FEMORAL NECK FRACTURE
by Albert Arimoro
Outline
 INTRODUCTION
 ANATOMY OF NECK OF FEMUR
 PATHO ANATOMY
 ETIOLOGY
 CLASSIFICATION
 MECHANISM OF INJURY
 CLINICAL PRESENTATION
 DIAGNOSIS
 MEDICAL TREATMENT
 PHYSIOTHERAPY TREATMENT
 COMPLICATIONS
INTRODUCTIO
N
3
10/16/2012
The structure of the head and neck of
femur is developed for the transmission of
body weight efficiently, with minimum bone
mass, by appropriate distribution of the bony
trabeculae in the neck. The tension
trabeculae and compression trabeculae
along with the strong calcar femorale on the
medial cortex of the neck of the femur form
an efficient system to withstand load bearing
and torsion under normal stresses of
locomotion and weight bearing.
4
10/16/2012
ANATOMY OF NECK OF
FEMUR
5
10/16/2012
 Neck connects head with shaft and is
about
3.7 cm long.
 It makes angle with the shaft 130+/- 7
degree ( less in female due to their
wider pelvis). It facilitate movements of
hip joint.
 It is strengthened by calcar femorale
(bony thickening along its concavity).
 2 borders and 2 surfaces
-upper border –concave and horizontal
meets the shaft at greater trochanter.
-lower border – straight and oblique meet
the shaft at lesser trochanter.
-anterior surface- flat .meet shaft at
intertrochanteric line . Entirely intra
capsular.
-posterior surface- convex from above
downwards and concave from side to
side.meets shaft at intertrochanteric crest.it
is crossed by horizontal groove for tendon 6
10/16/2012
 Blood sypply
Crock described the arteries of the proximal
end of the femur in three groups
(a) an extracapsular arterial ring located at
the base of the femoral neck;
(b) ascending cervical branches of the
extracapsular arterial ring on the surface
of the femoral neck (known as retinacular
arteries)
(c)the arteries of the ligamentum teres
7
10/16/2012
a) The extracapsular arterial ring is formed
posteriorly by a large branch of the medial
femoral circumflex artery and anteriorly by
branches of the lateral femoral circumflex
artery .
The superior and inferior gluteal
arteries also have minor contributions to
this ring
b) The ascending cervical arteries can be
divided into four groups (anterior, medial,
posterior, and lateral) based on their
relationship to the femoral neck.
lateral group provides most of the blood 8
10/16/2012
c) The artery of the ligamentum teres is a
branch of the obturator or the medial
femoral circumflex artery
only small & variable amount of
femoral head is nourished by artery
of ligamentum teres.
9
10/16/2012
Vascular anatomy of the femoral head and neck
10
10/16/2012
Anterior aspect
11
10/16/2012
PATHO-ANATOMY
12
10/16/2012
 Most fracture are displaced with
distal fragment – externally rotated,
adducted,
and proximally migrated.
These displacement are less marked than
in intertrochanteric fracture because the
capsule of hip joint is attached to distal
fragment and prevent extreme rotation
and displacement of distal fragment.
 Displacement of the lower bone
fragment caused by the pull of the
powerful muscles.
 In particular the outward rotation of
the leg so that the foot
characteristically points laterally. (GM)
gluteus maximus; (PI) piriformis; (OI)
obturator internus; (GE) gemelli; (QF)
quadratus femoris; (RF) rectus
femoris; (AM) adductor muscles; (HS)
hamstring muscles
13
10/16/2012
14
10/16/2012
ETIOLOGY
15
10/16/2012
 Commonest site of # in elderly(7th /8th
decade).
 Post menopausal
women, osteomalacia, diabetes, stroke,
alcoholi sm, chronic debilitating disease.
 Old people– weak muscle, poor
balance – increased tendency to fall.
 Fall directly onto greater trochanter.
 Fall from height, RTA
CLASSIFICATION
16
10/16/2012
 -ANATOMICAL LOCATION
-subcapital
-transcervical
-basicervical (base of the neck
fracture)
 -PAUWEL
This is based on the angle of fracture
from the horizontal
 Type I: 30 degrees
 Type II: 50 degrees
 Type III: 70 degrees
17
10/16/2012
As the fracture progresses from type 1 to type 3, the obliquity
of the fracture fracture line increases, thus the shear force at the
fracture site increases
18
10/16/2012
 -GARDEN
This is based on the degree of valgus
displacement
 Type I: Incomplete/valgus impacted
 Type II: Complete and nondisplaced
on AP and lateral views
 Type III: Complete with partial displacement;
trabecular pattern of the femoral head does
not line up with that of the acetabulum
 Type IV: Completely displaced; trabecular
pattern of the head assumes a parallel
orientation with that of the acetabulum 19
10/16/2012
20
copyright (your organization) 2003 10/16/2012
21
copyright (your organization) 2003 10/16/2012
 -Orthopaedic Trauma Association
(OTA) Classification
 B1 group fracture is nondisplaced to
minimally displaced subcapital fracture
 B2 group includes transcervical
fractures through the middle or
base of the neck
 B3 group includes all displaced
nonimpacted subcapital fractures
22
10/16/2012
23
10/16/2012
MECHANISM OF INJURY
24
10/16/2012
 Low-energy trauma (most common in
older patients)
- Direct: A fall onto the greater trochanter
(valgus impaction) or forced external
rotation of the lower extremity impinges an
osteoporotic neck onto the posterior lip of
the acetabulum (resulting in posterior
comminution).
- Indirect: Muscle forces overwhelm the
strength of the femoral neck
 High-energy trauma- accounts for
femoral neck fractures in both younger
and older
patients, such as motor-vehicle accident
or fall from a significant height.
 Cyclical loading-stress fractures: These
are seen in athletes, military recruits, ballet
dancers; patients with osteoporosis and
osteopenia are at particular risk.
25
10/16/2012
CLINICAL PRESENTATIONS
26
10/16/2012
 H/O fall from height.
 nonambulatory on presentation
(EXCEPT impacted fracture patient may
still be able to walk)
 shortening and external rotation of the
lower extremity.
27
10/16/2012
CLINICAL EVALUATION
28
10/16/2012
 Pain is evident on range of hip
motion, with possible pain on axial
compression and tenderness to
palpation of the groin.
 Tenderness over Scarpa`s triangle
 Active SLR not possible
DIAGNOSIS
29
10/16/2012
Situations in which femoral neck fracture
may be missed-
 Stress fractures- elderly patient with
unexplained pain in the hip should be
considered to have stress fracture until
proven otherwise.
 Undisplaced fracture-impacted fracture
may be difficult to visualise on plain x-ray.
 Painless fracture-a bed ridden
patient may develop a silent fracture.
 Multiple fractures-patient with a
femoral shaft fracture may also have
a hip fracture which is easily missed
unless the pelvis is x rayed.
30
10/16/2012
RADIOGRAPHIC EVALUATION
31
10/16/2012
 An anteroposterior (AP) view of the
pelvis both
hip in
15
internal rotation and a cross-
table
lateral view of the involved proximal
femur are indicated
 Technetium bone scan or preferably
magnetic resonance imaging may be of
clinical utility in delineating nondisplaced
or occult fractures that are not apparent
on plain radiographs.
32
10/16/2012
The Importance of a True AP Hip
Position
33
10/16/2012
Shenton's
Line
34
10/16/2012
 Shenton's line is a line formed by the
inferior aspect of the superior pubic
ramus and the medial aspect of the
upper femur. Shenton's line should
describe a smooth curve. If there is any
sharp angulation of Shenton's line the
patient could have a neck of femur
fracture. An abnormal Shenton's line
can be the most obvious indicator of a
patient's fractured neck of femur
demonstrated on an AP pelvis /hip
image.
35
10/16/2012
TREATMENT
36
10/16/2012
Goals of treatment are
 to minimize patient discomfort,
 restore hip function,
 allow rapid mobilization by obtaining
early anatomic reduction and stable
internal fixation or prosthetic
replacement.
 In children-
close reduction and Hip spica.
If not reduced then ORIF with Moore`s pins.
 Adults
impacted or garden type 1 & 2
Non-operative Treatment- bed rest for
elderly person whose medical condition
carries an excessively high risk of mortality
from anesthesia and surgery
37
10/16/2012
Operative Treatment- include the
following
- Internal fixation with multiple
cancellous lag screws.(preffered
treatment)
- Sliding hip screw –
advantages-
1)biomechanical strength
greater than multiple cancellous
screws.
2)minimization of risk of
subsequent subtrochanteric fracture
secondary to a stress riser effect. 38
10/16/2012
Disadvantage
s-
1)stabilization include a larger
surgical exposure
2)potential to create rotational
malalignment of the femoral head at the
time of screw insertion.
Fracture of the femoral neck
stabilized with three well-
placed, 6.5-mm, short
threaded cancellous lag
screws.
39
10/16/2012
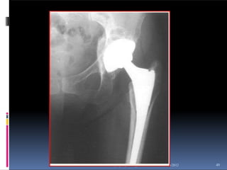
 age more than 60 years
normal hip- Hemiarthroplasty with Austin-
Moore prosthesis.
40
10/16/2012
 Indications for hemiarthroplasty
 Comminuted, displaced
femoral neck fracture in the
elderly
 Pathologic fracture
 Poor medical condition
 Poorer ambulatory status before
fracture
 Neurologic condition (dementia,
ataxia, hemiplegia, parkinsonism)
41
10/16/2012
Advantages of Hemiarthroplasty over
open reduction and internal fixation :
1) It may allow faster full weight
bearing
2) It eliminates nonunion, osteonecrosis,
failure of fixation risks .
Disadvantages:
1) It is a more extensive procedure with
greater blood loss
2) A risk of acetabular erosion exists in
active individuals
42
10/16/2012
43
10/16/2012
preexisting degenerative condition -
total hip replacement
Indications
 osteoarthritis,
 rheumatoid arthritis,
 severe osteoporosis
 pathologic conditions with acetabular
involvement such as Paget's disease
44
10/16/2012
10/16/2012
copyright (your organization) 2003 49
PHYSIOTHERAPY MANAGEMENT
Rehabilitation begins promptly.
Two to three days postoperative
•Instruct patient in deep breathing and
cough. Goal: Prevent postoperative
pneumonia and atelectasis.
•Initiate isometrics and ankle pumps with
involved extremity. Goal: Prepare patient for
active exercise program.
•Initiate bedside sitting once physician has
cleared patient for this activity. Goal: Prepare
patient to begin transfer and progressive gait
training processes.
Three to five days postoperative
• Gait train patient, observing weight-bearing precautions. Progress to walker
or crutches. Goal: Establish independent gait with assistive device, using
proper gait pattern on all surfaces and stairs.
• Initiate training in activities of daily living, including bed mobility and
transfers to and from bed and toilet. Goal: Achieve independence with all
transfers.
• Initiate active range of motion/strengthening program. Individualize exercise
programs according to each patient's needs, but generally include the
following.
• Goals: Increase strength of involved extremity; increase independence with
exercise program.
• Supine: hip abduction and adduction, gluteal sets, quadriceps sets,
straight leg raise, hip and knee flexion, short arc quadriceps, internal and
external rotation.
• Sitting: Long arc quadriceps, hip flexion, ankle pumps[16]
.
• When internal fixation is performed, partial weight-bearing is recommended
for a period of 8–10 weeks (according to the radiological evaluation of
COMPLICATIONS
48
10/16/2012
 General-
1. Deep vein
thrombosis
2. Pulmonary
embolism
3. Pmeumonia
4. Bed sores
 Osteoarthritis
 Avascular necrosis
cause of AVN and non-
union
49
10/16/2012
 Tearing the capsular vessels the
injury deprives the head its main
blood supply
 Intra articular bonehas only flimsy
periosteum and no contact with soft
tissue which could promote callus
formation
 Synovial fluid prevents clotting
of the fracture hematoma

fractureofneckofthefemur-121016113941-phpapp02.pptx

  • 1.
  • 2.
    Outline  INTRODUCTION  ANATOMYOF NECK OF FEMUR  PATHO ANATOMY  ETIOLOGY  CLASSIFICATION  MECHANISM OF INJURY  CLINICAL PRESENTATION  DIAGNOSIS  MEDICAL TREATMENT  PHYSIOTHERAPY TREATMENT  COMPLICATIONS
  • 3.
    INTRODUCTIO N 3 10/16/2012 The structure ofthe head and neck of femur is developed for the transmission of body weight efficiently, with minimum bone mass, by appropriate distribution of the bony trabeculae in the neck. The tension trabeculae and compression trabeculae along with the strong calcar femorale on the medial cortex of the neck of the femur form an efficient system to withstand load bearing and torsion under normal stresses of locomotion and weight bearing.
  • 4.
  • 5.
    ANATOMY OF NECKOF FEMUR 5 10/16/2012  Neck connects head with shaft and is about 3.7 cm long.  It makes angle with the shaft 130+/- 7 degree ( less in female due to their wider pelvis). It facilitate movements of hip joint.  It is strengthened by calcar femorale (bony thickening along its concavity).
  • 6.
     2 bordersand 2 surfaces -upper border –concave and horizontal meets the shaft at greater trochanter. -lower border – straight and oblique meet the shaft at lesser trochanter. -anterior surface- flat .meet shaft at intertrochanteric line . Entirely intra capsular. -posterior surface- convex from above downwards and concave from side to side.meets shaft at intertrochanteric crest.it is crossed by horizontal groove for tendon 6 10/16/2012
  • 7.
     Blood sypply Crockdescribed the arteries of the proximal end of the femur in three groups (a) an extracapsular arterial ring located at the base of the femoral neck; (b) ascending cervical branches of the extracapsular arterial ring on the surface of the femoral neck (known as retinacular arteries) (c)the arteries of the ligamentum teres 7 10/16/2012
  • 8.
    a) The extracapsulararterial ring is formed posteriorly by a large branch of the medial femoral circumflex artery and anteriorly by branches of the lateral femoral circumflex artery . The superior and inferior gluteal arteries also have minor contributions to this ring b) The ascending cervical arteries can be divided into four groups (anterior, medial, posterior, and lateral) based on their relationship to the femoral neck. lateral group provides most of the blood 8 10/16/2012
  • 9.
    c) The arteryof the ligamentum teres is a branch of the obturator or the medial femoral circumflex artery only small & variable amount of femoral head is nourished by artery of ligamentum teres. 9 10/16/2012
  • 10.
    Vascular anatomy ofthe femoral head and neck 10 10/16/2012
  • 11.
  • 12.
    PATHO-ANATOMY 12 10/16/2012  Most fractureare displaced with distal fragment – externally rotated, adducted, and proximally migrated. These displacement are less marked than in intertrochanteric fracture because the capsule of hip joint is attached to distal fragment and prevent extreme rotation and displacement of distal fragment.
  • 13.
     Displacement ofthe lower bone fragment caused by the pull of the powerful muscles.  In particular the outward rotation of the leg so that the foot characteristically points laterally. (GM) gluteus maximus; (PI) piriformis; (OI) obturator internus; (GE) gemelli; (QF) quadratus femoris; (RF) rectus femoris; (AM) adductor muscles; (HS) hamstring muscles 13 10/16/2012
  • 14.
  • 15.
    ETIOLOGY 15 10/16/2012  Commonest siteof # in elderly(7th /8th decade).  Post menopausal women, osteomalacia, diabetes, stroke, alcoholi sm, chronic debilitating disease.  Old people– weak muscle, poor balance – increased tendency to fall.  Fall directly onto greater trochanter.  Fall from height, RTA
  • 16.
  • 17.
     -PAUWEL This isbased on the angle of fracture from the horizontal  Type I: 30 degrees  Type II: 50 degrees  Type III: 70 degrees 17 10/16/2012
  • 18.
    As the fractureprogresses from type 1 to type 3, the obliquity of the fracture fracture line increases, thus the shear force at the fracture site increases 18 10/16/2012
  • 19.
     -GARDEN This isbased on the degree of valgus displacement  Type I: Incomplete/valgus impacted  Type II: Complete and nondisplaced on AP and lateral views  Type III: Complete with partial displacement; trabecular pattern of the femoral head does not line up with that of the acetabulum  Type IV: Completely displaced; trabecular pattern of the head assumes a parallel orientation with that of the acetabulum 19 10/16/2012
  • 20.
  • 21.
  • 22.
     -Orthopaedic TraumaAssociation (OTA) Classification  B1 group fracture is nondisplaced to minimally displaced subcapital fracture  B2 group includes transcervical fractures through the middle or base of the neck  B3 group includes all displaced nonimpacted subcapital fractures 22 10/16/2012
  • 23.
  • 24.
    MECHANISM OF INJURY 24 10/16/2012 Low-energy trauma (most common in older patients) - Direct: A fall onto the greater trochanter (valgus impaction) or forced external rotation of the lower extremity impinges an osteoporotic neck onto the posterior lip of the acetabulum (resulting in posterior comminution). - Indirect: Muscle forces overwhelm the strength of the femoral neck
  • 25.
     High-energy trauma-accounts for femoral neck fractures in both younger and older patients, such as motor-vehicle accident or fall from a significant height.  Cyclical loading-stress fractures: These are seen in athletes, military recruits, ballet dancers; patients with osteoporosis and osteopenia are at particular risk. 25 10/16/2012
  • 26.
    CLINICAL PRESENTATIONS 26 10/16/2012  H/Ofall from height.  nonambulatory on presentation (EXCEPT impacted fracture patient may still be able to walk)  shortening and external rotation of the lower extremity.
  • 27.
  • 28.
    CLINICAL EVALUATION 28 10/16/2012  Painis evident on range of hip motion, with possible pain on axial compression and tenderness to palpation of the groin.  Tenderness over Scarpa`s triangle  Active SLR not possible
  • 29.
    DIAGNOSIS 29 10/16/2012 Situations in whichfemoral neck fracture may be missed-  Stress fractures- elderly patient with unexplained pain in the hip should be considered to have stress fracture until proven otherwise.  Undisplaced fracture-impacted fracture may be difficult to visualise on plain x-ray.  Painless fracture-a bed ridden patient may develop a silent fracture.
  • 30.
     Multiple fractures-patientwith a femoral shaft fracture may also have a hip fracture which is easily missed unless the pelvis is x rayed. 30 10/16/2012
  • 31.
    RADIOGRAPHIC EVALUATION 31 10/16/2012  Ananteroposterior (AP) view of the pelvis both hip in 15 internal rotation and a cross- table lateral view of the involved proximal femur are indicated  Technetium bone scan or preferably magnetic resonance imaging may be of clinical utility in delineating nondisplaced or occult fractures that are not apparent on plain radiographs.
  • 32.
  • 33.
    The Importance ofa True AP Hip Position 33 10/16/2012
  • 34.
    Shenton's Line 34 10/16/2012  Shenton's lineis a line formed by the inferior aspect of the superior pubic ramus and the medial aspect of the upper femur. Shenton's line should describe a smooth curve. If there is any sharp angulation of Shenton's line the patient could have a neck of femur fracture. An abnormal Shenton's line can be the most obvious indicator of a patient's fractured neck of femur demonstrated on an AP pelvis /hip image.
  • 35.
  • 36.
    TREATMENT 36 10/16/2012 Goals of treatmentare  to minimize patient discomfort,  restore hip function,  allow rapid mobilization by obtaining early anatomic reduction and stable internal fixation or prosthetic replacement.
  • 37.
     In children- closereduction and Hip spica. If not reduced then ORIF with Moore`s pins.  Adults impacted or garden type 1 & 2 Non-operative Treatment- bed rest for elderly person whose medical condition carries an excessively high risk of mortality from anesthesia and surgery 37 10/16/2012
  • 38.
    Operative Treatment- includethe following - Internal fixation with multiple cancellous lag screws.(preffered treatment) - Sliding hip screw – advantages- 1)biomechanical strength greater than multiple cancellous screws. 2)minimization of risk of subsequent subtrochanteric fracture secondary to a stress riser effect. 38 10/16/2012
  • 39.
    Disadvantage s- 1)stabilization include alarger surgical exposure 2)potential to create rotational malalignment of the femoral head at the time of screw insertion. Fracture of the femoral neck stabilized with three well- placed, 6.5-mm, short threaded cancellous lag screws. 39 10/16/2012
  • 40.
     age morethan 60 years normal hip- Hemiarthroplasty with Austin- Moore prosthesis. 40 10/16/2012
  • 41.
     Indications forhemiarthroplasty  Comminuted, displaced femoral neck fracture in the elderly  Pathologic fracture  Poor medical condition  Poorer ambulatory status before fracture  Neurologic condition (dementia, ataxia, hemiplegia, parkinsonism) 41 10/16/2012
  • 42.
    Advantages of Hemiarthroplastyover open reduction and internal fixation : 1) It may allow faster full weight bearing 2) It eliminates nonunion, osteonecrosis, failure of fixation risks . Disadvantages: 1) It is a more extensive procedure with greater blood loss 2) A risk of acetabular erosion exists in active individuals 42 10/16/2012
  • 43.
  • 44.
    preexisting degenerative condition- total hip replacement Indications  osteoarthritis,  rheumatoid arthritis,  severe osteoporosis  pathologic conditions with acetabular involvement such as Paget's disease 44 10/16/2012
  • 45.
  • 46.
    PHYSIOTHERAPY MANAGEMENT Rehabilitation beginspromptly. Two to three days postoperative •Instruct patient in deep breathing and cough. Goal: Prevent postoperative pneumonia and atelectasis. •Initiate isometrics and ankle pumps with involved extremity. Goal: Prepare patient for active exercise program. •Initiate bedside sitting once physician has cleared patient for this activity. Goal: Prepare patient to begin transfer and progressive gait training processes.
  • 47.
    Three to fivedays postoperative • Gait train patient, observing weight-bearing precautions. Progress to walker or crutches. Goal: Establish independent gait with assistive device, using proper gait pattern on all surfaces and stairs. • Initiate training in activities of daily living, including bed mobility and transfers to and from bed and toilet. Goal: Achieve independence with all transfers. • Initiate active range of motion/strengthening program. Individualize exercise programs according to each patient's needs, but generally include the following. • Goals: Increase strength of involved extremity; increase independence with exercise program. • Supine: hip abduction and adduction, gluteal sets, quadriceps sets, straight leg raise, hip and knee flexion, short arc quadriceps, internal and external rotation. • Sitting: Long arc quadriceps, hip flexion, ankle pumps[16] . • When internal fixation is performed, partial weight-bearing is recommended for a period of 8–10 weeks (according to the radiological evaluation of
  • 48.
    COMPLICATIONS 48 10/16/2012  General- 1. Deepvein thrombosis 2. Pulmonary embolism 3. Pmeumonia 4. Bed sores  Osteoarthritis  Avascular necrosis
  • 49.
    cause of AVNand non- union 49 10/16/2012  Tearing the capsular vessels the injury deprives the head its main blood supply  Intra articular bonehas only flimsy periosteum and no contact with soft tissue which could promote callus formation  Synovial fluid prevents clotting of the fracture hematoma