Approach to Elevated LFT’s
Miguel H. Malespin M.D.
Assistant Professor, Department of Medicine
Medical Director, Hepatology
Department of Medicine, Division of
Gastroenterology and Hepatology
Disclosures
• Consultant for Gilead Pharmaceuticals
Learning Objectives
• Describe the prevalence of liver disease within the
United States
• Review interpretation of abnormal liver enzymes
• Develop an approach to managing elevated liver
enzymes
Critical Role of Primary Care
• Elevated liver transaminase levels are found in
up to 8.9% of patients seen in primary care
clinics 1,2
• Approximately 9% of patients with elevated
liver enzymes are asymptomatic 3,4
Why is identification of patients with abnormal
liver enzymes important?
Peak of the Hepatitis C Epidemic
• Prevalence of HCV within the United States is
~1.6% 5
– Making it the most common bloodborne
pathogen in the United States
– Estimated 4 and 7 million persons 6,7
Rising Prevalence of Elevated Liver
Enzymes
• Nearly ½ of persons with chronic HCV are
unidentified
– Normal liver enzymes are found in 25–30% of
chronic HCV carriers 8
– Institution of screening for baby boomers born
between 1945-1965
Currently at the peak of the HCV
epidemic2
Hepatitis C surpassed HIV as a cause of
virus-related death in 2006
Incidence of Hepatitis C8
http://www.cdc.gov/hepatitis/statistics/
Second Culprit on the Loose…
Insulin Resistance
Diabetes is an important risk factor
for progression of fibrosis11,12
Obesity Epidemic
• Coincides with the rise in NAFLD
Rising Prevalence of NAFLD10
Epidemiology Related to Cirrhosis
• Prevalence of cirrhosis in the United States is
estimated to be ~0.27 percent of the
population
– 633,323 Adults 13
• Nearly 2 million deaths annually are
attributable to CLD and cirrhosis 14
– 12th leading cause of death
Epidemiology of Cirrhosis
• Total number of persons with cirrhosis is
estimated to peak at 1 million in 202015
• Rates of hepatic decompensation and
hepatocellular carcinoma are expected to
increase for another 10 to 13 years15
Over time, there has been an increase
in mortality from liver disease2
Normal transaminases do not exclude the
presence of chronic liver disease
• Fluctuation in transaminase levels occur
– Particularly in patients with chronic HBV, HCV, and
NASH
• “Burned out cirrhosis”
• Poor sensitivity/specificity
– 19,877 asymptomatic US Airforce basic trainees, 99
were found to have abnormal ALT elevation, 12 were
positive for liver disease 16
What are LFT’s?
• Serologic measurements ordered to evaluate for
liver disease
• The term liver function tests are actually a
misnomer
– Serum aminotransferases (ALT/AST) reflect
inflammation
– Alkaline Phosphatase (AP) reflects biliary injury
– Bilirubin, albumin, and PT/INR more accurately reflect
hepatic function
Why are LFT’s ordered?
• Routine check-up
• Drug monitoring
• Symptoms
• Screen for liver disease
General Approach
• What is the liver trying to tell me?
• Does this appear to be acute or chronic?
• If chronic, do findings exist that are
concerning for advanced fibrosis/cirrhosis
Elevated Aminotransferases
• Good indicators of hepatocellular injury
• Serum glutamic oxaloacetic transaminase (SGOT)
– AST is located in the cytosol and mitochondria
– Also present in striated muscle, the kidney, brain,
pancreas, lung, leukocytes, and erythrocytes
• Serum glutamic pyruvic transaminases (SGPT)
– ALT lies in the cytosol
– More specific indicator of liver injury
Normal Values
• AST <37 IU/L or ALT <40 IU/L for men
• AST or ALT <31 IU/L for women
Elevated Aminotranferases
• Elevated aminotransferase levels are present
in 7.9% of the population when sampling
asymptomatic individuals 17
• Some of the most common identifiable causes
include: 18
– alcohol use (13.5%)
– hepatitis C (7.0%)
– hemochromatosis (3.4%)
– hepatitis B (0.9%)
– combination of causes (6.1%)
Moderate-marked elevation in aminotransferases Mild elevation in aminotransferases
Ischemic injury a, c Nonalcoholic fatty liver disease
Toxic injury a, c Alcoholic hepatitis
Acute viral hepatitis a, b, d Pharmacology
Acute biliary obstruction a, d, e Chronic viral hepatitis (B, C)
Alcoholic hepatitis a, d, e Hereditary hemochromatosis
Autoimmune hepatitis
Wilson’s disease
α-1-antitripsin deficiency
Celiac disease
Extrahepatic causes
Table 1. Causes of elevated aminotransferases.
a Aminotransferase level increase of 5-10 x upper limit of normal
b Aminotransferase level increase of >10 x upper limit of normal
cBilirubin increase of <5 x upper reference limit
Elevated
aminotransferases
Extrahepatic
Chronic, mild
elevations
(<5xULN)
Acute, moderate-
severe elevations
(5-10xULN,
>10xULN)
Exposure
(alcohol, drugs)
Acute, moderate-
severe elevations
(5-10xULN,
>10xULN)
Ischemic injury
if hypotensive
Acute viral
anti-HAV IgM, HBsAg,
HBcAg IgM/HCV PCR
Autoimmune
ANA, ASMA
(anti-LKM)
Acetaminophen
toxicity
acetaminophen levels
Liver biopsy if
still unclear
Clinical Case #1
• 45 year old male with a history of alcohol
abuse and chronic back pain for which he
takes 3 Norco tablets a day presents with
jaundice, nausea, malaise and abdominal
pain.
Total bilirubin 3.5 ALT 5344
Direct bilirubin 2.7 AST 3923
Alkaline phosphatase 240 INR 1.3
Acute, moderate-
severe elevations
(5-10xULN,
>10xULN)
Ischemic injury
if hypotensive
Acute viral
anti-HAV IgM, HBsAg,
HBcAg IgM/HCV PCR
Autoimmune
ANA, ASMA
(anti-LKM)
Acetaminophen
toxicity
acetaminophen levels
Liver biopsy if
still unclear
Clinical Case #1
• RUQ US: normal liver contour
• Acetaminophen level: <1
• ANA: Normal
• ASMA: Normal
• Hepatitis B surface antigen Positive
• Hepatitis B core IgM Positive
Chronic, mild elevations
(<5xULN)
Hereditary
hemochromatosis
ferritin, Fe, TIBC
(HFE mutation)
Alpha-1 antitrypsin
deficiency
A1AT levels
Chronic viral
HBsAg, anti-HCV
Autoimmune
ANA, ASMA,
anti-LKM
Wilson's disease
ceruloplasmin
NAFLD
no serum test
Clinical Case #2
63 year old female with a history of obesity, hypertension,
diabetes who presents for evaluation of elevated liver
enzymes.
ALT 64 Platelet Count 110
AST 53 INR 1.1
AP 90
TB 1.0
Physical Exam: Evidence of spider angiomas and palmar
erythema
Chronic, mild elevations
(<5xULN)
Hereditary
hemochromatosis
ferritin, Fe, TIBC
(HFE mutation)
Alpha-1 antitrypsin
deficiency
A1AT levels
Chronic viral
HBsAg, anti-HCV
Autoimmune
ANA, ASMA,
anti-LKM
Wilson's disease
ceruloplasmin
NAFLD
no serum test
• Ultrasound splenomegaly, steatosis
• ANA normal
• ASMA normal
• Ferritin 500
• Iron/TIBC 24
• A1AT Normal
• HBsAg Negative
• Hepatitis C antibody positive
Clinical Case #2
Extrahepatic
Biliary
obstruction
Ultrasound, CT
Celiac
anti-tTG
Rhabdomylosis
CK
Thyroid disease
TSH
General Approach
• Obtain baseline right upper quadrant
ultrasound to evaluate for liver lesions,
hepatic morphology, thrombus, splenomegaly
• Obtain baseline labs to evaluate for
acute/chronic liver disease
• Referral to GI/Hepatology
Alkaline Phosphatase/Gamma-
glutamyl Transferase (GGT)
• ALP
– Produced predominantly in the liver and bone
– Can be found in renal, intestinal, placental tissue, or within
leukocytes
• GGT/ALP Fractionation
– It has a high sensitivity for hepatobiliary disease
– Elevated GGT levels also occur in alcohol-related liver
disease
– Most useful when elevated alkaline phosphatase levels
occur with otherwise normal liver enzymes and bilirubin
levels
INTRAHEPATIC
Drugs Anabolic steroids, estrogens, ACE-I,
antimicrobials, NSAIDS, allopurinol,
antiepileptics, hydralazine, procainamide,
quinidine, phenylbutazone
Primary biliary
cirrhosis
Predominantly middle-aged women with
median age of 50 years old, 95% of patients
have +AMA
Primary sclerosing
cholangitis
Strongly associated with IBD, commonly in
younger men, diagnosed by ERCP/MRCP
Granulomatous liver
disease
Sarcoidosis, TB, fungal infections, brucellosis,
Q fever, schistosomiasis
Viral hepatitis EBV, CMV,Hepatitis A, B, C, E
Genetic conditions Benign recurrent intrahepatic cholestasis
type 1,2
Malignancy HCC, metastatic disease, paraneoplastic
syndrome
Infiltrative liver
disease
Amyloidosis, lymphoma
Intrahepatic
cholestasis of
pregnancy
Total parent nutrition
Graft-Versus-Host
EXTRAHEPATIC
INTRINSIC
Immune-mediated
duct injury
Autoimmune pancreatitis, Primary
sclerosing cholangitis
Malignancy Ampullary cancer, cholangiocarcinoma
Infections AIDS cholangiopathy, CMV,
cryptosporidiosis, microsporidosis,
parasitic infections
EXTRINSIC
Malignancy Gallbladder cancer, metastases, portal
adenopathy, pancreatic cancer
Mirizzi syndrome Compression of common hepatic duct by
stone in neck of gallbladder
Pancreatitis Also includes pancreatic pseudocyst
Elevated ALP
Biliary pain
RUQ
ultrasound
Asymptomatic
Isolated
elevated
ALP
GGT normal
Bone, renal,
cardiac,
endocrine
etiologies or
malignancies
GGT high
Biliary obstruction or
extraheaptic malignancies
ultrasound
Medications/Alcohol
Hepatitis B, C
HBsAg, anti-HCV
PBC
AMA
PSC
MRCP, ERCP
Autoimmune cholangitis
IgG4
Concurrent
elevated
AST, ALT
Hepatocellular
injury
Cholestasis
If etiology still unclear, consider
MRCP, ERCP, EUS, or liver
biopsy
Clinical Case #3
• 45 year old female presents for evaluation of
elevated liver enzymes. She denies abdominal
pain.
ALT 45
AST 39
ALP 650
TB .9
INR .8
Elevated ALP
Biliary pain
RUQ
ultrasound
Asymptomatic
Isolated
elevated
ALP
GGT normal
Bone, renal,
cardiac,
endocrine
etiologies or
malignancies
GGT high
Biliary obstruction or
extraheaptic malignancies
ultrasound
Medications/Alcohol
Hepatitis B, C
HBsAg, anti-HCV
PBC
AMA
PSC
MRCP, ERCP
Autoimmune cholangitis
IgG4
Concurrent
elevated
AST, ALT
Hepatocellular
injury
Cholestasis
If etiology still unclear, consider
MRCP, ERCP, EUS, or liver
biopsy
Clinical Case #3
• Denies medication or recent antibiotic use
• Denies alcohol use
• RUQ US negative
• Hep b sAg negative
• HCV Ab negative
• ANA/ASMA negative
• AMA positive
Real LFT’s
• Bilirubin
• PT/INR
• Albumin
Bilirubin Metabolism
Type Cause
Unconjugated
hyperbilirubinemia
Hemolysis
Gilbert’s syndrome
Hematoma reabsorption
Ineffective erythropoiesis
Conjugated
hyperbilirubinemia
Bile duct obstruction
Hepatitis
Cirrhosis
Autoimmune cholestatic diseases (PBC, PSC)
Total parenteral nutrition
Drug toxins
Vanishing bile duct syndrome
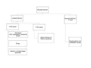
Elevated bilirubin
Isolated bilirubin
<15% direct
Hemolysis
LDH, haptoglobin, peripheral
smear
Drugs
Gilbert's or Crigler-Najjar
syndrome
>15% direct
Dubin-Johnson or
Rotor's syndrome
Elevated AST/ALT
+/- ALP
Hepatocellular and
cholestatic causes
Clinical Case #4
• 33 year old female with a BMI 32 presents to
clinic for evaluation of jaundice and right
upper quadrant pain.
ALT 55
AST 49
AP 233
TB 3.5
Elevated bilirubin
Isolated bilirubin
<15% direct
Hemolysis
LDH, haptoglobin, peripheral
smear
Drugs
Gilbert's or Crigler-Najjar
syndrome
>15% direct
Dubin-Johnson or
Rotor's syndrome
Elevated AST/ALT
+/- ALP
Hepatocellular and
cholestatic causes
Clinical Case #4
• RUQ US Dilated common bile duct to 20 mm,
gallstones without evidence of cholecystitis
Albumin
• Exclusively made by in the liver and accounts
for 75% of the plasma colloid pressure.
• In chronic liver disease, hepatic synthesis of
albumin is impaired
– Not specific to liver diseases
Prothrombin Time
• Measurement of the rate at which prothrombin is
converted to thrombin
– The extrinsic pathway depends on the activity of clotting
factors II, V, VII, and X—all of which are synthesized in the
liver
• Therefore, prothrombin time is a reflection of liver dysfunction
– In chronic liver diseases, prolonged prothrombin time is a
sign of advanced liver disease
– In acute liver diseases, it is a more reliable indicator of
immediate synthetic function given it’s shorter half life
Conclusion
• Stable elevated liver enzymes DO NOT exist
• We are currently at the peak of HCV
prevalence and there is a concomitant rise in
the prevalence of NASH
– Screen patients born between 1945-1965
• Cirrhosis is the greatest risk factor for
hepatocellular carcinoma and hepatic
decompensation
Conclusion
• Interpretation of laboratory values in patients
with abnormalities in liver panel testing is
critical to developing a differential diagnosis
and initiation an adequate work-up
• The initial step is determination of an acute,
chronic, or acute-on-chronic process
Conclusion
• Acquisition of histology can be used to
confirm a suspected diagnosis, rule out
hepatic disease, and stage the degree of
fibrosis
• Upon establishment of chronicity, the role of
the practitioner is to establish the severity of
hepatic dysfunction, potential for reversibility,
and the need for escalation of care
References
1. Younossi ZM, Stepanova M, Afendy M, et al. Changes in the prevalence of the most common causes of chronic liver diseases in the United States from
1988 to 2008. Clin Gastroenterol Hepatol. 2011 Jun;9(6):524-530.
2. Udompap P, Kim D, Kim WR. Current and Future Burden of Chronic Nonmalignant Liver Disease. Clin Gastroenterol Hepatol. 2015 Nov;13(12):2031-41.
Epub 2015 Aug 17.
3. Hultcrantz R, Glaumann H, Lindberg G, Nilsson LH. Liver investigation in 149 asymptomatic patients with moderately elevated activities of serum
aminotransferases. Scand J Gastroenterol 1986; 21:109–113.
4. Ioanou GN, Boyko EJ, Lee SP. The prevalence and predictors of elevated serum aminotransferase activity in the United States in 1999-2002. Am J
Gastroenterol 2006; 101:76–82.
5. Chou R et al. Agency for Healthcare Research and Quality; 2012.
6. Chak E et al. Liver Int. 2011 Sep;31(8):1090-101.
7. Lavanchy D. Liver Int. 2009 Jan;29 Suppl 1:74-81.
8. Puoti C, Castellacci R, Montagnese F et al. Histological and virological features and follow-up of hepatitis C virus carriers with normal aminotransferase
levels: the Italian prospective study of the asymptomatic C carriers (ISACC). J Hepatol 2002; 37: 117–123.
9. Ly KN et al. Ann Intern Med. 2012;156:271-8.
10. Lazo M, Hernaez R, Eberhardt MS, et al. Prevalence of nonalcoholic fatty liver disease in the United States: the Third National Health and Nutrition
Examination Survey, 1988-1994. Am J Epidemiol. 2013 Jul 1;178(1):38-45.
11. L.A. Adams, S. Sanderson, K.D. Lindor, P. Angulo. The histological course of nonalcoholic fatty liver disease: a longitudinal study of 103 patients with
sequential liver biopsies. J Hepatol, 42 (2005), pp. 132–138.
12. McPherson S, Hardy T, Henderson E, et al. Evidence of NAFLD progression from steatosis to fibrosing-steatohepatitis using paired biopsies: implications
for prognosis and clinical management. J Hepatol. 2015 May;62(5):1148-55.
13. Heron M. Natl Vital Stat Rep.2012;61:1–96.
14. Scaglione S et al. J Clin Gastroenterol. 2014 Oct 8.
15. Chou R et al. Agency for Healthcare Research and Quality; 2012.
16. Kundrotas LW; Clement DJ. Serum alanine aminotransferase (ALT) elevation in asymptomatic US Air Force basic trainee blood donors. Dig Dis Sci 1993;
38:2145-2150
17. Clark JM, Brancati FL, Diehl AM. The prevalence and etiology of elevated aminotransferase levels in the United States. Am J Gastroenterol. 2003
May;98(5):960–7.
18. Liangpunsakul S, Chalasani N. Unexplained Elevations in Alanine Aminotransferase in Individuals with the Metabolic Syndrome: Results from the Third
National Health and Nutrition Survey (NHANES III). The American Journal of the Medical Sciences [Internet]. 2005;329(3).
2-Approach-to-Elevated-LFT.ppt

2-Approach-to-Elevated-LFT.ppt

  • 1.
    Approach to ElevatedLFT’s Miguel H. Malespin M.D. Assistant Professor, Department of Medicine Medical Director, Hepatology Department of Medicine, Division of Gastroenterology and Hepatology
  • 2.
    Disclosures • Consultant forGilead Pharmaceuticals
  • 3.
    Learning Objectives • Describethe prevalence of liver disease within the United States • Review interpretation of abnormal liver enzymes • Develop an approach to managing elevated liver enzymes
  • 4.
    Critical Role ofPrimary Care • Elevated liver transaminase levels are found in up to 8.9% of patients seen in primary care clinics 1,2 • Approximately 9% of patients with elevated liver enzymes are asymptomatic 3,4
  • 5.
    Why is identificationof patients with abnormal liver enzymes important?
  • 6.
    Peak of theHepatitis C Epidemic • Prevalence of HCV within the United States is ~1.6% 5 – Making it the most common bloodborne pathogen in the United States – Estimated 4 and 7 million persons 6,7
  • 7.
    Rising Prevalence ofElevated Liver Enzymes • Nearly ½ of persons with chronic HCV are unidentified – Normal liver enzymes are found in 25–30% of chronic HCV carriers 8 – Institution of screening for baby boomers born between 1945-1965
  • 8.
    Currently at thepeak of the HCV epidemic2
  • 9.
    Hepatitis C surpassedHIV as a cause of virus-related death in 2006
  • 10.
    Incidence of HepatitisC8 http://www.cdc.gov/hepatitis/statistics/
  • 11.
    Second Culprit onthe Loose…
  • 12.
  • 13.
    Diabetes is animportant risk factor for progression of fibrosis11,12
  • 14.
    Obesity Epidemic • Coincideswith the rise in NAFLD
  • 15.
  • 17.
    Epidemiology Related toCirrhosis • Prevalence of cirrhosis in the United States is estimated to be ~0.27 percent of the population – 633,323 Adults 13 • Nearly 2 million deaths annually are attributable to CLD and cirrhosis 14 – 12th leading cause of death
  • 18.
    Epidemiology of Cirrhosis •Total number of persons with cirrhosis is estimated to peak at 1 million in 202015 • Rates of hepatic decompensation and hepatocellular carcinoma are expected to increase for another 10 to 13 years15
  • 19.
    Over time, therehas been an increase in mortality from liver disease2
  • 20.
    Normal transaminases donot exclude the presence of chronic liver disease • Fluctuation in transaminase levels occur – Particularly in patients with chronic HBV, HCV, and NASH • “Burned out cirrhosis” • Poor sensitivity/specificity – 19,877 asymptomatic US Airforce basic trainees, 99 were found to have abnormal ALT elevation, 12 were positive for liver disease 16
  • 21.
    What are LFT’s? •Serologic measurements ordered to evaluate for liver disease • The term liver function tests are actually a misnomer – Serum aminotransferases (ALT/AST) reflect inflammation – Alkaline Phosphatase (AP) reflects biliary injury – Bilirubin, albumin, and PT/INR more accurately reflect hepatic function
  • 22.
    Why are LFT’sordered? • Routine check-up • Drug monitoring • Symptoms • Screen for liver disease
  • 23.
    General Approach • Whatis the liver trying to tell me? • Does this appear to be acute or chronic? • If chronic, do findings exist that are concerning for advanced fibrosis/cirrhosis
  • 24.
    Elevated Aminotransferases • Goodindicators of hepatocellular injury • Serum glutamic oxaloacetic transaminase (SGOT) – AST is located in the cytosol and mitochondria – Also present in striated muscle, the kidney, brain, pancreas, lung, leukocytes, and erythrocytes • Serum glutamic pyruvic transaminases (SGPT) – ALT lies in the cytosol – More specific indicator of liver injury
  • 25.
    Normal Values • AST<37 IU/L or ALT <40 IU/L for men • AST or ALT <31 IU/L for women
  • 26.
    Elevated Aminotranferases • Elevatedaminotransferase levels are present in 7.9% of the population when sampling asymptomatic individuals 17 • Some of the most common identifiable causes include: 18 – alcohol use (13.5%) – hepatitis C (7.0%) – hemochromatosis (3.4%) – hepatitis B (0.9%) – combination of causes (6.1%)
  • 27.
    Moderate-marked elevation inaminotransferases Mild elevation in aminotransferases Ischemic injury a, c Nonalcoholic fatty liver disease Toxic injury a, c Alcoholic hepatitis Acute viral hepatitis a, b, d Pharmacology Acute biliary obstruction a, d, e Chronic viral hepatitis (B, C) Alcoholic hepatitis a, d, e Hereditary hemochromatosis Autoimmune hepatitis Wilson’s disease α-1-antitripsin deficiency Celiac disease Extrahepatic causes Table 1. Causes of elevated aminotransferases. a Aminotransferase level increase of 5-10 x upper limit of normal b Aminotransferase level increase of >10 x upper limit of normal cBilirubin increase of <5 x upper reference limit
  • 28.
  • 29.
    Acute, moderate- severe elevations (5-10xULN, >10xULN) Ischemicinjury if hypotensive Acute viral anti-HAV IgM, HBsAg, HBcAg IgM/HCV PCR Autoimmune ANA, ASMA (anti-LKM) Acetaminophen toxicity acetaminophen levels Liver biopsy if still unclear
  • 30.
    Clinical Case #1 •45 year old male with a history of alcohol abuse and chronic back pain for which he takes 3 Norco tablets a day presents with jaundice, nausea, malaise and abdominal pain. Total bilirubin 3.5 ALT 5344 Direct bilirubin 2.7 AST 3923 Alkaline phosphatase 240 INR 1.3
  • 31.
    Acute, moderate- severe elevations (5-10xULN, >10xULN) Ischemicinjury if hypotensive Acute viral anti-HAV IgM, HBsAg, HBcAg IgM/HCV PCR Autoimmune ANA, ASMA (anti-LKM) Acetaminophen toxicity acetaminophen levels Liver biopsy if still unclear
  • 32.
    Clinical Case #1 •RUQ US: normal liver contour • Acetaminophen level: <1 • ANA: Normal • ASMA: Normal • Hepatitis B surface antigen Positive • Hepatitis B core IgM Positive
  • 33.
    Chronic, mild elevations (<5xULN) Hereditary hemochromatosis ferritin,Fe, TIBC (HFE mutation) Alpha-1 antitrypsin deficiency A1AT levels Chronic viral HBsAg, anti-HCV Autoimmune ANA, ASMA, anti-LKM Wilson's disease ceruloplasmin NAFLD no serum test
  • 34.
    Clinical Case #2 63year old female with a history of obesity, hypertension, diabetes who presents for evaluation of elevated liver enzymes. ALT 64 Platelet Count 110 AST 53 INR 1.1 AP 90 TB 1.0 Physical Exam: Evidence of spider angiomas and palmar erythema
  • 35.
    Chronic, mild elevations (<5xULN) Hereditary hemochromatosis ferritin,Fe, TIBC (HFE mutation) Alpha-1 antitrypsin deficiency A1AT levels Chronic viral HBsAg, anti-HCV Autoimmune ANA, ASMA, anti-LKM Wilson's disease ceruloplasmin NAFLD no serum test
  • 36.
    • Ultrasound splenomegaly,steatosis • ANA normal • ASMA normal • Ferritin 500 • Iron/TIBC 24 • A1AT Normal • HBsAg Negative • Hepatitis C antibody positive Clinical Case #2
  • 37.
  • 38.
    General Approach • Obtainbaseline right upper quadrant ultrasound to evaluate for liver lesions, hepatic morphology, thrombus, splenomegaly • Obtain baseline labs to evaluate for acute/chronic liver disease • Referral to GI/Hepatology
  • 39.
    Alkaline Phosphatase/Gamma- glutamyl Transferase(GGT) • ALP – Produced predominantly in the liver and bone – Can be found in renal, intestinal, placental tissue, or within leukocytes • GGT/ALP Fractionation – It has a high sensitivity for hepatobiliary disease – Elevated GGT levels also occur in alcohol-related liver disease – Most useful when elevated alkaline phosphatase levels occur with otherwise normal liver enzymes and bilirubin levels
  • 40.
    INTRAHEPATIC Drugs Anabolic steroids,estrogens, ACE-I, antimicrobials, NSAIDS, allopurinol, antiepileptics, hydralazine, procainamide, quinidine, phenylbutazone Primary biliary cirrhosis Predominantly middle-aged women with median age of 50 years old, 95% of patients have +AMA Primary sclerosing cholangitis Strongly associated with IBD, commonly in younger men, diagnosed by ERCP/MRCP Granulomatous liver disease Sarcoidosis, TB, fungal infections, brucellosis, Q fever, schistosomiasis Viral hepatitis EBV, CMV,Hepatitis A, B, C, E Genetic conditions Benign recurrent intrahepatic cholestasis type 1,2 Malignancy HCC, metastatic disease, paraneoplastic syndrome Infiltrative liver disease Amyloidosis, lymphoma Intrahepatic cholestasis of pregnancy Total parent nutrition Graft-Versus-Host EXTRAHEPATIC INTRINSIC Immune-mediated duct injury Autoimmune pancreatitis, Primary sclerosing cholangitis Malignancy Ampullary cancer, cholangiocarcinoma Infections AIDS cholangiopathy, CMV, cryptosporidiosis, microsporidosis, parasitic infections EXTRINSIC Malignancy Gallbladder cancer, metastases, portal adenopathy, pancreatic cancer Mirizzi syndrome Compression of common hepatic duct by stone in neck of gallbladder Pancreatitis Also includes pancreatic pseudocyst
  • 41.
    Elevated ALP Biliary pain RUQ ultrasound Asymptomatic Isolated elevated ALP GGTnormal Bone, renal, cardiac, endocrine etiologies or malignancies GGT high Biliary obstruction or extraheaptic malignancies ultrasound Medications/Alcohol Hepatitis B, C HBsAg, anti-HCV PBC AMA PSC MRCP, ERCP Autoimmune cholangitis IgG4 Concurrent elevated AST, ALT Hepatocellular injury Cholestasis If etiology still unclear, consider MRCP, ERCP, EUS, or liver biopsy
  • 42.
    Clinical Case #3 •45 year old female presents for evaluation of elevated liver enzymes. She denies abdominal pain. ALT 45 AST 39 ALP 650 TB .9 INR .8
  • 43.
    Elevated ALP Biliary pain RUQ ultrasound Asymptomatic Isolated elevated ALP GGTnormal Bone, renal, cardiac, endocrine etiologies or malignancies GGT high Biliary obstruction or extraheaptic malignancies ultrasound Medications/Alcohol Hepatitis B, C HBsAg, anti-HCV PBC AMA PSC MRCP, ERCP Autoimmune cholangitis IgG4 Concurrent elevated AST, ALT Hepatocellular injury Cholestasis If etiology still unclear, consider MRCP, ERCP, EUS, or liver biopsy
  • 44.
    Clinical Case #3 •Denies medication or recent antibiotic use • Denies alcohol use • RUQ US negative • Hep b sAg negative • HCV Ab negative • ANA/ASMA negative • AMA positive
  • 46.
  • 47.
  • 48.
    Type Cause Unconjugated hyperbilirubinemia Hemolysis Gilbert’s syndrome Hematomareabsorption Ineffective erythropoiesis Conjugated hyperbilirubinemia Bile duct obstruction Hepatitis Cirrhosis Autoimmune cholestatic diseases (PBC, PSC) Total parenteral nutrition Drug toxins Vanishing bile duct syndrome
  • 49.
    Elevated bilirubin Isolated bilirubin <15%direct Hemolysis LDH, haptoglobin, peripheral smear Drugs Gilbert's or Crigler-Najjar syndrome >15% direct Dubin-Johnson or Rotor's syndrome Elevated AST/ALT +/- ALP Hepatocellular and cholestatic causes
  • 50.
    Clinical Case #4 •33 year old female with a BMI 32 presents to clinic for evaluation of jaundice and right upper quadrant pain. ALT 55 AST 49 AP 233 TB 3.5
  • 51.
    Elevated bilirubin Isolated bilirubin <15%direct Hemolysis LDH, haptoglobin, peripheral smear Drugs Gilbert's or Crigler-Najjar syndrome >15% direct Dubin-Johnson or Rotor's syndrome Elevated AST/ALT +/- ALP Hepatocellular and cholestatic causes
  • 52.
    Clinical Case #4 •RUQ US Dilated common bile duct to 20 mm, gallstones without evidence of cholecystitis
  • 53.
    Albumin • Exclusively madeby in the liver and accounts for 75% of the plasma colloid pressure. • In chronic liver disease, hepatic synthesis of albumin is impaired – Not specific to liver diseases
  • 54.
    Prothrombin Time • Measurementof the rate at which prothrombin is converted to thrombin – The extrinsic pathway depends on the activity of clotting factors II, V, VII, and X—all of which are synthesized in the liver • Therefore, prothrombin time is a reflection of liver dysfunction – In chronic liver diseases, prolonged prothrombin time is a sign of advanced liver disease – In acute liver diseases, it is a more reliable indicator of immediate synthetic function given it’s shorter half life
  • 55.
    Conclusion • Stable elevatedliver enzymes DO NOT exist • We are currently at the peak of HCV prevalence and there is a concomitant rise in the prevalence of NASH – Screen patients born between 1945-1965 • Cirrhosis is the greatest risk factor for hepatocellular carcinoma and hepatic decompensation
  • 56.
    Conclusion • Interpretation oflaboratory values in patients with abnormalities in liver panel testing is critical to developing a differential diagnosis and initiation an adequate work-up • The initial step is determination of an acute, chronic, or acute-on-chronic process
  • 57.
    Conclusion • Acquisition ofhistology can be used to confirm a suspected diagnosis, rule out hepatic disease, and stage the degree of fibrosis • Upon establishment of chronicity, the role of the practitioner is to establish the severity of hepatic dysfunction, potential for reversibility, and the need for escalation of care
  • 58.
    References 1. Younossi ZM,Stepanova M, Afendy M, et al. Changes in the prevalence of the most common causes of chronic liver diseases in the United States from 1988 to 2008. Clin Gastroenterol Hepatol. 2011 Jun;9(6):524-530. 2. Udompap P, Kim D, Kim WR. Current and Future Burden of Chronic Nonmalignant Liver Disease. Clin Gastroenterol Hepatol. 2015 Nov;13(12):2031-41. Epub 2015 Aug 17. 3. Hultcrantz R, Glaumann H, Lindberg G, Nilsson LH. Liver investigation in 149 asymptomatic patients with moderately elevated activities of serum aminotransferases. Scand J Gastroenterol 1986; 21:109–113. 4. Ioanou GN, Boyko EJ, Lee SP. The prevalence and predictors of elevated serum aminotransferase activity in the United States in 1999-2002. Am J Gastroenterol 2006; 101:76–82. 5. Chou R et al. Agency for Healthcare Research and Quality; 2012. 6. Chak E et al. Liver Int. 2011 Sep;31(8):1090-101. 7. Lavanchy D. Liver Int. 2009 Jan;29 Suppl 1:74-81. 8. Puoti C, Castellacci R, Montagnese F et al. Histological and virological features and follow-up of hepatitis C virus carriers with normal aminotransferase levels: the Italian prospective study of the asymptomatic C carriers (ISACC). J Hepatol 2002; 37: 117–123. 9. Ly KN et al. Ann Intern Med. 2012;156:271-8. 10. Lazo M, Hernaez R, Eberhardt MS, et al. Prevalence of nonalcoholic fatty liver disease in the United States: the Third National Health and Nutrition Examination Survey, 1988-1994. Am J Epidemiol. 2013 Jul 1;178(1):38-45. 11. L.A. Adams, S. Sanderson, K.D. Lindor, P. Angulo. The histological course of nonalcoholic fatty liver disease: a longitudinal study of 103 patients with sequential liver biopsies. J Hepatol, 42 (2005), pp. 132–138. 12. McPherson S, Hardy T, Henderson E, et al. Evidence of NAFLD progression from steatosis to fibrosing-steatohepatitis using paired biopsies: implications for prognosis and clinical management. J Hepatol. 2015 May;62(5):1148-55. 13. Heron M. Natl Vital Stat Rep.2012;61:1–96. 14. Scaglione S et al. J Clin Gastroenterol. 2014 Oct 8. 15. Chou R et al. Agency for Healthcare Research and Quality; 2012. 16. Kundrotas LW; Clement DJ. Serum alanine aminotransferase (ALT) elevation in asymptomatic US Air Force basic trainee blood donors. Dig Dis Sci 1993; 38:2145-2150 17. Clark JM, Brancati FL, Diehl AM. The prevalence and etiology of elevated aminotransferase levels in the United States. Am J Gastroenterol. 2003 May;98(5):960–7. 18. Liangpunsakul S, Chalasani N. Unexplained Elevations in Alanine Aminotransferase in Individuals with the Metabolic Syndrome: Results from the Third National Health and Nutrition Survey (NHANES III). The American Journal of the Medical Sciences [Internet]. 2005;329(3).

Editor's Notes

  • #8 6 Puoti C, Castellacci R, Montagnese F et al. Histological and virological features and follow-up of hepatitis C virus carriers with normal aminotransferase levels: the Italian prospective study of the asymptomatic C carriers (ISACC). J Hepatol 2002; 37: 117–123.
  • #9 4. Clin Gastroenterol Hepatol. 2015 Nov;13(12):2031-41. doi: 10.1016/j.cgh.2015.08.015. Epub 2015 Aug 17. Current and Future Burden of Chronic Nonmalignant Liver Disease.
  • #10 Ly KN et al. Ann Intern Med. 2012;156:271-8.
  • #11 6 Puoti C, Castellacci R, Montagnese F et al. Histological and virological features and follow-up of hepatitis C virus carriers with normal aminotransferase levels: the Italian prospective study of the asymptomatic C carriers (ISACC). J Hepatol 2002; 37: 117–123.
  • #14 L.A. Adams, S. Sanderson, K.D. Lindor, P. AnguloThe histological course of nonalcoholic fatty liver disease: a longitudinal study of 103 patients with sequential liver biopsies J Hepatol, 42 (2005), pp. 132–138 Evidence of NAFLD progression from steatosis to fibrosing-steatohepatitis using paired biopsies: implications for prognosis and clinical management. McPherson S, Hardy T, Henderson E, Burt AD, Day CP, Anstee QM. J Hepatol. 2015 May;62(5):1148-55.
  • #20 4. Clin Gastroenterol Hepatol. 2015 Nov;13(12):2031-41. doi: 10.1016/j.cgh.2015.08.015. Epub 2015 Aug 17. Current and Future Burden of Chronic Nonmalignant Liver Disease.
  • #21 Mofrad P, Contos MJ, Haque M et al. Clinical and histologic spectrum of nonalcoholic fatty liver disease associated with normal ALT values. Hepatology 2003; 37: 1286–1292. 2. Kundrotas LW; Clement DJ. Serum alanine aminotransferase (ALT) elevation in asymptomatic US Air Force basic trainee blood donors. Dig Dis Sci 1993; 38:2145-2150
  • #27 Clark JM, Brancati FL, Diehl AM. The prevalence and etiology of elevated aminotransferase levels in the United States. Am J Gastroenterol. 2003 May;98(5):960–7. Liangpunsakul S, Chalasani N. Unexplained Elevations in Alanine Aminotransferase in Individuals with the Metabolic Syndrome: Results from the Third National Health and Nutrition Survey (NHANES III). The American Journal of the Medical Sciences [Internet]. 2005;329(3). Available from: http://journals.lww.com/amjmedsci/Fulltext/2005/03000/Unexplained_Elevations_in_Alanine_Aminotransferase.1.aspx