Topic :-
1)Chronic inflammation
2)Giant cells
3)Tuberculosis
Presented by: Murtem Tania(RollNo:24)
INFLAMMATION
Definition:” Local response of living mammalian
tissues to injury from any agent. It’s a body
defense reaction in order to eliminate or limit the
spread of injurious agents,followed by removal
of the necroses cells and tissues”
It is characterised by:
}Redness
}Swelling
}Heat
}Pain
Inflammation of 2types
1)Acute inflammation
2)Chronic inflammation
*(CHRONIC INFLAMMATION)
Defined as “long lasting
prolonged inflammatory
response”
Destruction and inflammation
occur at the same time.
Causes of Chronic inflammation
1)Persistent infection
>Organism of low toxicity that invoke delayed hypersensitivity reaction.
eg: M.tuberculosis & T.pallidum.
2)Prolonged exposure to potentially toxic agent
>Exogenous agents like Silica—->Silicosis
>Endogenous cause atherosclerosis—->Toxic plasma lipid components.
3)Autoimmunity
>Auto-antigens provoke self-perpetuating immune response
Eg- Rheumatoid arthritis,Multiple sclerosis
>Response against common environmental substances
Eg-Bronchial asthma
General features
Histological features
Mononuclear infiltration (Macrophages,lymphocytes and plasma cells) due
to persistent reaction to injury .
Tissue destruction induced by persistent agent or inflammatory cells.
Proliferative changes Attempts at healing by connective tissues,
replacement of damaged tissue with angiogenesis and fibrosis.
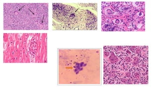
Image showing chronic inflammation
Cellular players
a)Macrophages
b)Lymphocytes
c)Plasma cells
d)Eosinophils
e)Mast cells
Systemic effects of chronic inflammation
1)Fever
2)Anaemia
3)Leucocytosis(predominantly lymphocytes)
4)ESR(elevated in chronic inflammation)
5)Amyloidosis
Types of chronic inflammation
Chronic non-specific inflammation:
Irritant——->non-specific chronic inflammatory
reactions——>Granulation tissue and tissue
repair by fibrosis.
Eg Chronic osteomyelitis,Chronic ulcer,Lungs
abscess.
Chronic granulomatous inflammation :
Etiological agent causes a characteristic
morphological tissue response by formation of
granuloma.
Eg tuberculosis,Syphilis etc Thank you
What is granuloma??
Its a circumscribed collection of epithelioids cells surrounded at the periphery by
lymphocytes and may contain a few multinucleate giant cells.
Its formation is type IV Hypersensitivity reaction .
EVOLUTION OF GRANULOMA
1) Engulfment by Macrophages
2) CD4+ Tcells
3) Cytokines
4) Growth factor
Morphology of Granuloma
1) Epithelioid cells
2) Multinucletae giant cells(eg: Langhans GC)
3) Lymphoid cells
4) Necrosis
5) Fibrosis
GIANT CELLS
Features:
Large in size
Contain multiple nuclei(15-30)
Normally seen in:
Osteoclast in bones
Synctiotrophoblast in placenta
Pathologically seen in:
Inflammatory condition
Tumour giant cells in certain neoplasm
Types of giant cell
Mcrophages derived giant cells :
1)Langhans giant cells
2)Foreign body giant cells
3)Touton giant cells
4)Aschoff giant cells
Epidermal cell derived giant cells:
1)Tzanck giant cells
2)Multinucleate epidermal giant cells
Chronic inflammation-1 mbbs ppt pathology.pdf

Chronic inflammation-1 mbbs ppt pathology.pdf

  • 1.
    Topic :- 1)Chronic inflammation 2)Giantcells 3)Tuberculosis Presented by: Murtem Tania(RollNo:24)
  • 2.
    INFLAMMATION Definition:” Local responseof living mammalian tissues to injury from any agent. It’s a body defense reaction in order to eliminate or limit the spread of injurious agents,followed by removal of the necroses cells and tissues” It is characterised by: }Redness }Swelling }Heat }Pain Inflammation of 2types 1)Acute inflammation 2)Chronic inflammation
  • 3.
    *(CHRONIC INFLAMMATION) Defined as“long lasting prolonged inflammatory response” Destruction and inflammation occur at the same time.
  • 4.
    Causes of Chronicinflammation 1)Persistent infection >Organism of low toxicity that invoke delayed hypersensitivity reaction. eg: M.tuberculosis & T.pallidum. 2)Prolonged exposure to potentially toxic agent >Exogenous agents like Silica—->Silicosis >Endogenous cause atherosclerosis—->Toxic plasma lipid components. 3)Autoimmunity >Auto-antigens provoke self-perpetuating immune response Eg- Rheumatoid arthritis,Multiple sclerosis >Response against common environmental substances Eg-Bronchial asthma
  • 5.
    General features Histological features Mononuclearinfiltration (Macrophages,lymphocytes and plasma cells) due to persistent reaction to injury . Tissue destruction induced by persistent agent or inflammatory cells. Proliferative changes Attempts at healing by connective tissues, replacement of damaged tissue with angiogenesis and fibrosis.
  • 7.
  • 8.
  • 9.
    Systemic effects ofchronic inflammation 1)Fever 2)Anaemia 3)Leucocytosis(predominantly lymphocytes) 4)ESR(elevated in chronic inflammation) 5)Amyloidosis
  • 10.
    Types of chronicinflammation Chronic non-specific inflammation: Irritant——->non-specific chronic inflammatory reactions——>Granulation tissue and tissue repair by fibrosis. Eg Chronic osteomyelitis,Chronic ulcer,Lungs abscess. Chronic granulomatous inflammation : Etiological agent causes a characteristic morphological tissue response by formation of granuloma. Eg tuberculosis,Syphilis etc Thank you
  • 11.
    What is granuloma?? Itsa circumscribed collection of epithelioids cells surrounded at the periphery by lymphocytes and may contain a few multinucleate giant cells. Its formation is type IV Hypersensitivity reaction .
  • 12.
    EVOLUTION OF GRANULOMA 1)Engulfment by Macrophages 2) CD4+ Tcells 3) Cytokines 4) Growth factor Morphology of Granuloma 1) Epithelioid cells 2) Multinucletae giant cells(eg: Langhans GC) 3) Lymphoid cells 4) Necrosis 5) Fibrosis
  • 14.
    GIANT CELLS Features: Large insize Contain multiple nuclei(15-30) Normally seen in: Osteoclast in bones Synctiotrophoblast in placenta Pathologically seen in: Inflammatory condition Tumour giant cells in certain neoplasm
  • 15.
    Types of giantcell Mcrophages derived giant cells : 1)Langhans giant cells 2)Foreign body giant cells 3)Touton giant cells 4)Aschoff giant cells Epidermal cell derived giant cells: 1)Tzanck giant cells 2)Multinucleate epidermal giant cells