THE ABNORMAL SMALL
INTESTINE
DUODENUM
PEPTIC ULCERTION
• Duodenal ulcers are virtually always benign.
• Ulcers are often located on anterior wall of duodenal bulb, so prone
compression view of duodenum should be obtained routinely to detect
these lesions.
• On double contrast barium study, duodenal ulcer crater are shown as
sharply defined, constant collection of barium.
POSTBULBAR ULCERATION
• Mostly located on medial wall of proximal descending duodenum
above ampulla of vater.
• Ulcer is shown as a typical crater, frequently with spasm of opposite
wall.
COMPLICATIONS OF PEPTIC ULCERATION
1. Perforation.
2. Bleeding.
3. Stenosis
4. Penetration of adjacent organ.
ZOLLINGER-ELLISON SYNDROME
• Marked hypersecretion of gastric and severe peptic ulceration.
• Duodenal and jejunal folds thickens grossly due inflammatory
response to enormous secretion of gastric acid.
• Hypersecretion of acid result in the large volume of fluid in the
stomach, duodenum and proximal jejunum that dilutes barium.
GASTRIC HETEROPHORIA
• Irregular feeling defect seen in duodenal cap.
• Should be differentiated from lymphoid hyperplasia of duodenal bulb.
DUODENAL DIVERTICULA
• Most are the incidental findings.
• Present usually in the descending part of duodenum.
• Occasionally contain aberrant pancreatic, gastric or other functional
tissue and is site for ulceration, perforation or gangrene.
Acquired lesion consist of sac of mucosal and submucosal layers
herniating through muscular defect.
Most are located on medial border of descending duodenum.
Barium study-smooth, round outpouching arising on the descrete neck.
NEOPLASMS
• BENIGN NEOPLASMS
• Brunner’s gland hyperplasia- single or multiple polypoidal lesions in
first part of duodenum.
Adenomatous polyp
• Solitary, sessile, polypoidal, intraluminal filling defect on barium
studies or soft tissue mass on CT.
• Differentials-Benign GIST
-BRUNNER’S gland hyperplasia.
VILLOUS TUMOR
• Adenomatous polyps that contains predominantly villous elements
have been called villous adenoma
MALIGNANT NEOPLASMS
• PRIMARY CRCINOMA
Carcinoma of ampulla of vater is the type most frequently
encountered, presenting with jaundice .
On barium studies-enlarged papilla of vater with irregular border
CT- focal masses with asymptomatic mural thickening with varying
degree of luminal narrowing.
• SECONDARY INVOLVEMENT
-carcinoma or lymphoma of stomach
-carcinoma of head of pancreas.
-Carcinoma of tail of pancreas-
OTHER CONDITIONS
• PANCREATITIS
Plain radiograph-duodenal ileus
Barium studies-mucosal edema and
enlargement of duodenal
loop,enlargement of papilla of vater
JEJUNUM AND ILEUM
CROHN’S DISEASE
• Chronic relapsing immune mediated inflammatory disorder that
result from the dysfunctional immune response to luminal antigens,
• Can affect any part of GIT from mouth to anus
• Clinical presentation-blood loss, perianal disease, toxic megacolon.
Diagnostic tools for CD
• Conventional enteroclysis
• MDCT
• MDCT enteroclysis
• MDCT eneterography
• USG
• MRI
• MR enteroclysis
-To demonstrate early
changes of CD
-To depict the full extent of
involvement
-To determine any cause of
clinical deteroation
-To investigate post
operative complications of
CD
Radiological signs of CD
• Ulceration
• Cobble stoning
• Thickening of valvulae conniventes
• Stenosis
• Skip lesions
• Inflammatory polyps
• Thickened wall
• Enlarged ileocecal valve
• Adhesion
Barium contrast examination
• Aphthoid ulcer, which are characteristic feature, visualized as small
collection of barium with surrounding radiolucent margins due to
edema
• Longitudinal ulcers running along the mesenteric border of ileum are
characteristic but infrequent.
• Cobblestoning is fairly is cause by combination of longitudinal and
transverse ulceration separating intact portion of mucosa.
• Narrowing of intestinal lumen due to strictures which may be short,
long, single, multiple they may be accompanied by proximal dilatation
• Discontinuous involvement of intestinal wall is shown as skip lesions
CT
• The thickened bowel loops may enhance homogenously or may
demonstrate stratified target appearance
CT
• Multisegmental discontinuous small intestinal lesions known as skip
lesions is highly suggestive of crohns disease particularly when bowel
wall thickening is asymmetric or ulceration is seen.
MR enteroclysis
• Characteristic lesions such as bowel wall thickening, linear and fissure
ulcers , cobblestoning are accurately depicted on T2WI.
COELIAC DISEASE
• Gluten related immune-mediated enteropathy.
• Clinical presentation-diarrohoea, weight loss, steatorrhoea,
malnutrition, anemia, abdominal pain.
• Diagnosis of disease-abnormal villous pattern on biopsy.
Barium studies
• With extensive villous atrophy there is loss of surface of mucosa,
manifested as decrease number of folds of proximal jejunum
• Proximal jejunum is most severely involved by this disease .
CT
• Bowel dilatation and fluid excess.
• Jejunoileal fold pattern reversal
• Transient small intnussusception
• Mesentric and retroperitoneal lymphadenopathy due to reactive
lymphoid hyperplasia.
WHIPPLE’S DISEASE
• Tropheryma whippelii a gram positive bacterium responsible.
• Clinical presentations-arthritis (most comman extra intestinal
complication)
-bloating.
-weight loss.
-steatorrohea.
Barium studies.
• Thickened nodular folds primarily in distal duodenum an jejunum.
• Mucosal nodularity is due to villous blunting due to expansion of
lamina propria distended by fat and macrophages containing
digested bacilli.
NEOPLASMS
• Specific subtype of small intestinal neoplasms have predilection for
different regions.
• Adenocarcinoma –proximal small intestine.
• Carcinoid tumor-ileum.
• Lymphoma-distal ileum.
Imaging considerations in malignancy
• Barium studies-
-relatively inaccurate for the diagnosis
-major limitation lack of demonstration of extraintestinal abnormalities
• CT
-transmural extension
-mesenteric involvement.
-distant spread.
-contrast media shows good opacification of small bowel.
• NUCLEAR MEDICNE STUDIES(PET)
-Staging of small bowel tumors.
-assessing response to therapy.
MALIGNANT NEOPLASM
• ADENOCARCINOMA.
Usually well differentiated.
Arise from mucine producing columnar epithelial cells
Associated condition-celiac disease,NHL,carcinoma of esophagus, PZ
syndrome, FAP,HNPCC.
Imaging features of adenocarcinoma
• Apple core lesions-annular tumors manifested by short segment of
circumferential narrowing with mucosal irregularity.
• Polypoidal mass with or without ulceration.
• Multiple lobulated filling defects.
• CT- heterogenous attenuation mass causing concentric/ asymmetric
luminal narrowing and shows moderate enhancement after contrast
administration,
-liver, peritoneal surfaces, local lymph nodes and ovaries are
secondarily involved.
CARCINOID TUMORS
• originates from ectodermal cells of neural crest.
• Small bowel is the most common site of malignant carcinoid.
• Malignant nature confirmed by local invasion or distant metastasis.
• Pathophysiology-hormonally active substances secreted by tumors
include serotonine,bradykinine.
• Clinical aspect-carcinoid may cause no symptoms and may be
detected as incidental findings
Carcinoid syndromes charecterize by periodic flushing,
diarrohea,bronchospasm.
Imaging findings
• The presence of multiple distal small bowel nodules.
• With tumor growth into mesentery, the typical CT appearance is
speculated mesenteric mass with curvilinear stranding and indrawing
of bowel loops.
• Calcification of mesenteric lesion is common finding.
LYMPHOMA
• Gastrointestinal lymphoma may be primary or secondary.
• Diagnosis of primary gastrointestinal lymphoma can be made when
following criteria are met
1. LNpathy confined to area of small bowel abnoramlity.
2. WBC count and bone marrow aspirate is normal
3. No evidence of disease in liver and spleen.
• Secondary GI involvement is frequent in NHL.
Imaging findings
• Barium study-involvement of variable length of small intestine with
thickening and subsequent effacement of folds.
• CECT-One or more segment of circumferential wall thickening with
mild to moderate homogeneous enhancement.
GIST
• Most common mesenchymal tumor arising from GIT.
• Expression of tyrosine growth factor receptor-CD117.
• In past GIST were misdiagnosed as smooth muscle tumor because
tumor share many features on light microscopy.
• Pathology –GIST have exophytic growth, commonly involve muscularis
propria and shows mucosal ulcerations.
• Clinical presentation-abdominal distension,pain,anaemia.
Imaging findings of GIST
• CECT-heterogeneously enhancing exophytic mass adherent to small
bowel
• Small bowel GISTs are large tumors at the time of diagnosis usually
greater than 5cm.
SECONDARY NEOPLASMS
1. Transecoelomic spread-ovarian, gastric,colonic malignancy.
2. Hematogenous spread-lung, breast, cervix, melanoma, sq cell
carcinoma of head and neck.
3. Lymphatic spread- caecal carcinoma to terminal ileum.
• Transcoelomic spread
-segmental small intestinal changes.
-tethering of mucosal folds.
-intraperitoneal seeding of abdominal neoplasm frequently localize in
right lower quadrant in distal mesentry.
• Hematogenous spread.
Present with GI bleeding.
Metastases appears as smooth rounded polypoidal lesions of different
sizes on antimesentric border of small intestine.
Target /bulls-eye lesions (nodules with central ulcer) occer in
mesenteric small intestine.
BENIGN NEOPLASMS
Numerous benign tumors can found in small intestine,most are
• Leiomyoma.
• Adenoma
• Lipoma
• Hamartomatous polyps.
LEIOMYOMA
• Most common symptomatic benign neoplasm
• Patient presents with acute bleeding.
• CT findings-rounded mass associated with intestinal wall showing
marked homogenous contrast enhancement
• ADENOMATOUS POLYP AND VILLOUS ADENOMAS
Benign glandular epithelial neoplasms.
May exhibit malignant predisposition.
Barium studies-small, smooth, ovoid or round intraluminal filling
defect, and are often solitary or sessile.
Lipoma
• Arises as well-circumscribed submucosal proliferation of fat that
usually grows intraluminally.
• Barium study-sharply demarcated pedunculated tumor tends to
conform to contour of small intestine lumen.
• CT-lesion has attenuation value of fat.
-a homogenous mass between -80 to -120 HU diagnostic of
lipoma.
Polyposis syndromes
FAP syndrome.
Its variant syndromes are gardner’s syndrome and trucot’s syndrome.
Typically involve colon but small intestine may also be involved.
Patient have multiple duodenal and jejunoileal adenomas and ileal
lymphoid polyp.
P-Z syndrome
• AD syndrome.
• Gastrointestinal hamartomatous.
• Mucocutaneous melanotic pigmentation.
• Barium study- luminal polyp with lobulated contour and pedunculated
lesion with broad base attachment.
• CT-soft tissue mass within contrast medium filled intestinal loops.
INFECTIONS AND INFESTATIONS
• Infectious enteritis may result from a wide range of bacterial,viral,
parasitic or antibiotic associated pathogens
• MESENTERIC ADENITIS
Infectious enteritis may precipitate syndrome know as mesenteric
adenitis
Patient present as right lower quadrant pain.
Clinical correlation and short axis size threshold of 10 mm of
lymphnode is recommended.
TUBERCULOSIS
• Clinical presentation:-abdominal pain, fever, weight loss, intestinal
obstruction.
• Primarily occurs in ileocecal region and distribution is parallel to
distribution of lymphatics.
• Three classic forms of gastrointestinal TB are.
1. Ulcerative
2. Hyperptrophic
3. Ulcerohypertrophic.
Ulcerative type
• Sloughing of mucosa overlying submucosal tubercles result in the
ulceration
• Ulcers appears as short(3-6 mm in length) collections perpendicular
to longitudinal axis of bowel.
Hypertrophic type
• Extensive inflammation and fibrosis of bowel wall result in the
hypertrophic form of tuberculosis.
• Associated with extensive mesenteric lymphadenopathy and
adhesion.
• Bacilli are found primarily in necrotic lymphnodes rather than
intestinal wall
Complications of bowel tuberculosis
• Strictures
• Obstruction
• Fistulas
• Enteroliths
• Chronic appendicitis
Imaging modalities for evaluation intestinal
tuberculosis
• Plain radiographs
• Ultrasonography
• Barium studies
• CT
Plain radiographs
• Plain abdominal radiographs have little role in making diagnosis of
intestinal tuberculosis
• The only benefit they provide is in acute abdomen to look for
intestinal obstruction or pneumoperitoneium.
• Chest radiographs may shows features of active or healed
tuberculosis.
Ultrasonography
• Its main role is in evaluation of disease activity base on the colour
flow in the intestinal wall which helps in accessing the response to
treatment.
• Ultrasound demonstrate the markedly thick wall terminal ileum.
Barium study
• Perpendicular, stellate or longitudinal ulcer of varying size with healed
up margins in colon or terminal ileum(usually in terminal ileum).
• Barium meal follow through appearance of intestinal tuberculosis
classified in to two stages, namely active and healed
• Active ITB shows irregular and nodular narrowing of ileocecal
junction with involvement of adjacent ileum and cecum.
• Healing occurs by fibrosis which leads to strictures.
Signs of ITB on barium meal follow through.
• Stierlin’s signs –rapid emptying of cecum with passage of barium
from terminal ileum to ascending colon, which occurs due to irritable
mucosa of cecum
• Fleischner’s sign/ inverted umbrella sign-wide patulous and gaping
ileocecal valve with narrowing of adjacent terminal ileum
• String sign –persistently narrowed segment of intestine due to
inflammation or stricture.
• Conical cecum- contracted and pulled up cecum.
CT
• CT is often initial investigation performed for the evaluation of
suspected bowel pathology.
• CT reveals thickening of ileocecal valve
• Medial wall of caecum is disproportionately thickened and often
associated with soft tissue mass that engulfs the terminal ileum.
Sclerosing encapsulating peritonitis
( Abdominal cocoon)
• Encasement of Small bowel
loops with in thick
fibrocollagenous membrane.
CHRONIC RADIATION ENETRITIS
• Result from intestinal ischemia results from damage to vascular
endothelium.
• Radiological features- thickening of valvulae conniventis , mural
thickening, effacement of mucosal pattern,ulceration, fixation.
MECHANICAL SMALL BOWEL OBSTRUCTION
• Externsic lesions
Adhesion
Hernia
Extrensic tumors
Abscess
Aneurysm
Hematoma
Congenital
• Intramural lesions
Tumors
IBD
Vascular
Hematoma
Congenital
• Intraluminal
Gallstone
Foreign body
Intusssception
Meconium
Bezoar
Ascaris
• Clinical presentation
Frequent large volume bilious vomiting,Abdominal pain,Distension
• Radiographic findings
Abrupt transition from dilated to nondilated loop at the site of
obstruction.
CT
• Demonstrate the level of obstruction, cause of obstruction
• Demonstrate signs of threatened bowel viability
• Excludes the other causes of acute abdomen.
• Identification of ‘transition zone’ a definite point of obstruction with
dilated small bowel proximal loops and collapsed loop distally is most
reliable CT criterion for small bowel obstruction.
Intussuseption
• Extrensic, intrinsic,intraluminal process result
in small bowel intussuseption.
• A loop of small intestine with its mesentry
invaginates into lumen of adjacent small bowel
segment distally.
• Intussuseptum-inner advancing segment.
• Intussuscipience –outer receiving segment.
DIVERTICULA
• Meckel’s diverticulum
-Due to failure of yolk sac to close during fetal life.
-Located in antimesentric border of ileum,30-90 cm from ileocecal valve.
-complications are ulceration, bleeding, perforation, inflammation,
intussusception, internal hernia.
On barium study appears as blind ending sac arising from antimesentric
border of ileum.
Abnormal rotation and fixation of
midgut(malrotation and malfixation)
• May suspected antenatally if there is polyhydraminos .
• Patient presents with obstruction in first 24 hours of life with bilious
vomiting and abdominal distension.
Imaging of malrotation
• Plain radiograph
Most sinister plain film appearance is gasless abdomen , especially in
the presence abdominal distension and tenderness, this sign found
secondary to bowel necrosis.
• Contrast examination
Barium meal and barium enema studies can both be used to
investigate possible malrotation
The duodenojejunal junction is the most accurate sign to indicate
correct position of fixation
Types of abnormalities
• The type of abnormality found depends on type of malrotation.
• malrotation can be classified according to three stages of normal
rotation-type I,type II, type III.
Non rotation, type I malrotation
• Duodenum and large bowel stop rotating after 90 degree
counterclock wise ,
• Proximal small bowel, including duodenojejunal junction,lies on the
right side and cecum lies on left side.
Reversed malrotation/ duodenal
malrotation(type II malrotation)
• bowel enters the abdomen in clockwise rotation
Transverse colon-posterior to duodenum in right upper quadrant.
Type III malrotation
• occurs when midgut fail to complete 180 degree of anticlockwise
rotation.
Small intestine lies predominantly in right or mid abdomen.
Mesentric band from liver and posterior abdominal wall cross the
second portion of duodenum and extends to the cecum(ladd’s band)
Superior mesenteric root syndrome/wilkie
syndrome
• Acquired vascular compression disorder in which angulation of SMA
results in compression of third part of duodenum.
• Clinical presentation-signs and symptoms of duodenal obstruction.
Radiographic features
• Plain radiograph
Dilated , fluid and gas filled stomach and proximal duodenum.
• Barium study-transient delay for passage of contrast when transverse
duodenum crosses spine.
CT/MRI
• Enables visualization of vascular compression of duodenum and
measurement of aortomesentric distance and angle.
• Normally aortomesentric angle is 25-60 degree and aortomesentric
distance is 10-28 mm
• In SMA syndrome both parameters are reduced with values of 6-15
degree and 2-8 mm.
Thank you

SMALL INTESTINE RADIOLOGY

  • 1.
  • 2.
  • 3.
    PEPTIC ULCERTION • Duodenalulcers are virtually always benign. • Ulcers are often located on anterior wall of duodenal bulb, so prone compression view of duodenum should be obtained routinely to detect these lesions. • On double contrast barium study, duodenal ulcer crater are shown as sharply defined, constant collection of barium.
  • 5.
    POSTBULBAR ULCERATION • Mostlylocated on medial wall of proximal descending duodenum above ampulla of vater. • Ulcer is shown as a typical crater, frequently with spasm of opposite wall.
  • 6.
    COMPLICATIONS OF PEPTICULCERATION 1. Perforation. 2. Bleeding. 3. Stenosis 4. Penetration of adjacent organ.
  • 7.
    ZOLLINGER-ELLISON SYNDROME • Markedhypersecretion of gastric and severe peptic ulceration. • Duodenal and jejunal folds thickens grossly due inflammatory response to enormous secretion of gastric acid. • Hypersecretion of acid result in the large volume of fluid in the stomach, duodenum and proximal jejunum that dilutes barium.
  • 9.
    GASTRIC HETEROPHORIA • Irregularfeeling defect seen in duodenal cap. • Should be differentiated from lymphoid hyperplasia of duodenal bulb.
  • 10.
    DUODENAL DIVERTICULA • Mostare the incidental findings. • Present usually in the descending part of duodenum. • Occasionally contain aberrant pancreatic, gastric or other functional tissue and is site for ulceration, perforation or gangrene. Acquired lesion consist of sac of mucosal and submucosal layers herniating through muscular defect. Most are located on medial border of descending duodenum. Barium study-smooth, round outpouching arising on the descrete neck.
  • 12.
    NEOPLASMS • BENIGN NEOPLASMS •Brunner’s gland hyperplasia- single or multiple polypoidal lesions in first part of duodenum.
  • 13.
    Adenomatous polyp • Solitary,sessile, polypoidal, intraluminal filling defect on barium studies or soft tissue mass on CT. • Differentials-Benign GIST -BRUNNER’S gland hyperplasia.
  • 15.
    VILLOUS TUMOR • Adenomatouspolyps that contains predominantly villous elements have been called villous adenoma
  • 16.
    MALIGNANT NEOPLASMS • PRIMARYCRCINOMA Carcinoma of ampulla of vater is the type most frequently encountered, presenting with jaundice . On barium studies-enlarged papilla of vater with irregular border CT- focal masses with asymptomatic mural thickening with varying degree of luminal narrowing.
  • 18.
    • SECONDARY INVOLVEMENT -carcinomaor lymphoma of stomach -carcinoma of head of pancreas. -Carcinoma of tail of pancreas-
  • 19.
    OTHER CONDITIONS • PANCREATITIS Plainradiograph-duodenal ileus Barium studies-mucosal edema and enlargement of duodenal loop,enlargement of papilla of vater
  • 20.
  • 21.
    CROHN’S DISEASE • Chronicrelapsing immune mediated inflammatory disorder that result from the dysfunctional immune response to luminal antigens, • Can affect any part of GIT from mouth to anus • Clinical presentation-blood loss, perianal disease, toxic megacolon.
  • 22.
    Diagnostic tools forCD • Conventional enteroclysis • MDCT • MDCT enteroclysis • MDCT eneterography • USG • MRI • MR enteroclysis -To demonstrate early changes of CD -To depict the full extent of involvement -To determine any cause of clinical deteroation -To investigate post operative complications of CD
  • 23.
    Radiological signs ofCD • Ulceration • Cobble stoning • Thickening of valvulae conniventes • Stenosis • Skip lesions • Inflammatory polyps • Thickened wall • Enlarged ileocecal valve • Adhesion
  • 24.
    Barium contrast examination •Aphthoid ulcer, which are characteristic feature, visualized as small collection of barium with surrounding radiolucent margins due to edema • Longitudinal ulcers running along the mesenteric border of ileum are characteristic but infrequent. • Cobblestoning is fairly is cause by combination of longitudinal and transverse ulceration separating intact portion of mucosa.
  • 26.
    • Narrowing ofintestinal lumen due to strictures which may be short, long, single, multiple they may be accompanied by proximal dilatation • Discontinuous involvement of intestinal wall is shown as skip lesions
  • 27.
    CT • The thickenedbowel loops may enhance homogenously or may demonstrate stratified target appearance
  • 28.
    CT • Multisegmental discontinuoussmall intestinal lesions known as skip lesions is highly suggestive of crohns disease particularly when bowel wall thickening is asymmetric or ulceration is seen.
  • 29.
    MR enteroclysis • Characteristiclesions such as bowel wall thickening, linear and fissure ulcers , cobblestoning are accurately depicted on T2WI.
  • 30.
    COELIAC DISEASE • Glutenrelated immune-mediated enteropathy. • Clinical presentation-diarrohoea, weight loss, steatorrhoea, malnutrition, anemia, abdominal pain. • Diagnosis of disease-abnormal villous pattern on biopsy.
  • 31.
    Barium studies • Withextensive villous atrophy there is loss of surface of mucosa, manifested as decrease number of folds of proximal jejunum • Proximal jejunum is most severely involved by this disease .
  • 32.
    CT • Bowel dilatationand fluid excess. • Jejunoileal fold pattern reversal • Transient small intnussusception • Mesentric and retroperitoneal lymphadenopathy due to reactive lymphoid hyperplasia.
  • 34.
    WHIPPLE’S DISEASE • Tropherymawhippelii a gram positive bacterium responsible. • Clinical presentations-arthritis (most comman extra intestinal complication) -bloating. -weight loss. -steatorrohea.
  • 35.
    Barium studies. • Thickenednodular folds primarily in distal duodenum an jejunum. • Mucosal nodularity is due to villous blunting due to expansion of lamina propria distended by fat and macrophages containing digested bacilli.
  • 36.
    NEOPLASMS • Specific subtypeof small intestinal neoplasms have predilection for different regions. • Adenocarcinoma –proximal small intestine. • Carcinoid tumor-ileum. • Lymphoma-distal ileum.
  • 37.
    Imaging considerations inmalignancy • Barium studies- -relatively inaccurate for the diagnosis -major limitation lack of demonstration of extraintestinal abnormalities • CT -transmural extension -mesenteric involvement. -distant spread. -contrast media shows good opacification of small bowel. • NUCLEAR MEDICNE STUDIES(PET) -Staging of small bowel tumors. -assessing response to therapy.
  • 38.
    MALIGNANT NEOPLASM • ADENOCARCINOMA. Usuallywell differentiated. Arise from mucine producing columnar epithelial cells Associated condition-celiac disease,NHL,carcinoma of esophagus, PZ syndrome, FAP,HNPCC.
  • 39.
    Imaging features ofadenocarcinoma • Apple core lesions-annular tumors manifested by short segment of circumferential narrowing with mucosal irregularity. • Polypoidal mass with or without ulceration. • Multiple lobulated filling defects. • CT- heterogenous attenuation mass causing concentric/ asymmetric luminal narrowing and shows moderate enhancement after contrast administration, -liver, peritoneal surfaces, local lymph nodes and ovaries are secondarily involved.
  • 41.
    CARCINOID TUMORS • originatesfrom ectodermal cells of neural crest. • Small bowel is the most common site of malignant carcinoid. • Malignant nature confirmed by local invasion or distant metastasis. • Pathophysiology-hormonally active substances secreted by tumors include serotonine,bradykinine. • Clinical aspect-carcinoid may cause no symptoms and may be detected as incidental findings Carcinoid syndromes charecterize by periodic flushing, diarrohea,bronchospasm.
  • 42.
    Imaging findings • Thepresence of multiple distal small bowel nodules. • With tumor growth into mesentery, the typical CT appearance is speculated mesenteric mass with curvilinear stranding and indrawing of bowel loops. • Calcification of mesenteric lesion is common finding.
  • 44.
    LYMPHOMA • Gastrointestinal lymphomamay be primary or secondary. • Diagnosis of primary gastrointestinal lymphoma can be made when following criteria are met 1. LNpathy confined to area of small bowel abnoramlity. 2. WBC count and bone marrow aspirate is normal 3. No evidence of disease in liver and spleen. • Secondary GI involvement is frequent in NHL.
  • 45.
    Imaging findings • Bariumstudy-involvement of variable length of small intestine with thickening and subsequent effacement of folds.
  • 46.
    • CECT-One ormore segment of circumferential wall thickening with mild to moderate homogeneous enhancement.
  • 47.
    GIST • Most commonmesenchymal tumor arising from GIT. • Expression of tyrosine growth factor receptor-CD117. • In past GIST were misdiagnosed as smooth muscle tumor because tumor share many features on light microscopy. • Pathology –GIST have exophytic growth, commonly involve muscularis propria and shows mucosal ulcerations. • Clinical presentation-abdominal distension,pain,anaemia.
  • 48.
    Imaging findings ofGIST • CECT-heterogeneously enhancing exophytic mass adherent to small bowel • Small bowel GISTs are large tumors at the time of diagnosis usually greater than 5cm.
  • 49.
    SECONDARY NEOPLASMS 1. Transecoelomicspread-ovarian, gastric,colonic malignancy. 2. Hematogenous spread-lung, breast, cervix, melanoma, sq cell carcinoma of head and neck. 3. Lymphatic spread- caecal carcinoma to terminal ileum.
  • 50.
    • Transcoelomic spread -segmentalsmall intestinal changes. -tethering of mucosal folds. -intraperitoneal seeding of abdominal neoplasm frequently localize in right lower quadrant in distal mesentry.
  • 51.
    • Hematogenous spread. Presentwith GI bleeding. Metastases appears as smooth rounded polypoidal lesions of different sizes on antimesentric border of small intestine. Target /bulls-eye lesions (nodules with central ulcer) occer in mesenteric small intestine.
  • 52.
    BENIGN NEOPLASMS Numerous benigntumors can found in small intestine,most are • Leiomyoma. • Adenoma • Lipoma • Hamartomatous polyps.
  • 53.
    LEIOMYOMA • Most commonsymptomatic benign neoplasm • Patient presents with acute bleeding. • CT findings-rounded mass associated with intestinal wall showing marked homogenous contrast enhancement
  • 54.
    • ADENOMATOUS POLYPAND VILLOUS ADENOMAS Benign glandular epithelial neoplasms. May exhibit malignant predisposition. Barium studies-small, smooth, ovoid or round intraluminal filling defect, and are often solitary or sessile.
  • 56.
    Lipoma • Arises aswell-circumscribed submucosal proliferation of fat that usually grows intraluminally. • Barium study-sharply demarcated pedunculated tumor tends to conform to contour of small intestine lumen. • CT-lesion has attenuation value of fat. -a homogenous mass between -80 to -120 HU diagnostic of lipoma.
  • 57.
    Polyposis syndromes FAP syndrome. Itsvariant syndromes are gardner’s syndrome and trucot’s syndrome. Typically involve colon but small intestine may also be involved. Patient have multiple duodenal and jejunoileal adenomas and ileal lymphoid polyp.
  • 58.
    P-Z syndrome • ADsyndrome. • Gastrointestinal hamartomatous. • Mucocutaneous melanotic pigmentation. • Barium study- luminal polyp with lobulated contour and pedunculated lesion with broad base attachment. • CT-soft tissue mass within contrast medium filled intestinal loops.
  • 59.
    INFECTIONS AND INFESTATIONS •Infectious enteritis may result from a wide range of bacterial,viral, parasitic or antibiotic associated pathogens
  • 60.
    • MESENTERIC ADENITIS Infectiousenteritis may precipitate syndrome know as mesenteric adenitis Patient present as right lower quadrant pain. Clinical correlation and short axis size threshold of 10 mm of lymphnode is recommended.
  • 61.
    TUBERCULOSIS • Clinical presentation:-abdominalpain, fever, weight loss, intestinal obstruction. • Primarily occurs in ileocecal region and distribution is parallel to distribution of lymphatics. • Three classic forms of gastrointestinal TB are. 1. Ulcerative 2. Hyperptrophic 3. Ulcerohypertrophic.
  • 62.
    Ulcerative type • Sloughingof mucosa overlying submucosal tubercles result in the ulceration • Ulcers appears as short(3-6 mm in length) collections perpendicular to longitudinal axis of bowel.
  • 63.
    Hypertrophic type • Extensiveinflammation and fibrosis of bowel wall result in the hypertrophic form of tuberculosis. • Associated with extensive mesenteric lymphadenopathy and adhesion. • Bacilli are found primarily in necrotic lymphnodes rather than intestinal wall
  • 64.
    Complications of boweltuberculosis • Strictures • Obstruction • Fistulas • Enteroliths • Chronic appendicitis
  • 65.
    Imaging modalities forevaluation intestinal tuberculosis • Plain radiographs • Ultrasonography • Barium studies • CT
  • 66.
    Plain radiographs • Plainabdominal radiographs have little role in making diagnosis of intestinal tuberculosis • The only benefit they provide is in acute abdomen to look for intestinal obstruction or pneumoperitoneium. • Chest radiographs may shows features of active or healed tuberculosis.
  • 67.
    Ultrasonography • Its mainrole is in evaluation of disease activity base on the colour flow in the intestinal wall which helps in accessing the response to treatment. • Ultrasound demonstrate the markedly thick wall terminal ileum.
  • 68.
    Barium study • Perpendicular,stellate or longitudinal ulcer of varying size with healed up margins in colon or terminal ileum(usually in terminal ileum). • Barium meal follow through appearance of intestinal tuberculosis classified in to two stages, namely active and healed • Active ITB shows irregular and nodular narrowing of ileocecal junction with involvement of adjacent ileum and cecum. • Healing occurs by fibrosis which leads to strictures.
  • 70.
    Signs of ITBon barium meal follow through. • Stierlin’s signs –rapid emptying of cecum with passage of barium from terminal ileum to ascending colon, which occurs due to irritable mucosa of cecum
  • 71.
    • Fleischner’s sign/inverted umbrella sign-wide patulous and gaping ileocecal valve with narrowing of adjacent terminal ileum
  • 72.
    • String sign–persistently narrowed segment of intestine due to inflammation or stricture.
  • 73.
    • Conical cecum-contracted and pulled up cecum.
  • 74.
    CT • CT isoften initial investigation performed for the evaluation of suspected bowel pathology. • CT reveals thickening of ileocecal valve • Medial wall of caecum is disproportionately thickened and often associated with soft tissue mass that engulfs the terminal ileum.
  • 76.
    Sclerosing encapsulating peritonitis (Abdominal cocoon) • Encasement of Small bowel loops with in thick fibrocollagenous membrane.
  • 77.
    CHRONIC RADIATION ENETRITIS •Result from intestinal ischemia results from damage to vascular endothelium. • Radiological features- thickening of valvulae conniventis , mural thickening, effacement of mucosal pattern,ulceration, fixation.
  • 78.
    MECHANICAL SMALL BOWELOBSTRUCTION • Externsic lesions Adhesion Hernia Extrensic tumors Abscess Aneurysm Hematoma Congenital • Intramural lesions Tumors IBD Vascular Hematoma Congenital • Intraluminal Gallstone Foreign body Intusssception Meconium Bezoar Ascaris
  • 79.
    • Clinical presentation Frequentlarge volume bilious vomiting,Abdominal pain,Distension • Radiographic findings Abrupt transition from dilated to nondilated loop at the site of obstruction.
  • 80.
    CT • Demonstrate thelevel of obstruction, cause of obstruction • Demonstrate signs of threatened bowel viability • Excludes the other causes of acute abdomen. • Identification of ‘transition zone’ a definite point of obstruction with dilated small bowel proximal loops and collapsed loop distally is most reliable CT criterion for small bowel obstruction.
  • 82.
    Intussuseption • Extrensic, intrinsic,intraluminalprocess result in small bowel intussuseption. • A loop of small intestine with its mesentry invaginates into lumen of adjacent small bowel segment distally. • Intussuseptum-inner advancing segment. • Intussuscipience –outer receiving segment.
  • 83.
    DIVERTICULA • Meckel’s diverticulum -Dueto failure of yolk sac to close during fetal life. -Located in antimesentric border of ileum,30-90 cm from ileocecal valve. -complications are ulceration, bleeding, perforation, inflammation, intussusception, internal hernia. On barium study appears as blind ending sac arising from antimesentric border of ileum.
  • 85.
    Abnormal rotation andfixation of midgut(malrotation and malfixation) • May suspected antenatally if there is polyhydraminos . • Patient presents with obstruction in first 24 hours of life with bilious vomiting and abdominal distension.
  • 86.
    Imaging of malrotation •Plain radiograph Most sinister plain film appearance is gasless abdomen , especially in the presence abdominal distension and tenderness, this sign found secondary to bowel necrosis.
  • 87.
    • Contrast examination Bariummeal and barium enema studies can both be used to investigate possible malrotation The duodenojejunal junction is the most accurate sign to indicate correct position of fixation
  • 88.
    Types of abnormalities •The type of abnormality found depends on type of malrotation. • malrotation can be classified according to three stages of normal rotation-type I,type II, type III.
  • 89.
    Non rotation, typeI malrotation • Duodenum and large bowel stop rotating after 90 degree counterclock wise , • Proximal small bowel, including duodenojejunal junction,lies on the right side and cecum lies on left side.
  • 90.
    Reversed malrotation/ duodenal malrotation(typeII malrotation) • bowel enters the abdomen in clockwise rotation Transverse colon-posterior to duodenum in right upper quadrant.
  • 91.
    Type III malrotation •occurs when midgut fail to complete 180 degree of anticlockwise rotation. Small intestine lies predominantly in right or mid abdomen. Mesentric band from liver and posterior abdominal wall cross the second portion of duodenum and extends to the cecum(ladd’s band)
  • 92.
    Superior mesenteric rootsyndrome/wilkie syndrome • Acquired vascular compression disorder in which angulation of SMA results in compression of third part of duodenum. • Clinical presentation-signs and symptoms of duodenal obstruction.
  • 93.
    Radiographic features • Plainradiograph Dilated , fluid and gas filled stomach and proximal duodenum.
  • 94.
    • Barium study-transientdelay for passage of contrast when transverse duodenum crosses spine.
  • 95.
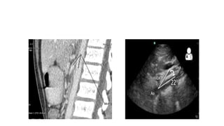
    CT/MRI • Enables visualizationof vascular compression of duodenum and measurement of aortomesentric distance and angle. • Normally aortomesentric angle is 25-60 degree and aortomesentric distance is 10-28 mm • In SMA syndrome both parameters are reduced with values of 6-15 degree and 2-8 mm.
  • 97.