3/5/2013 1
• Anatomy of Hip Joint
• Fracture femur neck
Aetiology
Mechanism of Injury
Classification
Clinical features
Investigations
Treatment
4/17/2014 2
HIP JOINT
• Articular Capsule
• Iliofemoral ligament
• Pubofemoral ligament
• Ischiofemoral ligamnet
4/17/2014 3
Ligaments :
4/17/2014 4
Principal compressive group
Ward’s triangle
4/17/2014 5
Blood supply:
Femoral artery Profunda femoris artery
Lateral circumflex arteryMedial circumflex artery
EXTRACAPSULAR
ARTERIAL RING
EXTRA CAPSULAR
ARTERIAL RING
Retinacular arteries
SUBSYNOVIAL
INTRACAPSULAR
ARTERIAL RING
Epiphyseal branchesMetaphyseal branches
Artery of ligament teres
4/17/2014 6
4/17/2014 7
• Older patients – Osteoporosis or Osteomalacia
• Elderly women
• Major trauma in young
adults like RTA,fall etc.
4/17/2014 8
AETIOLO
• Trivial fall – direct blow over the greater
trochanter
• Lateral rotation of the extremity posterior
communition of the neck.
• Cyclical loading due to muscle force and torsion
4/17/2014 9
4/17/2014 10
4/17/2014 11
IMPACTED
UNDISPLACED
DISPLACED
4/17/2014 12
4/17/2014 13
4/17/2014 14
4/17/2014 15
Prerequisites :
Traction
Internal rotation
4/17/2014 16
4/17/2014 17
Transepiphyseal
fracture
Inter trochanteric
fracture
Sub
trochanteric
fracture
Transcervical
fracture
4/17/2014 18
4/17/2014 19
4/17/2014 20
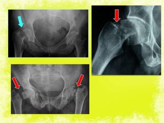
Radiography
4/17/2014 21
4/17/2014 22
It is the line drawn from the superior margin of the
obturator foramen to the margin of neck.
4/17/2014 23
4/17/2014 24
•Oxygen tension measurement
•Venography
•Intraosseous pressure recording
•Isotope scanning
•Bone scan with Tc-99m, sulphur
colloid, etc.
4/17/2014 25
• Early anatomical reduction – prevents further
vascular damage.
• Impaction of fracture fragments
• Rigid internal fixation: enables the
vascularization from the surrounding soft
tissues and uninjured bones – early callus
formation.
4/17/2014 26
Fracture neck of femur
Undisplaced Displaced
Physiologically <60 years Physiologically >60 years
Closed reduction under x-ray control Prosthetic replacement
Reduction possible Reduction not possible Normal hip Hip with pre existing
arthritis
Multiple screw
fixation
Open reduction
screw fixation
hemiarthroplasty THR
Conservative
Multiple screws
4/17/2014 27
Garden I:
Conservative Hip Spica for -old fracture.
-unfit for surgery.
surgical multiple pins by Moore,Knowles
cannulated screws.
Garden II: fracture fixed with DHS, multiple
cannulated AO screws.
Gardens III/IV:
conservative treatment rarely indicated.
SURGERY – anatomical reduction
impaction
stable internal fixation
Treatment plans as per Garden’s
Classification
4/17/2014 28
Reduction techniques
Closed reduction with
hip in extension
•Whitman’s method
•Massie
•Mc Elevenny
•Deyerle
Closed reduction
with hip in flexion
•Lead better method
•Smith Peterson
•Flynn
4/17/2014 29
INTERNAL FIXATION for fracture neck
of femur
Choices of implants for internal fixation:
Multiple pins (Knowles,Moore): -
- impacted fractures
- medically unfit persons
- fractures in children.
ASNIS: - provide improved pullout and bending and
torque strengths.*
Fixed angle nail
Sliding or Telescopic nails (Dynamic Hip Screws):
nail offers collapsibility
continuous impaction at the fracture site
lessen the chances of nail penetration.
4/17/2014 30
DHSMS
4/17/2014 31
Blade plate fixation:
4/17/2014 32
Complications of Internal Fixation
Infection
Nonunion
Avascular necrosis
Loose fixation
4/17/2014 33
Meyer’s Muscle Pedicle
Graft:
4/17/2014 34
1/3 cases heal with OR+IF
Rate – 85-95% *
Causes:
• Inaccurate reduction
• Poor Internal Fixation
• Lack of Cambium layer in periosteum.
• Avascularity of femoral head
• Posterior wall communition
Incidece; 40%
4/17/2014 35
•Unable to bear weight on affected side
•Trendelenberg test +ve
•Telescopic test +ve
•Wasting of muscles
•Minimal shortening of affected limb.
4/17/2014 36
Head is viable Head is not viable
Osteotomy
Acetabular cartilage
viable
Acetabular cartilage
not viable
THRHemireplacement arthroplasty
Bipolar arthroplasty
4/17/2014 37
Due to actual AVN: 2˚ to ischemia
Late segmental collapse: due to collapse of
subchondral and articular cartilage.
INCIDENCE:
Aseptic necrosis: 66-84%
Late segmental collapse: 7-27%
Survival of head depends upon:
• Uninjured vascular supply
• Revascularization
4/17/2014 38
4/17/2014 39
Radiography
Bonescan
•Symptomatic treatement: bed rest, NSAIDS.
•Displacement or Angulation Osteotomy in early
stages.
•Hemireplacement arthroplasty
•THR.
4/17/2014 40
4/17/2014 41
4/17/2014 42
4/17/2014 43
4/17/2014 44
4/17/2014 45
•An unsolved problem
•Fracture in elderly
•Majority due to trivial fall.
•Garden’s classificatio is widely accepted.
•It is an Orthopaedic Emergency.
•Speed is the watchword in management.
•Early anatomical reduction,impaction and
rigid internal fixation are the aim of treatment.
•DHS and Multiple cannulated cancellous
screws is the currently accepted method of
fixation.
•Nonunion ad AVN are very common.
4/17/2014 46

Fracture neck femur