PROF DR HLA HLA YEE
Space discrepancies
(space deficiency)
 Up to 4mm
(mild crowding)
 5mm to 9mm
(moderate crowding)
Treatment Protocol
 Non-extraction
 Disking
 Expansion
(except for third molar)
 Non-extraction
 Expansion
or
 Extraction of some teeth
other than third molar
 10mm or more
(severe crowding)
 Extraction regardless
of what happen to
third molar at later
state
DECISION FOR EXTRACTION AND NON-EXTRACTION
Depends on :
Dimension of the dentition (or denture)
(1) Anterior dimension or boundaries
(2) Posterior dimension or limitation
(3) Vertical dimension
(4) Lateral or transverse dimension
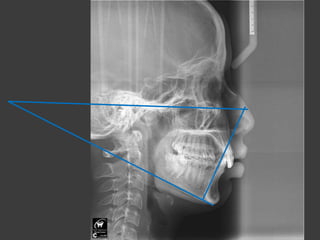
(1) Anterior dimension or boundaries
 Tweed defined the anterior limit of the dentition.
(Anterior limit of the denture base and the correct
inclination of the mandibular incisors on the bony
base.)
 The Tweed cephalometric triangle is constructed.
 This triangle is based upon the Frankfort horizontal
plane , the mandibular plane and the axis of the
mandibular incisor.
 FMPA is 20 – 29 degree ----- FMIA should be 68 degree.
 FMPA is 20 degree or less ----- IMPA is 91 degree.
 FMPA is 30 degree or more ----- FMIA should be 65
degree.
 If FMPA is low , the mandibular incisor should not be
pushed forward from their original position if the muscular
balance is normal.
 Therefore , extractions are often necessary if the anterior limit
of the dentition is to be respected in the presence of significant
anterior crowding and / or protrusion.
FMPAA
FMIA
IMPA
FHP
MP
Long axis
of the
lower
incisor
(2) Posterior dimension or limitation
 The posterior dimension of the mouth is important to
note that when non-extraction treatment is touted ,
32 teeth must be maintained in the mouth.
 The extraction of third molar is a therapeutic decision .
 If a patient has to have third molar extracted , it is
extraction treatment , not non-extraction treatment.
 The non-extraction treatment cannot be performed if the
second molars are hopelessly impacted.
(3)Vertical dimension.
 If the vertical dimension is increased in the posterior area
of the mouth , a long face is created . There may be more
gingival display on smiling.
 Also , if the maxillary posterior teeth are driven distally
to correct Class II malocclusion , when no space is
available , there is a wedging open effect in the anterior
vertical dimension that creates a longer face .
 Every 1 mm of vertical expansion in molar area , a
1.3 mm increase in anterior facial height occurred .
 Patients who need extractions but who are treated without
them are very often expanded vertically , Point B drops down
and back , poor facial esthetic is the result.
 Except in patients with deep bites who have poor vertical
development , it is crucial to preserve the vertical dimension if
stability , as well as facial balance and harmony , are the
ultimate goals.
(4)Lateral dimension.
 Lateral expansion is touted in many circles.
 The downward and backward mandibular rotation that
took place on the non-extraction patient.
 The extraction patient expressed downward and forward
mandibular development.
 The lower lip eversion and soft tissue imbalance on the
non-extraction patient.
 The extraction patient has improved facial balance.
 The non-extraction patient was expanded anteriorly ,
posteriorly , vertically and laterally.
• Arch expansion can perform in patient with narrow maxillary
arch with wide buccal corridors .
A B
The width of the maxillary dental arch , as seen on smile , should be
proportional to the width of the mid-face .
A – a broad smile is appropriate for a face with relatively large width across
the zygomatic arches ,
B - a narrow smile is preferred when the face width is narrow.
- this patient was appropriately treated with maxillary premolar
extraction to prevent over-expansion during treatment.

A differential diagnostic decision for extraction and non-extraction

  • 1.
    PROF DR HLAHLA YEE
  • 2.
    Space discrepancies (space deficiency) Up to 4mm (mild crowding)  5mm to 9mm (moderate crowding) Treatment Protocol  Non-extraction  Disking  Expansion (except for third molar)  Non-extraction  Expansion or  Extraction of some teeth other than third molar
  • 3.
     10mm ormore (severe crowding)  Extraction regardless of what happen to third molar at later state
  • 4.
    DECISION FOR EXTRACTIONAND NON-EXTRACTION Depends on : Dimension of the dentition (or denture) (1) Anterior dimension or boundaries (2) Posterior dimension or limitation (3) Vertical dimension (4) Lateral or transverse dimension
  • 5.
    (1) Anterior dimensionor boundaries  Tweed defined the anterior limit of the dentition. (Anterior limit of the denture base and the correct inclination of the mandibular incisors on the bony base.)  The Tweed cephalometric triangle is constructed.  This triangle is based upon the Frankfort horizontal plane , the mandibular plane and the axis of the mandibular incisor.
  • 6.
     FMPA is20 – 29 degree ----- FMIA should be 68 degree.  FMPA is 20 degree or less ----- IMPA is 91 degree.  FMPA is 30 degree or more ----- FMIA should be 65 degree.  If FMPA is low , the mandibular incisor should not be pushed forward from their original position if the muscular balance is normal.  Therefore , extractions are often necessary if the anterior limit of the dentition is to be respected in the presence of significant anterior crowding and / or protrusion.
  • 7.
  • 10.
    (2) Posterior dimensionor limitation  The posterior dimension of the mouth is important to note that when non-extraction treatment is touted , 32 teeth must be maintained in the mouth.  The extraction of third molar is a therapeutic decision .  If a patient has to have third molar extracted , it is extraction treatment , not non-extraction treatment.  The non-extraction treatment cannot be performed if the second molars are hopelessly impacted.
  • 12.
    (3)Vertical dimension.  Ifthe vertical dimension is increased in the posterior area of the mouth , a long face is created . There may be more gingival display on smiling.  Also , if the maxillary posterior teeth are driven distally to correct Class II malocclusion , when no space is available , there is a wedging open effect in the anterior vertical dimension that creates a longer face .  Every 1 mm of vertical expansion in molar area , a 1.3 mm increase in anterior facial height occurred .
  • 13.
     Patients whoneed extractions but who are treated without them are very often expanded vertically , Point B drops down and back , poor facial esthetic is the result.  Except in patients with deep bites who have poor vertical development , it is crucial to preserve the vertical dimension if stability , as well as facial balance and harmony , are the ultimate goals.
  • 14.
    (4)Lateral dimension.  Lateralexpansion is touted in many circles.  The downward and backward mandibular rotation that took place on the non-extraction patient.  The extraction patient expressed downward and forward mandibular development.  The lower lip eversion and soft tissue imbalance on the non-extraction patient.  The extraction patient has improved facial balance.  The non-extraction patient was expanded anteriorly , posteriorly , vertically and laterally.
  • 15.
    • Arch expansioncan perform in patient with narrow maxillary arch with wide buccal corridors .
  • 16.
    A B The widthof the maxillary dental arch , as seen on smile , should be proportional to the width of the mid-face . A – a broad smile is appropriate for a face with relatively large width across the zygomatic arches , B - a narrow smile is preferred when the face width is narrow. - this patient was appropriately treated with maxillary premolar extraction to prevent over-expansion during treatment.