Ανάγνωση ακτινογραφίας θώρακα
                    στα παιδιά
                            Μαρία Θ. Ραϊσάκη,
                         Πανεπιστήμιο Κρήτης


     Παγκρήτιο παιδιατρικό συνέδριο, Χανιά, 2011
Ακτινογραφία θώρακος στα παιδιά




•   Τεχνικοί παράγοντες ακτινογραφίας
•   Ο κύκλος του ακτινολόγου: A B C
•   Ιδιαιτερότητες παιδιατρικού θώρακα

•   Απεικονιστικά πρότυπα
Τεχνικοί παράγοντες: στροφή
Τεχνικοί παράγοντες: όγκος πνευμόνων

ό   Ποσοστό καρδιάς κάτω από ημιδιάφραγμα στην face α/α
ό   Κυρτότητα-επιπέδωση ημιδιαφραγμάτων
ό   Πρόσθια άκρα των πλευρών και ημιδιάφραγμα




     3η-4η: εκπνοή       5η-6η: εισπνοή > 7η:παγίδευση αέρα
Ο κύκλος του ακτινολόγου: A B C


•   Abdomen


•   Bones


•   Chest
Ο κύκλος του ακτινολόγου: A B C

•     Abdomen


•     Bones


•     Chest
Ο κύκλος του ακτινολόγου: A B C
             Chest

 •   Κεντρικοί αεραγωγοί

 •   Μεσοθωράκιο

 •   Πνεύμονες, πνευμονικά αγγεία

 •   Διάφραγμα, πύλες
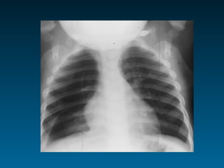
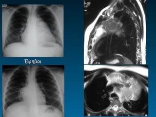
Θύμος στον παιδιατρικό θώρακα




Λέξεις κλειδιά: μαλακός ιστός (wavy), πρόσθιο μεσοθωράκιο
    Θεωρείται πρόβλημα: σε ηλικία πάνω από 6 ετών
Θύμος=πρόσθιο μεσοθωράκιο
     συνήθως ανώτερο
? πρόσθιο μεσοθωράκιο
Έφηβοι
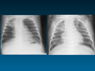
8 μηνών, βρογχιολίτις
14 μηνών, Εμπύρετο προ 2μήνου, παθολογική α/α
            θώρακος, επανέλεγχος
Θύμος

•     Διεύρυνση ανώτερου πρόσθιου
    μεσοθωρακίου

•     Ευγενική τριγωνική δομή

•     Ακεραιότητα πνευμονικών δομών

•     Παιδιά έως 6 ετών

• Εναλλακτικά της α/ας ΥΧ       -ΥΤ-ΜΤ
Πρότυπα ακτινολογικής βλάβης
Παθολογικές σκιάσεις παρεγχύματος
    Κυψελιδικού τύπου πύκνωση
    Ατελεκτασία
    Διάμεσο πρότυπο
    Όζος πνεύμονα
Παθολογικές διαυγάσεις παρεγχύματος
    Υπερέκπτυξη παρεγχύματος
    Κυστικές περιοχές παρεγχύματος
Ασυμμετρία πνευμονικής αγγείωσης
Διεύρυνση πυλών
Παθολογικές σκιάσεις εκτός παρεγχύματος
Παθολογικές διαυγάσεις εκτός παρεγχύματος
Φυσιολογικές πυκνότητες στην α/α θώρακος




                    *
Σαφώς αφορισμένα περιγράμματα




•   καρδιάς-μεσοθωρακίου

•   ημιδιαφραγμάτων

•   πυλών-αγγείων
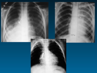
Κυψελιδικού τύπου πύκνωση
•λοίμωξη
      βακτηρίδια
      μυκόπλασμα
      φυματίωση
•πνευμονικό οίδημα
•πνευμονίτιδα
•πνευμονική θλάση
•κυψελιδική αιμορραγία
•παρ’ ολίγον πνιγμός
Κυψελιδικού τύπου πύκνωση
Κυψελιδικού τύπου πύκνωση
Κυψελιδικού τύπου πύκνωση
Σημείο σιλουέτας
Σημείο σιλουέτας
Οι συχνότερα χαμένες πνευμονίες
Οι συχνότερα χαμένες πνευμονίες
Οι συχνότερα χαμένες πνευμονίες
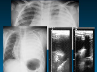
Στρογγύλη πνευμονία
Στρογγύλη πνευμονία
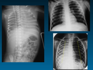
Aτελεκτασία: ατελής έκταση
Μηχανισμός                  Αίτια Ατελεκτασίας
Απόφραξη ενδοαυλική   Βλεννώδες βύσμα
                          Λοίμωξη, συνήθως ιογενής-Άσθμα
                          Ινοκυστική νόσος
                      Εισρόφηση ξένου σώματος
                      Kακή θέση ενδοτραχειακού καθετήρα
                      Ουλώδης στένωση-κοκκίωμα
                      Διήθηση βρόγχου από λεμφαδένες-νεόπλασμα
Απόφραξη εξωαυλική    Διογκωμένη καρδιακή κοιλότητα
                      Αγγεία
(Συμπίεση βρόγχου)    Λεμφαδένες
                      Όγκος
                      Βρογχογενής Κύστη
    Συγκόλληση        Πνευμονία
                      RDS
                      Νόσος υαλοειδούς μεμβράνης
     Συμπίεση         Υπεζωκοτική συλλογή-Πνευμοθώρακας
                      Συγγενής διαφραγματοκήλη
                      Συγγενές λοβώδες εμφύσημα
                      Ηπατοσπληνομεγαλία-ασκίτης
Χρόνιος Υποαερισμός   Μετεγχειρητική ατελεκτασία
                      Νευρομυϊκές παθήσεις
                      Συγγενείς παραμορφώσεις θώρακα-Σκολίωση
Aτελεκτασία: ατελής έκταση
Διάμεσο πρότυπο

Επίταση κεντρικής βρογχαγγειακής σκιαγράφησης


                          Ιογενείς λοιμώξεις

                          Μυκόπλασμα

                          Ασθματικός θώρακας

                          Διάμεσο πνευμονικό οίδημα/

                          πρώϊμη καρδιακή κάμψη
Διάμεσο πρότυπο+άλλα πρότυπα
ιογενείς λοιμώξεις-ασθματικός θώρακας
Διάμεσο πρότυπο
      Δικτυωτό/Δικτυοοζώδες
           Μελικηρήθρας
       διάμεσου τύπου πνευμονία
       κυστική ίνωση παγκρέατος
       βρογχοπνευμονική δυσπλασία
       πνευμονικό οίδημα
       Ιστιοκύττωση
       χρόνιες εισροφήσεις
       πνευμονική αιμοσιδήρωση
Αξία συγκριτικής αξιολόγησης
Διάμεσο πρότυπο
       Μικροοζώδες

       λοιμώξεις
             ιός γρίππης
             ανεμευλογιά
             χλαμύδια
       κεχροειδής φυματίωση
       μεταστάσεις
       ιστιοκύττωση
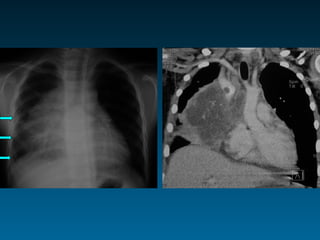
Πνευμονικός όζος


       Φυμάτωμα
       Μετάσταση
       Απόστημα
       Ενδοπν/κή βρογχογενής κύστη
       Αμάρτωμα
       Φλεγμονώδης ψευδοόγκος
       Υδατίδα κύστη
       Αιμάτωμα
       Ενδοπν/κός κακοήθης όγκος
Παθολογικές διαυγάσεις παρεγχύματος

Διάχυτη Υπερέκπτυξη

βρογχιολίτιδα

ασθματική κρίση

χρονίως αλλεργικός πνεύμονας

ξένο σώμα τραχείας

συμπίεση τραχείας

κυστική ίνωση παγκρέατος

συγγενής καρδιοπάθεια
Παθολογικές διαυγάσεις παρεγχύματος

Εστιακή/μονόπλευρη Υπερέκπτυξη
ξένο σώμα

ενσφήνωση βλέννης (ίωση-άσθμα)

συμπίεση βρόγχου

    λεμφαδένες-όγκος-αγγειακός
    δακτύλιος

συγγενές λοβώδες εμφύσημα

ατρησία βρόγχου
Παθολογικές διαυγάσεις
     παρεγχύματος

Κυστικές περιοχές
πνευματοκήλες
    φλεγμονώδεις
    μετατραυματικές
πνευμονικό απόστημα
κυστική αδενωματώδης δυσπλασία
βρογχεκτασίες
    μεταφλεγμονώδεις
    κυστική ίνωση παγκρέατος
βρογχοπνευμονική δυσπλασία
διάμεσο πνευμονικό εμφύσημα
φυματιώδες σπήλαιο.
Ασυμμετρία πνευμονικής αγγείωσης
Ασυμμετρία πνευμονικής αγγείωσης
Ασυμμετρία πνευμονικής αγγείωσης
Διεύρυνση πυλών
Παθολογικές σκιάσεις εκτός παρεγχύματος
Παθολογικές σκιάσεις εκτός παρεγχύματος
Παθολογικές διαυγάσεις εκτός παρεγχύματος
Παθολογικές διαυγάσεις εκτός παρεγχύματος
Παθολογικές διαυγάσεις εκτός παρεγχύματος
Διαφυγές αέρα
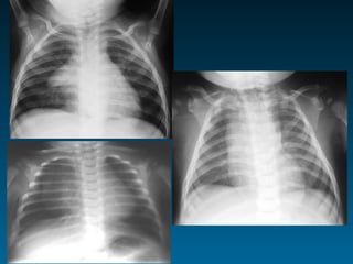
4 ετών λαρυγγο-τραχειο-βρογχίτιδα
Ξένα σώματα

Ακτινοσκιερά           Μή Ακτινοσκιερά
Νομίσματα              Τροφές
Καρφίτσες              Πλαστικά (αλουμίνιο)
Μέταλλα                Χαρτί
Βίδες-καρφιά           Ξύλο
Κόκκαλα                Κερί-κραγιόν
Μόλυβδος               Γραφίτης
Γυαλί                  Διαμάντι
Εισρόφηση ξένου σώματος
                 Συμπτώματα

Οξέως                           Χρονίως
 Επεισόδιο πνιγμονής             Λοίμωξη-λοιμώξεις
 Βήχας-σιγμός                    κατώτερου
 Βράγχος φωνής-αφωνία            αναπνευστικού
                                 Χρόνια βρογχίτις
 Δυσφαγία-δυσκαταποσία
 Οξεία αναπνευστική δυσχέρεια    ‘Ασθμα
                                 Επιπλοκές
 Ασφυξία
                                   Διαφυγές αέρα
 Θάνατος
                                   Ατελεκτασία
                                   Βρογχεκτασίες
Εισρόφηση ξένου σώματος
Μηχανισμός απόφραξης αεραγωγού

 Βαλβιδικός μηχανισμός διπλής οδού
   (χωρίς απόφραξη)

 Βαλβιδικός μηχανισμός μονής οδού
   (ατελής απόφραξη=>αποφρακτικό εμφύσημα)

 Βαλβιδικός μηχανισμός καμίας οδού
   (πλήρης απόφραξη=>ατελεκτασία)
Εισρόφηση ξένου σώματος
Μηχανισμός απόφραξης αεραγωγού

 Βαλβιδικός μηχανισμός διπλής οδού
   (χωρίς απόφραξη)

 Βαλβιδικός μηχανισμός μονής οδού
   (ατελής απόφραξη=>αποφρακτικό εμφύσημα)

 Βαλβιδικός μηχανισμός καμίας οδού
   (πλήρης απόφραξη=>ατελεκτασία)
Εισρόφηση ξένου σώματος
  Μηχανισμός απόφραξης αεραγωγού




  Βαλβιδικός μηχανισμός διπλής οδού
     (χωρίς απόφραξη)
  Βαλβιδικός μηχανισμός
           μονής οδού
(ατελής απόφραξη=>αποφρακτικό εμφύσημα)
  Βαλβιδικός μηχανισμός καμίας οδού
     (πλήρης απόφραξη=>ατελεκτασία)
Βαλβιδικός μηχανισμός μονής οδού
Ανεπάρκεια σύμπτωσης πνευμόνων


α/ες σε εισπνοή        αρνητικές 14%-50%


Α/ες σε εκπνοή
Α/ες decubitus
 Ακτινοσκόπηση
Εισρόφηση ξένου σώματος
Μηχανισμός απόφραξης αεραγωγού

 Βαλβιδικός μηχανισμός διπλής οδού
   (χωρίς απόφραξη)

 Βαλβιδικός μηχανισμός μονής οδού
   (ατελής απόφραξη=>αποφρακτικό εμφύσημα)

 Βαλβιδικός μηχανισμός καμίας οδού
   (πλήρης απόφραξη=>ατελεκτασία)
ΥΤ και εισρόφηση ξένου σώματος

Όταν υπάρχει κλινική υποψία
     Αρνητικές α/ες
     Αρνητική πρώτη βρογχοσκόπηση
Για την εκτίμηση επιπλοκών
     Πνευμομεσοθωράκιο-Πνευμοθώρακας
     Πνευμονία-Ατελεκτασία
     Βρογχεκτασία
     Εμπύημα-φλεγμονή θωρακικού τοιχώματος
Για την ανάδειξη άλλων αλλοιώσεων
ΥΤ θώρακα: προσφέρει?
ΥΤ θώρακα: προσφέρει?
ΣΥΜΠΕΡΑΣΜΑΤΑ
ό Η ανάγνωση της ακτινογραφίας θώρακος στα παιδιά
  απαιτεί συστηματική και λεπτομερειακή προσέγγιση.

ό Η ακτινογραφία θώρακος μπορεί να αποτελέσει την μόνη
  απεικονιστική εξέταση για τη συνδυασμένη κλινικοαπεικονιστική
  διάγνωση ή την ένδειξη για περαιτέρω έλεγχο με ΥΧ, εγκάρσια
  απεικόνιση.


ό Η αξία της ανάγνωσης μιας ακτινογραφίας θώρακος
   πολλαπλασιάζεται όταν γίνεται συγκριτικά με
   προηγούμενες ακτινογραφίες.
Σάς
Ευχαριστώ

Chest radiographs

Editor's Notes

  • #3 Συστηματική προσέγγιση
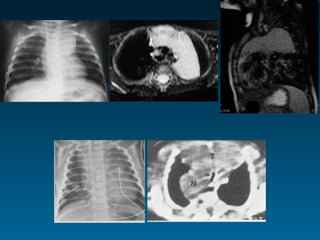
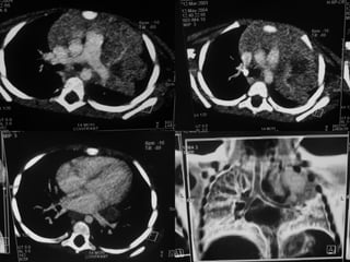
  • #62 Εικόνα 29. Α: παιδί 7 ετών με δύσπνοια, κλινική εικόνα συνδρόμου άνω κοίλης και λέμφωμα Burkitt . Η διεύρυνση μεσοθωρακίου οριοθετείται σαφώς στο ανώτερο τμήμα της (βέλη). Η μεσοθωρακική βλάβη ασαφοποιεί την παρυφή της άνω κοίλης και της καρδιάς, συνεπώς βρίσκεται στο ίδιο στεφανιαίο επίπεδο. Τα κάτω όρια της μεσοθωρακικής βλάβης (*) δεν οριοθετούνται σαφώς λόγω γειτονικής ατελεκτασίας. Συνυπάρχει υπεζωκοτική συλλογή με παρειακή ταινία πυκνότητας μαλακών μορίων (κεφαλές βελών). Β. Ελικοειδής Υπολογιστική Τομογραφία του ίδιου παιδιού, στεφανιαίο επίπεδο. Η μεσοθωρακική μάζα υποεμπλουτίζεται, συμπιέζει την άνω κοίλη (λευκά βέλη), εκτείνεται σε νεοπλασματικό θρόμβο στην άνω κοίλη (κενό βέλος) ενώ η γειτονική ατελεκτασία (*) προσλαμβάνει ομοιογενώς.