1
Acute Limb Ischaemia
Dr.Bawantha Gamage
Senior Lecturer
2
Objectives - acute limb ischaemia
 List causes
 Describe the pathophysiology of
symptoms and signs
 Discuss the immediate management
3
Effects of chronic limb ischaemia
 Intermittent claudication
 Nutritional effects – skin, nails
 Critical ischaemia
 Loss of significant amount of tissue –
needing a major amputation
4
Effect of acute ischaemia
 Lack of oxygen  anaerobic metabolism  lactic
acidosis
 Accumulation of other by-products of metabolism 
pain
 Sluggish flow distally  venous thrombosis
 Beyond a critical time  irreversible  tissue death
Warm ischaemia
5
Reperfusion…..
 Ischaemia – reperfusion injury … can
be more harmful
“is initiated by production of reactive oxygen species which
initially appear responsible for the generation of chemotactic
activity for neutrophils. Later, once adherent to
endothelium, neutrophils mediate damage by secretion of
additional reactive oxygen species as well as proteolytic
enzymes, in particular elastase”
6
Causes
 Intra-luminal
 Mural
 Extra-mural
7
Causes
 Intra-luminal - emboli
 Mural – intra arterial injections
 Extra-mural – fractures, POP casts,
compartment syndrome
8
Clinical features
 6 P’s (can be caused by other factors)
 Pain
 Pallor
 Perishing with cold
 Pulseless
 Parasthesia )
 Paralysis ) Indicates complete ischaemia
 Others
 Capillary refilling time
 Pain on passive stretching, compressing calf muscles
9
10
11
12
Management
 Depends on
 Availability of facilities
 Viability of limb – how to assess?
 Priorities
 Life  Limb  Function
 Investigations (of limited value)
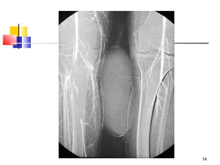
13
Investigations
 Doppler examination – bed side
 Angiography – only if time permits
 Others – of limited value
14
15
Immediate
 Try to save the limb (if viable)
 Have to treat the cause – eg. Thrombus,
embolus, tight POP, fractured end….

May need referral to a vascular unit
 Until then …….

Minimize damage to the viable tissues of the
limb
16
Minimizing damage……
 Keep exposed
 Heparin infusion
 Fasciotomy
17
18
19
Summary
 Causes
 Pathophysiology
 Clinical features
 Management

Acute limb ischaemia

  • 1.
    1 Acute Limb Ischaemia Dr.BawanthaGamage Senior Lecturer
  • 2.
    2 Objectives - acutelimb ischaemia  List causes  Describe the pathophysiology of symptoms and signs  Discuss the immediate management
  • 3.
    3 Effects of chroniclimb ischaemia  Intermittent claudication  Nutritional effects – skin, nails  Critical ischaemia  Loss of significant amount of tissue – needing a major amputation
  • 4.
    4 Effect of acuteischaemia  Lack of oxygen  anaerobic metabolism  lactic acidosis  Accumulation of other by-products of metabolism  pain  Sluggish flow distally  venous thrombosis  Beyond a critical time  irreversible  tissue death Warm ischaemia
  • 5.
    5 Reperfusion…..  Ischaemia –reperfusion injury … can be more harmful “is initiated by production of reactive oxygen species which initially appear responsible for the generation of chemotactic activity for neutrophils. Later, once adherent to endothelium, neutrophils mediate damage by secretion of additional reactive oxygen species as well as proteolytic enzymes, in particular elastase”
  • 6.
  • 7.
    7 Causes  Intra-luminal -emboli  Mural – intra arterial injections  Extra-mural – fractures, POP casts, compartment syndrome
  • 8.
    8 Clinical features  6P’s (can be caused by other factors)  Pain  Pallor  Perishing with cold  Pulseless  Parasthesia )  Paralysis ) Indicates complete ischaemia  Others  Capillary refilling time  Pain on passive stretching, compressing calf muscles
  • 9.
  • 10.
  • 11.
  • 12.
    12 Management  Depends on Availability of facilities  Viability of limb – how to assess?  Priorities  Life  Limb  Function  Investigations (of limited value)
  • 13.
    13 Investigations  Doppler examination– bed side  Angiography – only if time permits  Others – of limited value
  • 14.
  • 15.
    15 Immediate  Try tosave the limb (if viable)  Have to treat the cause – eg. Thrombus, embolus, tight POP, fractured end….  May need referral to a vascular unit  Until then …….  Minimize damage to the viable tissues of the limb
  • 16.
    16 Minimizing damage……  Keepexposed  Heparin infusion  Fasciotomy
  • 17.
  • 18.
  • 19.
    19 Summary  Causes  Pathophysiology Clinical features  Management