SESSIÓ CLÍNICA
MICROBIOLÒGICA-INFECCIOSES
Divendres, 2 d’Agost de 2019
PRESENTACIÓ
• Home de 30 anys
• Treballa com a entrenador personal
• Sense al·lèrgies conegudes
• Nega antecedents personals d’interès
• Antecedents patològics
• 2013  hematoma posttraumàtic a cama dreta que es va sobreinfectar i va requerir
ingrés i desbridament
• 12/05/2019  dolor i impotència funcional a turmell esquerra per caiguda amb
motocicleta
• 14/05/2019  intervingut. Abordatge lateral sobre el peroné. Neteja del focus de
fractura. Reducció i fixació amb pern i fixació amb placa 1/3 canya de 6 orificis.
REINGRÉS 21/06
Tenia bona evolució excepte 2 punts no tancats completament. El dia 20/6 inicia dolor intens de la cama
esquerra, apreciant signes inflamatoris, zona abscessificada i febre que ha augmentat fins 40ºC amb
calfreds el dia de l’ingrés.
Motiu ingrés: descartar infecció de material d’osteosíntesi.
EXPLORACIÓ:
• Turmell esquerre eritematós, calent, edematitzat amb dos punts de dehiscència de la ferida quirúrgica
a nivell distal, amb sortida de material seropurulent. Dolor intens a la palpació de la zona eritematosa.
No fluctuació evident. NVD correcte.
ANALÍTICA:
• Leucòcits 14,80
• Neutròfils 93,50%
• Neutròfils Absoluts 13,80
• VCM 90,4 fL
• T. Protrombina 45%
• INR 1,68
• PCR 16,4
EVOLUCIÓ
Es reintervé a quiròfan 22/06
• S’objectiven fistulacions múltiples en el terç mitjà de la ferida quirúrgica amb
quadre cel·lulític que comprèn des de la cara anterior del migpeu fins quasi
tota la cara antero-lateral de la cama  Abordatge sobre la incisió prèvia
ressecant trajectes fistulosos
• S’objectiva sortida activa d’abundant col·lecció purulenta
• S’objectiva dany parcial del ventre muscular peroneal i afectació de la baina
El pacient les darreres 24h ha estat afebril, hemodinàmicament estable i dolor
aparentment controlat.
Quin diagnòstic faríeu?
Quines proves complementàries
demanaríeu?
Què creieu que es va trobar en els
cultius?
Quin tractament antibiòtic donaríeu?
EVOLUCIÓ
EXPLORACIÓ
• Constants estables
• Ferida a turmell esquerre, no signes
inflamatoris importants, no crepita,
dolorosa al tacte i a la mobilització
TRACTAMENT
• Penicilina G sòdica + clindamicina EV
EXPLORACIÓ
• Constants estables
• Ferida bé, discret dolor, fluctua en el mal·lèol extern del peu, però no hi ha signes
inflamatoris clars, mobilitza bé, dolor a la flexió
MICROBIOLOGIA:
• Streptococcus pyogenes (a totes les mostres) + E. Coli (a 2 mostres)
25/06 26/06
TRACTAMENT:
• Bencilpenicilina sòdica EV
(canvi a ceftriaxona EV)
• Clindamicina EV
ANALÍTICA:
• Leucòcits 9,2
• Neutròfils 62,60%
• Hematòcrit 34,80%
• Plaquetes 308,00
• Hemoglobina 11,50 g/dL
• Nivell de glucosa 90 mL
• Creatinina 0,72 mg/dL
• Alt/Gpt 96 U/L
• Ggt 25 U/L
• Albúmia 34,7 g/L
• PCR 7,6
DIAGNÒSTIC
Fascitis necrotitzant + mionecrosi secundària per infecció d’una ferida profunda
per Streptococo pyogenes.
TIPUS INFECCIÓ PER FERIDA QUIRÚRGICA (SSI)
TIPUS INFECCIÓ PER FERIDA QUIRÚRGICA (SSI)
SUPERFICIAL PROFUNDA ÒRGANS/ ESPAI
Temps 30 dies després de la intervenció 30-90 dies després de la intervenció 30-90 dies després de la intervenció
Extensió de
teixits
Pell i teixit subcutani Teixits profunds (com fàscia i músculs)
Qualsevol part més profunda que la
fàscia/múscul
Criteris
diagnòstics
• Drenatge purulent
• Organismes identificats obtinguts
de manera asèptica de la incisió
superficial o del teixit subcutani,
mitjançant cultiu o sense cultiu,
realitzat amb finalitats de
diagnòstic o tractament clínic
• Sensibilitat / dolor;
Inflamació, eritema, calentor
(peri-incisional)
• Diagnòstic clínic pel cirurgià o un
altre clínic
• Drenatge purulent
• Dehiscència espontània – fistulitza /
oberta pel cirurgià.
+
Organismes identificats a partir de teixits
tous profunds de la incisió mitjançant un
cultiu o sense cultiu que es realitza amb
finalitats de diagnòstic o tractament clínic
+
Febre >38ºC; Sensibilitat o dolor
localitzat
• Abscés o altres evidències d’infeccions
profundes que involucren la incisió
profunda
• Drenatge purulent
• Organismes identificats a partir
de fluids o teixits d’òrgans/ espai
mitjançant un cultiu o sense
cultiu que es realitza amb
finalitats de diagnòstic o
tractament clínic.
• Abscés o altres evidències
d’infeccions profundes que
involucren òrgan/espai
Comentaris
Tipus:
• Primària
• Secundària
Tipus:
• Primària
• Secundària
Vàries característiques clíniques
(febre, hipotensió, nàusea, vòmits,
dolor/sensibilitat abdominal,
transaminases elevades, ictèria...)
INFECCIONS PER
STREPTOCOCCUS PYOGENES
ERISIPELES
• Teixit cutani superficial (dermis i implicació limfàtica)
• Característiques:
• Lesions ben delimitades i al voltant de la pell danyada
• Color salmó-vermell
• Sobretot a extremitats inferiors
• Expansió ràpida amb marges vermells limitants
• Amb un diagnòstic i tractament primerenc, la prognosi és
excel·lent
INFECCIONS PER
STREPTOCOCCUS PYOGENES
CEL·LULITIS ESTREPTOCÒCCICA
• Teixit cutani i subcutani
• Conseqüència de:
• Infecció per cremada
• Ferides
• Incisió quiúrgica
• Trauma sever
• Diagnòstic:
• Dolor local, sensibilitat, inflamació i eritema
• Afectacions sistèmiques: febre, calfreds, malestar
• Causes predisposants
• Mal drenatge limfàtic a les extremitats
• Injecció parenteral de drogues il·lícites
INFECCIONS PER
STREPTOCOCCUS PYOGENES
FASCITIS NECROTITZANT (GANGRENA ESTREPTOCÒCCIC A)
• Teixit subcutani profund
• Conseqüència de:
• Trauma
• Incisió quirúrgica
• Característiques:
• Expansió molt ràpida de la necrosi per gangrena de la pell i estructures del voltant
• A les 24-72h la pell torna fosca i morada, i apareix fluid groguenc i hemorràgic
• És freqüent bacterièmia i l’aparició d’abscessos metastàtics
• Diagnòstic:
• Pell vermellosa, dolor, inflamació
• Febre i dolor sever
• Altres: taquicàrdia, desviació a l’esquerra, alts nivells de creatina fosfoquinasa
• En molts casos als 2-3 dies associat a mionecrosi
INFECCIONS PER
STREPTOCOCCUS PYOGENES
• Freqüent en pacients amb fascitis necrotitzant i síndrome de
shock sèptic per estreptococs
• La diferenciació entre fascitis necrotitzant i mionecrosi s’ha de
fer per mitjà d’una inspecció quirúrgica o biòpsia
MIOSITIS I MIONECROSI
INFECCIONS PER
STREPTOCOCCUS PYOGENES
• Shock i fallada d’òrgans esporàdicament
• Afectació de teixits profunds i torrent sanguini. Pot travessar
membranes mucoses com la mucosa faríngia
• S’escapen de la fagocitosi perquè tenen la proteïna M que ofereix
propietats antifagocítiques
• Fases:
• 1a  Febre, calfreds, miàlgies, nàusees, vòmits i diarrees que
procedeixen a la hipotensió
• 2a  Taquicàrdia, taquipnea, febre persistent i dolor sever (si han
esdevingut fascitis necrotitzant o mionecrosis)
• 3a  shock o fallida d’òrgans
SÍNDROME DEL SHOCK TÒXIC
ESTREPTOCÒCCIC
INFECCIONS PER
STREPTOCOCCUS PYOGENES
• CONTROL:
• TAC i RM
• TRACTAMENT
• Alta dosi de penicil·lina i clindamicina
1. Sensible a penicil·lina
2. Poca resistència a eritromicina i clindamicina
3. Eritromicina i clindamicina efectius en fascitis necrotitzant i mionecrosis
4. Penicil·lina inefectiva en infeccions per ferida quirúrgica greus en què hi ha varis
bacteris presents
5. Clindamicina suprimeix exotoxines i proteïna M que produeix el Streptococcus
6. Clindamicina té vida mitja més llarga
7. Combinacions entre penicil·lina i clindamicina tenen poques interaccions
8. Clindamicina i azitromicina suprimeix la producció de citocines per cèl·lules
mononuclears
EXPLORACIÓ
• Constants estables
• Ferida continua amb secreció serohemàtica per
1/3 superior de la ferida del turmell. No signes
de cel·lulitis aparents, dolor a la pressió a nivell
de la ferida. Mobilitza bé
ANALÍTIQUES
• Leucòcits 8,56
• Neutròfils 61,60%
• Hematòcrit 36,6%
• Plaquetes 436,00
• Hemoglobina 12,00 g/dL
• Creatinina 0,77 mg/dL
• PCR 2,83 mg/dL
02/07 08/07 I 09/07
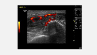
ECOGRAFIA PARTS BLANDES
• Edema i hiperèmia del teixit cel·lular
subcutani a nivell de la cicatriu de la
cara lateral del turmell esquerre.
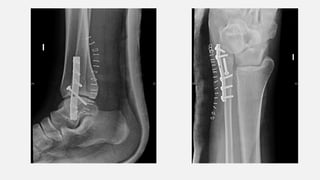
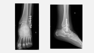
RX TURMELL AP i LAT (16/07)
EXPLORACIÓ
• Constants estables
• Edema i hiperèmia del teixit cel·lular
subcutani a nivell de la cicatriu de la
cara lateral del turmell esquerre
• No signes d’infecció activa, només anvis
residuals de la cicatriu del mal·lèol
intern, extensió limitada.
Pendent de visita amb traumatologia.
EVOLUCIÓ
EXPLORACIÓ
• Constants estables
• Ferida continua amb secreció serohemàtica per
1/3 superior de la ferida del turmell. No signes
de cel·lulitis aparents, color a la pressió a nivell
de la ferida. Mobilitza bé
ANALÍTIQUES
• Leucòcits 8,56
• Neutròfils 61,60%
• Hematòcrit 36,6%
• Plaquetes 436,00
• Hemoglobina 12,00 g/dL
• Creatinina 0,77 mg/dL
• PCR 2,83 mg/dL
02/07
24/07
Tractament completat amb ceftraixona
EV i clindamicina oral en HAD fins dia
10/7. Es suspendrà tractament antibiòtic
amb amoxicil·lina oral.
Analítica de control en 2 mesos
08/07 I 09/07
EVOLUCIÓ
22/07
ANALÍTICA
• Leucòcits 6,15
• Neutròfils 42,70%
• Hematòcrit 40,90%
• Plaquetes 389,00
• VSG 24 mm
• Hemoglobina 12,90 g/dL
• Sodi 142 mEq/L
• Potassi 4,2 mEq/L
• PCR 0,28
ECOGRAFIA PARTS BLANDES
• Edema i hiperèmia del teixit cel·lular
subcutani a nivell de la cicatriu de la
cara lateral del turmell esquerre.
RX TURMELL AP i LAT (16/07)
EXPLORACIÓ
• Constants estables
• No signes d’infecció activa, només
canvis residuals de la cicatriu del
mal·lèol intern, extensió limitada.
Pendent de visita amb traumatologia
BIBLIOGRAFIA
• Mandell, Douglas, and Bennett’s Principles and Practice of Infectious Diseases. 7th
edition. 2010
• Mangram AJ, Horan TC, Pearson ML, Silver C, JarvisWR, Hospital T, et al.
Prevention of Surgical Site. Am J Infect Control. 2014;20(4):250–80.
• CDC. National Healthcare Safety Network, Centers for Disease Control and
Prevention. Surgical site infection (SSI) event. 2019; (January):1–34.
• Deverick J Anderson, MD, MPH, Daniel Jexton, MD. Overview of control measures
for prevention of surgical site infection in adults. 2019.

Caso completo

  • 1.
  • 2.
    PRESENTACIÓ • Home de30 anys • Treballa com a entrenador personal • Sense al·lèrgies conegudes • Nega antecedents personals d’interès • Antecedents patològics • 2013  hematoma posttraumàtic a cama dreta que es va sobreinfectar i va requerir ingrés i desbridament • 12/05/2019  dolor i impotència funcional a turmell esquerra per caiguda amb motocicleta • 14/05/2019  intervingut. Abordatge lateral sobre el peroné. Neteja del focus de fractura. Reducció i fixació amb pern i fixació amb placa 1/3 canya de 6 orificis.
  • 4.
    REINGRÉS 21/06 Tenia bonaevolució excepte 2 punts no tancats completament. El dia 20/6 inicia dolor intens de la cama esquerra, apreciant signes inflamatoris, zona abscessificada i febre que ha augmentat fins 40ºC amb calfreds el dia de l’ingrés. Motiu ingrés: descartar infecció de material d’osteosíntesi. EXPLORACIÓ: • Turmell esquerre eritematós, calent, edematitzat amb dos punts de dehiscència de la ferida quirúrgica a nivell distal, amb sortida de material seropurulent. Dolor intens a la palpació de la zona eritematosa. No fluctuació evident. NVD correcte. ANALÍTICA: • Leucòcits 14,80 • Neutròfils 93,50% • Neutròfils Absoluts 13,80 • VCM 90,4 fL • T. Protrombina 45% • INR 1,68 • PCR 16,4
  • 5.
    EVOLUCIÓ Es reintervé aquiròfan 22/06 • S’objectiven fistulacions múltiples en el terç mitjà de la ferida quirúrgica amb quadre cel·lulític que comprèn des de la cara anterior del migpeu fins quasi tota la cara antero-lateral de la cama  Abordatge sobre la incisió prèvia ressecant trajectes fistulosos • S’objectiva sortida activa d’abundant col·lecció purulenta • S’objectiva dany parcial del ventre muscular peroneal i afectació de la baina El pacient les darreres 24h ha estat afebril, hemodinàmicament estable i dolor aparentment controlat.
  • 6.
  • 7.
  • 8.
    Què creieu quees va trobar en els cultius? Quin tractament antibiòtic donaríeu?
  • 9.
    EVOLUCIÓ EXPLORACIÓ • Constants estables •Ferida a turmell esquerre, no signes inflamatoris importants, no crepita, dolorosa al tacte i a la mobilització TRACTAMENT • Penicilina G sòdica + clindamicina EV EXPLORACIÓ • Constants estables • Ferida bé, discret dolor, fluctua en el mal·lèol extern del peu, però no hi ha signes inflamatoris clars, mobilitza bé, dolor a la flexió MICROBIOLOGIA: • Streptococcus pyogenes (a totes les mostres) + E. Coli (a 2 mostres) 25/06 26/06 TRACTAMENT: • Bencilpenicilina sòdica EV (canvi a ceftriaxona EV) • Clindamicina EV ANALÍTICA: • Leucòcits 9,2 • Neutròfils 62,60% • Hematòcrit 34,80% • Plaquetes 308,00 • Hemoglobina 11,50 g/dL • Nivell de glucosa 90 mL • Creatinina 0,72 mg/dL • Alt/Gpt 96 U/L • Ggt 25 U/L • Albúmia 34,7 g/L • PCR 7,6
  • 10.
    DIAGNÒSTIC Fascitis necrotitzant +mionecrosi secundària per infecció d’una ferida profunda per Streptococo pyogenes.
  • 11.
    TIPUS INFECCIÓ PERFERIDA QUIRÚRGICA (SSI)
  • 12.
    TIPUS INFECCIÓ PERFERIDA QUIRÚRGICA (SSI) SUPERFICIAL PROFUNDA ÒRGANS/ ESPAI Temps 30 dies després de la intervenció 30-90 dies després de la intervenció 30-90 dies després de la intervenció Extensió de teixits Pell i teixit subcutani Teixits profunds (com fàscia i músculs) Qualsevol part més profunda que la fàscia/múscul Criteris diagnòstics • Drenatge purulent • Organismes identificats obtinguts de manera asèptica de la incisió superficial o del teixit subcutani, mitjançant cultiu o sense cultiu, realitzat amb finalitats de diagnòstic o tractament clínic • Sensibilitat / dolor; Inflamació, eritema, calentor (peri-incisional) • Diagnòstic clínic pel cirurgià o un altre clínic • Drenatge purulent • Dehiscència espontània – fistulitza / oberta pel cirurgià. + Organismes identificats a partir de teixits tous profunds de la incisió mitjançant un cultiu o sense cultiu que es realitza amb finalitats de diagnòstic o tractament clínic + Febre >38ºC; Sensibilitat o dolor localitzat • Abscés o altres evidències d’infeccions profundes que involucren la incisió profunda • Drenatge purulent • Organismes identificats a partir de fluids o teixits d’òrgans/ espai mitjançant un cultiu o sense cultiu que es realitza amb finalitats de diagnòstic o tractament clínic. • Abscés o altres evidències d’infeccions profundes que involucren òrgan/espai Comentaris Tipus: • Primària • Secundària Tipus: • Primària • Secundària Vàries característiques clíniques (febre, hipotensió, nàusea, vòmits, dolor/sensibilitat abdominal, transaminases elevades, ictèria...)
  • 13.
    INFECCIONS PER STREPTOCOCCUS PYOGENES ERISIPELES •Teixit cutani superficial (dermis i implicació limfàtica) • Característiques: • Lesions ben delimitades i al voltant de la pell danyada • Color salmó-vermell • Sobretot a extremitats inferiors • Expansió ràpida amb marges vermells limitants • Amb un diagnòstic i tractament primerenc, la prognosi és excel·lent
  • 14.
    INFECCIONS PER STREPTOCOCCUS PYOGENES CEL·LULITISESTREPTOCÒCCICA • Teixit cutani i subcutani • Conseqüència de: • Infecció per cremada • Ferides • Incisió quiúrgica • Trauma sever • Diagnòstic: • Dolor local, sensibilitat, inflamació i eritema • Afectacions sistèmiques: febre, calfreds, malestar • Causes predisposants • Mal drenatge limfàtic a les extremitats • Injecció parenteral de drogues il·lícites
  • 15.
    INFECCIONS PER STREPTOCOCCUS PYOGENES FASCITISNECROTITZANT (GANGRENA ESTREPTOCÒCCIC A) • Teixit subcutani profund • Conseqüència de: • Trauma • Incisió quirúrgica • Característiques: • Expansió molt ràpida de la necrosi per gangrena de la pell i estructures del voltant • A les 24-72h la pell torna fosca i morada, i apareix fluid groguenc i hemorràgic • És freqüent bacterièmia i l’aparició d’abscessos metastàtics • Diagnòstic: • Pell vermellosa, dolor, inflamació • Febre i dolor sever • Altres: taquicàrdia, desviació a l’esquerra, alts nivells de creatina fosfoquinasa • En molts casos als 2-3 dies associat a mionecrosi
  • 16.
    INFECCIONS PER STREPTOCOCCUS PYOGENES •Freqüent en pacients amb fascitis necrotitzant i síndrome de shock sèptic per estreptococs • La diferenciació entre fascitis necrotitzant i mionecrosi s’ha de fer per mitjà d’una inspecció quirúrgica o biòpsia MIOSITIS I MIONECROSI
  • 17.
    INFECCIONS PER STREPTOCOCCUS PYOGENES •Shock i fallada d’òrgans esporàdicament • Afectació de teixits profunds i torrent sanguini. Pot travessar membranes mucoses com la mucosa faríngia • S’escapen de la fagocitosi perquè tenen la proteïna M que ofereix propietats antifagocítiques • Fases: • 1a  Febre, calfreds, miàlgies, nàusees, vòmits i diarrees que procedeixen a la hipotensió • 2a  Taquicàrdia, taquipnea, febre persistent i dolor sever (si han esdevingut fascitis necrotitzant o mionecrosis) • 3a  shock o fallida d’òrgans SÍNDROME DEL SHOCK TÒXIC ESTREPTOCÒCCIC
  • 18.
    INFECCIONS PER STREPTOCOCCUS PYOGENES •CONTROL: • TAC i RM • TRACTAMENT • Alta dosi de penicil·lina i clindamicina 1. Sensible a penicil·lina 2. Poca resistència a eritromicina i clindamicina 3. Eritromicina i clindamicina efectius en fascitis necrotitzant i mionecrosis 4. Penicil·lina inefectiva en infeccions per ferida quirúrgica greus en què hi ha varis bacteris presents 5. Clindamicina suprimeix exotoxines i proteïna M que produeix el Streptococcus 6. Clindamicina té vida mitja més llarga 7. Combinacions entre penicil·lina i clindamicina tenen poques interaccions 8. Clindamicina i azitromicina suprimeix la producció de citocines per cèl·lules mononuclears
  • 19.
    EXPLORACIÓ • Constants estables •Ferida continua amb secreció serohemàtica per 1/3 superior de la ferida del turmell. No signes de cel·lulitis aparents, dolor a la pressió a nivell de la ferida. Mobilitza bé ANALÍTIQUES • Leucòcits 8,56 • Neutròfils 61,60% • Hematòcrit 36,6% • Plaquetes 436,00 • Hemoglobina 12,00 g/dL • Creatinina 0,77 mg/dL • PCR 2,83 mg/dL 02/07 08/07 I 09/07 ECOGRAFIA PARTS BLANDES • Edema i hiperèmia del teixit cel·lular subcutani a nivell de la cicatriu de la cara lateral del turmell esquerre. RX TURMELL AP i LAT (16/07) EXPLORACIÓ • Constants estables • Edema i hiperèmia del teixit cel·lular subcutani a nivell de la cicatriu de la cara lateral del turmell esquerre • No signes d’infecció activa, només anvis residuals de la cicatriu del mal·lèol intern, extensió limitada. Pendent de visita amb traumatologia. EVOLUCIÓ
  • 22.
    EXPLORACIÓ • Constants estables •Ferida continua amb secreció serohemàtica per 1/3 superior de la ferida del turmell. No signes de cel·lulitis aparents, color a la pressió a nivell de la ferida. Mobilitza bé ANALÍTIQUES • Leucòcits 8,56 • Neutròfils 61,60% • Hematòcrit 36,6% • Plaquetes 436,00 • Hemoglobina 12,00 g/dL • Creatinina 0,77 mg/dL • PCR 2,83 mg/dL 02/07 24/07 Tractament completat amb ceftraixona EV i clindamicina oral en HAD fins dia 10/7. Es suspendrà tractament antibiòtic amb amoxicil·lina oral. Analítica de control en 2 mesos 08/07 I 09/07 EVOLUCIÓ 22/07 ANALÍTICA • Leucòcits 6,15 • Neutròfils 42,70% • Hematòcrit 40,90% • Plaquetes 389,00 • VSG 24 mm • Hemoglobina 12,90 g/dL • Sodi 142 mEq/L • Potassi 4,2 mEq/L • PCR 0,28 ECOGRAFIA PARTS BLANDES • Edema i hiperèmia del teixit cel·lular subcutani a nivell de la cicatriu de la cara lateral del turmell esquerre. RX TURMELL AP i LAT (16/07) EXPLORACIÓ • Constants estables • No signes d’infecció activa, només canvis residuals de la cicatriu del mal·lèol intern, extensió limitada. Pendent de visita amb traumatologia
  • 23.
    BIBLIOGRAFIA • Mandell, Douglas,and Bennett’s Principles and Practice of Infectious Diseases. 7th edition. 2010 • Mangram AJ, Horan TC, Pearson ML, Silver C, JarvisWR, Hospital T, et al. Prevention of Surgical Site. Am J Infect Control. 2014;20(4):250–80. • CDC. National Healthcare Safety Network, Centers for Disease Control and Prevention. Surgical site infection (SSI) event. 2019; (January):1–34. • Deverick J Anderson, MD, MPH, Daniel Jexton, MD. Overview of control measures for prevention of surgical site infection in adults. 2019.