Embed presentation
Downloaded 19 times





















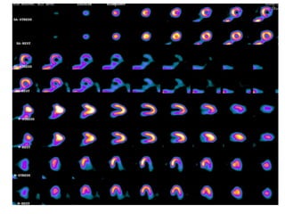
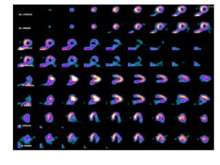
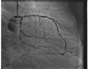
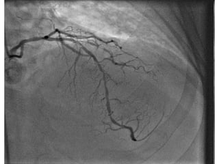
A 49-year-old male presented with syncope and was found to have cardiomyopathy with severely reduced ejection fraction less than 25% based on echocardiogram findings. Cardiac catheterization showed severe blockages of the left anterior descending and circumflex arteries. Despite a non-ischemic etiology, the patient was evaluated for an implantable cardioverter-defibrillator due to the reduced ejection fraction. A separate 33-year-old male presented with chest pain and was diagnosed with an anterior STEMI based on ECG findings.



















