CranioVertebral Junction
abnormalities
dDr Mohammad Mushtaq
Resident Neurosurgeon
Neurosurgery unit , ATH.
CV JUNCTION
Parts of CV Junction include:-
 The Occiput
 First Cervical Vertebra (Atlas)
 Second Cervical Vertebra (Axis)
 Their articulations and
 Connecting ligaments
“The C-V junction is a transition site between
mobile cranium and relatively rigid spinal column.
It is also the site of the medullo spinal junction”.
Embryology of the CV junction
4th occipital sclerotome,
the proatlas and C1
cervical sclerotome
gives rise to C1.
 Apex of Dense… proatlas.
 Body of Dense…C1 and
C2 sclerotome.
 AXIS develops from five
primary and two
secondary centers
ossifications.
Embryology of the CV junction
 The apical segment is not ossified until 3 years of
age.
 At 12 years it fuses with odontoid to form normal
odontoid; failure leads to Os Terminale
Tip of dens
Body of
dens
Dens
Anatomy of the CV junction
ATLANTO-AXIAL JOINT:
Normal range of cervical motion is 900 on each side,
range of rotation of atlas on axis being 25-530
 Rotation of >560 on one side or a R-L diff >80
implies hyper mobility
 Rotation of <280 implies hypo mobility
 Ligamentous structures of CV junction
 Anterior atlanto ocipital membrane
 Alar ligament
 Apical dense ligament
 Tectoral membrane
 Cruciate ligament
 Posterior atlanto-occipital membrane
CV Junction
Anatomy of the CV junction
Occipital condyles
Atlantoaxial joint
Tectorial Membrane
Lateral mass of
atlas
Transverse lig
Cruciate Ligament
vertical band
Apical Lig
Alar Lig
Radiological criteria for assessing CVJ
instability
predentalspace inchildsupto 8years greaterthan 5mm,
adultsgreaterthan 3mm
open mouthviewx.ray or coronalct.........latmasses C1
displacement6mm
verticaltranslationb/w clivus and odontoid 2mm,
disruptionof ligamentousstructure
X-ray
X-ray
Lines and Angles
The important lines are
 Chamberlain’s line
 Wackenheim’s clivus canal line
 Mc Gregor’s line (basal line)
 McRae,s line
Basal angle
Bull,s angle
Chamberlain’s line
Chamberlain‘s line (Palato-occipital Line)
Joins posterior tip of hard palate to posterior tip of Foramen
Magnum (opisthion)
Tip of dens below this line ±3 mm
>7mm or >1/2 of odontoid def basilar Invagination
Mc Gregor’s line
McGregor’s Line
Line drawn from posterior
tip of Hard palate to lowest part of Occiput
Odontoid tip >4.5mm above = Basilar Invagination
Wackenheim’s Line
Wackenheim's Line drawn along
(Clivus canal) line clivus into cervical spinal
canal
Odontoid is ventral and tangential to this line
McRae’s Line
McRae's (Foramen Joins anterior and
Magnum) line posterior edges of
Foramen magnum
* Tip of odontoid is below this line.
** When sagittal diameter of canal <20mm, neurological symptoms
occur – Foramen Magnum Stenosis
Fishgold bimastoidline. a line drawnb/w tipsof
mastoids. normalodontoidis2mmabove it.
FishGold diagastricline. A linedrawn b/w the two diagastric
notches.normal distanceof atlantooccipitaljointshouldbe
10 mm.
Welcher’s Basal Angle
BASAL ANGLE Angle between two lines
drawn from
 Nasion to tuberculum sella
 Tuberculum sellae to the basion along plane of the clivus
 Normal – 1240 - 142
 > 1450 = platybasia
 < 1300 is seen in achondroplasiaaaasdaaaaaaaaa
Platybasia –refersonlyto anabnormally obtuse basal angle, may be
asymptomatic, and isnota measureofbasilar invagination.
BULL’S ANGLE
 Line representing prolongation of hard palate and
line joining the midpoints of the ant & post arches
of C1.
 Normal : <100
 Basilar invagination - >130
Lymphatic drainage
 Occipitoatlantoaxial joint drain through
retropharyngeal gland to deep cervical lymph
channels.
 Paeds. nasopharyngeal infections cause
inflammatory reaction of CVJ.
 C1-2 sublaxation
 Refferd as GRISEL SYNDROME
Signs and sympyoms
 Myelopathy different degrees of extremities
weakness
 Brainstem symptoms
 Cranial nerves deficit loss of gag
reflex,nystagmus,hearing loss
 Vascular compromise syncope,vertigo,episodic
hemiparesis,transient loss of vision,altered conscious
level
 Restricted neck movement
 Neck and occipital pain
Disorders of the CV junction
Congenital bony malformations
Basilar invagination
Anomalies of atlas
Odontoid abnormality
Atlanto-axial instability
Others
Disorders of the CV junction
ACQUIRED MALFORMATIONS
 Trauma
 Arthritides
 Infection
 Degeneration
 Tumours
Basilar invigination….
The upward displacement of upper cervical spine
including odontoid through the foramen magnum
into posterior fossa.
Pathogenesis
1. Emberyological dysgenesis,genetics,
maldevelopment of craniovertebral transition
region.
2. Secondary abnormally alignment of fascet joints of
atlas and axis leading to progressive slippage of atlas
over axis which results in odondoid tip invigination
superoir and posterior into cranio cervical cord.
Associated conditions
Down syndrom
Klippel feil syndrom
Acm
Syringomyelia
Rheumatoid arthritis
Post trauma
Paget disease
Classification
Type1. the odontoid tip inviginates into foramen magnum
indented into brainstem. atlanto odontoid distance
increases. odentoid tip is above CL,McR,wccl.
volume of posterior fossa and Cl angle z normal.
Type2. odontoid tip,ant arch of C1 and clivus migrate
superiorly in unison, results in small post fossa causing
ACM. odontoid tip is only above CL not wccl,McR.
Type A.
Based on mechanical instability.just like type1 but
normal horizontal poition of fascet joint changes into
oblique position.which leads progressive slippage.
Type B.
there is congenital dysgenesis , and atlantoaxial
joints were normal or entirely fused.
Treatment
Type1.
85% can be reduced with traction
Transoral decompression and posterior fusion
Its superior to include craniovertebral realignment
procedure.
Type2.
only 15% reduced with traction.foramen magnum
decompression is appropriate
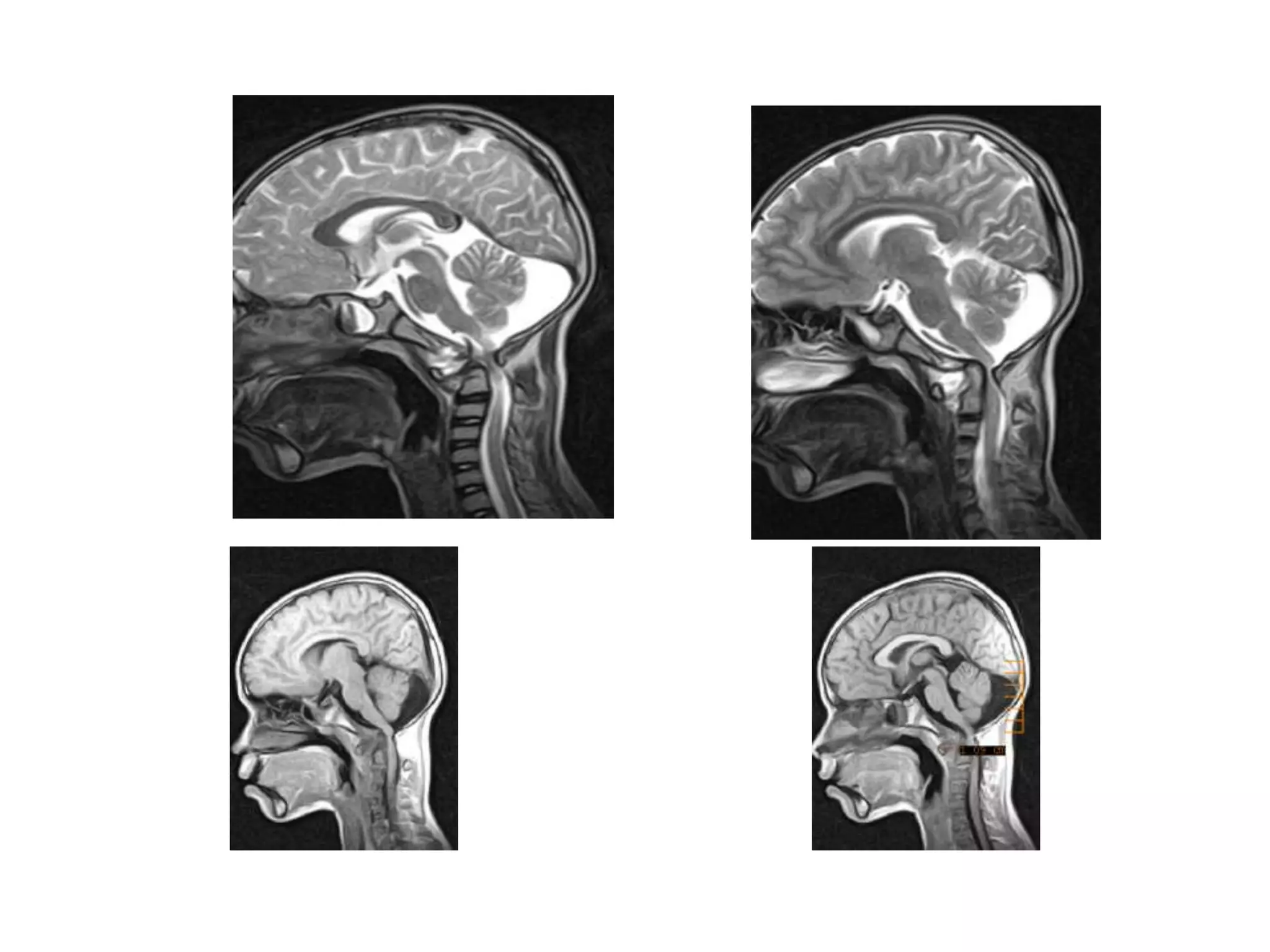
BASILAR INVAGINATION : CT
Sag & Coronal view
BASILAR INVAGINATION
BASILAR INVAGINATION
KINEMATIC MRI IN BI
ATLANTO-AXIAL SUBLUXATION (AAS) : anterior
type
Anterior Atlanto-Dental Interval (AADI) :
 AAS is present when it is >3mm in adults & >5mm in
children
 Measured from posteroinferior margin of ant arch of C1
to the ant surface of odontoid
 AADI 3-6 mm  trans lig. damage
 AADI >6mm  alar lig. damage also
 AADI >9mm  surgical stabilization
ATLANTO-AXIAL SUBLUXATION (AAS) :
anterior type
Posterior Atlanto-Dental
Interval (PADI) :
** Distance b/w posterior
surface of odontoid &
anterior margin of post ring of
C1
 Considered better method as it
directly measures the spinal
canal
 Normal : 17-29 mm at C1
 PADI <14mm : predicts cord
compression
ATLANTO-AXIAL SUBLUXATION (AAS) : anterior
type
 X-rays in neutral position will miss AAS in 48%.
 Controlled flexion views always to be done
ATLANTO-AXIAL SUBLUXATION (AAS) : anterior
type
ATLANTO-AXIAL SUBLUXATION (AAS) : anterior
type
ATLANTO-AXIAL SUBLUXATION (AAS) : anterior
type
ATLANTO-AXIAL SUBLUXATION (AAS) : anterior
type
AAS with cord compression
RISK FACTORS FOR CORD COMPRESSION IN
AAS
 AADI > 9 mm
 PADI < 14 mm
 Basilar Invagination,
especially if associated
with AAS of any degree
 Sub axial canal diameter
< 14 mm
ATLANTO-AXIAL SUBLUXATION (AAS) : rare
types
 Posterior AAS – rare, associated with deficient odontoid
process.
 Rotatory AAS -
ATLANTO-AXIAL ROTATORY SUBLUXATION
Less common cause of Torticollis in children. Subluxation usually
occurs within normal range of rotation of A-A joint.
Fielding types:
 Type I :TAL ..intact, facet injury... bilateral (AD less than 3mm)
 Type II : TAL.. Injured, facet injury... unilateral (AD 3.1 to 5mm)
 Type III : TAL.. Injured, facet injury.... bilateral >5mm AD
 Type IV : Incompetence of odotoid with posterior dispacement
DIAGNOSIS:
X-Ray : asymmetry of lateral masses on open mouth odontoid view. Lateral
mass that has rotated forwards appear wider and closer to midline.
ATLANTO-AXIAL ROTATORY
SUBLUXATION
CT SCAN
ATLANTO-AXIAL ROTATORY SUBLUXATION
Dynamic CT:
Specific Anomalies – Occiput anomalies
Condylus Tertius (IIIrd
occipital condyle) :
 when proatlas persists or fails to
migrate, an ossified remnant is
seen at distal end of clivus
 May form pseudo joint with
odontoid or ant arch of C1 and
limit mobility of CVJ
 Increased prevalence of Os
Odontoideum seen
ATLAS ASSIMILATION
 Represents most cephalic
‘blocked vertebra’
 0.25% of population
 Usually occurs in
association with other
anomalies such as BI and
Klippel Feil syndrome.
 Associated with
segmentation failures
b/w C2-3 : atlanto-axial
subluxation in 50%.
Atlas assimilation with CVJ anomaly
ATLAS ASSIMILATION
classictriadconsistsoflowposteriorhairline,shortneckand limitationof
neckmovements.
KLIPPEL-FEIL SYNDROME :
KLIPPEL-FEIL SYNDROME
 Fused vertebrae (usually
C2-3 and C5-6
interfaces)
 Hemivertebrae
 Atlas occipitalization
 Spina bifida occulta
 Scoliosis
 Urogenital, otological
anomalies, Chiari,
syndactyly, Sprengel’s
etc.
Atlas rachischisis: posterior >> anterior Both
together – ‘split atlas’
ODONTOID ABNORMALITIES
Persistent Ossiculum Terminale :
 Also called Bergman Ossicle.
 Results from failure of fusion of the terminal ossicle to
the rest of odontoid
 Normally fusion occurs by 12 yrs of age
 Stable anomaly when isolated with normal height of
dens
Persistent Ossiculum Terminale
May mimic type I odontoid # (avulsion of terminal ossicle) :
difficult to differentiate at times.
Treatment protocol of cv junction
THANK YOU

Craniovertebral juction 1 by dr mohammad mushtaq

  • 1.
    CranioVertebral Junction abnormalities dDr MohammadMushtaq Resident Neurosurgeon Neurosurgery unit , ATH.
  • 2.
    CV JUNCTION Parts ofCV Junction include:-  The Occiput  First Cervical Vertebra (Atlas)  Second Cervical Vertebra (Axis)  Their articulations and  Connecting ligaments “The C-V junction is a transition site between mobile cranium and relatively rigid spinal column. It is also the site of the medullo spinal junction”.
  • 3.
    Embryology of theCV junction 4th occipital sclerotome, the proatlas and C1 cervical sclerotome gives rise to C1.  Apex of Dense… proatlas.  Body of Dense…C1 and C2 sclerotome.  AXIS develops from five primary and two secondary centers ossifications.
  • 4.
    Embryology of theCV junction  The apical segment is not ossified until 3 years of age.  At 12 years it fuses with odontoid to form normal odontoid; failure leads to Os Terminale Tip of dens Body of dens Dens
  • 5.
    Anatomy of theCV junction ATLANTO-AXIAL JOINT: Normal range of cervical motion is 900 on each side, range of rotation of atlas on axis being 25-530  Rotation of >560 on one side or a R-L diff >80 implies hyper mobility  Rotation of <280 implies hypo mobility
  • 6.
     Ligamentous structuresof CV junction  Anterior atlanto ocipital membrane  Alar ligament  Apical dense ligament  Tectoral membrane  Cruciate ligament  Posterior atlanto-occipital membrane
  • 8.
  • 9.
    Anatomy of theCV junction Occipital condyles Atlantoaxial joint Tectorial Membrane Lateral mass of atlas Transverse lig Cruciate Ligament vertical band Apical Lig Alar Lig
  • 10.
    Radiological criteria forassessing CVJ instability predentalspace inchildsupto 8years greaterthan 5mm, adultsgreaterthan 3mm open mouthviewx.ray or coronalct.........latmasses C1 displacement6mm verticaltranslationb/w clivus and odontoid 2mm, disruptionof ligamentousstructure
  • 11.
  • 12.
  • 13.
    Lines and Angles Theimportant lines are  Chamberlain’s line  Wackenheim’s clivus canal line  Mc Gregor’s line (basal line)  McRae,s line Basal angle Bull,s angle
  • 14.
    Chamberlain’s line Chamberlain‘s line(Palato-occipital Line) Joins posterior tip of hard palate to posterior tip of Foramen Magnum (opisthion) Tip of dens below this line ±3 mm >7mm or >1/2 of odontoid def basilar Invagination
  • 15.
    Mc Gregor’s line McGregor’sLine Line drawn from posterior tip of Hard palate to lowest part of Occiput Odontoid tip >4.5mm above = Basilar Invagination
  • 16.
    Wackenheim’s Line Wackenheim's Linedrawn along (Clivus canal) line clivus into cervical spinal canal Odontoid is ventral and tangential to this line
  • 17.
    McRae’s Line McRae's (ForamenJoins anterior and Magnum) line posterior edges of Foramen magnum * Tip of odontoid is below this line. ** When sagittal diameter of canal <20mm, neurological symptoms occur – Foramen Magnum Stenosis
  • 18.
    Fishgold bimastoidline. aline drawnb/w tipsof mastoids. normalodontoidis2mmabove it. FishGold diagastricline. A linedrawn b/w the two diagastric notches.normal distanceof atlantooccipitaljointshouldbe 10 mm.
  • 19.
    Welcher’s Basal Angle BASALANGLE Angle between two lines drawn from  Nasion to tuberculum sella  Tuberculum sellae to the basion along plane of the clivus  Normal – 1240 - 142  > 1450 = platybasia  < 1300 is seen in achondroplasiaaaasdaaaaaaaaa
  • 20.
    Platybasia –refersonlyto anabnormallyobtuse basal angle, may be asymptomatic, and isnota measureofbasilar invagination.
  • 21.
    BULL’S ANGLE  Linerepresenting prolongation of hard palate and line joining the midpoints of the ant & post arches of C1.  Normal : <100  Basilar invagination - >130
  • 22.
    Lymphatic drainage  Occipitoatlantoaxialjoint drain through retropharyngeal gland to deep cervical lymph channels.  Paeds. nasopharyngeal infections cause inflammatory reaction of CVJ.  C1-2 sublaxation  Refferd as GRISEL SYNDROME
  • 23.
    Signs and sympyoms Myelopathy different degrees of extremities weakness  Brainstem symptoms  Cranial nerves deficit loss of gag reflex,nystagmus,hearing loss  Vascular compromise syncope,vertigo,episodic hemiparesis,transient loss of vision,altered conscious level  Restricted neck movement  Neck and occipital pain
  • 24.
    Disorders of theCV junction Congenital bony malformations Basilar invagination Anomalies of atlas Odontoid abnormality Atlanto-axial instability Others
  • 25.
    Disorders of theCV junction ACQUIRED MALFORMATIONS  Trauma  Arthritides  Infection  Degeneration  Tumours
  • 26.
    Basilar invigination…. The upwarddisplacement of upper cervical spine including odontoid through the foramen magnum into posterior fossa.
  • 27.
    Pathogenesis 1. Emberyological dysgenesis,genetics, maldevelopmentof craniovertebral transition region. 2. Secondary abnormally alignment of fascet joints of atlas and axis leading to progressive slippage of atlas over axis which results in odondoid tip invigination superoir and posterior into cranio cervical cord.
  • 28.
    Associated conditions Down syndrom Klippelfeil syndrom Acm Syringomyelia Rheumatoid arthritis Post trauma Paget disease
  • 29.
    Classification Type1. the odontoidtip inviginates into foramen magnum indented into brainstem. atlanto odontoid distance increases. odentoid tip is above CL,McR,wccl. volume of posterior fossa and Cl angle z normal. Type2. odontoid tip,ant arch of C1 and clivus migrate superiorly in unison, results in small post fossa causing ACM. odontoid tip is only above CL not wccl,McR.
  • 30.
    Type A. Based onmechanical instability.just like type1 but normal horizontal poition of fascet joint changes into oblique position.which leads progressive slippage. Type B. there is congenital dysgenesis , and atlantoaxial joints were normal or entirely fused.
  • 31.
    Treatment Type1. 85% can bereduced with traction Transoral decompression and posterior fusion Its superior to include craniovertebral realignment procedure. Type2. only 15% reduced with traction.foramen magnum decompression is appropriate
  • 32.
    BASILAR INVAGINATION :CT Sag & Coronal view
  • 33.
  • 34.
  • 35.
  • 36.
    ATLANTO-AXIAL SUBLUXATION (AAS): anterior type Anterior Atlanto-Dental Interval (AADI) :  AAS is present when it is >3mm in adults & >5mm in children  Measured from posteroinferior margin of ant arch of C1 to the ant surface of odontoid  AADI 3-6 mm  trans lig. damage  AADI >6mm  alar lig. damage also  AADI >9mm  surgical stabilization
  • 37.
    ATLANTO-AXIAL SUBLUXATION (AAS): anterior type Posterior Atlanto-Dental Interval (PADI) : ** Distance b/w posterior surface of odontoid & anterior margin of post ring of C1  Considered better method as it directly measures the spinal canal  Normal : 17-29 mm at C1  PADI <14mm : predicts cord compression
  • 38.
    ATLANTO-AXIAL SUBLUXATION (AAS): anterior type  X-rays in neutral position will miss AAS in 48%.  Controlled flexion views always to be done
  • 39.
  • 40.
  • 41.
  • 43.
  • 44.
    AAS with cordcompression
  • 45.
    RISK FACTORS FORCORD COMPRESSION IN AAS  AADI > 9 mm  PADI < 14 mm  Basilar Invagination, especially if associated with AAS of any degree  Sub axial canal diameter < 14 mm
  • 46.
    ATLANTO-AXIAL SUBLUXATION (AAS): rare types  Posterior AAS – rare, associated with deficient odontoid process.  Rotatory AAS -
  • 47.
    ATLANTO-AXIAL ROTATORY SUBLUXATION Lesscommon cause of Torticollis in children. Subluxation usually occurs within normal range of rotation of A-A joint. Fielding types:  Type I :TAL ..intact, facet injury... bilateral (AD less than 3mm)  Type II : TAL.. Injured, facet injury... unilateral (AD 3.1 to 5mm)  Type III : TAL.. Injured, facet injury.... bilateral >5mm AD  Type IV : Incompetence of odotoid with posterior dispacement DIAGNOSIS: X-Ray : asymmetry of lateral masses on open mouth odontoid view. Lateral mass that has rotated forwards appear wider and closer to midline.
  • 48.
  • 49.
  • 50.
    Specific Anomalies –Occiput anomalies Condylus Tertius (IIIrd occipital condyle) :  when proatlas persists or fails to migrate, an ossified remnant is seen at distal end of clivus  May form pseudo joint with odontoid or ant arch of C1 and limit mobility of CVJ  Increased prevalence of Os Odontoideum seen
  • 51.
    ATLAS ASSIMILATION  Representsmost cephalic ‘blocked vertebra’  0.25% of population  Usually occurs in association with other anomalies such as BI and Klippel Feil syndrome.  Associated with segmentation failures b/w C2-3 : atlanto-axial subluxation in 50%.
  • 52.
  • 53.
  • 54.
  • 55.
    KLIPPEL-FEIL SYNDROME  Fusedvertebrae (usually C2-3 and C5-6 interfaces)  Hemivertebrae  Atlas occipitalization  Spina bifida occulta  Scoliosis  Urogenital, otological anomalies, Chiari, syndactyly, Sprengel’s etc.
  • 56.
    Atlas rachischisis: posterior>> anterior Both together – ‘split atlas’
  • 57.
    ODONTOID ABNORMALITIES Persistent OssiculumTerminale :  Also called Bergman Ossicle.  Results from failure of fusion of the terminal ossicle to the rest of odontoid  Normally fusion occurs by 12 yrs of age  Stable anomaly when isolated with normal height of dens
  • 58.
    Persistent Ossiculum Terminale Maymimic type I odontoid # (avulsion of terminal ossicle) : difficult to differentiate at times.
  • 59.
  • 60.