ACUTE PANCREATITIS
AHMAD IRFAN SYAKIR BIN KAMALUDDIN
Outline
• Anatomy
• Physiology
• Pathophysiology
• Causes
• Presentation
• Classification
• Acute pancreatitis
• Diagnosis
• Investigation
• Severity assessment
• Complication
• Management
• Prognosis
• Chronic pancreatitis
• Exocrine Pancreatic Insuffiency
ANATOMY
• Derived from Greek:
• ‘pan’ (all) and ‘kreas’ (flesh)
• Retroperitonium organ
• Positioned at the level of the transpyloric plane (L1)
• Weighs ~100g and 14-20cm long
• Divided into
• Head
• Body
• Tail
• The head
- lies within the curve of the duodenum, body of the second lumbar
vertebra and the vena cava.
• The neck
-aorta and superior mesenteric vessel behind of the neck
-the superior mesenteric vein joins the splenic vein to form the portal
vein.
• The tip of the pancreatic tail extends up to the splenic hilum
Duct system
• Main pancreatic duct (Wirsung
duct)
• Accessory duct (Santorini duct)
• Pancreatic duct joins CBD to
form ampulla of Vater
Pancreas is
retroperitoneal
organ with
exception of its
tail.
Anatomical relations of the pancreas
Anterior Stomach, lesser sac (omental bursa), transverse mesocolon, superior
mesenteric artery
Posterior Aorta, inferior vena cava, right renal artery, right and left renal veins, superior
mesenteric vessels, splenic vein, hepatic portal vein, left kidney, left suprarenal
gland
Superior Splenic artery
Lateral Spleen
Medial Duodenum (descending and horizontal parts)
ARTERY
VEINS
RESECTIONAL ANATOMY OF PANCREAS
PHYSIOLOGY
Pancrease
Exocrine
(digestion)
Acinar cells & Duct
cells
Endocrine
(glucose homeostasis)
Islet of Langerhans
• Exocrine cells (80-
90%)
• acinar tissue
• clumped around a
central lumen –
communicates with
the duct system
• Exocrine glands
produce
• Trypsin, chymotrypsin
– digest protein
• Amylase –digest
carbohydrate
• Lipase –breakdown
fats
• Endocrine cells
• Clusters of endocrine cells =
islets of Langerhans
• distributed throughout
pancreas
• Consist of
• B cells (75%) – produce
insulins
• A cells (20%) – produce
glucagon
• D cells –produce somatostatin
• PP cells –produce pancreatic
polypeptide
Physiology
• Meal ingested
• Cholecystokinin (CCK) will be released from duodenal mucosa in
response to food
• Secretin will stimulate secretion of large quantities of water solution
of sodium bicarbonate
• Acinar cells produce digestive enzymes
• Packaged into storage vesicles (zymogens)
• Released by exocytosis
• Released via pancreatic ductal cells into pancreatic ducts
• Proenzymes travel to duodenum
• Trypsinogen convert into trypsin
• Facilitates conversion of other proenzymes
into their active forms
• Feedback mechanism
• Limits pancreatic enzyme activation
• High trypsin > decreased CCK and
secretin level > limiting further pancreatic
secretion
Hunger vs Satiety Hormones
• Ghrelin (hungry hormone)
-released primarily in the stomach
-hormone that increase the appetite, increase when person is under
eating and decrease if person overeating.
-sleep deprivation wan associated in increased ghrelin level.
• Leptin (appetite suppressor)
-made by fat cells
-many obese people have built up resistance against leptin hormone
effect
• is inflammation of the gland parenchyma of the pancreas.
• Divided into acute, which is an emergency and chronic which is
prolonged resulting from development of fibrosis In pancreas.
• incidence : 5-30 cases per 100,000
• overall case fatality rate : ~ 5%
• Can occur at any age, with a peak in young men and older women.
PANCREATITIS
Pancreatitis
Acute
Mild
Interstitial oedema of
the gland and minimal
organ dysfunction
Severe
Pancreatic necrosis, a
severe systemic
inflammatory response
and often multi-organ
failure
Chronic
Continuing inflammatory
disease of the pancreas
characterised by
irreversible
morphological change
typically causing pain
and/or permanent loss
of function.
1. ACUTE PANCREATITIS
• An acute condition presenting with abdominal pain and usually
associated with raised pancreatic enzyme levels as a result of
pancreatic inflammation.
• Mechanism of injury
-premature activation of pancreatic enzymes within the pancreas,
leading to process of auto digestion.
a)Acinar cells injury
b)Impair secretion of zymogen
c)Delay of enzymatic secretions
CAUSES
• Common causes:
• Gallstone 50-70%
• Alcohol 25%
• ‘I GET SMASHED’
A) Gallstone
b) Alcohol
Intracellular
accumulation
of digestive
enzymes
Increase
ductules
permeability
Increase
protein
content of
pancreatic
juice
Decrease
HCO3 and
trypsin
inhibitor
c) Idiopathic (10-30% )
• Sludge and microlithiasis
• Relative deficiency of
phosphatidylcholine in bile
• Causing fast and extensive
cholesterol crystallization
d) ERCP
• Mechanical trauma
• Papillary injury
-Spincter of oddi spasm
-Prolonged/repeated attempts at cannulating pancreatic duct
-Multiple contrast injections
-Thermal injury from electrocautery current during sphicterectomy
• Hydrostatic injury
• Over injection of pancreatic duct
e) Trauma
• Penetrating injuries –knives, bullet
• Blunt injuries – steering wheels, bicycles
f) Steroids
• Corticosteroids might obstruct small pancreatic ductules by leading to
increased viscosity of pancreatic secretions, resulting in pancreatic
changes.
• These changes included reduced basophilia, vacuolization of acini,
peripancreatic fat necrosis, and hyperplasia of the islets of
Langerhans
g) Hypercalcaemia
• It is postulated that hypercalcemia leads to accelerated
intrapancreatic conversion of trypsinogen to trypsin, which causes the
pancreatic damage
• Can cause formation of pancreatic calculi and by modifying pancreatic
secretion, may lead to protein plug formation.
h) Hyperlipidemia
• TG > 1000mg/dL, a level at which chylomicrons are present
• Chylomicrons are triglyceride-rich lipoprotein particles.
• These are large enough to occlude the pancreatic capillaries leading
to ischemia and subsequent acinar structural alteration and release of
pancreatic lipase.
i) Viral pancreatitis
• such as Mumps virus, Coxsakie virus, Hepatitis B virus,
Cytomegalovirus, Epstein-Barr virus and Herpes simplex virus
• Direct destruction of pancreatic acinar cells by inflammation and
edema
• The damaging of pancreatic acinar cells by the virus leads to a leaking
intracellular enzyme or precipitates a process of cell death
J) Drugs
• Eg: Sodium valproate, azathioprine, thiazide, frusemide,
metronidazole
• immune-mediated or hypersensitivity reactions
• direct toxic effects
• bradykinin-induced inflammatory reactions
PRESENTATION
Presentation
• Abdominal pain
• acute onset of persistent severe epigastric pain
• radiates to the back
• relief by sitting or leaning forwards
• Nausea and vomiting
• Retching
• Hiccoughs
• Due to gastric distention or irritation of diaphragm
• Risk factors:
• Previous biliary colic
• Binge alcohol consumption
• H/o trauma/MVA
• Family history of HPL
• Recent operative or other invasive procedures
Physical examination:
• Appearance: well or gravely ill –profound shock, toxicity, confusion
• Tachypnoea, tachycardia, hypotension
• Mild icterus
• Pleural effusion, pulmonary edema
• Abdominal tenderness, distention, guarding
• Ascites
• Severe necrotizing pancreatitis
• Cullen sign
• Grey Turner sign
• Erythematous skin nodules
• due to focal subcutaneous fat
necrosis
• <1cm, on extensor skin surface
• polyarthritis
CLASSIFICATION
DIAGNOSIS
Diagnosis
• Requires at least 2 features:
1. Characteristic abdominal pain
2. Biochemical evidence of pancreatitis
• Amylase or lipase >3x above reference range
3. Characteristic imaging findings
• Amylase
• Not specific, Short half life
• Rises within few hours of pancreatic
damage
• Declines over the next 4-8 days
• Lipase
• More sensitive and specific to
pancrease
• Longer half-life, remains high for 12
days
• Does not indicate whether the disease is
mild, moderate or severe
Investigation Findings
FBC • Leucocytosis
• Hemoconcentration due to fluid sequestration
• Low Hct due to dehydration or hemorrhage
RP, e • electrolyte imbalance secondary to third spacing of fluids
• Hypocalcaemia due to saponification of fats in retroperitoneum
• Hypercalcaemia causing pancreatitis
• TRO renal failure
LFT • ALP, TB, AST, ALT
• ALT>150U/L –suggests gallstone pancreatitis
CRP • Indication of prognosis
• Higher level correlates with a propensity towards organ failure
FLP Hyperlipidaemia as the cause
LDH Higher in severe pancreatitis
ABG To monitor oxygenation and acid-base status
IgG4 Autoimmune pancreatitis
IMAGING
Investigation Findings
AXR • Sentinel loop –localized ileus of small intestine
• Colon cut-off sign –spasm of the descending
colon
• Gallstone, pancreatic calcification
CXR • Pleural effusion
• Hemidiaphragm elevation
• Basal atelectasis
• Pulmonary edema –suggestive of ARDS
• Air under diaphragm
- TRO Perforated viscus
Colon cut-off sign
• gaseous distension in proximal colon
+ abrupt termination of gas in the
colon,
+ decompression of distal colon
• The spread of inflammatory
exudates along the phrenicocolic
ligament including the transverse
mesocolon is the reason for the
constriction of the colon in the area
of the left flexure
Sentinel loop sign
• is a short segment of adynamic ileus close
to an intra-abdominal inflammatory
process
• may aid in localizing the source of
inflammation
• upper abdomen – pancreatitis
• right lower quadrant - appendicitis
• Calcification within pancreas
Investigation Findings
USG Abdomen Detect gallstones
Identify area of necrosis –hypoechoic regions
EUS
(Endoscopic
ultrasound)
Visualize pancrease and biliary tract
Detect microlithiasis and periampullary lesions
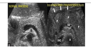
Transverse ultrasound demonstrates
diffuse enlargement of the pancreas ,
which appears abnormally hypoechoic
Investigation Findings
MRCP • Non invasive image of biliary and pancreatic ducts
ERCP • Pancreatitis secondary to chelodecholithiasis
• Biliary pancreatitis with worsening jaundice and clinical
deterioration despite max support therapy
CT • Pancreatic tumour
• Severe pancreatitis
• To assess complications
• Prognosis –Balthazar
CT scan
• Indications:
• Diagnostic uncertainty
• Severe pancreatitis – to distinguish interstitial from
necrotizing pancreatitis (Balthazar criteria)
• Organ failure, signs of sepsis or progressive clinical
deterioration
• Localised complication is suspected – fluid collection,
pseudocyst, pseudoaneurysm
(A) Localised oedema around the pancreas
(B) Extensive fluid collections around the pancreas
Axial CECT in a patient after
ERCP with placement of a
stent >
demonstrates enlargement
of the pancreas, edema
with loss of normal fatty
lobulation, and
peripancreatic fat stranding
and fluid, compatible with
acute edematous
pancreatitis.
SEVERITY ASSESSMENT
Assessment of severity
•Ranson criteria
•Glasgow criteria
•APACHE II score
>10mmol/L
<2.0 mmol/L
If the score ≥ 3, severe pancreatitis likely.
If the score < 3, severe pancreatitis is unlikely
If the score ≥ 3, severe
pancreatitis likely.
If the score < 3, severe
pancreatitis is unlikely
Measure the severity of disease for adult patients admitted to intensive care units
MANAGEMENTS
Principles management of pancreatitis
1. Initial assessment and risk stratification
• Assess hemodynamic status
• Begin resuscitation as needed
• Risk assessment
• to stratify patients into higher- and lower-risk categories
• to assist triage, such as admission to an intensive care setting
• Patients with organ failure
• Admit to intensive care unit or intermediary care setting whenever possible
2. Airway and Breathing support
• Maintain spO2 >95%
• Oxygen supplemental
3. Rest the pancreas
• KNBM
• NG tube
• Beneficial in severe pancreatitis, intractable vomiting, severe ileus and severe
abdominal distention
• Fluid resuscitation
• Prevent hypovolaemia and organ hypoperfusion
4. Analgesics and Antiemetics
4. Blood products in acute pancreatitis
• hemorrhagic pancreatitis – transfuse to HCT level of 30%
• If coagulopathic and bleeding – transfuse FFP and platelets
5. Correct electrolyte abnormalities
• Hypocalcaemia
• Hypokalaemia
• Hypomagnesemia
Nutrition
• Mild AP
• oral feedings can be started immediately if there is no nausea and vomiting,
and abdominal pain has resolved.
• initiation of feeding with a low-fat solid diet appears as safe as a clear liquid
diet.
• Severe AP
• enteral nutrition is recommended to prevent infectious complications.
• Parenteral nutrition should be avoided unless the enteral route is not
available, not tolerated, or not meeting caloric requirements.
Antibiotics
• prophylactic antibiotics in severe acute pancreatitis is not
recommended
• antibiotics in sterile necrosis to prevent the development of infected
necrosis is not recommended
• Infected necrosis should be considered in patients with
• pancreatic or extrapancreatic necrosis
• who deteriorate or fail to improve after 7–10 days of hospitalization.
• antibiotics known to penetrate pancreatic necrosis
• carbapenems, quinolones, and metronidazole
• Treat U/L causes
• Gallstones – early lap cholecystectomy
• Urgent ERCP
• Within 72H
• In pt with gallstones, causing jaundice, cholangitis or dilated CBD
• Reduce incidence of infective complication
COMPLICATIONS
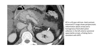
IEP in a 43-year-old man. Axial contrast-
enhanced CT image shows peripancreatic
inflammation (black arrow) and a
homogeneous fluid-attenuation
collection in the left anterior pararenal
space (white arrow), a finding that is
consistent with APFC.
Figure 1 Drawings illustrate pancreatic necrosis (a), peripancreatic necrosis (b), and combined pancreatic-
peripancreatic necrosis (c).
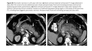
Figure 4b Pancreatic necrosis in a 65-year-old man. (a) Axial contrast material–enhanced CT image obtained 2
days after the onset of acute abdominal pain shows peripancreatic fluid and stranding (arrows) and normal-
appearing pancreatic parenchyma. (b) Axial contrast-enhanced CT image obtained 5 days later owing to the
patient’s worsening clinical condition reveals an ill-defined hypoattenuating region in the body of the pancreas
(*), a finding that suggests pancreatic necrosis. Peripancreatic fluid and stranding (arrows) are also seen.
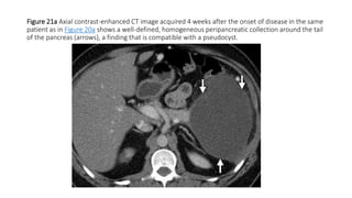
Figure 21a Axial contrast-enhanced CT image acquired 4 weeks after the onset of disease in the same
patient as in Figure 20a shows a well-defined, homogeneous peripancreatic collection around the tail
of the pancreas (arrows), a finding that is compatible with a pseudocyst.
Local complications
• Acute fluid collection
• Sterile and infected pancreatic necrosis
• Pancreatic abscess
• Pancreatic ascites
• Pancreatic effusion
• Haemorrhage
• Portal or splenic vein thrombosis
• pseudocyst
Systemic Complication
• Occurs within days of onset
• Disseminated intravascular coagulation (DIC)
• Acute respiratory distress syndrome (ARDS)
• Hypocalcaemia
• Fat necrosis from released lipases
• results in the release of free fatty acids
• react with serum calcium to form chalky deposits in fatty tissue
• Hyperglycaemia
• Secondary to destruction of islets of Langerhans
• subsequent disturbances to insulin metabolism
Surgery in Acute Pancreatitis
• Mild AP + cholelithiasis
• cholecystectomy should be performed before discharge
• to prevent a recurrence of AP
• necrotizing biliary AP
• cholecystectomy is to be deferred until active inflammation subsides and fluid
collections resolve or stabilize
• to prevent infection
• Asymptomatic pseudocysts + pancreatic and/or extrapancreatic necrosis
• do not warrant intervention regardless of size, location, and/or extension
• stable patients + infected necrosis
• surgical, radiologic, or endoscopic drainage should be delayed (>4 weeks)
• to allow liquefication of the contents and the development of a fibrous wall
around the necrosis (walled-off necrosis)
• symptomatic patients + infected necrosis
• minimally invasive methods of necrosectomy are preferred to open
necrosectomy
Prognosis
• Overall mortality 10-15%
• Patients with biliary pancreatitis have higher mortality than alcoholic
pancreatitis
• In patients with severe disease (organ failure) mortality is ~ 30%
CHRONIC PANCREATITIS
• Chronic pancreatitis is a progressive Inflammatory disease in
which there is irreversible destruction of pancreatic tissues.
• Characterized by severe pain and in later stage, exocrine and
endocrine pancreatic insufficiency.
• Etiology:
-high alcohol consumption
-pancreatic duct obstruction
-congenital abnormalities
-autoimmune pancreatitis
-others
• Clinical features
-pain at epigastric and right subcostal region
-nausea and vomiting
-weight loss
-loss of exocrine function leads to steatorrhea
-loss of endocrine function and development of diabetes
• Investigations
-pancreatic calcification on AXR
-features in CT, MRI, ECRP, EUS
A) Medical treatments
• Treat the addiction
-stop alcohol and tobacco
• Alleviate abdominal pains
-eliminate obstructive factors
• Nutritional and pharmacological measures
-diet low in fat and high in protein and carbohydates
-pancreatic enzyme supplementation with meals
-correct malabsorptions of fat soluble vitamins
• Treat diabetes mellitus
Treatments
b) Endoscopics or Surgical interventions
-relieve obstruction of the pancreatic duct, bile duct or the
duodenum, or in dealing with complications.
• Endoscopic pancreatic spincterotomy
-for papillary stenosis, high spicter pressure, pancreatic ductal
pressure
• Pancreatoduodenectomy (Beger procedure)
-mass in the head of pancrease
• Longitudinal pancreatojejunostomy (Frey procedure)
-if duct is markedly dilated
• Deficiency of the exocrine pancreatic enzyme, resulting in
the inability to digest food properly, or maldigestion.
• Amylase, lipase, protease
• Management
-lifestyle modifications: ex- avoiding fatty foods, limitation of
alcohol intake, consumption of well-balanced diet
-vitamin supplementation (A, D, E, K)
-Pancreatic Enzyme Replacement Theraphy (PERT)
Exocrine Pancreatic Insuffiency
• Basis of treatment of EPI
• Typical indication are progressive weight loss and
steatorrhea.
• The Pancreatic Enzyme Products (PEPs) use for PERT are
extract of porcine pancreas that contain all 3 pancreatic
enzymes (amylase, lipase, protease)
- Creon, Zenpap, Pancreaze, Ultresa Viokace, Pertzye
Pancreatic Enzyme Replacement Theraphy (PERT)
NON-ALCOHOLIC FATTY PANCREAS DISEASE (NAFPD)
• Fat accumulation in the pancreas, defined as fatty pancreas, is usually an
incidental finding during transabdominal ultrasound examination.
• Fatty pancreas without any significant alcohol consumption is defined as non-
alcoholic fatty pancreas disease
• Its clinical impact is still largely unknown, hypothetically the disease progression
could lead to chronic pancreatitis and possibly pancreatic cancer development.
• Metabolic problems such as diabetes, central obesity, fatty liver, and
dyslipidaemia have been considered important risk factors related to non-
alcoholic fatty pancreas disease and pancreatic cancer
ABSTRACT
Endoscopic ultrasound image showing bright
hyperechoic of pancreas parenchyma.
The risk induction factors of steatopancreatitis include:
(a) Congenital diseases (Shwachman-Diamond
syndrome, Johanson-Blizzard syndrome, cystic
fibrosis, heterozygous carboxyl-ester lipase mutation)
(b) Alcohol abuse
(c) Infections (viral infection with Reovirus)
(d) Hemochromatosis
(e) Medicines (rosiglitazone, corticosteroids, octreotide,
gemcitabine)
(f) Malnutrition
(g) NAFLD, chronic hepatitis B
CAN YOU LIVE WITHOUT THE PANCREAS?
By Professor Hemant Kocher
MBBS, MS, MD, FRCS
Professor of Liver and Pancreas Surgery
“Total removal of the pancreas requires very
careful medical treatment and close
monitoring by a specialist. With medications,
many such patients can achieve good quality
of life and sometimes normal function and
work. There are no long-term studies on
patients who have no pancreas left, but from
experience patients go on to have normal life
expectancy with careful medical
supervision.”
References:
• American Gastroenterological Association Institute Guideline on Initial
Management of Acute Pancreatitis
https://www.gastrojournal.org/article/S0016-5085(18)30076-
3/fulltext#secsectitle0025
• Acute Pancreatitis Medication
https://emedicine.medscape.com/article/181364-medication#showall
• Bailey & Love
• RadioGraphics. Necrotizing Pancreatitis: Diagnosis, Imaging, and
Intervention
https://pubs.rsna.org/doi/full/10.1148/rg.345130012
• https://epomedicine.com/clinical-cases/acute-pancreatitis-case-
discussion/
References:
• https://www.cureus.com/articles/36219-steroid-induced-
pancreatitis-a-challenging-diagnosis
• https://www.ijem.in/article.asp?issn=2230-
8210;year=2013;volume=17;issue=5;spage=799;epage=805;aulast=K
ota
• https://www.ncbi.nlm.nih.gov/pmc/articles/PMC4919820/#:~:text=It
%20is%20postulated%20that%20hypercalcemia,6%2C%207%2C%208
%5D.
References:
https://www.topdoctors.co.uk/medical-articles/can-you-live-
without-the-pancreas#
https://www.emjreviews.com/gastroenterology/article/non-alcoholic-fatty-
pancreas-disease-pancreatic-cancer-and-impact-of-endoscopic-ultrasound-
examination-on-screening-and-
surveillance/#:~:text=Fat%20accumulation%20in%20the%20pancreas,non
%2Dalcoholic%20fatty%20pancreas%20disease.
Anatomy and Histology of the Pancreas
Daniel Longnecker, MD
Department of Pathology, Geisel School of Medicine at
Dartmouth, Lebanon, NH
https://www.slideshare.net/HappyKagathara/3-cmeasa-
ahmedabad-january-2015
THANK YOU

Acute Pancreatitis

  • 1.
    ACUTE PANCREATITIS AHMAD IRFANSYAKIR BIN KAMALUDDIN
  • 2.
    Outline • Anatomy • Physiology •Pathophysiology • Causes • Presentation • Classification • Acute pancreatitis • Diagnosis • Investigation • Severity assessment • Complication • Management • Prognosis • Chronic pancreatitis • Exocrine Pancreatic Insuffiency
  • 3.
  • 4.
    • Derived fromGreek: • ‘pan’ (all) and ‘kreas’ (flesh) • Retroperitonium organ • Positioned at the level of the transpyloric plane (L1) • Weighs ~100g and 14-20cm long • Divided into • Head • Body • Tail
  • 9.
    • The head -lies within the curve of the duodenum, body of the second lumbar vertebra and the vena cava. • The neck -aorta and superior mesenteric vessel behind of the neck -the superior mesenteric vein joins the splenic vein to form the portal vein. • The tip of the pancreatic tail extends up to the splenic hilum
  • 10.
    Duct system • Mainpancreatic duct (Wirsung duct) • Accessory duct (Santorini duct) • Pancreatic duct joins CBD to form ampulla of Vater
  • 12.
  • 14.
    Anatomical relations ofthe pancreas Anterior Stomach, lesser sac (omental bursa), transverse mesocolon, superior mesenteric artery Posterior Aorta, inferior vena cava, right renal artery, right and left renal veins, superior mesenteric vessels, splenic vein, hepatic portal vein, left kidney, left suprarenal gland Superior Splenic artery Lateral Spleen Medial Duodenum (descending and horizontal parts)
  • 15.
  • 16.
  • 17.
  • 23.
  • 24.
    Pancrease Exocrine (digestion) Acinar cells &Duct cells Endocrine (glucose homeostasis) Islet of Langerhans
  • 26.
    • Exocrine cells(80- 90%) • acinar tissue • clumped around a central lumen – communicates with the duct system • Exocrine glands produce • Trypsin, chymotrypsin – digest protein • Amylase –digest carbohydrate • Lipase –breakdown fats
  • 27.
    • Endocrine cells •Clusters of endocrine cells = islets of Langerhans • distributed throughout pancreas • Consist of • B cells (75%) – produce insulins • A cells (20%) – produce glucagon • D cells –produce somatostatin • PP cells –produce pancreatic polypeptide
  • 28.
    Physiology • Meal ingested •Cholecystokinin (CCK) will be released from duodenal mucosa in response to food • Secretin will stimulate secretion of large quantities of water solution of sodium bicarbonate • Acinar cells produce digestive enzymes • Packaged into storage vesicles (zymogens) • Released by exocytosis • Released via pancreatic ductal cells into pancreatic ducts
  • 30.
    • Proenzymes travelto duodenum • Trypsinogen convert into trypsin • Facilitates conversion of other proenzymes into their active forms • Feedback mechanism • Limits pancreatic enzyme activation • High trypsin > decreased CCK and secretin level > limiting further pancreatic secretion
  • 31.
    Hunger vs SatietyHormones • Ghrelin (hungry hormone) -released primarily in the stomach -hormone that increase the appetite, increase when person is under eating and decrease if person overeating. -sleep deprivation wan associated in increased ghrelin level. • Leptin (appetite suppressor) -made by fat cells -many obese people have built up resistance against leptin hormone effect
  • 32.
    • is inflammationof the gland parenchyma of the pancreas. • Divided into acute, which is an emergency and chronic which is prolonged resulting from development of fibrosis In pancreas. • incidence : 5-30 cases per 100,000 • overall case fatality rate : ~ 5% • Can occur at any age, with a peak in young men and older women. PANCREATITIS
  • 33.
    Pancreatitis Acute Mild Interstitial oedema of thegland and minimal organ dysfunction Severe Pancreatic necrosis, a severe systemic inflammatory response and often multi-organ failure Chronic Continuing inflammatory disease of the pancreas characterised by irreversible morphological change typically causing pain and/or permanent loss of function.
  • 34.
  • 35.
    • An acutecondition presenting with abdominal pain and usually associated with raised pancreatic enzyme levels as a result of pancreatic inflammation. • Mechanism of injury -premature activation of pancreatic enzymes within the pancreas, leading to process of auto digestion. a)Acinar cells injury b)Impair secretion of zymogen c)Delay of enzymatic secretions
  • 36.
  • 41.
    • Common causes: •Gallstone 50-70% • Alcohol 25% • ‘I GET SMASHED’
  • 42.
  • 43.
  • 44.
    c) Idiopathic (10-30%) • Sludge and microlithiasis • Relative deficiency of phosphatidylcholine in bile • Causing fast and extensive cholesterol crystallization
  • 45.
    d) ERCP • Mechanicaltrauma • Papillary injury -Spincter of oddi spasm -Prolonged/repeated attempts at cannulating pancreatic duct -Multiple contrast injections -Thermal injury from electrocautery current during sphicterectomy • Hydrostatic injury • Over injection of pancreatic duct
  • 46.
    e) Trauma • Penetratinginjuries –knives, bullet • Blunt injuries – steering wheels, bicycles
  • 47.
    f) Steroids • Corticosteroidsmight obstruct small pancreatic ductules by leading to increased viscosity of pancreatic secretions, resulting in pancreatic changes. • These changes included reduced basophilia, vacuolization of acini, peripancreatic fat necrosis, and hyperplasia of the islets of Langerhans
  • 48.
    g) Hypercalcaemia • Itis postulated that hypercalcemia leads to accelerated intrapancreatic conversion of trypsinogen to trypsin, which causes the pancreatic damage • Can cause formation of pancreatic calculi and by modifying pancreatic secretion, may lead to protein plug formation.
  • 49.
    h) Hyperlipidemia • TG> 1000mg/dL, a level at which chylomicrons are present • Chylomicrons are triglyceride-rich lipoprotein particles. • These are large enough to occlude the pancreatic capillaries leading to ischemia and subsequent acinar structural alteration and release of pancreatic lipase.
  • 50.
    i) Viral pancreatitis •such as Mumps virus, Coxsakie virus, Hepatitis B virus, Cytomegalovirus, Epstein-Barr virus and Herpes simplex virus • Direct destruction of pancreatic acinar cells by inflammation and edema • The damaging of pancreatic acinar cells by the virus leads to a leaking intracellular enzyme or precipitates a process of cell death
  • 51.
    J) Drugs • Eg:Sodium valproate, azathioprine, thiazide, frusemide, metronidazole • immune-mediated or hypersensitivity reactions • direct toxic effects • bradykinin-induced inflammatory reactions
  • 52.
  • 53.
    Presentation • Abdominal pain •acute onset of persistent severe epigastric pain • radiates to the back • relief by sitting or leaning forwards • Nausea and vomiting • Retching • Hiccoughs • Due to gastric distention or irritation of diaphragm
  • 54.
    • Risk factors: •Previous biliary colic • Binge alcohol consumption • H/o trauma/MVA • Family history of HPL • Recent operative or other invasive procedures
  • 55.
    Physical examination: • Appearance:well or gravely ill –profound shock, toxicity, confusion • Tachypnoea, tachycardia, hypotension • Mild icterus • Pleural effusion, pulmonary edema • Abdominal tenderness, distention, guarding • Ascites
  • 56.
    • Severe necrotizingpancreatitis • Cullen sign • Grey Turner sign • Erythematous skin nodules • due to focal subcutaneous fat necrosis • <1cm, on extensor skin surface • polyarthritis
  • 57.
  • 59.
  • 60.
    Diagnosis • Requires atleast 2 features: 1. Characteristic abdominal pain 2. Biochemical evidence of pancreatitis • Amylase or lipase >3x above reference range 3. Characteristic imaging findings
  • 61.
    • Amylase • Notspecific, Short half life • Rises within few hours of pancreatic damage • Declines over the next 4-8 days • Lipase • More sensitive and specific to pancrease • Longer half-life, remains high for 12 days • Does not indicate whether the disease is mild, moderate or severe
  • 63.
    Investigation Findings FBC •Leucocytosis • Hemoconcentration due to fluid sequestration • Low Hct due to dehydration or hemorrhage RP, e • electrolyte imbalance secondary to third spacing of fluids • Hypocalcaemia due to saponification of fats in retroperitoneum • Hypercalcaemia causing pancreatitis • TRO renal failure LFT • ALP, TB, AST, ALT • ALT>150U/L –suggests gallstone pancreatitis CRP • Indication of prognosis • Higher level correlates with a propensity towards organ failure FLP Hyperlipidaemia as the cause LDH Higher in severe pancreatitis ABG To monitor oxygenation and acid-base status IgG4 Autoimmune pancreatitis
  • 64.
  • 65.
    Investigation Findings AXR •Sentinel loop –localized ileus of small intestine • Colon cut-off sign –spasm of the descending colon • Gallstone, pancreatic calcification CXR • Pleural effusion • Hemidiaphragm elevation • Basal atelectasis • Pulmonary edema –suggestive of ARDS • Air under diaphragm - TRO Perforated viscus
  • 66.
    Colon cut-off sign •gaseous distension in proximal colon + abrupt termination of gas in the colon, + decompression of distal colon • The spread of inflammatory exudates along the phrenicocolic ligament including the transverse mesocolon is the reason for the constriction of the colon in the area of the left flexure
  • 67.
    Sentinel loop sign •is a short segment of adynamic ileus close to an intra-abdominal inflammatory process • may aid in localizing the source of inflammation • upper abdomen – pancreatitis • right lower quadrant - appendicitis
  • 69.
  • 70.
    Investigation Findings USG AbdomenDetect gallstones Identify area of necrosis –hypoechoic regions EUS (Endoscopic ultrasound) Visualize pancrease and biliary tract Detect microlithiasis and periampullary lesions
  • 73.
    Transverse ultrasound demonstrates diffuseenlargement of the pancreas , which appears abnormally hypoechoic
  • 77.
    Investigation Findings MRCP •Non invasive image of biliary and pancreatic ducts ERCP • Pancreatitis secondary to chelodecholithiasis • Biliary pancreatitis with worsening jaundice and clinical deterioration despite max support therapy CT • Pancreatic tumour • Severe pancreatitis • To assess complications • Prognosis –Balthazar
  • 78.
    CT scan • Indications: •Diagnostic uncertainty • Severe pancreatitis – to distinguish interstitial from necrotizing pancreatitis (Balthazar criteria) • Organ failure, signs of sepsis or progressive clinical deterioration • Localised complication is suspected – fluid collection, pseudocyst, pseudoaneurysm
  • 79.
    (A) Localised oedemaaround the pancreas (B) Extensive fluid collections around the pancreas
  • 80.
    Axial CECT ina patient after ERCP with placement of a stent > demonstrates enlargement of the pancreas, edema with loss of normal fatty lobulation, and peripancreatic fat stranding and fluid, compatible with acute edematous pancreatitis.
  • 82.
  • 83.
    Assessment of severity •Ransoncriteria •Glasgow criteria •APACHE II score
  • 84.
    >10mmol/L <2.0 mmol/L If thescore ≥ 3, severe pancreatitis likely. If the score < 3, severe pancreatitis is unlikely
  • 85.
    If the score≥ 3, severe pancreatitis likely. If the score < 3, severe pancreatitis is unlikely
  • 86.
    Measure the severityof disease for adult patients admitted to intensive care units
  • 87.
  • 88.
    Principles management ofpancreatitis 1. Initial assessment and risk stratification • Assess hemodynamic status • Begin resuscitation as needed • Risk assessment • to stratify patients into higher- and lower-risk categories • to assist triage, such as admission to an intensive care setting • Patients with organ failure • Admit to intensive care unit or intermediary care setting whenever possible
  • 89.
    2. Airway andBreathing support • Maintain spO2 >95% • Oxygen supplemental 3. Rest the pancreas • KNBM • NG tube • Beneficial in severe pancreatitis, intractable vomiting, severe ileus and severe abdominal distention • Fluid resuscitation • Prevent hypovolaemia and organ hypoperfusion 4. Analgesics and Antiemetics
  • 90.
    4. Blood productsin acute pancreatitis • hemorrhagic pancreatitis – transfuse to HCT level of 30% • If coagulopathic and bleeding – transfuse FFP and platelets 5. Correct electrolyte abnormalities • Hypocalcaemia • Hypokalaemia • Hypomagnesemia
  • 91.
    Nutrition • Mild AP •oral feedings can be started immediately if there is no nausea and vomiting, and abdominal pain has resolved. • initiation of feeding with a low-fat solid diet appears as safe as a clear liquid diet. • Severe AP • enteral nutrition is recommended to prevent infectious complications. • Parenteral nutrition should be avoided unless the enteral route is not available, not tolerated, or not meeting caloric requirements.
  • 92.
    Antibiotics • prophylactic antibioticsin severe acute pancreatitis is not recommended • antibiotics in sterile necrosis to prevent the development of infected necrosis is not recommended • Infected necrosis should be considered in patients with • pancreatic or extrapancreatic necrosis • who deteriorate or fail to improve after 7–10 days of hospitalization. • antibiotics known to penetrate pancreatic necrosis • carbapenems, quinolones, and metronidazole
  • 93.
    • Treat U/Lcauses • Gallstones – early lap cholecystectomy • Urgent ERCP • Within 72H • In pt with gallstones, causing jaundice, cholangitis or dilated CBD • Reduce incidence of infective complication
  • 94.
  • 97.
    IEP in a43-year-old man. Axial contrast- enhanced CT image shows peripancreatic inflammation (black arrow) and a homogeneous fluid-attenuation collection in the left anterior pararenal space (white arrow), a finding that is consistent with APFC.
  • 98.
    Figure 1 Drawingsillustrate pancreatic necrosis (a), peripancreatic necrosis (b), and combined pancreatic- peripancreatic necrosis (c).
  • 99.
    Figure 4b Pancreaticnecrosis in a 65-year-old man. (a) Axial contrast material–enhanced CT image obtained 2 days after the onset of acute abdominal pain shows peripancreatic fluid and stranding (arrows) and normal- appearing pancreatic parenchyma. (b) Axial contrast-enhanced CT image obtained 5 days later owing to the patient’s worsening clinical condition reveals an ill-defined hypoattenuating region in the body of the pancreas (*), a finding that suggests pancreatic necrosis. Peripancreatic fluid and stranding (arrows) are also seen.
  • 100.
    Figure 21a Axialcontrast-enhanced CT image acquired 4 weeks after the onset of disease in the same patient as in Figure 20a shows a well-defined, homogeneous peripancreatic collection around the tail of the pancreas (arrows), a finding that is compatible with a pseudocyst.
  • 101.
    Local complications • Acutefluid collection • Sterile and infected pancreatic necrosis • Pancreatic abscess • Pancreatic ascites • Pancreatic effusion • Haemorrhage • Portal or splenic vein thrombosis • pseudocyst
  • 102.
    Systemic Complication • Occurswithin days of onset • Disseminated intravascular coagulation (DIC) • Acute respiratory distress syndrome (ARDS) • Hypocalcaemia • Fat necrosis from released lipases • results in the release of free fatty acids • react with serum calcium to form chalky deposits in fatty tissue • Hyperglycaemia • Secondary to destruction of islets of Langerhans • subsequent disturbances to insulin metabolism
  • 103.
    Surgery in AcutePancreatitis • Mild AP + cholelithiasis • cholecystectomy should be performed before discharge • to prevent a recurrence of AP • necrotizing biliary AP • cholecystectomy is to be deferred until active inflammation subsides and fluid collections resolve or stabilize • to prevent infection • Asymptomatic pseudocysts + pancreatic and/or extrapancreatic necrosis • do not warrant intervention regardless of size, location, and/or extension
  • 104.
    • stable patients+ infected necrosis • surgical, radiologic, or endoscopic drainage should be delayed (>4 weeks) • to allow liquefication of the contents and the development of a fibrous wall around the necrosis (walled-off necrosis) • symptomatic patients + infected necrosis • minimally invasive methods of necrosectomy are preferred to open necrosectomy
  • 105.
    Prognosis • Overall mortality10-15% • Patients with biliary pancreatitis have higher mortality than alcoholic pancreatitis • In patients with severe disease (organ failure) mortality is ~ 30%
  • 106.
  • 107.
    • Chronic pancreatitisis a progressive Inflammatory disease in which there is irreversible destruction of pancreatic tissues. • Characterized by severe pain and in later stage, exocrine and endocrine pancreatic insufficiency. • Etiology: -high alcohol consumption -pancreatic duct obstruction -congenital abnormalities -autoimmune pancreatitis -others
  • 108.
    • Clinical features -painat epigastric and right subcostal region -nausea and vomiting -weight loss -loss of exocrine function leads to steatorrhea -loss of endocrine function and development of diabetes • Investigations -pancreatic calcification on AXR -features in CT, MRI, ECRP, EUS
  • 109.
    A) Medical treatments •Treat the addiction -stop alcohol and tobacco • Alleviate abdominal pains -eliminate obstructive factors • Nutritional and pharmacological measures -diet low in fat and high in protein and carbohydates -pancreatic enzyme supplementation with meals -correct malabsorptions of fat soluble vitamins • Treat diabetes mellitus Treatments
  • 110.
    b) Endoscopics orSurgical interventions -relieve obstruction of the pancreatic duct, bile duct or the duodenum, or in dealing with complications. • Endoscopic pancreatic spincterotomy -for papillary stenosis, high spicter pressure, pancreatic ductal pressure • Pancreatoduodenectomy (Beger procedure) -mass in the head of pancrease • Longitudinal pancreatojejunostomy (Frey procedure) -if duct is markedly dilated
  • 112.
    • Deficiency ofthe exocrine pancreatic enzyme, resulting in the inability to digest food properly, or maldigestion. • Amylase, lipase, protease • Management -lifestyle modifications: ex- avoiding fatty foods, limitation of alcohol intake, consumption of well-balanced diet -vitamin supplementation (A, D, E, K) -Pancreatic Enzyme Replacement Theraphy (PERT) Exocrine Pancreatic Insuffiency
  • 113.
    • Basis oftreatment of EPI • Typical indication are progressive weight loss and steatorrhea. • The Pancreatic Enzyme Products (PEPs) use for PERT are extract of porcine pancreas that contain all 3 pancreatic enzymes (amylase, lipase, protease) - Creon, Zenpap, Pancreaze, Ultresa Viokace, Pertzye Pancreatic Enzyme Replacement Theraphy (PERT)
  • 114.
  • 115.
    • Fat accumulationin the pancreas, defined as fatty pancreas, is usually an incidental finding during transabdominal ultrasound examination. • Fatty pancreas without any significant alcohol consumption is defined as non- alcoholic fatty pancreas disease • Its clinical impact is still largely unknown, hypothetically the disease progression could lead to chronic pancreatitis and possibly pancreatic cancer development. • Metabolic problems such as diabetes, central obesity, fatty liver, and dyslipidaemia have been considered important risk factors related to non- alcoholic fatty pancreas disease and pancreatic cancer ABSTRACT
  • 116.
    Endoscopic ultrasound imageshowing bright hyperechoic of pancreas parenchyma.
  • 117.
    The risk inductionfactors of steatopancreatitis include: (a) Congenital diseases (Shwachman-Diamond syndrome, Johanson-Blizzard syndrome, cystic fibrosis, heterozygous carboxyl-ester lipase mutation) (b) Alcohol abuse (c) Infections (viral infection with Reovirus) (d) Hemochromatosis (e) Medicines (rosiglitazone, corticosteroids, octreotide, gemcitabine) (f) Malnutrition (g) NAFLD, chronic hepatitis B
  • 118.
    CAN YOU LIVEWITHOUT THE PANCREAS? By Professor Hemant Kocher MBBS, MS, MD, FRCS Professor of Liver and Pancreas Surgery
  • 119.
    “Total removal ofthe pancreas requires very careful medical treatment and close monitoring by a specialist. With medications, many such patients can achieve good quality of life and sometimes normal function and work. There are no long-term studies on patients who have no pancreas left, but from experience patients go on to have normal life expectancy with careful medical supervision.”
  • 120.
    References: • American GastroenterologicalAssociation Institute Guideline on Initial Management of Acute Pancreatitis https://www.gastrojournal.org/article/S0016-5085(18)30076- 3/fulltext#secsectitle0025 • Acute Pancreatitis Medication https://emedicine.medscape.com/article/181364-medication#showall • Bailey & Love • RadioGraphics. Necrotizing Pancreatitis: Diagnosis, Imaging, and Intervention https://pubs.rsna.org/doi/full/10.1148/rg.345130012 • https://epomedicine.com/clinical-cases/acute-pancreatitis-case- discussion/
  • 121.
  • 122.
  • 123.

Editor's Notes

  • #9 The head lies within the curve of the duodenum, overlying the body of the second lumbar vertebra and the vena cava. The aorta and the superior mesenteric vessels lie behind the neck of the gland. Coming off the side of the pancreatic head and passing to the left and behind the superior mesenteric vein is the uncinate process of the pancreas. Behind the neck of the pancreas, near its upper border, the superior mesenteric vein joins the splenic vein to form the portal vein (Figures 68.1 and 68.2). The tip of the pancreatic tail extends up to the splenic hilum
  • #11 Main pancreatic duct branches into interlobular and intralobular ducts, ductules and acini Main ducts – columnar epithelium ; becomes cuboidal in ductules The integrity of the duct system is of key importance in preventing entry of the exocrine enzymes into the interstitial space where they may be activated and cause tissue damage manifest as pancreatitis. The main and interlobular ducts have thick dense collagenous walls. The connective tissue component of the duct wall becomes progressively thinner as the ducts branch and become narrower. Intercellular tight junctions, also called zonula occludens, between duct cells, centroacinar cells and acinar cells play a major role in preventing leakage of the duct system. These have not been well illustrated although they can be seen in Fig. 21 and 22 as dark, thickened zones in the adjacent cell membranes near the acinar or duct lumen. The chapter by Kern in The Pancreas provides excellent images and discussion of these tight junctions (8). The integrity of the duct system is of key importance in preventing entry of the exocrine enzymes into the interstitial space where they may be activated and cause tissue damage manifest as pancreatitis. The main and interlobular ducts have thick dense collagenous walls. The connective tissue component of the duct wall becomes progressively thinner as the ducts branch and become narrower. Intercellular tight junctions, also called zonula occludens, between duct cells, centroacinar cells and acinar cells play a major role in preventing leakage of the duct system. These have not been well illustrated although they can be seen in Fig. 21 and 22 as dark, thickened zones in the adjacent cell membranes near the acinar or duct lumen. The chapter by Kern in The Pancreas provides excellent images and discussion of these tight junctions (8).
  • #16 THE SPLENIC AND THE SUPERIOR AND INFERIOR PANCRETICODUODENAL ARTERIES SUPPLY THE PANCREASE
  • #17 THE SPLENIC AND THE SUPERIOR AND INFERIOR PANCRETICODUODENAL VEINS SUPPLY THE PANCREASE
  • #19 Approach to pancreas (PD) • Right subcostal incision with Midline extension • Entering the lesser sac – Approach • Divide of the greater omentum below the gastroepiploic arcade, or • Release of the greater omentum from its attachment to the transverse colon – The anterior surface of the neck, body and tail are often visible but may be obscured by congenital flimsy adhesions to the posterior wall of the stomach
  • #20 Approach to pancreas (PD) • Exposure of head – Mobilization of the right side of the transverse colon and hepatic flexure inferiorly – Kocher maneuver (2nd part of duodenum)
  • #25 https://link.springer.com/chapter/10.1007/978-94-017-8771-0_4#:~:text=the%20Pancreatic%20Functions-,The%20human%20pancreas%20consists%20of%20two%20organs%20in%20one%20structure,and%20ipsilon%2D%20cells%20that%20produce The human pancreas consists of two organs in one structure: the exocrine gland made up of pancreatic acinar cells and duct cells that produce digestive enzymes and sodium bicarbonate, respectively; the endocrine gland made up of four islet cells, namely alpha-, beta-, delta-, PP-, and ipsilon- cells that produce glucagon, insulin, somatostatin, pancreatic polypeptide, and ghrelin respectively. While the physiological role of exocrine pancreas (>80 % by volume) is to secrete digestive enzymes responsible for our normal digestion, absorption and assimilation of nutrients, the endocrine pancreas (<2 % by volume) is to secrete islet peptide hormones for the maintenance of our glucose homeostasis. The pancreatic functions are finely regulated by neurocrine, endocrine, paracrine and/or intracrine mechanisms. Thus, dysregulation of these pathways should have significant impacts on our health and disease. Nevertheless, the underlying mechanisms by which pancreatic functions are regulated remain poorly understood
  • #27 https://columbiasurgery.org/pancreas/pancreas-and-its-functions
  • #28 Endocrine – islets cells Produce hormones Insulin – lower blood sugar Glucagon –raise blood sugar The pancreatic islets each contain four varieties of cells: The alpha cell produces the hormone glucagon and makes up approximately 20 percent of each islet. Low blood glucose levels stimulate the release of glucagon. The beta cell produces the hormone insulin and makes up approximately 75 percent of each islet. Elevated blood glucose levels stimulate the release of insulin. The delta cell accounts for four percent of the islet cells and secretes the peptide hormone somatostatin. Recall that somatostatin is also released by the hypothalamus, stomach and intestines. An inhibiting hormone, pancreatic somatostatin inhibits the release of both glucagon and insulin. The pancreatic polypeptide cell (PP cell) accounts for about one percent of islet cells and secretes the pancreatic polypeptide hormone. It is thought to play a role in appetite, as well as in the regulation of pancreatic exocrine and endocrine secretions. Pancreatic polypeptide released following a meal may reduce further food consumption; however, it is also released in response to fasting. https://open.oregonstate.education/aandp/chapter/17-9-the-pancreas/
  • #29 https://www.intechopen.com/books/challenges-in-pancreatic-pathology/pancreas-physiology https://www.pancreapedia.org/reviews/anatomy-and-histology-of-pancreas Digestive enzymes are stored in zymogen granules At apical membrane of acinar cells Released by exocytosis Into acinar lumen and then into small intestine Ach and CCK Stimulate acinar cells Secrete protein rich fluids –containing Na Cl H Modified by ductal cells Enzymes from acinar cells are released into bicarbonate-rich solution (secreted by centroacinar and ductal cells) flows from acini and acinar tubules > intralobular ducts > interlobular ducts > main ducts > duodenum (at major or minor papillae) https://www.intechopen.com/books/challenges-in-pancreatic-pathology/pancreas-physiology entry of acidic chyme from stomach into duodenum pH below 2-4.5 Stimulate secretin release from neuroendocrine S cells in proximal duodenum Fatty acids and bile salts Stimulate secretin release CCK acts as a potentiator of secretin effects on ductal HCO3 and fluid output Meal Causes pancreatic secretion –rich in enzymes CCK and secretion amplify secretory response
  • #31 Https://www.intechopen.com/books/challenges-in-pancreatic-pathology/pancreas-physiology Pancreatic juice Pancreatic acinar cells: Neural, isotonic, NA Cl H rich fluid, active digestive proteins + zymogens Pancreatic ductal cells: Alkaline, isotonic and HCO3 rich fluid 1-2.5L pancreatic fluids per day Ezymes secreted by acinar cells Precursor enzymes: trypsinogen, chymotrypsinogen Active forms: lipases, colipases, amylase, collagenases, elastases, etc
  • #32 Https://www.intechopen.com/books/challenges-in-pancreatic-pathology/pancreas-physiology Pancreatic juice Pancreatic acinar cells: Neural, isotonic, NA Cl H rich fluid, active digestive proteins + zymogens Pancreatic ductal cells: Alkaline, isotonic and HCO3 rich fluid 1-2.5L pancreatic fluids per day Ezymes secreted by acinar cells Precursor enzymes: trypsinogen, chymotrypsinogen Active forms: lipases, colipases, amylase, collagenases, elastases, etc
  • #33 The underlying mechanism of injury in pancreatitis is thought to be premature activation of pancreatic enzymes within the pancreas, leading to a process of autodigestion. Anything that injures the acinar cell and impairs the secretion of zymogen granules, or damages the duct epithelium and thus delays enzymatic secretion, can trigger acute pancreatitis. Once cellular injury has been initiated, the inflammatory process can lead to pancreatic oedema, haemorrhage and, eventually, necrosis. As inflammatory mediators are released into the circulation, systemic complications can arise, such as haemodynamic instability, bacteraemia (due to translocation of gut flora), acute respiratory distress syndrome and pleural effusions, gastrointestinal haemorrhage, renal failure and disseminated intravascular coagulation (DIC).
  • #36 The underlying mechanism of injury in pancreatitis is thought to be premature activation of pancreatic enzymes within the pancreas, leading to a process of autodigestion. Anything that injures the acinar cell and impairs the secretion of zymogen granules, or damages the duct epithelium and thus delays enzymatic secretion, can trigger acute pancreatitis. Once cellular injury has been initiated, the inflammatory process can lead to pancreatic oedema, haemorrhage and, eventually, necrosis. As inflammatory mediators are released into the circulation, systemic complications can arise, such as haemodynamic instability, bacteraemia (due to translocation of gut flora), acute respiratory distress syndrome and pleural effusions, gastrointestinal haemorrhage, renal failure and disseminated intravascular coagulation (DIC).
  • #40 https://epomedicine.com/clinical-cases/acute-pancreatitis-case-discussion/ Regardless of the instigating mechanism, the conventional theory for progression of pancreatic injury to pancreatitis dictates that premature activation of proteolytic enzymes leads to autodigestion of pancreatic cells. The resulting decrease in acinar duct secretion decreases protective flushing activity of the pancreatic duct, thereby activating the inflammatory cascade, ultimately leading to pancreatitis.
  • #43  Gallstone Common causes, F>M Stone in bile duct and temporarily lodging at sphincter of Oddi Outflow obstruction cause increasing pancreatic duct pressure Toxic effect of bile salts causes acinar cells injury
  • #44 Alcohol Intracellular accumulation of digestive enzymes premature aactivation and release Increases ductules permeability Enzymes reach parenchyma and causing pancreatic damages Increase protein content of pancreatic juice and decrease bicarbonate levels and trypsin inhibitor concentration Formation of protein plugs Block pancreatic outlow
  • #45 Microlithiasis – functional obstruction at sphincter of oddi Induce papillitis, papillary spasm or papillary stenosis Reflux of bile and pancreatic secretions into pancreatic duct Acivated ancreatic enzymes into glandular interstitium Trigger cytokines and a bout of AP Pregnancy, rapid weight loss, gastrectomy and octreotide treatment are associated with the development of sludge This relative phosphatidylcholine deficiency was due to missense mutations in the multidrug resistance protein 3 (MDR3) gene.18 The MDR3 gene encodes for a phosphatidylcholine translocator protein at the canalicular membrane of the hepatocyte, which facilitates the transport of phosphatidylcholine to canalicular bile. https://www.sciencedirect.com/science/article/pii/S1665268119321556
  • #46 The mechanical trauma theory proposes that injury to the papillary orifice may cause sphincter of Oddi spasm or edema of the pancreatic orifice, thereby leading to obstruction of pancreatic juice outflow, and promoting pancreatic injury and inflammation. Papillary injury can occur during ERCP by prolonged or repeated attempts at cannulating the pancreatic duct , multiple contrast injections into the pancreatic duct [17], or thermal injury from electrocautery current during sphincterotomy [18]. The theory of hydrostatic injury is based on the possibility that overinjection of the pancreatic duct disrupts pancreatic cellular membranes and tight junctions between cells. As a result, intra-ductal contents backflow into the interstitial space and cause pancreatic injury [19]. https://www.longdom.org/open-access/postercp-pancreatitis-mechanisms-risk-factors-and-prevention-2165-7092.1000116.pdf Chemical injury from ionic high-osmolarity contrast media was suspected as a cause of pancreatic injury, but a meta-analysis of controlled trials did not show a significant difference between different contrast media [20, 21]. Regardless of the instigating mechanism, the conventional theory for progression of pancreatic injury to pancreatitis dictates that premature activation of proteolytic enzymes leads to autodigestion of pancreatic cells. The resulting decrease in acinar duct secretion decreases protective flushing activity of the pancreatic duct, thereby activating the inflammatory cascade, ultimately leading to pancreatitis. Prevention: placement of prophylactic pancreatic stents and nonsteroidal anti-inflammatory agents are the two interventions with the most robust evidence supporting efficacy in PEP prevention https://www.longdom.org/open-access/postercp-pancreatitis-mechanisms-risk-factors-and-prevention-2165-7092.1000116.pdf
  • #47 Penetrating injuries –knives, bullet Blunt abdominal trauma – steering wheels, bicycles Crush the gland across the spine > ductal injury
  • #49 https://www.ijem.in/article.asp?issn=2230-8210;year=2013;volume=17;issue=5;spage=799;epage=805;aulast=Kota https://www.ncbi.nlm.nih.gov/pmc/articles/PMC4919820/
  • #50 The exact mechanism of HTG causing AP is not clearly understood. Most accepted theories are based on animal models which describe metabolism of excessive TGs by pancreatic lipase to free fatty acids (FFA) leading to pancreatic cell injury and ischemia [2, 8]. Hyperviscosity from excessive TGs in pancreatic capillaries leading to ischemia has also been proposed, but why this ischemia only occurs in pancreas and not in other organs is unknown. Specific genetic mutations such as CFTR and ApoE gene mutation have been associated with HTG-AP [3, 8]. It is likely that HTG induced AP result from complex interplay between multiple factors with varying contribution in individual patient. Further research is needed to elucidate the exact pathogenesis of HTG-AP. https://www.ncbi.nlm.nih.gov/pmc/articles/PMC6083537/#B8 https://pubmed.ncbi.nlm.nih.gov/19293788/
  • #51 Viral pancreatitis can be caused by common viruses such as Coxsakie virus, Hepatitis B virus, Cytomegalovirus, Epstein-Barr virus, Herpes simplex virus and Mumps virus Mumps virus transmitted via the respiratory route by inhalation or oral contact with infected respiratory droplets or secretions The incubation period is 2 to 4 weeks during which the virus proliferates in the upper respiratory tract epithelium. Transient plasma viraemia leads to viral spread into organs (parotids, central nervous system, pancreas, urinary tract and genital organs) [4]. Approximately one-third to one-half of mumps infections are asymptomatic or result in only mild respiratory symptoms [9]. If symptomatic, the disease is characterized by painful swelling of the parotid glands in 95% with complete recovery within a few weeks of symptom [4] http://www.clinicalcasereportsint.com/pdfs_folder/ccri-v2-id1067.pdf
  • #52 Potential mechanisms for drug-induced acute pancreatitis include pancreatic duct constriction, cytotoxic and metabolic effects, accumulation of a toxic metabolite or intermediary, and hypersensitivity reactions.40 Negative effects of drugs, such as hypertriglyceridemia and chronic hypercalcemia, are also mechanisms for drug-induced acute pancreatitis, as these effects are risk factors for acute pancreatitis. Other possible mechanisms of action are localized angioedema effect in the pancreas an https://www.ncbi.nlm.nih.gov/pmc/articles/PMC4365846/#:~:text=Potential%20mechanisms%20for%20drug%2Dinduced,or%20intermediary%2C%20and%20hypersensitivity%20reactions.d arteriolar thrombosis.26
  • #54 Abdominal pain Epigastric radiates to the back Relief by sitting or leaning forwards Severe, constant Reaching max intensity within minutes rather than hours Persists for hours or even days Nausea and vomiting Retching Hiccoughs Due to gastric distention or irritation of diaphragm
  • #56 Appearance: well or gravely ill –profound shock, toxicity, confusion Tachypnoea, tachycardia, hypotension Mild icterus - biliary obstruction in gallstone pancreatitis Grey Turner’s sign or Cullen’s sign Bleeding into fascial planes Abdominal tenderness, distention, guarding Ascites Pleural effusion, pulmonary edema, pneumonitis Erythematous skin nodules <1cm, typically on extensor surfaces, polyarthritis
  • #57 Less common signs that are often described are Cullen’s sign (bruising around the umbilicus, FIg. 2A) and Grey Turner’s sign (bruising in the flanks, Fig. 2B) , representing retroperitoneal haemorrhage. Tetany may occur from hypocalcaemia (secondary to fat necrosis) and, in select cases, gallstone aetiology may also cause a concurrent obstructive jaundice
  • #61 Imaging: is only required to establish the diagnosis if the first two criteria are not met. crucial to detect complications and to help guide treatment. https://pubs.rsna.org/doi/full/10.1 https://radiopaedia.org/articles/acute-pancreatitis148/rg.2016150097
  • #62 https://epomedicine.com/medical-students/amylase-and-lipase-in-acute-pancreatitis/ Serum amylase – diagnostic of acute pancreatitis if 3x the upper limit of normal* Amylase can also be marginally raised in pathologies such as bowel perforation, ectopic pregnancy, or diabetic ketoacidosis LFTs – assess for any concurrent cholestatic element to the clinical picture Two large observational studies of patients with acute pancreatitis noted that an alanine transaminase (ALT) level >150U/L has a positive predictive value of 85% for gallstones as the underlying cause Serum lipase – A raised serum lipase is more accurate for acute pancreatitis (as it remains elevated longer than amylase), yet it is not available or routinely performed in every hospital
  • #66 http://www.lumen.luc.edu/lumen/MedEd/Radio/curriculum/Surgery/Pancreatitis_list1.htm CXR, AXR Non specific – generalized or local ileus (sentinel loop), a colon cut offsign and a renal halo sign Calcified gallstone, pancreatic calcification Pleural effusion USG Gallstones, TRO cholecystitis, dilated common bile ducts CT Unenhanced CT scan – determine presence of calcification within the pancreas and GB Contrast – Pancreatic ca, edocrine tumours, necrotic areas within glands, inflammatory collections and pseudocysts MRI ERCP Identify and remove stones in CBD in gallstone panceatitis Should be done urgent in pt w severe acute GB stone pancreatitis and signs of ongoing biliary obstruction and cholangitis EUS, MRCP Detect stones in CBD, assess pancreatic parenchyma Not widely available
  • #67 https://pubs.rsna.org/doi/abs/10.1148/radiology.215.2.r00ma18387?journalCode=radiology#:~:text=The%20colon%20cutoff%20sign%20describes,distal%20colon%20(Fig%201). https://radiopaedia.org/articles/colon-cut-off-sign  colon cut-off sign describes gaseous distension seen in the proximal colon associated with abrupt termination of gas within the colon usually at the level of the splenic flexure and decompression of the more distal part of the colon. Though originally described in abdominal radiographs, this sign has also been demonstrated on contrast enemas and computed tomography 1 Inflammatory exudate in AP extends into the pericolonic ligament via lateral attachment of transverse mesocolon. Infiltration of pherenicolonic ligament results in functional spasm and/or mechanical narrowing of splenic flexure at the level where the colon returns to retroperitoneum
  • #68 https://radiopaedia.org/articles/sentinel-loop
  • #69 https://radiopaedia.org/articles/sentinel-loop
  • #71 Features congruent with AP includes: Increased pancreatic volume with a marked decrease in echogenicity pancreatic body > 2.4cm in diameter, with marked anterior bowing and surface irregularity Decreased echogenicity secondary to fluid exudation, results in marked heterogenicity of the parenchyma Displacement of the adjacent transverse colon and/or stomach secondary to pancreatic volume expansion
  • #72 https://www.startradiology.com/internships/general-surgery/abdomen/ultrasound-abdomen-general/index.html
  • #73 https://www.startradiology.com/internships/general-surgery/abdomen/ultrasound-abdomen-general/index.html
  • #74 (Right) Transverse ultrasound demonstrates diffuse enlargement of the pancreas , which appears abnormally hypoechoic, compatible with acute pancreatitis in this patient with a markedly elevated lipase level. https://radiologykey.com/acute-pancreatitis-and-complications/
  • #75 Figure 18: (a) Normal pancreas (left) and acute pancreatitis with peripancreatic fluid (right). (b) Acute pancreatitis with necrosis and pseudocyst formation. When inflamed, pancreas enlarges in size and is bulky with peripancreatic fluid, indicative of acute pancreatitis. Severe pancreatitis can present with necrosis, wherein there is a loss of normal appearance of pancreas, intrapancreatic hypoechoic necrotic areas. Thick-walled collections usually represent a pseudocyst or a walled-off necrosis. Internal contents and debris can help in differentiating the two. The presence of foci of air (hyperechoic foci with comet-tail artifact) is suggestive of superadded infection https://www.cmijournal.org/viewimage.asp?img=CurrMedIssues_2016_14_4_113_194476_f18.jpg
  • #77 https://www.wikidoc.org/index.php/File:Pancreatic-calcifications-in-chronic-pancreatitis.jpg
  • #78 CXR, AXR Non specific – generalized or local ileus (sentinel loop), a colon cut offsign and a renal halo sign Calcified gallstone, pancreatic calcification Pleural effusion USG Gallstones, TRO cholecystitis, dilated common bile ducts CT Unenhanced CT scan – determine presence of calcification within the pancreas and GB Contrast – Pancreatic ca, edocrine tumours, necrotic areas within glands, inflammatory collections and pseudocysts MRI ERCP Identify and remove stones in CBD in gallstone panceatitis Should be done urgent in pt w severe acute GB stone pancreatitis and signs of ongoing biliary obstruction and cholangitis EUS, MRCP Detect stones in CBD, assess pancreatic parenchyma Not widely available
  • #79 https://radiopaedia.org/articles/acute-pancreatitis
  • #80 Figure 3 – Pancreatitis on Axial CT Scan (A) Localised oedema around the pancreas (B) Extensive fluid collections around the pancreas https://teachmesurgery.com/hpb/pancreas/acute-pancreatitis/
  • #81 (Right) Axial CECT in a patient after ERCP with placement of a stent > demonstrates enlargement of the pancreas, edema with loss of normal fatty lobulation, and peripancreatic fat stranding and fluid, compatible with acute edematous pancreatitis. https://radiologykey.com/acute-pancreatitis-and-complications/
  • #84 Risk Scoring The modified Glasgow criteria is used to assess the severity of acute pancreatitis within the first 48 hours of admission. Any patient scoring with ≥3 positive factors within the first 48hrs should be considered to have severe pancreatitis and a high-dependency care referral is warranted. Helpfully, the mneumonic to remember the score is PANCREAS: pO2 <8kPa, Age >55yrs, Neutrophils (/WCC) >15×109/L, Calcium <2mmol/L, Renal function (Urea) >16mmol/L, Enzymes LDH>600U/L or AST>200U/L,  Albumin <32g/L, Sugar (blood glucose) >10mmol/L Other risk stratification scores that can be used scoring severity of acute pancreatitis include the APACHE II score, the Ranson Criteria, and Balthazar score (CT scoring system). Modified Marshall scoring system the primary method for determining organ failure measurements from the respiratory, cardiovascular, and renal systems, with a score of 2 or higher for any system indicating organ failure .
  • #85 predicting the prognosis and mortality risk If the score ≥ 3, severe pancreatitis likely. If the score < 3, severe pancreatitis is unlikely Or Score 0 to 2 : 2% mortality Score 3 to 4 : 15% mortality Score 5 to 6 : 40% mortality Score 7 to 8 : 100% mortality
  • #87  measure the severity of disease for adult patients admitted to intensive care units.   The APACHE II is measured during the first 24 h of ICU admission; the maximum score is 71. A score of 25 represents a predicted mortality of 50% and a score of over 35 represents a predicted mortality of 80%. The APACHE II severity score has shown a good calibration and discriminatory value across a range of disease processes, and remains the most commonly used international severity scoring system worldwide.
  • #89 https://epocmedicine.com/clinical-cases/acute-pancreatitis-case-discussion/
  • #90 IV Fluid resuscitation Prevent hypovolaemia and organ hypoperfusion Titrate IV fluids to specific clinical and biochemical targets of perfusion HR, MAP, CVP, UO, BUN, Hct Lower mortality in sepsis Aggressive fluid therapy can cause respiratory complications and abdominal compartment syndrome
  • #93 Antibiotics Prophylaxis against infection in pancreatic necrosis Prevent local and other septic complications Broad-spectrum antibiotics To cover microorganisms that may grow in biliary pancreatitis and acute necrotizing pancreatitis Enteric anaerobic and aerobic gram-baccili microorganisms IV Cefuroxime/Imipenem/Ciprofloxacin + Metronidazole Not more than 2/52 https://emedicine.medscape.com/article/181364-medication#showall
  • #94 Admit to intensive care of high dependency unit Analgesic Aggressive fluid resuscitation Guided by frequent measurement of v/s, UO, CVP Supplemental oxygen Serial ABG Close monitoring Hct, Coag, Dxt, Ca and Mg NG tube In vomiting pt If nutritional support needed GUIDELINES RECOMMENDATION Against the use of hydroxyethyl starch (HES) fluids Antibiotics in patients with predicted severe AP and necrotizing pancreatitis -against the use of prophylactic In patient with acute biliary pancreatitis and no cholangitis - against the routine use of ERCP Recommends early (within 24H) oral feeding as tolerated rather than KNBM In patients with AP and inability to feed orally -recommends enteral rather than parenteral nutrition In patients with predicted severe or necrotizing pancreatitis requiring enteral tube feeding - Suggests either NG or nasonteral route In patients with AP – recommends cholecystectomy during initial admission rather than after D In patients with acute alcoholic pancreatitis – recommends brief alcohol intervention during admission
  • #96 Complications pancreatic fluid collections are defined by presence or absence of necrosis (as described by the Revised Atlanta Classification): necrosis absent (i.e. interstitial edematous pancreatitis) acute peripancreatic fluid collections (APFCs) (in the first 4 weeks) pseudocysts: encapsulated fluid collections after 4 weeks necrosis present (i.e. necrotizing pancreatitis) acute necrotic collections (ANCs): develop in first 4 weeks walled-off necrosis (WON): encapsulated collections after 4 weeks liquefactive necrosis of pancreatic parenchyma (e.g. necrotizing pancreatitis) increased morbidity and mortality may become secondarily infected (emphysematous pancreatitis) vascular complications hemorrhage: resulting from erosion of blood vessels and tissue necrosis pseudoaneurysm: autodigestion of arterial walls by pancreatic enzymes results in pulsatile mass that is lined by fibrous tissue and maintains communication with parent artery splenic vein thrombosis portal vein thrombosis fistula formation with pancreatic ascites: leakage of pancreatic secretions into the peritoneal cavity abdominal compartment syndrome
  • #98  IEP in a 43-year-old man. Axial contrast-enhanced CT image shows peripancreatic inflammation (black arrow) and a homogeneous fluid-attenuation collection in the left anterior pararenal space (white arrow), a finding that is consistent with APFC.
  • #99 https://pubs.rsna.org/doi/full/10.1148/rg.345130012 Figure 1a Drawings illustrate pancreatic necrosis (a), peripancreatic necrosis (b), and combined pancreatic-peripancreatic necrosis (c).
  • #100 Figure 4b Pancreatic necrosis in a 65-year-old man. (a) Axial contrast material–enhanced CT image obtained 2 days after the onset of acute abdominal pain shows peripancreatic fluid and stranding (arrows) and normal-appearing pancreatic parenchyma. (b) Axial contrast-enhanced CT image obtained 5 days later owing to the patient’s worsening clinical condition reveals an ill-defined hypoattenuating region in the body of the pancreas (*), a finding that suggests pancreatic necrosis. Peripancreatic fluid and stranding (arrows) are also seen. https://pubs.rsna.org/doi/full/10.1148/rg.345130012
  • #101 Figure 21a Axial contrast-enhanced CT image acquired 4 weeks after the onset of disease in the same patient as in Figure 20a shows a well-defined, homogeneous peripancreatic collection around the tail of the pancreas (arrows), a finding that is compatible with a pseudocyst. 
  • #104 https://epomedicine.com/clinical-cases/acute-pancreatitis-case-discussion/