Some patients may develop anxiety, on the eve of operation due to fear and apprehension of operation.  Anxiolytic drugs such as diazepam 2 to 5mg at bed time usually alleviate such symptoms. Nowadays preferred drug is Alprazolam
A few patients may develop nausea and gastritis due to preoperative medicines such as acetazolamide and/or glycerol.  Oral antacids and omission of further dose of such medicines usually relieve the symptoms.
It may occur in some patients due to preoperative topical antibiotic drops.  Postponing the operation for 2 days along with withdrawal of such drugs is required.
kellogg.umich.edu  sciencephoto.com
It may develop due to inadvertent injury during Schiotz tonometry. Patching with antibiotic ointment for a day and postponement of operation for 2 days is required.
disease-picture.com  Corneal abrasion  seen with fluorescein stain. bestpractice.bmj.com
Retrobulbar haemorrhage   may occur due to retrobulbar block. Immediate pressure bandage after instilling one drop of 2% pilocarpine and postponement of operation for a week is advised.
Oculocardiac reflex ,  which manifests as bradycardia and/or cardiac arrhythmia, has also been observed due to retrobulbar block. An intravenous injection of atropine is helpful.
Perforation of globe   may also occur sometimes. To prevent such catastrophy, gentle injection with blunt-tipped needle is recommended. Further, peribulbar anaesthesia may be preferred over retrobulbar block.
Subconjunctival haemorrhage   is a minor complication observed frequently, and does not need much attention. whatisguide.net
Spontaneous dislocation of lens   in vitreous has also been reported (in patients with weak and degenerated zonules especially with hypermature cataract) during vigorous ocular massage after retrobulbar block. The operation should be postponed and further management is on the lines of posterior dislocation of lens
Microspherophakia and  spontaneous  inferior  dislocation  of a  lens  in a  ... emedicine.medscape.com
Subluxated  lens . eyecareamerica.org
 
Superior rectus muscle laceration  haematoma, may occur while applying the bridle suture.  Usually no treatment is required
During the preparation of conjunctival flap or during incision into the anterior chamber. Treatment: Cauterization of  bleeding vessels.
Depend upon the type of cataract surgery being performed.
i)  In conventional ECCE  there may occur  irregular incision.  Irregular incision leading to defective coaptation of wound may occur due to blunt cutting instruments.
ii)  In manual SICS and phacoemulsification following complications may occur while making the self-sealing tunnel incision. 1) Button holing of anterior wall of tunnel  can  occur because of superficial dissection of the scleral flap. 2) As a remedy, abandonthis dissection and re- enter at a deeper plane from the other side of the external incision.
3)  Premature entry into the anterior chamber  due to deep dissection.  Once this is detected, dissection in that area should be stopped and a new dissection started at a lesser depth at the other end of the tunnel.
4) Scleral disinsertion  can occur due to very deep groove incision. In it there occurs complete separation of inferior sclera from the sclera superior to the incision.Scleral disinsertion needs to be managed by radial sutures.
Occur when anterior chamber is entered with a sharp-tipped instrument such as keratome or a piece of razor blade. A gentle handling with proper hypotony reduces the incidence of such inadvertent injuries.
(tear of iris from root). May occur inadvertently during intraocular manipulation.
Continuous curvilinear capsulorhexis (CCC) is the preferred technique for opening the anterior capsule for SICS and phacoemulsification. Following complications may occur: 1)  Escaping capsulorhexis   i.e., capsulorhexis moves peripherally and may extend to the equator or posterior capsule.
2)  Small capsulorhexis .  It predisposes to posterior capsular tear and nuclear drop during hydrodissection. It also predisposes to occurrence of zonular deshiscence. Therefore, a small sized capsulorhexis should always be enlarged by 2 or 3 relaxing incisions before proceeding further.
3)  Very large capsulorhexis   may cause problems for in the bag placement of IOL. 4)  Eccentric capsulorhexis   can lead to IOL decentration at a later stage.
capsulorhexis   surgery-guidance.com
May occur in all techniques of ECCE but is especially common during nucleus prolapse into the anterior chamber in manual SICS. ineedshoes.co.uk
It is the most serious complication which may occur following accidental rupture of posterior capsule during any technique of ECCE. webeye.ophth.uiowa.edu
1.To  decrease vitreous volume:   Preoperative use of hyperosmotic agents ex. 20 percent mannitol or oral glycerol.  2. To decrease aqueous volume:   Preoperatively acetazolamide 500 mg orally & ocular massage should be carried out digitally after injecting local anaesthesia.
3.  To decrease orbital volume:   adequate ocular massage and orbital compression by use of superpinky, Honan's ball, or 30 mm of Hg pressure by paediatric sphygmomanometer should be carried out.
4. Better ocular akinesia and anaesthesia:   decrease the chances of pressure from eye muscle. 5. Minimising the external pressure   on eyeball by not using eye speculum, reducing pull on bridle suture and overall gentle handling during surgery.
6. Use of Flieringa ring   to prevent collapse of sclera especially in myopic patients decreases the incidence of vitreous loss. 7. When IOP is high   in spite of all above measures and operation cannot be postponed, in that situation a planned posterior-sclerotomy with drainage of vitreous from pars plana will prevent rupture of the anterior hyaloid face and vitreous loss.
Once the vitreous loss has occurred, the aim should be to clear it from the anterior chamber and incision site.  This can be achieved by performing partial anterior vitrectomy, with the use of automated vitrectors. Partial anterior vitrectomy will reduce the incidence of postoperative problems associated with vitreous loss such as updrawn pupil, iris prolapse and vitreous touch syndrome
Posterior loss of lens fragments  into the vitreous cavity may occur after PCR or zonular dehiscence during phacoemulsification. It is potentially serious because it may result in glaucoma, chronic uveitis, chronic CME and even retinal detachment.
The case should be managed by vitreoretinal surgeon by performing pars plana vitrectomy and removal of nuclear fragments.
It is one of the most dramatic and serious complications of cataract surgery. Usually occurs in hypertensives and patients with arteriosclerotic changes. May occur during operation or during immediate postoperative period.
webeye.ophth.uiowa.edu  ophthalmicphotography.info
Its incidence was high in ICCE and conventional ECCE but has decreased markedly with valvular incision of manual SICS and phacoemulsification technique.
It is  characterised  by spontaneous gaping of the wound followed by expulsion of the lens, vitreous, retina, uvea and finally a gush of bright red blood. Although  treatment  is unsatisfactory, the surgeon should attempt to drain subchoroidal blood by performing an equatorial sclerotomy. Most of the time eye is lost and so evisceration operation has to be performed.
 
Collection of blood in the anterior chamber May occur in conjunctival or scleral vessels Symptoms Bleeding in front portion of the eye Vision abnormalities Eye pain  Photophobia
Most hyphaemas absorb spontaneously thus need no treatment Large hyphaemas and those associated with rise in IOP IOP should be lowered by acetazolamide and hyperosmotic agents If the blood does not get absorbed in a weeks time then  paracentesis  should be done to drain the blood
http://en.wikipedia.org/wiki
It is usually caused by inadequate suturing of the incision after ICCE and conventional ECCE Occurs during first or second postoperative day Less common with manual SICS and phacoemulsification technique
Small prolapse Reposited back and wound sutured Large prolapse Abscission and suturing of wound
webeye.ophth.uiowa.edu
Characterised by mild corneal oedema with Descemets folds Observed during immediate postoperative period Occurs due to endothelial damage during surgery
Mild keratopathy Disappears spontaneously within a week Moderate to severe keratopathy Hypertonic saline drops(5% sodium chloride) Steroids
http://webeye.ophth.uiowa.edu/eyeforum/atlas/thumbnails/band6-371X340.jpg
Rare complication Due to improved wound closure 3 types With wound leak Ciliochoroidal detachment Pupil block due to vitreous bulge
Flat anterior chamber with wound leak Associated with hypotony Diagnosed by Seidels test Most cases wound leak is cured within 4 days  Pressure bandage Oral acetazolamide If the condition persists  Injection of air in the anterior chamber Resuturing of the leaking wound
http://odlarmed.com/?p=3551
Ciliochoroidal detachment Presents as a  convex brownish mass  in the involved quadrant with shallow anterior chamber Most cases cured within 4 days Pressure bandage Oral acetazolamide If condition persists Suprachoroidal drainage Injection of air in the anterior chamber
http://www.djo.harvard.edu/files/2620_317.jpg
Pupil block due to vitreous bulge After ICCE Formation of iris bombe and shallowing of anterior chamber If condition persists for 5-7 days permanent peripheral anterior synechiae may be formed leading to secondary angle closure glaucoma
Initially Mydriatic Hyperosmotic agents Acetazolamide If not relieved Laser or surgical peripheral iridectomy
Due to Instrumental trauma Undue handling of uveal tissue Reaction to residual cortex Chemical reaction induced by viscoelastics, pilocarpine
Aggressive use of topical steroids Dexamethasone  eye drops 4 to 6 times a day Betamethasone  eye ointment at bed time Cycloplegics 1% atropine sulfate eye ointment or drops instilled 2 to 3 times a day NSAIDs Aspirin Phenylbutazone Rarely systemic steroids  (cases with fibrinous reaction)
http://lifeinthefastlane.com/wp-content/uploads/2010/08/anterior-uveitis-21.jpg
http://www.pfofflaserandeye.com/The%20Informed%20Patient/Dangerous%20Symptoms/Endophthalmitis.gif
Late  complication of cataract surgery
Cystoid macular oedema Endophthalmitis Pseduphakic bullous keratopathy Retinal detachment Epithelial ingrowth Fibrous downgrowth Glaucoma Toxic Anterior Segment Syndrome Posterior capsule opacifiction Phimosis
Swelling or edema of the central part of the retina, called macula(henle’s layer) Does not prod uce any visual problem On funduscopy it gives honeycomb appearance It is associated with vitreous incarceration in wound and iritis
 
 
Infection of intaocular tissue Low virulence organism trapped in the capsular bag may be due to penetrating trauma
 
 
Swelling or edema of the cornea associated with cloudy vision may be transient or permanent Displacement or dislocation of the intraocular lens implant may rarely occur
 
 
Common after ICCE Higher in aphakic patient Risk factor :- vitreous loss myopia lactic degeneration of retina
 
 
 
Cell may invade the anterior chamber through a defect in incision Grows and lines the back of cornea and lead to glaucoma In late it may extend to iris and anterior part of vitreous
 
Cause secondary glaucoma, disorganisationof anterior segment and phthisis bulbi
 
Associated with inflammation Neovascular glaucoma may occur, specially in diabetic patient the intraocular pressure may remain so high that blindness may ensue
 
 
Is a non-infectious inflammatory condition that may occur following cataract surgery.  It is usually treated with topical corticosteroids in high dosage and frequency.
 
posterior capsular cells undergo hyperplasia and cellular migration, showing up as a thickening, opacification and clouding of the posterior lens capsule This may compromise visual acuity  corrected using a laser device  Nd-YAG laser (neodymium-yttrium-aluminum-garnet)
 
INTRAOCULAR LENS RELATED COMPLICATIONS
Cystoid macular oedema Corneal endothelial damage Uveitis Secondary glaucoma Hyphaema. UGH SYNDROME  is especially very common with anterior chamber and iris supported IOL. UGH SYNDROME
 
IOL Decentration if the surgeon does not place the lens properly,  if the patient's eye has a weak zonular system for holding the lens in place. if the patient suffers trauma, or internal forces change the dynamics of the eye's lens-containing capsule.
Patients with lens decentration experience reduced vision, halos, and/or significant glare. The usual remedy is  surgical repositioning  of the IOL.
SUBLUXATIONS SUN-SET SYNDROME : Inferior SUN-RISE SYNDROME : Superior LOST LENS SYNDROME : Complete dislocation of IOL into the vitreous cavity.
WINDSHIELD WIPER SYNDROME:- Very small IOL placed vertically in the sulcus. The superior loop moves left and right with the movements of the head.
TOXIC LENS SYNDROME Uveal inflammation   is excited by:- Ethylene gas (in early cases) Lens material (in late cases).
HORIZONTAL DECENTRATION flylib.com
flylib.com
flylib.com
serious complication  since  the interior of the eye becomes exposed to infectious agents.  Low intraocular pressure  following the surgery can be an indicator.
A  bandage contact lens  is typically placed over the surgical site, usually sufficient to slow the leak adequately to allow natural healing. If the leak persists, surgical measures used to repair the problem.
A retinal tear  ocular fluid to seep  behind the retina  After surgery, the patient experiences  flashes  and  floaters  in the field of vision.  Patients referred to a  retinal specialist  who may take immediate steps to repair the problem,
 
A common problem following a cataract surgery . Cataract patients who have a  history of refractive surgery  are at greater risk of IOL power miscalculation.
This is largely due to difficulties that may be encountered during the determination of corneal refractive powers, such as using the wrong keratometry values. This is particularly true after myopic keratorefractive surgery.
IOL power miscalculations lead to severe ANISOMETROPIA
Options are available for subsequent correction  ……. spectacles or  contact lenses  keratorefractive surgery IOL Exchange Supplementary IOLs (ie,  polypseudophakia ),
supplementary IOLs implanted in  the ciliary sulcus anterior to the primary implant, can be easier and safer surgical options. Because IOL exchange may be associate with increased risk of capsular rupture or zonular dehiscence with vitreous loss,supplementary IOL is also an acceptable option.
OF PHACOEMULSIFICATION http://www.cohneyecenter.com/phaco.jpg
Thermal burns Iris trauma Posterior capsular rupture Nucleus drop  Endophthalmitis Flattening of anterior chamber Iridodialysis Hyphema
A portion of the phaco energy is lost as heat, which is conducted into the eye via the titanium tip. The tip is constantly cooled by the infusion fluid from the outer sleeve of the probe tip. For any reason if this fluid flow is hampered, the potential for thermal damage can rapidly occur within few seconds. The surgeon should stop and check the irrigation and aspiration, incase a thermal burn is noticed. If a burn has occurred, the surgeon must adequately suture the wound with multiple sutures to prevent post operative leak. http://adrianhoe.com/adrianhoe/images/blog/phaco_lateral.jpg
Iris damage during phaco is due to iris prolapse or direct injury from tip of the U/S handpiece. Injury may cause loss of pigmentation, flaccidity, bleeding, pupillary irregularity or even cystoid macular edema. If the iris is already damaged, phaco should be done by using low aspiration rates. eyeworld.org/images/New_Articles/2010/04/29_b.jpg Iris damage www.retinalphysician.com/archive%5C2010%5CJun Iris burn
A Major complication of Phaco Occurs due to: Direct action of the U/S tip on the capsule  Rarely due to sharp nuclear fragments..etc. Signs include: Pupil snap back sign Deepening of ant. Chamber Loss of piece of nucleus Reduction in the aspiration due to obstruction by vitreous. Once a rent in post. Capsule has occurred ,one should try and minimize its extension with loss of vitreous. One should convert procedure to ECCE. <eyeworld.org>
Hard  nucleus  is seen  dropping to right after  posterior capsule rupture www.osnsupersite.com/images This is another major complication of phaco. During the process the nucleus drops through capsular tear into the  vitreous. This can lead to complications like uveitis, retinal detachment etc.
Endophthalmitis   is a serious infection of the intraocular tissues, usually following intraocular surgery, or penetrating trauma.  Glaucoma  may occur and it may be very difficult to control. It is usually associated with inflammation, specially when little fragments or chunks of the nucleus get access to the vitreous cavity.  Patients may experience  Spontaneous bleeding  from the wound and  Recurrent inflammation  after surgery. Flashing, floaters, and double vision may also occur a few weeks after surgery.
Surgeons may come across situations where proceeding with phaco can lead to serious complications, at times like this the procedure is converted to ECCE. This requires special skills, caution and early recognition of intraoperative problems which signals the need for conversion.  Basic purpose: Limit endothelial damage Avoid risk of nuclear drop into vitreous cavity.
Small pupil Prolonged phaco time [hard cataracts] Posterior capsular rupture Corneal thermal burns Intraoperative detection or occurrence of subluxation Malfunction of handpiece or machine
 
It is a inflammation of inner coat of eye ………….. It may occur following the intraocular surgery  such as cataract or glaucoma filtration surgery etc./…..
 
EXOGENOUS  INFECTIONS Perforating  injuries Perforation of infected corneal  ulcer Post-operative
 
2.ENDOGENOUS OR METASTATIC INFECTIONS By   haemogenous spread mainly  due to  septicemia, Caries of teeth etc
Lids - Blepharitis Lacrimal system –dacryocystitis. Orbital cellulitis Infected corneal ulcers Thrombophlebitis
SYMPTOMS OCULAR PAIN REDNESS LACRIMATION PHOTOPHOBIA MARKED LOSS OF VISION
Swollen lids Chemosis , Circumcorneal congestion, Odeamatous cornea….Cloudy and  ring infiltration, in exogenous form, edges of wound become yellow and necrotic.
 
 
 
 
Occurrence can be prevented by using pre-operative, intraoperative,post-operative antibiotics. In infectious cases  immediate and intensive broad spectrum antibiotics is administered by topical, subconjunctival,I.V or even by intra vitreal routes. Systemic steroids to control inflammation
ANTIBIOTICS: AMIKACIN OR TOBRAMYCIN EYE DROPS OR VANCOMYCETINE OR CEFAZOLINE 50mg/dl  EVERY  15-  30MIN  ALTERNATELY 2 ND  CHOICE  CIPROFLOXACIN EYE DROPS EVERY 30MIN STEROIDS: 1%DEXAMETHASONE QID CYCLOPEGICS: ATROPINE 1%  OR HOMATROPINE EYE DROPS TDS OR QID
ANTIBIOTICS FORTIFIED CONCENTRATION SUBCONJUNCTIVAL DOSE AMIKACIN SULFATE 50mg/ml 25mg/0.5ml CEFALORIDINE 50mg/ml 100mg/0.5ml CEFAZOLINE 50mg/ml 1oomg/0.75ml CEFTRIAXONE 50mg/ml 100mg/0.5ml GENTAMYCIN 50mg/ml 20mg/0.5ml TOBRAMYCIN 50mg/ml 20mg/0.5ml CIPROFLOXACIN 50mg/ml -
DRUGS DOSE AMIKACIN 400micro g/0.1ml AMPHOTERICIN B 5mg/0.1ml CEFAZOLIN 2.25mg/0.5ml CLINDAMYCIN 1mg/0.1ml VANCOMYCIN 1mg/0.1ml DEXAMETHASONE 400micro g/0.1ml
 
Some cases need therapeutic  Vitrectomy   for debulking the vitreous of organisms and their toxins Preventing subsequent tractional retinal detachment
 
ANTIBIOTICS; AMIKACIN 7,5mg/kg/day in 3divided doses  with  cefazoline  0.5QID  for 7-10 days OR CIPROFLOXACIN I.V 200mg  BD 2-4 days followed  by 500mg orally BD ORAL CORTICOSTEROIDS; STARTED AFTER 24hrs of intensive antibiotic  therapy………….Adaily therapy regime with  PREDNISOLONE …FIRST DOSE OF 60mg followed  by 50,40,30,20,10 mg for 2days
POSTERIOR CAPSULAR  OPACIFICATION(PCO)
POSTERIOR  CAPSULAR  OPACIFICATION Secondary cataract A posterior capsule opacity is the presence of a hazy membrane (capsule) just behind an intraocular lens implant. PCO has been recognised since the origin of extracapsular cataract surgery (ECCE) and was noted by Sir Harold Ridley in his first IOL implantations. PCO is a major problem in paediatric cataract surgery where the incidence approaches 100%
CAUSES OF PCO PERSISTANCE OF RESIDUAL OPAQUE LENS MATTER PROLIFERATION OF ANTERIOR EPITHELIAL CELLS
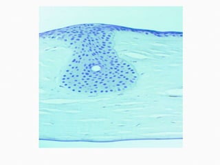
DENSE MEMBRANOUS SOEMMERING’S RING ELSCHNIG’S PEARLS
DENSE MEMBRANOUS CATARACT SOURCE:eyerounds.org
SOURCE:revoptom.com New lens fibres trapped between the anterior and posterior capsules
ELSCHNIG’S PEARLS
ELSCHNIG’S PEARLS
Clinical Manifestations  The interval between surgery and PCO varies widely, ranging from three months to four years after the surgery Young age is a significant risk factor for PCO, and its occurrence is a virtual certainty in paediatric patients .
Visual symptoms do not always correlate to the observed amount of PCO. Some patients with significant PCO on slitlamp examination are relatively asymptomatic . Others have significant symptoms with mild apparent haze, which is reversed by capsulotomy
 
  Prevention of PCO Surgery-related factors to reduce PCO : Hydrodissection-enhanced cortical cleanup In-the-bag (capsular) fixation Small Capsulorhexis – so the edge of capsule is on  IOL surface
Four IOL-Related Factors to Reduce  PCO: IOL biocompatibility B. Maximal IOL Optic-Posterior Capsule Contact. C. Barrier Effect of the IOL Optic. D. Shape of IOL
  TREATMENT TYPES OF PCO TREATMENT Thin membranous  Nd- YAG Laser capsulotomy  Discission with cystitome or zeigler’s knife Dense membranous  surgical membranectomy Soemmering’s ring  no treatment Elschnig’s pearls  YAG Laser capsulotomy  discission with cystitome
Nd -YAG laser  (neodymium-yttrium-aluminum-garnet) is used to disrupt and clear the central portion of the opacified posterior lens capsule ( posterior  capsulotomy ). This creates a clear central visual axis for improving visual acuity. In very thick opacified posterior capsules, a surgical (manual) capsulectomy is the surgical procedure performed . Nd-YAG Laser Capsulotomy
Type of laser : The Nd-YAG laser is an optically pumped solid-state laser that can produce very high-power emissions. Mechanism of action : a  YAG laser  is used to open the posterior capsule centrally.
the laser treatment is performed with a slit-lamp delivery system using an appropriate contact lens (i.e., Abraham capsulotomy YAG lens) to stabilize the eye and focus the laser beam. The YAG laser causes photodisruption with the shock wave travelling anteriorly
Source:alcon.com
SOURCE:laserengraver.com
COMPLICATIONS OF YAG LASER The most important risk of the procedure is retinal detachment May be rarely associated with complications such as: transient rise in IOP enhanced risk of retinal detachment particularly marked in axial myopia cystoid macular oedema
IOL subluxation lens optic damage/pitting Endophthalmitis vitreous prolapse into the anterior chamber and anterior hyaloid disruption

Complications of.........

  • 1.
  • 2.
  • 3.
    Some patients maydevelop anxiety, on the eve of operation due to fear and apprehension of operation. Anxiolytic drugs such as diazepam 2 to 5mg at bed time usually alleviate such symptoms. Nowadays preferred drug is Alprazolam
  • 4.
    A few patientsmay develop nausea and gastritis due to preoperative medicines such as acetazolamide and/or glycerol. Oral antacids and omission of further dose of such medicines usually relieve the symptoms.
  • 5.
    It may occurin some patients due to preoperative topical antibiotic drops. Postponing the operation for 2 days along with withdrawal of such drugs is required.
  • 6.
  • 7.
    It may developdue to inadvertent injury during Schiotz tonometry. Patching with antibiotic ointment for a day and postponement of operation for 2 days is required.
  • 8.
    disease-picture.com Cornealabrasion seen with fluorescein stain. bestpractice.bmj.com
  • 9.
    Retrobulbar haemorrhage may occur due to retrobulbar block. Immediate pressure bandage after instilling one drop of 2% pilocarpine and postponement of operation for a week is advised.
  • 10.
    Oculocardiac reflex , which manifests as bradycardia and/or cardiac arrhythmia, has also been observed due to retrobulbar block. An intravenous injection of atropine is helpful.
  • 11.
    Perforation of globe may also occur sometimes. To prevent such catastrophy, gentle injection with blunt-tipped needle is recommended. Further, peribulbar anaesthesia may be preferred over retrobulbar block.
  • 12.
    Subconjunctival haemorrhage is a minor complication observed frequently, and does not need much attention. whatisguide.net
  • 13.
    Spontaneous dislocation oflens in vitreous has also been reported (in patients with weak and degenerated zonules especially with hypermature cataract) during vigorous ocular massage after retrobulbar block. The operation should be postponed and further management is on the lines of posterior dislocation of lens
  • 14.
    Microspherophakia and spontaneous inferior dislocation of a lens in a ... emedicine.medscape.com
  • 15.
    Subluxated lens. eyecareamerica.org
  • 16.
  • 17.
    Superior rectus musclelaceration haematoma, may occur while applying the bridle suture. Usually no treatment is required
  • 18.
    During the preparationof conjunctival flap or during incision into the anterior chamber. Treatment: Cauterization of bleeding vessels.
  • 19.
    Depend upon thetype of cataract surgery being performed.
  • 20.
    i) Inconventional ECCE there may occur irregular incision. Irregular incision leading to defective coaptation of wound may occur due to blunt cutting instruments.
  • 21.
    ii) Inmanual SICS and phacoemulsification following complications may occur while making the self-sealing tunnel incision. 1) Button holing of anterior wall of tunnel can occur because of superficial dissection of the scleral flap. 2) As a remedy, abandonthis dissection and re- enter at a deeper plane from the other side of the external incision.
  • 22.
    3) Prematureentry into the anterior chamber due to deep dissection. Once this is detected, dissection in that area should be stopped and a new dissection started at a lesser depth at the other end of the tunnel.
  • 23.
    4) Scleral disinsertion can occur due to very deep groove incision. In it there occurs complete separation of inferior sclera from the sclera superior to the incision.Scleral disinsertion needs to be managed by radial sutures.
  • 24.
    Occur when anteriorchamber is entered with a sharp-tipped instrument such as keratome or a piece of razor blade. A gentle handling with proper hypotony reduces the incidence of such inadvertent injuries.
  • 25.
    (tear of irisfrom root). May occur inadvertently during intraocular manipulation.
  • 26.
    Continuous curvilinear capsulorhexis(CCC) is the preferred technique for opening the anterior capsule for SICS and phacoemulsification. Following complications may occur: 1) Escaping capsulorhexis i.e., capsulorhexis moves peripherally and may extend to the equator or posterior capsule.
  • 27.
    2) Smallcapsulorhexis . It predisposes to posterior capsular tear and nuclear drop during hydrodissection. It also predisposes to occurrence of zonular deshiscence. Therefore, a small sized capsulorhexis should always be enlarged by 2 or 3 relaxing incisions before proceeding further.
  • 28.
    3) Verylarge capsulorhexis may cause problems for in the bag placement of IOL. 4) Eccentric capsulorhexis can lead to IOL decentration at a later stage.
  • 29.
    capsulorhexis surgery-guidance.com
  • 30.
    May occur inall techniques of ECCE but is especially common during nucleus prolapse into the anterior chamber in manual SICS. ineedshoes.co.uk
  • 31.
    It is themost serious complication which may occur following accidental rupture of posterior capsule during any technique of ECCE. webeye.ophth.uiowa.edu
  • 32.
    1.To decreasevitreous volume: Preoperative use of hyperosmotic agents ex. 20 percent mannitol or oral glycerol. 2. To decrease aqueous volume: Preoperatively acetazolamide 500 mg orally & ocular massage should be carried out digitally after injecting local anaesthesia.
  • 33.
    3. Todecrease orbital volume: adequate ocular massage and orbital compression by use of superpinky, Honan's ball, or 30 mm of Hg pressure by paediatric sphygmomanometer should be carried out.
  • 34.
    4. Better ocularakinesia and anaesthesia: decrease the chances of pressure from eye muscle. 5. Minimising the external pressure on eyeball by not using eye speculum, reducing pull on bridle suture and overall gentle handling during surgery.
  • 35.
    6. Use ofFlieringa ring to prevent collapse of sclera especially in myopic patients decreases the incidence of vitreous loss. 7. When IOP is high in spite of all above measures and operation cannot be postponed, in that situation a planned posterior-sclerotomy with drainage of vitreous from pars plana will prevent rupture of the anterior hyaloid face and vitreous loss.
  • 36.
    Once the vitreousloss has occurred, the aim should be to clear it from the anterior chamber and incision site. This can be achieved by performing partial anterior vitrectomy, with the use of automated vitrectors. Partial anterior vitrectomy will reduce the incidence of postoperative problems associated with vitreous loss such as updrawn pupil, iris prolapse and vitreous touch syndrome
  • 37.
    Posterior loss oflens fragments into the vitreous cavity may occur after PCR or zonular dehiscence during phacoemulsification. It is potentially serious because it may result in glaucoma, chronic uveitis, chronic CME and even retinal detachment.
  • 38.
    The case shouldbe managed by vitreoretinal surgeon by performing pars plana vitrectomy and removal of nuclear fragments.
  • 39.
    It is oneof the most dramatic and serious complications of cataract surgery. Usually occurs in hypertensives and patients with arteriosclerotic changes. May occur during operation or during immediate postoperative period.
  • 40.
  • 41.
    Its incidence washigh in ICCE and conventional ECCE but has decreased markedly with valvular incision of manual SICS and phacoemulsification technique.
  • 42.
    It is characterised by spontaneous gaping of the wound followed by expulsion of the lens, vitreous, retina, uvea and finally a gush of bright red blood. Although treatment is unsatisfactory, the surgeon should attempt to drain subchoroidal blood by performing an equatorial sclerotomy. Most of the time eye is lost and so evisceration operation has to be performed.
  • 43.
  • 44.
    Collection of bloodin the anterior chamber May occur in conjunctival or scleral vessels Symptoms Bleeding in front portion of the eye Vision abnormalities Eye pain Photophobia
  • 45.
    Most hyphaemas absorbspontaneously thus need no treatment Large hyphaemas and those associated with rise in IOP IOP should be lowered by acetazolamide and hyperosmotic agents If the blood does not get absorbed in a weeks time then paracentesis should be done to drain the blood
  • 46.
  • 47.
    It is usuallycaused by inadequate suturing of the incision after ICCE and conventional ECCE Occurs during first or second postoperative day Less common with manual SICS and phacoemulsification technique
  • 48.
    Small prolapse Repositedback and wound sutured Large prolapse Abscission and suturing of wound
  • 49.
  • 50.
    Characterised by mildcorneal oedema with Descemets folds Observed during immediate postoperative period Occurs due to endothelial damage during surgery
  • 51.
    Mild keratopathy Disappearsspontaneously within a week Moderate to severe keratopathy Hypertonic saline drops(5% sodium chloride) Steroids
  • 52.
  • 53.
    Rare complication Dueto improved wound closure 3 types With wound leak Ciliochoroidal detachment Pupil block due to vitreous bulge
  • 54.
    Flat anterior chamberwith wound leak Associated with hypotony Diagnosed by Seidels test Most cases wound leak is cured within 4 days Pressure bandage Oral acetazolamide If the condition persists Injection of air in the anterior chamber Resuturing of the leaking wound
  • 55.
  • 56.
    Ciliochoroidal detachment Presentsas a convex brownish mass in the involved quadrant with shallow anterior chamber Most cases cured within 4 days Pressure bandage Oral acetazolamide If condition persists Suprachoroidal drainage Injection of air in the anterior chamber
  • 57.
  • 58.
    Pupil block dueto vitreous bulge After ICCE Formation of iris bombe and shallowing of anterior chamber If condition persists for 5-7 days permanent peripheral anterior synechiae may be formed leading to secondary angle closure glaucoma
  • 59.
    Initially Mydriatic Hyperosmoticagents Acetazolamide If not relieved Laser or surgical peripheral iridectomy
  • 60.
    Due to Instrumentaltrauma Undue handling of uveal tissue Reaction to residual cortex Chemical reaction induced by viscoelastics, pilocarpine
  • 61.
    Aggressive use oftopical steroids Dexamethasone eye drops 4 to 6 times a day Betamethasone eye ointment at bed time Cycloplegics 1% atropine sulfate eye ointment or drops instilled 2 to 3 times a day NSAIDs Aspirin Phenylbutazone Rarely systemic steroids (cases with fibrinous reaction)
  • 62.
  • 63.
  • 64.
    Late complicationof cataract surgery
  • 65.
    Cystoid macular oedemaEndophthalmitis Pseduphakic bullous keratopathy Retinal detachment Epithelial ingrowth Fibrous downgrowth Glaucoma Toxic Anterior Segment Syndrome Posterior capsule opacifiction Phimosis
  • 66.
    Swelling or edemaof the central part of the retina, called macula(henle’s layer) Does not prod uce any visual problem On funduscopy it gives honeycomb appearance It is associated with vitreous incarceration in wound and iritis
  • 67.
  • 68.
  • 69.
    Infection of intaoculartissue Low virulence organism trapped in the capsular bag may be due to penetrating trauma
  • 70.
  • 71.
  • 72.
    Swelling or edemaof the cornea associated with cloudy vision may be transient or permanent Displacement or dislocation of the intraocular lens implant may rarely occur
  • 73.
  • 74.
  • 75.
    Common after ICCEHigher in aphakic patient Risk factor :- vitreous loss myopia lactic degeneration of retina
  • 76.
  • 77.
  • 78.
  • 79.
    Cell may invadethe anterior chamber through a defect in incision Grows and lines the back of cornea and lead to glaucoma In late it may extend to iris and anterior part of vitreous
  • 80.
  • 81.
    Cause secondary glaucoma,disorganisationof anterior segment and phthisis bulbi
  • 82.
  • 83.
    Associated with inflammationNeovascular glaucoma may occur, specially in diabetic patient the intraocular pressure may remain so high that blindness may ensue
  • 84.
  • 85.
  • 86.
    Is a non-infectiousinflammatory condition that may occur following cataract surgery. It is usually treated with topical corticosteroids in high dosage and frequency.
  • 87.
  • 88.
    posterior capsular cellsundergo hyperplasia and cellular migration, showing up as a thickening, opacification and clouding of the posterior lens capsule This may compromise visual acuity corrected using a laser device Nd-YAG laser (neodymium-yttrium-aluminum-garnet)
  • 89.
  • 90.
  • 91.
    Cystoid macular oedemaCorneal endothelial damage Uveitis Secondary glaucoma Hyphaema. UGH SYNDROME is especially very common with anterior chamber and iris supported IOL. UGH SYNDROME
  • 92.
  • 93.
    IOL Decentration ifthe surgeon does not place the lens properly, if the patient's eye has a weak zonular system for holding the lens in place. if the patient suffers trauma, or internal forces change the dynamics of the eye's lens-containing capsule.
  • 94.
    Patients with lensdecentration experience reduced vision, halos, and/or significant glare. The usual remedy is surgical repositioning of the IOL.
  • 95.
    SUBLUXATIONS SUN-SET SYNDROME: Inferior SUN-RISE SYNDROME : Superior LOST LENS SYNDROME : Complete dislocation of IOL into the vitreous cavity.
  • 96.
    WINDSHIELD WIPER SYNDROME:-Very small IOL placed vertically in the sulcus. The superior loop moves left and right with the movements of the head.
  • 97.
    TOXIC LENS SYNDROMEUveal inflammation is excited by:- Ethylene gas (in early cases) Lens material (in late cases).
  • 98.
  • 99.
  • 100.
  • 101.
    serious complication since the interior of the eye becomes exposed to infectious agents. Low intraocular pressure following the surgery can be an indicator.
  • 102.
    A bandagecontact lens is typically placed over the surgical site, usually sufficient to slow the leak adequately to allow natural healing. If the leak persists, surgical measures used to repair the problem.
  • 103.
    A retinal tear ocular fluid to seep behind the retina After surgery, the patient experiences flashes and floaters in the field of vision. Patients referred to a retinal specialist who may take immediate steps to repair the problem,
  • 104.
  • 105.
    A common problemfollowing a cataract surgery . Cataract patients who have a history of refractive surgery are at greater risk of IOL power miscalculation.
  • 106.
    This is largelydue to difficulties that may be encountered during the determination of corneal refractive powers, such as using the wrong keratometry values. This is particularly true after myopic keratorefractive surgery.
  • 107.
    IOL power miscalculationslead to severe ANISOMETROPIA
  • 108.
    Options are availablefor subsequent correction ……. spectacles or contact lenses keratorefractive surgery IOL Exchange Supplementary IOLs (ie, polypseudophakia ),
  • 109.
    supplementary IOLs implantedin the ciliary sulcus anterior to the primary implant, can be easier and safer surgical options. Because IOL exchange may be associate with increased risk of capsular rupture or zonular dehiscence with vitreous loss,supplementary IOL is also an acceptable option.
  • 110.
  • 111.
    Thermal burns Iristrauma Posterior capsular rupture Nucleus drop Endophthalmitis Flattening of anterior chamber Iridodialysis Hyphema
  • 112.
    A portion ofthe phaco energy is lost as heat, which is conducted into the eye via the titanium tip. The tip is constantly cooled by the infusion fluid from the outer sleeve of the probe tip. For any reason if this fluid flow is hampered, the potential for thermal damage can rapidly occur within few seconds. The surgeon should stop and check the irrigation and aspiration, incase a thermal burn is noticed. If a burn has occurred, the surgeon must adequately suture the wound with multiple sutures to prevent post operative leak. http://adrianhoe.com/adrianhoe/images/blog/phaco_lateral.jpg
  • 113.
    Iris damage duringphaco is due to iris prolapse or direct injury from tip of the U/S handpiece. Injury may cause loss of pigmentation, flaccidity, bleeding, pupillary irregularity or even cystoid macular edema. If the iris is already damaged, phaco should be done by using low aspiration rates. eyeworld.org/images/New_Articles/2010/04/29_b.jpg Iris damage www.retinalphysician.com/archive%5C2010%5CJun Iris burn
  • 114.
    A Major complicationof Phaco Occurs due to: Direct action of the U/S tip on the capsule Rarely due to sharp nuclear fragments..etc. Signs include: Pupil snap back sign Deepening of ant. Chamber Loss of piece of nucleus Reduction in the aspiration due to obstruction by vitreous. Once a rent in post. Capsule has occurred ,one should try and minimize its extension with loss of vitreous. One should convert procedure to ECCE. <eyeworld.org>
  • 115.
    Hard nucleus is seen dropping to right after posterior capsule rupture www.osnsupersite.com/images This is another major complication of phaco. During the process the nucleus drops through capsular tear into the vitreous. This can lead to complications like uveitis, retinal detachment etc.
  • 116.
    Endophthalmitis is a serious infection of the intraocular tissues, usually following intraocular surgery, or penetrating trauma. Glaucoma may occur and it may be very difficult to control. It is usually associated with inflammation, specially when little fragments or chunks of the nucleus get access to the vitreous cavity. Patients may experience Spontaneous bleeding from the wound and Recurrent inflammation after surgery. Flashing, floaters, and double vision may also occur a few weeks after surgery.
  • 117.
    Surgeons may comeacross situations where proceeding with phaco can lead to serious complications, at times like this the procedure is converted to ECCE. This requires special skills, caution and early recognition of intraoperative problems which signals the need for conversion. Basic purpose: Limit endothelial damage Avoid risk of nuclear drop into vitreous cavity.
  • 118.
    Small pupil Prolongedphaco time [hard cataracts] Posterior capsular rupture Corneal thermal burns Intraoperative detection or occurrence of subluxation Malfunction of handpiece or machine
  • 119.
  • 120.
    It is ainflammation of inner coat of eye ………….. It may occur following the intraocular surgery such as cataract or glaucoma filtration surgery etc./…..
  • 121.
  • 122.
    EXOGENOUS INFECTIONSPerforating injuries Perforation of infected corneal ulcer Post-operative
  • 123.
  • 124.
    2.ENDOGENOUS OR METASTATICINFECTIONS By haemogenous spread mainly due to septicemia, Caries of teeth etc
  • 125.
    Lids - BlepharitisLacrimal system –dacryocystitis. Orbital cellulitis Infected corneal ulcers Thrombophlebitis
  • 126.
    SYMPTOMS OCULAR PAINREDNESS LACRIMATION PHOTOPHOBIA MARKED LOSS OF VISION
  • 127.
    Swollen lids Chemosis, Circumcorneal congestion, Odeamatous cornea….Cloudy and ring infiltration, in exogenous form, edges of wound become yellow and necrotic.
  • 128.
  • 129.
  • 130.
  • 131.
  • 132.
    Occurrence can beprevented by using pre-operative, intraoperative,post-operative antibiotics. In infectious cases immediate and intensive broad spectrum antibiotics is administered by topical, subconjunctival,I.V or even by intra vitreal routes. Systemic steroids to control inflammation
  • 133.
    ANTIBIOTICS: AMIKACIN ORTOBRAMYCIN EYE DROPS OR VANCOMYCETINE OR CEFAZOLINE 50mg/dl EVERY 15- 30MIN ALTERNATELY 2 ND CHOICE CIPROFLOXACIN EYE DROPS EVERY 30MIN STEROIDS: 1%DEXAMETHASONE QID CYCLOPEGICS: ATROPINE 1% OR HOMATROPINE EYE DROPS TDS OR QID
  • 134.
    ANTIBIOTICS FORTIFIED CONCENTRATIONSUBCONJUNCTIVAL DOSE AMIKACIN SULFATE 50mg/ml 25mg/0.5ml CEFALORIDINE 50mg/ml 100mg/0.5ml CEFAZOLINE 50mg/ml 1oomg/0.75ml CEFTRIAXONE 50mg/ml 100mg/0.5ml GENTAMYCIN 50mg/ml 20mg/0.5ml TOBRAMYCIN 50mg/ml 20mg/0.5ml CIPROFLOXACIN 50mg/ml -
  • 135.
    DRUGS DOSE AMIKACIN400micro g/0.1ml AMPHOTERICIN B 5mg/0.1ml CEFAZOLIN 2.25mg/0.5ml CLINDAMYCIN 1mg/0.1ml VANCOMYCIN 1mg/0.1ml DEXAMETHASONE 400micro g/0.1ml
  • 136.
  • 137.
    Some cases needtherapeutic Vitrectomy for debulking the vitreous of organisms and their toxins Preventing subsequent tractional retinal detachment
  • 138.
  • 139.
    ANTIBIOTICS; AMIKACIN 7,5mg/kg/dayin 3divided doses with cefazoline 0.5QID for 7-10 days OR CIPROFLOXACIN I.V 200mg BD 2-4 days followed by 500mg orally BD ORAL CORTICOSTEROIDS; STARTED AFTER 24hrs of intensive antibiotic therapy………….Adaily therapy regime with PREDNISOLONE …FIRST DOSE OF 60mg followed by 50,40,30,20,10 mg for 2days
  • 140.
    POSTERIOR CAPSULAR OPACIFICATION(PCO)
  • 141.
    POSTERIOR CAPSULAR OPACIFICATION Secondary cataract A posterior capsule opacity is the presence of a hazy membrane (capsule) just behind an intraocular lens implant. PCO has been recognised since the origin of extracapsular cataract surgery (ECCE) and was noted by Sir Harold Ridley in his first IOL implantations. PCO is a major problem in paediatric cataract surgery where the incidence approaches 100%
  • 142.
    CAUSES OF PCOPERSISTANCE OF RESIDUAL OPAQUE LENS MATTER PROLIFERATION OF ANTERIOR EPITHELIAL CELLS
  • 143.
    DENSE MEMBRANOUS SOEMMERING’SRING ELSCHNIG’S PEARLS
  • 144.
    DENSE MEMBRANOUS CATARACTSOURCE:eyerounds.org
  • 145.
    SOURCE:revoptom.com New lensfibres trapped between the anterior and posterior capsules
  • 146.
  • 147.
  • 148.
    Clinical Manifestations The interval between surgery and PCO varies widely, ranging from three months to four years after the surgery Young age is a significant risk factor for PCO, and its occurrence is a virtual certainty in paediatric patients .
  • 149.
    Visual symptoms donot always correlate to the observed amount of PCO. Some patients with significant PCO on slitlamp examination are relatively asymptomatic . Others have significant symptoms with mild apparent haze, which is reversed by capsulotomy
  • 150.
  • 151.
    Preventionof PCO Surgery-related factors to reduce PCO : Hydrodissection-enhanced cortical cleanup In-the-bag (capsular) fixation Small Capsulorhexis – so the edge of capsule is on IOL surface
  • 152.
    Four IOL-Related Factorsto Reduce PCO: IOL biocompatibility B. Maximal IOL Optic-Posterior Capsule Contact. C. Barrier Effect of the IOL Optic. D. Shape of IOL
  • 153.
    TREATMENTTYPES OF PCO TREATMENT Thin membranous Nd- YAG Laser capsulotomy Discission with cystitome or zeigler’s knife Dense membranous surgical membranectomy Soemmering’s ring no treatment Elschnig’s pearls YAG Laser capsulotomy discission with cystitome
  • 154.
    Nd -YAG laser (neodymium-yttrium-aluminum-garnet) is used to disrupt and clear the central portion of the opacified posterior lens capsule ( posterior capsulotomy ). This creates a clear central visual axis for improving visual acuity. In very thick opacified posterior capsules, a surgical (manual) capsulectomy is the surgical procedure performed . Nd-YAG Laser Capsulotomy
  • 155.
    Type of laser: The Nd-YAG laser is an optically pumped solid-state laser that can produce very high-power emissions. Mechanism of action : a YAG laser is used to open the posterior capsule centrally.
  • 156.
    the laser treatmentis performed with a slit-lamp delivery system using an appropriate contact lens (i.e., Abraham capsulotomy YAG lens) to stabilize the eye and focus the laser beam. The YAG laser causes photodisruption with the shock wave travelling anteriorly
  • 157.
  • 158.
  • 159.
    COMPLICATIONS OF YAGLASER The most important risk of the procedure is retinal detachment May be rarely associated with complications such as: transient rise in IOP enhanced risk of retinal detachment particularly marked in axial myopia cystoid macular oedema
  • 160.
    IOL subluxation lensoptic damage/pitting Endophthalmitis vitreous prolapse into the anterior chamber and anterior hyaloid disruption

Editor's Notes

  • #109 (1-3 Spectacles may not be the best option, especially for younger, more self-aware patients. Similarly, contact lenses are often inappropriate for older or infirm patients),