BETHESDA SYSTEM
FOR REPORTING
THYROID
CYTOPATHOLOGY
Guide : Dr Sharada Rane
PG : Dr Gourav
Agrawal
Introduction
☛Bethesda System for Reporting
Thyroid Cytopathology (BSRTC)
recommends that each thyroid FNA
report should begin with a general
diagnostic category.
☛The motive behind is to bring clarity
of communication amongst
pathologists and amongst
pathologist and clinicians.
1. Nondiagnostic or Unsatisfactory
2. Benign
3. Atypia of Undetermined Significance or
Follicular Lesion of Undetermined
Significance
4. Follicular Neoplasm or Suspicious for a
Follicular Neoplasm
5. Suspicious for Malignancy
6. Malignant
Category I
Nondiagnostic or
Unsatisfactory
☛Fewer than six groups of well-
preserved, well-stained follicular cell
groups with ten cells each
☛Poorly prepared, poorly stained, or
obscured follicular cells
☛Cyst fluid, with or without histiocytes,
and fewer than six groups of ten
benign follicular cells
Nondiagnostic (cyst fluid only). Abundant hemosiderin-laden
macrophages
Nondiagnostic. The smear shows abundant red cells, with rare
lymphocytes
Nondiagnostic. Extensive air-drying artifact in this alcohol-fixed
smear
Exceptions
1. Solid nodules with cytologic atypia
• Any significant atypia has to be reported
• Minimum number of cells not required
2. Solid nodules with inflammation
• Thyroiditis may show only infammatory
cells
• Minimum number of cells not required
3. Colloid nodules
• Minimum number of cells is not
required if easily-identifiable colloid
Category II
Benign
Benign Follicular Nodules (BFNs)
● nodules in nodular goiter (NG)
● hyperplastic (adenomatoid) nodules
● colloid nodules
● nodules in Graves’ disease
● subset of follicular adenomas (those of
macrofollicular type)
Thyroiditis
● Lymphocytic, Acute, Sub-acute, Riedel’s
Benign Follicular Nodule
☛ Colloid
● dark blue-violet-magenta with
Romanowsky
● green to orange-pink with
Papanicolaou
● Thin colloid - “thin membrane/cellophane”
or “crazy pavement” or “chicken wire”
or mosaic appearance
● Dense colloid - hyaline quality and shows
cracks
☛ Follicular cells - arranged predominantly in
monolayered sheets and are evenly spaced
BFN : Watery colloid has a light green-pink color and shows a
“thin membrane/cellophane coating” appearance
Benign follicular nodule: Thick colloid demonstrates
a “stained glass cracking” appearance
BFN : Predominantly monolayered sheets of follicular cells are
admixed with occasional pigment-laden macrophages
Grave’s Disease
☛ Lymphocytes may be seen in the
background.
☛ Follicular cells are arranged in flat sheets
and loosely cohesive groups, with
abundant delicate, foamy cytoplasm.
☛ Nuclei are often enlarged, vesicular, and
show prominent nucleoli.
☛ Few microfollicles may be observed.
☛ Distinctive flame cells may be prominent,
and are represented by marginal
cytoplasmic vacuoles with red to pink
Large monolayered sheets of cells have abundant cytoplasm. Flame cells
are distinctive, with marginal cytoplasmic vacuoles with red to pink
Hashimoto’s Thyroiditis
☛ Usually hypercellular, but does not require
a minimum number of follicular/Hürthle
cells for adequacy.
☛ The lymphoid population is polymorphic,
including small mature lymphocytes,
larger reactive lymphoid cells, and
occasional plasma cells.
☛ Hürthle cells (oncocytes), when present,
are arranged in sheets or as isolated cells.
They have abundant granular cytoplasm,
large nuclei, and prominent nucleoli
Lymphocytic (Hashimoto’s) thyroiditis. There is a mixed population
of Hürthle cells and polymorphic lymphocytes
Granulomatous/de Quervain’s
thyroiditis
☛ Clusters of epithelioid histiocytes, i.e.,
granulomas, are present along with many
multinucleated giant cells.
☛ Early stage - many neutrophils and
eosinophils, similar to acute thyroiditis.
☛ Late stages - smears are hypocellular. They
show giant cells surrounding and
engulfing colloid, epithelioid cells,
lymphocytes, macrophages, and scant
degenerated follicular cells
Granulomatous (de Quervains) thyroiditis. Epithelioid granulomas, mixed
inflammatory cells, and benign follicular cells are present. Macrophage with
Acute thyroiditis
☛ Numerous neutrophils are associated with
necrosis, fibrin, macrophages and blood.
☛ There are scant reactive follicular cells and
limited to absent colloid.
☛ Bacterial or fungal organisms are
occasionally seen in the background
especially in immunocompromised
patients.
Acute thyroiditis. There are numerous neutrophils, macrophages,
and inflammatory debris
Riedel’s Thyroiditis
☛The thyroid gland feels stony hard on
palpation.
☛The preparations are often acellular.
☛Collagen strands and bland spindle cells
may be present.
☛There are rare chronic inflammatory
cells.
☛Colloid and follicular cells are usually
absent
Riedel´s thyroiditis. The hypocellular smear contains
scattered bland spindle cells and rare chronic inflammatory cells
Category III
Atypia of Undetermined
Significance/Follicular
Lesion of Undetermined
Significance
☛ specimens that contain cells
(follicular, lymphoid, or other) with
architectural and/or nuclear atypia
that is not sufficient to be classified
as suspicious for a follicular
neoplasm, suspicious for malignancy
or malignant
☛ On the other hand, the atypia is
more marked than can be ascribed
confidently to benign changes
Examples :
☛ Predominance of Hürthle cells in a sparsely
cellular aspirate with scant colloid
☛Focal features suggestive of papillary
carcinoma in an otherwise predominantly
benign-appearing sample
☛Cyst-lining cells which may appear atypical
due to nuclear features in an otherwise
predominantly benign-appearing sample.
☛Atypical lymphoid infiltrate but the degree
of atypia is insufficient for the general
category “suspicious for malignancy.”
AUS. Sparsely cellular specimen with a predominance of
microfollicles. Inset : high magnification of a microfollicle
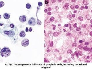
AUS (a) heterogeneous infiltrate of lymphoid cells, including occasional
atypical
Category IV
Follicular Neoplasm/Suspicious
for a Follicular Neoplasm
Follicular Neoplasm, Hürthle Cell
Type/Suspicious for a Follicular
Neoplasm, Hürthle Cell Type
☛ Significant alteration in the follicular cell
architecture, characterized by cell crowding,
microfollicles, and dispersed isolated cells.
☛ Follicular cells are normal-sized or enlarged
and relatively uniform, with scant or
moderate amounts of cytoplasm.
☛ Nuclei are round and slightly
hyperchromatic, with inconspicuous nucleoli
☛ Colloid is scant or absent.
Follicular Neoplasm/Suspicious
for a Follicular Neoplasm
Highly cellular aspirate composed of uniform follicular cells arranged
in crowded clusters and microfollicles
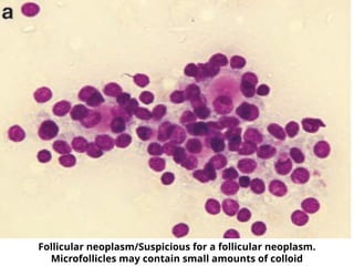
Follicular neoplasm/Suspicious for a follicular neoplasm.
Microfollicles may contain small amounts of colloid
Follicular Neoplasm, Hürthle Cell
Type/Suspicious for a Follicular
Neoplasm, Hürthle Cell Type
☛ Exclusively (or almost exclusively)
Hurthle cells
☛ abundant finely granular cytoplasm
☛ enlarged, central or eccentrically located,
round nucleus with prominent nucleolus
The aspirate is very cellular and consists of Hürthle cells of variable
size arranged as isolated cells and in crowded groups; colloid is absent
The aspirate consists of a population of loosely cohesive Hürthle cells.
The cells are highly variable in size and amount of cytoplasm
Category V
Suspicious for
Malignancy
Sub-categories
☛ Suspicious for Papillary Carcinoma
• Pattern A - Patchy nuclear changes
pattern
• Pattern B - Incomplete nuclear changes
pattern
• Pattern C - Sparsely cellular specimen
pattern
• Pattern D - Cystic Degeneration pattern
☛ Suspicious for Medullary Carcinoma
☛ Suspicious for Lymphoma
☛ Suspicious for malignancy, not
The aspirate consists of a population of loosely cohesive Hürthle cells.
The cells are highly variable in size and amount of cytoplasm
The aspirate consists of a population of loosely cohesive Hürthle cells.
The cells are highly variable in size and amount of cytoplasm
Category V
Malignant
Sub-categories
☛ Papillary Thyroid Carcinoma
☛ Medullary Thyroid Carcinoma
☛ Poorly differentiated Thyroid
Carcinoma
☛ Undifferentiated (Anaplastic)
Carcinoma and Squamous Cell
Carcinoma of the Thyroid
☛ Metastatic tumors and lymphoma
Papillary Carcinoma
Thyroid
☛ Follicular cells are arranged in papillae
and/or syncytial-like monolayers.
☛ Swirling sheets (“onion-skin”) sometimes
seen.
☛ Characteristic nuclear features:
• Enlarged nuclei
• Oval or irregularly shaped, with marked
overlapping.
• Longitudinal nuclear grooves
• Intranuclear cytoplasmic pseudoinclusions
(INCI)
• Pale nuclei with powdery chromatin (“Orphan
Papillary Carcinoma Thyroid
☛ Psammoma bodies are sometimes
present.
☛ Multinucleated giant cells are
common.
☛ The amount of colloid is variable and
may be stringy, ropy, or “bubble-gum”
like.
☛ Hürthle cell (oncocytic) metaplasia is
sometimes seen.
Papillary Thyroid Carcinoma. There is a mix of flat sheets and
rounded, papillary-like fragments without fibrovascular cores
Papillary thyroid carcinoma. There is marked crowding of the
neoplastic
PTC. Large sheet of tumor cells with crowded, “Orphan Annie eye”
nuclei.
Medullary Thyroid Carcinoma
☛ Moderate to marked cellularity.
☛ Numerous isolated cells alternate with
syncytial-like clusters in variable proportions
from case to case.
☛ Cells are plasmacytoid, polygonal, round,
and/or spindle-shaped, with moderate to
abundant cytoplasm, eccentric nucleus and
smudged chromatin
☛ The neoplastic cells usually show only mild
to moderate pleomorphism.
☛ Fragments of amorphous material - colloid
versus amyloid.
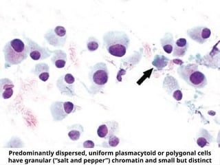
Predominantly dispersed, uniform plasmacytoid or polygonal cells
have granular (“salt and pepper”) chromatin and small but distinct
Medullary thyroid carcinoma. Amyloid is abundant and readily
appreciated in some cases
Poorly Differentiated Thyroid
Carcinoma
☛ Cellular preparations display an insular,
solid, or trabecular cytoarchitecture
☛ There is a uniform population of
follicular cells with scant cytoplasm
(sometimes plasmacytoid)
☛ The malignant cells have a high
nuclear/cytoplasmic (N/C) ratio with
variable nuclear atypia
☛ Apoptosis and mitotic activity are
present
Poorly differentiated thyroid carcinoma. Aspirates show marked
pleomorphism which are mitotically active.
Poorly differentiated thyroid carcinoma.
Aspirates exhibit marked nuclear atypia with impressive
Undifferentiated (Anaplastic)
Carcinoma and Squamous Cell
Carcinoma of the Thyroid
Undifferentiated (Anaplastic)
Carcinoma
☛ Neoplastic cells are arranged as isolated
cells and/or in variably sized groups.
☛ Neoplastic cells are epithelioid (round to
polygonal) and/or spindle-shaped and
range in size from small to giant-sized.
“Plasmacytoid” and “rhabdoid” cell shapes
☛ Nuclei show enlargement, irregularity,
pleomorphism, clumping of chromatin
with parachromatin clearing, prominent
irregular nucleoli, intranuclear inclusions,
eccentric nuclear placement, and
multinucleation.
☛ Necrosis, extensive inflammation
(predominantly neutrophils, “abscess-like”)
and/or fibrous connective tissue may be
present.
☛ Osteoclast-like giant cells (non-neoplastic)
are conspicuous in some cases.
☛ Neutrophilic infiltration of tumor cell
cytoplasm can be seen.
Cells are epithelioid (polygonal) in appearance. Variation in cell and
nuclear size is evident.
Squamous Cell Carcinoma
☛ Cytologic samples are composed
almost exclusively of large,
pleomorphic keratinized cells.
☛ Necrosis may be present.
Large pleomorphic cells with dense cytoplasm. There is abundant
necrosis, and nuclei show degenerative changes
Sample Reports – Nondiagnostic or
Unsatisfactory
Sample Reports – Benign
Sample Reports – Atypia of Undetermined
Significance
Sample Reports – Follicular Neoplasm/
Suspicious for a Follicular
Neoplasm
Sample Reports – Suspicious for a
Malignancy
Sample Reports – Malignant
1. Nondiagnostic or Unsatisfactory
2. Benign
3. Atypia of Undetermined Significance or
Follicular Lesion of Undetermined Significance
4. Follicular Neoplasm or Suspicious for a
Follicular Neoplasm
5. Suspicious for Malignancy
6. Malignant
THANK
U
BSRTC

Bethesda system for reporting thyroid malignancy

  • 1.
    BETHESDA SYSTEM FOR REPORTING THYROID CYTOPATHOLOGY Guide: Dr Sharada Rane PG : Dr Gourav Agrawal
  • 2.
    Introduction ☛Bethesda System forReporting Thyroid Cytopathology (BSRTC) recommends that each thyroid FNA report should begin with a general diagnostic category. ☛The motive behind is to bring clarity of communication amongst pathologists and amongst pathologist and clinicians.
  • 3.
    1. Nondiagnostic orUnsatisfactory 2. Benign 3. Atypia of Undetermined Significance or Follicular Lesion of Undetermined Significance 4. Follicular Neoplasm or Suspicious for a Follicular Neoplasm 5. Suspicious for Malignancy 6. Malignant
  • 4.
  • 5.
    ☛Fewer than sixgroups of well- preserved, well-stained follicular cell groups with ten cells each ☛Poorly prepared, poorly stained, or obscured follicular cells ☛Cyst fluid, with or without histiocytes, and fewer than six groups of ten benign follicular cells
  • 6.
    Nondiagnostic (cyst fluidonly). Abundant hemosiderin-laden macrophages
  • 7.
    Nondiagnostic. The smearshows abundant red cells, with rare lymphocytes
  • 8.
    Nondiagnostic. Extensive air-dryingartifact in this alcohol-fixed smear
  • 9.
    Exceptions 1. Solid noduleswith cytologic atypia • Any significant atypia has to be reported • Minimum number of cells not required 2. Solid nodules with inflammation • Thyroiditis may show only infammatory cells • Minimum number of cells not required 3. Colloid nodules • Minimum number of cells is not required if easily-identifiable colloid
  • 10.
  • 11.
    Benign Follicular Nodules(BFNs) ● nodules in nodular goiter (NG) ● hyperplastic (adenomatoid) nodules ● colloid nodules ● nodules in Graves’ disease ● subset of follicular adenomas (those of macrofollicular type) Thyroiditis ● Lymphocytic, Acute, Sub-acute, Riedel’s
  • 12.
    Benign Follicular Nodule ☛Colloid ● dark blue-violet-magenta with Romanowsky ● green to orange-pink with Papanicolaou ● Thin colloid - “thin membrane/cellophane” or “crazy pavement” or “chicken wire” or mosaic appearance ● Dense colloid - hyaline quality and shows cracks ☛ Follicular cells - arranged predominantly in monolayered sheets and are evenly spaced
  • 13.
    BFN : Waterycolloid has a light green-pink color and shows a “thin membrane/cellophane coating” appearance
  • 14.
    Benign follicular nodule:Thick colloid demonstrates a “stained glass cracking” appearance
  • 15.
    BFN : Predominantlymonolayered sheets of follicular cells are admixed with occasional pigment-laden macrophages
  • 16.
    Grave’s Disease ☛ Lymphocytesmay be seen in the background. ☛ Follicular cells are arranged in flat sheets and loosely cohesive groups, with abundant delicate, foamy cytoplasm. ☛ Nuclei are often enlarged, vesicular, and show prominent nucleoli. ☛ Few microfollicles may be observed. ☛ Distinctive flame cells may be prominent, and are represented by marginal cytoplasmic vacuoles with red to pink
  • 17.
    Large monolayered sheetsof cells have abundant cytoplasm. Flame cells are distinctive, with marginal cytoplasmic vacuoles with red to pink
  • 18.
    Hashimoto’s Thyroiditis ☛ Usuallyhypercellular, but does not require a minimum number of follicular/Hürthle cells for adequacy. ☛ The lymphoid population is polymorphic, including small mature lymphocytes, larger reactive lymphoid cells, and occasional plasma cells. ☛ Hürthle cells (oncocytes), when present, are arranged in sheets or as isolated cells. They have abundant granular cytoplasm, large nuclei, and prominent nucleoli
  • 19.
    Lymphocytic (Hashimoto’s) thyroiditis.There is a mixed population of Hürthle cells and polymorphic lymphocytes
  • 20.
    Granulomatous/de Quervain’s thyroiditis ☛ Clustersof epithelioid histiocytes, i.e., granulomas, are present along with many multinucleated giant cells. ☛ Early stage - many neutrophils and eosinophils, similar to acute thyroiditis. ☛ Late stages - smears are hypocellular. They show giant cells surrounding and engulfing colloid, epithelioid cells, lymphocytes, macrophages, and scant degenerated follicular cells
  • 21.
    Granulomatous (de Quervains)thyroiditis. Epithelioid granulomas, mixed inflammatory cells, and benign follicular cells are present. Macrophage with
  • 22.
    Acute thyroiditis ☛ Numerousneutrophils are associated with necrosis, fibrin, macrophages and blood. ☛ There are scant reactive follicular cells and limited to absent colloid. ☛ Bacterial or fungal organisms are occasionally seen in the background especially in immunocompromised patients.
  • 23.
    Acute thyroiditis. Thereare numerous neutrophils, macrophages, and inflammatory debris
  • 24.
    Riedel’s Thyroiditis ☛The thyroidgland feels stony hard on palpation. ☛The preparations are often acellular. ☛Collagen strands and bland spindle cells may be present. ☛There are rare chronic inflammatory cells. ☛Colloid and follicular cells are usually absent
  • 25.
    Riedel´s thyroiditis. Thehypocellular smear contains scattered bland spindle cells and rare chronic inflammatory cells
  • 26.
    Category III Atypia ofUndetermined Significance/Follicular Lesion of Undetermined Significance
  • 27.
    ☛ specimens thatcontain cells (follicular, lymphoid, or other) with architectural and/or nuclear atypia that is not sufficient to be classified as suspicious for a follicular neoplasm, suspicious for malignancy or malignant ☛ On the other hand, the atypia is more marked than can be ascribed confidently to benign changes
  • 28.
    Examples : ☛ Predominanceof Hürthle cells in a sparsely cellular aspirate with scant colloid ☛Focal features suggestive of papillary carcinoma in an otherwise predominantly benign-appearing sample ☛Cyst-lining cells which may appear atypical due to nuclear features in an otherwise predominantly benign-appearing sample. ☛Atypical lymphoid infiltrate but the degree of atypia is insufficient for the general category “suspicious for malignancy.”
  • 29.
    AUS. Sparsely cellularspecimen with a predominance of microfollicles. Inset : high magnification of a microfollicle
  • 30.
    AUS (a) heterogeneousinfiltrate of lymphoid cells, including occasional atypical
  • 31.
    Category IV Follicular Neoplasm/Suspicious fora Follicular Neoplasm Follicular Neoplasm, Hürthle Cell Type/Suspicious for a Follicular Neoplasm, Hürthle Cell Type
  • 32.
    ☛ Significant alterationin the follicular cell architecture, characterized by cell crowding, microfollicles, and dispersed isolated cells. ☛ Follicular cells are normal-sized or enlarged and relatively uniform, with scant or moderate amounts of cytoplasm. ☛ Nuclei are round and slightly hyperchromatic, with inconspicuous nucleoli ☛ Colloid is scant or absent. Follicular Neoplasm/Suspicious for a Follicular Neoplasm
  • 33.
    Highly cellular aspiratecomposed of uniform follicular cells arranged in crowded clusters and microfollicles
  • 34.
    Follicular neoplasm/Suspicious fora follicular neoplasm. Microfollicles may contain small amounts of colloid
  • 35.
    Follicular Neoplasm, HürthleCell Type/Suspicious for a Follicular Neoplasm, Hürthle Cell Type ☛ Exclusively (or almost exclusively) Hurthle cells ☛ abundant finely granular cytoplasm ☛ enlarged, central or eccentrically located, round nucleus with prominent nucleolus
  • 36.
    The aspirate isvery cellular and consists of Hürthle cells of variable size arranged as isolated cells and in crowded groups; colloid is absent
  • 37.
    The aspirate consistsof a population of loosely cohesive Hürthle cells. The cells are highly variable in size and amount of cytoplasm
  • 38.
  • 39.
    Sub-categories ☛ Suspicious forPapillary Carcinoma • Pattern A - Patchy nuclear changes pattern • Pattern B - Incomplete nuclear changes pattern • Pattern C - Sparsely cellular specimen pattern • Pattern D - Cystic Degeneration pattern ☛ Suspicious for Medullary Carcinoma ☛ Suspicious for Lymphoma ☛ Suspicious for malignancy, not
  • 40.
    The aspirate consistsof a population of loosely cohesive Hürthle cells. The cells are highly variable in size and amount of cytoplasm
  • 41.
    The aspirate consistsof a population of loosely cohesive Hürthle cells. The cells are highly variable in size and amount of cytoplasm
  • 42.
  • 43.
    Sub-categories ☛ Papillary ThyroidCarcinoma ☛ Medullary Thyroid Carcinoma ☛ Poorly differentiated Thyroid Carcinoma ☛ Undifferentiated (Anaplastic) Carcinoma and Squamous Cell Carcinoma of the Thyroid ☛ Metastatic tumors and lymphoma
  • 44.
    Papillary Carcinoma Thyroid ☛ Follicularcells are arranged in papillae and/or syncytial-like monolayers. ☛ Swirling sheets (“onion-skin”) sometimes seen. ☛ Characteristic nuclear features: • Enlarged nuclei • Oval or irregularly shaped, with marked overlapping. • Longitudinal nuclear grooves • Intranuclear cytoplasmic pseudoinclusions (INCI) • Pale nuclei with powdery chromatin (“Orphan
  • 45.
    Papillary Carcinoma Thyroid ☛Psammoma bodies are sometimes present. ☛ Multinucleated giant cells are common. ☛ The amount of colloid is variable and may be stringy, ropy, or “bubble-gum” like. ☛ Hürthle cell (oncocytic) metaplasia is sometimes seen.
  • 46.
    Papillary Thyroid Carcinoma.There is a mix of flat sheets and rounded, papillary-like fragments without fibrovascular cores
  • 47.
    Papillary thyroid carcinoma.There is marked crowding of the neoplastic
  • 48.
    PTC. Large sheetof tumor cells with crowded, “Orphan Annie eye” nuclei.
  • 49.
    Medullary Thyroid Carcinoma ☛Moderate to marked cellularity. ☛ Numerous isolated cells alternate with syncytial-like clusters in variable proportions from case to case. ☛ Cells are plasmacytoid, polygonal, round, and/or spindle-shaped, with moderate to abundant cytoplasm, eccentric nucleus and smudged chromatin ☛ The neoplastic cells usually show only mild to moderate pleomorphism. ☛ Fragments of amorphous material - colloid versus amyloid.
  • 50.
    Predominantly dispersed, uniformplasmacytoid or polygonal cells have granular (“salt and pepper”) chromatin and small but distinct
  • 51.
    Medullary thyroid carcinoma.Amyloid is abundant and readily appreciated in some cases
  • 52.
    Poorly Differentiated Thyroid Carcinoma ☛Cellular preparations display an insular, solid, or trabecular cytoarchitecture ☛ There is a uniform population of follicular cells with scant cytoplasm (sometimes plasmacytoid) ☛ The malignant cells have a high nuclear/cytoplasmic (N/C) ratio with variable nuclear atypia ☛ Apoptosis and mitotic activity are present
  • 53.
    Poorly differentiated thyroidcarcinoma. Aspirates show marked pleomorphism which are mitotically active.
  • 54.
    Poorly differentiated thyroidcarcinoma. Aspirates exhibit marked nuclear atypia with impressive
  • 55.
    Undifferentiated (Anaplastic) Carcinoma andSquamous Cell Carcinoma of the Thyroid Undifferentiated (Anaplastic) Carcinoma ☛ Neoplastic cells are arranged as isolated cells and/or in variably sized groups. ☛ Neoplastic cells are epithelioid (round to polygonal) and/or spindle-shaped and range in size from small to giant-sized. “Plasmacytoid” and “rhabdoid” cell shapes
  • 56.
    ☛ Nuclei showenlargement, irregularity, pleomorphism, clumping of chromatin with parachromatin clearing, prominent irregular nucleoli, intranuclear inclusions, eccentric nuclear placement, and multinucleation. ☛ Necrosis, extensive inflammation (predominantly neutrophils, “abscess-like”) and/or fibrous connective tissue may be present. ☛ Osteoclast-like giant cells (non-neoplastic) are conspicuous in some cases. ☛ Neutrophilic infiltration of tumor cell cytoplasm can be seen.
  • 57.
    Cells are epithelioid(polygonal) in appearance. Variation in cell and nuclear size is evident.
  • 58.
    Squamous Cell Carcinoma ☛Cytologic samples are composed almost exclusively of large, pleomorphic keratinized cells. ☛ Necrosis may be present.
  • 59.
    Large pleomorphic cellswith dense cytoplasm. There is abundant necrosis, and nuclei show degenerative changes
  • 60.
    Sample Reports –Nondiagnostic or Unsatisfactory
  • 61.
  • 62.
    Sample Reports –Atypia of Undetermined Significance
  • 63.
    Sample Reports –Follicular Neoplasm/ Suspicious for a Follicular Neoplasm
  • 64.
    Sample Reports –Suspicious for a Malignancy
  • 65.
  • 66.
    1. Nondiagnostic orUnsatisfactory 2. Benign 3. Atypia of Undetermined Significance or Follicular Lesion of Undetermined Significance 4. Follicular Neoplasm or Suspicious for a Follicular Neoplasm 5. Suspicious for Malignancy 6. Malignant THANK U BSRTC