage
○ Large extent of parapapillary atrophy
○ Nasalization of central ONH vessels
○ Baring of the circumlinear vessels
Optic Nerve Evaluation
● Normally, the neuroretinal rim of the optic nerve is widest inferiorly and
narrowest temporally.
● The abbreviated corollary for this anatomic feature is called the ISNT rule:
○ it is widest at the inferior rim, followed by the superior rim, followed by the nasal rim, and lastly
by the temporal rim.
● In approximately 80% of patients glaucomatous cupping does not follow this
rule where both the inferior and superior rims are thinned.
Baring of circumlinear vessels
● Circumlinear vessels are small
branches arising from the retinal
vessels.
○ Only visible in 50% of normal eyes.
○ These vessels follow are curvilinear
path and run along the superior and
inferior margins of the optic cup.
○ Baring occurs with enlargement of the
of the cup and pallor.
○ The rim narrows and the loss of tissue
leaves these vessels isolated and
“bared.”
Nasalization of vessels
● Normally the retinal vessels enter
the eye along the nasal border of
the disc and their branches run
along the margin of the disc and cup
and emerge somewhat temporally.
● With enlargement of the optic cup
the major vessels may show a
further nasal shift.
● Although this is not specific for
glaucoma.
Bayoneting of vessels
● With advancement of cupping, the
vessels emerge from the floor of the
cup and then ascend up the steep
wall of the cup under the
overhanging edge.
○ The vessels are not visible under the
overhanging edge.
● The vessels emerge again at the
disc margin and make a sharp bend
that can resemble a bayonet.
Bayonetting
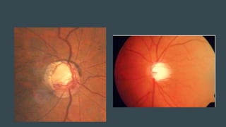
Disc Hemorrhages
● Disc hemorrhages are very rare in the normal population (between 0 to
0.21%).
○ So if there is one present, it’s very likely to be pathologic. They are a signs of local vascular
damage.
■ Can be splinter or dot/blot (splinter hemorrhages are more common). Inferotemporal
quadrant is the most common location.
○ A disc hemorrhage is a sign of progressive disease.
■ All glaucoma patients should have their optic nerves visualized at every visit to check for
disc hemorrhages.
■ A hemorrhage indicates an unfavorable prognosis and the need for more aggressive
therapy.
○ More common in NTG.
○ Remember to rule out other causes of hemorrhages: DM, anti-coagulants, etc.
Important Diagnostic Tests
● Important diagnostic tests include:
○ Pachymetry
○ Visual Fields
○ ONH and RNFL imaging
● CCT is very important because it affects IOP measurements.
○ Several studies have sought to quantify the relationship between measured IOP level and
CCT, but so far there is not one generally accepted correction formula.
○ All formulas are just estimations.
Visual Field Evaluation
● Automated static threshold perimetry with white on white testing is the
standard.
○ It’s the standard for both:
■ monitoring glaucoma patients
■ comparing other methods of visual field evaluation
● Testing strategies can be tailored to the patient.
○ Some patients with advanced disease may require 10-2 visual fields to adequately monitor for
progression.
● Frequency doubling technology (measures contrast sensitivity) and shortwave
automated perimetry (SWAP, uses a blue light on yellow background) are two
alternative methods of visual fields that may pick up glaucoma earlier.
Visual Fields
● There is a recent trend to perform more visual fields during the early follow up
period.
● Some experts are now aiming for at least 6 visual fields in the first 2 years.
● This is for two reasons:
○ To confirm visual field defects because VF’s are frequently unreliable
○ To identify the “rate of progression” or “rapid progressors.”
■ Just like pre-treatment IOP and family history, the rate of progression is becoming an
important part of the data we use to manage glaucoma patients.
RNFL Quantitative Imaging
● The two most commonly used imaging devices for glaucoma are:
○ CSLO, or Confocal Scanning Laser Ophthalmoscopy (aka HRT).
○ Spectral Domain OCT
● These imaging techniques can detect anatomical changes before visual field
loss develops.
● Disadvantages:
○ RNFL loss may reach a plateau in advanced disease.
○ Another disadvantage of these techniques is that they are based on comparisons to a
normative database, and therefore may not represent all patients.
○ It can also be difficult to to distinguish normal findings attributed to myopia and partial
colobomas from those of the glaucoma
Macular Ganglion Cell Analysis?
● OCT-RNFL analysis measures the circumpapillary RNFL (cpRNFL).
● However, glaucoma damages the ganglion cells throughout the retina.
● With advances in OCT, it is now possible to image retinal ganglion cells
directly, which are thickest in the macula.
○ As a result, macular GCA can now play a role in the diagnosis and monitoring of glaucoma.
● Studies have compared GCA to RNFL, and found them to roughly equivalent
in detecting glaucoma. Although using both together may be superior to
using only one.
● GCA may be superior for monitoring advanced stage glaucoma because it
does not plateau like the RNFL.
Management
● Glaucoma management is aimed at reducing IOP, the only known modifiable
risk factor at this time.
○ In some individuals, however, systemic factors such as uncontrolled systemic hypertension,
vasospasm, sleep apnea, and arrhythmias may play a minor or major part in the development
of glaucoma.
● The ultimate goal is to slow or stop structural and functional progression while
maintaining or enhancing overall quality of life.
● The effects of treatment, the patient’s quality of life, and the patient’s life
expectancy are to be considered in the decision-making process about
therapy.
Staging the Glaucoma
● There are numerous methods of staging glaucoma.
● Traditionally only IOP, C/D ratio, and visual fields were used in staging:
Glaucoma Staging
● Now the AAO recommends taking OCT finding into account when staging:
○ Mild: definite optic disc or RNFL abnormalities consistent with glaucoma and a normal visual
field as tested with standard automated perimetry (SAP).
○ Moderate: definite optic disc or RNFL abnormalities consistent with glaucoma, and visual field
abnormalities in one hemifield that are not within 5 degrees of fixation as tested with SAP.
○ Severe: definite optic disc or RNFL abnormalities consistent with glaucoma, and visual field
abnormalities in both hemifields and/or loss within 5 degrees of fixation in at least one
hemifield as tested with SAP.
○ Indeterminate: definite optic disc or RNFL abnormalities consistent with glaucoma, inability of
patient to perform visual field testing, unreliable/uninterpretable visual field test results, or
visual fields not performed yet.
Glaucoma Staging
● A newer method of staging and tracking glaucoma involves estimating a
count of the retinal ganglion cells (RGC).
● This method uses a combination of OCT data and Visual Field results to
estimate how many retinal ganglion cells an eye still has. The number is
often then converted into a percentage of RGC’s lost, which is referred to as
the CSFI (combined structure and function index).
● For example, patients with moderate glaucoma are often found to have an
CSFI of 40%, whereas patients with early stage glaucoma will have a CSFI of
15%.
○ Data has shown that CSFI is more accurate for tracking glaucoma and predicting progression
then either OCT or Visual fields alone.
Management: Determining Target IOP
● After staging the glaucoma, the next step is to determine a target IOP.
○ The target IOP is seen as a guesstimate that will stabilize glaucoma.
○ When initiating therapy, we assume that the measured pretreatment pressure range
contributed to optic nerve damage and is likely to cause additional damage in the future.
○ We can attempt to reduce the IOP by a specific percentage, or simply aim for an IOP below a
“threshold range.”
● There are many factors to consider when choosing a target pressure:
○ the stage of overall glaucoma damage
■ determined by the degree of structural optic nerve injury and/or functional visual field
loss
○ baseline IOP at which damage occurred
○ age of patient
○ additional factors: CCT, life expectancy, rate of progression, etc.
What is normal IOP?
● Hollows and Graham conducted a survey in the UK in 1966, where they found
the mean applanation IOP to be 15.9 mmHg in males and 16.6 mmHg in
females.
○ Two standard deviations above the mean, which is the 97.5th percentile, was calculated to be
21 mmHg and hence the commonly held belief is that an IOP >21 mmHg should be
considered as abnormal and that <21 mmHg as normal.
● Hollows and Graham themselves noted that >21 mmHg “should not be
construed as meaning clinical abnormality, as the distribution is skewed and
physiological variables need not necessarily follow a Gaussian distribution.”
○ It is therefore to be understood that the so-called cutoff of an IOP of 21 mmHg is not clinical or
evidence-based evidence of “normal,” but a statistical construct.
Target IOP: AAO’s recommendations
● The AAO endorses choosing a target IOP of 25% lower than the baseline
IOP. This has been shown to “slow” progression of POAG in “most” patients.
○ Choosing a lower target IOP can be justified if there is more severe optic nerve damage, if the
damage is progressing rapidly, or if other risk factors such as family history, age, or disc
hemorrhages are present.
○ Choosing a less aggressive target IOP may be reasonable if the risks of treatment outweigh
the benefits (e.g., if a patient does not tolerate medical or laser therapy well and surgical
intervention would be difficult or if the patient’s anticipated life expectancy is limited).
● It should be noted, however, that high-quality prospective data comparing
different target IOP levels are not currently available; as such, the trade-off
between risks and benefits associated with different thresholds is unclear.
Initial Target IOP: Other Perspectives
● Unfortunately, many studies have demonstrated glaucoma progression in
patients despite decreasing IOP by a significant percentage.
○ AGIS and CNTGS found progression in patients with IOP decreases of 30 to 40%. The
progression was certainly slower that it would have been at pre-treatment IOP, but it still
occurred.
● Recently many clinicians have been favoring choosing an initial target IOP
primarily based on “threshold values.”
○ The threshold values are determined by glaucoma severity and risk factors.
○ IOP max is taken into account, but is not the primary factor.
Target IOP
● The Canadian Ophthalmological
Society has more recently
endorsed initial target IOP
recommendations based both on
percentage and threshold.
○ a: with 30% or greater IOP reduction
○ b: with 30% to 35% IOP reduction
○ c: with 25% or greater IOP reduction
○ d: with 20% or greater IOP reduction
Target IOP
● There has been a trend toward aiming for lower initial target IOP’s.
● Recent longer term studies have demonstrated that many glaucoma patients
progress to blindness in one or both eyes.
● A recent study from Sweden found that on the last exam visit before a patient
died:
○ 38% of glaucoma patients were unilaterally blind.
○ One out of every six glaucoma patients were bilaterally blind!
● The AGIS study demonstrated that many glaucoma patients progress slowly
even at IOP’s in the mid teens. So while traditional IOP targets may keep a
patient seeing well for 20+ years, the patients may still eventually become
blind.
AGIS: Advanced Glaucoma Intervention Study
IOP: Diurnal Curve
● Glaucoma patients have larger IOP
fluctuations compared to normal
patients.
● So should all glaucoma patients have a target IOP of 12 to 13 mmHg?
○ No, AGIS only included patients that required surgery. It may not apply to all glaucoma
patients.
○ Furthermore, reaching an IOP of 12 to 13 often is not possible without significant
complications. Even with surgery it is not always possible.
● So what target IOP’s should you aim for?
○ All patients must be treated individually and followed closely with life expectancy and risk
factors considered. Target IOP’s should be reconsidered and possibly adjusted frequently.
○ The general trend has been to aim low though:
■ Early stage: mid-teens, with an upper limit of 17 to 18 mmHg.
■ Moderate stage: lower teens, with an upper limit of 15 mmHg.
■ Advanced stage: mean IOP of 12 mmHg, with upper limit of 14 mmHg.
Target IOP
Contemporary Pharmacological Management
● Unless contraindicated, topical eye drops remain the primary initial method of
lowering IOP.
● There are many effective classes, we don’t have time for a comprehensive
review of glaucoma medications today.
● Well discuss the preferred practice patterns of the “classic” glaucoma
medications, and then review two newer classes.
Classic Glaucoma Medications
Medical Management: PGA’s
● The prostaglandin analogs are generally the first choice for treating glaucoma
due to a great combination of effectiveness and tolerability.
○ Act by increasing uveoscleral outflow.
○ Minimize IOP fluctuations during a 24 hour period.
○ Very safe systemically, but do have ocular cosmetic side effects:
■ conjunctival hyperemia
■ elongation and darkening of eyelashes, and induced iris darkening
■ Prostaglandin-associated periorbitopathy (PAP):
● Periocular skin pigmentation and fat atrophy can result in a sunken looking
appearance
■ In younger patients, avoid PGA’s for monocular therapy. Either treat both eyes, or use a
different class.
Prostaglandin-associated Periorbitopathy (PAP):
● 71-year-old male who had a
trabeculectomy in the left eye
but used prostaglandin drops
for seven years in the right eye.
● 3+ prostaglandin-associated
periorbitopathy OD.
● Note the sunkenness of the eye
OD and appearance of the
surrounding tissues.
Prostaglandin-associated Periorbitopathy (PAP):
Medical Management: PGA’s
● Which PGA to use?
● Latanoprost, bimatoprost, tafluprost, and travoprost are all very similar in
effectiveness.
○ Bimatoprost has been shown to be slightly more effective, but there is some controversy in
regards to whether 0.01% is truly as effective as 0.03% (no longer available).
■ Regardless, the difference between bimatoprost and latanoprost is usually less than 1
mmHg.
○ Latanoprost has been reported to have less hyperemia and is available as a generic.
Medical Management: Beta blockers
● With over 40 years of clinical use, beta-blockers are a “tried and true”
glaucoma medication. They are the standard to which new drops are
compared.
● They decrease production of the aqueous humor.
● They are indicated for once or twice daily dosing.
● Historically they were contraindicated for use in patients with pulmonary or
cardiac disease. However there is evidence that beta-blockers are better
tolerated than we originally thought. They can potentially be used in many of
these patients provided there is careful monitoring and follow up.
Medical Management: Beta blockers
● There used to be a big concern about tachyphylaxis with beta-blockers back
in the 80’s and 90’s. But most long term studies have not shown
tachyphylaxis to be a major issue with beta-blockers.
● The dosing is a bit confusing. Due the rapid onset of action of beta-blockers,
it’s obvious that morning dosing is beneficial.
○ But do patients need a second dose at night given that at night time aqueous humor
production naturally decreases by 50%?
● Since timolol is a second line medication now and most patients taking it are
already on a PGA, we really don’t know if the night time dose is necessary.
○ To that end, a once per day dosing of timolol 0.25% was shown to be practically as effective
as 0.5% (the differences were not statistically significant).
Medical Management: Alpha-2 Agonists
● These medications primarily decrease IOP by reducing production of the
aqueous humor, but they also slightly increase uveoscleral outflow.
● Brimonidine is the most effective and commonly used medication of this
class.
● Usually brimonidine is dosed at twice daily.
● The main issue with brimonidine is the high rate of allergy.
○ Approximately 10-20% of patients discontinue brimonidine due to allergy.
Medical Management: CAI’s
● CAI’s are less potent than PGA’s, beta-blockers, and alpha-agonists. But
they can be useful as additional agents in combination with other drops.
● One of the major misconceptions about CAI’s is sulpha allergy.
● The immune components of the antibiotic sulfonamides are not present in the
non-antibiotic sulphonamides, including CAIs.
○ According to Strom et al., an association between previous hypersensitivity following the
administration of sulfonamide antibiotics and a subsequent allergic reaction after that of a
sulfonamide non-antibiotic is due to a predisposition to allergic reactions rather than to cross-
reactivity with sulfonamide-based groups.
Medical Management: New drugs
● 2018 was a big year for glaucoma drops! Two new classes of glaucoma
drops were introduced.
○ It’s been over 20 years (1996) since a new class of topical glaucoma medication was released.
● The two new classes are:
○ Nitric Oxide donating PGA’s: Latanoprostene bunod (Vyzulta)
○ ROCK-inhibitors: Netarsudil (Rhopressa)
○ Both new drugs classes are exciting because they work by increasing outflow of aqueous
humor via the conventional pathway; a different mechanism from currently used eye drops.
■ They accomplish this by inhibiting cytoskeletal activation in the trabecular meshwork,
thereby reducing cell stiffness and reducing focal adhesions.
■ As an adjunctive therapy, a different mechanism of action is very favorable.
Latanoprostene bunod (LBN)
● LBN is a single entity NO-donating
prostaglandin F2α analog.
● Following topical ocular
administration, LBN is rapidly
metabolized by esterases into
latanoprost acid and butanediol
mononitrate (BDMN), an NO-
donating moiety.
○ DMN is further metabolized to 1,4-
butanediol and the signaling molecule,
Nitric Oxide (NO).
Latanoprostene bunod (LBN)
● We are all familiar with
Latanoprost, and its action on
uveoscleral outflow.
● Nitric Oxide increase conventional
outflow via the trabecular
meshwork and schlemm’s canal.
Latanoprostene bunod (LBN)
● NO is critical mediator of smooth muscle relaxation and vasodilation in the
body.
○ Outside ophthalmology, nitrovasodilators are used in the treatment and prevention of angina
pectoris.
○ Systemic administration of nitroglycerin was found to result in IOP lowering in patients with
POAG.
○ Since then, studies have confirmed these nitrovasodilators lower IOP and further
demonstrated that this is through an increase in conventional AH outflow.
● Studies (both in vitro and ex vivo) suggest that NO-donors lower IOP by
relaxing the tissues of the conventional outflow pathway.
Latanoprostene bunod (LBN)
● Interestingly, endogenous NO has
been shown to regulate physiological
IOP.
● POAG patients have been found to
have:
○ decreased NO synthase activity in the TM,
Schlemm’s canal and ciliary muscle
○ decreased NO metabolites levels in the AH
● This suggest that reduced NO
production may contributes to the IOP
increase in POAG patients.
Latanoprostene bunod (LBN): Effectiveness
● The VOYAGER study compared
four different concentrations of LBN
to latanoprost 0.005%.
○ The most effective concentration of LBN
was 0.024%, and that is now available
as Vyzulta.
● The difference in reduction of mean
diurnal IOP between LBN 0.024%
and latanoprost 0.005% at Day 28
was 1.23 mmHg (and was
statistically significant).
Latanoprostene bunod (LBN): Safety
● So far the side effect profile of LBN appears to be very similar to that of
latanoprost.
● The NO has not been significantly associated with any systemic side effects.
● The most common adverse effect is hyperemia.
● Irritation and dry eye were also noted, but those side effects are not unique to
LBN.
● Discontinuation due to adverse effects is rare.
● That said, LBN is still very new. We may discover more side effects over
time.
ROCK-Inhibitors
● ROCK-inhibitors, like nitric oxide, work
primarily by enhancing trabecular
meshwork outflow.
● They also may decrease IOP through two
other secondary mechanisms:
○ First is the inhibition of the norepinephrine
transporter system, which leads to decreased
production AH (minimal effect though).
○ Second is the lowering of episcleral venous
pressure (by approx 9%). This is a component of
IOP that not addressed by other medications, and
which might be key in treating NTG.
ROCK-Inhibitors
● Morphology of the trabecular
meshwork in human donor eyes.
● The top image is a control.
● The bottom image is a donor eye
treated with netarsudil solution.
ROCK-Inhibitors
● In terms of efficacy, they seem to work better for patients with lower pre-
treatment IOP.
○ A trial in 2015 (by Bacharach et al) found netarsudil to be inferior to latanoprost by
approximately 1 mmHg. However, at pressures of 26 mmHg or lower, netarsudil was non-
inferior to latanoprost.
○ The most well known trials for netarsudil are the ROCKET series of studies, that compared
netarsudil to timolol.
■ Overall, the ROCKET studies found that netarsudil was comparable to timolol in
effectiveness. However, it was slightly less effective than timolol for patients with higher
baseline IOP (over 24), but non-inferior and possibly slightly more effective at lower
baseline IOP’s (24 and lower).
ROCK-Inhibitors: Safety
● ROCK-Inhibitors have minimal systemic side effects.
● From a topical perspective, the most common side effect is hyperemia.
○ This was reported in 53% of individuals using netarsudil, but 20% had hyperemia at baseline.
○ 80% of cases of hyperemia are mild and intermittent.
○ However, a not insignificant number of patients end up stopping netarsudil due to hyperemia.
● Netarsudil also has two new side effects not seen in other glaucoma drops:
○ SCH
■ These are small pinpoint SCH’s that were usually not noticed by patients.
○ Verticillata:
■ These are not the same as verticillata seen with with amiodarone.
■ They are pigmented and more superficial. So far they don’t seem visually significant and
resolve upon stopping netarsudil.
Rocklatan: Latanoprost/Netarsudil
● Netarsudil is now available in fixed combination with latanopost.
● Rocklatan was compared to latanoprost in the MERCURY 1 and 2 RCT’s.
● Rocklatan was found to be superior to latanoprost at all time points in terms of
IOP control.
○ Rocklatan decreased IOP from 1.5 to 2.4 mmHg more than latanoprost.
○ This difference led to 3x as many patients reaching an IOP of 14 or lower.
● Once again, hyperemia is the major side effect.
○ The MERCURY study reported that hyperemia was mild. But my clinical experience netarsudil
does not reflect that the clinical trial. Red eye can be a major issue that prevents patients from
tolerating netarsudil.
○ It’s important to warn patients that half of them will get hyperemia BEFORE starting either
Rocklatan or Rhopressa.
New Meds: Dosing and Clinical Use
● LBN, netarsudil, and Rocklatan are all dosed QD, usually in the evening due
to hyperemia.
● First line or Adjunct?
○ If money were no object, LBN would have a strong case for being a first line agent. It’s
stronger than PGA’s without a significant increase in side effects.
○ Rhopressa and Rocklatan are excellent adjunct agents. But once again cost is an issue,
especially with availability of generic timolol and brimonidine.
○ Rocklatan may be a good choice to try second line if a PGA does not reach the IOP target.
○ Rhopressa is an excellent choice for patients who need to avoid systemic side effects, or
perhaps patients who either have low IOP’s, or failed to respond adequately to timolol or
brimonidine.
Medical Management: Pregnancy
Medical Management: Pregnancy
● Data on the risks of glaucoma drops during pregnancy is limited.
● Brimonidine has a pregnancy B category.
● Netarsudil and LBN are unassigned.
● All others are category C.
● Beta-blockers are often used during pregnancy because while they may be
category C, they have also been used frequently for 40 years the long term
experience has not demonstrated any risks.
● In general, most ophthalmologists try to avoid PGA’s during pregnancy
because of a theoretical risk of premature labor.
○ A small 11 patient case series revealed no adverse effects.
Medical Management: Breastfeeding
● PGA’s are considered safe for breastfeeding mothers.
● Brimonidine is NOT recommended for breastfeeding mothers because it can
cross the blood brain barrier and cause apnea.
● Timolol and CAI’s can both be detected in breast milk.
○ The data regarding timolol is controversial as to whether it poses a risk to the infant.
○ CAI’s, both topical and oral, are approved by the American Academy of Pediatrics for
breastfeeding mothers. Although newborn infants should be monitored when using oral CAI’s.
● The concept of maximum tolerated medical therapy (MTMT) in glaucoma can
be defined as the achievement of the greatest possible IOP reduction with
largest number of medications that the patient can tolerate and is willing to be
compliant in administering regularly.
○ At this point you could attempt to improve patient compliance with fixed-dose combination
medications.
○ Laser Trabeculoplasty: SLT or ALT.
○ MIGS, preferably in combination with cataract surgery.
○ Surgery: usually a trabeculectomy or tube shunt.
When MTMT is insufficient?
Laser Trabeculoplasty
● SLT and ALT work
by aiming a laser at
the trabecular
meshwork to
photocoagulate and
stretch it, thereby
increasing outflow.
Laser Trabeculoplasty
● SLT is commonly performed. It’s considered safe and about as effective as a
PGA. Although here are a few complications:
○ Mild uveitis
○ Scattered PAS (more common in ALT than SLT)
○ Transient IOP spikes
● The main drawback is that the results are temporary, usually lasting only 1 to
5 years.
● SLT actually works best as first or second line agent. Once a patient is
already on MTMT, the law of diminishing returns seems to apply to SLT the
same way it applies to adding additional eye drops.
Conclusions
● Management of glaucoma in daily practice is undergoing significant changes
in both diagnostic and treatment perspectives.
○ This shift is resulting in earlier and more precise diagnosis that can lead to more effective
treatments.
○ When selecting the appropriate therapeutic targets, it is imperative to keep in mind individual
patient characteristics and adapt the treatment according to the needs and preferences of
patients and their care partners.
■ This is of particular importance in patients with evidence of progressive disease where
more aggressive therapeutic approaches and frequent therapy adjustment are required
until the targeted (usually lower) IOP range is reached.
○ Frequent assessment and follow-up and ongoing physician-patient dialogue are key to
ensuring that the patient remains adherent to the prescribed therapy and that therapeutic goals
are met.
Questions?

Glaucoma: Preferred Practice Patterns

  • 1.
  • 2.
    Outline ● First wewill review the AAO’s preferred practice patterns for open angle glaucoma. ● We will also discuss the Canadian glaucoma guidelines for medical management of glaucoma. ● Two newer classes of glaucoma eye drops will also be discussed.
  • 3.
    Glaucoma: Disease Definition ●Primary open-angle glaucoma (POAG) is a chronic, progressive optic neuropathy in adults in which there is a characteristic acquired atrophy of the optic nerve and loss of retinal ganglion cells and their axons. ● This condition is associated with an open anterior chamber angle by gonioscopy
  • 4.
    Glaucoma Clinical Objectives ●Document the status of optic nerve structure and function on presentation ● Estimate an IOP below which further optic nerve damage is unlikely to occur. ● Attempt to maintain IOP at or below this target level by initiating appropriate medical and/or surgical intervention. ● Monitor the structure and function of the optic nerve for further damage and adjust the target IOP to a lower level if deterioration occurs. ● Minimize the side effects of treatment and their impact on the patient’s vision, general health, and quality of life. ● Educate and involve the patient and appropriate family members/caregivers in the management of the disease.
  • 5.
    Prevalence ● Glaucoma isthe second leading cause of blindness worldwide. ● In the US, it is estimated that almost 2% of adults over the age of 40 have glaucoma (from the Eye Disease Prevalence Research group in 2004). ● Glaucoma is relatively common in all races, but is most common in African Americans and Afro-Caribbeans.
  • 7.
    Risk Factors ● Numerousstudies have identified risk factors for POAG ● Elevated IOP is the primary risk factor ● Older Age, family history, race/ethnicity, CCT, Low ocular perfusion pressure, DM type 2, and myopia are also important risk factors. ● Other less important risk factors include: ○ Migraines ○ Peripheral vasospasm ○ HTN (controversial) ○ Low CSF/ICP pressure
  • 8.
    Risk Factors: FamilyHistory ● In the Rotterdam Eye Study, in which all siblings of glaucoma cases and controls were examined, the odds of having POAG were 9.2-fold higher for individuals who have a first-degree relative (sibling or parent) with confirmed POAG. ● Other studies have not demonstrated as high as a risk, but in most other studies the family members were not physically examined. Therefore the data depends on patient reports of the status of family members, and these are known to be subject to several biases. ● The Los Angeles Latino Eye Study (LALES) demonstrated a two to three fold increased risk for those with a first degree family member with glaucoma.
  • 9.
    Risk Factors: CentralCorneal Thickness ● In addition to causing underestimation of IOP, a thinner central cornea has also been reported as an independent risk factor (some controversy). ○ In LALES, the risk of having POAG was higher in persons with thinner CCT compared with those with normal or thicker CCT even after adjusting the IOP. ● Corneal biomechanical properties such as hysteresis may also have an impact on IOP measurement and glaucoma risk. ○ In particular, in eyes with a thin CCT following refractive surgery, IOP may be significantly underestimated by Goldmann applanation tonometry.
  • 11.
    Risk Factors: LowOcular Perfusion Pressure ● Ocular perfusion pressure is the difference between blood pressure (at systole or diastole) and the IOP. ● It has been hypothesized that low ocular perfusion pressures lead to alterations in blood flow at the optic nerve head (ONH) and contribute to progressive glaucomatous optic nerve damage. ○ Population based studies have demonstrated that low diastolic perfusion pressure (<50 mmHg) is associated with a higher prevalence of POAG. ○ The Early Manifest Glaucoma Treatment Study demonstrated a high risk of glaucoma progression with low systolic perfusion pressure (<125 mmHg).
  • 12.
    Risk Factors: LowOcular Perfusion Pressure ● More recent data suggest that nocturnal mean arterial pressure 10 mmHg lower than daytime mean arterial pressure may predict progression of normal- tension glaucoma and increased risk of visual field loss. ● Recent evidence suggests that low diastolic perfusion pressure is associated with increased risk for glaucoma only in patients taking treatment for systemic hypertension. ○ However, statistical analysis is unable to determine whether perfusion pressure is associated with glaucoma because of its individual components (systolic blood pressure, diastolic blood pressure, or IOP), a combination of these components, or an interaction between these components. ○ Further research is needed.
  • 13.
    Risk Factors: Type2 Diabetes ● While there is some conflicting data, several population studies have demonstrated a 40% or higher increased risk of glaucoma in persons with type 2 DM. ● In LALES, a longer duration of DM type 2 was associated with a higher risk of glaucoma. ● One explanation for this observation is that microvascular changes in the optic nerve may contribute to the greater susceptibility of optic nerve damage in persons with type 2 diabetes mellitus.
  • 14.
    Risk Factors: Myopia ●A longer axial length is an independent risk factor for POAG. ● The underlying hypothesis is that individuals with axial myopia have weaker scleral support at the optic nerve. This may contribute to a greater susceptibility of the optic nerve to glaucomatous damage.
  • 15.
    Care Process: Diagnosisand Staging ● Diagnosis begins with a comprehensive eye exam. ● Often more than one visit is required to confirm the diagnosis. ● Patients often return for further evaluation to have: ■ repeat IOP measurements ■ Gonioscopy ■ Pachymetry ■ visual fields ■ RNFL evaluation/documentation
  • 16.
    Care Process: History ●A thorough history is essential: ○ Trauma? ○ Surgery? ■ Especially refractive? ○ Family history ■ Severity and outcomes ○ Systemic history ■ Asthma, steroids, DM, heart disease, etc.
  • 17.
    Care Process: Examination ●The ophthalmic evaluation focuses specifically on the following elements in the comprehensive adult medical eye evaluation: ○ Visual acuity measurement ○ Pupil examination ○ Anterior segment examination ■ Must eval for secondary causes of glaucoma ○ IOP measurement ○ Gonioscopy ○ ONH and RNFL examination ○ Fundus examination
  • 18.
    Gonioscopy ● Must performgonioscopy to exclude alternative types of glaucoma such as angle closure, angle recession, PDS, etc. ● Gonioscopy can be challenging in many patients. ● A useful technique for examining the angle in an eye with a narrow anterior chamber is to have the patient look towards the mirror of the gonio prism into which the examiner is looking.
  • 19.
  • 20.
    Optic Nerve Examination ●Physical features that may indicate glaucomatous optic neuropathy include the following: ○ Vertical elongation of the optic cup with associated decrease in neuroretinal rim width ○ Excavation of the cup ○ Thinning of the RNFL ○ Notching of the neuroretinal rim ○ Thinning of the inferior and/or superior neuroretinal rim ○ Disc hemorrhage ○ Large extent of parapapillary atrophy ○ Nasalization of central ONH vessels ○ Baring of the circumlinear vessels
  • 21.
    Optic Nerve Evaluation ●Normally, the neuroretinal rim of the optic nerve is widest inferiorly and narrowest temporally. ● The abbreviated corollary for this anatomic feature is called the ISNT rule: ○ it is widest at the inferior rim, followed by the superior rim, followed by the nasal rim, and lastly by the temporal rim. ● In approximately 80% of patients glaucomatous cupping does not follow this rule where both the inferior and superior rims are thinned.
  • 22.
    Baring of circumlinearvessels ● Circumlinear vessels are small branches arising from the retinal vessels. ○ Only visible in 50% of normal eyes. ○ These vessels follow are curvilinear path and run along the superior and inferior margins of the optic cup. ○ Baring occurs with enlargement of the of the cup and pallor. ○ The rim narrows and the loss of tissue leaves these vessels isolated and “bared.”
  • 23.
    Nasalization of vessels ●Normally the retinal vessels enter the eye along the nasal border of the disc and their branches run along the margin of the disc and cup and emerge somewhat temporally. ● With enlargement of the optic cup the major vessels may show a further nasal shift. ● Although this is not specific for glaucoma.
  • 24.
    Bayoneting of vessels ●With advancement of cupping, the vessels emerge from the floor of the cup and then ascend up the steep wall of the cup under the overhanging edge. ○ The vessels are not visible under the overhanging edge. ● The vessels emerge again at the disc margin and make a sharp bend that can resemble a bayonet.
  • 25.
  • 26.
    Disc Hemorrhages ● Dischemorrhages are very rare in the normal population (between 0 to 0.21%). ○ So if there is one present, it’s very likely to be pathologic. They are a signs of local vascular damage. ■ Can be splinter or dot/blot (splinter hemorrhages are more common). Inferotemporal quadrant is the most common location. ○ A disc hemorrhage is a sign of progressive disease. ■ All glaucoma patients should have their optic nerves visualized at every visit to check for disc hemorrhages. ■ A hemorrhage indicates an unfavorable prognosis and the need for more aggressive therapy. ○ More common in NTG. ○ Remember to rule out other causes of hemorrhages: DM, anti-coagulants, etc.
  • 28.
    Important Diagnostic Tests ●Important diagnostic tests include: ○ Pachymetry ○ Visual Fields ○ ONH and RNFL imaging ● CCT is very important because it affects IOP measurements. ○ Several studies have sought to quantify the relationship between measured IOP level and CCT, but so far there is not one generally accepted correction formula. ○ All formulas are just estimations.
  • 29.
    Visual Field Evaluation ●Automated static threshold perimetry with white on white testing is the standard. ○ It’s the standard for both: ■ monitoring glaucoma patients ■ comparing other methods of visual field evaluation ● Testing strategies can be tailored to the patient. ○ Some patients with advanced disease may require 10-2 visual fields to adequately monitor for progression. ● Frequency doubling technology (measures contrast sensitivity) and shortwave automated perimetry (SWAP, uses a blue light on yellow background) are two alternative methods of visual fields that may pick up glaucoma earlier.
  • 30.
    Visual Fields ● Thereis a recent trend to perform more visual fields during the early follow up period. ● Some experts are now aiming for at least 6 visual fields in the first 2 years. ● This is for two reasons: ○ To confirm visual field defects because VF’s are frequently unreliable ○ To identify the “rate of progression” or “rapid progressors.” ■ Just like pre-treatment IOP and family history, the rate of progression is becoming an important part of the data we use to manage glaucoma patients.
  • 31.
    RNFL Quantitative Imaging ●The two most commonly used imaging devices for glaucoma are: ○ CSLO, or Confocal Scanning Laser Ophthalmoscopy (aka HRT). ○ Spectral Domain OCT ● These imaging techniques can detect anatomical changes before visual field loss develops. ● Disadvantages: ○ RNFL loss may reach a plateau in advanced disease. ○ Another disadvantage of these techniques is that they are based on comparisons to a normative database, and therefore may not represent all patients. ○ It can also be difficult to to distinguish normal findings attributed to myopia and partial colobomas from those of the glaucoma
  • 32.
    Macular Ganglion CellAnalysis? ● OCT-RNFL analysis measures the circumpapillary RNFL (cpRNFL). ● However, glaucoma damages the ganglion cells throughout the retina. ● With advances in OCT, it is now possible to image retinal ganglion cells directly, which are thickest in the macula. ○ As a result, macular GCA can now play a role in the diagnosis and monitoring of glaucoma. ● Studies have compared GCA to RNFL, and found them to roughly equivalent in detecting glaucoma. Although using both together may be superior to using only one. ● GCA may be superior for monitoring advanced stage glaucoma because it does not plateau like the RNFL.
  • 33.
    Management ● Glaucoma managementis aimed at reducing IOP, the only known modifiable risk factor at this time. ○ In some individuals, however, systemic factors such as uncontrolled systemic hypertension, vasospasm, sleep apnea, and arrhythmias may play a minor or major part in the development of glaucoma. ● The ultimate goal is to slow or stop structural and functional progression while maintaining or enhancing overall quality of life. ● The effects of treatment, the patient’s quality of life, and the patient’s life expectancy are to be considered in the decision-making process about therapy.
  • 34.
    Staging the Glaucoma ●There are numerous methods of staging glaucoma. ● Traditionally only IOP, C/D ratio, and visual fields were used in staging:
  • 35.
    Glaucoma Staging ● Nowthe AAO recommends taking OCT finding into account when staging: ○ Mild: definite optic disc or RNFL abnormalities consistent with glaucoma and a normal visual field as tested with standard automated perimetry (SAP). ○ Moderate: definite optic disc or RNFL abnormalities consistent with glaucoma, and visual field abnormalities in one hemifield that are not within 5 degrees of fixation as tested with SAP. ○ Severe: definite optic disc or RNFL abnormalities consistent with glaucoma, and visual field abnormalities in both hemifields and/or loss within 5 degrees of fixation in at least one hemifield as tested with SAP. ○ Indeterminate: definite optic disc or RNFL abnormalities consistent with glaucoma, inability of patient to perform visual field testing, unreliable/uninterpretable visual field test results, or visual fields not performed yet.
  • 36.
    Glaucoma Staging ● Anewer method of staging and tracking glaucoma involves estimating a count of the retinal ganglion cells (RGC). ● This method uses a combination of OCT data and Visual Field results to estimate how many retinal ganglion cells an eye still has. The number is often then converted into a percentage of RGC’s lost, which is referred to as the CSFI (combined structure and function index). ● For example, patients with moderate glaucoma are often found to have an CSFI of 40%, whereas patients with early stage glaucoma will have a CSFI of 15%. ○ Data has shown that CSFI is more accurate for tracking glaucoma and predicting progression then either OCT or Visual fields alone.
  • 37.
    Management: Determining TargetIOP ● After staging the glaucoma, the next step is to determine a target IOP. ○ The target IOP is seen as a guesstimate that will stabilize glaucoma. ○ When initiating therapy, we assume that the measured pretreatment pressure range contributed to optic nerve damage and is likely to cause additional damage in the future. ○ We can attempt to reduce the IOP by a specific percentage, or simply aim for an IOP below a “threshold range.” ● There are many factors to consider when choosing a target pressure: ○ the stage of overall glaucoma damage ■ determined by the degree of structural optic nerve injury and/or functional visual field loss ○ baseline IOP at which damage occurred ○ age of patient ○ additional factors: CCT, life expectancy, rate of progression, etc.
  • 38.
    What is normalIOP? ● Hollows and Graham conducted a survey in the UK in 1966, where they found the mean applanation IOP to be 15.9 mmHg in males and 16.6 mmHg in females. ○ Two standard deviations above the mean, which is the 97.5th percentile, was calculated to be 21 mmHg and hence the commonly held belief is that an IOP >21 mmHg should be considered as abnormal and that <21 mmHg as normal. ● Hollows and Graham themselves noted that >21 mmHg “should not be construed as meaning clinical abnormality, as the distribution is skewed and physiological variables need not necessarily follow a Gaussian distribution.” ○ It is therefore to be understood that the so-called cutoff of an IOP of 21 mmHg is not clinical or evidence-based evidence of “normal,” but a statistical construct.
  • 39.
    Target IOP: AAO’srecommendations ● The AAO endorses choosing a target IOP of 25% lower than the baseline IOP. This has been shown to “slow” progression of POAG in “most” patients. ○ Choosing a lower target IOP can be justified if there is more severe optic nerve damage, if the damage is progressing rapidly, or if other risk factors such as family history, age, or disc hemorrhages are present. ○ Choosing a less aggressive target IOP may be reasonable if the risks of treatment outweigh the benefits (e.g., if a patient does not tolerate medical or laser therapy well and surgical intervention would be difficult or if the patient’s anticipated life expectancy is limited). ● It should be noted, however, that high-quality prospective data comparing different target IOP levels are not currently available; as such, the trade-off between risks and benefits associated with different thresholds is unclear.
  • 40.
    Initial Target IOP:Other Perspectives ● Unfortunately, many studies have demonstrated glaucoma progression in patients despite decreasing IOP by a significant percentage. ○ AGIS and CNTGS found progression in patients with IOP decreases of 30 to 40%. The progression was certainly slower that it would have been at pre-treatment IOP, but it still occurred. ● Recently many clinicians have been favoring choosing an initial target IOP primarily based on “threshold values.” ○ The threshold values are determined by glaucoma severity and risk factors. ○ IOP max is taken into account, but is not the primary factor.
  • 41.
    Target IOP ● TheCanadian Ophthalmological Society has more recently endorsed initial target IOP recommendations based both on percentage and threshold. ○ a: with 30% or greater IOP reduction ○ b: with 30% to 35% IOP reduction ○ c: with 25% or greater IOP reduction ○ d: with 20% or greater IOP reduction
  • 42.
    Target IOP ● Therehas been a trend toward aiming for lower initial target IOP’s. ● Recent longer term studies have demonstrated that many glaucoma patients progress to blindness in one or both eyes. ● A recent study from Sweden found that on the last exam visit before a patient died: ○ 38% of glaucoma patients were unilaterally blind. ○ One out of every six glaucoma patients were bilaterally blind! ● The AGIS study demonstrated that many glaucoma patients progress slowly even at IOP’s in the mid teens. So while traditional IOP targets may keep a patient seeing well for 20+ years, the patients may still eventually become blind.
  • 43.
    AGIS: Advanced GlaucomaIntervention Study
  • 44.
    IOP: Diurnal Curve ●Glaucoma patients have larger IOP fluctuations compared to normal patients.
  • 45.
    ● So shouldall glaucoma patients have a target IOP of 12 to 13 mmHg? ○ No, AGIS only included patients that required surgery. It may not apply to all glaucoma patients. ○ Furthermore, reaching an IOP of 12 to 13 often is not possible without significant complications. Even with surgery it is not always possible. ● So what target IOP’s should you aim for? ○ All patients must be treated individually and followed closely with life expectancy and risk factors considered. Target IOP’s should be reconsidered and possibly adjusted frequently. ○ The general trend has been to aim low though: ■ Early stage: mid-teens, with an upper limit of 17 to 18 mmHg. ■ Moderate stage: lower teens, with an upper limit of 15 mmHg. ■ Advanced stage: mean IOP of 12 mmHg, with upper limit of 14 mmHg. Target IOP
  • 46.
    Contemporary Pharmacological Management ●Unless contraindicated, topical eye drops remain the primary initial method of lowering IOP. ● There are many effective classes, we don’t have time for a comprehensive review of glaucoma medications today. ● Well discuss the preferred practice patterns of the “classic” glaucoma medications, and then review two newer classes.
  • 47.
  • 48.
    Medical Management: PGA’s ●The prostaglandin analogs are generally the first choice for treating glaucoma due to a great combination of effectiveness and tolerability. ○ Act by increasing uveoscleral outflow. ○ Minimize IOP fluctuations during a 24 hour period. ○ Very safe systemically, but do have ocular cosmetic side effects: ■ conjunctival hyperemia ■ elongation and darkening of eyelashes, and induced iris darkening ■ Prostaglandin-associated periorbitopathy (PAP): ● Periocular skin pigmentation and fat atrophy can result in a sunken looking appearance ■ In younger patients, avoid PGA’s for monocular therapy. Either treat both eyes, or use a different class.
  • 49.
    Prostaglandin-associated Periorbitopathy (PAP): ●71-year-old male who had a trabeculectomy in the left eye but used prostaglandin drops for seven years in the right eye. ● 3+ prostaglandin-associated periorbitopathy OD. ● Note the sunkenness of the eye OD and appearance of the surrounding tissues.
  • 50.
  • 51.
    Medical Management: PGA’s ●Which PGA to use? ● Latanoprost, bimatoprost, tafluprost, and travoprost are all very similar in effectiveness. ○ Bimatoprost has been shown to be slightly more effective, but there is some controversy in regards to whether 0.01% is truly as effective as 0.03% (no longer available). ■ Regardless, the difference between bimatoprost and latanoprost is usually less than 1 mmHg. ○ Latanoprost has been reported to have less hyperemia and is available as a generic.
  • 52.
    Medical Management: Betablockers ● With over 40 years of clinical use, beta-blockers are a “tried and true” glaucoma medication. They are the standard to which new drops are compared. ● They decrease production of the aqueous humor. ● They are indicated for once or twice daily dosing. ● Historically they were contraindicated for use in patients with pulmonary or cardiac disease. However there is evidence that beta-blockers are better tolerated than we originally thought. They can potentially be used in many of these patients provided there is careful monitoring and follow up.
  • 53.
    Medical Management: Betablockers ● There used to be a big concern about tachyphylaxis with beta-blockers back in the 80’s and 90’s. But most long term studies have not shown tachyphylaxis to be a major issue with beta-blockers. ● The dosing is a bit confusing. Due the rapid onset of action of beta-blockers, it’s obvious that morning dosing is beneficial. ○ But do patients need a second dose at night given that at night time aqueous humor production naturally decreases by 50%? ● Since timolol is a second line medication now and most patients taking it are already on a PGA, we really don’t know if the night time dose is necessary. ○ To that end, a once per day dosing of timolol 0.25% was shown to be practically as effective as 0.5% (the differences were not statistically significant).
  • 54.
    Medical Management: Alpha-2Agonists ● These medications primarily decrease IOP by reducing production of the aqueous humor, but they also slightly increase uveoscleral outflow. ● Brimonidine is the most effective and commonly used medication of this class. ● Usually brimonidine is dosed at twice daily. ● The main issue with brimonidine is the high rate of allergy. ○ Approximately 10-20% of patients discontinue brimonidine due to allergy.
  • 55.
    Medical Management: CAI’s ●CAI’s are less potent than PGA’s, beta-blockers, and alpha-agonists. But they can be useful as additional agents in combination with other drops. ● One of the major misconceptions about CAI’s is sulpha allergy. ● The immune components of the antibiotic sulfonamides are not present in the non-antibiotic sulphonamides, including CAIs. ○ According to Strom et al., an association between previous hypersensitivity following the administration of sulfonamide antibiotics and a subsequent allergic reaction after that of a sulfonamide non-antibiotic is due to a predisposition to allergic reactions rather than to cross- reactivity with sulfonamide-based groups.
  • 56.
    Medical Management: Newdrugs ● 2018 was a big year for glaucoma drops! Two new classes of glaucoma drops were introduced. ○ It’s been over 20 years (1996) since a new class of topical glaucoma medication was released. ● The two new classes are: ○ Nitric Oxide donating PGA’s: Latanoprostene bunod (Vyzulta) ○ ROCK-inhibitors: Netarsudil (Rhopressa) ○ Both new drugs classes are exciting because they work by increasing outflow of aqueous humor via the conventional pathway; a different mechanism from currently used eye drops. ■ They accomplish this by inhibiting cytoskeletal activation in the trabecular meshwork, thereby reducing cell stiffness and reducing focal adhesions. ■ As an adjunctive therapy, a different mechanism of action is very favorable.
  • 59.
    Latanoprostene bunod (LBN) ●LBN is a single entity NO-donating prostaglandin F2α analog. ● Following topical ocular administration, LBN is rapidly metabolized by esterases into latanoprost acid and butanediol mononitrate (BDMN), an NO- donating moiety. ○ DMN is further metabolized to 1,4- butanediol and the signaling molecule, Nitric Oxide (NO).
  • 60.
    Latanoprostene bunod (LBN) ●We are all familiar with Latanoprost, and its action on uveoscleral outflow. ● Nitric Oxide increase conventional outflow via the trabecular meshwork and schlemm’s canal.
  • 61.
    Latanoprostene bunod (LBN) ●NO is critical mediator of smooth muscle relaxation and vasodilation in the body. ○ Outside ophthalmology, nitrovasodilators are used in the treatment and prevention of angina pectoris. ○ Systemic administration of nitroglycerin was found to result in IOP lowering in patients with POAG. ○ Since then, studies have confirmed these nitrovasodilators lower IOP and further demonstrated that this is through an increase in conventional AH outflow. ● Studies (both in vitro and ex vivo) suggest that NO-donors lower IOP by relaxing the tissues of the conventional outflow pathway.
  • 62.
    Latanoprostene bunod (LBN) ●Interestingly, endogenous NO has been shown to regulate physiological IOP. ● POAG patients have been found to have: ○ decreased NO synthase activity in the TM, Schlemm’s canal and ciliary muscle ○ decreased NO metabolites levels in the AH ● This suggest that reduced NO production may contributes to the IOP increase in POAG patients.
  • 63.
    Latanoprostene bunod (LBN):Effectiveness ● The VOYAGER study compared four different concentrations of LBN to latanoprost 0.005%. ○ The most effective concentration of LBN was 0.024%, and that is now available as Vyzulta. ● The difference in reduction of mean diurnal IOP between LBN 0.024% and latanoprost 0.005% at Day 28 was 1.23 mmHg (and was statistically significant).
  • 64.
    Latanoprostene bunod (LBN):Safety ● So far the side effect profile of LBN appears to be very similar to that of latanoprost. ● The NO has not been significantly associated with any systemic side effects. ● The most common adverse effect is hyperemia. ● Irritation and dry eye were also noted, but those side effects are not unique to LBN. ● Discontinuation due to adverse effects is rare. ● That said, LBN is still very new. We may discover more side effects over time.
  • 65.
    ROCK-Inhibitors ● ROCK-inhibitors, likenitric oxide, work primarily by enhancing trabecular meshwork outflow. ● They also may decrease IOP through two other secondary mechanisms: ○ First is the inhibition of the norepinephrine transporter system, which leads to decreased production AH (minimal effect though). ○ Second is the lowering of episcleral venous pressure (by approx 9%). This is a component of IOP that not addressed by other medications, and which might be key in treating NTG.
  • 66.
    ROCK-Inhibitors ● Morphology ofthe trabecular meshwork in human donor eyes. ● The top image is a control. ● The bottom image is a donor eye treated with netarsudil solution.
  • 67.
    ROCK-Inhibitors ● In termsof efficacy, they seem to work better for patients with lower pre- treatment IOP. ○ A trial in 2015 (by Bacharach et al) found netarsudil to be inferior to latanoprost by approximately 1 mmHg. However, at pressures of 26 mmHg or lower, netarsudil was non- inferior to latanoprost. ○ The most well known trials for netarsudil are the ROCKET series of studies, that compared netarsudil to timolol. ■ Overall, the ROCKET studies found that netarsudil was comparable to timolol in effectiveness. However, it was slightly less effective than timolol for patients with higher baseline IOP (over 24), but non-inferior and possibly slightly more effective at lower baseline IOP’s (24 and lower).
  • 68.
    ROCK-Inhibitors: Safety ● ROCK-Inhibitorshave minimal systemic side effects. ● From a topical perspective, the most common side effect is hyperemia. ○ This was reported in 53% of individuals using netarsudil, but 20% had hyperemia at baseline. ○ 80% of cases of hyperemia are mild and intermittent. ○ However, a not insignificant number of patients end up stopping netarsudil due to hyperemia. ● Netarsudil also has two new side effects not seen in other glaucoma drops: ○ SCH ■ These are small pinpoint SCH’s that were usually not noticed by patients. ○ Verticillata: ■ These are not the same as verticillata seen with with amiodarone. ■ They are pigmented and more superficial. So far they don’t seem visually significant and resolve upon stopping netarsudil.
  • 69.
    Rocklatan: Latanoprost/Netarsudil ● Netarsudilis now available in fixed combination with latanopost. ● Rocklatan was compared to latanoprost in the MERCURY 1 and 2 RCT’s. ● Rocklatan was found to be superior to latanoprost at all time points in terms of IOP control. ○ Rocklatan decreased IOP from 1.5 to 2.4 mmHg more than latanoprost. ○ This difference led to 3x as many patients reaching an IOP of 14 or lower. ● Once again, hyperemia is the major side effect. ○ The MERCURY study reported that hyperemia was mild. But my clinical experience netarsudil does not reflect that the clinical trial. Red eye can be a major issue that prevents patients from tolerating netarsudil. ○ It’s important to warn patients that half of them will get hyperemia BEFORE starting either Rocklatan or Rhopressa.
  • 70.
    New Meds: Dosingand Clinical Use ● LBN, netarsudil, and Rocklatan are all dosed QD, usually in the evening due to hyperemia. ● First line or Adjunct? ○ If money were no object, LBN would have a strong case for being a first line agent. It’s stronger than PGA’s without a significant increase in side effects. ○ Rhopressa and Rocklatan are excellent adjunct agents. But once again cost is an issue, especially with availability of generic timolol and brimonidine. ○ Rocklatan may be a good choice to try second line if a PGA does not reach the IOP target. ○ Rhopressa is an excellent choice for patients who need to avoid systemic side effects, or perhaps patients who either have low IOP’s, or failed to respond adequately to timolol or brimonidine.
  • 71.
  • 72.
    Medical Management: Pregnancy ●Data on the risks of glaucoma drops during pregnancy is limited. ● Brimonidine has a pregnancy B category. ● Netarsudil and LBN are unassigned. ● All others are category C. ● Beta-blockers are often used during pregnancy because while they may be category C, they have also been used frequently for 40 years the long term experience has not demonstrated any risks. ● In general, most ophthalmologists try to avoid PGA’s during pregnancy because of a theoretical risk of premature labor. ○ A small 11 patient case series revealed no adverse effects.
  • 73.
    Medical Management: Breastfeeding ●PGA’s are considered safe for breastfeeding mothers. ● Brimonidine is NOT recommended for breastfeeding mothers because it can cross the blood brain barrier and cause apnea. ● Timolol and CAI’s can both be detected in breast milk. ○ The data regarding timolol is controversial as to whether it poses a risk to the infant. ○ CAI’s, both topical and oral, are approved by the American Academy of Pediatrics for breastfeeding mothers. Although newborn infants should be monitored when using oral CAI’s.
  • 74.
    ● The conceptof maximum tolerated medical therapy (MTMT) in glaucoma can be defined as the achievement of the greatest possible IOP reduction with largest number of medications that the patient can tolerate and is willing to be compliant in administering regularly. ○ At this point you could attempt to improve patient compliance with fixed-dose combination medications. ○ Laser Trabeculoplasty: SLT or ALT. ○ MIGS, preferably in combination with cataract surgery. ○ Surgery: usually a trabeculectomy or tube shunt. When MTMT is insufficient?
  • 75.
    Laser Trabeculoplasty ● SLTand ALT work by aiming a laser at the trabecular meshwork to photocoagulate and stretch it, thereby increasing outflow.
  • 76.
    Laser Trabeculoplasty ● SLTis commonly performed. It’s considered safe and about as effective as a PGA. Although here are a few complications: ○ Mild uveitis ○ Scattered PAS (more common in ALT than SLT) ○ Transient IOP spikes ● The main drawback is that the results are temporary, usually lasting only 1 to 5 years. ● SLT actually works best as first or second line agent. Once a patient is already on MTMT, the law of diminishing returns seems to apply to SLT the same way it applies to adding additional eye drops.
  • 77.
    Conclusions ● Management ofglaucoma in daily practice is undergoing significant changes in both diagnostic and treatment perspectives. ○ This shift is resulting in earlier and more precise diagnosis that can lead to more effective treatments. ○ When selecting the appropriate therapeutic targets, it is imperative to keep in mind individual patient characteristics and adapt the treatment according to the needs and preferences of patients and their care partners. ■ This is of particular importance in patients with evidence of progressive disease where more aggressive therapeutic approaches and frequent therapy adjustment are required until the targeted (usually lower) IOP range is reached. ○ Frequent assessment and follow-up and ongoing physician-patient dialogue are key to ensuring that the patient remains adherent to the prescribed therapy and that therapeutic goals are met.
  • 78.

Editor's Notes

  • #11  the relationship of the prevalence of OAG to IOP as stratified by the three CCT groups. The thin CCT group (≤510 microns) showed the greatest increase in OAG prevalence as a function of IOP. The normal group (511-580 microns) showed an intermediate increase, whereas the group with the thickest CCT (>580 microns) showed the least increase. When the thick and thin groups were adjusted for the impact of CCT on IOP, the prevalence curves shifted towards the normal CCT curve (data not shown).
  • #42 Suggested range for initial target IOP for each eye (a) with ≥ 30% reduction from baseline; (b) with 30% to 35% reduction from baseline; (c) with ≥ 25% reduction from baseline; (d) with ≥ 20% reduction from baseline.
  • #44 The AGIS study includes patients that required surgery because medical management was insufficient. Therefore the population may not represent all glaucoma patients.
  • #46 A study in the Netherlands (by van Gestal et al) determined that aiming low initially results in improved quality of life years compared to a stepwise approach.
  • #47 We don’t have time to review the pharmacology of every glaucoma medication
  • #48 Not much change for over 20 years
  • #59 Figure 1. Netarsudil and nitric oxide (NO) promote cytoskeletal relaxation through their influence in Rho signaling cascade. Myosin and actin are key components of the cytoskeleton of muscle and nonmuscle cells. Phosphorylated myosin interacts with actin, increasing cell stiffness. Phosphorylation of myosin is regulated by the activity of myosin light chain kinase and myosin light chain phosphatase (MLCP). Netarsudil inhibits Rho kinase and thereby interferes with its inhibitory effect on MLCP, an enzyme that dephosphorylates the regulatory light chain to induce relaxation. NO inactivates the Rho pathway upstream of Rho kinase. Binding of NO to soluble guanylate cyclase (sGC) results in increased conversion of guanosine triphosphate (GTP) to cyclic guanosine 3’5’-monophosphate (cGMP), which in turn activates cGMP-dependent protein kinase (PKG). Among the effects of activated PKG is the inhibition of the RhoA, a G-protein that activates Rho kinase. Diminished Rho kinase activation results in increased MLCP activity, thus contributing to cytoskeletal relaxation.