FungiCausingSystemicMycoses
Dimorphic Fungi
Histoplasma capsulatum
&
Blastomyces dermatitidis
1
Shabir Imteyaz Khan
Asst. Professor
Govt. E. Raghvendra Rao PG. Science College, Bilaspur
(C.G.)
2/3/2021
Shabir
Imteyaz
Khan
True Systemic (Endemic) Mycoses
โ€ข Histoplasmosis
โ€ข Blastomycosis
2
2/3/2021
Shabir
Imteyaz
Khan
General Features
โ€ข Causative Agents thermally dimorphic fungi that exist
in nature, soil
โ€ข Geographic distribution varies
โ€ข Inhalation ๏ƒจ pulmonary infection ๏ƒจ dissemination
โ€ข No evidence of transmission among humans or animals
โ€ข Otherwise healthy individuals are infected
3
2/3/2021
Shabir
Imteyaz
Khan
BLASTOMYCOSIS
4
2/3/2021
Shabir
Imteyaz
Khan
Blastomycosis (Gilchristโ€™s Disease)
Chicago Disease
Blastomyces dermatitidis
A chronic infection characterized by formation of
suppurative & granulomatous lesion found mainly
in lungs & disseminate throughout body
MOT = Inhalation of airborne spore (conidia)
5
2/3/2021
Shabir
Imteyaz
Khan
NorthAmerican Blastomycosis
Distribution
โ€ข Endemic in North, Central and
Southeastern USA,
โ€ข Quebec province of Canada
โ€ข Very few cases from India
โ€ข 1st in 1983 (U.P.)
โ€ข Scattered cases Mumbai and Vellore.
6
2/3/2021
Shabir
Imteyaz
Khan
Blastomyces dermatitides
Characteristics:
Dimorphic
Mold in soil, yeast in tissue
Yeast form is round-shaped with a thick refractile
wall and a single broad-based bud
Natural habitat is soil rich in organic material
In endemic areas, the fungus lives in soil and rotten
wood near lakes and rivers.
7
2/3/2021
Shabir
Imteyaz
Khan
Pathogenesis
โ€ข Infection occurs mainly in the respiratory tract
โ€ข Inhaled conidia differentiate into yeast
cell which initially cause abscesses
โ€ข Followed by formation of granuloma
โ€ข Dissemination is rare, but when it occurs
skin and bone are the most commonly
involved.
8
2/3/2021
Shabir
Imteyaz
Khan
Types
โ€ข Pulmonary โ€“self limiting
โ€ข Cutaneous-most common, over exposed parts like face, neck
and hands.
โ€ข Disseminated- in AIDS, transplant, immunocompromised
โ€ข Miscellaneous- rare e.g. laryngeal (related to larynx), CNS,
osteomyelitis
9
2/3/2021
Shabir
Imteyaz
Khan
This resembles pulmonary TB showing diffuse infiltration in lung fields
10
2/3/2021
Shabir
Imteyaz
Khan
NorthAmerican Blastomycosis
โ€ข Cutaneous form exhibits sporotricoid spread and if chronic
almost always originates in the lungs.
โ€ข Most common site of dissemination from lung is the skin. (80% of
cases)
โ€ข Mainly on hands and feet, nodular, draining sinuses or
papillomatous and crusted.
โ€ข LESIONS ARE USUALLY MULTIPLE
11
2/3/2021
Shabir
Imteyaz
Khan
12
2/3/2021
Shabir
Imteyaz
Khan
Laboratory Diagnosis:
Samples:- Sputum, BAL, biopsy, pus from
abcess
1. Direct microscopic examination
(KOH mount) and calcoflour white
= demonstrate characteristic thick walled โ€œyeast
cell with single broad-based budโ€
13
2/3/2021
Shabir
Imteyaz
Khan
Broad Based Budding yeast
Blastomyces dermatitides
14
2/3/2021
Shabir
Imteyaz
Khan
2.Culture is difficult-
Sabouraudโ€™s dextrose agar, Mycosel
and a brain-heart infusion agar to
which blood has been added.
grows as fluffy, brownish to white
fungus which produces pyriform
spores
15
2/3/2021
Shabir
Imteyaz
Khan
16
2/3/2021
Shabir
Imteyaz
Khan
Lab diagnosis contโ€ฆ
โ€ข 3. Hypersensitivity test โ€“ Blastomycin test
โ€ข 4. Serological test not useful
โ€ข 5. DNA probe assay is commercially available
โ€ข 6. Animal pathogenicity- e.g.- pig,rats,hamster
17
2/3/2021
Shabir
Imteyaz
Khan
Treatment
โ€ข Itraconazole (drug of choice)200-400mg/day for 6mths
โ€ข Amphotericin B - used to treat severe cases
โ€ข Surgical excision helpful
โ€ข Prevention: No vaccine or prophylactic drug available
18
2/3/2021
Shabir
Imteyaz
Khan
HISTOPLASMOSIS
19
2/3/2021
Shabir
Imteyaz
Khan
Histoplasmosis
โ€ข Systemic granulomatous disease
โ€ข Samuel Taylor Darling- 1905
โ€ข Darlingโ€™s Disease/"Ohio valley disease,"
โ€ข Caused by inhalation of airborne spores
(microconidia) which are present from
dropping of birds.
โ€ข The ecological niche of H. capsulatum is in
blackbird roosts, chicken houses and bat guano
20
2/3/2021
Shabir
Imteyaz
Khan
Epidemiology
โ€ข Natural reservoir๏€บ soil, bat and avian habitats
โ€ข Location๏€บ May be prevalent all over the world, but the
incidence varies widely
โ€ข Endemic in Ohio, Kentucky, Mississippi.
โ€ข In India, the Gangetic West Bengal is the site of most frequent
infections, with 9.4 percent of the population testing positive.
โ€ข Has been isolated from the local soil proving endemicity of
histoplasmosis in West Bengal.
21
2/3/2021
Shabir
Imteyaz
Khan
Morphology
Dimorphic fungus that exist as
1) Yeast cell in tissue and
2) Mold in soil enriched with bird droppings
Forms 2 types of asexual spore
a) Tuberculate macroconidia (thick-walled finger like
projection)
b) Microconidia - thin, small, smooth-walled
22
2/3/2021
Shabir
Imteyaz
Khan
Pathogenesis๏€บ
โ€ข Inhalation of microconidia / primary Cutaneous
inoculation
โ€ข Conversion to budding yeast cells
โ€ข Phagocytosis by alveolar macrophages
โ€ข Restriction of growth or dissemination to RES by
bloodstream
โ€ข Suppression of cell-mediated immunity
23
2/3/2021
Shabir
Imteyaz
Khan
Clinical Findings
โ€ข ACUTE PULMONARY INFECTION
โ€ข Asymptomatic (95%) / mild / moderate / severe
/chronic cavitary
โ€ข CHRONIC PULMONARY
โ€ข PROGRESSIVE DISSEMINATED INFECTION
RES (liver, spleen, lymph nodes, bone marrow),
mucocutaneous infection
โ€ข PRIMARY CUTANEOUS INFECTION
24
2/3/2021
Shabir
Imteyaz
Khan
Acute Pulmonary histoplasmosis
โ€ข Majority are asymptomatic.
โ€ข incubation period-3-14 days
โ€ข Fever, chills
โ€ข Headache
โ€ข Malaise
โ€ข Myalgia
โ€ข Abdominal pain
โ€ข Cough, Hemoptysis. Dyspnea may also be present
25
2/3/2021
Shabir
Imteyaz
Khan
Chronic Pulmonary
Histoplasmosis
โ€ข In pts with underlying pulmonary disease.
โ€ข Cough
โ€ข Weight loss
โ€ข Fever
โ€ข Malaise
โ€ข Hemoptysis
โ€ข dyspnea
26
2/3/2021
Shabir
Imteyaz
Khan
Progressive Disseminated Histoplasmosis
โ€ข In pts who are immunocompromised.
โ€ข Mucosal ulcers in the
-mouth,
-gums and
-on surfaces of the skin.
27
2/3/2021
Shabir
Imteyaz
Khan
Laboratory Diagnosis๏€บ
Samples๏€บ Sputum, tissue, bone marrow, CSF,
blood
1. Direct Examination๏€บ
2. Culture๏€บ
3. Serology
4. Skin Test (Histoplasmin antigen)๏€บ Limited
diagnostic value.
5. DNA probe and PCR 28
2/3/2021
Shabir
Imteyaz
Khan
Direct Examination
โ€ข Intracellular (within macrophages) and
extracellular oval yeast cells
โ€ข Stained by H&E for tissue biopsy smear
โ€ข Yeast may br detected in areas of caseation
necrosis and calcified lymph nodes by Gomori
Methenamine silver stain.
29
2/3/2021
Shabir
Imteyaz
Khan
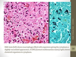
H&Estain(left)showsmacrophagesfilledwithorganismsgivingthecytoplasma
slightlyvacuolatedappearance.AGMS(Gomorimethenaminestain)(right)shows
clusteredorganismsincytoplasm.
30
2/3/2021
Shabir
Imteyaz
Khan
Budding yeast cell
inside macrophages
31
2/3/2021
Shabir
Imteyaz
Khan
Culture
โ€ข Culture of sputum and blood on SDA at 25ยฐC shows cottony
mycelial growth.
โ€ข Thin branching septate hyphae with tuberculoid macroconidia
and microconidia
โ€ข Macroconidia-8-20ยตm in diameter with fingerlike projections.
โ€ข At 37ยฐC shows yeast cells.
32
2/3/2021
Shabir
Imteyaz
Khan
Tuberculate
macroconidia
33
2/3/2021
Shabir
Imteyaz
Khan
Serology
โ€ข Complement fixation test
โ€ข Immunodiffusion test:- detect antibodies to two
glycoprotein's, H and M
โ€ข Anti-H Ab is more specific and positive in 50-80% of
pts
โ€ข Detection of specific H.capsulatum Ag in urine and
serum in immunocompromised pts when Ab
production may be impaired
34
2/3/2021
Shabir
Imteyaz
Khan
C. Skin test
๏ถHistoplasmin test
๏ถMycelial extract as antigen
๏ถUseful for epidemiologic
determination of incidence of
infection
๏ถNot used to diagnose actual disease
35
2/3/2021
Shabir
Imteyaz
Khan
Treatment:
โ€ข Amphotericin B โ€“ for disseminated infection
โ€ข Itraconazole - for pulmonary infection
โ€ข Fluconazole for meningitis.
Prevention:
None (no vaccine available)
36
2/3/2021
Shabir
Imteyaz
Khan
AFRICAN
HISTOPLASMOSIS
โ€ข Etiology๏€บ Histoplasma capsulatum var. duboisii
Differentiation from Classical Histoplasmosis
โ€ข Larger, thick-walled yeast cells
โ€ข Pronounced giant cell formation in infected tissue
โ€ข Diminished pulmonary involvement
โ€ข Greater frequency of skin and bone lesions
Treatment๏€บ
โ€ข Not required for several cases
โ€ข Amphotericin B
โ€ข Itraconazole
โ€ข Surgical resection of pulmonary lesions
37
2/3/2021
Shabir
Imteyaz
Khan
EPIZOOTIC
HISTOPLASMOSIS
โ€ข Etiology๏€บ Histoplasma capsulatum var. farciminosum
Lymphangitis of horses & mules
38
2/3/2021
Shabir
Imteyaz
Khan
THANK YOU
39
2/3/2021
Shabir
Imteyaz
Khan

Blastomyces dermatitidis & Histoplasma capsulatum

  • 1.
    FungiCausingSystemicMycoses Dimorphic Fungi Histoplasma capsulatum & Blastomycesdermatitidis 1 Shabir Imteyaz Khan Asst. Professor Govt. E. Raghvendra Rao PG. Science College, Bilaspur (C.G.) 2/3/2021 Shabir Imteyaz Khan
  • 2.
    True Systemic (Endemic)Mycoses โ€ข Histoplasmosis โ€ข Blastomycosis 2 2/3/2021 Shabir Imteyaz Khan
  • 3.
    General Features โ€ข CausativeAgents thermally dimorphic fungi that exist in nature, soil โ€ข Geographic distribution varies โ€ข Inhalation ๏ƒจ pulmonary infection ๏ƒจ dissemination โ€ข No evidence of transmission among humans or animals โ€ข Otherwise healthy individuals are infected 3 2/3/2021 Shabir Imteyaz Khan
  • 4.
  • 5.
    Blastomycosis (Gilchristโ€™s Disease) ChicagoDisease Blastomyces dermatitidis A chronic infection characterized by formation of suppurative & granulomatous lesion found mainly in lungs & disseminate throughout body MOT = Inhalation of airborne spore (conidia) 5 2/3/2021 Shabir Imteyaz Khan
  • 6.
    NorthAmerican Blastomycosis Distribution โ€ข Endemicin North, Central and Southeastern USA, โ€ข Quebec province of Canada โ€ข Very few cases from India โ€ข 1st in 1983 (U.P.) โ€ข Scattered cases Mumbai and Vellore. 6 2/3/2021 Shabir Imteyaz Khan
  • 7.
    Blastomyces dermatitides Characteristics: Dimorphic Mold insoil, yeast in tissue Yeast form is round-shaped with a thick refractile wall and a single broad-based bud Natural habitat is soil rich in organic material In endemic areas, the fungus lives in soil and rotten wood near lakes and rivers. 7 2/3/2021 Shabir Imteyaz Khan
  • 8.
    Pathogenesis โ€ข Infection occursmainly in the respiratory tract โ€ข Inhaled conidia differentiate into yeast cell which initially cause abscesses โ€ข Followed by formation of granuloma โ€ข Dissemination is rare, but when it occurs skin and bone are the most commonly involved. 8 2/3/2021 Shabir Imteyaz Khan
  • 9.
    Types โ€ข Pulmonary โ€“selflimiting โ€ข Cutaneous-most common, over exposed parts like face, neck and hands. โ€ข Disseminated- in AIDS, transplant, immunocompromised โ€ข Miscellaneous- rare e.g. laryngeal (related to larynx), CNS, osteomyelitis 9 2/3/2021 Shabir Imteyaz Khan
  • 10.
    This resembles pulmonaryTB showing diffuse infiltration in lung fields 10 2/3/2021 Shabir Imteyaz Khan
  • 11.
    NorthAmerican Blastomycosis โ€ข Cutaneousform exhibits sporotricoid spread and if chronic almost always originates in the lungs. โ€ข Most common site of dissemination from lung is the skin. (80% of cases) โ€ข Mainly on hands and feet, nodular, draining sinuses or papillomatous and crusted. โ€ข LESIONS ARE USUALLY MULTIPLE 11 2/3/2021 Shabir Imteyaz Khan
  • 12.
  • 13.
    Laboratory Diagnosis: Samples:- Sputum,BAL, biopsy, pus from abcess 1. Direct microscopic examination (KOH mount) and calcoflour white = demonstrate characteristic thick walled โ€œyeast cell with single broad-based budโ€ 13 2/3/2021 Shabir Imteyaz Khan
  • 14.
    Broad Based Buddingyeast Blastomyces dermatitides 14 2/3/2021 Shabir Imteyaz Khan
  • 15.
    2.Culture is difficult- Sabouraudโ€™sdextrose agar, Mycosel and a brain-heart infusion agar to which blood has been added. grows as fluffy, brownish to white fungus which produces pyriform spores 15 2/3/2021 Shabir Imteyaz Khan
  • 16.
  • 17.
    Lab diagnosis contโ€ฆ โ€ข3. Hypersensitivity test โ€“ Blastomycin test โ€ข 4. Serological test not useful โ€ข 5. DNA probe assay is commercially available โ€ข 6. Animal pathogenicity- e.g.- pig,rats,hamster 17 2/3/2021 Shabir Imteyaz Khan
  • 18.
    Treatment โ€ข Itraconazole (drugof choice)200-400mg/day for 6mths โ€ข Amphotericin B - used to treat severe cases โ€ข Surgical excision helpful โ€ข Prevention: No vaccine or prophylactic drug available 18 2/3/2021 Shabir Imteyaz Khan
  • 19.
  • 20.
    Histoplasmosis โ€ข Systemic granulomatousdisease โ€ข Samuel Taylor Darling- 1905 โ€ข Darlingโ€™s Disease/"Ohio valley disease," โ€ข Caused by inhalation of airborne spores (microconidia) which are present from dropping of birds. โ€ข The ecological niche of H. capsulatum is in blackbird roosts, chicken houses and bat guano 20 2/3/2021 Shabir Imteyaz Khan
  • 21.
    Epidemiology โ€ข Natural reservoir๏€บsoil, bat and avian habitats โ€ข Location๏€บ May be prevalent all over the world, but the incidence varies widely โ€ข Endemic in Ohio, Kentucky, Mississippi. โ€ข In India, the Gangetic West Bengal is the site of most frequent infections, with 9.4 percent of the population testing positive. โ€ข Has been isolated from the local soil proving endemicity of histoplasmosis in West Bengal. 21 2/3/2021 Shabir Imteyaz Khan
  • 22.
    Morphology Dimorphic fungus thatexist as 1) Yeast cell in tissue and 2) Mold in soil enriched with bird droppings Forms 2 types of asexual spore a) Tuberculate macroconidia (thick-walled finger like projection) b) Microconidia - thin, small, smooth-walled 22 2/3/2021 Shabir Imteyaz Khan
  • 23.
    Pathogenesis๏€บ โ€ข Inhalation ofmicroconidia / primary Cutaneous inoculation โ€ข Conversion to budding yeast cells โ€ข Phagocytosis by alveolar macrophages โ€ข Restriction of growth or dissemination to RES by bloodstream โ€ข Suppression of cell-mediated immunity 23 2/3/2021 Shabir Imteyaz Khan
  • 24.
    Clinical Findings โ€ข ACUTEPULMONARY INFECTION โ€ข Asymptomatic (95%) / mild / moderate / severe /chronic cavitary โ€ข CHRONIC PULMONARY โ€ข PROGRESSIVE DISSEMINATED INFECTION RES (liver, spleen, lymph nodes, bone marrow), mucocutaneous infection โ€ข PRIMARY CUTANEOUS INFECTION 24 2/3/2021 Shabir Imteyaz Khan
  • 25.
    Acute Pulmonary histoplasmosis โ€ขMajority are asymptomatic. โ€ข incubation period-3-14 days โ€ข Fever, chills โ€ข Headache โ€ข Malaise โ€ข Myalgia โ€ข Abdominal pain โ€ข Cough, Hemoptysis. Dyspnea may also be present 25 2/3/2021 Shabir Imteyaz Khan
  • 26.
    Chronic Pulmonary Histoplasmosis โ€ข Inpts with underlying pulmonary disease. โ€ข Cough โ€ข Weight loss โ€ข Fever โ€ข Malaise โ€ข Hemoptysis โ€ข dyspnea 26 2/3/2021 Shabir Imteyaz Khan
  • 27.
    Progressive Disseminated Histoplasmosis โ€ขIn pts who are immunocompromised. โ€ข Mucosal ulcers in the -mouth, -gums and -on surfaces of the skin. 27 2/3/2021 Shabir Imteyaz Khan
  • 28.
    Laboratory Diagnosis๏€บ Samples๏€บ Sputum,tissue, bone marrow, CSF, blood 1. Direct Examination๏€บ 2. Culture๏€บ 3. Serology 4. Skin Test (Histoplasmin antigen)๏€บ Limited diagnostic value. 5. DNA probe and PCR 28 2/3/2021 Shabir Imteyaz Khan
  • 29.
    Direct Examination โ€ข Intracellular(within macrophages) and extracellular oval yeast cells โ€ข Stained by H&E for tissue biopsy smear โ€ข Yeast may br detected in areas of caseation necrosis and calcified lymph nodes by Gomori Methenamine silver stain. 29 2/3/2021 Shabir Imteyaz Khan
  • 30.
  • 31.
    Budding yeast cell insidemacrophages 31 2/3/2021 Shabir Imteyaz Khan
  • 32.
    Culture โ€ข Culture ofsputum and blood on SDA at 25ยฐC shows cottony mycelial growth. โ€ข Thin branching septate hyphae with tuberculoid macroconidia and microconidia โ€ข Macroconidia-8-20ยตm in diameter with fingerlike projections. โ€ข At 37ยฐC shows yeast cells. 32 2/3/2021 Shabir Imteyaz Khan
  • 33.
  • 34.
    Serology โ€ข Complement fixationtest โ€ข Immunodiffusion test:- detect antibodies to two glycoprotein's, H and M โ€ข Anti-H Ab is more specific and positive in 50-80% of pts โ€ข Detection of specific H.capsulatum Ag in urine and serum in immunocompromised pts when Ab production may be impaired 34 2/3/2021 Shabir Imteyaz Khan
  • 35.
    C. Skin test ๏ถHistoplasmintest ๏ถMycelial extract as antigen ๏ถUseful for epidemiologic determination of incidence of infection ๏ถNot used to diagnose actual disease 35 2/3/2021 Shabir Imteyaz Khan
  • 36.
    Treatment: โ€ข Amphotericin Bโ€“ for disseminated infection โ€ข Itraconazole - for pulmonary infection โ€ข Fluconazole for meningitis. Prevention: None (no vaccine available) 36 2/3/2021 Shabir Imteyaz Khan
  • 37.
    AFRICAN HISTOPLASMOSIS โ€ข Etiology๏€บ Histoplasmacapsulatum var. duboisii Differentiation from Classical Histoplasmosis โ€ข Larger, thick-walled yeast cells โ€ข Pronounced giant cell formation in infected tissue โ€ข Diminished pulmonary involvement โ€ข Greater frequency of skin and bone lesions Treatment๏€บ โ€ข Not required for several cases โ€ข Amphotericin B โ€ข Itraconazole โ€ข Surgical resection of pulmonary lesions 37 2/3/2021 Shabir Imteyaz Khan
  • 38.
    EPIZOOTIC HISTOPLASMOSIS โ€ข Etiology๏€บ Histoplasmacapsulatum var. farciminosum Lymphangitis of horses & mules 38 2/3/2021 Shabir Imteyaz Khan
  • 39.