Case-based discussion
Calculus Acute Cholecystitis
Abdullah Ibrahim Bin Eid
Sarah is 45-year-old female from Saudi presents with a complaint
of abdominal pain for the past 3 days. She localizes the pain to her
epigastric area and states that it radiates to her right upper quadrant.
She notes that it became markedly worse after eating dinner last
night. She recalls a past history of similar pain, but has never had
any diagnostic workup.
Her past medical history is significant for DM II and
hypercholesterolemia. She is status post a total abdominal
hysterectomy 1 year ago.
HPI
The pain intermittent since 3 months.
usually last for 30 minutes then subsides gradually and Inc.
with fatty meals.
Nothing relieve it. It became continuous last 3 days.
Severity of pain 6/10
Associated symptoms
Nausea
Vomiting
Subjective fever
Unremarkable. Except for the subjected fever
• Dyslipidemia and DM II
• hysterectomy 1 year ago
• Works as a teacher in Riyadh
• Married (with 2 children)
• Not a smoker or alcoholic
ROS
Unremarkable
Vital signs
BP 101/90
HR 104
RR 14
T 38.1
SpO2 98%
PE
overweight woman in no acute distress. Her chest and
cardiovascular exams are normal except for mild tachycardia.
Her abdominal exam is significant for tenderness to palpation
to her epigastric and right upper quadrants without rebound
tenderness.
Bowel sounds are normal.
+ Murphy’s.
Investigations
CBC, LFT, Amylase.
AXR: unremarkable.
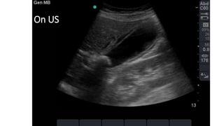
Transabdominal US “diagnostic”
HIDA scan
On US
DDx
1) Acute cholecystitis
2) Acute cholangitis (asso. w/ jaundice)
3) Gastric or duodenal ulcer
Management
broad-spectrum antibiotics and supportive therapy → surgical
management with cholecystectomy.
• Analgesia, Fluid and electrolyte correction and Antiemetics
• Abx:
Mild= ceftriaxone - if severe= piperacillin-tazobactam +/- Metro.
Surgical management
• Laparoscopic cholecystectomy is usually preferred.
• Timing
• In mild cases: elective cholecystectomy within 24–72 hours
• If complications are present (e.g., gangrene, perforation) or
condition worsens despite conservative therapy →
emergency cholecystectomy
• If high risk of surgical complications and/or critically ill →
emergency percutaneous biliary drainage (e.g., cholecystostomy)
→ follow up with interval surgery when possible.
Possible complications
• Emphysematous cholecystitis
• Gallbladder empyema
• Gallbladder gangrene (20%)
• Cholecystoenteric fistula
• Gallbladder perforation
Chronic cholecystitis:
• Porcelain gallbladder
• Gallbladder cancer
Thank you all
Any questions?

Acute cholecystitis case-based discussion

  • 1.
    Case-based discussion Calculus AcuteCholecystitis Abdullah Ibrahim Bin Eid
  • 2.
    Sarah is 45-year-oldfemale from Saudi presents with a complaint of abdominal pain for the past 3 days. She localizes the pain to her epigastric area and states that it radiates to her right upper quadrant. She notes that it became markedly worse after eating dinner last night. She recalls a past history of similar pain, but has never had any diagnostic workup. Her past medical history is significant for DM II and hypercholesterolemia. She is status post a total abdominal hysterectomy 1 year ago.
  • 3.
    HPI The pain intermittentsince 3 months. usually last for 30 minutes then subsides gradually and Inc. with fatty meals. Nothing relieve it. It became continuous last 3 days. Severity of pain 6/10
  • 4.
  • 5.
    Unremarkable. Except forthe subjected fever
  • 6.
    • Dyslipidemia andDM II • hysterectomy 1 year ago • Works as a teacher in Riyadh • Married (with 2 children) • Not a smoker or alcoholic
  • 7.
  • 8.
    Vital signs BP 101/90 HR104 RR 14 T 38.1 SpO2 98%
  • 9.
    PE overweight woman inno acute distress. Her chest and cardiovascular exams are normal except for mild tachycardia. Her abdominal exam is significant for tenderness to palpation to her epigastric and right upper quadrants without rebound tenderness. Bowel sounds are normal. + Murphy’s.
  • 10.
    Investigations CBC, LFT, Amylase. AXR:unremarkable. Transabdominal US “diagnostic” HIDA scan
  • 11.
  • 12.
    DDx 1) Acute cholecystitis 2)Acute cholangitis (asso. w/ jaundice) 3) Gastric or duodenal ulcer
  • 13.
    Management broad-spectrum antibiotics andsupportive therapy → surgical management with cholecystectomy. • Analgesia, Fluid and electrolyte correction and Antiemetics • Abx: Mild= ceftriaxone - if severe= piperacillin-tazobactam +/- Metro.
  • 14.
    Surgical management • Laparoscopiccholecystectomy is usually preferred. • Timing • In mild cases: elective cholecystectomy within 24–72 hours • If complications are present (e.g., gangrene, perforation) or condition worsens despite conservative therapy → emergency cholecystectomy • If high risk of surgical complications and/or critically ill → emergency percutaneous biliary drainage (e.g., cholecystostomy) → follow up with interval surgery when possible.
  • 15.
    Possible complications • Emphysematouscholecystitis • Gallbladder empyema • Gallbladder gangrene (20%) • Cholecystoenteric fistula • Gallbladder perforation Chronic cholecystitis: • Porcelain gallbladder • Gallbladder cancer
  • 16.