TissuesChapter 3.3Connective Tissue
Connective TissueVariations in blood supplySome tissue types are well vascularizedSome have poor blood supply or are avascularHave receptors forPain, pressure, temperatureExtracellular matrixNon-living material that surrounds living cellsFound everywhere in the bodyNever exposed to the outside environmentIncludes the most abundant and widely distributed tissuesFunctionsBinds body tissues togetherSupports the bodyProvides protectionTransports materials
Extracellular MatrixTwo main elementsGround substance – mostly water along with adhesion proteins and polysaccharide moleculesFibersProduced by the cellsThree typesCollagen fibersElastic fibersReticular fibersThe combination of and the type of the two elements determines the connective tissue typeConnective tissue properFluid connective tissueSupporting connective tissue
Connective Tissue ProperMany types of cells, fibers and syrupy ground substanceFibroblastsLarge, star-shaped cell that produces fibers by secreting proteins into the matrixMacrophagesFunction as defensive cells, clearing foreign particlesMast cellsBegin body’s defense actions after injury or infectionMatrixGround substanceSyrupy, clear, colorlessFibersCollagen fibers - strong and flexibleElastic fibers - stretches, but returns to original lengthReticular fibers - interwoven networkExamplesSkinFatty tissueTendons and ligaments
Types Connective Tissue ProperAreolar connective tissueMost widely distributed connective tissueSoft, pliable tissue (Cobweb-like)
Types Connective Tissue ProperAreolar connective tissueMost widely distributed connective tissueSoft, pliable tissue (Cobweb-like)Contains all fiber typesCan soak up excess fluidCusions and protects body organsSeparates from and attaches skin to muscles
Types Connective Tissue ProperAdipose tissueMatrix is an areolar tissue fat globules stored in cytoplasmMany cells contain large lipid deposits
Types Connective Tissue ProperAdipose tissueMatrix is an areolar tissue fat globules stored in cytoplasmMany cells contain large lipid depositsFunctionsInsulates the bodyProtects some organsServes as a site of fuel storage
Types Connective Tissue ProperDense connective tissueMain matrix element is collagen fibers closely packedCells are fibroblasts
Types Connective Tissue ProperDense connective tissueMain matrix element is collagen fibers closely packedCells are fibroblastsExamplesTendon – attach muscle to boneLigaments – attach bone to bone
Types Connective Tissue ProperReticular connective tissueDelicate network of interwoven fibers
Types Connective Tissue ProperReticular connective tissueDelicate network of interwoven fibersForms stroma (internal supporting network) of lymphoid organsLymph nodesSpleen and liverBone marrow
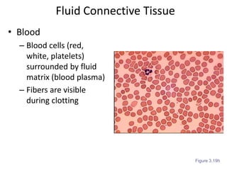
Fluid Connective TissueBloodBlood cells (red, white, platelets) surrounded by fluid matrix (blood plasma)Fibers are visible during clottingFigure 3.19h
Fluid Connective TissueBloodBlood cells (red, white, platelets) surrounded by fluid matrix (blood plasma)Fibers are visible during clottingFunctions as the transport vehicle for materialsFigure 3.19h
Type Supportive Connective TissueBone (osseous tissue)Hardest of connective tissuesFunctionsUsed to protect and support the bodyForms “levers” for movementForms red blood cellsStores calcium and phosphorus
Type Supportive Connective TissueBone (osseous tissue)Hardest of connective tissuesFunctionsUsed to protect and support the bodyForms “levers” for movementForms red blood cellsStores calcium and phosphorusComposed of:Bone cells (osteocytes) in lacunae (cavities)Hard matrix of calcium phosphate saltsLarge numbers of collagen fibers
Type Supportive Connective TissueHyaline cartilageMost common cartilageFound on ends of bones in jointsSoft part of noseSupporting rings in respiratory passagesEntire fetal skeleton
Type Supportive Connective TissueHyaline cartilageMost common cartilageFound on ends of bones in jointsSoft part of noseSupporting rings in respiratory passagesEntire fetal skeletonComposed of:Abundant, very fine collagen fibersRubbery matrix
Type Supportive Connective TissueElastic cartilageDense network of elastic fibersMore flexible than hyaline cartilage
Type Supportive Connective TissueElastic cartilageDense network of elastic fibersMore flexible than hyaline cartilageProvides elasticity and supportFoundExternal earEpiglottisParts of larynx
Type Supportive Connective TissueFibrocartilageHighly compressible and very toughExamplesCushion-like discs between vertebraeCushions bones in knees and pelvic girdle

AnatCh3-3

  • 1.
  • 2.
    Connective TissueVariations inblood supplySome tissue types are well vascularizedSome have poor blood supply or are avascularHave receptors forPain, pressure, temperatureExtracellular matrixNon-living material that surrounds living cellsFound everywhere in the bodyNever exposed to the outside environmentIncludes the most abundant and widely distributed tissuesFunctionsBinds body tissues togetherSupports the bodyProvides protectionTransports materials
  • 3.
    Extracellular MatrixTwo mainelementsGround substance – mostly water along with adhesion proteins and polysaccharide moleculesFibersProduced by the cellsThree typesCollagen fibersElastic fibersReticular fibersThe combination of and the type of the two elements determines the connective tissue typeConnective tissue properFluid connective tissueSupporting connective tissue
  • 4.
    Connective Tissue ProperManytypes of cells, fibers and syrupy ground substanceFibroblastsLarge, star-shaped cell that produces fibers by secreting proteins into the matrixMacrophagesFunction as defensive cells, clearing foreign particlesMast cellsBegin body’s defense actions after injury or infectionMatrixGround substanceSyrupy, clear, colorlessFibersCollagen fibers - strong and flexibleElastic fibers - stretches, but returns to original lengthReticular fibers - interwoven networkExamplesSkinFatty tissueTendons and ligaments
  • 5.
    Types Connective TissueProperAreolar connective tissueMost widely distributed connective tissueSoft, pliable tissue (Cobweb-like)
  • 6.
    Types Connective TissueProperAreolar connective tissueMost widely distributed connective tissueSoft, pliable tissue (Cobweb-like)Contains all fiber typesCan soak up excess fluidCusions and protects body organsSeparates from and attaches skin to muscles
  • 7.
    Types Connective TissueProperAdipose tissueMatrix is an areolar tissue fat globules stored in cytoplasmMany cells contain large lipid deposits
  • 8.
    Types Connective TissueProperAdipose tissueMatrix is an areolar tissue fat globules stored in cytoplasmMany cells contain large lipid depositsFunctionsInsulates the bodyProtects some organsServes as a site of fuel storage
  • 9.
    Types Connective TissueProperDense connective tissueMain matrix element is collagen fibers closely packedCells are fibroblasts
  • 10.
    Types Connective TissueProperDense connective tissueMain matrix element is collagen fibers closely packedCells are fibroblastsExamplesTendon – attach muscle to boneLigaments – attach bone to bone
  • 11.
    Types Connective TissueProperReticular connective tissueDelicate network of interwoven fibers
  • 12.
    Types Connective TissueProperReticular connective tissueDelicate network of interwoven fibersForms stroma (internal supporting network) of lymphoid organsLymph nodesSpleen and liverBone marrow
  • 13.
    Fluid Connective TissueBloodBloodcells (red, white, platelets) surrounded by fluid matrix (blood plasma)Fibers are visible during clottingFigure 3.19h
  • 14.
    Fluid Connective TissueBloodBloodcells (red, white, platelets) surrounded by fluid matrix (blood plasma)Fibers are visible during clottingFunctions as the transport vehicle for materialsFigure 3.19h
  • 15.
    Type Supportive ConnectiveTissueBone (osseous tissue)Hardest of connective tissuesFunctionsUsed to protect and support the bodyForms “levers” for movementForms red blood cellsStores calcium and phosphorus
  • 16.
    Type Supportive ConnectiveTissueBone (osseous tissue)Hardest of connective tissuesFunctionsUsed to protect and support the bodyForms “levers” for movementForms red blood cellsStores calcium and phosphorusComposed of:Bone cells (osteocytes) in lacunae (cavities)Hard matrix of calcium phosphate saltsLarge numbers of collagen fibers
  • 17.
    Type Supportive ConnectiveTissueHyaline cartilageMost common cartilageFound on ends of bones in jointsSoft part of noseSupporting rings in respiratory passagesEntire fetal skeleton
  • 18.
    Type Supportive ConnectiveTissueHyaline cartilageMost common cartilageFound on ends of bones in jointsSoft part of noseSupporting rings in respiratory passagesEntire fetal skeletonComposed of:Abundant, very fine collagen fibersRubbery matrix
  • 19.
    Type Supportive ConnectiveTissueElastic cartilageDense network of elastic fibersMore flexible than hyaline cartilage
  • 20.
    Type Supportive ConnectiveTissueElastic cartilageDense network of elastic fibersMore flexible than hyaline cartilageProvides elasticity and supportFoundExternal earEpiglottisParts of larynx
  • 21.
    Type Supportive ConnectiveTissueFibrocartilageHighly compressible and very toughExamplesCushion-like discs between vertebraeCushions bones in knees and pelvic girdle