Presented By:
Mr. Abhay Rajpoot
The heart contains 4 chambers: the right atrium, left
atrium, right ventricle, and left ventricle. The atria are
smaller than the ventricles and have thinner, less
muscular walls than the ventricles. The ventricles are
connected to the arteries that carry blood away from
the heart.
A form of bypass surgery that can create new routes
around narrowed and blocked coronary arteries,
permitting increased blood flow to deliver oxygen and
nutrients to the heart muscle. CABG surgery is one of
the most commonly performed major operations.
Coronary artery bypass graft surgery (CABG) was first
performed in India in 1975 about 13 years after its
advent in 1962. In the mid 1990 some 10,000 CABG
surgeries were being performed annually in India.
Presently the annual number is about 60000 according to
industry sources.
 1. Restore blood flow to the heart.
 2. Relieve chest pain & ischemia.
 3. Improves the patient’s quality of life.
 4. Enables the patient to resume a normal life cycle.
 5.Lower the risk of a heart attack.
Indications for Coronary Artery Bypass Grafting
(CABG) depend on various factors, mainly on the
individual's symptoms and severity of disease. Some of
these include:
 Left main artery disease or equivalent
 Triple vessel disease
 Abnormal Left Ventricular function.
 Failed PTCA.
 Immediately after Myocardial Infarction (to help
perfusion of the viable myocardium).
 Life threatening arrhythmias caused by a previous
myocardial infarction.
 Occlusion of grafts from previous CABG.
●Left main artery disease or aortic valve insufficiency
●Abdominal aortic aneurysm
●Haemorrhage diseases
●Valve diseases, congenital heart diseases,
cardiomyopathy
●Lower extremities edema
●Severe hypertension, blood pressure higher than
120/80mmHg
●Uncontrolled arrhythmias
●Pregnancy
 History collection
 Physical Exam and
 ECG (Electrocardiogram)
 MRI
 Echocardiography
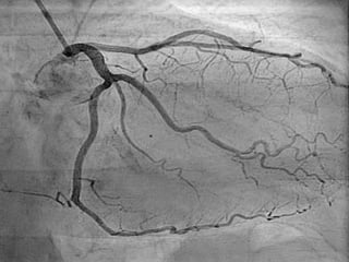
 Coronary Angiography
Traditional Coronary Artery Bypass Grafting-
This is the most common type of coronary artery
bypass grafting (CABG). It's used when at least one
major artery needs to be bypassed.
This type of CABG is similar to traditional CABG
because the chest bone is opened to access the heart.
However, the heart isn't stopped, and a heart-lung bypass
machine isn't used. Off-pump CABG is sometimes called
beating heart bypass grafting.
Alternate methods of minimally invasive coronary artery bypass
surgery have been developed. Off-pump coronary artery
bypass (OPCAB) is a technique of performing bypass surgery
without the use of cardiopulmonary bypass. Further refinements
to OPCAB have resulted in minimally invasive direct coronary
artery bypass surgery (MIDCAB), a technique of performing
bypass surgery through a 5 to 10 cm incision.
 Informed high risk consent
 NPO a night prior to surgery
 Vital sign monitoring including blood sugar level
 Intake output charting
 Part preparation
 Investigations
 Pre procedure medication
 Transfer of patient to operating room
 Placement of arterial and venous access for
anaesthesia(fentanyl, propofol) , medications
fluids and blood pressure monitoring
 Endotracheal tube insertion for mechanical
ventillation
 General anaesthesia is maintained with an inhaled
volatile anesthetic agent such as isoflurane.
 The chest is opened via a median sternotomy by
the surgeon.
 The bypass grafts are harvested – frequent vessels are
the internal thoracic arteries, radial
arteries and saphenous veins. When harvesting is done,
the patient is given heparin to inhibit blood clotting.
 In the case of "off-pump" surgery, the surgeon places
devices to stabilize the heart.
 In the case of "on-pump" surgery, the surgeon
sutures cannulae into the heart and instructs
the perfusionist to start cardiopulmonary bypass (CPB).
 Protamine is given to reverse the effects of heparin.
 Chest tubes are placed in the mediastinal and pleural
space to drain blood from around the heart and lungs.
 The sternum is wired together and the incisions
are sutured closed.
 The patient is moved to an intensive care unit (ICU)
or cardiac universal bed (CUB) to recover. After
awakening and stabilizing in the ICU for 18 to 24
hours, the person is transferred to the cardiac
surgery ward..
 Assessment of patient condition
 Vital sign monitoring every 5 mins
 Intake output charting
 Post procedure medication
 Care of surgical site
 Care of drainage tubes
 Prevention of potential complications
Although complications from coronary artery bypass
grafting (CABG) are uncommon, the risks include:
 Wound infection and bleeding
 Reactions to anesthesia
 Fever
 Pain
 Stroke, heart attack, or even death
Open heart surgery (coronary artery bypass grafting)
appears to be safer than angioplasty (percutaneous
coronary intervention, or PCI) for kidney failure patients,
states study published in the Journal of the American
Society of Nephrology (JASN). It was found that CABG
was associated with a 13% lower risk of death and a 12%
lower risk of having a heart attack.
 Doctors perform open heart surgery on a 50-year-old
man from Manipur under the Ayushman Bharat
scheme. The operation was performed on 2 December
2018.
 Chief Medical Officer (CMO) of Agra district, Mukesh
Vats said Devendra, 50, from Mainpuri, was the first
beneficiary of the project.
 He was operated in the Pushpanjali Hospital by a team
of doctors including Atul Gupta and Dinesh Jain.
Post procedure care for CABG
 https://cardiacsurgery.ucsf.edu/conditions--
procedures/coronary-artery-bypass-grafting-(cabg).aspx
 https://www.medicinenet.com/script/main/art.asp?articlekey
=2841
 https://en.wikipedia.org/wiki/Coronary_artery_bypass_surg
ery
 https://www.hopkinsmedicine.org/healthlibrary/test_proced
ures/cardiovascular/coronary_artery_bypass_graft_surgery_
92,P07967
 https://my.clevelandclinic.org/health/treatments/16897-
coronary-artery-bypass-surgery
 Brunner & Suddarth's Textbook of Medical-Surgical
Nursing, Thirteenth edition, 2013, Elsevier publications.
CABG

CABG

  • 1.
  • 2.
    The heart contains4 chambers: the right atrium, left atrium, right ventricle, and left ventricle. The atria are smaller than the ventricles and have thinner, less muscular walls than the ventricles. The ventricles are connected to the arteries that carry blood away from the heart.
  • 5.
    A form ofbypass surgery that can create new routes around narrowed and blocked coronary arteries, permitting increased blood flow to deliver oxygen and nutrients to the heart muscle. CABG surgery is one of the most commonly performed major operations.
  • 6.
    Coronary artery bypassgraft surgery (CABG) was first performed in India in 1975 about 13 years after its advent in 1962. In the mid 1990 some 10,000 CABG surgeries were being performed annually in India. Presently the annual number is about 60000 according to industry sources.
  • 7.
     1. Restoreblood flow to the heart.  2. Relieve chest pain & ischemia.  3. Improves the patient’s quality of life.  4. Enables the patient to resume a normal life cycle.  5.Lower the risk of a heart attack.
  • 8.
    Indications for CoronaryArtery Bypass Grafting (CABG) depend on various factors, mainly on the individual's symptoms and severity of disease. Some of these include:  Left main artery disease or equivalent  Triple vessel disease  Abnormal Left Ventricular function.  Failed PTCA.  Immediately after Myocardial Infarction (to help perfusion of the viable myocardium).  Life threatening arrhythmias caused by a previous myocardial infarction.  Occlusion of grafts from previous CABG.
  • 9.
    ●Left main arterydisease or aortic valve insufficiency ●Abdominal aortic aneurysm ●Haemorrhage diseases ●Valve diseases, congenital heart diseases, cardiomyopathy ●Lower extremities edema ●Severe hypertension, blood pressure higher than 120/80mmHg ●Uncontrolled arrhythmias ●Pregnancy
  • 10.
     History collection Physical Exam and  ECG (Electrocardiogram)  MRI  Echocardiography  Coronary Angiography
  • 12.
    Traditional Coronary ArteryBypass Grafting- This is the most common type of coronary artery bypass grafting (CABG). It's used when at least one major artery needs to be bypassed.
  • 14.
    This type ofCABG is similar to traditional CABG because the chest bone is opened to access the heart. However, the heart isn't stopped, and a heart-lung bypass machine isn't used. Off-pump CABG is sometimes called beating heart bypass grafting.
  • 16.
    Alternate methods ofminimally invasive coronary artery bypass surgery have been developed. Off-pump coronary artery bypass (OPCAB) is a technique of performing bypass surgery without the use of cardiopulmonary bypass. Further refinements to OPCAB have resulted in minimally invasive direct coronary artery bypass surgery (MIDCAB), a technique of performing bypass surgery through a 5 to 10 cm incision.
  • 17.
     Informed highrisk consent  NPO a night prior to surgery  Vital sign monitoring including blood sugar level  Intake output charting  Part preparation  Investigations  Pre procedure medication
  • 18.
     Transfer ofpatient to operating room  Placement of arterial and venous access for anaesthesia(fentanyl, propofol) , medications fluids and blood pressure monitoring  Endotracheal tube insertion for mechanical ventillation  General anaesthesia is maintained with an inhaled volatile anesthetic agent such as isoflurane.  The chest is opened via a median sternotomy by the surgeon.
  • 19.
     The bypassgrafts are harvested – frequent vessels are the internal thoracic arteries, radial arteries and saphenous veins. When harvesting is done, the patient is given heparin to inhibit blood clotting.  In the case of "off-pump" surgery, the surgeon places devices to stabilize the heart.  In the case of "on-pump" surgery, the surgeon sutures cannulae into the heart and instructs the perfusionist to start cardiopulmonary bypass (CPB).
  • 21.
     Protamine isgiven to reverse the effects of heparin.  Chest tubes are placed in the mediastinal and pleural space to drain blood from around the heart and lungs.  The sternum is wired together and the incisions are sutured closed.  The patient is moved to an intensive care unit (ICU) or cardiac universal bed (CUB) to recover. After awakening and stabilizing in the ICU for 18 to 24 hours, the person is transferred to the cardiac surgery ward..
  • 24.
     Assessment ofpatient condition  Vital sign monitoring every 5 mins  Intake output charting  Post procedure medication  Care of surgical site  Care of drainage tubes  Prevention of potential complications
  • 25.
    Although complications fromcoronary artery bypass grafting (CABG) are uncommon, the risks include:  Wound infection and bleeding  Reactions to anesthesia  Fever  Pain  Stroke, heart attack, or even death
  • 28.
    Open heart surgery(coronary artery bypass grafting) appears to be safer than angioplasty (percutaneous coronary intervention, or PCI) for kidney failure patients, states study published in the Journal of the American Society of Nephrology (JASN). It was found that CABG was associated with a 13% lower risk of death and a 12% lower risk of having a heart attack.
  • 30.
     Doctors performopen heart surgery on a 50-year-old man from Manipur under the Ayushman Bharat scheme. The operation was performed on 2 December 2018.  Chief Medical Officer (CMO) of Agra district, Mukesh Vats said Devendra, 50, from Mainpuri, was the first beneficiary of the project.  He was operated in the Pushpanjali Hospital by a team of doctors including Atul Gupta and Dinesh Jain.
  • 31.
  • 32.
     https://cardiacsurgery.ucsf.edu/conditions-- procedures/coronary-artery-bypass-grafting-(cabg).aspx  https://www.medicinenet.com/script/main/art.asp?articlekey =2841 https://en.wikipedia.org/wiki/Coronary_artery_bypass_surg ery  https://www.hopkinsmedicine.org/healthlibrary/test_proced ures/cardiovascular/coronary_artery_bypass_graft_surgery_ 92,P07967  https://my.clevelandclinic.org/health/treatments/16897- coronary-artery-bypass-surgery  Brunner & Suddarth's Textbook of Medical-Surgical Nursing, Thirteenth edition, 2013, Elsevier publications.