MANAGEMENT OF BACTERIAL
 MENINGITIS in children.




                Dr. Arun K. M
                        JR III
                     IMS.BHU
                   VARANASI
                           Page 1
DEFINITIONS:
• BACTERIAL MENINGITIS (BM): An acute purulent
  infection of the cranial and spinal leptomeninges due to
  bacterial etiology.
• ENCEPHALITIS: Inflammation of the brain parenchyma.
• MENINGOENCEPHALITIS: Inflammation of the
  leptomeninges and the brain parenchyma.
• ASEPTIC MENINGITIS: Refers to CSF findings consistent
  with leptomeningeal inflammation but routine bacterial culture
  are negative.



                                                          Page 2
INTRODUCTION:
• Bacterial meningitis remains a major cause of mortality and neurological
  sequelae worldwide. In India and other developing countries the
  mortality rate ranges from 16-32%.
• The community incidence of acute BM in India is not known. The exact
  etiological diagnosis is often not possible. There are limited studies from
  India regarding the etiology and epidemiological factors associated with
  BM.
• Delay in diagnosis and initiation of antimicrobial therapy can result in
  poor outcome. Since clinical signs of meningitis cannot always be relied
  upon, laboratory support is imperative to achieve an early diagnosis.
• Due to emergence of antimicrobial resistance recommendations for
  therapy are changing.
• Laboratory surveillance of isolates is crucial to identify for
  immunization, chart preventive strategies and to help formulate rational
  empirical treatment for potentially fatal BM.

                                                                    Page 3
ETIOLOGY: The etiology of BM is affected most by the age of
   the patient.
Neonate:Early-onset acquisition   S.
                                  agalactiae, E.coli, K.pneumoniae, Enterococci,
                                  L. monocytogenes

Neonate:Late-onset infection      S. aureus, Gram-negative enteric bacilli,
                                  P. aeruginosa
Age: 1–3 months                   Same as early-onset in neonate + S.pneumoniae,
                                  N. meningitidis, and H.influenzae type b.


Age: 3 months to 5 years          S. pneumoniae, N. meningitidis and H.
                                  influenzae type b.

Age: >5 years children and adults S. pneumoniae and N. meningitidis.

                                                                          Page 4
RISK FACTORS:
A major risk factor for BM is the lack of immunity to specific
pathogens associated with young age.

        PRECIPATING FACTORS                         ORGANISMS
     Defects of complement system(C5-    Meningococcus
     C8) and properdin system

     Splenic dysfunction or asplenia     Pneumococcus, H.influenzae type b.

     T-Lymphocyte defect(aids, cancer,   Listeria monocytogenes
     chemotherapy and congenital)

     CSF leak and cochlear implants      Pneumococcus

     Lumbosacral dermal sinus and        Staph. aureus, Gram negative entric
     meningomyelocele                    bacilli e.g: E.coli, Klebsiella etc.

     CSF shunts                          Coagulase negative Staphylococci,
                                         Staph. aureus.
                                                                       Page 5
PATHOGENISIS AND PATHOPHYSIOLOGY:
• Bacteria reach the CNS either by hematogenous spread or by
  direct extension from a contiguous site.
• In neonates, pathogens are acquired from non- sterile maternal
  genital and intestinal secretions.
• Direct inoculation of bacteria into the CNS can result from
  trauma, skull defects with CSF leaks, congenital dura defects
  such as a dermal sinuses or meningomyelocele, or extension
  from a suppurative parameningeal focus.



                                                          Page 6
Bacteraemia         Endothelial damage                 Bacteria in CSF



                         Pro-inflammatory cytokines




Permeability of           Leucocyte attraction and CSF                   Cerebral
blood-brain barrier     entrance: meningeal inflammation                 vasculitis




      Vasogenic edema      Interstitial edema         Cytotoxic edema                  Cerebral blood
                                                                                      flow: Ischaemia



                               Intracranial
                                 pressure



          Bloodstream        Global perfusion                    Release of
           volaemia                                           excitatory amino
                                                              acidsaminoacids



                              Neuronal injury
                                apoptosis
                                                                                                 Page 7
CLINICAL FEATURES:
• Manifestations of BM depend on the age of the patient and
  duration of disease.
• In general, the younger the patient the more subtle and atypical
  are the signs and symptoms.
• Onset of acute BM has two forms :
   i. The sudden onset rapidly progressive manifestation of shock,
        purpura, DIC, reduced level of consciousness leading to death
        in 24hrs.
   ii. Common form with-
       a. Non specific findings- fever(84%),
            headache(76%),vomiting(70%), anorexia(19%) , poor
            feeding, symptoms of URTI, myalgia, arthralgia,
            tachycardia, petechiae, rash etc.
       b. Alteration in mental status like irritability, lethargy,
            stupor or coma(5%).                                 Page 8
c. Seizure (20-30%): focal or generalised and as result of cerebritis,
   infarction or electrolyte disturbance.
d. Signs of meningeal irritation(59%)- neck stiffness(65%),
   kernigs sign(27%) and brudzinski sign(51%).
e. Signs of increased ICT include headache, projectile vomiting,
   reduced (GCS≤8) or fluctuating level of conciousness, abducent
   nerve palsy, cushing’s reflex, un-equal dilated pupils,
   papilloedema, decorticate or decerebrate posturing, stupor, coma,
   signs of herniation.
g. Cranial neuropathy- Most common cranial nerves involved
   include 3rd, 6th, 7th and 8th.
h. Focal cerebral signs (20%) - due to cortical necrosis, occlusive
   vasculitis, cerebritis, abscess.



                                                              Page 9
NEONATES
  a) Neonates and infants have nonspecific signs like
     fever, hypothermia, irritability, lethargy and feeding difficulty.
  b) Neurologic signs- Excited or depressed and bulging
     fontanel. Minor convulsions present as blinking eyes, fixed
     stare, facial twitching and sucking.

 No clinical feature is diagnostic in isolation, and the most
 accurate combination of clinical features to rise or lower suspicion
 of meningitis is still unclear.
                                    Pediatrics 2010; 126:952-960.




                                                               Page 10
MANAGEMENT OF BACTERIAL MENINGITIS:
                                                       Symptoms and signs of BM
                                                                      YES

                                                       Check airway, breathing &circulation; gain vascular access

                         YES
Manage accordingly
                                                            Signs of shock and raised ICP
                                                                     NO

                                                   Perform diagnostic tests
                                                                               NO
                                        Contraindication to LP                               Perform LP
                                                      YES
                                                                              YES
                                             <3 months old ?                                          CSF s/o meningitis

                                       YES                                     NO


   Empiric antibiotics for suspected                                                               Empiric antibiotic for suspected
              meningitis:                               Do not delay antibiotic                    meningitis : i.v Cefetriaxone.
    i.v Cefotaxime + iv ampicillin                                                                      No role of steroids.




                                Add vancomycin, if prolonged Or multiple antibiotic exposure within last 3
                               months

                        If HSV meningoencephalitis in differential diagnosis give i.v acyclovir



                                                                 Cont’d                                                    Page 11
Reduced or fluctuating conscious level or focal neurological signs


                             NO                                                                    YES


        Full volume maintenance fluid [Isotonic fluid-DNS or NS].                          Perform CT scan

 Do not restrict fluid unless there is SIADH or raised ICT.

 Monitor fluid administration, urine output,electrolytes and blood
glucose.


         Close monitoring for signs of raised ICP ,shock and repeated review.

  If LP contra-indicated, perform delayed LP when no longer contra-
 indicated.


                                                   Specific pathogen identified

                                       YES                                                   NO



          Antibiotics for confirmed meningitis.                                  Antibiotics for unconfirmed
                                                                                          meningitis.


                                                                                      <3 months old?


                                                                                                                     NO
                                                  YES


                                  i.v cefotaxime + ampicillin i.v for ≥14 days               Ceftriaxone ≥ 10 days
                                                                                                                          Page 12
Initial management:
    • Check airway, breathing, circulation, disability (level of
      consciousness) and environment (presence of rash, temperature
      control).
    • Elective intubation and ventilation if necessary.
    • If signs of shock present manage accordingly with normal
      saline boluses and vasopressor support.
    • Seizures managed with anticonvulsants like phenytoin and
      midazolam.
    • After the patient has been stabilised further examination and
      diagnostic tests performed.




                                                            Page 13
Management of raised ICP.
• Early intubation if; GCS <8, Evidence of herniation, Apnea,
  Inability to maintain airway.
• Mild head elevation of 15–30 (Ensure that the child is
  euvolemic).
• Hyperventilation: Target PaCO2: 30–35 mm Hg (suited for acute,
  sharp increases in ICP or signs of impending herniation).
• Mannitol: Initial bolus: 0.25–1 g/kg, then 0.25–0.5 g/kg, q 2–6 h
  as per requirement, up to 48 hrs.
• Hypertonic Saline: Preferable in presence of Hypotension,
  Hypovolemia, Serum osmolality >320 mOsm/kg, Renal failure,
  Dose: 0.1–1 ml/kg/hr infusion, Target Na+−145–155 meq/L.



                                                            Page 14
• Adequate sedation and analgesia.
• Prevention and treatment of seizures: use Lorazepam or
  midazolam followed by phenytoin as initial choice.
• Avoid noxious stimuli: use lignocaine prior to ET suctioning
  [nebulized (4% lidocaine mixed in 0.9% saline) or intravenous
  (1–2 mg/kg as 1% solution) given 90 sec prior to suctioning].
• Control fever: antipyretics, cooling measures.
• Maintenance IV Fluids: Only isotonic or hypertonic fluids
  (Ringer lactate, 0.9% Saline, 5% D in 0.9% NS), No
  Hypotonic fluids.
• Maintain blood sugar: 80–120 mg/dL.
• Refractory raised ICP - Barbiturate coma, Hypothermia and
  Decompressive craniectomy.
                                                          Page 15
Routine investigations:
• Complete blood count: Neutrophilia suggestive of bacterial
  infection.
• Serum glucose: Often low; allows interpretation of CSF glucose.
• Electrolytes, urea, and creatinine :To assess for complications and
  fluid management.
• Coagulation studies: To assess for complications.
• Blood cultures: Positive in 40–90% depending on the organism.
• Inflammatory markers(CRP and procalcitonin): Elevation
  suggestive of bacterial infection; procalcitonin(≥5ng/mL) of more
  value; neither can establish nor exclude diagnosis.



                                                              Page 16
CEREBROSPINAL FLUID EXAMINATION.
• CSF analysis and culture remains the definitive method for
  diagnosis of BM.
• Lumbar puncture (LP) should be performed when BM is
  suspected. In neonates, meningitis accompanies sepsis in 20-25%
  of cases so procedure to be considered.
• If LP is delayed empirical antibiotic should be started within 1hr.
• Contraindications to LP:
  a. Absolute (lumbar puncture is not to be done)
     i. Signs of raised intracranial pressure (papilloedema, decrebrate
  posturing)
    ii. Local skin infection at the LP site.
    iii. Evidence of obstructive hydrocephalus, cerebral oedema or
  herniation in CT (or MR) scan of brain
                                                               Page 17
b. Relative (appropriate therapeutic measures and/or investigations
   are indicated before lumbar puncture)
   i. Shock or hypotension
   ii. Coagulation disorder
   iii. Presence of focal neurological deficit, especially when
   posterior fossa lesion is suspected.
   iv. Glasgow coma score of 8 or less.
   v. Continuing seizure activity.
NORMAL CSF VALUES
                                Neonate                   Child
Total WBC (mm3)                   ≤20                       <5
DLC-NEUTROPHILS                 Up to 5%                   none
Protein (mg/dL)                 <100                      10-40
Glucose (mmol/L)                  ≥2.1                     ≥2.5
CSF/serum glucose               ≥0.6                       ≥0.6

                                                             Page 18
Typical CSF Parameters in Patients with Meningitis

Pathogen             White blood Percentage      Glucose Protein level   Positive CSF stain
                     cells per μL of             level   in mg per dL
                                  neutrophils

Pyogenic             > 500         > 85-90       Low      > 100-200      ~70 percent

L. monocytogenes > 100             >50           Normal   > 50           ~30 percent

Partially treated    > 100         >80           Normal   > 70           ~60 percent
pyogenic


Aseptic, often       10 to 1,000   Early: > 50   Normal   Normal or <    Not applicable
viral                              Late: < 20             100


Tubercular           50 to 500     < 30          Low      > 100          Rare

Fungal               50 to 500     < 30          Low      Varies         High in
                                                                         cryptococcus
CSF = cerebrospinal fluid.
                                                                                 Page 19
• Early in illness, CSF cell count can be normal despite a
  positive CSF culture.
• Glucose concentration usually is decreased with a CSF to
  serum glucose ratio of 0.6 or less in neonates and 0.4 or less in
  children older than 2 months of age.
• Gram stain is positive in 80-90% of untreated cases with lower
  limit of detection of about 105 CFU/mL.
• CSF culture not routinely recommended because the yield
  decreases (80 to <50%) soon after antibiotic therapy (except
  gram negative Enteric bacilli) and isolates recovered are
  frequently contaminants.



                                                             Page 20
• CSF cell count and glucose and protein concentrations generally
  remain abnormal for several days even after initiating appropriate
  antibiotic therapy.
• Latex agglutination tests and PCR to detect bacterial capsular
  antigens is useful in some patients with prior antibiotic therapy.
• Traumatic LP makes interpretation difficult. Leukocytes and
  protein are affected; gram stain, culture and glucose are not
  affected. A more accurate method is to calculate the predicted
  CSF WBC count by this formula.


    Peripheral WBC/RBC count× CSF RBC count = CSF WBC count



                                                             Page 21
Other tests on CSF:
• Latex agglutination : Rapid; not 100% specific or diagnostic.
  Latex agglutination depends on laboratory availability; including
  N. meningitidis, S. pneumoniae, H. influenzae type
  b, Escherichia coli and group B streptococci.
• PCR: Rapid; good sensitivity, techniques improving. PCR
  depends on laboratory availability; including N.
  meningitidis, S. pneumoniae, H. influenzae type b, L.
  monocytogenes, HSV, CMV, Enterovirus and Mycobacterium
  tuberculosis.
• Lactate : Routine use not currently recommended



                                                            Page 22
INDICATION FOR REPEAT LP:
• Lack of clinical improvement in 48-72 hrs.
• Meningitis caused by resistant S. pneumonia strains or by
  gram negative enteric bacilli.
• In neonate with gram negative bacillary
  meningitis, examination of CSF during treatment after 48-72
  hrs of initiation of treatment is necessary to verify that culture
  are sterile.
DO NOT PERFORM REPEAT LP IF:
 Who are receiving appropriate antibiotics and making good
  clinical recovery.
 Before stopping antibiotic therapy if patient is clinically well.


                                                               Page 23
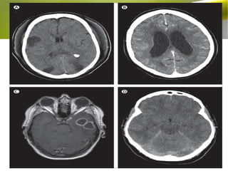
RADIALOGICAL DIAGNOSIS:
• Cranial computed tomography (CT) is of limited use in acute
  BM. CT in cerebral oedema may show slit-like lateral ventricle
  and areas of low attenuation.
• Diffuse meningial enhancement may be seen.
• The main indications for a CT scan in meningitis when it is
  preferred as a first line investigation prior to LP are:
  a. Signs of ↑ICT (e.g. papilloedema)
  b. Suspecting malignancy( focal neurological deficits).
  c. Deteriorating neurological status.
  d. Previous neurosurgical procedure or trauma.
  e. Immunocompromised.
• Normal CT scan does not exclude the risk of raised ICT.


                                                           Page 24
Page 25
DIFFERENTIAL DIAGNOSIS OF ACUTE BACTERIAL
  MENINGITIS:


• Other infective meningitis or meningoencephalitis
  (viral, tuberculous, fungal and parasitic).

•    Focal infection (Brain abscess, subdural emphysema, cranial
    and spinal epidural abscess).

• Non infective illness ( malignancy, collagen vascular
  syndrome and exposure to toxins).



                                                            Page 26
Clinical Decision Rules to Distinguish Bacterial from Aseptic Meningitis in Children with CSF Pleocytosis*

Rule                                 Bacterial Meningitis Score                 Meningitest

Exclusion criteria                   1.   Neurosurgical history                 1.   Neurosurgical history
                                     2.   Immunosuppression                     2.   Immunosuppression
                                     3.   CSF red blood cell count ≥ 0.01 × 106 3.   CSF red blood cell count ≥ 0.01 ×
                                          per μL                                     106 per μL
                                     4.   Antibiotic use in the previous 48     4.   Antibiotic use in the previous 48
                                          hours                                      hours
                                     5.   Purpura


Criteria (further evaluation,        1.   Positive CSF Gram stain               1.   Positive CSF Gram stain
including lumbar puncture, is needed 2.   Seizure                               2.   Seizure
in patients with one or more         3.   Blood neutrophil count ≥ 10,000 per   3.   Purpura
findings)                                 μL                                    4.   Toxic appearance (irritability,
                                     4.   CSF neutrophil count ≥ 1,000 per μL        lethargy, or low capillary refill)
                                     5.   CSF protein level ≥ 80 mg per dL      5.   CSF protein level ≥ 50 mg per dL
                                                                                6.   Serum procalcitonin level ≥ 0.5
                                                                                     ng per mL

Sensitivity (95% confidence          99 percent (99 to 100)                     100 percent (96 to 100)
interval)
CSF = cerebrospinal fluid.                                                      Curr Opin Neurol. 2009;22(3):292
*—White blood cell count ≥ 10 per μL                                                                      Page 27
Antibiotic management:
  i. Key is to start promptly.
  ii. Antibiotic choice is based on
      -Ability of CSF penetration and its concentration.
      -Bactericidal property.




                                                           Page 28
Penetration and estimated bactericidal power of antibiotics
   used for treatment of bacterial meningitis:
                Antibiotic                        CSF penetration             Bactericidal power* against

                                                                           β- lactam               β- lactam
                                                                           susceptible             resistant
                                                                           pathogens               pathogens

Penicillin/ampicillin                          5–15%                       1–10                    <1
Chloramphenicol                                >20%                        >10                     NA

Cefotaxime/ceftriaxone                         5–15%                       >10                     1–10

Cefepime/meropenem                             5–15%                       >10                     1–10

Vancomycin                                     <5%                         1–10                    1–10

Fluoroquinolones                               >20%                        >10                     >10

Rifampicin                                     >20%
*concentration in CSF over the minimal bactericidal concentration against the isolated pathogen.          Page 29
Recommended initial empiric selection of antibiotics for previously
 healthy children with suspected bacterial meningitis, by age and
 epidemiological situation
Patients                Likely pathogens                 Antibiotic
Neonate-                S agalactiae, E. coli,           Ampicillin+cefotaxime/amikacin
Early-onset acquisition
                        K pneumoniae, enterococci,
                        L monocytogenes
Neonate-                S aureus, gram-negative          Nafcillin (flucloxacillin) or
Late-onset infection
                        enteric bacilli, P aeruginosa    Vancomycin+ceftazidime ± amikacin
Age: 1–3 months         Same as early-onset in neonate   Ampicillin+cefotaxime or
                        + S pneumoniae,                  ceftriaxone
                        N meningitidis,and H influenza
Age: 3 months to 5      S pneumoniae, N meningitidis,    Cefotaxime or ceftriaxone
years
                        and H influenzae
Age: >5 years children S pneumoniae and N                Cefotaxime or ceftriaxone
and adults              meningitidis.
In areas with moderate Multi-resistant pneumococci       Cefotaxime or ceftriaxone
or greater prevalence                                     + vancomycin(consider
of resistant S                                           addition of rifampicin)
pneumonia
                                                                                     Page 30
Suggested pathogen-specific antimicrobial therapy for children
with bacterial meningitis
            Bacteria                       Antibiotic of choice           Other useful antibiotics
N. meningitidis                 Penicillin G or ampicillin        Cefotaxime or ceftriaxone
H. Influenzae type b            Cefotaxime or ceftriaxone         Ampicillin, chloramphenicol
S. pneumoniae:
Penicillin-susceptible          Penicillin G, ampicillin          Cefotaxime or ceftriaxone
(MIC<0·1 mcg/mL)
Penicillin-intermediate         Cefotaxime or ceftriaxone         Cefepime or meropenem
(MIC=0·1–1·0 mcg/mL)            plus vancomycin when
                                MIC >0·5 mcg/mL
Penicillin-resistant            Cefotaxime or ceftriaxone         Cefepime or meropenem
(MIC>1·0 mcg/mL)                plus vancomycin                   plus vancomycin

Cephalosporin-resistant         Cefotaxime or ceftriaxone         Adding rifampicin
(MIC>0·5 mcg/mL)                plus vancomycin                   New fluoroquinolones?
L. monocytogenes                Ampicillin+gentamicin             Trimethoprim-sulfamethoxazole
S. agalactiae                   Penicillin G+gentamicin           Ampicillin+gentamicin
Enterococcus species            Ampicillin+aminoglycoside         Vancomycin+aminoglycoside
Enterobacteriaceae              Cefotaxime or ceftriaxone         Cefepime or meropenem
P. aeruginosa                   Ceftazidime+aminoglycoside        Cefepime or meropenem
MIC=minimum inhibiting concentration.

                                                                                              Page 31
Guidelines for the duration of antibiotic therapy.


               Pathogen                    Suggested duration
                                            Of therapy(days)

H. influenza                                        5-7
N. meningitides                                     7-10
S. pneumonia                                       10-14
L. monocytogenes                                    ≥21
Group B streptococci                               14-21
Gram-negative bacilli (other than   21or 2 wks beyond 1st sterile culture
H. influenzae)                             (whichever is longer)




                                                                      Page 32
Adjunctive and supportive treatment:
1. Fluid management:
   {NICE clinical guidelines 2012 and Starship children’s health clinical
   guidelines 2009}
    i. Resuscitation with normal saline bolus if required.
    ii. Fluid therapy should focus on avoiding hypovolemia and hypo-
         osmolality.
    iii. Fluid type should be 0.9% NaCl with 5% dextrose (10% may require in
         infants).
    iv. Give full volume maintenance fluids with appropriate adjustment for
         ongoing losses unless there is SIADH or raised ICT.
    v. Hyponatremia at presentation can usually be assumed to be dilutional
         , on the basis of elevated level of ADH. Increased ADH is due to
        • Appropriate secretion to compensate for hypovolemia or to
             maintain cerebral perfusion in the presence of cerebral edema →
             Full volume maintenance fluid.
        • Inappropriate secretion due to brain damage and which might
             contribute to further brain damage → Restriction of fluid may be
             needed.
                                                                   Page 33
vi. Ongoing management
    • Frequent clinical review, including a careful assessment of
      volume status.
    • Check serum sodium 6-12hrly depending on the initial sodium
      level, ongoing fluid losses, clinical status and whether there is
      fluid restriction in place.
    • In hyponatremia child on fluid restriction, fluid can be
      increased slowly as condition improves and serum sodium
      normalises.

   There is evidence to support not restricting fluid for children in
   developing countries where death rate are high and disease is
    often advanced at presentation.
   {The Cochrane Library 2011, issue 2}

                                                                Page 34
2. Role of steroids and glycerol:
   1. Corticosteroids significantly reduced hearing loss and
       neurological sequelae, but did not reduce overall mortality.
       Data support the use of corticosteroids in patients with
       bacterial meningitis in high-income countries, but no
       beneficial effect in low-income countries.
       {Cochrane database sys rev. 2010 sep;8(9).

   2. Adjunctive dexamethasone in the treatment of acute bacterial
      meningitis does not seem to significantly reduce death or
      neurological disability. The benefit of adjunctive
      dexamethasone for all or any subgroup of patients with
      bacterial meningitis thus remains unproven.
      {Lancet Neurol. 2010 Mar;9(3)}


                                                               Page 35
3. No significant difference was seen in neurological or hearing
   outcome with use of either glycerol or dexamethasone in
   children with acute bacterial meningitis.
   {Indian Pediatr. 2007 Sep;44(9) }

4. With bacterial meningitis, the child's presenting status and
   young age are the most important predictors of hearing
   impairment. Little relief is obtained from current adjuvant
   medications like dexamethasone and glycerol.
   {Pediatrics. 2010 Jan;125(1)}




                                                              Page 36
COMPLICATIONS:
1.Early complications:
   • Ventriculitis.
   • Fluid and electrolyte disturbance.
   • SIADH.
   • Seizures.
   • Increased ICP.
   • Cranial nerve palsies.
   • Stroke.
   • Cerebral or cerebellar herniation.
   • Thrombosis of the dural venous sinuses.
   • Sub-dural effusion and empyema.
   • Prolonged fever or secondary fever.
                                               Page 37
2. Late complications:
    • Hearing loss.
    • Mental retardation.
    • Recurrent seizures.
    • Delaying accusation of language.
    • Visual impairment.
    • Behavioural problems.
    • Hydrocephalous.




                                         Page 38
PROGNOSIS:
  Factors affecting the outcome
  1) Age.
  2) Etiology.
  3) CSF findings at the time of diagnosis- concentration of
     bacteria or its products, WBC count and glucose
     concentration (<20mg/dL).
  4) Time to sterilization of CSF after start of therapy.
  5) Decreased level of consciousness.
  6) Seizures occurring during hospitalization.
  7) Presence of comorbid conditions




                                                           Page 39
PREVENTION:
  1.VACCINATION-
   • Immunisation is the most effective means of prevention BM in
     children.
   • IAP recommends routine use of Hib vaccine in children with
     efficacy rate against invasive infection ranges from 70-100%.
   • IAP recommends pnemococcal and meningococcal vaccination
     for high risk children as vaccines under special circumstances.
   • Only meningococcal polysaccharide (MPSV) is avalaible.
     Minimal age- 2 yrs. Revaccination only once after 3yrs in those
     at continued high risk.
   • Minimum age for administration- 6wks for pnemococcal
     conjugate vaccine(PCV) and 2yrs for polysaccharide
     vaccine(PPSV). Administer 1 dose of PCV to all children aged
     24 through 59mts who are not immunised for age. PPSV
     revaccination only once after 35yrs only in certain high risk
     patients.
   • PCV must be offered to premature and low birth weight infants.
   • S.agalactiae vaccinaton for pregnant women in future.
                                                             Page 40
Chemoprophylaxis for Bacterial Meningitis
       Pathogen                   Indication                Antimicrobial agent                 Dosage                       Comments
Neisseria meningitidis    Close contact (for more      Rifampin                     Adults: 600 mg every 12 hours Not fully effective and
(postexposure             than eight hours) with       Or                           for two days                  rare resistant isolates
prophylaxis)
                          someone with N.                                           Children one month or older:
                          meningitidis infection                                    10 mg per kg every 12 hours
                          Contact with oral                                         for two days
                          secretions of someone                                     Children younger than one
                          with N. meningitidis                                      month: 5 mg per kg every 12
                          infection                                                 hours for two days

                                                       Ciprofloxacin (Cipro)        Adults: single dose of 500 mg     Rare resistant isolates
                                                       Or
                                                       Ceftriaxone (Rocephin)       Single intramuscular dose of      __
                                                                                    250 mg (125 mg if younger
                                                                                    than 15 years)
Haemophilus influenzae     Living in a household       Rifampin                     20 mg per kg per day, up to 600 ___
(postexposure             with one or more                                          mg per day, for four days
prophylaxis)              unvaccinated or
                          incompletely vaccinated
                          children younger than 48
                          months
Streptococcus agalactiae Previous birth to an infant   Penicillin G                 Initial dose of 5 million units   Clindamycin
(group B streptococcus; with invasive S.               Or                           intravenously, then 2.5 to 3      susceptibility must be
women in the intrapartum                                                            million units every four hours    confirmed by
period)                  agalactiae infection                                       during the intrapartum period     antimicrobial
                         Colonization at 35 to 37                                                                     susceptibility test
                         weeks’ gestation              If allergic to penicillin:   2 g followed by 1 g every eight
                                                                                    hours
                         Bacteriuria during            Cefazolin
                         pregnancy                     or
                         High risk because of
                         fever, amniotic fluid         Clindamycin (Cleocin)        900 mg every eight hours
                         rupture for more than 18      or
                         hours, or delivery before
                         37 weeks’ gestation           Vancomycin                   15 to 20 mg per kg every 12
                                                                                    hours                                   Page 41
Am Fam Physician. 2010;82(12):1491-1498.
REFERENCES:
• Prober CG, Dyner LL. Acute bacterial meningitis. In Kliegman, Stanton,
  Geme, Schor Behrman. Nelson textbook of pediatrics. 19th edition. Elsevier
  India Pvt.2012;2087-95.
• NICE clinical guideline 102- Bacterial meningitis and meningococcal
  septicaemia. 2010.
• Tacon CL, Flower O. Diagnosis and Management of BacterialMeningitis in
  the Paediatric Population: A Review. Emerg. Med international.2012
• Voss L, Nicholson R. Starship Children’s Health Clinical Guideline.
  Infectious Diseases.2009
• Sankhyan N, Raju KNV, Sharma S, Gulati S. Management of raised
  intracranial pressure. Indian J Pediatr. 2010;77: 1409-16.
• Bamberger DM. Diagnosis, Initial Management, and Prevention of
  Meningitis. Am Fam Physician.2010;82(12):1491-98.
• Sáez-Llorens X, McCracken GH. Bacterial meningitis in children.
  Lancet.2003; 361: 2139–48.

                                                                     Page 42
• Tunkel AR, Hartman BJ, Kaplan SL, Kaufman BA, Roos KL, Scheld WM, et
  al. Practice guidelines for the man-agement of bacterial meningitis. Clin Infect
  Dis. 2004;39(9):1267-1284.
• Maconochie IK, Baumer JH. Fluid therapy for acute bacterial meningitis
  (Review). The Cochrane Library.2011;Issue 2.
• Brouwer MC, McIntyre P, de Gans J, Prasad K, de Beek DV. Corticosteroids
  for acute bacterial meningitis (Review). The Cochrane Library.2010; Issue 9.
• Curtis S, Stobart K, Vandermeer B, Simel DL, Klassen T. Clinical Features
  Suggestive of Meningitis in Children: A Systematic Review of Prospective
  Data. Pediatrics. 2010;126:952–960.
• Chaudhuri A, Martin PM, Kennedyc PGE, Seatond RA, Portegiese P, Bojarf
  M, et al. EFNS guideline on the management of community-acquired bacterial
  meningitis: report of an EFNS Task Force on acute bacterial meningitis in
  older children and adults. European Journal of Neurology. 2008;15: 649–59.
• Vincent J, Scheld WM. The New Eng J of Med. 1997 ;336 (10): 708-16.
• Chavez-Bueno S, McCracken GH. Bacterial Meningitis in Children. Pediatr
  Clin N Am.2005;52:795– 810.
                                                                          Page 43
Page 44

Bacterial meningitis

  • 1.
    MANAGEMENT OF BACTERIAL MENINGITIS in children. Dr. Arun K. M JR III IMS.BHU VARANASI Page 1
  • 2.
    DEFINITIONS: • BACTERIAL MENINGITIS(BM): An acute purulent infection of the cranial and spinal leptomeninges due to bacterial etiology. • ENCEPHALITIS: Inflammation of the brain parenchyma. • MENINGOENCEPHALITIS: Inflammation of the leptomeninges and the brain parenchyma. • ASEPTIC MENINGITIS: Refers to CSF findings consistent with leptomeningeal inflammation but routine bacterial culture are negative. Page 2
  • 3.
    INTRODUCTION: • Bacterial meningitisremains a major cause of mortality and neurological sequelae worldwide. In India and other developing countries the mortality rate ranges from 16-32%. • The community incidence of acute BM in India is not known. The exact etiological diagnosis is often not possible. There are limited studies from India regarding the etiology and epidemiological factors associated with BM. • Delay in diagnosis and initiation of antimicrobial therapy can result in poor outcome. Since clinical signs of meningitis cannot always be relied upon, laboratory support is imperative to achieve an early diagnosis. • Due to emergence of antimicrobial resistance recommendations for therapy are changing. • Laboratory surveillance of isolates is crucial to identify for immunization, chart preventive strategies and to help formulate rational empirical treatment for potentially fatal BM. Page 3
  • 4.
    ETIOLOGY: The etiologyof BM is affected most by the age of the patient. Neonate:Early-onset acquisition S. agalactiae, E.coli, K.pneumoniae, Enterococci, L. monocytogenes Neonate:Late-onset infection S. aureus, Gram-negative enteric bacilli, P. aeruginosa Age: 1–3 months Same as early-onset in neonate + S.pneumoniae, N. meningitidis, and H.influenzae type b. Age: 3 months to 5 years S. pneumoniae, N. meningitidis and H. influenzae type b. Age: >5 years children and adults S. pneumoniae and N. meningitidis. Page 4
  • 5.
    RISK FACTORS: A majorrisk factor for BM is the lack of immunity to specific pathogens associated with young age. PRECIPATING FACTORS ORGANISMS Defects of complement system(C5- Meningococcus C8) and properdin system Splenic dysfunction or asplenia Pneumococcus, H.influenzae type b. T-Lymphocyte defect(aids, cancer, Listeria monocytogenes chemotherapy and congenital) CSF leak and cochlear implants Pneumococcus Lumbosacral dermal sinus and Staph. aureus, Gram negative entric meningomyelocele bacilli e.g: E.coli, Klebsiella etc. CSF shunts Coagulase negative Staphylococci, Staph. aureus. Page 5
  • 6.
    PATHOGENISIS AND PATHOPHYSIOLOGY: •Bacteria reach the CNS either by hematogenous spread or by direct extension from a contiguous site. • In neonates, pathogens are acquired from non- sterile maternal genital and intestinal secretions. • Direct inoculation of bacteria into the CNS can result from trauma, skull defects with CSF leaks, congenital dura defects such as a dermal sinuses or meningomyelocele, or extension from a suppurative parameningeal focus. Page 6
  • 7.
    Bacteraemia Endothelial damage Bacteria in CSF Pro-inflammatory cytokines Permeability of Leucocyte attraction and CSF Cerebral blood-brain barrier entrance: meningeal inflammation vasculitis Vasogenic edema Interstitial edema Cytotoxic edema Cerebral blood flow: Ischaemia Intracranial pressure Bloodstream Global perfusion Release of volaemia excitatory amino acidsaminoacids Neuronal injury apoptosis Page 7
  • 8.
    CLINICAL FEATURES: • Manifestationsof BM depend on the age of the patient and duration of disease. • In general, the younger the patient the more subtle and atypical are the signs and symptoms. • Onset of acute BM has two forms : i. The sudden onset rapidly progressive manifestation of shock, purpura, DIC, reduced level of consciousness leading to death in 24hrs. ii. Common form with- a. Non specific findings- fever(84%), headache(76%),vomiting(70%), anorexia(19%) , poor feeding, symptoms of URTI, myalgia, arthralgia, tachycardia, petechiae, rash etc. b. Alteration in mental status like irritability, lethargy, stupor or coma(5%). Page 8
  • 9.
    c. Seizure (20-30%):focal or generalised and as result of cerebritis, infarction or electrolyte disturbance. d. Signs of meningeal irritation(59%)- neck stiffness(65%), kernigs sign(27%) and brudzinski sign(51%). e. Signs of increased ICT include headache, projectile vomiting, reduced (GCS≤8) or fluctuating level of conciousness, abducent nerve palsy, cushing’s reflex, un-equal dilated pupils, papilloedema, decorticate or decerebrate posturing, stupor, coma, signs of herniation. g. Cranial neuropathy- Most common cranial nerves involved include 3rd, 6th, 7th and 8th. h. Focal cerebral signs (20%) - due to cortical necrosis, occlusive vasculitis, cerebritis, abscess. Page 9
  • 10.
    NEONATES a)Neonates and infants have nonspecific signs like fever, hypothermia, irritability, lethargy and feeding difficulty. b) Neurologic signs- Excited or depressed and bulging fontanel. Minor convulsions present as blinking eyes, fixed stare, facial twitching and sucking.  No clinical feature is diagnostic in isolation, and the most accurate combination of clinical features to rise or lower suspicion of meningitis is still unclear. Pediatrics 2010; 126:952-960. Page 10
  • 11.
    MANAGEMENT OF BACTERIALMENINGITIS: Symptoms and signs of BM YES Check airway, breathing &circulation; gain vascular access YES Manage accordingly Signs of shock and raised ICP NO Perform diagnostic tests NO Contraindication to LP Perform LP YES YES <3 months old ? CSF s/o meningitis YES NO Empiric antibiotics for suspected Empiric antibiotic for suspected meningitis: Do not delay antibiotic meningitis : i.v Cefetriaxone. i.v Cefotaxime + iv ampicillin No role of steroids. Add vancomycin, if prolonged Or multiple antibiotic exposure within last 3 months If HSV meningoencephalitis in differential diagnosis give i.v acyclovir Cont’d Page 11
  • 12.
    Reduced or fluctuatingconscious level or focal neurological signs NO YES Full volume maintenance fluid [Isotonic fluid-DNS or NS]. Perform CT scan Do not restrict fluid unless there is SIADH or raised ICT. Monitor fluid administration, urine output,electrolytes and blood glucose. Close monitoring for signs of raised ICP ,shock and repeated review. If LP contra-indicated, perform delayed LP when no longer contra- indicated. Specific pathogen identified YES NO Antibiotics for confirmed meningitis. Antibiotics for unconfirmed meningitis. <3 months old? NO YES i.v cefotaxime + ampicillin i.v for ≥14 days Ceftriaxone ≥ 10 days Page 12
  • 13.
    Initial management: • Check airway, breathing, circulation, disability (level of consciousness) and environment (presence of rash, temperature control). • Elective intubation and ventilation if necessary. • If signs of shock present manage accordingly with normal saline boluses and vasopressor support. • Seizures managed with anticonvulsants like phenytoin and midazolam. • After the patient has been stabilised further examination and diagnostic tests performed. Page 13
  • 14.
    Management of raisedICP. • Early intubation if; GCS <8, Evidence of herniation, Apnea, Inability to maintain airway. • Mild head elevation of 15–30 (Ensure that the child is euvolemic). • Hyperventilation: Target PaCO2: 30–35 mm Hg (suited for acute, sharp increases in ICP or signs of impending herniation). • Mannitol: Initial bolus: 0.25–1 g/kg, then 0.25–0.5 g/kg, q 2–6 h as per requirement, up to 48 hrs. • Hypertonic Saline: Preferable in presence of Hypotension, Hypovolemia, Serum osmolality >320 mOsm/kg, Renal failure, Dose: 0.1–1 ml/kg/hr infusion, Target Na+−145–155 meq/L. Page 14
  • 15.
    • Adequate sedationand analgesia. • Prevention and treatment of seizures: use Lorazepam or midazolam followed by phenytoin as initial choice. • Avoid noxious stimuli: use lignocaine prior to ET suctioning [nebulized (4% lidocaine mixed in 0.9% saline) or intravenous (1–2 mg/kg as 1% solution) given 90 sec prior to suctioning]. • Control fever: antipyretics, cooling measures. • Maintenance IV Fluids: Only isotonic or hypertonic fluids (Ringer lactate, 0.9% Saline, 5% D in 0.9% NS), No Hypotonic fluids. • Maintain blood sugar: 80–120 mg/dL. • Refractory raised ICP - Barbiturate coma, Hypothermia and Decompressive craniectomy. Page 15
  • 16.
    Routine investigations: • Completeblood count: Neutrophilia suggestive of bacterial infection. • Serum glucose: Often low; allows interpretation of CSF glucose. • Electrolytes, urea, and creatinine :To assess for complications and fluid management. • Coagulation studies: To assess for complications. • Blood cultures: Positive in 40–90% depending on the organism. • Inflammatory markers(CRP and procalcitonin): Elevation suggestive of bacterial infection; procalcitonin(≥5ng/mL) of more value; neither can establish nor exclude diagnosis. Page 16
  • 17.
    CEREBROSPINAL FLUID EXAMINATION. •CSF analysis and culture remains the definitive method for diagnosis of BM. • Lumbar puncture (LP) should be performed when BM is suspected. In neonates, meningitis accompanies sepsis in 20-25% of cases so procedure to be considered. • If LP is delayed empirical antibiotic should be started within 1hr. • Contraindications to LP: a. Absolute (lumbar puncture is not to be done) i. Signs of raised intracranial pressure (papilloedema, decrebrate posturing) ii. Local skin infection at the LP site. iii. Evidence of obstructive hydrocephalus, cerebral oedema or herniation in CT (or MR) scan of brain Page 17
  • 18.
    b. Relative (appropriatetherapeutic measures and/or investigations are indicated before lumbar puncture) i. Shock or hypotension ii. Coagulation disorder iii. Presence of focal neurological deficit, especially when posterior fossa lesion is suspected. iv. Glasgow coma score of 8 or less. v. Continuing seizure activity. NORMAL CSF VALUES Neonate Child Total WBC (mm3) ≤20 <5 DLC-NEUTROPHILS Up to 5% none Protein (mg/dL) <100 10-40 Glucose (mmol/L) ≥2.1 ≥2.5 CSF/serum glucose ≥0.6 ≥0.6 Page 18
  • 19.
    Typical CSF Parametersin Patients with Meningitis Pathogen White blood Percentage Glucose Protein level Positive CSF stain cells per μL of level in mg per dL neutrophils Pyogenic > 500 > 85-90 Low > 100-200 ~70 percent L. monocytogenes > 100 >50 Normal > 50 ~30 percent Partially treated > 100 >80 Normal > 70 ~60 percent pyogenic Aseptic, often 10 to 1,000 Early: > 50 Normal Normal or < Not applicable viral Late: < 20 100 Tubercular 50 to 500 < 30 Low > 100 Rare Fungal 50 to 500 < 30 Low Varies High in cryptococcus CSF = cerebrospinal fluid. Page 19
  • 20.
    • Early inillness, CSF cell count can be normal despite a positive CSF culture. • Glucose concentration usually is decreased with a CSF to serum glucose ratio of 0.6 or less in neonates and 0.4 or less in children older than 2 months of age. • Gram stain is positive in 80-90% of untreated cases with lower limit of detection of about 105 CFU/mL. • CSF culture not routinely recommended because the yield decreases (80 to <50%) soon after antibiotic therapy (except gram negative Enteric bacilli) and isolates recovered are frequently contaminants. Page 20
  • 21.
    • CSF cellcount and glucose and protein concentrations generally remain abnormal for several days even after initiating appropriate antibiotic therapy. • Latex agglutination tests and PCR to detect bacterial capsular antigens is useful in some patients with prior antibiotic therapy. • Traumatic LP makes interpretation difficult. Leukocytes and protein are affected; gram stain, culture and glucose are not affected. A more accurate method is to calculate the predicted CSF WBC count by this formula. Peripheral WBC/RBC count× CSF RBC count = CSF WBC count Page 21
  • 22.
    Other tests onCSF: • Latex agglutination : Rapid; not 100% specific or diagnostic. Latex agglutination depends on laboratory availability; including N. meningitidis, S. pneumoniae, H. influenzae type b, Escherichia coli and group B streptococci. • PCR: Rapid; good sensitivity, techniques improving. PCR depends on laboratory availability; including N. meningitidis, S. pneumoniae, H. influenzae type b, L. monocytogenes, HSV, CMV, Enterovirus and Mycobacterium tuberculosis. • Lactate : Routine use not currently recommended Page 22
  • 23.
    INDICATION FOR REPEATLP: • Lack of clinical improvement in 48-72 hrs. • Meningitis caused by resistant S. pneumonia strains or by gram negative enteric bacilli. • In neonate with gram negative bacillary meningitis, examination of CSF during treatment after 48-72 hrs of initiation of treatment is necessary to verify that culture are sterile. DO NOT PERFORM REPEAT LP IF:  Who are receiving appropriate antibiotics and making good clinical recovery.  Before stopping antibiotic therapy if patient is clinically well. Page 23
  • 24.
    RADIALOGICAL DIAGNOSIS: • Cranialcomputed tomography (CT) is of limited use in acute BM. CT in cerebral oedema may show slit-like lateral ventricle and areas of low attenuation. • Diffuse meningial enhancement may be seen. • The main indications for a CT scan in meningitis when it is preferred as a first line investigation prior to LP are: a. Signs of ↑ICT (e.g. papilloedema) b. Suspecting malignancy( focal neurological deficits). c. Deteriorating neurological status. d. Previous neurosurgical procedure or trauma. e. Immunocompromised. • Normal CT scan does not exclude the risk of raised ICT. Page 24
  • 25.
  • 26.
    DIFFERENTIAL DIAGNOSIS OFACUTE BACTERIAL MENINGITIS: • Other infective meningitis or meningoencephalitis (viral, tuberculous, fungal and parasitic). • Focal infection (Brain abscess, subdural emphysema, cranial and spinal epidural abscess). • Non infective illness ( malignancy, collagen vascular syndrome and exposure to toxins). Page 26
  • 27.
    Clinical Decision Rulesto Distinguish Bacterial from Aseptic Meningitis in Children with CSF Pleocytosis* Rule Bacterial Meningitis Score Meningitest Exclusion criteria 1. Neurosurgical history 1. Neurosurgical history 2. Immunosuppression 2. Immunosuppression 3. CSF red blood cell count ≥ 0.01 × 106 3. CSF red blood cell count ≥ 0.01 × per μL 106 per μL 4. Antibiotic use in the previous 48 4. Antibiotic use in the previous 48 hours hours 5. Purpura Criteria (further evaluation, 1. Positive CSF Gram stain 1. Positive CSF Gram stain including lumbar puncture, is needed 2. Seizure 2. Seizure in patients with one or more 3. Blood neutrophil count ≥ 10,000 per 3. Purpura findings) μL 4. Toxic appearance (irritability, 4. CSF neutrophil count ≥ 1,000 per μL lethargy, or low capillary refill) 5. CSF protein level ≥ 80 mg per dL 5. CSF protein level ≥ 50 mg per dL 6. Serum procalcitonin level ≥ 0.5 ng per mL Sensitivity (95% confidence 99 percent (99 to 100) 100 percent (96 to 100) interval) CSF = cerebrospinal fluid. Curr Opin Neurol. 2009;22(3):292 *—White blood cell count ≥ 10 per μL Page 27
  • 28.
    Antibiotic management: i. Key is to start promptly. ii. Antibiotic choice is based on -Ability of CSF penetration and its concentration. -Bactericidal property. Page 28
  • 29.
    Penetration and estimatedbactericidal power of antibiotics used for treatment of bacterial meningitis: Antibiotic CSF penetration Bactericidal power* against β- lactam β- lactam susceptible resistant pathogens pathogens Penicillin/ampicillin 5–15% 1–10 <1 Chloramphenicol >20% >10 NA Cefotaxime/ceftriaxone 5–15% >10 1–10 Cefepime/meropenem 5–15% >10 1–10 Vancomycin <5% 1–10 1–10 Fluoroquinolones >20% >10 >10 Rifampicin >20% *concentration in CSF over the minimal bactericidal concentration against the isolated pathogen. Page 29
  • 30.
    Recommended initial empiricselection of antibiotics for previously healthy children with suspected bacterial meningitis, by age and epidemiological situation Patients Likely pathogens Antibiotic Neonate- S agalactiae, E. coli, Ampicillin+cefotaxime/amikacin Early-onset acquisition K pneumoniae, enterococci, L monocytogenes Neonate- S aureus, gram-negative Nafcillin (flucloxacillin) or Late-onset infection enteric bacilli, P aeruginosa Vancomycin+ceftazidime ± amikacin Age: 1–3 months Same as early-onset in neonate Ampicillin+cefotaxime or + S pneumoniae, ceftriaxone N meningitidis,and H influenza Age: 3 months to 5 S pneumoniae, N meningitidis, Cefotaxime or ceftriaxone years and H influenzae Age: >5 years children S pneumoniae and N Cefotaxime or ceftriaxone and adults meningitidis. In areas with moderate Multi-resistant pneumococci Cefotaxime or ceftriaxone or greater prevalence + vancomycin(consider of resistant S addition of rifampicin) pneumonia Page 30
  • 31.
    Suggested pathogen-specific antimicrobialtherapy for children with bacterial meningitis Bacteria Antibiotic of choice Other useful antibiotics N. meningitidis Penicillin G or ampicillin Cefotaxime or ceftriaxone H. Influenzae type b Cefotaxime or ceftriaxone Ampicillin, chloramphenicol S. pneumoniae: Penicillin-susceptible Penicillin G, ampicillin Cefotaxime or ceftriaxone (MIC<0·1 mcg/mL) Penicillin-intermediate Cefotaxime or ceftriaxone Cefepime or meropenem (MIC=0·1–1·0 mcg/mL) plus vancomycin when MIC >0·5 mcg/mL Penicillin-resistant Cefotaxime or ceftriaxone Cefepime or meropenem (MIC>1·0 mcg/mL) plus vancomycin plus vancomycin Cephalosporin-resistant Cefotaxime or ceftriaxone Adding rifampicin (MIC>0·5 mcg/mL) plus vancomycin New fluoroquinolones? L. monocytogenes Ampicillin+gentamicin Trimethoprim-sulfamethoxazole S. agalactiae Penicillin G+gentamicin Ampicillin+gentamicin Enterococcus species Ampicillin+aminoglycoside Vancomycin+aminoglycoside Enterobacteriaceae Cefotaxime or ceftriaxone Cefepime or meropenem P. aeruginosa Ceftazidime+aminoglycoside Cefepime or meropenem MIC=minimum inhibiting concentration. Page 31
  • 32.
    Guidelines for theduration of antibiotic therapy. Pathogen Suggested duration Of therapy(days) H. influenza 5-7 N. meningitides 7-10 S. pneumonia 10-14 L. monocytogenes ≥21 Group B streptococci 14-21 Gram-negative bacilli (other than 21or 2 wks beyond 1st sterile culture H. influenzae) (whichever is longer) Page 32
  • 33.
    Adjunctive and supportivetreatment: 1. Fluid management: {NICE clinical guidelines 2012 and Starship children’s health clinical guidelines 2009} i. Resuscitation with normal saline bolus if required. ii. Fluid therapy should focus on avoiding hypovolemia and hypo- osmolality. iii. Fluid type should be 0.9% NaCl with 5% dextrose (10% may require in infants). iv. Give full volume maintenance fluids with appropriate adjustment for ongoing losses unless there is SIADH or raised ICT. v. Hyponatremia at presentation can usually be assumed to be dilutional , on the basis of elevated level of ADH. Increased ADH is due to • Appropriate secretion to compensate for hypovolemia or to maintain cerebral perfusion in the presence of cerebral edema → Full volume maintenance fluid. • Inappropriate secretion due to brain damage and which might contribute to further brain damage → Restriction of fluid may be needed. Page 33
  • 34.
    vi. Ongoing management • Frequent clinical review, including a careful assessment of volume status. • Check serum sodium 6-12hrly depending on the initial sodium level, ongoing fluid losses, clinical status and whether there is fluid restriction in place. • In hyponatremia child on fluid restriction, fluid can be increased slowly as condition improves and serum sodium normalises. There is evidence to support not restricting fluid for children in developing countries where death rate are high and disease is often advanced at presentation. {The Cochrane Library 2011, issue 2} Page 34
  • 35.
    2. Role ofsteroids and glycerol: 1. Corticosteroids significantly reduced hearing loss and neurological sequelae, but did not reduce overall mortality. Data support the use of corticosteroids in patients with bacterial meningitis in high-income countries, but no beneficial effect in low-income countries. {Cochrane database sys rev. 2010 sep;8(9). 2. Adjunctive dexamethasone in the treatment of acute bacterial meningitis does not seem to significantly reduce death or neurological disability. The benefit of adjunctive dexamethasone for all or any subgroup of patients with bacterial meningitis thus remains unproven. {Lancet Neurol. 2010 Mar;9(3)} Page 35
  • 36.
    3. No significantdifference was seen in neurological or hearing outcome with use of either glycerol or dexamethasone in children with acute bacterial meningitis. {Indian Pediatr. 2007 Sep;44(9) } 4. With bacterial meningitis, the child's presenting status and young age are the most important predictors of hearing impairment. Little relief is obtained from current adjuvant medications like dexamethasone and glycerol. {Pediatrics. 2010 Jan;125(1)} Page 36
  • 37.
    COMPLICATIONS: 1.Early complications: • Ventriculitis. • Fluid and electrolyte disturbance. • SIADH. • Seizures. • Increased ICP. • Cranial nerve palsies. • Stroke. • Cerebral or cerebellar herniation. • Thrombosis of the dural venous sinuses. • Sub-dural effusion and empyema. • Prolonged fever or secondary fever. Page 37
  • 38.
    2. Late complications: • Hearing loss. • Mental retardation. • Recurrent seizures. • Delaying accusation of language. • Visual impairment. • Behavioural problems. • Hydrocephalous. Page 38
  • 39.
    PROGNOSIS: Factorsaffecting the outcome 1) Age. 2) Etiology. 3) CSF findings at the time of diagnosis- concentration of bacteria or its products, WBC count and glucose concentration (<20mg/dL). 4) Time to sterilization of CSF after start of therapy. 5) Decreased level of consciousness. 6) Seizures occurring during hospitalization. 7) Presence of comorbid conditions Page 39
  • 40.
    PREVENTION: 1.VACCINATION- • Immunisation is the most effective means of prevention BM in children. • IAP recommends routine use of Hib vaccine in children with efficacy rate against invasive infection ranges from 70-100%. • IAP recommends pnemococcal and meningococcal vaccination for high risk children as vaccines under special circumstances. • Only meningococcal polysaccharide (MPSV) is avalaible. Minimal age- 2 yrs. Revaccination only once after 3yrs in those at continued high risk. • Minimum age for administration- 6wks for pnemococcal conjugate vaccine(PCV) and 2yrs for polysaccharide vaccine(PPSV). Administer 1 dose of PCV to all children aged 24 through 59mts who are not immunised for age. PPSV revaccination only once after 35yrs only in certain high risk patients. • PCV must be offered to premature and low birth weight infants. • S.agalactiae vaccinaton for pregnant women in future. Page 40
  • 41.
    Chemoprophylaxis for BacterialMeningitis Pathogen Indication Antimicrobial agent Dosage Comments Neisseria meningitidis Close contact (for more Rifampin Adults: 600 mg every 12 hours Not fully effective and (postexposure than eight hours) with Or for two days rare resistant isolates prophylaxis) someone with N. Children one month or older: meningitidis infection 10 mg per kg every 12 hours Contact with oral for two days secretions of someone Children younger than one with N. meningitidis month: 5 mg per kg every 12 infection hours for two days Ciprofloxacin (Cipro) Adults: single dose of 500 mg Rare resistant isolates Or Ceftriaxone (Rocephin) Single intramuscular dose of __ 250 mg (125 mg if younger than 15 years) Haemophilus influenzae Living in a household Rifampin 20 mg per kg per day, up to 600 ___ (postexposure with one or more mg per day, for four days prophylaxis) unvaccinated or incompletely vaccinated children younger than 48 months Streptococcus agalactiae Previous birth to an infant Penicillin G Initial dose of 5 million units Clindamycin (group B streptococcus; with invasive S. Or intravenously, then 2.5 to 3 susceptibility must be women in the intrapartum million units every four hours confirmed by period) agalactiae infection during the intrapartum period antimicrobial Colonization at 35 to 37 susceptibility test weeks’ gestation If allergic to penicillin: 2 g followed by 1 g every eight hours Bacteriuria during Cefazolin pregnancy or High risk because of fever, amniotic fluid Clindamycin (Cleocin) 900 mg every eight hours rupture for more than 18 or hours, or delivery before 37 weeks’ gestation Vancomycin 15 to 20 mg per kg every 12 hours Page 41 Am Fam Physician. 2010;82(12):1491-1498.
  • 42.
    REFERENCES: • Prober CG,Dyner LL. Acute bacterial meningitis. In Kliegman, Stanton, Geme, Schor Behrman. Nelson textbook of pediatrics. 19th edition. Elsevier India Pvt.2012;2087-95. • NICE clinical guideline 102- Bacterial meningitis and meningococcal septicaemia. 2010. • Tacon CL, Flower O. Diagnosis and Management of BacterialMeningitis in the Paediatric Population: A Review. Emerg. Med international.2012 • Voss L, Nicholson R. Starship Children’s Health Clinical Guideline. Infectious Diseases.2009 • Sankhyan N, Raju KNV, Sharma S, Gulati S. Management of raised intracranial pressure. Indian J Pediatr. 2010;77: 1409-16. • Bamberger DM. Diagnosis, Initial Management, and Prevention of Meningitis. Am Fam Physician.2010;82(12):1491-98. • Sáez-Llorens X, McCracken GH. Bacterial meningitis in children. Lancet.2003; 361: 2139–48. Page 42
  • 43.
    • Tunkel AR,Hartman BJ, Kaplan SL, Kaufman BA, Roos KL, Scheld WM, et al. Practice guidelines for the man-agement of bacterial meningitis. Clin Infect Dis. 2004;39(9):1267-1284. • Maconochie IK, Baumer JH. Fluid therapy for acute bacterial meningitis (Review). The Cochrane Library.2011;Issue 2. • Brouwer MC, McIntyre P, de Gans J, Prasad K, de Beek DV. Corticosteroids for acute bacterial meningitis (Review). The Cochrane Library.2010; Issue 9. • Curtis S, Stobart K, Vandermeer B, Simel DL, Klassen T. Clinical Features Suggestive of Meningitis in Children: A Systematic Review of Prospective Data. Pediatrics. 2010;126:952–960. • Chaudhuri A, Martin PM, Kennedyc PGE, Seatond RA, Portegiese P, Bojarf M, et al. EFNS guideline on the management of community-acquired bacterial meningitis: report of an EFNS Task Force on acute bacterial meningitis in older children and adults. European Journal of Neurology. 2008;15: 649–59. • Vincent J, Scheld WM. The New Eng J of Med. 1997 ;336 (10): 708-16. • Chavez-Bueno S, McCracken GH. Bacterial Meningitis in Children. Pediatr Clin N Am.2005;52:795– 810. Page 43
  • 44.