DESQUAMATIVE GINGIVITIS
DR. BENITA MARIA REGI
1ST MDS
contents
• History
• Introduction
• Chronic desquamative gingivitis
• Systemic approach for the diagnosis of chronic desquamative gingivitis
• Diseases clinically presenting as desquamative gingivitis
*Lichen planus
*Pemphigus
*Pemphigoid
* Linear IgA disease
*Lupus erythematosus
* Dermatitis herpetiformis
*Chronic ulcerative stomatitis
• Miscellaneous Conditions Mimicking Desquamative Gingivitis
• Diagnostic pathways and clinical significance
• Conclusion
• References
HISTORY
Coined in 1932
McCarthy and
colleagues (1960)
Glickman and
Smulow (1964)
Introduction
• DG is a clinically relevant entity…..
• DG can be associated with a wide range…..
• Because the majority of disorders causing DG…..
• Chronic desquamative gingivitis is characterized by intense redness and
desquamation of the surface epithelium of the attached gingiva.
Chronic desquamative gingivitis
Etiology
• Dermatological diseases
• Endocrine disturbances
• Abnormal responses to
bacterial plaque
• Chronic infections
• Idiopathic
• Aging
(“desquamtive gingivitis- a clinical sign in mucous membrane pemphigoid: report of case and review of literature:
shamimul hassan”)
Nisengard and Neiders &
Rogers and his associates…
Epidemiological features
Pemphigus
vulgaris – 3%
to 15%
Oral lichen
planus – 24%
to 45%
Mucous
membrane
pemphigoid –
35% to 48%
“(Diagnostic Pathways and Clinical Significance of Desquamative Gingivitis
Lucio Lo Russo et al”)
Diagnosis of desquamative gingivitis:
Clinical
history
Clinical
examination
Biopsy
Microscopic
Examination
Immunofluore-
scence
Practitioner's
experience,
Systemic
impact of
the disease
Systemic
complications
of the
medications
Management:-
Treatment
∆ Local treatment
 Plaque control
 Use of corticosteroid ointments and creams
∆ Systemic treatment
High dose therapy
Moderate dose
therapy
Disorders associated with desquamative
gingivitis
ORAL LICHEN PLANUS:
 Immunologically mediated mucocutaneous
disorder - T cells play a central role.
 Middle aged & older women
 2:1 ratio
Idiopathic
Stress
Traumatism
Malnutrition
and infection
Autoimmune
Hereditary
Grinspans
syndrome
Lichen
planus
 Etiology
ORAL MANIFESTATIONS:
Radiating white or gray, velvety, thread-like papules in
a linear, annular or retiform arrangement forming
typical lacy, reticular patches, rings and streaks over
the buccal mucosa, lips, tongue and palate.
Vesicle and bulla formation.
GINGIVAL LESIONS
Atrophic
Atrophic Keratotic lesion
Erosive Reticular
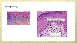
Histopathology
 DI- Linear-fibrillar deposits of fibrin in thebasement membrane zone.
 Scattered immunoglobulin-staining cytoid bodies in the upper areas of the lamina
propria.
 Serum tests using indirect immunofluorescenceare negative in lichenplanus.
TREATMENT:-
 The keratotic lesions of oral lichen planus are asymptomatic and do not
require treatment.
 The erosive, bullous, or ulcerative lesions of oral lichen planus are treated with high-
potency topical steroid such as 0.05% fluocinonide ointment (Lidex, three times daily).
 It can also be mixed 1:1 with carboxymethyl cellulose (Orabase) paste or other adhesive
ointment.
• SEVERE CASES - Intralesional injections of triamcinolone acetonide (10 to 20 mg) or
short-term regimens of 40 mg prednisone daily for 5 days followed by 10 to 20 mg
daily for an additional 2 weeks.
• Topical tacrolimus
PEMPHIGOID
Cutaneous, immune-mediated, subepithelial bullous diseases that are
characterized by a separation of the basement membrane zone, including
bullous pemphigoid pemphigoid
gestationis
mucous membrane
pemphigoid
 Cicatricial pemphigoid.
 Chronic, vesiculobullous autoimmune disorder
 It predominantly affects women in fifth decade of life.
Five subtypes:-
Symblepharon
Ankyloblepharon
Small vesicular lesions on conjunctiva –
eventually produces scarring, corneal damage
and blindness
Ocularinvolvement
ORAL MANIFESTATIONS
• Desquamative gingivitis with areas of
erythema, desquamation, ulceration, and
vesiculation of the attached gingiva.
• Bullae- thick roof- rupture in 2-3 days
leaving irregular shaped areas of ulceration;
healing- 3 weeks or longer.
• Separation of epithelium and C.T.occursatthebasementmembranezone.
• EM- shows spilt in basal lamina
Immunopathology
• Direct immunofluorescence
- IgG and C3
• Indirect immunofluorescence
- positive in <25%
• Topical steroids – main Rx for mucous memb. Pemphi.
• Fluocinonide(0.05%) and Clobetasol propionate (0.05%) in an adhesive
vehicle can be used 3 times a day for 6 mnths.
BULLOUS PEMPHIGOID
•Chronic, autoimmune, subepidermal, bullous disease with tense bullae that rupture and
become flaccid in the skin.
Oral Manifestations
• Oral lesions – less frequently in BP than in CP
• Presence of vesicles and areas of erosion and ulceration
• Lesion- painful
• Gingival tissues appear extremely erythematous….
Bullae on gingiva
Histologically,
• No acantholysis
• The epithelium separates from the underlying
connective tissue at the basement membrane zone
 IgG&C3 immune deposits along epithelial basement membrane and circulating IgG
antibodies to the epithelial basement membrane.
 Direct immunofluorescence is positive in 90% to 100% of these patients, whereas
indirect immunofluorescence is positive in 40% to 70% of affected patients
• control signs and symptoms
• Primary Rx –moderate dose of systemic prednisone
• Steroid sparing strategies (Prednisone + immunomodulatory drugs)…
• For localized lesions of bullous pemphigoid,….
• PEMPHIGUS - Group of autoimmune bullous disorders - cutaneous and/or mucous
membrane blisters
Types
P. vulgaris P. foliaceous
P. vegetans
P. erythematosus
• Lethal chronic condition
• Predilection in women(after 4th decade of life)
• Range from small vesicles to large bullae
• Rupture of bullae leads to extensive areas of
ulceration
• Any area of oral cavity involved- Oral
lesions confine less often to gingival
tissues
• Nikolsky’s sign….
ORAL LESIONS:-
Soft palate > buccal mucosa > tongue > lower labial mucosa > gingiva
HISTOPATHOLOGY
• Intraepithelial vesiculation
•Tombstone appearance of epithelial cells.
•Acantholysis
• Intercellular deposits in epithelium
• ( IgG in most; C3 in some) of perilesional mucosa
TREATMENT
• Systemic corticosteroids with or without other immunosuppressive agents
• Steroid sparing therapies- pt not responsive to corticosteroid.
• Optimal oral hygiene
• Pts in maintenance phase- prednisone before oral prophylaxis and periodontal surgery
to prevent flare ups.
CHRONIC ULCERATIVE STOMATITIS
• 1990
• Condition presents with chronic oral ulcerations
• Predilection for women(4th decade)
• Erosions and ulcerations in oral cavity- few cases
with cutaneous lesions
ORAL LESIONS
•Painful, solitary small blisters and erosions with surrounding erythema – mainly
on gingiva and lateral border of the tongue ; hard palate may also present similar
lesions.
TREATMENT
• Mild cases- topical steroids (fluocinonide, clobetasol propionate) and topical
tetracycline
• Severe cases- systemic steroids
• Hydroxychloroquine sulfate 200-400 mg/ day – Rx of choice for complete,
long lasting remission
LINEAR IgA DISEASE (LINEAR IgA DERMATOSIS)
• Uncommon mucocutaneous disorder with
predilection in women
C/F
• Pruritic Vesiculo bullous rash, during middle to
late age..
ORAL LESIONS
• Vesicles, Painful ulcerations or erosions and erosive gingivitis/chelitis
• Hard and soft palate commonly affected →
tonsillar pillars, buccal mucosa, tongue and gingiva
• Rarely, oral lesion may be the only manifestation for several years; before
cutaneous lesions
Combination of
Sulfones and
Dapsone
Small amounts of
Prednisone (10-
30mg/day) canbe
added
tetracycline
(2g/day)
combined with
nicotinamide (1-
5g/day)
Mycophenolate(1g
twice daily) +
prednisolone
(30mg daily)
 Chronic condition
 Young adults (20-30years)
 Slight predilection formales.
 Bilateral and symmetric pruriticpapules/vesicles…
 Oral lesions - Painful ulcerations preceded by collapse of ephemeral
vesicles/bullae to erythematous lesions.
HISTOPATHOLOGY
 Focal aggregates of neutrophils and eosinophils amidst deposits of fibrin at the apices
of the dermal pegs.
IMMUNOFLUORESENCE
 Direct immunofluoresence show that IgA &C3 are present at the dermal papillary apices.
There is clear association with celiac disease & circulatory anti endomysial and anti
gliaden antibodies may be of diagnostic value.
TREATMENT
 Gluten freediet
 Oral Dapsone
 It is an autoimmune disease with three different clinical presentations
 1. Systemic Lupus Erythematosus
 2. Chronic Cutaneous Lupus Erythematosus (CCLE)
 3. Subacute Cutaneous Lupus Erythematosus (SCLE)
• Predilection for females (10:1)
• Affects vital organs – kidneys, heart
• Classic cutaneous lesion….
• Oral lesions (36% of SLE patients) - ulcerative or lichen
planus-like
• Skin lesions – Discoid lupus erythematosus
• Describes chronic scarring and atrophy producing..
• Oral lesions - 9% of patients present lichen planus-like plaques..
Soft palate > buccal mucosa > tongue > lower labial mucosa > gingiva
SUBACUTE CUTANEOUS LUPUS ERYTHEMATOUS
• present cutaneous lesions that are similar to DLE but that lack the development of
scarring and atrophy.
TREATMENT
ERYTHEMA MULTIFORME
• An acute bullous and/or macular inflammatory mucocutaneous disease
• young adults between the ages of 20 and 40 years;
•EM minor-
•Stevens –Johnson syndrome/ Erythema multiforme major
•Toxic epidermal necrolysis
• Target or iris lesions with central clearing
Oral lesions
• 70% of patients with skin involvement (McCarthy 1980)
• Multiple, large, painful ulcers with an erythematous border
• Hemorrhagic crusting of vermilion border of lips
Buccal mucosa > tongue >lower labial mucosa > floor of the mouth > palate > gingiva.
Steven Johnsons Syndrome
• Severe bullous form
• Abrupt occurrence of fever, malaise, photophobia and
eruptions of oral mucosa, genitilia and skin
• Oral lesions → rupture → surfaces covered with thick white
or yellow exudate
• Lips - ulceration with bloody crusting
• ANUG
TREATMENT
DRUG ERUPTIONS
• Drug acts as an allergen either alone or in combination, sensitizes the tissues and
then causing the allergic reaction.
• TYPES
- Stomatitis medicamentosa - mouth or parenterally
- Stomatitis venenata(contact dermatitis) – local use.
Etiology
Sulphonamides, barbiturates
and antibiotics
Mercurial compounds
Toothpaste
• Vesiculo bullous to
pigmented or non-
pigmented macular
lesions.
Erosions result in
ulceration and
purpuric lesions
gingiva
ORAL LESIONS
Factitious lesions
Graft vs. Host disease
Wegener's granulomatosis
Foreign body gingivitis
MISCELLANEOUS CONDITIONS MIMICKING DESQUAMATIVE GINGIVITIS
Candidiasis
MISCELLANEOUS CONDITIONS MIMICKING DESQUAMATIVE GINGIVITIS
Kindler syndrome
Summary of diagnostic pathways
“(Diagnostic Pathways and Clinical Significance of Desquamative Gingivitis
Lucio Lo Russo et al”)
Clinical significance
• Painful gingival and oral lesions…..
• This can increase the inflammation associated with DG lesions,….
• The potential direct effects of DG-associated disorders on periodontal status have been investigated
rarely.
• It seems that the presence of DG lesions….
• In addition, systemic/topical…..
• Oral hygiene procedures should be performed avoiding trauma because many immune-mediated
disorders associated with DG are characterized by the Koebner phenomenon,
• Systemic complications also are important…..
• Systemic corticosteroids and/ or other immune suppressive drugs….
• A small but increased risk for malignant transformation of the oral mucosa….
“(Diagnostic Pathways and Clinical Significance of Desquamative Gingivitis
Lucio Lo Russo et al”)
• From a theoretic point of view, disorders causing DG may have potential harmful
• In fact, DG lesions are typically chronic and often associated to a wide range of oral
symptoms….
• In the instance of such an indirect effect…..
• On the other hand, a direct effect of DG lesions on periodontitis …..(Kornman, 2008).
• Immune-inflammatory mechanisms are also critical for the pathogenesis of most of DG-associated
disorders (Lo Russo et al, 2008), which often involves common molecules⁄cytokine networks [e.g. TNF-
a for OLP (Sugerman et al, 2002; Sugermann et al, 1996; Khan et al, 2003)].
• (Tricamo et al, 2006) showed that…...
• (Akman et al, 2008)…..
(“Desquamative Gingivitis − Aetiology, Diagnosis and Management
Lewis Winning et al”)
C0NCLUSION
references
•Carranza clinical periodontology 12th edition
•Shafer's oral pathology 5th edition
•Diagnostic Pathways and Clinical Significance of Desquamative Gingivitis
J Periodontol 2008;79:4-24.
•Position Paper Oral Features of Mucocutaneous Disorders
J Periodontol 2003;74:1545-1556.
•Desquamative Gingivitis: Investigation, Diagnosis and Therapeutic Management in Practice
Perio 2005; Vol 2, Issue 3: 183–190
•Periodontal Implications: Mucocutaneous Disorders
Ann Periodontol 1996;1:401-438
• Desquamative Gingivitis − Aetiology, Diagnosis and Management;
Lewis Winning, Amanda Willis, Brian Mullally and Christopher Irwin
• Desquamtive gingivitis- a clinical sign in mucous membrane pemphigoid: report of case and review of
literature: Shamimul Hassan
desquamative gingivitis

desquamative gingivitis

  • 1.
  • 2.
    contents • History • Introduction •Chronic desquamative gingivitis • Systemic approach for the diagnosis of chronic desquamative gingivitis • Diseases clinically presenting as desquamative gingivitis *Lichen planus *Pemphigus *Pemphigoid * Linear IgA disease *Lupus erythematosus * Dermatitis herpetiformis *Chronic ulcerative stomatitis
  • 3.
    • Miscellaneous ConditionsMimicking Desquamative Gingivitis • Diagnostic pathways and clinical significance • Conclusion • References
  • 4.
    HISTORY Coined in 1932 McCarthyand colleagues (1960) Glickman and Smulow (1964)
  • 5.
    Introduction • DG isa clinically relevant entity….. • DG can be associated with a wide range….. • Because the majority of disorders causing DG…..
  • 6.
    • Chronic desquamativegingivitis is characterized by intense redness and desquamation of the surface epithelium of the attached gingiva. Chronic desquamative gingivitis
  • 8.
    Etiology • Dermatological diseases •Endocrine disturbances • Abnormal responses to bacterial plaque • Chronic infections • Idiopathic • Aging (“desquamtive gingivitis- a clinical sign in mucous membrane pemphigoid: report of case and review of literature: shamimul hassan”)
  • 9.
    Nisengard and Neiders& Rogers and his associates…
  • 10.
    Epidemiological features Pemphigus vulgaris –3% to 15% Oral lichen planus – 24% to 45% Mucous membrane pemphigoid – 35% to 48% “(Diagnostic Pathways and Clinical Significance of Desquamative Gingivitis Lucio Lo Russo et al”)
  • 11.
    Diagnosis of desquamativegingivitis: Clinical history Clinical examination Biopsy Microscopic Examination Immunofluore- scence
  • 12.
  • 13.
    Treatment ∆ Local treatment Plaque control  Use of corticosteroid ointments and creams ∆ Systemic treatment High dose therapy Moderate dose therapy
  • 14.
    Disorders associated withdesquamative gingivitis
  • 15.
    ORAL LICHEN PLANUS: Immunologically mediated mucocutaneous disorder - T cells play a central role.  Middle aged & older women  2:1 ratio
  • 16.
  • 18.
    ORAL MANIFESTATIONS: Radiating whiteor gray, velvety, thread-like papules in a linear, annular or retiform arrangement forming typical lacy, reticular patches, rings and streaks over the buccal mucosa, lips, tongue and palate. Vesicle and bulla formation.
  • 19.
  • 20.
  • 21.
     DI- Linear-fibrillardeposits of fibrin in thebasement membrane zone.  Scattered immunoglobulin-staining cytoid bodies in the upper areas of the lamina propria.  Serum tests using indirect immunofluorescenceare negative in lichenplanus.
  • 22.
    TREATMENT:-  The keratoticlesions of oral lichen planus are asymptomatic and do not require treatment.  The erosive, bullous, or ulcerative lesions of oral lichen planus are treated with high- potency topical steroid such as 0.05% fluocinonide ointment (Lidex, three times daily).  It can also be mixed 1:1 with carboxymethyl cellulose (Orabase) paste or other adhesive ointment.
  • 23.
    • SEVERE CASES- Intralesional injections of triamcinolone acetonide (10 to 20 mg) or short-term regimens of 40 mg prednisone daily for 5 days followed by 10 to 20 mg daily for an additional 2 weeks. • Topical tacrolimus
  • 24.
    PEMPHIGOID Cutaneous, immune-mediated, subepithelialbullous diseases that are characterized by a separation of the basement membrane zone, including bullous pemphigoid pemphigoid gestationis mucous membrane pemphigoid
  • 25.
     Cicatricial pemphigoid. Chronic, vesiculobullous autoimmune disorder  It predominantly affects women in fifth decade of life. Five subtypes:-
  • 27.
    Symblepharon Ankyloblepharon Small vesicular lesionson conjunctiva – eventually produces scarring, corneal damage and blindness Ocularinvolvement
  • 28.
    ORAL MANIFESTATIONS • Desquamativegingivitis with areas of erythema, desquamation, ulceration, and vesiculation of the attached gingiva. • Bullae- thick roof- rupture in 2-3 days leaving irregular shaped areas of ulceration; healing- 3 weeks or longer.
  • 29.
    • Separation ofepithelium and C.T.occursatthebasementmembranezone. • EM- shows spilt in basal lamina
  • 30.
    Immunopathology • Direct immunofluorescence -IgG and C3 • Indirect immunofluorescence - positive in <25%
  • 31.
    • Topical steroids– main Rx for mucous memb. Pemphi. • Fluocinonide(0.05%) and Clobetasol propionate (0.05%) in an adhesive vehicle can be used 3 times a day for 6 mnths.
  • 32.
    BULLOUS PEMPHIGOID •Chronic, autoimmune,subepidermal, bullous disease with tense bullae that rupture and become flaccid in the skin.
  • 33.
    Oral Manifestations • Orallesions – less frequently in BP than in CP • Presence of vesicles and areas of erosion and ulceration • Lesion- painful • Gingival tissues appear extremely erythematous…. Bullae on gingiva
  • 34.
    Histologically, • No acantholysis •The epithelium separates from the underlying connective tissue at the basement membrane zone
  • 35.
     IgG&C3 immunedeposits along epithelial basement membrane and circulating IgG antibodies to the epithelial basement membrane.  Direct immunofluorescence is positive in 90% to 100% of these patients, whereas indirect immunofluorescence is positive in 40% to 70% of affected patients
  • 36.
    • control signsand symptoms • Primary Rx –moderate dose of systemic prednisone • Steroid sparing strategies (Prednisone + immunomodulatory drugs)… • For localized lesions of bullous pemphigoid,….
  • 37.
    • PEMPHIGUS -Group of autoimmune bullous disorders - cutaneous and/or mucous membrane blisters Types P. vulgaris P. foliaceous P. vegetans P. erythematosus
  • 38.
    • Lethal chroniccondition • Predilection in women(after 4th decade of life)
  • 40.
    • Range fromsmall vesicles to large bullae • Rupture of bullae leads to extensive areas of ulceration • Any area of oral cavity involved- Oral lesions confine less often to gingival tissues • Nikolsky’s sign…. ORAL LESIONS:- Soft palate > buccal mucosa > tongue > lower labial mucosa > gingiva
  • 41.
    HISTOPATHOLOGY • Intraepithelial vesiculation •Tombstoneappearance of epithelial cells. •Acantholysis
  • 42.
    • Intercellular depositsin epithelium • ( IgG in most; C3 in some) of perilesional mucosa
  • 43.
    TREATMENT • Systemic corticosteroidswith or without other immunosuppressive agents • Steroid sparing therapies- pt not responsive to corticosteroid. • Optimal oral hygiene • Pts in maintenance phase- prednisone before oral prophylaxis and periodontal surgery to prevent flare ups.
  • 44.
    CHRONIC ULCERATIVE STOMATITIS •1990 • Condition presents with chronic oral ulcerations • Predilection for women(4th decade) • Erosions and ulcerations in oral cavity- few cases with cutaneous lesions ORAL LESIONS •Painful, solitary small blisters and erosions with surrounding erythema – mainly on gingiva and lateral border of the tongue ; hard palate may also present similar lesions.
  • 45.
    TREATMENT • Mild cases-topical steroids (fluocinonide, clobetasol propionate) and topical tetracycline • Severe cases- systemic steroids • Hydroxychloroquine sulfate 200-400 mg/ day – Rx of choice for complete, long lasting remission
  • 46.
    LINEAR IgA DISEASE(LINEAR IgA DERMATOSIS) • Uncommon mucocutaneous disorder with predilection in women C/F • Pruritic Vesiculo bullous rash, during middle to late age..
  • 47.
    ORAL LESIONS • Vesicles,Painful ulcerations or erosions and erosive gingivitis/chelitis • Hard and soft palate commonly affected → tonsillar pillars, buccal mucosa, tongue and gingiva • Rarely, oral lesion may be the only manifestation for several years; before cutaneous lesions
  • 48.
    Combination of Sulfones and Dapsone Smallamounts of Prednisone (10- 30mg/day) canbe added tetracycline (2g/day) combined with nicotinamide (1- 5g/day) Mycophenolate(1g twice daily) + prednisolone (30mg daily)
  • 49.
     Chronic condition Young adults (20-30years)  Slight predilection formales.  Bilateral and symmetric pruriticpapules/vesicles…  Oral lesions - Painful ulcerations preceded by collapse of ephemeral vesicles/bullae to erythematous lesions.
  • 50.
    HISTOPATHOLOGY  Focal aggregatesof neutrophils and eosinophils amidst deposits of fibrin at the apices of the dermal pegs. IMMUNOFLUORESENCE  Direct immunofluoresence show that IgA &C3 are present at the dermal papillary apices. There is clear association with celiac disease & circulatory anti endomysial and anti gliaden antibodies may be of diagnostic value.
  • 51.
  • 52.
     It isan autoimmune disease with three different clinical presentations  1. Systemic Lupus Erythematosus  2. Chronic Cutaneous Lupus Erythematosus (CCLE)  3. Subacute Cutaneous Lupus Erythematosus (SCLE)
  • 53.
    • Predilection forfemales (10:1) • Affects vital organs – kidneys, heart • Classic cutaneous lesion…. • Oral lesions (36% of SLE patients) - ulcerative or lichen planus-like
  • 54.
    • Skin lesions– Discoid lupus erythematosus • Describes chronic scarring and atrophy producing.. • Oral lesions - 9% of patients present lichen planus-like plaques.. Soft palate > buccal mucosa > tongue > lower labial mucosa > gingiva
  • 55.
    SUBACUTE CUTANEOUS LUPUSERYTHEMATOUS • present cutaneous lesions that are similar to DLE but that lack the development of scarring and atrophy.
  • 56.
  • 57.
    ERYTHEMA MULTIFORME • Anacute bullous and/or macular inflammatory mucocutaneous disease • young adults between the ages of 20 and 40 years;
  • 58.
    •EM minor- •Stevens –Johnsonsyndrome/ Erythema multiforme major •Toxic epidermal necrolysis
  • 59.
    • Target oriris lesions with central clearing Oral lesions • 70% of patients with skin involvement (McCarthy 1980) • Multiple, large, painful ulcers with an erythematous border • Hemorrhagic crusting of vermilion border of lips
  • 60.
    Buccal mucosa >tongue >lower labial mucosa > floor of the mouth > palate > gingiva.
  • 61.
    Steven Johnsons Syndrome •Severe bullous form • Abrupt occurrence of fever, malaise, photophobia and eruptions of oral mucosa, genitilia and skin • Oral lesions → rupture → surfaces covered with thick white or yellow exudate • Lips - ulceration with bloody crusting • ANUG
  • 62.
  • 63.
    DRUG ERUPTIONS • Drugacts as an allergen either alone or in combination, sensitizes the tissues and then causing the allergic reaction. • TYPES - Stomatitis medicamentosa - mouth or parenterally - Stomatitis venenata(contact dermatitis) – local use.
  • 64.
  • 65.
    • Vesiculo bullousto pigmented or non- pigmented macular lesions. Erosions result in ulceration and purpuric lesions gingiva ORAL LESIONS
  • 66.
    Factitious lesions Graft vs.Host disease Wegener's granulomatosis Foreign body gingivitis MISCELLANEOUS CONDITIONS MIMICKING DESQUAMATIVE GINGIVITIS
  • 67.
    Candidiasis MISCELLANEOUS CONDITIONS MIMICKINGDESQUAMATIVE GINGIVITIS Kindler syndrome
  • 68.
  • 69.
    “(Diagnostic Pathways andClinical Significance of Desquamative Gingivitis Lucio Lo Russo et al”)
  • 70.
    Clinical significance • Painfulgingival and oral lesions….. • This can increase the inflammation associated with DG lesions,…. • The potential direct effects of DG-associated disorders on periodontal status have been investigated rarely.
  • 71.
    • It seemsthat the presence of DG lesions…. • In addition, systemic/topical….. • Oral hygiene procedures should be performed avoiding trauma because many immune-mediated disorders associated with DG are characterized by the Koebner phenomenon,
  • 72.
    • Systemic complicationsalso are important….. • Systemic corticosteroids and/ or other immune suppressive drugs…. • A small but increased risk for malignant transformation of the oral mucosa…. “(Diagnostic Pathways and Clinical Significance of Desquamative Gingivitis Lucio Lo Russo et al”)
  • 73.
    • From atheoretic point of view, disorders causing DG may have potential harmful • In fact, DG lesions are typically chronic and often associated to a wide range of oral symptoms…. • In the instance of such an indirect effect…..
  • 74.
    • On theother hand, a direct effect of DG lesions on periodontitis …..(Kornman, 2008). • Immune-inflammatory mechanisms are also critical for the pathogenesis of most of DG-associated disorders (Lo Russo et al, 2008), which often involves common molecules⁄cytokine networks [e.g. TNF- a for OLP (Sugerman et al, 2002; Sugermann et al, 1996; Khan et al, 2003)].
  • 75.
    • (Tricamo etal, 2006) showed that…... • (Akman et al, 2008)…..
  • 76.
    (“Desquamative Gingivitis −Aetiology, Diagnosis and Management Lewis Winning et al”)
  • 77.
  • 78.
    references •Carranza clinical periodontology12th edition •Shafer's oral pathology 5th edition •Diagnostic Pathways and Clinical Significance of Desquamative Gingivitis J Periodontol 2008;79:4-24. •Position Paper Oral Features of Mucocutaneous Disorders J Periodontol 2003;74:1545-1556. •Desquamative Gingivitis: Investigation, Diagnosis and Therapeutic Management in Practice Perio 2005; Vol 2, Issue 3: 183–190 •Periodontal Implications: Mucocutaneous Disorders Ann Periodontol 1996;1:401-438 • Desquamative Gingivitis − Aetiology, Diagnosis and Management; Lewis Winning, Amanda Willis, Brian Mullally and Christopher Irwin • Desquamtive gingivitis- a clinical sign in mucous membrane pemphigoid: report of case and review of literature: Shamimul Hassan