CHRONIC INFLAMMATION
DR PREETI AGRAWAL
DEFINITION
Chronic inflammation is inflammation of
prolonged duration (weeks or months) in which
inflammation, tissue injury, and attempts at
repair coexist, in varying combinations.
CAUSES OF CHRONIC INFLAMMATION
• Persistent infections by microorganisms that are
difficult to eradicate, such as mycobacteria, and
certain viruses, fungi, and parasites.
• Immune-mediated inflammatory diseases -
autoimmune diseases
• Prolonged exposure to potentially toxic agents,
either exogenous or endogenous.egs. silicosis ,
Atherosclerosis
MORPHOLOGIC FEATURES
chronic inflammation is characterized by:
• Infiltration with mononuclear cells, which include
macrophages, lymphocytes, and plasma cells
• Tissue destruction, induced by the persistent
offending agent or by the inflammatory cells
• Attempts at healing by connective tissue
replacement of damaged tissue, accomplished by
proliferation of small blood vessels (angiogenesis)
and, in particular, fibrosis
ROLE OF MACROPHAGES IN CHRONIC INFLAMMATION
OTHER CELLS IN CHRONIC INFLAMMATION-
• Lymphocytes
• Plasma cells
• Eosinophils
• Mast cells
• Giant cells
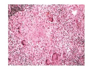
GRANULOMATOUS INFLAMMATION
Granulomatous inflammation is a distinctive pattern
of chronic inflammation that is encountered in a
limited number of infectious and some noninfectious
conditions.
Disease Cause Tissue Reaction
Tuberculosis Mycobacterium tuberculosis Caseating granuloma (tuberc
focus of activated macropha
(epithelioid cells), rimmed by
fibroblasts, lymphocytes,
histiocytes, occasional Langh
giant cells; central necrosis w
amorphous granular debris;
fast bacilli
Leprosy Mycobacterium leprae Acid-fast bacilli in macrophag
noncaseating granulomas
Syphilis Treponema pallidum Gumma: microscopic to gros
visible lesion, enclosing wall
histiocytes; plasma cell infiltr
central cells necrotic without
of cellular outline
Cat-scratch disease Gram-negative bacillus Rounded or stellate granulom
containing central granular d
and recognizable neutrophils
giant cells uncommon
Sarcoidosis Unknown etiology Noncaseating granulomas wi
abundant activated macroph
Crohn disease (inflammatory
bowel disease)
Immune reaction against
intestinal bacteria, self-antigens
Occasional noncaseating
granulomas in the wall of the
A granuloma is a focus of chronic inflammation
consisting of a microscopic aggregation of
macrophages that are transformed into epithelium-
like cells, surrounded by a collar of mononuclear
leukocytes, principally lymphocytes and occasionally
plasma cells
Epithelioid cells fuse to form giant cells in the periphery or
sometimes in the center of granulomas. These giant cells may
attain diameters of 40 to 50 μm. They have a large mass of
cytoplasm containing 20 or more small nuclei arranged either
peripherally (Langhans-type giant cell) or haphazardly (foreign
body–type giant cell). There is no known functional difference
between these two types of giant cells
Chronic inflammation
Chronic inflammation
Chronic inflammation
Chronic inflammation

Chronic inflammation

  • 1.
  • 2.
    DEFINITION Chronic inflammation isinflammation of prolonged duration (weeks or months) in which inflammation, tissue injury, and attempts at repair coexist, in varying combinations.
  • 3.
    CAUSES OF CHRONICINFLAMMATION • Persistent infections by microorganisms that are difficult to eradicate, such as mycobacteria, and certain viruses, fungi, and parasites. • Immune-mediated inflammatory diseases - autoimmune diseases • Prolonged exposure to potentially toxic agents, either exogenous or endogenous.egs. silicosis , Atherosclerosis
  • 4.
    MORPHOLOGIC FEATURES chronic inflammationis characterized by: • Infiltration with mononuclear cells, which include macrophages, lymphocytes, and plasma cells • Tissue destruction, induced by the persistent offending agent or by the inflammatory cells • Attempts at healing by connective tissue replacement of damaged tissue, accomplished by proliferation of small blood vessels (angiogenesis) and, in particular, fibrosis
  • 6.
    ROLE OF MACROPHAGESIN CHRONIC INFLAMMATION
  • 7.
    OTHER CELLS INCHRONIC INFLAMMATION- • Lymphocytes • Plasma cells • Eosinophils • Mast cells • Giant cells
  • 8.
    GRANULOMATOUS INFLAMMATION Granulomatous inflammationis a distinctive pattern of chronic inflammation that is encountered in a limited number of infectious and some noninfectious conditions.
  • 9.
    Disease Cause TissueReaction Tuberculosis Mycobacterium tuberculosis Caseating granuloma (tuberc focus of activated macropha (epithelioid cells), rimmed by fibroblasts, lymphocytes, histiocytes, occasional Langh giant cells; central necrosis w amorphous granular debris; fast bacilli Leprosy Mycobacterium leprae Acid-fast bacilli in macrophag noncaseating granulomas Syphilis Treponema pallidum Gumma: microscopic to gros visible lesion, enclosing wall histiocytes; plasma cell infiltr central cells necrotic without of cellular outline Cat-scratch disease Gram-negative bacillus Rounded or stellate granulom containing central granular d and recognizable neutrophils giant cells uncommon Sarcoidosis Unknown etiology Noncaseating granulomas wi abundant activated macroph Crohn disease (inflammatory bowel disease) Immune reaction against intestinal bacteria, self-antigens Occasional noncaseating granulomas in the wall of the
  • 10.
    A granuloma isa focus of chronic inflammation consisting of a microscopic aggregation of macrophages that are transformed into epithelium- like cells, surrounded by a collar of mononuclear leukocytes, principally lymphocytes and occasionally plasma cells
  • 11.
    Epithelioid cells fuseto form giant cells in the periphery or sometimes in the center of granulomas. These giant cells may attain diameters of 40 to 50 μm. They have a large mass of cytoplasm containing 20 or more small nuclei arranged either peripherally (Langhans-type giant cell) or haphazardly (foreign body–type giant cell). There is no known functional difference between these two types of giant cells