CROSS BITE
CROSS BITE
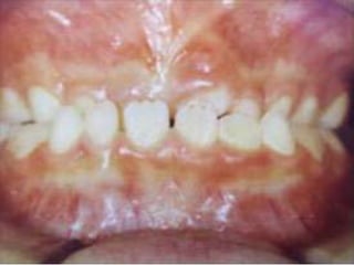
What is normal BITE?
What is CROSS BITE??
• It’s a condition where one or more teeth may be
abnormally malposed buccally or lingually or labially
with reference to the opposing tooth or teeth –Graber
• Discrepancy in the buccolingual relationship of the
upper and lower teeth –Laura
• An abnormal buccolingual (labiolingual) relationship
of the teeth –Moyer
• Post X-bite: Deviation from ideal occlusion in the
transverse plane of space. -Proffit
PREVALANCE
• Gender??
• Ethnic group??
•
•
•
•
•
•
•
•
•
•
•
•

Buccal crossbite
Lingual crossbite/complete lingual
Palatal crossbite/lingual
Unilateral crossbite
Bilateral crossbite
Functional lateral crossbite
Complete mandibular
Complete maxillary
Complete crossbite
Scissor bite
Anterior crossbite
Posterior crossbite
BUCCAL CROSSBITE
• The buccal cusps of the lower teeth occlude
buccal to the buccal cusps of the upper teeth
LINGUAL CROSSBITE
• The buccal cusp of the lower teeth occlude
lingual to the lingual cusps of the upper
teeth
PALATAL CROSSBITE
• Palatal displacement of the maxillary teeth as it
relates to the antagonist teeth
FUNCTIONAL LATERAL CROSSBITE
• Caused by an occlusal interference that
requires the mandible to shift either
anteriorly or laterally in order to achieve
maximum occlusion
• COMPLETE MANDIBULAR CROSSBITE
When all the mandibular teeth are buccally
positioned to all the maxillary teeth if the
mandibular arch is wide

• COMPLETE MAXILLARY CROSSBITE
When the maxillary dental arch is wide
COMPLETE CROSSBTE
when all teeth in one arch are positioned either
inside or outside to the all teeth in the opposing
arch.
SCISSOR BITE

is present when one or more of the adjacent posterior teeth are
either positioned completely buccally or lingually to the antagonistic
teeth and exhibit a vertical overlap.
e.g: brodie syndrome, pierre robin syndrome---primary,mixed!
Chewing,muscle,normal growth of Mn.
ANTERIOR CROSSBITE
A malocclusion in which one or more of the upper
anterior teeth occlude lingually to the mandibular
incisors; the lingual malpositions of one or more
maxillary anterior teeth in relation to the
mandibular anterior teeth when the teeth are in
centric relation occlusion
This is when the upper incisors are in reverse overjet and occlude lingual to the
lower incisor. An example of this would be an extreme class III incisor relationship.
POSTERIOR CROSSBITE
When one or more posterior teeth locked
in an abnormal relation with the opposing
teeth of the opposite arch; can be either
buccal or a lingual cross-bite and may be
accompanied by a shift of the mandible.
CLASSIFICATION
ETIOLOGY
• DENTAL
• SKELETAL
• FUNCTIONAL
• SOFT TISSUE
SOFT TISSUE
DIAGNOSIS
•
•
•
•

History
Clinical examination
Study models
Cephalogram
lateral ceph for anterior crossbite
P.A view for posterior crossbite
TREATMENT
TRIAGE
PRE-ADOLESCENT
CHILDREN
1. Equilibration to eliminate mandibular shift
2. Expansion of a constricted maxilla
3. Unilateral repositioning of teeth
• MOVIE
II- MIXED DENTITION
•
•
•
•
•

Rationale for Early Interceptive Treatment:
Little possibility for self-correction
To save permanent dentition.
Postponing Rx---greater complexity
Can cause growth modifications and dental
compensations
• Permanent deviation & craniofacial asymmetry &
masticatory patterns
• Condylar deviation & TMJ sounds
• Interference with growth of the middle third
of the face
• Abnormal speech patterns
• Loss of arch integrity
• Periodontal disease
• Undesirable esthetics
• Root resorption of central incisors
• Those that deliver rapid-heavy-intermittent
forces:
• Fixed inclined bite planes
• Constructed of acrylic
• Placed onto the mandibular incisors
• Treat lingually locked maxillary incisors
• Do not require patient compliance
• May open the bite, create a temporary
• speech defect, or traumatize the dentition
• No significant long-term side effects
• Reversed stainless steel crowns
• Anterior stainless steel crowns cemented
backwards on the maxillary teeth
• Stainless steel crown needs to open the bite 2 to
3 mm and establish at least a 25 percent
overbite for successful treatment
• If they worsen or fail to treat the crossbite, add
crown
• Tongue Blades
• Usually employed as a follow up to treatment
with inclined plane
• Simplest but least successful approach
• Works best if the bite is normal and the involved
tooth is newly erupted
PERMANENT DENTITION
• Individual teeth displaced into anterior
crossbite
• Transverse maxillary expansion by opening the
midpalatal suture
HYRAX SCREW
RAPID PALATAL EXPANSION
-Activation is 0.5 mm per day
i.e. 2 turns for the screw
-force is 10-20 lbs of forces
applied
-Forces transmitted on suture

SLOW PALATAL EXPANSION
-Activation is 1mm per
week
-2lbs pressure applied
-less pressure to teeth and
sutures
SEQUELAE
• Movement of the lateral and medial
poles of the working condyle during
mastication in patients with unilateral
posterior crossbite
• condylar movements in patients with
unilateral posterior crossbites might be
related to the susceptibility to TMJ disc
displacement
• Ultrasonographic Thickness of the Masseter
Muscle in Growing Individuals with Unilateral
Crossbite
• The masseter muscle in untreated individuals with
unilateral crossbite is thinner in the crossbite side
when compared to the non-crossbite side possibly
due to asymmetric activity of the masticatory
muscles. Such an asymmetry in thickness of the
masseter muscle could not be detected some years
after the successful correction of the crossbite.
Is it important to correct
cross bite in every
patient?
F
L
O
B R U S H
I
S
N
T
SMI L E
E
E

THANKYOU
H

Cross bite ppt

  • 1.
  • 2.
  • 3.
  • 6.
    • It’s acondition where one or more teeth may be abnormally malposed buccally or lingually or labially with reference to the opposing tooth or teeth –Graber • Discrepancy in the buccolingual relationship of the upper and lower teeth –Laura • An abnormal buccolingual (labiolingual) relationship of the teeth –Moyer • Post X-bite: Deviation from ideal occlusion in the transverse plane of space. -Proffit
  • 7.
  • 8.
    • • • • • • • • • • • • Buccal crossbite Lingual crossbite/completelingual Palatal crossbite/lingual Unilateral crossbite Bilateral crossbite Functional lateral crossbite Complete mandibular Complete maxillary Complete crossbite Scissor bite Anterior crossbite Posterior crossbite
  • 9.
    BUCCAL CROSSBITE • Thebuccal cusps of the lower teeth occlude buccal to the buccal cusps of the upper teeth
  • 10.
    LINGUAL CROSSBITE • Thebuccal cusp of the lower teeth occlude lingual to the lingual cusps of the upper teeth
  • 11.
    PALATAL CROSSBITE • Palataldisplacement of the maxillary teeth as it relates to the antagonist teeth
  • 13.
    FUNCTIONAL LATERAL CROSSBITE •Caused by an occlusal interference that requires the mandible to shift either anteriorly or laterally in order to achieve maximum occlusion
  • 14.
    • COMPLETE MANDIBULARCROSSBITE When all the mandibular teeth are buccally positioned to all the maxillary teeth if the mandibular arch is wide • COMPLETE MAXILLARY CROSSBITE When the maxillary dental arch is wide
  • 15.
    COMPLETE CROSSBTE when allteeth in one arch are positioned either inside or outside to the all teeth in the opposing arch.
  • 16.
    SCISSOR BITE is presentwhen one or more of the adjacent posterior teeth are either positioned completely buccally or lingually to the antagonistic teeth and exhibit a vertical overlap. e.g: brodie syndrome, pierre robin syndrome---primary,mixed! Chewing,muscle,normal growth of Mn.
  • 17.
    ANTERIOR CROSSBITE A malocclusionin which one or more of the upper anterior teeth occlude lingually to the mandibular incisors; the lingual malpositions of one or more maxillary anterior teeth in relation to the mandibular anterior teeth when the teeth are in centric relation occlusion
  • 18.
    This is whenthe upper incisors are in reverse overjet and occlude lingual to the lower incisor. An example of this would be an extreme class III incisor relationship.
  • 19.
    POSTERIOR CROSSBITE When oneor more posterior teeth locked in an abnormal relation with the opposing teeth of the opposite arch; can be either buccal or a lingual cross-bite and may be accompanied by a shift of the mandible.
  • 20.
  • 23.
  • 24.
    • DENTAL • SKELETAL •FUNCTIONAL • SOFT TISSUE
  • 28.
  • 29.
    DIAGNOSIS • • • • History Clinical examination Study models Cephalogram lateralceph for anterior crossbite P.A view for posterior crossbite
  • 30.
  • 32.
  • 36.
    PRE-ADOLESCENT CHILDREN 1. Equilibration toeliminate mandibular shift 2. Expansion of a constricted maxilla 3. Unilateral repositioning of teeth
  • 43.
  • 44.
    II- MIXED DENTITION • • • • • Rationalefor Early Interceptive Treatment: Little possibility for self-correction To save permanent dentition. Postponing Rx---greater complexity Can cause growth modifications and dental compensations • Permanent deviation & craniofacial asymmetry & masticatory patterns • Condylar deviation & TMJ sounds
  • 45.
    • Interference withgrowth of the middle third of the face • Abnormal speech patterns • Loss of arch integrity • Periodontal disease • Undesirable esthetics • Root resorption of central incisors
  • 46.
    • Those thatdeliver rapid-heavy-intermittent forces: • Fixed inclined bite planes • Constructed of acrylic • Placed onto the mandibular incisors • Treat lingually locked maxillary incisors • Do not require patient compliance • May open the bite, create a temporary • speech defect, or traumatize the dentition • No significant long-term side effects
  • 48.
    • Reversed stainlesssteel crowns • Anterior stainless steel crowns cemented backwards on the maxillary teeth • Stainless steel crown needs to open the bite 2 to 3 mm and establish at least a 25 percent overbite for successful treatment • If they worsen or fail to treat the crossbite, add crown
  • 50.
    • Tongue Blades •Usually employed as a follow up to treatment with inclined plane • Simplest but least successful approach • Works best if the bite is normal and the involved tooth is newly erupted
  • 52.
    PERMANENT DENTITION • Individualteeth displaced into anterior crossbite • Transverse maxillary expansion by opening the midpalatal suture
  • 54.
  • 56.
    RAPID PALATAL EXPANSION -Activationis 0.5 mm per day i.e. 2 turns for the screw -force is 10-20 lbs of forces applied -Forces transmitted on suture SLOW PALATAL EXPANSION -Activation is 1mm per week -2lbs pressure applied -less pressure to teeth and sutures
  • 57.
  • 58.
    • Movement ofthe lateral and medial poles of the working condyle during mastication in patients with unilateral posterior crossbite • condylar movements in patients with unilateral posterior crossbites might be related to the susceptibility to TMJ disc displacement
  • 59.
    • Ultrasonographic Thicknessof the Masseter Muscle in Growing Individuals with Unilateral Crossbite • The masseter muscle in untreated individuals with unilateral crossbite is thinner in the crossbite side when compared to the non-crossbite side possibly due to asymmetric activity of the masticatory muscles. Such an asymmetry in thickness of the masseter muscle could not be detected some years after the successful correction of the crossbite.
  • 61.
    Is it importantto correct cross bite in every patient?
  • 65.
    F L O B R US H I S N T SMI L E E E THANKYOU H