3D U/S, Dopplers and Fetal
MRI
Themba Hospital FCOG(SA) Part 1 Tutorials
By Dr N.E Manana
THREE- AND FOUR-DIMENSIONAL
SONOGRAPHY
• During the last two decades, three-dimensional (3-D) sonography has
gone from a novelty to a standard feature of most modern ultrasound
equipment
• 3-D sonography is not routinely used during a standard examination
nor considered a required modality.
• However, it may be a component of various specialized evaluations
• Unlike 2-D scanning, which appears to be in “real time,” 3-D imaging
is static.
• There is also four-dimensional (4-D) sonography, also known as real-
time 3-D sonography
DOPPLER
• 10.37
• 10.38
Umbilical Artery
• Umbilical artery Doppler has been subjected to more rigorous assessment
than has any previous test of fetal health.
• The umbilical artery differs from other vessels in that it normally has
forward flow throughout the cardiac cycle
• The amount of flow during diastole increases as gestation advances
• The International Society of Ultrasound in Obstetrics and Gynecology
recommends that umbilical artery Doppler measurements be made in a
free loop of cord
• 10.39
Ductus Arteriosus
• Doppler evaluation of the ductus arteriosus has been used primarily to
monitor fetuses exposed to NSAIDs
• NSAIDs increased the odds of ductal constriction 15-fold
• The resulting increased pulmonary flow may cause reactive hypertrophy of
the pulmonary arterioles and eventual development of pulmonary
hypertension
• Fortunately, ductal constriction is often reversible after NSAID
discontinuation.
Uterine Artery
• Uterine blood flow is estimated to increase from 50 mL/min early in
gestation to 500 to 750 mL/min by term
• The uterine artery Doppler waveform is characterized by high diastolic
flow velocities and by highly turbulent flow
• Increased resistance to flow and development of a diastolic notch are
associated with later development of gestational hypertension,
preeclampsia, and fetal-growth restriction
Middle Cerebral Artery
• 10.40
Ductus Venosus
• The ductus venosus is imaged as it branches from the umbilical vein
at approximately the level of the diaphragm.
• The waveform is biphasic and normally has forward flow throughout
the cardiac cycle.
• The first peak reflects ventricular systole, and the second is diastolic
filling. These are followed by a nadir during atrial contraction—
termed the a-wave
• It is believed that there is a progression of Doppler findings in
preterm fetuses with growth restriction, such that umbilical artery
Doppler abnormalities occur first, followed by those in the middle
cerebral artery and then the ductus venosus
MAGNETIC RESONANCE IMAGING
• The fetus was first studied with MR imaging in the mid-1980s, when image
acquisition was slow and motion artifact was problematic
• Since then, technological advances that allow fast-acquisition MR protocols
have been developed
• Image resolution with MR is often superior to that with sonography
because it is not as hindered by bony interfaces
• MR may be a useful adjunct to sonography in evaluating and further
characterizing suspected fetal abnormalities.
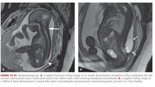
• Table 10.8
• 10.41
• 10.45
Adjunct to Fetal Therapy
• As indications for fetal therapy have increased, MR imaging has been
become more routinely used to outline abnormalities preoperatively
• At some centers, before laser ablation of placental anastomoses for twin-
twin transfusion syndrome, MR imaging is performed to assess the brain
for IVH or periventricular leukomalacia
• If fetal surgery is considered for sacrococcygeal teratomas, MR imaging
may identify tumor extension into the fetal pelvis
• The clinical importance of identifying women with placenta accreta
Thank you

3. 3D U.pptx

  • 1.
    3D U/S, Dopplersand Fetal MRI Themba Hospital FCOG(SA) Part 1 Tutorials By Dr N.E Manana
  • 2.
    THREE- AND FOUR-DIMENSIONAL SONOGRAPHY •During the last two decades, three-dimensional (3-D) sonography has gone from a novelty to a standard feature of most modern ultrasound equipment • 3-D sonography is not routinely used during a standard examination nor considered a required modality. • However, it may be a component of various specialized evaluations • Unlike 2-D scanning, which appears to be in “real time,” 3-D imaging is static. • There is also four-dimensional (4-D) sonography, also known as real- time 3-D sonography
  • 3.
  • 4.
  • 5.
    Umbilical Artery • Umbilicalartery Doppler has been subjected to more rigorous assessment than has any previous test of fetal health. • The umbilical artery differs from other vessels in that it normally has forward flow throughout the cardiac cycle • The amount of flow during diastole increases as gestation advances • The International Society of Ultrasound in Obstetrics and Gynecology recommends that umbilical artery Doppler measurements be made in a free loop of cord
  • 6.
  • 7.
    Ductus Arteriosus • Dopplerevaluation of the ductus arteriosus has been used primarily to monitor fetuses exposed to NSAIDs • NSAIDs increased the odds of ductal constriction 15-fold • The resulting increased pulmonary flow may cause reactive hypertrophy of the pulmonary arterioles and eventual development of pulmonary hypertension • Fortunately, ductal constriction is often reversible after NSAID discontinuation.
  • 8.
    Uterine Artery • Uterineblood flow is estimated to increase from 50 mL/min early in gestation to 500 to 750 mL/min by term • The uterine artery Doppler waveform is characterized by high diastolic flow velocities and by highly turbulent flow • Increased resistance to flow and development of a diastolic notch are associated with later development of gestational hypertension, preeclampsia, and fetal-growth restriction
  • 9.
  • 10.
    Ductus Venosus • Theductus venosus is imaged as it branches from the umbilical vein at approximately the level of the diaphragm. • The waveform is biphasic and normally has forward flow throughout the cardiac cycle. • The first peak reflects ventricular systole, and the second is diastolic filling. These are followed by a nadir during atrial contraction— termed the a-wave • It is believed that there is a progression of Doppler findings in preterm fetuses with growth restriction, such that umbilical artery Doppler abnormalities occur first, followed by those in the middle cerebral artery and then the ductus venosus
  • 11.
    MAGNETIC RESONANCE IMAGING •The fetus was first studied with MR imaging in the mid-1980s, when image acquisition was slow and motion artifact was problematic • Since then, technological advances that allow fast-acquisition MR protocols have been developed • Image resolution with MR is often superior to that with sonography because it is not as hindered by bony interfaces • MR may be a useful adjunct to sonography in evaluating and further characterizing suspected fetal abnormalities.
  • 12.
  • 13.
  • 14.
  • 15.
    Adjunct to FetalTherapy • As indications for fetal therapy have increased, MR imaging has been become more routinely used to outline abnormalities preoperatively • At some centers, before laser ablation of placental anastomoses for twin- twin transfusion syndrome, MR imaging is performed to assess the brain for IVH or periventricular leukomalacia • If fetal surgery is considered for sacrococcygeal teratomas, MR imaging may identify tumor extension into the fetal pelvis • The clinical importance of identifying women with placenta accreta
  • 16.

Editor's Notes

  • #3 Most 3-D scanning uses a special transducer developed for this purpose. After a region of interest is identified, a 3-D volume is acquired that may be rendered to display images of any plane— axial, sagittal, coronal, or even oblique—within that volume. Sequential “slices” can be generated, similar to computed tomographic (CT) or MR images. Technique applications include evaluation of intracranial anatomy in the sagittal plane, for example, the corpus callosum, and imaging of the palate and skeletal system (Benacerraf, 2006; Pilu, 2008; Timor-Tritsch, 2000). One application of 4-D imaging has been to improve visualization of cardiac anatomy Addition of an inversion-mode algorithm may aid imaging of blood flow within the heart and great vessels and may even permit measurement of ventricular blood volume (Goncalves, 2004 That said, comparisons of 3-D with conventional 2-D sonography for the diagnosis of most congenital anomalies have not demonstrated an improvement in overall detection (Goncalves, 2006; Reddy, 2008). The American College of Obstetricians and Gynecologists (2011) currently recommends that 3-D ultrasound be used only as an adjunct to conventional sonography
  • #4 When sound waves strike a moving target, the frequency of the waves reflected back is shifted proportionate to the velocity and direction of that moving target—a phenomenon known as the Doppler shift Because the magnitude and direction of the frequency shift depend on the relative motion of the moving target, Doppler can be used to evaluate flow within blood vessels An important component of the equation is the angle of insonation, abbreviated as theta (θ), which is the angle between the sound waves from the transducer and flow within the vessel Measurement error becomes large when θ is not close to zero, in other words, when blood flow is not coming directly toward or away from the transducer. For this reason, ratios are often used to compare different waveform components, allowing cosine θ to cancel out of the equation
  • #5 Figure 10-38 is a schematic of the Doppler waveform and describes the three ratios commonly used. The simplest is the systolic-diastolic ratio (S/D ratio), which compares the maximal (or peak) systolic flow with end-diastolic flow to evaluate downstream impedance to flow Continuous wave Doppler equipment has two separate types of crystals—one transmits high-frequency sound waves, and another continuously captures signals. In M-mode imaging, continuous wave Doppler is used to evaluate motion through time, however, it cannot image individual vessels. Pulsed-wave Doppler uses only one crystal, which transmits the signal and then waits until the returning signal is received before transmitting another one. It allows precise targeting and visualization of the vessel of interest. Pulsed-wave Doppler can be configured to allow color-flow mapping—such that blood flowing toward the transducer is displayed in red and that flowing away from the transducer appears in blue
  • #6 The S/D ratio normally decreases from approximately 4.0 at 20 weeks to 2.0 at term, and it is generally less than 3.0 after 30 weeks. Because of downstream impedance to flow, more end-diastolic flow is observed at the placental cord insertion than at the fetal ventral wall. Thus, abnormalities such as absent or reversed end-diastolic flow will appear first at the fetal cord insertion site. However, the Society for Maternal Fetal Medicine has recommended that assessment be performed close to the ventral wall insertion to optimize reproducibility
  • #7 The waveform is considered abnormal if the S/D ratio is above the 95th percentile for gestational age. In extreme cases of growth restriction, end-diastolic flow may become absent or even reversed Such reversal of end-diastolic flow has been associated with greater than 70-percent obliteration of the small muscular arteries in placental tertiary stem villi Umbilical artery Doppler is a useful adjunct in the management of pregnancies complicated by fetal-growth restriction, and it has been associated with improved outcome in such cases (American College of Obstetricians and Gynecologists, 2013) It is not recommended for complications other than growth restriction. Similarly, it is not recommended as a screening tool for identifying pregnancies that will subsequently be complicated by growth restriction Abnormal umbilical artery Doppler findings should prompt a complete fetal evaluation if not already done, as such findings are associated with major fetal anomalies and aneuploidy The Society for Maternal Fetal Medicine has recommended that so long as fetal surveillance remains reassuring, pregnancies with fetal-growth restriction and absent end-diastolic flow in the umbilical artery may be managed expectantly until delivery at 34 weeks, and those with reversed end-diastolic flow managed expectantly until delivery at 32 weeks
  • #8 Indomethacin, which is used by some for tocolysis, may cause ductal constriction or closure, particularly when used in the third trimester Because ductal constriction is a potentially serious complication that should be avoided, the duration of NSAID administration is typically limited to less than 72 hours, and women taking NSAIDs are closely monitored so that these can be discontinued if ductal constriction is identified.
  • #9 Women with chronic hypertension who had increased uterine artery impedance at 16 to 20 weeks were at increased risk to develop superimposed preeclampsia Even so, the predictive value of uterine artery Doppler testing is low, and screening is not recommended in either high-risk or low-risk pregnancies In a report from a workshop on prenatal imaging held by the NICHD, Reddy and associates (2008) concluded that perinatal benefits of uterine artery Doppler screening have not yet been demonstrated.
  • #10 Doppler interrogation of the middle cerebral artery (MCA) has been investigated and applied clinically for fetal anemia detection and fetal-growth restriction evaluation Anatomically, the path of the MCA is such that flow often approaches the transducer “head-on,” allowing for accurate determination of flow velocity The MCA is imaged in an axial view of the head at the base of the skull, ideally within 2 mm of the internal carotid artery origin. Velocity measurement is optimal when the insonating angle is close to zero, and no more than 30 degrees of angle correction should be used When fetal anemia is present, the peak systolic velocity is increased due to increased cardiac output and decreased blood viscosity This has permitted the reliable, noninvasive detection of fetal anemia in cases of blood-group alloimmunization. More than a decade ago, Mari and colleagues (2000) demonstrated that an MCA peak systolic velocity threshold of 1.50 multiples of the median (MoM) could reliably identify fetuses with moderate or severe anemia. In most referral centers, MCA peak systolic velocity has replaced invasive testing with amniocentesis for fetal anemia detection MCA Doppler has also been studied as an adjunct in the evaluation of fetal-growth restriction. Fetal hypoxemia is believed to result in increased blood flow to the brain, heart, and adrenal glands, leading to increased end-diastolic flow in the MCA. This phenomenon, “brain-sparing,” is actually a misnomer, as it is not protective for the fetus but rather is associated with perinatal morbidity and mortality The utility of MCA Doppler to aid the timing of delivery is uncertain. It has not been evaluated in randomized trials nor adopted as standard practice in the management of growth restriction (American College of Obstetricians and Gynecologists, 2013; Berkley, 2012).
  • #11 Fetal position poses more of a challenge in imaging the ductus venosus than it does with either the umbilical artery or the middle cerebral artery However, there is wide variability in manifestation of these abnormalities (Berkley, 2012). When severe fetal-growth restriction is present, cardiac dysfunction may lead to flow in the a-wave that is decreased, absent, and eventually reversed, along with pulsatile flow in the umbilical vein Thus, ductus venosus abnormalities have potential to identify preterm growth-restricted fetuses that are at greatest risk for adverse outcome The American College of Obstetricians and Gynecologists (2013) recently concluded that Doppler assessment of vessels other than the umbilical artery has not been shown to improve perinatal outcome and that its role in clinical practice remains uncertain
  • #12 These newer protocols permit image acquisition in 1 second or less, which significantly reduces motion artifact and eliminates the need for sedation MR imaging, however, is not portable, it is time-consuming, and its use is generally limited to referral centers with expertise in fetal imaging. It may be helpful in the evaluation of complex abnormalities of the fetal CNS, thorax, gastrointestinal system, genitourinary system, and musculoskeletal system MR has also been used in the evaluation of maternal pelvic masses, placental invasion, and abnormalities of the pelvic floor and cervix The American College of Radiology and Society for Pediatric Radiology (2010) have developed a practice guideline for fetal MR imaging. This guideline acknowledges that sonography is the screening modality of choice. Moreover, it recommends that fetal MR imaging be used for problem solving to ideally contribute to prenatal diagnosis, counseling, treatment, and delivery planning Human studies and tissue studies support the safety of fetal MR imaging. Repetitive exposure of human lung fibroblasts to a static 1.5-T magnetic field has not been found to affect cellular proliferation Fetal heart rate patterns have been evaluated before and during MR imaging, with no significant differences observed (Vadeyar, 2000). Children exposed to MR as fetuses have not been found to have an increased incidence of disease or disability when tested at age 9 months or 3 years (Baker, 1994; Clements, 2000).
  • #13 Health-care providers who are pregnant may work in and around an MR unit, but it is recommended that they not remain in the MR scanner magnet room—known as Zone IV—while an examination is in progress (American College of Radiology, 2013). Gadolinium-based MR contrast agents should be avoided during pregnancy because of the potential for dissociation of the chelate molecule in the amnionic fluid (American College of Radiology, 2013). These readily enter the fetal circulation and are excreted into the amnionic fluid via fetal urine. Here, they may remain for an indeterminate period before being reabsorbed. The longer the gadolinium-chelate molecule remains in a protected space such as the amnionic sac, the greater the potential for dissociation of the toxic gadolinium ion (American College of Radiology, 2013). In adults with renal disease, this contrast agent has been associated with development of nephrogenic systemic fibrosis, a potentially severe complication.