Dr. Pankaj Gupta
October 2007 meeting was organized at National
Cancer Institute (NCI), Bethesda, to address the
terminology and other issues in thyroid FNA
Idea behind uniform reporting system
• Facilitate effective communication among cytopathologist, radiologist,
endocrinologist and surgeon
• Facilitate Histocytological correlation for thyroid disease
• Facilitate research into epidemiology, molecular biology, pathology and
diagnosis of thyroid diseases
• Allow easy and reliable sharing of data from different laboratories for
national and international collaboration studies
Format of report
• Each report begin with six general categories
• Some categories have two alternative names as the consensus was
not reached at NCI conference on single name
• Each categories has implied cancer risk ( ranging from 0 to 3% for
benign categories to virtually 100% for malignant)
• Additional descriptive comments beyond such subcategorization are
optinal and left to discretion of pathologist
Recommended diagnostic categories
1. Non Diagnostic or Unsatisfactory (ND/UNS)
- Cystic fluid only
- Virtually acellular specimen
- Other (obscuring blood, clotting artifacts)
Recommended diagnostic categories
2. Benign
- Consistent with benign follicular nodule
- Consistent with lymphocytic ( Hashimoto’s thyroiditis)
in proper clinical context
- Consistent with granulomatous (sub acute) thyroiditis
- Others
Recommended diagnostic categories
3. Atypia of Undetermined significance or Follicular lesion
of undermined significance (AUS/FLUS)
Recommended diagnostic categories
4. Follicular neoplasm or Suspicious for Follicular
neoplasm (Specify if Hurthle cell or Oncocytic type)
Recommended diagnostic categories
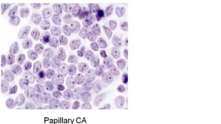
5. Suspicious for malignancy
- Suspicious for Papillary carcinoma
- Suspicious for Medullary carcinoma
- Suspicious for Metastatic carcinoma
- Suspicious for Lymphoma
- Others
Recommended diagnostic categories
6. Malignant
- Papillary thyroid carcinoma
- Poorly differentiated carcinoma
- Medullary thyroid carcinoma
- Undifferentiated ( Anaplastic ) carcinoma
- Squamous cell carcinoma
- Carcinoma with mixed features
- Metastatic carcinoma
- Non Hodgkin lymphoma
- Others
CATEGORY I (Non Diagnostic or Unsatisfactory)
Causes of Unsatisfactory smears
- Obscuring blood
- Overly thick smears
- Air drying of alcohol fixed smears
- Inadequate number of follicular cells
Criteria for adequacy
• At least six groups of benign follicular cells is required with each
group composed of at least 10 cells.
• Any specimen that contain abundant colloid is considered
adequate
• When a specific diagnosis (e.g. Lymphocytic thyroiditis) can be
given or when there is any atypia specimen is by definition
adequate
• Specimen containing cyst macrophages only are kept under
ND/UNS
• Unless specified in report specimen is considered adequate
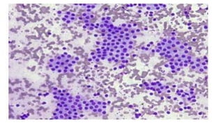
Category II ( Benign)
• An adequate cellular specimen composed of varying proportion of
colloid and benign follicular cells arranged in macro follicles or
macrofollicular fragments are considered as benign follicular
nodule
• If nodule shows significant growth or suspicious radiological
features then, a repeat FNA is considered
• Other benign categories include Hashimoto thyroiditis,
Granulomatous thyroiditis
• Infections, amyloid, black thyroid, reactive changes can be
mentioned as descriptive diagnosis
Category III ( AUS/ FLUS)
Most common scenarios for this categorization are
• Prominent population of micro follicles in an aspirate that does
not otherwise fulfill the criteria for follicular neoplasm
• Predominance of Hurthle cell in a sparsely cellular smear with
scant colloid
• Interpretation of follicular cell atypia is hindered by air drying or
clotting artifacts
• A moderately or markedly cellular smear consisting of exclusive
population of Hurthle cells yet clinical setting suggest a benign
Hurthle cell nodule ( Lymphocytic thyroiditis, Multi nodular goiter)
• There are focal features suggestive of Papillary carcinoma
including nuclear grooves, enlarged nuclei with pale chromatin in
an other wise predominantly benign appearing sample. ( these
can be cyst lining cells)
• A minor population of follicular cells may show nuclear
enlargement often accompanied by prominent nucleoli
(radioactive iodine, carbamizole, cystic degeneration or
hemorrhage)
• There is atypical lymphoid infiltrate but degree of atypia is not
sufficient to categorize it as Suspicious for malignancy
• It is important that only nodules with atypical undetermined
significance should be placed in this category
• Recognizable benign changes like Hurthle cell change, Black
thyroid, Radiation changes should not be classified as AUS
• A moderate or markedly cellular specimen without any significant
nuclear or architectural atypia does not qualify for AUS
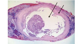
Category IV (FN/SFN)
• Purpose of this category is to identify a nodule that might be a
follicular carcinoma and triage it for surgical lobectomy
• Term suspicious for Follicular neoplasm is preferred over Follicular
neoplasm because a significant proportion of cases prove out to be
hyperplastic proliferation of follicular cells, most commonly those
of multi nodular goiter.
• Hallmark of this category is disturbed architecture – Follicular cells
predominantly arranges in micro follicles or trabeculae.
• Cytological preparations typically have high cellularity and scant to
absent colloid
• Cellular crowding and overlapping are conspicuous and follicular
cells are usually larger than normal
• Nuclear pleomorphism, and mitosis are uncommon
• Cases that demonstrate nuclear features of Papillary carcinoma are
excluded from this category
• If sample is cellular and mostly macro follicles benign interpretation
is appropriate
Category V (Suspicious for malignancy)
• If only 1 or 2 characteristics of malignancy are present, if they are
only focal or if sample is sparsely cellular and a malignant diagnosis
cannot be made with certainty
Category VI (Malignant)
• This category is used whenever cytomorphological features are
conclusive for malignancy
• Descriptive comments that follow are used to sub classify
malignancy and to summarize the results of special studies if any
DIAGNOSTIC CATEGORY RISK OF MALIGNANCY USUAL MANAGEMENT
ND/ UNS 1-4 % Repeat FNA with ultrasound
guidance
Benign 0-3 % Clinical Follow up
AUS/ FLUS 5-15% Repeat FNA
FN/ SFN 15-30% Surgical lobectomy
Suspicious for Malignancy 60-75% Near total thyroidectomy /
Surgical lobectomy
Malignant 97-99% Near total thyroidectomy
Bethesda thyroid

Bethesda thyroid

  • 1.
  • 2.
    October 2007 meetingwas organized at National Cancer Institute (NCI), Bethesda, to address the terminology and other issues in thyroid FNA
  • 3.
    Idea behind uniformreporting system • Facilitate effective communication among cytopathologist, radiologist, endocrinologist and surgeon • Facilitate Histocytological correlation for thyroid disease • Facilitate research into epidemiology, molecular biology, pathology and diagnosis of thyroid diseases • Allow easy and reliable sharing of data from different laboratories for national and international collaboration studies
  • 4.
    Format of report •Each report begin with six general categories • Some categories have two alternative names as the consensus was not reached at NCI conference on single name • Each categories has implied cancer risk ( ranging from 0 to 3% for benign categories to virtually 100% for malignant) • Additional descriptive comments beyond such subcategorization are optinal and left to discretion of pathologist
  • 5.
    Recommended diagnostic categories 1.Non Diagnostic or Unsatisfactory (ND/UNS) - Cystic fluid only - Virtually acellular specimen - Other (obscuring blood, clotting artifacts)
  • 6.
    Recommended diagnostic categories 2.Benign - Consistent with benign follicular nodule - Consistent with lymphocytic ( Hashimoto’s thyroiditis) in proper clinical context - Consistent with granulomatous (sub acute) thyroiditis - Others
  • 7.
    Recommended diagnostic categories 3.Atypia of Undetermined significance or Follicular lesion of undermined significance (AUS/FLUS)
  • 8.
    Recommended diagnostic categories 4.Follicular neoplasm or Suspicious for Follicular neoplasm (Specify if Hurthle cell or Oncocytic type)
  • 9.
    Recommended diagnostic categories 5.Suspicious for malignancy - Suspicious for Papillary carcinoma - Suspicious for Medullary carcinoma - Suspicious for Metastatic carcinoma - Suspicious for Lymphoma - Others
  • 10.
    Recommended diagnostic categories 6.Malignant - Papillary thyroid carcinoma - Poorly differentiated carcinoma - Medullary thyroid carcinoma - Undifferentiated ( Anaplastic ) carcinoma - Squamous cell carcinoma - Carcinoma with mixed features - Metastatic carcinoma - Non Hodgkin lymphoma - Others
  • 11.
    CATEGORY I (NonDiagnostic or Unsatisfactory) Causes of Unsatisfactory smears - Obscuring blood - Overly thick smears - Air drying of alcohol fixed smears - Inadequate number of follicular cells
  • 12.
    Criteria for adequacy •At least six groups of benign follicular cells is required with each group composed of at least 10 cells. • Any specimen that contain abundant colloid is considered adequate • When a specific diagnosis (e.g. Lymphocytic thyroiditis) can be given or when there is any atypia specimen is by definition adequate
  • 13.
    • Specimen containingcyst macrophages only are kept under ND/UNS • Unless specified in report specimen is considered adequate
  • 19.
    Category II (Benign) • An adequate cellular specimen composed of varying proportion of colloid and benign follicular cells arranged in macro follicles or macrofollicular fragments are considered as benign follicular nodule • If nodule shows significant growth or suspicious radiological features then, a repeat FNA is considered
  • 20.
    • Other benigncategories include Hashimoto thyroiditis, Granulomatous thyroiditis • Infections, amyloid, black thyroid, reactive changes can be mentioned as descriptive diagnosis
  • 24.
    Category III (AUS/ FLUS) Most common scenarios for this categorization are • Prominent population of micro follicles in an aspirate that does not otherwise fulfill the criteria for follicular neoplasm • Predominance of Hurthle cell in a sparsely cellular smear with scant colloid • Interpretation of follicular cell atypia is hindered by air drying or clotting artifacts
  • 25.
    • A moderatelyor markedly cellular smear consisting of exclusive population of Hurthle cells yet clinical setting suggest a benign Hurthle cell nodule ( Lymphocytic thyroiditis, Multi nodular goiter) • There are focal features suggestive of Papillary carcinoma including nuclear grooves, enlarged nuclei with pale chromatin in an other wise predominantly benign appearing sample. ( these can be cyst lining cells)
  • 26.
    • A minorpopulation of follicular cells may show nuclear enlargement often accompanied by prominent nucleoli (radioactive iodine, carbamizole, cystic degeneration or hemorrhage) • There is atypical lymphoid infiltrate but degree of atypia is not sufficient to categorize it as Suspicious for malignancy
  • 27.
    • It isimportant that only nodules with atypical undetermined significance should be placed in this category • Recognizable benign changes like Hurthle cell change, Black thyroid, Radiation changes should not be classified as AUS • A moderate or markedly cellular specimen without any significant nuclear or architectural atypia does not qualify for AUS
  • 28.
    Category IV (FN/SFN) •Purpose of this category is to identify a nodule that might be a follicular carcinoma and triage it for surgical lobectomy • Term suspicious for Follicular neoplasm is preferred over Follicular neoplasm because a significant proportion of cases prove out to be hyperplastic proliferation of follicular cells, most commonly those of multi nodular goiter. • Hallmark of this category is disturbed architecture – Follicular cells predominantly arranges in micro follicles or trabeculae.
  • 29.
    • Cytological preparationstypically have high cellularity and scant to absent colloid • Cellular crowding and overlapping are conspicuous and follicular cells are usually larger than normal • Nuclear pleomorphism, and mitosis are uncommon • Cases that demonstrate nuclear features of Papillary carcinoma are excluded from this category • If sample is cellular and mostly macro follicles benign interpretation is appropriate
  • 33.
    Category V (Suspiciousfor malignancy) • If only 1 or 2 characteristics of malignancy are present, if they are only focal or if sample is sparsely cellular and a malignant diagnosis cannot be made with certainty
  • 35.
    Category VI (Malignant) •This category is used whenever cytomorphological features are conclusive for malignancy • Descriptive comments that follow are used to sub classify malignancy and to summarize the results of special studies if any
  • 37.
    DIAGNOSTIC CATEGORY RISKOF MALIGNANCY USUAL MANAGEMENT ND/ UNS 1-4 % Repeat FNA with ultrasound guidance Benign 0-3 % Clinical Follow up AUS/ FLUS 5-15% Repeat FNA FN/ SFN 15-30% Surgical lobectomy Suspicious for Malignancy 60-75% Near total thyroidectomy / Surgical lobectomy Malignant 97-99% Near total thyroidectomy