Spr 09 11
Pneumonia
Inflammation of the lung parenchyma with
accumulation of exudate , inflammatory cells
and fibrin within the alveolar spaces or within
alveolar septa.
It is characterized by:
Consolidation of the affected part of the lung
Consolidation= replacement of airspaces by
inflammatory exudates giving the affected area
a firm (solid) consistency.
Spr 09 22
Classification of pneumonias
Three Types of Classification of
pneumonias
1.Clinical
2.Morphological (distribution of
inflammatory foci)
3.Etiological
Spr 09 33
Clinical classification
1. Community acquired pneumonia: acquired outside
the hospital
1. Typical
2. Atypical
2. Hospital acquired (nosocomial): represents an
infection caused by organisms in the hospital
environment
3. Aspiration pneumonia
4. Necrotizing pneumonia and Lung abscess
5. Pneumonia in immunocompromised hosts
6. Chronic pneumonias
Spr 09 44
Morphological classification
 Depending upon the site and extent of involvement of
lung:
1. Lobar pneumonia:
 involvement of the whole lobe
2. Bronchopneumonia:
 Begins as acute bronchitis and spreads locally into
lungs
 Lung has patchy areas of consolidation in same or
several lobes.
 Also k/a patchy pneumonia
3. Interstitial pneumonia:
 affects the interstitium and does NOT lead to
consolidation (syn.=atypical pneumonia or
pneumonitis.
Spr 09 55
Etiological classification
Bacterial
Viral
Fungal
Parasitic
Ricketssial
Mycoplasma pneumoniae
Chlamydia
Spr 09 66
Community Acquired Pneumonia
Can present in two ways:
1. Typical presentation
2. Atypical presentation
Spr 09 77
Typical community acquired pneumonia
Epidemiology:
Majority caused by bacterial pathogens
Most often due to Streptococcus pneumoniae.
People at risk:
Splenic dysfunction
Congenital or acquired immunodeficiency.
Spr 09 88
Typical community acquired Acute pneumonia
Can have two gross
patterns of anatomic
distribution:
Lobar pneumonia
Bronchopneumonia
Spr 09 9Fall 07 9
Typical community acquired Acute pneumonia
Lobar pneumonia
Consolidation of entire lobe or large portion of
a lobe.
Associated with
Predominantly intra-alveolar exudate.
spreads through pores of Kohn.
Bronchopneumonia
patchy areas of consolidation.
Usually bilateral
More common in Lower lobes.
Spr 09 10Fall 07 10
Consolidation
Of
entire lobe
Patchy areas
of
consolidation
Lobar pneumonia
Bronchopneumonia
Spr 09 11Fall 07 11
Typical community acquired pneumonia
Pathogenesis:
Inhalation of aerosol from an infected
patient.
Four Classical Stages lobar pneumonia:
1. Stage of Congestion
2. Stage of Red Hepatization
3. Stage of Gray Hepatizaiton
4. Stage of Resolution
Spr 09 12Fall 07 12
S. pneumoniae
Capillary
Type I pneumocyte
Edema
Neutrophil with bacteria
Pneumococci
Spr 09 13Fall 07 13
Stage of :
Congestion and
Red hepatization
Exudate rich in neutrophils
Spr 09 14Fall 07 14
Stage of Red Hepatization
Exudate rich in
Neutrophils
Congested capillaries
Spr 09 15Fall 07 15
Macrophage
Stage of :
Grey hepatization
Resolution
Spr 09 16Fall 07 16
Red hepatizationGray hepatization
Spr 09 17Fall 07 17
Typical community acquired pneumonia
Clinical findings
Sudden onset of
High fever
Cough productive of sputum [yellow-green (pus)
or rusty (bloody)].
Signs of consolidation in lungs on PE and X ray
Dullness to percussion
Increased vocal tactile fremitus
Chest X ray : first step in management***.
Radio-opaque lobe  Lobar pneumonia
Focal opacities Bronchopneumonia
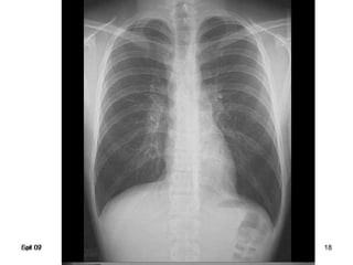
Spr 09 18Fall 07 18
Complete
right upper lobe
consolidation
Lobar pneumonia
Spr 09 19Fall 07 19
Bronchopneumonia
Patchy infiltrates
Spr 09 20Fall 07 20
Laboratory findings
Blood:
Neutrophilic leukocytosis with left shift.
Sputum:
Gram positive lancet shaped diplococci
(pneumococci)
Spr 09 21Fall 07 21
Complications of lobar and bronchopneumonia
1. Development of Lung Abscess
2. Empyema (pus in the pleural cavities)
3. Bacteremia and sepsis with infection of other
organs.
1. Meningitis
2. Bacterial endocarditis
3. Arthritis
4. Otitis media
Spr 09 22Fall 07 22
Summary of other Community
acquired Acute pneumonias
Spr 09 23Fall 07 23
Staph aureus: (gram +ve coccus)
MC pathogen causing pneumonia following
influenza infection.
Common cause of pneumonia in IVDA
Common in nosocomial pneumonia as well
Complications: lung abscess , endocarditis or
brain/kidney abscess.
Yellow colored sputum
H.influenzae: (gram –ve rod)
MCC of acute exacerbation of COPD.
Acute epiglottitis in children.
Spr 09 24Fall 07 24
Pseudomonas aeruginosa: Gram –ve rod
Water loving bacteria, transmitted by
respirators
Common cause of nosocomial pneumonia and
MCC of pneumonia in CF patients.
MC pneumonia in ICU/CCU (due to respirators)
Green colored sputum (pyocyanin)
Klebsiella pneumoniae: Gram –ve rod with capsule
Causes pneumonia in alcoholics
MC pneumonia in nursing homes
Sputum: thick,gelatinous,mucoid and blood
tinged.
Involves upper lobes and cavitates like TB.
Spr 09 25Fall 07 25
Morexella Catarrhalis:
Common cause of pneumonia in elderly
Common cause of otitis media in children
Legionella pneumophilia (Gram –ve, need IF or
Dieterle silver stain)
Water loving bacteria (May spread via water
coolers)
Organ transplant recipients are at risk.
Pneumonia with dry cough, malaise, flu like
symptoms and striking fever.
Other findings: arthralgias, renal and CNS
findings.
Can produce hyponatremia due to interstitial
nephritis.
Spr 09 26Fall 07 26
Community acquired atypical
pneumonias
Spr 09 27Fall 07 27
Atypical community acquired pneumonia
Etiology:
Usually caused by Mycoplasma pneumoniae***
Other organisms include:
Chlamydia trachomatis (newborns)
Chlamydia pneumoniae
Viruses
Influenza virus types A and B (adults)
Parainfluenza virus (children)
RSV and SARS virus
Adenovirus (military recruits)
Coxiella burnetti (Q fever)
Spr 09 28Fall 07 28
Community acquired atypical pneumonias
Mycoplasma pneumoniae:
MCC of primary atypical pneumonia.
Usually involves school age children and young
adults.
Occurs in crowded conditions
Schools, prisons and military barracks.
• Pathogenesis:
Contracted by inhalation (droplet infection)
Spr 09 29Fall 07 29
Pathology:
Interstitial inflammatory reaction, localized
within the wall of alveoli.
Mononuclear cell infiltrate composed of
lymphocytes, histiocytes and plasma cells.
Alveolar spaces free of exudate (no
consolidation).
Community acquired atypical pneumonias
Spr 09 30Fall 07 30
Lymphoplasmacytic
Infiltrate in the
Alveolar septa
Spr 09 31Fall 07 31
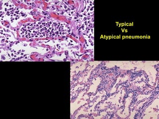
Typical
Vs
Atypical pneumonia
Spr 09 32Fall 07 32
Atypical community acquired pneumonia
Clinical findings:
Gradual onset
Low grade fever
Non to mildly productive cough (dry cough)
No signs of consolidation (interstitial
pneumonia)
Flu like symptoms:
Headache, myalgias, pharyngitis, laryngitis
etc.
Chest X ray: minimal signs
Spr 09 33Fall 07 33
Other organisms causing atypical
pneumonia
Spr 09 34Fall 07 34
Respiratory syncytial virus (RSV):
MCC of interstitial pneumonia and bronchiolitis
in infants
Influenza virus:
Type A: produces pandemics and epidemics
Type B: epidemics
Hemagglutinins: bind virus to cell receptors in
nasal passage
Neuraminidase: dissolves mucus and facilitates
release of viral particles from infected cells.
Mild cold to bronchitis to severe pneumonia.
Superimposed bacterial infection : S.aureus
Spr 09 35Fall 07 35
Chlamydia psittaci:
Psittacosis is a zoonosis
Inhalation of C.psittaci from psittacine birds
(parrots, parakeets).
Primarily results in interstitial pneumonia.
Chlamydia pneumoniae:
Droplet infection
5 % of community acquired atypical
pneumonias
Relationship with coronary artery disease.
Chlamydia trachomatis:
Newborn pneumonia (infected birth canal)
Presents with staccato cough, conjunctivitis,
tachypnea.
Afebrile and eosinophilia.
Spr 09 36Fall 07 36
Coxiella burnetii
Only rickettsia transmitted without a
vector.
Inhalation
People at risk: dairy farmers,
veterinarians.
Sudden onset of high fever, headache,
interstitial pneumonia.

03 Respiratory infection1

  • 1.
    Spr 09 11 Pneumonia Inflammationof the lung parenchyma with accumulation of exudate , inflammatory cells and fibrin within the alveolar spaces or within alveolar septa. It is characterized by: Consolidation of the affected part of the lung Consolidation= replacement of airspaces by inflammatory exudates giving the affected area a firm (solid) consistency.
  • 2.
    Spr 09 22 Classificationof pneumonias Three Types of Classification of pneumonias 1.Clinical 2.Morphological (distribution of inflammatory foci) 3.Etiological
  • 3.
    Spr 09 33 Clinicalclassification 1. Community acquired pneumonia: acquired outside the hospital 1. Typical 2. Atypical 2. Hospital acquired (nosocomial): represents an infection caused by organisms in the hospital environment 3. Aspiration pneumonia 4. Necrotizing pneumonia and Lung abscess 5. Pneumonia in immunocompromised hosts 6. Chronic pneumonias
  • 4.
    Spr 09 44 Morphologicalclassification  Depending upon the site and extent of involvement of lung: 1. Lobar pneumonia:  involvement of the whole lobe 2. Bronchopneumonia:  Begins as acute bronchitis and spreads locally into lungs  Lung has patchy areas of consolidation in same or several lobes.  Also k/a patchy pneumonia 3. Interstitial pneumonia:  affects the interstitium and does NOT lead to consolidation (syn.=atypical pneumonia or pneumonitis.
  • 5.
    Spr 09 55 Etiologicalclassification Bacterial Viral Fungal Parasitic Ricketssial Mycoplasma pneumoniae Chlamydia
  • 6.
    Spr 09 66 CommunityAcquired Pneumonia Can present in two ways: 1. Typical presentation 2. Atypical presentation
  • 7.
    Spr 09 77 Typicalcommunity acquired pneumonia Epidemiology: Majority caused by bacterial pathogens Most often due to Streptococcus pneumoniae. People at risk: Splenic dysfunction Congenital or acquired immunodeficiency.
  • 8.
    Spr 09 88 Typicalcommunity acquired Acute pneumonia Can have two gross patterns of anatomic distribution: Lobar pneumonia Bronchopneumonia
  • 9.
    Spr 09 9Fall07 9 Typical community acquired Acute pneumonia Lobar pneumonia Consolidation of entire lobe or large portion of a lobe. Associated with Predominantly intra-alveolar exudate. spreads through pores of Kohn. Bronchopneumonia patchy areas of consolidation. Usually bilateral More common in Lower lobes.
  • 10.
    Spr 09 10Fall07 10 Consolidation Of entire lobe Patchy areas of consolidation Lobar pneumonia Bronchopneumonia
  • 11.
    Spr 09 11Fall07 11 Typical community acquired pneumonia Pathogenesis: Inhalation of aerosol from an infected patient. Four Classical Stages lobar pneumonia: 1. Stage of Congestion 2. Stage of Red Hepatization 3. Stage of Gray Hepatizaiton 4. Stage of Resolution
  • 12.
    Spr 09 12Fall07 12 S. pneumoniae Capillary Type I pneumocyte Edema Neutrophil with bacteria Pneumococci
  • 13.
    Spr 09 13Fall07 13 Stage of : Congestion and Red hepatization Exudate rich in neutrophils
  • 14.
    Spr 09 14Fall07 14 Stage of Red Hepatization Exudate rich in Neutrophils Congested capillaries
  • 15.
    Spr 09 15Fall07 15 Macrophage Stage of : Grey hepatization Resolution
  • 16.
    Spr 09 16Fall07 16 Red hepatizationGray hepatization
  • 17.
    Spr 09 17Fall07 17 Typical community acquired pneumonia Clinical findings Sudden onset of High fever Cough productive of sputum [yellow-green (pus) or rusty (bloody)]. Signs of consolidation in lungs on PE and X ray Dullness to percussion Increased vocal tactile fremitus Chest X ray : first step in management***. Radio-opaque lobe  Lobar pneumonia Focal opacities Bronchopneumonia
  • 18.
    Spr 09 18Fall07 18 Complete right upper lobe consolidation Lobar pneumonia
  • 19.
    Spr 09 19Fall07 19 Bronchopneumonia Patchy infiltrates
  • 20.
    Spr 09 20Fall07 20 Laboratory findings Blood: Neutrophilic leukocytosis with left shift. Sputum: Gram positive lancet shaped diplococci (pneumococci)
  • 21.
    Spr 09 21Fall07 21 Complications of lobar and bronchopneumonia 1. Development of Lung Abscess 2. Empyema (pus in the pleural cavities) 3. Bacteremia and sepsis with infection of other organs. 1. Meningitis 2. Bacterial endocarditis 3. Arthritis 4. Otitis media
  • 22.
    Spr 09 22Fall07 22 Summary of other Community acquired Acute pneumonias
  • 23.
    Spr 09 23Fall07 23 Staph aureus: (gram +ve coccus) MC pathogen causing pneumonia following influenza infection. Common cause of pneumonia in IVDA Common in nosocomial pneumonia as well Complications: lung abscess , endocarditis or brain/kidney abscess. Yellow colored sputum H.influenzae: (gram –ve rod) MCC of acute exacerbation of COPD. Acute epiglottitis in children.
  • 24.
    Spr 09 24Fall07 24 Pseudomonas aeruginosa: Gram –ve rod Water loving bacteria, transmitted by respirators Common cause of nosocomial pneumonia and MCC of pneumonia in CF patients. MC pneumonia in ICU/CCU (due to respirators) Green colored sputum (pyocyanin) Klebsiella pneumoniae: Gram –ve rod with capsule Causes pneumonia in alcoholics MC pneumonia in nursing homes Sputum: thick,gelatinous,mucoid and blood tinged. Involves upper lobes and cavitates like TB.
  • 25.
    Spr 09 25Fall07 25 Morexella Catarrhalis: Common cause of pneumonia in elderly Common cause of otitis media in children Legionella pneumophilia (Gram –ve, need IF or Dieterle silver stain) Water loving bacteria (May spread via water coolers) Organ transplant recipients are at risk. Pneumonia with dry cough, malaise, flu like symptoms and striking fever. Other findings: arthralgias, renal and CNS findings. Can produce hyponatremia due to interstitial nephritis.
  • 26.
    Spr 09 26Fall07 26 Community acquired atypical pneumonias
  • 27.
    Spr 09 27Fall07 27 Atypical community acquired pneumonia Etiology: Usually caused by Mycoplasma pneumoniae*** Other organisms include: Chlamydia trachomatis (newborns) Chlamydia pneumoniae Viruses Influenza virus types A and B (adults) Parainfluenza virus (children) RSV and SARS virus Adenovirus (military recruits) Coxiella burnetti (Q fever)
  • 28.
    Spr 09 28Fall07 28 Community acquired atypical pneumonias Mycoplasma pneumoniae: MCC of primary atypical pneumonia. Usually involves school age children and young adults. Occurs in crowded conditions Schools, prisons and military barracks. • Pathogenesis: Contracted by inhalation (droplet infection)
  • 29.
    Spr 09 29Fall07 29 Pathology: Interstitial inflammatory reaction, localized within the wall of alveoli. Mononuclear cell infiltrate composed of lymphocytes, histiocytes and plasma cells. Alveolar spaces free of exudate (no consolidation). Community acquired atypical pneumonias
  • 30.
    Spr 09 30Fall07 30 Lymphoplasmacytic Infiltrate in the Alveolar septa
  • 31.
    Spr 09 31Fall07 31 Typical Vs Atypical pneumonia
  • 32.
    Spr 09 32Fall07 32 Atypical community acquired pneumonia Clinical findings: Gradual onset Low grade fever Non to mildly productive cough (dry cough) No signs of consolidation (interstitial pneumonia) Flu like symptoms: Headache, myalgias, pharyngitis, laryngitis etc. Chest X ray: minimal signs
  • 33.
    Spr 09 33Fall07 33 Other organisms causing atypical pneumonia
  • 34.
    Spr 09 34Fall07 34 Respiratory syncytial virus (RSV): MCC of interstitial pneumonia and bronchiolitis in infants Influenza virus: Type A: produces pandemics and epidemics Type B: epidemics Hemagglutinins: bind virus to cell receptors in nasal passage Neuraminidase: dissolves mucus and facilitates release of viral particles from infected cells. Mild cold to bronchitis to severe pneumonia. Superimposed bacterial infection : S.aureus
  • 35.
    Spr 09 35Fall07 35 Chlamydia psittaci: Psittacosis is a zoonosis Inhalation of C.psittaci from psittacine birds (parrots, parakeets). Primarily results in interstitial pneumonia. Chlamydia pneumoniae: Droplet infection 5 % of community acquired atypical pneumonias Relationship with coronary artery disease. Chlamydia trachomatis: Newborn pneumonia (infected birth canal) Presents with staccato cough, conjunctivitis, tachypnea. Afebrile and eosinophilia.
  • 36.
    Spr 09 36Fall07 36 Coxiella burnetii Only rickettsia transmitted without a vector. Inhalation People at risk: dairy farmers, veterinarians. Sudden onset of high fever, headache, interstitial pneumonia.