Essential to the survival of organisms is
their ability to get rid of damaged or
necrotic tissues and foreign invaders, such
as microbes. The host response that
accomplishes these goals is called
inflammation.
It is a complex reaction in tissues that
consists mainly of responses of blood
vessels and leukocytes.
The body’s principal defenders include:
plasma proteins and circulating leukocytes
(white blood cells), as well as tissue
phagocytes that are derived from
circulating cells
The presence of proteins and leukocytes in
the blood gives them the ability to home to
any site where they may be needed
Because invaders such as microbes and
necrotic cells are typically present in
tissues, outside the circulation, it follows
that the circulating cells and proteins have
to be rapidly recruited to these
extravascular sites. The inflammatory
response coordinates the reactions of
vessels, leukocytes, and plasma proteins
to achieve this goal.
Microbes, necrotic cells (whatever the
cause of cell death) and even hypoxia can
trigger the elaboration of inflammatory
mediators, and thus elicit inflammation
Such mediators initiate and amplify the
inflammatory response and determine its
pattern, severity, and clinical and
pathologic manifestations
Inflammation may be acute or chronic,
depending on the nature of the stimulus
and the effectiveness of the initial reaction
in eliminating the stimulus or the damaged
tissues.
Acute inflammation is rapid in onset
(typically minutes) and is of short duration,
lasting for hours or a few days
exudation of fluid and plasma proteins
(edema) and the emigration of leukocytes,
predominantly neutrophils (also called
polymorphonuclear leukocytes).
Chronic inflammation may follow acute
inflammation or be insidious in onset. It is
of longer duration and is associated with
the presence of lymphocytes and
macrophages, the proliferation of blood
vessels, fibrosis, and tissue
destruction.
Inflammation is terminated when the
offending agent is eliminated. The reaction
resolves rapidly, because the mediators
are broken down and dissipated and the
leukocytes have short life spans in tissues.
In addition, anti-inflammatory mechanisms
are activated that serve to control the
response and prevent it from causing
excessive damage to the host.
The inflammatory response is closely
intertwined with the process of repair. At the
same time as inflammation destroys, dilutes,
and walls off the injurious agent, it sets into
motion a series of events that try to heal the
damaged tissue. Repair begins during
inflammation but reaches completion usually
after the injurious influence has been
neutralized.
In the process of repair the injured tissue is
replaced through regeneration of native
parenchymal cells, by filling of the defect
with fibrous tissue (scarring) or, most
commonly, by a combination of these two
processes
Inflammation may be harmful in some
situations. Mechanisms designed to
destroy foreign invaders and necrotic
tissues have an intrinsic ability to injure
normal tissues. When inflammation is
inappropriately directed against self
tissues or is not adequately controlled, it
becomes the cause of injury and disease
In fact, in clinical medicine, great attention
is given to the damaging consequences of
inflammation. Inflammatory reactions
underlie common chronic diseases, such
as rheumatoid arthritis, atherosclerosis,
and lung fibrosis, as well as life-
threatening hypersensitivity reactions to
insect bites, drugs, and toxins.
For this reason our pharmacies abound
with anti-inflammatory drugs, which ideally
would control the harmful sequelae of
inflammation yet not interfere with its
beneficial effects.
Inflammation may contribute to a variety of
diseases that are not thought to be
primarily due to abnormal host responses.
For instance, chronic inflammation may
play a role in atherosclerosis, type 2
diabetes, degenerative disorders like
Alzheimer disease, and cancer.
Although clinical features of inflammation
were described in an Egyptian papyrus
dated around 3000 BC
Celsus, a Roman writer of the first century
AD, first listed the four cardinal signs of
inflammation: rubor (redness), tumor
(swelling), calor (heat), and dolor (pain).
A fifth clinical sign, loss of function (functio
laesa), was added by Rudolf Virchow in the
19th century.
In 1793 the Scottish surgeon John Hunter
noted what is now considered an obvious
fact: that inflammation is not a disease but
a nonspecific response that has a salutary
effect on its host.
 In the 1880s the Russian biologist Elie Metchnikoff
discovered the process of phagocytosis by
observing the ingestion of rose thorns by
amebocytes of starfish larvae and of bacteria by
mammalian leukocytes.
 He concluded that the purpose of inflammation
was to bring phagocytic cells to the injured area to
engulf invading bacteria. This concept was
elegantly satirized by George Bernard Shaw in his
play “The Doctor's Dilemma,” in which one
physician's cure-all is to “stimulate the phagocytes”
Sir Thomas Lewis, studying the
inflammatory response in skin, established
the concept that chemical substances, such
as histamine (produced locally in response
to injury), mediate the vascular changes of
inflammation. This fundamental concept
underlies the important discoveries of
chemical mediators of inflammation and the
use of anti-inflammatory drugs in clinical
medicine.
 Acute inflammation has three major
components: (1) alterations in vascular
caliber that lead to an increase in blood flow,
(2) structural changes in the microvasculature
that permit plasma proteins and leukocytes to
leave the circulation, and (3) emigration of the
leukocytes from the microcirculation, their
accumulation in the focus of injury, and their
activation to eliminate the offending agent
Infections (bacterial, viral, fungal, parasitic)
and microbial toxins are among the most
common and medically important causes
of inflammation.
Tissue necrosis from any cause, including
ischemia (as in a myocardial infarct),
trauma, and physical and chemical injury
(e.g., thermal injury, as in burns or
frostbite; irradiation; exposure to some
environmental chemicals).
Foreign bodies (splinters, dirt, sutures)
typically elicit inflammation because they
cause traumatic tissue injury or carry
microbes.
Immune reactions (also called
hypersensitivity reactions) are reactions in
which the normally protective immune
system damages the individual's own
tissues
In inflammation, blood vessels undergo a
series of changes that are designed to
maximize the movement of plasma
proteins and circulating cells out of the
circulation and into the site of infection or
injury
 The escape of fluid, proteins, and blood cells
from the vascular system into the interstitial
tissue or body cavities is known as exudation
 An exudate is an extravascular fluid that has
a high protein concentration, contains cellular
debris, and has a high specific gravity. Its
presence implies an increase in the normal
permeability of small blood vessels in an area
of injury and, therefore, an inflammatory
reaction
Pus, a purulent exudate, is an
inflammatory exudate rich in leukocytes
(mostly neutrophils), the debris of dead
cells and, in many cases, microbes.
In contrast, a transudate is a fluid with low
protein content (most of which is albumin),
little or no cellular material, and low specific
gravity. It is essentially an ultrafiltrate of
blood plasma that results from osmotic or
hydrostatic imbalance across the vessel
wall without an increase in vascular
permeability
 Changes in vascular flow and caliber begin
early after injury and consist of the
following:
 Vasodilation is one of the earliest
manifestations of acute inflammation;
sometimes it follows a transient constriction of
arterioles, lasting a few seconds
 involves the arterioles and then leads to
opening of new capillary beds in the area. The
result is increased blood flow, which is the
cause of heat and redness
Vasodilation is quickly followed by
increased permeability of the
microvasculature, with the outpouring of
protein-rich fluid into the extravascular
tissues
The loss of fluid and increased vessel
diameter lead to slower blood flow,
concentration of red cells in small vessels,
and increased viscosity of the blood.
These changes result in dilation of small
vessels that are packed with slowly moving
red cells, a condition termed stasis, which
is seen as vascular congestion (producing
localized redness) upon examination of the
involved tissue.
 As stasis develops, blood leukocytes,
principally neutrophils, accumulate along the
vascular endothelium. At the same time
endothelial cells are activated by mediators
produced at sites of infection and tissue
damage, and express increased levels of
adhesion molecules. Leukocytes then adhere
to the endothelium, and soon afterward they
migrate through the vascular wall into the
interstitial tissue
A hallmark of acute inflammation is
increased vascular permeability leading to
the escape of a protein-rich exudate into
the extravascular tissue, causing edema.
Several mechanisms are responsible for
the increased vascular permeability
 Contraction of endothelial cells resulting in
increased interendothelial spaces is the most
common mechanism of vascular leakage
 Short lived 15- 30 min
 Although in some forms may exist after a
delay of 2-12 hours (e.g. after burns, x-
irradiation or ultraviolet radiation, and
exposure to certain bacterial toxins
 Late-appearing sunburn is a good example of
this type of leakage.
Direct damage to the endothelium is
encountered in severe injuries, for
example, in burns, or by the actions of
microbes that target endothelial cells
 called transcytosis
This process may involve channels
consisting of interconnected, uncoated
vesicles and vacuoles called the
vesiculovacuolar organelle, many of which
are located close to intercellular junctions.
The responses of leukocytes consist of two
sequential sets of events: (1) recognition of
the offending agents, which deliver signals
that (2) activate the leukocytes to ingest
and destroy the offending agents and
amplify the inflammatory reaction.
Phagocytosis involves three sequential
steps : (1) recognition and attachment of
the particle to be ingested by the
leukocyte; (2) its engulfment, with
subsequent formation of a phagocytic
vacuole; and (3) killing or degradation of
the ingested material.
It is predictable that such a powerful
system of host defense, with its inherent
capacity to cause tissue damage, needs
tight controls to minimize the damage
In addition, as inflammation develops the
process also triggers a variety of stop
signals that serve to actively terminate the
reaction
all acute inflammatory reactions may
have one of three outcomes
Complete resolution. In a perfect world, all
inflammatory reactions, once they have
succeeded in neutralizing and eliminating
the injurious stimulus, should end with
restoration of the site of acute
inflammation to normal.
Healing by connective tissue replacement
(fibrosis).
Progression of the response to chronic
inflammation
The morphologic hallmarks of all acute
inflammatory reactions are dilation of small
blood vessels, slowing of blood flow, and
accumulation of leukocytes and fluid in the
extravascular tissue
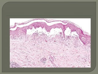
 Serous inflammation is marked by the
outpouring of a thin fluid that may be derived
from the plasma or from the secretions of
mesothelial cells lining the peritoneal, pleural,
and pericardial cavities. Accumulation of fluid
in these cavities is called an effusion. The
skin blister resulting from a burn or viral
infection represents a large accumulation of
serous fluid, either within or immediately
beneath the epidermis of the skin
With greater increase in vascular
permeability, large molecules such as
fibrinogen pass the vascular barrier, and
fibrin is formed and deposited in the
extracellular space.
FIGURE 2-19 Fibrinous pericarditis. A,
Deposits of fibrin on the pericardium. B,
A pink meshwork of fibrin exudate (F)
overlies the pericardial surface
This type of inflammation is characterized
by the production of large amounts of pus
or purulent exudate consisting of
neutrophils, liquefactive necrosis, and
edema fluid. Certain bacteria (e.g.,
staphylococci) produce this localized
suppuration and are therefore referred to
as pyogenic (pus-producing) bacteria
Purulent inflammation. A, Multiple bacterial abscesses in the lung, in
a case of bronchopneumonia. B, The abscess contains neutrophils
and cellular debris, and is surrounded by congested blood vessels
An ulcer is a local defect, or excavation,
of the surface of an organ or tissue that
is produced by the sloughing
(shedding) of inflamed necrotic tissue
The morphology of an ulcer. A, A chronic duodenal ulcer. B, Low-
power cross-section of a duodenal ulcer crater with an acute
inflammatory exudate in the base.
Chronic inflammation is inflammation of
prolonged duration (weeks or months) in
which inflammation, tissue injury, and
attempts at repair coexist, in varying
combinations
Persistent infections by
microorganisms that are difficult to
eradicate, such as mycobacteria, and
certain viruses, fungi, and parasites. These
organisms often evoke an immune
reaction called delayed-type
hypersensitivity
Immune-mediated inflammatory
diseases. Chronic inflammation plays
an important role in a group of diseases
that are caused by excessive and
inappropriate activation of the immune
system. Under certain conditions
immune reactions develop against the
individual's own tissues, leading to
autoimmune diseases
Prolonged exposure to potentially toxic
agents, either exogenous or
endogenous An example of an
exogenous agent is particulate silica, a
nondegradable inanimate material that,
when inhaled for prolonged periods,
results in an inflammatory lung disease
called silicosis
 Infiltration with mononuclear cells, which
include macrophages, lymphocytes, and
plasma cells
 Tissue destruction, induced by the
persistent offending agent or by the
inflammatory cells
 Attempts at healing by connective tissue
replacement of damaged tissue,
accomplished by proliferation of small
blood vessels (angiogenesis) and, in
particular, fibrosis
FIGURE 2-22 A, Chronic inflammation in the lung, showing
all three characteristic histologic features: (1) collection of
chronic inflammatory cells (*), (2) destruction of
parenchyma (normal alveoli are replaced by spaces lined
by cuboidal epithelium, arrowheads), and (3) replacement
by connective tissue (fibrosis, arrows). B, By contrast, in
acute inflammation of the lung (acute bronchopneumonia),
neutrophils fill the alveolar spaces and blood vessels are
congested.
Lymphocytes
Plasma cells
Eosinophils
Mast cells
Granulomatous inflammation is a
distinctive pattern of chronic inflammation
that is encountered in a limited number of
infectious and some noninfectious
conditions
Anyone who has suffered a severe sore
throat or a respiratory infection has
experienced the systemic manifestations
of acute inflammation. The systemic
changes associated with acute
inflammation are collectively called the
acute-phase response, or the systemic
inflammatory response syndrome.
 Fever, characterized by an elevation of body
temperature, usually by 1° to 4°C, is one of
the most prominent manifestations of the
acute-phase response, especially when
inflammation is associated with infection
 produced in response to substances called
pyrogens that act by stimulating
prostaglandin synthesis in the vascular and
perivascular cells of the hypothalamus.
Acute-phase proteins are plasma proteins,
mostly synthesized in the liver, whose
plasma concentrations may increase
several hundred-fold as part of the
response to inflammatory stimuli.
Leukocytosis is a common feature of
inflammatory reactions, especially those
induced by bacterial infections
Neutrophilia increase in the blood
neutrophil count
Lymphocytosis increase in lymphocyte
 Leukopenia associated with a decreased
number of circulating white
increased pulse and blood pressure;
decreased sweating, mainly because of
redirection of blood flow from cutaneous to
deep vascular beds, to minimize heat loss
through the skin; rigors (shivering), chills,
anorexia, somnolence, and malaise,
probably because of the actions of
cytokines on brain cells.
In severe bacterial infections (sepsis) the
large amounts of organisms and LPS in
the blood stimulate the production of
enormous quantities of several cytokines

Acute and chronic inflammation

  • 2.
    Essential to thesurvival of organisms is their ability to get rid of damaged or necrotic tissues and foreign invaders, such as microbes. The host response that accomplishes these goals is called inflammation. It is a complex reaction in tissues that consists mainly of responses of blood vessels and leukocytes.
  • 3.
    The body’s principaldefenders include: plasma proteins and circulating leukocytes (white blood cells), as well as tissue phagocytes that are derived from circulating cells The presence of proteins and leukocytes in the blood gives them the ability to home to any site where they may be needed
  • 4.
    Because invaders suchas microbes and necrotic cells are typically present in tissues, outside the circulation, it follows that the circulating cells and proteins have to be rapidly recruited to these extravascular sites. The inflammatory response coordinates the reactions of vessels, leukocytes, and plasma proteins to achieve this goal.
  • 5.
    Microbes, necrotic cells(whatever the cause of cell death) and even hypoxia can trigger the elaboration of inflammatory mediators, and thus elicit inflammation Such mediators initiate and amplify the inflammatory response and determine its pattern, severity, and clinical and pathologic manifestations
  • 6.
    Inflammation may beacute or chronic, depending on the nature of the stimulus and the effectiveness of the initial reaction in eliminating the stimulus or the damaged tissues. Acute inflammation is rapid in onset (typically minutes) and is of short duration, lasting for hours or a few days
  • 7.
    exudation of fluidand plasma proteins (edema) and the emigration of leukocytes, predominantly neutrophils (also called polymorphonuclear leukocytes).
  • 8.
    Chronic inflammation mayfollow acute inflammation or be insidious in onset. It is of longer duration and is associated with the presence of lymphocytes and macrophages, the proliferation of blood vessels, fibrosis, and tissue destruction.
  • 9.
    Inflammation is terminatedwhen the offending agent is eliminated. The reaction resolves rapidly, because the mediators are broken down and dissipated and the leukocytes have short life spans in tissues. In addition, anti-inflammatory mechanisms are activated that serve to control the response and prevent it from causing excessive damage to the host.
  • 10.
    The inflammatory responseis closely intertwined with the process of repair. At the same time as inflammation destroys, dilutes, and walls off the injurious agent, it sets into motion a series of events that try to heal the damaged tissue. Repair begins during inflammation but reaches completion usually after the injurious influence has been neutralized.
  • 11.
    In the processof repair the injured tissue is replaced through regeneration of native parenchymal cells, by filling of the defect with fibrous tissue (scarring) or, most commonly, by a combination of these two processes
  • 12.
    Inflammation may beharmful in some situations. Mechanisms designed to destroy foreign invaders and necrotic tissues have an intrinsic ability to injure normal tissues. When inflammation is inappropriately directed against self tissues or is not adequately controlled, it becomes the cause of injury and disease
  • 13.
    In fact, inclinical medicine, great attention is given to the damaging consequences of inflammation. Inflammatory reactions underlie common chronic diseases, such as rheumatoid arthritis, atherosclerosis, and lung fibrosis, as well as life- threatening hypersensitivity reactions to insect bites, drugs, and toxins.
  • 14.
    For this reasonour pharmacies abound with anti-inflammatory drugs, which ideally would control the harmful sequelae of inflammation yet not interfere with its beneficial effects.
  • 15.
    Inflammation may contributeto a variety of diseases that are not thought to be primarily due to abnormal host responses. For instance, chronic inflammation may play a role in atherosclerosis, type 2 diabetes, degenerative disorders like Alzheimer disease, and cancer.
  • 16.
    Although clinical featuresof inflammation were described in an Egyptian papyrus dated around 3000 BC Celsus, a Roman writer of the first century AD, first listed the four cardinal signs of inflammation: rubor (redness), tumor (swelling), calor (heat), and dolor (pain).
  • 17.
    A fifth clinicalsign, loss of function (functio laesa), was added by Rudolf Virchow in the 19th century. In 1793 the Scottish surgeon John Hunter noted what is now considered an obvious fact: that inflammation is not a disease but a nonspecific response that has a salutary effect on its host.
  • 18.
     In the1880s the Russian biologist Elie Metchnikoff discovered the process of phagocytosis by observing the ingestion of rose thorns by amebocytes of starfish larvae and of bacteria by mammalian leukocytes.  He concluded that the purpose of inflammation was to bring phagocytic cells to the injured area to engulf invading bacteria. This concept was elegantly satirized by George Bernard Shaw in his play “The Doctor's Dilemma,” in which one physician's cure-all is to “stimulate the phagocytes”
  • 19.
    Sir Thomas Lewis,studying the inflammatory response in skin, established the concept that chemical substances, such as histamine (produced locally in response to injury), mediate the vascular changes of inflammation. This fundamental concept underlies the important discoveries of chemical mediators of inflammation and the use of anti-inflammatory drugs in clinical medicine.
  • 20.
     Acute inflammationhas three major components: (1) alterations in vascular caliber that lead to an increase in blood flow, (2) structural changes in the microvasculature that permit plasma proteins and leukocytes to leave the circulation, and (3) emigration of the leukocytes from the microcirculation, their accumulation in the focus of injury, and their activation to eliminate the offending agent
  • 22.
    Infections (bacterial, viral,fungal, parasitic) and microbial toxins are among the most common and medically important causes of inflammation. Tissue necrosis from any cause, including ischemia (as in a myocardial infarct), trauma, and physical and chemical injury (e.g., thermal injury, as in burns or frostbite; irradiation; exposure to some environmental chemicals).
  • 23.
    Foreign bodies (splinters,dirt, sutures) typically elicit inflammation because they cause traumatic tissue injury or carry microbes. Immune reactions (also called hypersensitivity reactions) are reactions in which the normally protective immune system damages the individual's own tissues
  • 24.
    In inflammation, bloodvessels undergo a series of changes that are designed to maximize the movement of plasma proteins and circulating cells out of the circulation and into the site of infection or injury
  • 25.
     The escapeof fluid, proteins, and blood cells from the vascular system into the interstitial tissue or body cavities is known as exudation  An exudate is an extravascular fluid that has a high protein concentration, contains cellular debris, and has a high specific gravity. Its presence implies an increase in the normal permeability of small blood vessels in an area of injury and, therefore, an inflammatory reaction
  • 27.
    Pus, a purulentexudate, is an inflammatory exudate rich in leukocytes (mostly neutrophils), the debris of dead cells and, in many cases, microbes.
  • 29.
    In contrast, atransudate is a fluid with low protein content (most of which is albumin), little or no cellular material, and low specific gravity. It is essentially an ultrafiltrate of blood plasma that results from osmotic or hydrostatic imbalance across the vessel wall without an increase in vascular permeability
  • 32.
     Changes invascular flow and caliber begin early after injury and consist of the following:  Vasodilation is one of the earliest manifestations of acute inflammation; sometimes it follows a transient constriction of arterioles, lasting a few seconds  involves the arterioles and then leads to opening of new capillary beds in the area. The result is increased blood flow, which is the cause of heat and redness
  • 33.
    Vasodilation is quicklyfollowed by increased permeability of the microvasculature, with the outpouring of protein-rich fluid into the extravascular tissues
  • 34.
    The loss offluid and increased vessel diameter lead to slower blood flow, concentration of red cells in small vessels, and increased viscosity of the blood. These changes result in dilation of small vessels that are packed with slowly moving red cells, a condition termed stasis, which is seen as vascular congestion (producing localized redness) upon examination of the involved tissue.
  • 35.
     As stasisdevelops, blood leukocytes, principally neutrophils, accumulate along the vascular endothelium. At the same time endothelial cells are activated by mediators produced at sites of infection and tissue damage, and express increased levels of adhesion molecules. Leukocytes then adhere to the endothelium, and soon afterward they migrate through the vascular wall into the interstitial tissue
  • 36.
    A hallmark ofacute inflammation is increased vascular permeability leading to the escape of a protein-rich exudate into the extravascular tissue, causing edema. Several mechanisms are responsible for the increased vascular permeability
  • 37.
     Contraction ofendothelial cells resulting in increased interendothelial spaces is the most common mechanism of vascular leakage  Short lived 15- 30 min  Although in some forms may exist after a delay of 2-12 hours (e.g. after burns, x- irradiation or ultraviolet radiation, and exposure to certain bacterial toxins  Late-appearing sunburn is a good example of this type of leakage.
  • 38.
    Direct damage tothe endothelium is encountered in severe injuries, for example, in burns, or by the actions of microbes that target endothelial cells
  • 39.
     called transcytosis Thisprocess may involve channels consisting of interconnected, uncoated vesicles and vacuoles called the vesiculovacuolar organelle, many of which are located close to intercellular junctions.
  • 40.
    The responses ofleukocytes consist of two sequential sets of events: (1) recognition of the offending agents, which deliver signals that (2) activate the leukocytes to ingest and destroy the offending agents and amplify the inflammatory reaction.
  • 41.
    Phagocytosis involves threesequential steps : (1) recognition and attachment of the particle to be ingested by the leukocyte; (2) its engulfment, with subsequent formation of a phagocytic vacuole; and (3) killing or degradation of the ingested material.
  • 44.
    It is predictablethat such a powerful system of host defense, with its inherent capacity to cause tissue damage, needs tight controls to minimize the damage In addition, as inflammation develops the process also triggers a variety of stop signals that serve to actively terminate the reaction
  • 45.
    all acute inflammatoryreactions may have one of three outcomes Complete resolution. In a perfect world, all inflammatory reactions, once they have succeeded in neutralizing and eliminating the injurious stimulus, should end with restoration of the site of acute inflammation to normal.
  • 46.
    Healing by connectivetissue replacement (fibrosis). Progression of the response to chronic inflammation
  • 48.
    The morphologic hallmarksof all acute inflammatory reactions are dilation of small blood vessels, slowing of blood flow, and accumulation of leukocytes and fluid in the extravascular tissue
  • 50.
     Serous inflammationis marked by the outpouring of a thin fluid that may be derived from the plasma or from the secretions of mesothelial cells lining the peritoneal, pleural, and pericardial cavities. Accumulation of fluid in these cavities is called an effusion. The skin blister resulting from a burn or viral infection represents a large accumulation of serous fluid, either within or immediately beneath the epidermis of the skin
  • 52.
    With greater increasein vascular permeability, large molecules such as fibrinogen pass the vascular barrier, and fibrin is formed and deposited in the extracellular space.
  • 53.
    FIGURE 2-19 Fibrinouspericarditis. A, Deposits of fibrin on the pericardium. B, A pink meshwork of fibrin exudate (F) overlies the pericardial surface
  • 54.
    This type ofinflammation is characterized by the production of large amounts of pus or purulent exudate consisting of neutrophils, liquefactive necrosis, and edema fluid. Certain bacteria (e.g., staphylococci) produce this localized suppuration and are therefore referred to as pyogenic (pus-producing) bacteria
  • 55.
    Purulent inflammation. A,Multiple bacterial abscesses in the lung, in a case of bronchopneumonia. B, The abscess contains neutrophils and cellular debris, and is surrounded by congested blood vessels
  • 56.
    An ulcer isa local defect, or excavation, of the surface of an organ or tissue that is produced by the sloughing (shedding) of inflamed necrotic tissue
  • 57.
    The morphology ofan ulcer. A, A chronic duodenal ulcer. B, Low- power cross-section of a duodenal ulcer crater with an acute inflammatory exudate in the base.
  • 58.
    Chronic inflammation isinflammation of prolonged duration (weeks or months) in which inflammation, tissue injury, and attempts at repair coexist, in varying combinations
  • 59.
    Persistent infections by microorganismsthat are difficult to eradicate, such as mycobacteria, and certain viruses, fungi, and parasites. These organisms often evoke an immune reaction called delayed-type hypersensitivity
  • 60.
    Immune-mediated inflammatory diseases. Chronicinflammation plays an important role in a group of diseases that are caused by excessive and inappropriate activation of the immune system. Under certain conditions immune reactions develop against the individual's own tissues, leading to autoimmune diseases
  • 61.
    Prolonged exposure topotentially toxic agents, either exogenous or endogenous An example of an exogenous agent is particulate silica, a nondegradable inanimate material that, when inhaled for prolonged periods, results in an inflammatory lung disease called silicosis
  • 62.
     Infiltration withmononuclear cells, which include macrophages, lymphocytes, and plasma cells  Tissue destruction, induced by the persistent offending agent or by the inflammatory cells  Attempts at healing by connective tissue replacement of damaged tissue, accomplished by proliferation of small blood vessels (angiogenesis) and, in particular, fibrosis
  • 63.
    FIGURE 2-22 A,Chronic inflammation in the lung, showing all three characteristic histologic features: (1) collection of chronic inflammatory cells (*), (2) destruction of parenchyma (normal alveoli are replaced by spaces lined by cuboidal epithelium, arrowheads), and (3) replacement by connective tissue (fibrosis, arrows). B, By contrast, in acute inflammation of the lung (acute bronchopneumonia), neutrophils fill the alveolar spaces and blood vessels are congested.
  • 65.
  • 68.
    Granulomatous inflammation isa distinctive pattern of chronic inflammation that is encountered in a limited number of infectious and some noninfectious conditions
  • 70.
    Anyone who hassuffered a severe sore throat or a respiratory infection has experienced the systemic manifestations of acute inflammation. The systemic changes associated with acute inflammation are collectively called the acute-phase response, or the systemic inflammatory response syndrome.
  • 71.
     Fever, characterizedby an elevation of body temperature, usually by 1° to 4°C, is one of the most prominent manifestations of the acute-phase response, especially when inflammation is associated with infection  produced in response to substances called pyrogens that act by stimulating prostaglandin synthesis in the vascular and perivascular cells of the hypothalamus.
  • 72.
    Acute-phase proteins areplasma proteins, mostly synthesized in the liver, whose plasma concentrations may increase several hundred-fold as part of the response to inflammatory stimuli.
  • 73.
    Leukocytosis is acommon feature of inflammatory reactions, especially those induced by bacterial infections Neutrophilia increase in the blood neutrophil count Lymphocytosis increase in lymphocyte  Leukopenia associated with a decreased number of circulating white
  • 74.
    increased pulse andblood pressure; decreased sweating, mainly because of redirection of blood flow from cutaneous to deep vascular beds, to minimize heat loss through the skin; rigors (shivering), chills, anorexia, somnolence, and malaise, probably because of the actions of cytokines on brain cells.
  • 75.
    In severe bacterialinfections (sepsis) the large amounts of organisms and LPS in the blood stimulate the production of enormous quantities of several cytokines