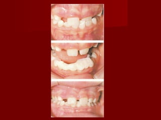
Anterior CrossbiteAnterior Crossbite
Dr.Hla Hla Yee
Anterior CrossbiteAnterior Crossbite
 A deviation from the normalA deviation from the normal
labio-lingual relationship of the teeth oflabio-lingual relationship of the teeth of
one archone arch
with those of the opposing arch.with those of the opposing arch.
ClassificationClassification
 ( 1 ) Skeletal crossbite( 1 ) Skeletal crossbite
 ( 2 ) Dental crossbite( 2 ) Dental crossbite
 ( 3 ) Functional crossbite( 3 ) Functional crossbite
CausesCauses
 Aetiology of skeletal crossbite areAetiology of skeletal crossbite are
– HereditaryHereditary
( Class III skeletal structure )( Class III skeletal structure )
– Surgically treated cleft lip and palateSurgically treated cleft lip and palate
 Aetiology of Dental crossbiteAetiology of Dental crossbite
– due to lack of space for permanent teethdue to lack of space for permanent teeth
CausesCauses
– Permanent tooth buds from lingual to thePermanent tooth buds from lingual to the
primary teeth, a shortage of space may causeprimary teeth, a shortage of space may cause
the permanent maxillary incisor teeth to remainthe permanent maxillary incisor teeth to remain
lingual to the line of the arch and erupt intolingual to the line of the arch and erupt into
crossbitecrossbite
 Supernumerary teethSupernumerary teeth
 retained deciduous teethretained deciduous teeth
 tooth size discrepancytooth size discrepancy
 Abnormal eruptive pathAbnormal eruptive path
( ectopic eruption )( ectopic eruption )
 Aetiology of functional crossbiteAetiology of functional crossbite
– Anterior displacement of mandible due to theAnterior displacement of mandible due to the
presence of occlusal interference during the act ofpresence of occlusal interference during the act of
bringing the jaw into occlusion (pseudo Cl III ).bringing the jaw into occlusion (pseudo Cl III ).
– There can be caused byThere can be caused by
 early loss of deciduous teethearly loss of deciduous teeth
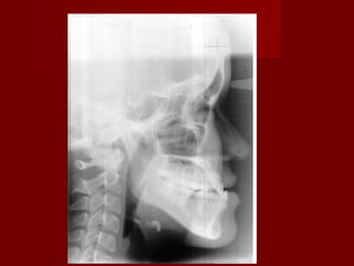
DiagnosisDiagnosis
– Differentiate skeletal from non-skeletalDifferentiate skeletal from non-skeletal
problemproblem
Examination ??Examination ??
 Profile viewProfile view
 Skeletal pattern I vs IIISkeletal pattern I vs III
Cephalometric analysis ??Cephalometric analysis ??
 ANB ??ANB ??
 Wits ??Wits ??
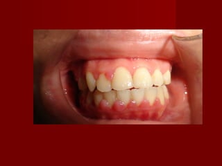
TreatmentTreatment
 I. Skeletal correctionI. Skeletal correction
 Growth modification treatmentGrowth modification treatment
– Treatment starts from the beginning to theTreatment starts from the beginning to the
end of the adolescent growth spurt.end of the adolescent growth spurt.
 Camouflage treatmentCamouflage treatment
– too old for successful growth modificationtoo old for successful growth modification
– mild to moderate skeletal Cl II or mild skeletal Cl III.mild to moderate skeletal Cl II or mild skeletal Cl III.
– reasonably good alignment of teeth.reasonably good alignment of teeth.
– good vertical facial proportion neither extreme shortgood vertical facial proportion neither extreme short
face (Skeletal deep bite ) nor long faceface (Skeletal deep bite ) nor long face
( Skeletal open bite )( Skeletal open bite )
ANB -2 degree
AO-BO -3mm
Upper 1 to FHP _ 115
Lower 1 to MP _94
 Surgical treatmentSurgical treatment
– Severe skeletal discrepancy or extremelySevere skeletal discrepancy or extremely
severe dentoalveolar problem.severe dentoalveolar problem.
– Adult patient or younger patient withAdult patient or younger patient with
extremely severe or progessive deformity.extremely severe or progessive deformity.
 Combination treatmentCombination treatment
II. Dental correctionII. Dental correction
depending upon the age of the patientdepending upon the age of the patient
eruption status of the teeth and the spaceeruption status of the teeth and the space
availability various appliance designed toavailability various appliance designed to
correct anterior crossbite.correct anterior crossbite.
 ( a ) Tongue blade correction
– In early ages , when maxillary incisor is still erupting,
with no major overbite and adequate space in the
arch for the misaligned tooth , a tongue blade may be
sufficient for crossbite correction.
– The patient is instructed to insert the tongue blade at
an angle between the teeth and bite firmly,
maintaining the pressure for 5 seconds, then interrupt
and repeat for 25 times, 3 times a day.
 Tongue blade correction cont'd
– If the tongue blade exercise is not successful after
two weeks or if tooth eruption is too advanced, a bite
plane is more satisfactory.
 ( b ) Lower anterior inclined plane( b ) Lower anterior inclined plane
– The bite plane should have sufficient inclination to produce aThe bite plane should have sufficient inclination to produce a
definite forward sliding motion of the maxillary incisor on closure.definite forward sliding motion of the maxillary incisor on closure.
– It may be constructed for a simple tooth on a group of teeth canIt may be constructed for a simple tooth on a group of teeth can
be made of acrylic or cast metal.be made of acrylic or cast metal.
– The appliance is cemented with temporary cement.The appliance is cemented with temporary cement.
– the posterior teeth will be slightly out of the occlusion but thethe posterior teeth will be slightly out of the occlusion but the
discomfort is in the maxillary arch to align the tooth / teeth.discomfort is in the maxillary arch to align the tooth / teeth.
– Pre requisitiesPre requisities
 Enough space in the maxillary arch to align the teeth orEnough space in the maxillary arch to align the teeth or
tooth.tooth.
 the maxillary tooth or teeth to be corrected should bethe maxillary tooth or teeth to be corrected should be
retroclined or eruptin posterior to actual tooth position.retroclined or eruptin posterior to actual tooth position.
 The developmenta status of the mandibular incisors shouldThe developmenta status of the mandibular incisors should
be such that they can tolerate the force generated.be such that they can tolerate the force generated.
 The mandibular incisor should be relatively well aliged toThe mandibular incisor should be relatively well aliged to
allow appliance fabrication.allow appliance fabrication.
 The patient should be cooperative.The patient should be cooperative.
 ( c ) Hawley retainer( c ) Hawley retainer with auxillary springswith auxillary springs
for correction of anterior crossbitefor correction of anterior crossbite
 If space is availableIf space is available
– procline the lingually erupted anterior teethprocline the lingually erupted anterior teeth
with RA or FAwith RA or FA
– RA by using z springRA by using z spring
 modified finger springmodified finger spring
 palatal springpalatal spring
 Cranked palatal springCranked palatal spring
 cross cantileaver springcross cantileaver spring
 screwscrew
Z - Spring Double Cantilever
spring
Cranked palatal finger spring
 If the (reverse) OB is more than 2mm or theIf the (reverse) OB is more than 2mm or the
opposing teeth are periodontally compromised,opposing teeth are periodontally compromised,
the use of a posterior bite plane.the use of a posterior bite plane.
-To allow the tooth to be moved free from occlusion.-To allow the tooth to be moved free from occlusion.
– To decrease or eliminate the forces exerted on theTo decrease or eliminate the forces exerted on the
teeth in the opposing arch.teeth in the opposing arch.
 If lack of spaceIf lack of space
– Create space depending on severity ofCreate space depending on severity of
crowding (Disking or Expansion or Extraction)crowding (Disking or Expansion or Extraction)
 crossbite correctioncrossbite correction
– Establishing a good OB relationship is the keyEstablishing a good OB relationship is the key
to maintaining crossbite correction.to maintaining crossbite correction.
 Crossbite caused by mandibular shiftCrossbite caused by mandibular shift
should be treated as soon as they areshould be treated as soon as they are
discovered.discovered.
– An uncorrected mandibular shift can produceAn uncorrected mandibular shift can produce
undesirable soft tissue grown modification.undesirable soft tissue grown modification.
– Occlusal analysis for premature contact andOcclusal analysis for premature contact and
functional mandibular shift.functional mandibular shift.

Anterior Crossbite

  • 1.
  • 2.
    Anterior CrossbiteAnterior Crossbite A deviation from the normalA deviation from the normal labio-lingual relationship of the teeth oflabio-lingual relationship of the teeth of one archone arch with those of the opposing arch.with those of the opposing arch.
  • 3.
    ClassificationClassification  ( 1) Skeletal crossbite( 1 ) Skeletal crossbite  ( 2 ) Dental crossbite( 2 ) Dental crossbite  ( 3 ) Functional crossbite( 3 ) Functional crossbite
  • 4.
    CausesCauses  Aetiology ofskeletal crossbite areAetiology of skeletal crossbite are – HereditaryHereditary ( Class III skeletal structure )( Class III skeletal structure ) – Surgically treated cleft lip and palateSurgically treated cleft lip and palate
  • 8.
     Aetiology ofDental crossbiteAetiology of Dental crossbite – due to lack of space for permanent teethdue to lack of space for permanent teeth CausesCauses
  • 9.
    – Permanent toothbuds from lingual to thePermanent tooth buds from lingual to the primary teeth, a shortage of space may causeprimary teeth, a shortage of space may cause the permanent maxillary incisor teeth to remainthe permanent maxillary incisor teeth to remain lingual to the line of the arch and erupt intolingual to the line of the arch and erupt into crossbitecrossbite  Supernumerary teethSupernumerary teeth  retained deciduous teethretained deciduous teeth  tooth size discrepancytooth size discrepancy  Abnormal eruptive pathAbnormal eruptive path ( ectopic eruption )( ectopic eruption )
  • 12.
     Aetiology offunctional crossbiteAetiology of functional crossbite – Anterior displacement of mandible due to theAnterior displacement of mandible due to the presence of occlusal interference during the act ofpresence of occlusal interference during the act of bringing the jaw into occlusion (pseudo Cl III ).bringing the jaw into occlusion (pseudo Cl III ). – There can be caused byThere can be caused by  early loss of deciduous teethearly loss of deciduous teeth
  • 15.
    DiagnosisDiagnosis – Differentiate skeletalfrom non-skeletalDifferentiate skeletal from non-skeletal problemproblem
  • 16.
    Examination ??Examination ?? Profile viewProfile view  Skeletal pattern I vs IIISkeletal pattern I vs III Cephalometric analysis ??Cephalometric analysis ??  ANB ??ANB ??  Wits ??Wits ??
  • 17.
    TreatmentTreatment  I. SkeletalcorrectionI. Skeletal correction
  • 18.
     Growth modificationtreatmentGrowth modification treatment – Treatment starts from the beginning to theTreatment starts from the beginning to the end of the adolescent growth spurt.end of the adolescent growth spurt.
  • 23.
     Camouflage treatmentCamouflagetreatment – too old for successful growth modificationtoo old for successful growth modification – mild to moderate skeletal Cl II or mild skeletal Cl III.mild to moderate skeletal Cl II or mild skeletal Cl III. – reasonably good alignment of teeth.reasonably good alignment of teeth. – good vertical facial proportion neither extreme shortgood vertical facial proportion neither extreme short face (Skeletal deep bite ) nor long faceface (Skeletal deep bite ) nor long face ( Skeletal open bite )( Skeletal open bite )
  • 25.
    ANB -2 degree AO-BO-3mm Upper 1 to FHP _ 115 Lower 1 to MP _94
  • 27.
     Surgical treatmentSurgicaltreatment – Severe skeletal discrepancy or extremelySevere skeletal discrepancy or extremely severe dentoalveolar problem.severe dentoalveolar problem. – Adult patient or younger patient withAdult patient or younger patient with extremely severe or progessive deformity.extremely severe or progessive deformity.
  • 30.
  • 31.
    II. Dental correctionII.Dental correction depending upon the age of the patientdepending upon the age of the patient eruption status of the teeth and the spaceeruption status of the teeth and the space availability various appliance designed toavailability various appliance designed to correct anterior crossbite.correct anterior crossbite.
  • 32.
     ( a) Tongue blade correction – In early ages , when maxillary incisor is still erupting, with no major overbite and adequate space in the arch for the misaligned tooth , a tongue blade may be sufficient for crossbite correction. – The patient is instructed to insert the tongue blade at an angle between the teeth and bite firmly, maintaining the pressure for 5 seconds, then interrupt and repeat for 25 times, 3 times a day.
  • 33.
     Tongue bladecorrection cont'd – If the tongue blade exercise is not successful after two weeks or if tooth eruption is too advanced, a bite plane is more satisfactory.
  • 35.
     ( b) Lower anterior inclined plane( b ) Lower anterior inclined plane – The bite plane should have sufficient inclination to produce aThe bite plane should have sufficient inclination to produce a definite forward sliding motion of the maxillary incisor on closure.definite forward sliding motion of the maxillary incisor on closure. – It may be constructed for a simple tooth on a group of teeth canIt may be constructed for a simple tooth on a group of teeth can be made of acrylic or cast metal.be made of acrylic or cast metal. – The appliance is cemented with temporary cement.The appliance is cemented with temporary cement. – the posterior teeth will be slightly out of the occlusion but thethe posterior teeth will be slightly out of the occlusion but the discomfort is in the maxillary arch to align the tooth / teeth.discomfort is in the maxillary arch to align the tooth / teeth.
  • 36.
    – Pre requisitiesPrerequisities  Enough space in the maxillary arch to align the teeth orEnough space in the maxillary arch to align the teeth or tooth.tooth.  the maxillary tooth or teeth to be corrected should bethe maxillary tooth or teeth to be corrected should be retroclined or eruptin posterior to actual tooth position.retroclined or eruptin posterior to actual tooth position.  The developmenta status of the mandibular incisors shouldThe developmenta status of the mandibular incisors should be such that they can tolerate the force generated.be such that they can tolerate the force generated.  The mandibular incisor should be relatively well aliged toThe mandibular incisor should be relatively well aliged to allow appliance fabrication.allow appliance fabrication.  The patient should be cooperative.The patient should be cooperative.
  • 38.
     ( c) Hawley retainer( c ) Hawley retainer with auxillary springswith auxillary springs for correction of anterior crossbitefor correction of anterior crossbite
  • 39.
     If spaceis availableIf space is available – procline the lingually erupted anterior teethprocline the lingually erupted anterior teeth with RA or FAwith RA or FA – RA by using z springRA by using z spring  modified finger springmodified finger spring  palatal springpalatal spring  Cranked palatal springCranked palatal spring  cross cantileaver springcross cantileaver spring  screwscrew
  • 40.
    Z - SpringDouble Cantilever spring
  • 41.
  • 46.
     If the(reverse) OB is more than 2mm or theIf the (reverse) OB is more than 2mm or the opposing teeth are periodontally compromised,opposing teeth are periodontally compromised, the use of a posterior bite plane.the use of a posterior bite plane. -To allow the tooth to be moved free from occlusion.-To allow the tooth to be moved free from occlusion. – To decrease or eliminate the forces exerted on theTo decrease or eliminate the forces exerted on the teeth in the opposing arch.teeth in the opposing arch.
  • 47.
     If lackof spaceIf lack of space – Create space depending on severity ofCreate space depending on severity of crowding (Disking or Expansion or Extraction)crowding (Disking or Expansion or Extraction)  crossbite correctioncrossbite correction – Establishing a good OB relationship is the keyEstablishing a good OB relationship is the key to maintaining crossbite correction.to maintaining crossbite correction.
  • 48.
     Crossbite causedby mandibular shiftCrossbite caused by mandibular shift should be treated as soon as they areshould be treated as soon as they are discovered.discovered. – An uncorrected mandibular shift can produceAn uncorrected mandibular shift can produce undesirable soft tissue grown modification.undesirable soft tissue grown modification. – Occlusal analysis for premature contact andOcclusal analysis for premature contact and functional mandibular shift.functional mandibular shift.