ÑAÏI CÖÔNG
CHAÁN THÖÔNG
VAØ BEÄNH LYÙ
COÄT SOÁNG
VAÄN ÑOÄNG TOÅNG
THEÅ CUÛA COÄT
SOÁNG
SÖÏ COÁT HOÙA ÔÛ
COÄT SOÁNG

5 THAÙNG

5 TUOÅI

12 TUOÅI
TAÊNG TRÖÔÛNG THEO
CHIEÀU DAØI VAØ
500

THEÅ TÍCH

400
300

Nhu nhi
10 tuoi
nguoi lon

200
100
0

KC D1-S1

the trong
SOÁNG =
TAÊNG TRÖÔÛNG LOÀNG
NGÖÏC
CHAÁN THÖÔNG COÄT
SOÁNG
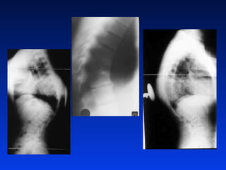
 Coät soáng coå cao: chaåm-C1-C2
 Coät soáng coå thaáp: C3 –C7
 Coät soáng löng: L1- L10
 Coät soáng löng- thaét löng: L10 –
TL2
 Coät soáng thaét löng: TL3 – TL5
 Coät soáng cuøng cuït
CHAÁN THÖÔNG COÄT
SOÁNG
COÙ NHIEÀU PHAÂN LOAÏI

 Toån thöông ñoát soáng
 Toån thöông ñoát soáng vaø
daây chaèng
 Toån thöông ñóa soáng vaø
daây chaèng
Chaán thöông coät soáng
 Toån thöông vöõng hay khoâng vöõng
(coù khaû naêng di leäch thöù phaùt)
 Keøm vôùi toån thöông tuûy soáng
 Keøm vôùi nhöõng toån thöông khaùc
 Coù nhieàu möùc thöông toån khaùc
(5%)
Chaán thöông coät
soáng
 Khaùm toaøn dieän: coät soáng vaø tuûy
soáng
 Nghó ñeán toån thöông CS (khoâng loaïi
tröø hoaëc khoâng chaéc chaén phaûi xöû
trí nhö 1 bn tt coät soáng cho tôùi khi loaïi
tröø ñöôïc), traùnh toån thöông thaàn kinh
naëng hôn (hoân meâ sau chaán thöông, teâ
bì, dò caûm, yeáu chi , ñau coå hay ñau
löng)
CHAÁN THÖÔNG COÄT
SOÁNG
Khaùm BN CTCS phaûi ñaùnh
giaù 2 vaán ñeà
 TT coät soáng –vöõng hay
khoâng vöõng
 Toån thöông tuûy soáng
CHAÁN THÖÔNG TUÛY
SOÁNG ?
• Vaän ñoäng: löïc cô, cô khoaù
• Caûm giaùc: noâng, saâu, möùc
caûm giaùc
• Cô voøng: boïng ñaùi, haäu moân
• Phaûn xaï: gaân xöông, beänh lyù
• Dinh döôõng

FAIRBANKS
CHAÁN THÖÔNG TUÛY
SOÁNG
Phaân loaïi
 Soác tuûy
 Toåân thöông tuûy soáng hoaøn
toaøn
 Toån thöông tuûy soáng khoâng
hoaøn toaøn
Chaán thöông tuûy
soáng
Toån thöông tuûy hoaøn toaøn
Toån thöông tuûy khoâng hoaøn
toaøn
 Toån thöông tuûy beân (BrownSeùquard)
 Toån thöông tuûy trung taâm
 Toån thöông tuûy tröôùc
Toån thöông tuûy tröôùc

Toån thöông tuûy sau

Toån thöông tuûy beân

Toån thöông tuûy trung taâm
Toån thöông reã
thaàn kinh
 Toån thöông reã ñôn thuaàn
 Toån thöông chuøm ñuoâi
ngöïa
KHAÙM LAÂM
SAØNG
 ABCDE
 Coá ñònh coät soáng keå caû luùc khaùm
 Xoay trôû BN CTCS theo khoái
 Quan saùt vaø sôø naén
 Ñaùnh giaù vaän ñoäng – caûm giaùc theo
FRANKEL
TOÅN THÖÔNG NHÌN THAÁY TREÂN X QUANG BAN
ÑAÀU
X QUANG ÑUÛ ÑEÅ CHAÅN
ÑOAÙN

DÒ DAÏNG
XÖÔNG

XÔ CÖÙNG
KHU TRUÙ

X QUANG KHOÂNG ÑUÛ ÑEÅ
CHAÅN ÑOAÙN

DD
ÑÓA

CAÙC DD
KHAÙC

ROÄNG OÁNG
TUÛY

DD
QUANH
SOÁNG

SIEÂU AÂM
CHAÁN THÖÔNG COÄT
SOÁNG COÅ
•
•
•
•
•
•
•
•

CTCS coå do saûn khoa
Traät chaåm ñoäi
Gaõy ñoát ñoäi
Maát vöõng C1C2 (MV ngang)
Traät xoay C1C2
Gaõy moûm raêng C2
Gaõy chaân cung C2
Caùc toån thöông döôùi truïc
HÌNH AÛNH HOÏC CS COÅ
NGANG
HÌNH AÛNH HOÏC
1. Mac Gregor
2. Mac Rae
3. Chamberlain
HÌNH AÛNH HOÏC

Chæ soá Power
(BC/OA) > 1 laø
baát thöôøng

Khoaûng
caùch truïc
ñoäi (ADI)
Khoaûng
caùch cho tuyû
(SAC)

Kyõ thuaät
Wiesel vaø
Rothman > 1
mm laø baát
thöôøng ôû
phim Xquang
HÌNH AÛNH HOÏC

Gaõy doïc khoái beân traùi cuûa C1 ôû treû 5 tuoåi (1).
Chuù yù coøn suïn taêng tröôûng ôû cung tröôùc (2). Hôû
HÌNH AÛNH HOÏC

A. Voøng Harris nhìn thaáy treân phim nghieâng
B. Gaõy chaân moûm raêng
C. Gaõy ñaùy moûm raêng keøm theo gaõy cung sau
C1
A.Ñöôøng Swischuk töø bôø tröôùc cung sau C1C3 neáu ñöôøng naøy ra tröôùc bôø tröôùc
cung sau C2 coù theå gaõy chaân cung, STH
cung thaàn kinh, hay cung sau
PP Cattel vaø Filzer cho pheùp ñaùnh giaù
söï maát vöõng C2C3 baèng phim xquang
ñoäng
TOÅN THÖÔNG TUÛY KHOÂNG
THAÁY BAÁT THÖÔØNG TREÂN XQUANG

SCIWORA

Hình caét doïc CS cuûa treû bò
ngöôïc ñaõi minh hoïa bong taám
suïn giöõa C3C4 gaây ñöùt tuyû
vaø toån thöông tuûy xuyeân qua
TRAÄT XOAY C1C2

Traät xoay
C1C2

Sau khi naén vaø
coá ñònh baèng
chæ theùp
GAÕY C1 – C2
• CT SCAN
• CAÙC LOAÏI GAÕY KHOÂNG VÖÕNG
A. Gaõy bong suïn tieáp hôïp moûm raêng
B. Coá ñònh baèng neïp minerve tö theá öôõn coå
nhieàu
C. Xquang ñoäng kieåm tra sau 8 tuaàn
GAÕY CHAÂN
CUNG C2 TREÛ
NHOÛ
GAÕY TRAÄT C5C6 LUÙC SANH, LIEÄT
TÖÙ CHI
Bong gaân naëng

Maát vöõng C3C4 sau
HÌNH AÛNH
XQUANG

Gaõy traät moät maáu khôùp C6-C7
HÌNH AÛNH
XQUANG

Gaõy gioït leä C5
A.Phim thaúng gia taêng ñöôøng kính chaân
cung
XQUANG GAÕY PHÖÙC
TAÏP
1, 2. Gaõy thaân C4 ñöôøng
gaõy ñi töø treân xuoáng
döôùi vaø ra sau gaây daõn
roäng moûm khôùp sau
C4C5
3. Gaõy keøm theo thaân cuûa
C2
HÌNH AÛNH XQUANG
ÑOÄNG

Toån thöông bong gaân
naëng C6C7. gaõy cung
sau vaø moûm khôùp

Traät C6C7
HÌNH AÛNH XQUANG
ÑOÄNG

Xquang ñoäng: di leäch gaõy chaân moûm raêng C2
A. Di leäch ra sau khi ngöûa coå
B. Di leäch ra tröôùc khi gaäp coå
HÌNH AÛNH XQUANG
ÑOÄNG

Traät chaåm coå
A. Hình aûnh treân phim Xquang nghieâng
B. C. traät loài caàu chaåm ñoäi raát khoâng vöõng, töï
naén khi ngöûa coå, traät khi gaäp coå
Caùc chaán thöông CS
ngöïc vaø CS thaét löng
• Gaõy cuùi (gaõy luùn)
• Gaõy luùn naëng (>50% thaân tröôùc,
luùn nhieàu ñoát)
• Gaõy nhieàu maûnh
• Gaõy cuùi caêng
• Gaõy traät
• Gaõy nhoû caùc moûm raêng , gai
Gaõy luùn nhieàu maûnh CS
thaét löng
CHAÁN THÖÔNG ÑAËC
BIEÄT
ÔÛ TREÛ EM

• Gaõy suïn tieáp hôïp
ñoát soáng
• Gaõy do baïo haønh
• Sciwora
• Bieán daïng muoän
CAÙC BEÄNH LYÙ VUØNG
COÄT SOÁNG
 Caùc vaán ñeà cô hoïc
 Baát thöôøng veà phaùt trieån
 Toån thöông do vieâm
 Böôùu
 Phaûn öùng chuyeån hoùa
COØNG LÖNG
BEÄNH LYÙ VEÀ CÔ
HOÏC
 Tö theá quaù taûi
 Caùc beänh lyù veà cô
 "Hoaït ñoäng quaù möùc"
 Thoaùt vò ñóa ñeäm
 Raùch ñóa ñeäm
THOAÙT VÒ ÑÓA
ÑEÄM
 Hieám gaëp ôû thieáu nieân, thöôøng
thaáy nhaát sau moät gaéng söùc quaù
möùc (theå gia ñình)
 Thoaùt vò döôùi vaønh suïn thaân
soáng ñaëc hieäu ôû thieáu nieân
 Ñieàu trò baûo toàn hay phaãu thuaät
THOAÙT VÒ ÑÓA
ÑEÄM
 Sau chaán thöông
 Coù theå do di truyeàn
THOAÙT VÒ ÑÓA ÑEÄ
Beânh lyù chung
Gaõy vaønh suïn thaân soáng
Thoaùt vò ñóa ñeäm
Loài ñóa ñeäm
CAÙC TRÖÔØNG HÔÏP ÑAU
COÄT SOÁNG GAÂY LO LAÉNG
ÔÛ TREÛ

• 50% BEÄNH NHAÂN COÙ TRIEÄU
CHÖÙNG ÑAU KHOÂNG ÑAËC
HIEÄU
TURNER
CHAÁN THÖÔNG BEÄNH
LYÙ
 Gaõy cs ngöïc hay thaét löng
nhieàu nôi
 Teù vôùi löïc taùc ñoäng nheï
 Beänh caûnh loaõng xöông
Gaõy coät soáng do loaõng
xöông
GAÕY XÖÔNG CHAÁN THÖÔNG NHEÏ ÑÖÔÏC TÌM THAÁY
TRONG LOAÕNG XÖÔNG THIEÁU NIEÂN
BEÄNH LYÙ
PHAÙT TRIEÅN BAÁT
THÖÔØNG
 Baát thöôøng hình thaùi hoïc:
baåm sinh hay töï phaùt hay
maéc phaûi
 Huûy eo ñoát soáng
 Tröôït thaân ñoát soáng
 Heïp oáng soáng
 Loaïn döôõng taêng tröôûng
Veïo coät soáng caáu truùc töï
phaùt
VEÏO CAÁU TRUÙC töï
phaùt theå khôûi phaùt
sôùm
EÏO CAÁU TRUÙC TÖÏ PHAÙT
VEÏO COÄT SOÁNG TRONG
HOÄI CHÖÙNG

HOÄI CHÖÙNG MARFAN

BEÄNH VON RECKLINGHAUSEN
EÏO COÄT SOÁNG
REÂN BN LIEÄT TÖØ NHOÛ
VEÏO / GUØ
BAÅM SINH
KEØM BAÁT THÖÔØNG KHAÙC:
 TUÛY CHEÛ ÑOÂI
 ROÃNG TUÛY
 BÖÔÙU MÔÕ
 TUÛY BAÙM THAÁP
 BEÄNH CAÛNH: BAØN CHAÂN VOØM
HOAËC BAØN CHAÂN KHOEØO, CHEÂNH
LEÄCH CHIEÀU DAØI HAI CHAÂN,
TIEÅU KHOÂNG TÖÏ CHUÛ
VEÏO DO THAÀN
KINH
Veïo coät soáng thaét löng ôû
ngöôøi tröôûng thaønh
2 nguyeân nhaân chính:
1. Tieán trieån VCS luùc thieáu nieân
2. Thoùai hoùa cs thaét löng thöôøng sau
tuoåi 50: do ñóa thoaùi hoùa hay do
loõang xöông
Tuy nhieân trong haàu haát caùc ca thì
khoâng roõ nguyeân nhaân
BEÄNH COØNG LÖNG
THIEÁU NIEÂN
SCHEUERMANN
• 3 ñoát soáng keá caän nhau coøng
hôn 50
• Baát thöôøng cuûa caùc cao
nguyeân thaân soáng
• Noát Schmorl
• -

Giaûm chieàu cao ñóa ñeäm

• = caùc daáu chöùng ñi keøm
nhöng khoâng phaûi tieâu chuaån
chaån ñoaùn
BEÄNH COØNG LÖNG
THIEÁU NIEÂN
SCHEUERMANN
 Khoâng phaûi luùc naøo cuõng coù
trieäu chöùng cô naêng
 Neáu ñau:
• + Ngang möùc coøng löng
• + ÔÛ döôùi möùc coøng löng
• + Daïng ôû vuøng thaét löng vaø
ngöïc-thaét löng hieám gaëp, nhöng
TRÖÔÏT ÑOÁT
SOÁNG
• SPONDYLO = THAÂN SOÁNG
• LITHESIS = TRÖÔÏT
• ÑAU LÖNG COÙ LIEÂN QUAN
VÔÙI TÌNH TRAÏNG DI LEÄCH,
MAÁT VÖÕNG VAØ QUAÙ TAÛI
CHÖÙC NAÊNG
HÌNH AÛNH HOÏC COÄT
SOÁNG
• X quang vuøng baûn leà
• X quang nghieâng
• X quang chöùc naêng
• Ñaùnh giaù tình traïng taêng tröôûng (Risser,
tuoåi xöông)
• Nhaáp nhaùy ñoà xöông: neáu (+) coù gaõy
meät; coù theå chöõa laønh vôùi neïp thaân
DÒCH TEÃ HOÏC DÒ
TAÄT HUÛY EO ÑOÁT
SOÁNG
 XUAÁT ÑOÄ TRONG DAÂN SOÁ:2-4%
 XUAÁT ÑOÄ Ôû NGÖÔØI CHÔI THEÅ THAO: 525%
 YEÁU TOÁ THUAÄN LÔÏI VEÀ CHUÛNG TOÄC
VAØ DI TRUYEÀN
 TUOÅI XUAÁT HIEÄN: 5 – 8 TUOÅI = LOAÏN
SAÛN
 GAÕY MEÄT ÔÛ TUOÅI DAÄY THÌ
 TUØY THUOÄC VAØO MOÂN THEÅ THAO VAØ
TRÌNH ÑOÄ CHÔI THEÅ THAO
GAÕY MEÄT

LOAÏN SAÛN
KHOÂNG TRIEÄU
CHÖÙNG ÔÛ
VAÄN ÑOÄNG VIEÂN
THEÅ DUÏC

TRÖÔÏT ÑOÁT SOÁNG COÙ
GAÕY DO STRESS
CAÙC YEÁU TOÁ
THUAÄN LÔÏI
• Loaïn saûn coù saün
• Daây chaèng loûng leûo quaù
möùc
• Moûm khôùp döôùi ñoát TL 4
quaù daøi
• Daùng ngöôøi nghieâng ra tröôùc
nhieàu
PHÖÔNG PHAÙP ÑÖÔÏC CHOÏN ÑEÅ
LAØM ROÕ TÌNH TRAÏNG GAÕY EO
ÑOÁT SOÁNG DO QUAÙ TAÛI:
NHAÁP NHAÙY ÑOÀ SPECT
BEÄNH LYÙ
VIEÂM VAØ NHIEÃM TRUØNG
• Vieâm ñóa ñeäm
• Vieâm thaân soáng ñóa ñeäm
• Vieâm tuûy xöông coät soáng
• Lao xöông soáng
• Coát hoùa ñóa ñeäm
• Nhieãm truøng khôùp cuøng-chaäu
• Toån thöông do thaáp khôùp
VIEÂM THAÂN SOÁNG ÑÓA
ÑEÄM





ÑAU VUØNG LÖNG-THAÉT LÖNG
CO THAÉT CÔ
TÖ THEÁ GIAÛM ÑAU
SOÁT +/-

• KHAÛO SAÙT CAÄN LAÂM
SAØNG:
 X QUANG (-) ; IRM (+)
 NHAÁP NHAÙY ÑOÀ (+)
 CAÁY MAÙU (+)
 CHOÏC DOØ DÖÔÙI CT
• SINH THIEÁT
NHÖNG CAÀN PHAÛI NGHÓ ÑEÁN NOÙ!!!!
CA LAO CS NGÖÏC
Vieâm thaân soáng ñóa ñeâm do lao
VIEÂM KHÔÙP CUØNG CHAÄU
• Trieäu chöùng hoïc raát taûn
maïn:
 Coät soáng
 Buïng
 Chi döôùi
• = Chaån ñoaùn
• Chaäm treã
BEÄNH LYÙ BÖÔÙU
 Trong oáng soáng
 Xöông soáng / suïn
 Cô
 Laønh / aùc
 Nguyeân phaùt / thöù
phaùt
BÖÔÙU LAØNH DAÏNG
XÖÔNG – BÖÔÙU NGUYEÂN
BAØO XÖÔNG
 Böôùu xöông cung sau
 Ñau saâu. Ñau ban ñeâm
 Coät soáng coøng vaø ñô
 Nguy cô cheøn eùp bao maøng cöùng
 Ñau reã
BÖÔÙU LAØNH DAÏNG
XÖÔNG – BÖÔÙU NGUYEÂN
BAØO XÖÔNG
• CHAÅN ÑOAÙN: X quang, nhaáp nhaùy
ñoà, CT
•
Khu truù ôû ñænh
cuûa bôø loõm
• ÑIEÀU TRÒ:
• Böôùu laønh daïng xöông: APRANAX
•
Phaãu thuaät
caét boû +/•
Phaãu thuaät
BÖÔÙU LAØNH DAÏNG XÖÔN
ÖÔÙU NGUYEÂN BAØO XÖÔNG
U HAÏT AÙI TOAN
VEÏO COÄT SOÁNG
VAØ ÑAU LÖNG
• Veïo coät soáng voâ caên thöôøng khoâng
ñau
• Vaäy, neáu ñau +++ thì phaûi tìm
nguyeân nhaân
• (böôùu laønh daïng xöông – böôùu
nguyeân baøo xöông – nhieãm truøng
xöông soáng, beänh lyù trong oáng soáng
VEÏO DO U
CAÙC BÖÔÙU AÙC
TÍNH

• Nguyeân phaùt: böôùu EWING, sarcome
xöông

• Thöù phaùt: böôùu EWING, böôùu xöông,
ung thö maùu, beänh HODGKIN, nguyeân
baøo thaàn kinh, böôùu cô vaân, böôùu
WILM’S

• Ñieàu trò: böôùu nguyeân phaùt: caét boû
toaøn boä neáu coù theå ñöôïc
K DI CAÊN
KEÁT LUAÄN
• Beänh lyù coät soáng
–Ña daïng caàn nhìn toaøn dieän
–Toån thöông thaàn kinh phaûi ñieàu
trò tích cöïc coù khuynh höôùng phaãu
thuaät
–Roái loaïn CS caàn chaån ñoaùn chính
xaùc vaø ñieàu trò baûo toàn tröôùc
khi phaãu thuaät
N
Â
A
H
H
N
C
Ø N
A Ô
H
T
M
Ù
A
C

Dc chan thuong va benh ly cs

  • 1.
    ÑAÏI CÖÔNG CHAÁN THÖÔNG VAØBEÄNH LYÙ COÄT SOÁNG
  • 2.
    VAÄN ÑOÄNG TOÅNG THEÅCUÛA COÄT SOÁNG
  • 3.
    SÖÏ COÁT HOÙAÔÛ COÄT SOÁNG 5 THAÙNG 5 TUOÅI 12 TUOÅI
  • 5.
    TAÊNG TRÖÔÛNG THEO CHIEÀUDAØI VAØ 500 THEÅ TÍCH 400 300 Nhu nhi 10 tuoi nguoi lon 200 100 0 KC D1-S1 the trong
  • 6.
  • 7.
    CHAÁN THÖÔNG COÄT SOÁNG Coät soáng coå cao: chaåm-C1-C2  Coät soáng coå thaáp: C3 –C7  Coät soáng löng: L1- L10  Coät soáng löng- thaét löng: L10 – TL2  Coät soáng thaét löng: TL3 – TL5  Coät soáng cuøng cuït
  • 8.
    CHAÁN THÖÔNG COÄT SOÁNG COÙNHIEÀU PHAÂN LOAÏI  Toån thöông ñoát soáng  Toån thöông ñoát soáng vaø daây chaèng  Toån thöông ñóa soáng vaø daây chaèng
  • 9.
    Chaán thöông coätsoáng  Toån thöông vöõng hay khoâng vöõng (coù khaû naêng di leäch thöù phaùt)  Keøm vôùi toån thöông tuûy soáng  Keøm vôùi nhöõng toån thöông khaùc  Coù nhieàu möùc thöông toån khaùc (5%)
  • 10.
    Chaán thöông coät soáng Khaùm toaøn dieän: coät soáng vaø tuûy soáng  Nghó ñeán toån thöông CS (khoâng loaïi tröø hoaëc khoâng chaéc chaén phaûi xöû trí nhö 1 bn tt coät soáng cho tôùi khi loaïi tröø ñöôïc), traùnh toån thöông thaàn kinh naëng hôn (hoân meâ sau chaán thöông, teâ bì, dò caûm, yeáu chi , ñau coå hay ñau löng)
  • 11.
    CHAÁN THÖÔNG COÄT SOÁNG KhaùmBN CTCS phaûi ñaùnh giaù 2 vaán ñeà  TT coät soáng –vöõng hay khoâng vöõng  Toån thöông tuûy soáng
  • 12.
    CHAÁN THÖÔNG TUÛY SOÁNG? • Vaän ñoäng: löïc cô, cô khoaù • Caûm giaùc: noâng, saâu, möùc caûm giaùc • Cô voøng: boïng ñaùi, haäu moân • Phaûn xaï: gaân xöông, beänh lyù • Dinh döôõng FAIRBANKS
  • 13.
    CHAÁN THÖÔNG TUÛY SOÁNG Phaânloaïi  Soác tuûy  Toåân thöông tuûy soáng hoaøn toaøn  Toån thöông tuûy soáng khoâng hoaøn toaøn
  • 14.
    Chaán thöông tuûy soáng Toånthöông tuûy hoaøn toaøn Toån thöông tuûy khoâng hoaøn toaøn  Toån thöông tuûy beân (BrownSeùquard)  Toån thöông tuûy trung taâm  Toån thöông tuûy tröôùc
  • 15.
    Toån thöông tuûytröôùc Toån thöông tuûy sau Toån thöông tuûy beân Toån thöông tuûy trung taâm
  • 16.
    Toån thöông reã thaànkinh  Toån thöông reã ñôn thuaàn  Toån thöông chuøm ñuoâi ngöïa
  • 17.
    KHAÙM LAÂM SAØNG  ABCDE Coá ñònh coät soáng keå caû luùc khaùm  Xoay trôû BN CTCS theo khoái  Quan saùt vaø sôø naén  Ñaùnh giaù vaän ñoäng – caûm giaùc theo FRANKEL
  • 18.
    TOÅN THÖÔNG NHÌNTHAÁY TREÂN X QUANG BAN ÑAÀU X QUANG ÑUÛ ÑEÅ CHAÅN ÑOAÙN DÒ DAÏNG XÖÔNG XÔ CÖÙNG KHU TRUÙ X QUANG KHOÂNG ÑUÛ ÑEÅ CHAÅN ÑOAÙN DD ÑÓA CAÙC DD KHAÙC ROÄNG OÁNG TUÛY DD QUANH SOÁNG SIEÂU AÂM
  • 19.
    CHAÁN THÖÔNG COÄT SOÁNGCOÅ • • • • • • • • CTCS coå do saûn khoa Traät chaåm ñoäi Gaõy ñoát ñoäi Maát vöõng C1C2 (MV ngang) Traät xoay C1C2 Gaõy moûm raêng C2 Gaõy chaân cung C2 Caùc toån thöông döôùi truïc
  • 20.
    HÌNH AÛNH HOÏCCS COÅ NGANG
  • 21.
    HÌNH AÛNH HOÏC 1.Mac Gregor 2. Mac Rae 3. Chamberlain
  • 22.
    HÌNH AÛNH HOÏC Chæsoá Power (BC/OA) > 1 laø baát thöôøng Khoaûng caùch truïc ñoäi (ADI) Khoaûng caùch cho tuyû (SAC) Kyõ thuaät Wiesel vaø Rothman > 1 mm laø baát thöôøng ôû phim Xquang
  • 23.
    HÌNH AÛNH HOÏC Gaõydoïc khoái beân traùi cuûa C1 ôû treû 5 tuoåi (1). Chuù yù coøn suïn taêng tröôûng ôû cung tröôùc (2). Hôû
  • 24.
    HÌNH AÛNH HOÏC A.Voøng Harris nhìn thaáy treân phim nghieâng B. Gaõy chaân moûm raêng C. Gaõy ñaùy moûm raêng keøm theo gaõy cung sau C1
  • 25.
    A.Ñöôøng Swischuk töøbôø tröôùc cung sau C1C3 neáu ñöôøng naøy ra tröôùc bôø tröôùc cung sau C2 coù theå gaõy chaân cung, STH cung thaàn kinh, hay cung sau
  • 26.
    PP Cattel vaøFilzer cho pheùp ñaùnh giaù söï maát vöõng C2C3 baèng phim xquang ñoäng
  • 27.
    TOÅN THÖÔNG TUÛYKHOÂNG THAÁY BAÁT THÖÔØNG TREÂN XQUANG SCIWORA Hình caét doïc CS cuûa treû bò ngöôïc ñaõi minh hoïa bong taám suïn giöõa C3C4 gaây ñöùt tuyû vaø toån thöông tuûy xuyeân qua
  • 28.
    TRAÄT XOAY C1C2 Traätxoay C1C2 Sau khi naén vaø coá ñònh baèng chæ theùp
  • 29.
    GAÕY C1 –C2 • CT SCAN • CAÙC LOAÏI GAÕY KHOÂNG VÖÕNG
  • 30.
    A. Gaõy bongsuïn tieáp hôïp moûm raêng B. Coá ñònh baèng neïp minerve tö theá öôõn coå nhieàu C. Xquang ñoäng kieåm tra sau 8 tuaàn
  • 31.
  • 32.
    GAÕY TRAÄT C5C6LUÙC SANH, LIEÄT TÖÙ CHI
  • 33.
    Bong gaân naëng Maátvöõng C3C4 sau
  • 34.
    HÌNH AÛNH XQUANG Gaõy traätmoät maáu khôùp C6-C7
  • 35.
    HÌNH AÛNH XQUANG Gaõy gioïtleä C5 A.Phim thaúng gia taêng ñöôøng kính chaân cung
  • 36.
    XQUANG GAÕY PHÖÙC TAÏP 1,2. Gaõy thaân C4 ñöôøng gaõy ñi töø treân xuoáng döôùi vaø ra sau gaây daõn roäng moûm khôùp sau C4C5 3. Gaõy keøm theo thaân cuûa C2
  • 37.
    HÌNH AÛNH XQUANG ÑOÄNG Toånthöông bong gaân naëng C6C7. gaõy cung sau vaø moûm khôùp Traät C6C7
  • 38.
    HÌNH AÛNH XQUANG ÑOÄNG Xquangñoäng: di leäch gaõy chaân moûm raêng C2 A. Di leäch ra sau khi ngöûa coå B. Di leäch ra tröôùc khi gaäp coå
  • 39.
    HÌNH AÛNH XQUANG ÑOÄNG Traätchaåm coå A. Hình aûnh treân phim Xquang nghieâng B. C. traät loài caàu chaåm ñoäi raát khoâng vöõng, töï naén khi ngöûa coå, traät khi gaäp coå
  • 40.
    Caùc chaán thöôngCS ngöïc vaø CS thaét löng • Gaõy cuùi (gaõy luùn) • Gaõy luùn naëng (>50% thaân tröôùc, luùn nhieàu ñoát) • Gaõy nhieàu maûnh • Gaõy cuùi caêng • Gaõy traät • Gaõy nhoû caùc moûm raêng , gai
  • 41.
    Gaõy luùn nhieàumaûnh CS thaét löng
  • 43.
    CHAÁN THÖÔNG ÑAËC BIEÄT ÔÛTREÛ EM • Gaõy suïn tieáp hôïp ñoát soáng • Gaõy do baïo haønh • Sciwora • Bieán daïng muoän
  • 44.
    CAÙC BEÄNH LYÙVUØNG COÄT SOÁNG  Caùc vaán ñeà cô hoïc  Baát thöôøng veà phaùt trieån  Toån thöông do vieâm  Böôùu  Phaûn öùng chuyeån hoùa
  • 45.
  • 46.
    BEÄNH LYÙ VEÀCÔ HOÏC  Tö theá quaù taûi  Caùc beänh lyù veà cô  "Hoaït ñoäng quaù möùc"  Thoaùt vò ñóa ñeäm  Raùch ñóa ñeäm
  • 47.
    THOAÙT VÒ ÑÓA ÑEÄM Hieám gaëp ôû thieáu nieân, thöôøng thaáy nhaát sau moät gaéng söùc quaù möùc (theå gia ñình)  Thoaùt vò döôùi vaønh suïn thaân soáng ñaëc hieäu ôû thieáu nieân  Ñieàu trò baûo toàn hay phaãu thuaät
  • 48.
    THOAÙT VÒ ÑÓA ÑEÄM Sau chaán thöông  Coù theå do di truyeàn
  • 49.
  • 50.
    Beânh lyù chung Gaõyvaønh suïn thaân soáng Thoaùt vò ñóa ñeäm Loài ñóa ñeäm
  • 52.
    CAÙC TRÖÔØNG HÔÏPÑAU COÄT SOÁNG GAÂY LO LAÉNG ÔÛ TREÛ • 50% BEÄNH NHAÂN COÙ TRIEÄU CHÖÙNG ÑAU KHOÂNG ÑAËC HIEÄU TURNER
  • 53.
    CHAÁN THÖÔNG BEÄNH LYÙ Gaõy cs ngöïc hay thaét löng nhieàu nôi  Teù vôùi löïc taùc ñoäng nheï  Beänh caûnh loaõng xöông
  • 54.
    Gaõy coät soángdo loaõng xöông
  • 55.
    GAÕY XÖÔNG CHAÁNTHÖÔNG NHEÏ ÑÖÔÏC TÌM THAÁY TRONG LOAÕNG XÖÔNG THIEÁU NIEÂN
  • 56.
    BEÄNH LYÙ PHAÙT TRIEÅNBAÁT THÖÔØNG  Baát thöôøng hình thaùi hoïc: baåm sinh hay töï phaùt hay maéc phaûi  Huûy eo ñoát soáng  Tröôït thaân ñoát soáng  Heïp oáng soáng  Loaïn döôõng taêng tröôûng
  • 57.
    Veïo coät soángcaáu truùc töï phaùt
  • 58.
    VEÏO CAÁU TRUÙCtöï phaùt theå khôûi phaùt sôùm
  • 59.
    EÏO CAÁU TRUÙCTÖÏ PHAÙT
  • 61.
    VEÏO COÄT SOÁNGTRONG HOÄI CHÖÙNG HOÄI CHÖÙNG MARFAN BEÄNH VON RECKLINGHAUSEN
  • 62.
    EÏO COÄT SOÁNG REÂNBN LIEÄT TÖØ NHOÛ
  • 63.
    VEÏO / GUØ BAÅMSINH KEØM BAÁT THÖÔØNG KHAÙC:  TUÛY CHEÛ ÑOÂI  ROÃNG TUÛY  BÖÔÙU MÔÕ  TUÛY BAÙM THAÁP  BEÄNH CAÛNH: BAØN CHAÂN VOØM HOAËC BAØN CHAÂN KHOEØO, CHEÂNH LEÄCH CHIEÀU DAØI HAI CHAÂN, TIEÅU KHOÂNG TÖÏ CHUÛ
  • 66.
  • 67.
    Veïo coät soángthaét löng ôû ngöôøi tröôûng thaønh 2 nguyeân nhaân chính: 1. Tieán trieån VCS luùc thieáu nieân 2. Thoùai hoùa cs thaét löng thöôøng sau tuoåi 50: do ñóa thoaùi hoùa hay do loõang xöông Tuy nhieân trong haàu haát caùc ca thì khoâng roõ nguyeân nhaân
  • 68.
    BEÄNH COØNG LÖNG THIEÁUNIEÂN SCHEUERMANN • 3 ñoát soáng keá caän nhau coøng hôn 50 • Baát thöôøng cuûa caùc cao nguyeân thaân soáng • Noát Schmorl • - Giaûm chieàu cao ñóa ñeäm • = caùc daáu chöùng ñi keøm nhöng khoâng phaûi tieâu chuaån chaån ñoaùn
  • 69.
    BEÄNH COØNG LÖNG THIEÁUNIEÂN SCHEUERMANN  Khoâng phaûi luùc naøo cuõng coù trieäu chöùng cô naêng  Neáu ñau: • + Ngang möùc coøng löng • + ÔÛ döôùi möùc coøng löng • + Daïng ôû vuøng thaét löng vaø ngöïc-thaét löng hieám gaëp, nhöng
  • 72.
    TRÖÔÏT ÑOÁT SOÁNG • SPONDYLO= THAÂN SOÁNG • LITHESIS = TRÖÔÏT • ÑAU LÖNG COÙ LIEÂN QUAN VÔÙI TÌNH TRAÏNG DI LEÄCH, MAÁT VÖÕNG VAØ QUAÙ TAÛI CHÖÙC NAÊNG
  • 73.
    HÌNH AÛNH HOÏCCOÄT SOÁNG • X quang vuøng baûn leà • X quang nghieâng • X quang chöùc naêng • Ñaùnh giaù tình traïng taêng tröôûng (Risser, tuoåi xöông) • Nhaáp nhaùy ñoà xöông: neáu (+) coù gaõy meät; coù theå chöõa laønh vôùi neïp thaân
  • 74.
    DÒCH TEÃ HOÏCDÒ TAÄT HUÛY EO ÑOÁT SOÁNG  XUAÁT ÑOÄ TRONG DAÂN SOÁ:2-4%  XUAÁT ÑOÄ Ôû NGÖÔØI CHÔI THEÅ THAO: 525%  YEÁU TOÁ THUAÄN LÔÏI VEÀ CHUÛNG TOÄC VAØ DI TRUYEÀN  TUOÅI XUAÁT HIEÄN: 5 – 8 TUOÅI = LOAÏN SAÛN  GAÕY MEÄT ÔÛ TUOÅI DAÄY THÌ  TUØY THUOÄC VAØO MOÂN THEÅ THAO VAØ TRÌNH ÑOÄ CHÔI THEÅ THAO
  • 75.
    GAÕY MEÄT LOAÏN SAÛN KHOÂNGTRIEÄU CHÖÙNG ÔÛ VAÄN ÑOÄNG VIEÂN THEÅ DUÏC TRÖÔÏT ÑOÁT SOÁNG COÙ
  • 76.
    GAÕY DO STRESS CAÙCYEÁU TOÁ THUAÄN LÔÏI • Loaïn saûn coù saün • Daây chaèng loûng leûo quaù möùc • Moûm khôùp döôùi ñoát TL 4 quaù daøi • Daùng ngöôøi nghieâng ra tröôùc nhieàu
  • 77.
    PHÖÔNG PHAÙP ÑÖÔÏCCHOÏN ÑEÅ LAØM ROÕ TÌNH TRAÏNG GAÕY EO ÑOÁT SOÁNG DO QUAÙ TAÛI: NHAÁP NHAÙY ÑOÀ SPECT
  • 78.
    BEÄNH LYÙ VIEÂM VAØNHIEÃM TRUØNG • Vieâm ñóa ñeäm • Vieâm thaân soáng ñóa ñeäm • Vieâm tuûy xöông coät soáng • Lao xöông soáng • Coát hoùa ñóa ñeäm • Nhieãm truøng khôùp cuøng-chaäu • Toån thöông do thaáp khôùp
  • 79.
    VIEÂM THAÂN SOÁNGÑÓA ÑEÄM     ÑAU VUØNG LÖNG-THAÉT LÖNG CO THAÉT CÔ TÖ THEÁ GIAÛM ÑAU SOÁT +/- • KHAÛO SAÙT CAÄN LAÂM SAØNG:  X QUANG (-) ; IRM (+)  NHAÁP NHAÙY ÑOÀ (+)  CAÁY MAÙU (+)  CHOÏC DOØ DÖÔÙI CT • SINH THIEÁT
  • 80.
    NHÖNG CAÀN PHAÛINGHÓ ÑEÁN NOÙ!!!!
  • 81.
    CA LAO CSNGÖÏC
  • 82.
    Vieâm thaân soángñóa ñeâm do lao
  • 83.
    VIEÂM KHÔÙP CUØNGCHAÄU • Trieäu chöùng hoïc raát taûn maïn:  Coät soáng  Buïng  Chi döôùi • = Chaån ñoaùn • Chaäm treã
  • 84.
    BEÄNH LYÙ BÖÔÙU Trong oáng soáng  Xöông soáng / suïn  Cô  Laønh / aùc  Nguyeân phaùt / thöù phaùt
  • 85.
    BÖÔÙU LAØNH DAÏNG XÖÔNG– BÖÔÙU NGUYEÂN BAØO XÖÔNG  Böôùu xöông cung sau  Ñau saâu. Ñau ban ñeâm  Coät soáng coøng vaø ñô  Nguy cô cheøn eùp bao maøng cöùng  Ñau reã
  • 86.
    BÖÔÙU LAØNH DAÏNG XÖÔNG– BÖÔÙU NGUYEÂN BAØO XÖÔNG • CHAÅN ÑOAÙN: X quang, nhaáp nhaùy ñoà, CT • Khu truù ôû ñænh cuûa bôø loõm • ÑIEÀU TRÒ: • Böôùu laønh daïng xöông: APRANAX • Phaãu thuaät caét boû +/• Phaãu thuaät
  • 87.
  • 88.
  • 89.
  • 90.
    VEÏO COÄT SOÁNG VAØÑAU LÖNG • Veïo coät soáng voâ caên thöôøng khoâng ñau • Vaäy, neáu ñau +++ thì phaûi tìm nguyeân nhaân • (böôùu laønh daïng xöông – böôùu nguyeân baøo xöông – nhieãm truøng xöông soáng, beänh lyù trong oáng soáng
  • 91.
  • 92.
    CAÙC BÖÔÙU AÙC TÍNH •Nguyeân phaùt: böôùu EWING, sarcome xöông • Thöù phaùt: böôùu EWING, böôùu xöông, ung thö maùu, beänh HODGKIN, nguyeân baøo thaàn kinh, böôùu cô vaân, böôùu WILM’S • Ñieàu trò: böôùu nguyeân phaùt: caét boû toaøn boä neáu coù theå ñöôïc
  • 94.
  • 95.
    KEÁT LUAÄN • Beänhlyù coät soáng –Ña daïng caàn nhìn toaøn dieän –Toån thöông thaàn kinh phaûi ñieàu trò tích cöïc coù khuynh höôùng phaãu thuaät –Roái loaïn CS caàn chaån ñoaùn chính xaùc vaø ñieàu trò baûo toàn tröôùc khi phaãu thuaät
  • 96.