V I L L O U S A T R O P H Y
D I F F E R E N T C A U S E S
 Presented by :
Dr. Waleed Mahrous
Patient profile
 47 year old Saudi male
 Referred at 31/12/2012 to our clinic for
further management
Case Presentation
 47 year old male patient NOT known to have any
medical illness
 The patient had been healthy until he developed severe
central abdominal pain colicky in nature not radiating
 His symptoms progressed to nausea and emesis after
2–3 weeks. The abdominal pain & emesis usually
occurred 30 minutes after eating, 1–5 times per
day, was bilious in nature, and was associated with
bloating.
 No history of diarrhea , mucus discharge
, melena , or fresh blood .
 No experienced of nocturnal symptoms.
Case Presentation
Case Presentation
 Patient look for medical advice in KFH in AL Medina
 After some investigations was done for him with some
image pt was Dx with partial intestinal
obstruction
 Treated with IVF, Abx, was kept NPO for sometimes
and NGT free drain
 Pt has much improvement after that .
Case Presentation
 Pt started to have watery diarrhea after that, on
and off but no blood with it also with mild abdominal
pain.
 Pt had significant weight loss from 105kg to
78kg since first presentation (around 5-6 months)
 No other symptoms associated with his presentation
 So, pt referred to our clinic for further management
Case Presentation
 No hx of fever , constipation , or PR bleeding
 No hx of hematemsis or melena
 No hx of skin discoloration or skin lesion
 No hx of eating from outside or use of antibiotics
 Wt loss with no change in his appetite since his presentation
 No eye symptoms or similar condition,
 No hx of joint pain or swelling .
Case Presentation
 Patient is NOT known to have any medical illness
before
with no previous hospitalization except for his early
presentation
 No past surgical history
 NOT known to have any allergy
 NOT using any medication
• Past history
Case Presentation
 No similar condition in the family
 No chronic illness in the family
• Family history
Case Presentation
Living in Medina with his family
Medium class, NOT smoker or alcoholic
Married with no extramarital activity
• Social history
• Systemic review
 Unremarkable
Case Presentation
1) Celiac disease
2) Infections
3) Crohn's disease
4) Lymphoma
• Differential diagnosis
Case Presentation
Case Presentation
 Patient was conscious, alert, oriented to time place
and person, NOT in distress, NOT in pain and lying
comfortable in bed, NOT cachectic, NO muscle
wasting No palpable LN
 Vital sign :
T : 36.9
BP: 116 67 HR : 87
RR : 17
SPO2 99% room air
• On Examination
Case Presentation
Abdominal
Soft and lax with no tenderness
No Organomegally - Spleen was NOT
palpable, Liver around 12 cm span
PR Exa. was Normal
• On Examination
Case Presentation
C.V.S
No scar or deformity of the chest
S1 + S2 + o , No palpable or audible murmure
• On Examination
Respiratory
Fair air entry bilaterally
No wheezs or crepeatation
Case Presentation
Neurological exam + MS
UNREMARKABLE and grossly intact
• On Examination
Urine depstik
Negative
LAB Result
Case Presentation
CBC & chemistry
WBC 5.5 normal diff
HB 16.2
PLT 379
Na 144
K 3.8
Urea 3.5
Cr 80
• LAB Result
ALP 56 T.Bili 8
ALB 29 ALT 11
Ca 2.38
Po4 1.05
ESR 1
CRP 65
Case Presentation
1) Celiac disease
2) Crohn's disease
3) Infections
4) Lymphoma
• Differential diagnosis
Case Presentation
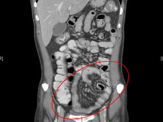
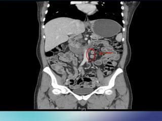
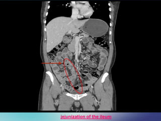
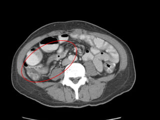
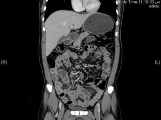
Pt underwent CT scan of the abdomen
which showed :
• Work up :
Case Presentation
Case Presentation
jejunization of the ileum
 CT abdomen and pelvis with IV contrast
FINDINGS :
Multiple mesenteric lymphadenopathies
, largest one measuring 1.7cm.
Mild hepatomegaly.
Jejunization of the ileum
Case Presentation
1) Celiac disease
2) Crohn’s disease
3) Autoimmune Enteropathy
4) I.P.S.I.D ( Immunoproliferative small intestinal
disease )
• Differential diagnosis
Case Presentation
Pt underwent :
Upper and lower GI endoscopy +
Enteorscopy
With biopsy taken already
• Work up cont…
Case Presentation
Case Presentation
• Upper endoscopy + single balloon
From duodenum to >1 Meter inside jejunum:
Nodularity , scallooping and ulceration.
Biopsy taken for AFB C/S and histopathology.
Case Presentation
• Colonoscopy (with Terminal Ileum intubation)
 RECTUM: 2 small flat polyps seen, removed with
biopsy forcips, no complications.
 SIGMOID to CECUM: No abnormalities seen.
 TERMINAL ILEUM: Diffuse nodularity with mild
erythema, no ulcers or lesions.
multiple biopsies taken.
Histopathology
Case Presentation
Case Presentation
Duodenal Histopathology :
The villous architecture is remarkably
distorted with shortening and focal
complete villous atrophy.
 No remarkable increase in the number of
CD3+ lymphocytes in the epithelium.
The lamina propria is expanded by a mixed
inflammatory infiltrate, of a
lymphoplasmacytic
There is glandular distortion, apoptosis &
regenerative changes
No definite malignant cells, granulomas or
infectious organisms detected
Suggestive of crohn's disease is high
Case Presentation
Case Presentation
Case Presentation
1) Crohn’s disease !
2) Celiac disease !!
3) I.P.S.I.D ( immunoproliferative small intestinal
disease ) !!?
• Differential diagnosis
 Work up ….
Villous Atrophy and Negative Celiac Serology
Villous Atrophy and Negative Enterocyte Antibody
Villous Atrophy and Negative ASCA
Case Presentation
Case Presentation
Case Presentation
Case Presentation
 Start Steroid Rx
 Prednisolone 40 mg po od for 2/52 then tapper
gradual until seen in clinic
 Seen in clinic at 6/52 where Imuran 200 mg
po od started and continue tapering steroid until
D/C
 Patient symptoms improved dramatically
Case Presentation
Case Presentation
Patient present to ER
4/1/2014
Patient present to ER with:
- Diarrhea 10 times > 3/52
- Recurrent Vomiting 15 times
2>52
- Loss Appetite
- Loss weight > 10 kg in 1/12
- Generalized weakness
Case Presentation
Case Presentation
CBC
WBC 5.6
Hg 13.5
Platelet 408
U&E
Creatinine 63
Na 124
K 3.1
Albumin 17
Case Presentation
 Started on Antibiotic
- Ciprofloxacin
- Metronidazole
- NPO
- Vigrous Hydration
Case Presentation
CT Abdomen
www.themegallery.com
www.themegallery.com
Case Presentation
 Comparison to the previous study done
on January 2013, there is still significa
nt mesenteric lymphadenopathy.
 No hepatomegaly or splenomegaly is se
en
 Radiology Impression :
The overall picture is compatible with severe in
flammatory process of small bowel
 The differential diagnosis may include :
- Active Crohn's disease
- Infectious Enterocolitis
Case Presentation
Colonoscopy up to
Terminal Ileum
 Colonoscopy
up to Terminal
Ileum : Only
seen nodular
ulcerated
mucosa of TI
other colon
normal
 Biopsy taken to r/o
TB CULTURE &
CMV
Case Presentation
Gastroscopy
 EGD : Thickened
edematous with
few superficial
ulceration at
gastric area
 Nodular with
large patchy
area of deep
ulcerated small
bowel
Case Presentation
2ed duodenal Part
 Methylprednisolone 20 mg iv bid
initiated
&
TPN - Total Parenteral Nutrition
Case Presentation
Terminal Ileum Histopathology
 Terminal Ileum Histopathology :
Fibrosis and chronic inflammation
Case Presentation
Duodenal Histopathology
Duodenal Histopathology
 Duodenal Histopathology :
The villous architecture is markedly
districted with shorting and focal
complete villous atrophy but without a
remarkable increase in number of CD 3
lymphocyte in epithelium.
Trichrome stain demonstrate a thick
collagenous subepithelial band
suggestive of collagenous sprue
Case Presentation
Case Presentation
Case Presentation
Case Presentation
 Gluten Free Diet
&
 Anti - TNF – Adalimumab
initiated
Case Presentation
 Patient seen in clinic 6 weeks from discharge
Improved symptoms
- No more diarrhea
- No more vomiting
- Feeling some time abdominal discomfort and
pain
- Increase weight by 5 kg since discharge
- Normal Lab
- Normal Albumin 43
Case Presentation
 INTRODUCTION
 Collagenous sprue is a severe
malabsorptive disorder, histologically
characterized by small intestinal
villous and crypt atrophy, and a
subepithelial collagen deposit, thicker
than 12 µm, that entraps lamina propria
cellular elements.
REV ESP ENFERM DIG 2013; 105 (3): 171-174
 Collagenous sprue is a rare disease
entity, with only about small No. of
sporadic cases reported worldwide since
it was first described in 1947.
 Its exact etiology is still under
investigation, and its relationship with
classic celiac disease and other
refractory, spruelike intestinal disorders
remains controversial.
REV ESP ENFERM DIG 2013; 105 (3): 171-174
 CS affects the small intestine (mainly
duodenum and proximal jejunum)
in a patchy way and with variable
intensity .
 Severity of symptoms correlates with
the overall length of bowel affected
rather than with the degree of
histological alterations.
REV ESP ENFERM DIG 2013; 105 (3): 171-174
 Those endoscopic findings, that is,
the reduction of folds, scalloping,
mucosal nodularity, are
suggestive, but nonspecific, of
collagenous sprue because they can
also be seen in classic celiac disease.
REV ESP ENFERM DIG 2013; 105 (3): 171-174
Treatment
 The management of CS is very
problematic. Thus far, there are no long-
term follow-up data available to compare
the most effective treatment regimens.
 Celiac sprue must be ruled out, and
dietary investigations should be
considered to detect unusual allergies
causing refractory sprue.
REV ESP ENFERM DIG 2013; 105 (3): 171-174
 Dietary gluten restriction should be the
first step even though patients are often
partially or totally unresponsive to gluten-free
diet, as previously reported.
 Parenteral nutrition has been proposed as
the best therapy because corticosteroid-
related complications such as osteopenia are
magnified in a chronic malabsorptive disorder.
REV ESP ENFERM DIG 2013; 105 (3): 171-174
 Total parenteral nutrition allows for
time to use immunosuppressives
that have been used to treat
refractory CD, to consider dietary
investigations, and to detect
unusual allergies.
REV ESP ENFERM DIG 2013; 105 (3): 171-174
 Long-term high-dose corticosteroids
remain the most effective
treatment option for CS, but the
dosing, tapering period, and side-effect
management needs to be investigated.
 Other options that have been used to
treat refractory CD may be useful in
the treatment of CS.
 A combination of nutrition
support, steroids, and
immunosuppressors such as
azathioprine, 6-mercaptopurine,
cyclosporine, or tumor necrosis
factor antibodies may be useful,
but lack clinical trials.
REV ESP ENFERM DIG 2013; 105 (3): 171-174
 Infliximab treatment in refractory
collagenous sprue: report of a case and
review of the literature
 27-year-old man developed watery diarrhea with
weight loss and abdominal pain. Duodenal
biopsies showed a subtotal villous atrophy with
an extensive subepithelial layer of collagenous
fibers.
 An apparent GFD did not reduce symptoms.
Z Gastroenterol 2009; 47(6): 575-578
 High dose steroid treatment (75 mg
prednisone) in combination with
azathioprine (150 mg) reduced diarrhea
but did not induce complete remission.
 Based on strongly elevated mucosal TNF-
alpha transcript concentrations we
introduced infliximab (5 mg/kg body
weight) into therapy.
Z Gastroenterol 2009; 47(6): 575-578
 After two applications the patient's
symptoms quickly improved.
 During the following year no recurrence
of diarrhea has been observed.
 This case suggests that infliximab is an
effective treatment in complicated
cases of collagenous sprue.
Z Gastroenterol 2009; 47(6): 575-578
V I L L O U S A T R O P H Y
D I F F E R E N T C A U S E S
Dr Waleed Mahrous

Collagenous Sprue

  • 2.
    V I LL O U S A T R O P H Y D I F F E R E N T C A U S E S  Presented by : Dr. Waleed Mahrous
  • 3.
    Patient profile  47year old Saudi male  Referred at 31/12/2012 to our clinic for further management
  • 4.
    Case Presentation  47year old male patient NOT known to have any medical illness  The patient had been healthy until he developed severe central abdominal pain colicky in nature not radiating  His symptoms progressed to nausea and emesis after 2–3 weeks. The abdominal pain & emesis usually occurred 30 minutes after eating, 1–5 times per day, was bilious in nature, and was associated with bloating.
  • 5.
     No historyof diarrhea , mucus discharge , melena , or fresh blood .  No experienced of nocturnal symptoms. Case Presentation
  • 6.
    Case Presentation  Patientlook for medical advice in KFH in AL Medina  After some investigations was done for him with some image pt was Dx with partial intestinal obstruction  Treated with IVF, Abx, was kept NPO for sometimes and NGT free drain  Pt has much improvement after that .
  • 7.
    Case Presentation  Ptstarted to have watery diarrhea after that, on and off but no blood with it also with mild abdominal pain.  Pt had significant weight loss from 105kg to 78kg since first presentation (around 5-6 months)  No other symptoms associated with his presentation  So, pt referred to our clinic for further management
  • 8.
    Case Presentation  Nohx of fever , constipation , or PR bleeding  No hx of hematemsis or melena  No hx of skin discoloration or skin lesion  No hx of eating from outside or use of antibiotics  Wt loss with no change in his appetite since his presentation  No eye symptoms or similar condition,  No hx of joint pain or swelling .
  • 9.
    Case Presentation  Patientis NOT known to have any medical illness before with no previous hospitalization except for his early presentation  No past surgical history  NOT known to have any allergy  NOT using any medication • Past history
  • 10.
    Case Presentation  Nosimilar condition in the family  No chronic illness in the family • Family history
  • 11.
    Case Presentation Living inMedina with his family Medium class, NOT smoker or alcoholic Married with no extramarital activity • Social history • Systemic review  Unremarkable
  • 13.
    Case Presentation 1) Celiacdisease 2) Infections 3) Crohn's disease 4) Lymphoma • Differential diagnosis
  • 14.
  • 15.
    Case Presentation  Patientwas conscious, alert, oriented to time place and person, NOT in distress, NOT in pain and lying comfortable in bed, NOT cachectic, NO muscle wasting No palpable LN  Vital sign : T : 36.9 BP: 116 67 HR : 87 RR : 17 SPO2 99% room air • On Examination
  • 16.
    Case Presentation Abdominal Soft andlax with no tenderness No Organomegally - Spleen was NOT palpable, Liver around 12 cm span PR Exa. was Normal • On Examination
  • 17.
    Case Presentation C.V.S No scaror deformity of the chest S1 + S2 + o , No palpable or audible murmure • On Examination Respiratory Fair air entry bilaterally No wheezs or crepeatation
  • 18.
    Case Presentation Neurological exam+ MS UNREMARKABLE and grossly intact • On Examination Urine depstik Negative
  • 19.
  • 20.
    Case Presentation CBC &chemistry WBC 5.5 normal diff HB 16.2 PLT 379 Na 144 K 3.8 Urea 3.5 Cr 80 • LAB Result ALP 56 T.Bili 8 ALB 29 ALT 11 Ca 2.38 Po4 1.05 ESR 1 CRP 65
  • 22.
    Case Presentation 1) Celiacdisease 2) Crohn's disease 3) Infections 4) Lymphoma • Differential diagnosis
  • 24.
    Case Presentation Pt underwentCT scan of the abdomen which showed : • Work up :
  • 26.
  • 27.
  • 28.
     CT abdomenand pelvis with IV contrast FINDINGS : Multiple mesenteric lymphadenopathies , largest one measuring 1.7cm. Mild hepatomegaly. Jejunization of the ileum
  • 30.
    Case Presentation 1) Celiacdisease 2) Crohn’s disease 3) Autoimmune Enteropathy 4) I.P.S.I.D ( Immunoproliferative small intestinal disease ) • Differential diagnosis
  • 31.
    Case Presentation Pt underwent: Upper and lower GI endoscopy + Enteorscopy With biopsy taken already • Work up cont…
  • 32.
  • 33.
    Case Presentation • Upperendoscopy + single balloon From duodenum to >1 Meter inside jejunum: Nodularity , scallooping and ulceration. Biopsy taken for AFB C/S and histopathology.
  • 34.
    Case Presentation • Colonoscopy(with Terminal Ileum intubation)  RECTUM: 2 small flat polyps seen, removed with biopsy forcips, no complications.  SIGMOID to CECUM: No abnormalities seen.  TERMINAL ILEUM: Diffuse nodularity with mild erythema, no ulcers or lesions. multiple biopsies taken.
  • 35.
  • 36.
  • 37.
    Case Presentation Duodenal Histopathology: The villous architecture is remarkably distorted with shortening and focal complete villous atrophy.  No remarkable increase in the number of CD3+ lymphocytes in the epithelium.
  • 38.
    The lamina propriais expanded by a mixed inflammatory infiltrate, of a lymphoplasmacytic There is glandular distortion, apoptosis & regenerative changes No definite malignant cells, granulomas or infectious organisms detected Suggestive of crohn's disease is high Case Presentation
  • 39.
  • 40.
    Case Presentation 1) Crohn’sdisease ! 2) Celiac disease !! 3) I.P.S.I.D ( immunoproliferative small intestinal disease ) !!? • Differential diagnosis
  • 41.
     Work up…. Villous Atrophy and Negative Celiac Serology Villous Atrophy and Negative Enterocyte Antibody Villous Atrophy and Negative ASCA Case Presentation
  • 42.
  • 43.
  • 44.
  • 45.
     Start SteroidRx  Prednisolone 40 mg po od for 2/52 then tapper gradual until seen in clinic  Seen in clinic at 6/52 where Imuran 200 mg po od started and continue tapering steroid until D/C  Patient symptoms improved dramatically Case Presentation
  • 46.
  • 47.
    Patient present toER with: - Diarrhea 10 times > 3/52 - Recurrent Vomiting 15 times 2>52 - Loss Appetite - Loss weight > 10 kg in 1/12 - Generalized weakness Case Presentation
  • 48.
  • 49.
    CBC WBC 5.6 Hg 13.5 Platelet408 U&E Creatinine 63 Na 124 K 3.1 Albumin 17 Case Presentation
  • 50.
     Started onAntibiotic - Ciprofloxacin - Metronidazole - NPO - Vigrous Hydration Case Presentation
  • 51.
  • 52.
  • 54.
     Comparison tothe previous study done on January 2013, there is still significa nt mesenteric lymphadenopathy.  No hepatomegaly or splenomegaly is se en
  • 55.
     Radiology Impression: The overall picture is compatible with severe in flammatory process of small bowel  The differential diagnosis may include : - Active Crohn's disease - Infectious Enterocolitis Case Presentation
  • 56.
  • 57.
     Colonoscopy up toTerminal Ileum : Only seen nodular ulcerated mucosa of TI other colon normal  Biopsy taken to r/o TB CULTURE & CMV Case Presentation
  • 58.
  • 59.
     EGD :Thickened edematous with few superficial ulceration at gastric area  Nodular with large patchy area of deep ulcerated small bowel Case Presentation 2ed duodenal Part
  • 60.
     Methylprednisolone 20mg iv bid initiated & TPN - Total Parenteral Nutrition Case Presentation
  • 61.
  • 62.
     Terminal IleumHistopathology : Fibrosis and chronic inflammation Case Presentation
  • 63.
  • 64.
  • 65.
     Duodenal Histopathology: The villous architecture is markedly districted with shorting and focal complete villous atrophy but without a remarkable increase in number of CD 3 lymphocyte in epithelium. Trichrome stain demonstrate a thick collagenous subepithelial band suggestive of collagenous sprue Case Presentation
  • 66.
  • 67.
  • 68.
  • 69.
     Gluten FreeDiet &  Anti - TNF – Adalimumab initiated Case Presentation
  • 70.
     Patient seenin clinic 6 weeks from discharge Improved symptoms - No more diarrhea - No more vomiting - Feeling some time abdominal discomfort and pain - Increase weight by 5 kg since discharge - Normal Lab - Normal Albumin 43 Case Presentation
  • 72.
     INTRODUCTION  Collagenoussprue is a severe malabsorptive disorder, histologically characterized by small intestinal villous and crypt atrophy, and a subepithelial collagen deposit, thicker than 12 µm, that entraps lamina propria cellular elements. REV ESP ENFERM DIG 2013; 105 (3): 171-174
  • 73.
     Collagenous sprueis a rare disease entity, with only about small No. of sporadic cases reported worldwide since it was first described in 1947.  Its exact etiology is still under investigation, and its relationship with classic celiac disease and other refractory, spruelike intestinal disorders remains controversial. REV ESP ENFERM DIG 2013; 105 (3): 171-174
  • 74.
     CS affectsthe small intestine (mainly duodenum and proximal jejunum) in a patchy way and with variable intensity .  Severity of symptoms correlates with the overall length of bowel affected rather than with the degree of histological alterations. REV ESP ENFERM DIG 2013; 105 (3): 171-174
  • 75.
     Those endoscopicfindings, that is, the reduction of folds, scalloping, mucosal nodularity, are suggestive, but nonspecific, of collagenous sprue because they can also be seen in classic celiac disease. REV ESP ENFERM DIG 2013; 105 (3): 171-174
  • 76.
    Treatment  The managementof CS is very problematic. Thus far, there are no long- term follow-up data available to compare the most effective treatment regimens.  Celiac sprue must be ruled out, and dietary investigations should be considered to detect unusual allergies causing refractory sprue. REV ESP ENFERM DIG 2013; 105 (3): 171-174
  • 77.
     Dietary glutenrestriction should be the first step even though patients are often partially or totally unresponsive to gluten-free diet, as previously reported.  Parenteral nutrition has been proposed as the best therapy because corticosteroid- related complications such as osteopenia are magnified in a chronic malabsorptive disorder. REV ESP ENFERM DIG 2013; 105 (3): 171-174
  • 78.
     Total parenteralnutrition allows for time to use immunosuppressives that have been used to treat refractory CD, to consider dietary investigations, and to detect unusual allergies. REV ESP ENFERM DIG 2013; 105 (3): 171-174
  • 79.
     Long-term high-dosecorticosteroids remain the most effective treatment option for CS, but the dosing, tapering period, and side-effect management needs to be investigated.  Other options that have been used to treat refractory CD may be useful in the treatment of CS.
  • 80.
     A combinationof nutrition support, steroids, and immunosuppressors such as azathioprine, 6-mercaptopurine, cyclosporine, or tumor necrosis factor antibodies may be useful, but lack clinical trials. REV ESP ENFERM DIG 2013; 105 (3): 171-174
  • 81.
     Infliximab treatmentin refractory collagenous sprue: report of a case and review of the literature  27-year-old man developed watery diarrhea with weight loss and abdominal pain. Duodenal biopsies showed a subtotal villous atrophy with an extensive subepithelial layer of collagenous fibers.  An apparent GFD did not reduce symptoms. Z Gastroenterol 2009; 47(6): 575-578
  • 82.
     High dosesteroid treatment (75 mg prednisone) in combination with azathioprine (150 mg) reduced diarrhea but did not induce complete remission.  Based on strongly elevated mucosal TNF- alpha transcript concentrations we introduced infliximab (5 mg/kg body weight) into therapy. Z Gastroenterol 2009; 47(6): 575-578
  • 83.
     After twoapplications the patient's symptoms quickly improved.  During the following year no recurrence of diarrhea has been observed.  This case suggests that infliximab is an effective treatment in complicated cases of collagenous sprue. Z Gastroenterol 2009; 47(6): 575-578
  • 84.
    V I LL O U S A T R O P H Y D I F F E R E N T C A U S E S
  • 85.