Imaging department reportImaging department report
Dr DinhDr Dinh
Nguyen Hong Linh , F, 19Nguyen Hong Linh , F, 19
months, A16months, A16
Dx:Dx: SusSus LungLung abscesabsces
DiagnosisDiagnosis
 Hiatal hernia,Hiatal hernia, paraesophagealparaesophageal typetype
Diaphragmatic herniaDiaphragmatic hernia
Diaphragmatic herniaDiaphragmatic hernia
 Congenital:Congenital: two main types:two main types:
Bochdalek hernia : most common (75-90%), located posteriorly,Bochdalek hernia : most common (75-90%), located posteriorly,
presents earlierpresents earlier
Morgagni hernia : smaller, anterior and presents laterMorgagni hernia : smaller, anterior and presents later
Congenital hiatus hernias may also occur, but are uncommon andCongenital hiatus hernias may also occur, but are uncommon and
distinct.distinct.
 AcquiredAcquired
Traumatic diaphragmatic ruptureTraumatic diaphragmatic rupture
Hiatus herniaHiatus hernia
Iatrogenic
BochdalekBochdalek herniahernia
 A 4-day-old infant with a Bochdalek defect and
herniation of solid viscera presenting with mild
respiratory distress. A Chest radiograph shows
bowel in the left hemithorax and a softtissue
retrocardiac mass (arrows). b Coronal
reconstructed, contrast-enhanced CT image
shows intrathoracic herniation of the spleen and
left kidney through a large Bochdalek hernia
MorgagniMorgagni herniahernia
 Herniation through theHerniation through the foramen offoramen of MorgagniMorgagni which iswhich is
located immediately adjactent to thelocated immediately adjactent to the xiphodxiphod processprocess..
The majority of hernias occur on the right side and areThe majority of hernias occur on the right side and are
generally asymptomatic.generally asymptomatic.
 As compared to the Bochdalek hernia, the MorgagniAs compared to the Bochdalek hernia, the Morgagni
hernia is:hernia is:
-Rare-Rare
- Small- Small
-Anterior-Anterior
-At low risk of prolapse-At low risk of prolapse
 A 2-week-old boy with Morgagni defect
presenting with respiratory difficulty.
Anteroposterior (a) and lateral (b) chest
radiographs show intrathoracic bowel herniating
through an anterior foramen of Morgagnidefect
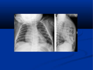
A 7-day-old boy with a
Morgagni hernia. a, b Anteroposterior
(a) and lateral (b) chest
radiographs show a poorly defined
right chest mass and right
upper lung atelectasis. c Sagittal
color Doppler sonogram of the
right chest obtained on the same
day shows herniation of the liver
(L) through an anterior foramen
of Morgagni hernia (arrows).
Note the abnormal course of the
hepatic vein and the difference
in echotexture of the intrathoracic
(T) and intraabdominal (A)
portions of the liver. d, e Sagittal
(d) and coronal (e) contrastenhanced
CT reconstructions
obtained the same day confirm
anterior liver (L) herniation
Hiatus hernia
 AA hiatus herniahiatus hernia occurs where there isoccurs where there is
herniation ofherniation of stomachstomach through thethrough the oesophagealoesophageal
hiatushiatus of theof the diaphragmdiaphragm
 Sub types:Sub types:
- Sliding hiatus hernia (95%)- Sliding hiatus hernia (95%)
- Rolling (para-oesophageal) hiatus hernia (5%)- Rolling (para-oesophageal) hiatus hernia (5%)
Radiograph of a patient with a small axial hiatal hernia
 A well-developed A ring is evident, but no BA well-developed A ring is evident, but no B
ring. In such cases the criterion for definingring. In such cases the criterion for defining
hiatus hernia is the appearance of rugal foldshiatus hernia is the appearance of rugal folds
traversing the diaphragmatic hiatus. The A ringtraversing the diaphragmatic hiatus. The A ring
has no anatomic correlate but physiologicallyhas no anatomic correlate but physiologically
corresponds to the superior aspect of the lescorresponds to the superior aspect of the les
 A 4-month-old girl with a paraesophageal hernia who
presented with vomiting. A Chest radiograph obtained
during an upper gastrointestinal series shows
intrathoracic herniation and organoaxial volvulus of the
stomach into a paraesophageal hernia. b Delayed
radiograph of the upper abdomen shows herniation of
the transverse colon
Sliding hiatus herniaSliding hiatus hernia
 TheThe gastro-gastro-oesophagealoesophageal junctionjunction (GOJ) is usually(GOJ) is usually
displaced by more than 1cm above the hiatus.displaced by more than 1cm above the hiatus.
The oesophageal hiatus is often abnormallyThe oesophageal hiatus is often abnormally
widened to 3 - 4cm : the upper limit is 15mm.widened to 3 - 4cm : the upper limit is 15mm.
 The gastric fundus may also be displaced aboveThe gastric fundus may also be displaced above
thethe diaphragmdiaphragm and present as aand present as a retrocardiacretrocardiac massmass
on a chest radiograph. The presence of an air-on a chest radiograph. The presence of an air-
fluid level in the mass suggests the diagnosis.fluid level in the mass suggests the diagnosis.
Newborn with a congenital short esophagus presenting with
respiratory distress and gagging. a Chest radiograph shows a large
cystic structure in the right hemithorax within which is coiled a
nasogastric tube. Note a lens-shape density overlying the right lower
chest (arrows) b Radiograph obtained after administration of watersoluble
contrast material via the nasogastric tube confirms a short
esophagus with a fixed intrathoracic stomach. Note the malfixated
small bowel in the abdomen. c Sagittal T2-W MR image through the
right chest shows a small additional posterolateral (Bochdalek) hernia
with liver herniation (arrow)
A 2-year-old girl who
presented with intermittent abdominal
pain and mild shortness
of breath caused by a small
Bochdalek hernia. a Chest radiograph
shows a moderate left
plural effusion and mild small
bowel dilatation. b Close-up
image of the splenic flexure of
the colon obtained during an
enema using water-soluble contrast
material shows a complete
obstruction of the colon with a
beak-like appearance. At surgery,
ischemic colon was found
in the left chest incarcerated by
a 7-mm Bochdalek hernia
Rolling (para-oesophageal) hiatusRolling (para-oesophageal) hiatus
herniahernia
 The GOJ remains in its normal location while aThe GOJ remains in its normal location while a
portion of the stomach herniates above theportion of the stomach herniates above the
diaphragmdiaphragm
DiagnosisDiagnosis
 UltrasoundUltrasound
 Chest radiographChest radiograph
 CTCT
 MRIMRI
UltrasoundUltrasound
 Sonographic findings includeSonographic findings include
 cardiomediastinal shift + / - abnormal cardiac axiscardiomediastinal shift + / - abnormal cardiac axis
 the stomach being at same transverse level as the heart :the stomach being at same transverse level as the heart :
this makes left sided hernias comparatively easier tothis makes left sided hernias comparatively easier to
detect on ultrasound (as opposed to herniaion ofdetect on ultrasound (as opposed to herniaion of
echogenic liver on the right side)echogenic liver on the right side)
 portal veins in thorax (Doppler)portal veins in thorax (Doppler)
 absent bowel loops in the abdomenabsent bowel loops in the abdomen
 there may be polyhydramnios as an ancilliarythere may be polyhydramnios as an ancilliary
sonographic featuresonographic feature
US of chest-there are multiple fluid-filled loops of the bowel within the left hemithorax
Chest radiograph Chest radiograph 
 indistinct diaphragm with opacification of partindistinct diaphragm with opacification of part
of or all the hemithorax (typically left sided)of or all the hemithorax (typically left sided)
 scaphoid abdomenscaphoid abdomen
 deviation of lines 3deviation of lines 3
 endotracheal tubeendotracheal tube
 nasogastic tubenasogastic tube
 umbilical arterial and venous cathetersumbilical arterial and venous catheters
Differential diagnosisDifferential diagnosis
 congenital cystic adenomatoid malformationcongenital cystic adenomatoid malformation
(CCAM)(CCAM)
 retrocardiac lung abscessretrocardiac lung abscess
 retrocardiac empyemaretrocardiac empyema
 Pulmonary sequestrationPulmonary sequestration
 epiphrenic oesophageal diverticulumepiphrenic oesophageal diverticulum

Diaphragmatic hernia

  • 1.
    Imaging department reportImagingdepartment report Dr DinhDr Dinh
  • 2.
    Nguyen Hong Linh, F, 19Nguyen Hong Linh , F, 19 months, A16months, A16 Dx:Dx: SusSus LungLung abscesabsces
  • 7.
    DiagnosisDiagnosis  Hiatal hernia,Hiatalhernia, paraesophagealparaesophageal typetype
  • 8.
  • 9.
    Diaphragmatic herniaDiaphragmatic hernia Congenital:Congenital: two main types:two main types: Bochdalek hernia : most common (75-90%), located posteriorly,Bochdalek hernia : most common (75-90%), located posteriorly, presents earlierpresents earlier Morgagni hernia : smaller, anterior and presents laterMorgagni hernia : smaller, anterior and presents later Congenital hiatus hernias may also occur, but are uncommon andCongenital hiatus hernias may also occur, but are uncommon and distinct.distinct.  AcquiredAcquired Traumatic diaphragmatic ruptureTraumatic diaphragmatic rupture Hiatus herniaHiatus hernia Iatrogenic
  • 10.
  • 11.
     A 4-day-oldinfant with a Bochdalek defect and herniation of solid viscera presenting with mild respiratory distress. A Chest radiograph shows bowel in the left hemithorax and a softtissue retrocardiac mass (arrows). b Coronal reconstructed, contrast-enhanced CT image shows intrathoracic herniation of the spleen and left kidney through a large Bochdalek hernia
  • 12.
    MorgagniMorgagni herniahernia  Herniationthrough theHerniation through the foramen offoramen of MorgagniMorgagni which iswhich is located immediately adjactent to thelocated immediately adjactent to the xiphodxiphod processprocess.. The majority of hernias occur on the right side and areThe majority of hernias occur on the right side and are generally asymptomatic.generally asymptomatic.  As compared to the Bochdalek hernia, the MorgagniAs compared to the Bochdalek hernia, the Morgagni hernia is:hernia is: -Rare-Rare - Small- Small -Anterior-Anterior -At low risk of prolapse-At low risk of prolapse
  • 14.
     A 2-week-oldboy with Morgagni defect presenting with respiratory difficulty. Anteroposterior (a) and lateral (b) chest radiographs show intrathoracic bowel herniating through an anterior foramen of Morgagnidefect
  • 16.
    A 7-day-old boywith a Morgagni hernia. a, b Anteroposterior (a) and lateral (b) chest radiographs show a poorly defined right chest mass and right upper lung atelectasis. c Sagittal color Doppler sonogram of the right chest obtained on the same day shows herniation of the liver (L) through an anterior foramen of Morgagni hernia (arrows). Note the abnormal course of the hepatic vein and the difference in echotexture of the intrathoracic (T) and intraabdominal (A) portions of the liver. d, e Sagittal (d) and coronal (e) contrastenhanced CT reconstructions obtained the same day confirm anterior liver (L) herniation
  • 17.
    Hiatus hernia  AAhiatus herniahiatus hernia occurs where there isoccurs where there is herniation ofherniation of stomachstomach through thethrough the oesophagealoesophageal hiatushiatus of theof the diaphragmdiaphragm  Sub types:Sub types: - Sliding hiatus hernia (95%)- Sliding hiatus hernia (95%) - Rolling (para-oesophageal) hiatus hernia (5%)- Rolling (para-oesophageal) hiatus hernia (5%)
  • 20.
    Radiograph of apatient with a small axial hiatal hernia
  • 21.
     A well-developedA ring is evident, but no BA well-developed A ring is evident, but no B ring. In such cases the criterion for definingring. In such cases the criterion for defining hiatus hernia is the appearance of rugal foldshiatus hernia is the appearance of rugal folds traversing the diaphragmatic hiatus. The A ringtraversing the diaphragmatic hiatus. The A ring has no anatomic correlate but physiologicallyhas no anatomic correlate but physiologically corresponds to the superior aspect of the lescorresponds to the superior aspect of the les
  • 22.
     A 4-month-oldgirl with a paraesophageal hernia who presented with vomiting. A Chest radiograph obtained during an upper gastrointestinal series shows intrathoracic herniation and organoaxial volvulus of the stomach into a paraesophageal hernia. b Delayed radiograph of the upper abdomen shows herniation of the transverse colon
  • 24.
    Sliding hiatus herniaSlidinghiatus hernia  TheThe gastro-gastro-oesophagealoesophageal junctionjunction (GOJ) is usually(GOJ) is usually displaced by more than 1cm above the hiatus.displaced by more than 1cm above the hiatus. The oesophageal hiatus is often abnormallyThe oesophageal hiatus is often abnormally widened to 3 - 4cm : the upper limit is 15mm.widened to 3 - 4cm : the upper limit is 15mm.  The gastric fundus may also be displaced aboveThe gastric fundus may also be displaced above thethe diaphragmdiaphragm and present as aand present as a retrocardiacretrocardiac massmass on a chest radiograph. The presence of an air-on a chest radiograph. The presence of an air- fluid level in the mass suggests the diagnosis.fluid level in the mass suggests the diagnosis.
  • 25.
    Newborn with acongenital short esophagus presenting with respiratory distress and gagging. a Chest radiograph shows a large cystic structure in the right hemithorax within which is coiled a nasogastric tube. Note a lens-shape density overlying the right lower chest (arrows) b Radiograph obtained after administration of watersoluble contrast material via the nasogastric tube confirms a short esophagus with a fixed intrathoracic stomach. Note the malfixated small bowel in the abdomen. c Sagittal T2-W MR image through the right chest shows a small additional posterolateral (Bochdalek) hernia with liver herniation (arrow)
  • 27.
    A 2-year-old girlwho presented with intermittent abdominal pain and mild shortness of breath caused by a small Bochdalek hernia. a Chest radiograph shows a moderate left plural effusion and mild small bowel dilatation. b Close-up image of the splenic flexure of the colon obtained during an enema using water-soluble contrast material shows a complete obstruction of the colon with a beak-like appearance. At surgery, ischemic colon was found in the left chest incarcerated by a 7-mm Bochdalek hernia
  • 28.
    Rolling (para-oesophageal) hiatusRolling(para-oesophageal) hiatus herniahernia  The GOJ remains in its normal location while aThe GOJ remains in its normal location while a portion of the stomach herniates above theportion of the stomach herniates above the diaphragmdiaphragm
  • 29.
    DiagnosisDiagnosis  UltrasoundUltrasound  ChestradiographChest radiograph  CTCT  MRIMRI
  • 30.
    UltrasoundUltrasound  Sonographic findingsincludeSonographic findings include  cardiomediastinal shift + / - abnormal cardiac axiscardiomediastinal shift + / - abnormal cardiac axis  the stomach being at same transverse level as the heart :the stomach being at same transverse level as the heart : this makes left sided hernias comparatively easier tothis makes left sided hernias comparatively easier to detect on ultrasound (as opposed to herniaion ofdetect on ultrasound (as opposed to herniaion of echogenic liver on the right side)echogenic liver on the right side)  portal veins in thorax (Doppler)portal veins in thorax (Doppler)  absent bowel loops in the abdomenabsent bowel loops in the abdomen  there may be polyhydramnios as an ancilliarythere may be polyhydramnios as an ancilliary sonographic featuresonographic feature
  • 31.
    US of chest-thereare multiple fluid-filled loops of the bowel within the left hemithorax
  • 32.
    Chest radiograph Chest radiograph  indistinct diaphragm with opacification of partindistinct diaphragm with opacification of part of or all the hemithorax (typically left sided)of or all the hemithorax (typically left sided)  scaphoid abdomenscaphoid abdomen  deviation of lines 3deviation of lines 3  endotracheal tubeendotracheal tube  nasogastic tubenasogastic tube  umbilical arterial and venous cathetersumbilical arterial and venous catheters
  • 33.
    Differential diagnosisDifferential diagnosis congenital cystic adenomatoid malformationcongenital cystic adenomatoid malformation (CCAM)(CCAM)  retrocardiac lung abscessretrocardiac lung abscess  retrocardiac empyemaretrocardiac empyema  Pulmonary sequestrationPulmonary sequestration  epiphrenic oesophageal diverticulumepiphrenic oesophageal diverticulum