VOLVULUS
JLENGWE jr3
Introduction
• Obstruction caused by a loop in the intestines that twists and surrounds
messentery, attaches intestine to back wall of the abdomen
• volvulus is simply mean, intestines twist around its mesentery
• compound volvulus a.k.a ileosigmoid knotting:- twisting of the ileum and
sigmoid and viceversa. It is an intraoperative finding (difficult to see on x-ray).
it sometimes centrally located like that of small intestine volvulus
TYPES
1. Sigmoid volvulus- most common
2. Ceaecal volvulus- 2nd most common
3. Gastric volvulus
4. Midgut (small intestine)
• other way of classifying includes: Acute, Sub-acute and Compound
Risk factors
• Old age and middle age
• Constipation
• Hirsprungs disease (increases the risk)
• Pregnancy(fetus can cause displacement and twisting of the colon)
• Abdominal adhesion(the scar tissue creates attachment between two
parts of abdomen where the colon can twist)
History of presenting illness
• patient presents with features of intestinal obstruction
• colick abdominal pain
• abdominal distension
• absolute constipation
• vomiting (usually late sign due to sigmoid distally located)
• dehydration
• fever
Physical examination
• Distended abdomen
• Abdomen is often very tympanic to percussion
• If perforate or ischaemic: features of peritonism
Clinical investigation
LABORATORY
• Full blood count and differentials
• electrolytes and urea, creatinine
• liver function test
• erythrocyte sedementation rate(ESR)
IMAGING (diagnostics modalities)
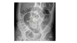
• Abdominal x-ray (coffee bean/sigma sign, fridmandell’s sign,omega
sign)
- Erect x-ray - gases
- Supine x-ray - gas fluid levels
• Barium enema
• Ct scan (abdomen -pelvis with contrast)
- much more sensitive and specific for bowel obstruction
- identifies the site and cause
- classically demonstrate a very dilated sigmoid colon with a ‘whirl
sign’, from the twisting mesentery around its base
Differential diagnosis
• Severe constipation
• Pseudo-obstructions
• Severe sigmoid diverticular disease
Treatment
• Sigmoidoscopy and insertion of the flatus tube (to decompress and
devolvulate the sigmoid volvulus)
• Colonoscopy (to decompress and devolvulate the midgut)
• Surgery (indication for surgery- laparatomy for a hartmann’s procedure)
- colonic ischaemia or perforation
- repeated failed attempts of decompression
- necrotic bowel noted at endoscopy
Complications
• strangulation
• gangrene
• perforation
• hemorrhage
• dehydration
• shock
• electrolytes imbalances
• recurrence in cases where surgery was not done
JLENGWE jr3
TWALUMBA

VOLVULUS PART 1.pptx

  • 1.
  • 2.
    Introduction • Obstruction causedby a loop in the intestines that twists and surrounds messentery, attaches intestine to back wall of the abdomen • volvulus is simply mean, intestines twist around its mesentery • compound volvulus a.k.a ileosigmoid knotting:- twisting of the ileum and sigmoid and viceversa. It is an intraoperative finding (difficult to see on x-ray). it sometimes centrally located like that of small intestine volvulus
  • 4.
    TYPES 1. Sigmoid volvulus-most common 2. Ceaecal volvulus- 2nd most common 3. Gastric volvulus 4. Midgut (small intestine) • other way of classifying includes: Acute, Sub-acute and Compound
  • 5.
    Risk factors • Oldage and middle age • Constipation • Hirsprungs disease (increases the risk) • Pregnancy(fetus can cause displacement and twisting of the colon) • Abdominal adhesion(the scar tissue creates attachment between two parts of abdomen where the colon can twist)
  • 6.
    History of presentingillness • patient presents with features of intestinal obstruction • colick abdominal pain • abdominal distension • absolute constipation • vomiting (usually late sign due to sigmoid distally located) • dehydration • fever
  • 7.
    Physical examination • Distendedabdomen • Abdomen is often very tympanic to percussion • If perforate or ischaemic: features of peritonism
  • 8.
    Clinical investigation LABORATORY • Fullblood count and differentials • electrolytes and urea, creatinine • liver function test • erythrocyte sedementation rate(ESR)
  • 9.
    IMAGING (diagnostics modalities) •Abdominal x-ray (coffee bean/sigma sign, fridmandell’s sign,omega sign) - Erect x-ray - gases - Supine x-ray - gas fluid levels • Barium enema
  • 11.
    • Ct scan(abdomen -pelvis with contrast) - much more sensitive and specific for bowel obstruction - identifies the site and cause - classically demonstrate a very dilated sigmoid colon with a ‘whirl sign’, from the twisting mesentery around its base
  • 12.
    Differential diagnosis • Severeconstipation • Pseudo-obstructions • Severe sigmoid diverticular disease
  • 13.
    Treatment • Sigmoidoscopy andinsertion of the flatus tube (to decompress and devolvulate the sigmoid volvulus) • Colonoscopy (to decompress and devolvulate the midgut) • Surgery (indication for surgery- laparatomy for a hartmann’s procedure) - colonic ischaemia or perforation - repeated failed attempts of decompression - necrotic bowel noted at endoscopy
  • 14.
    Complications • strangulation • gangrene •perforation • hemorrhage • dehydration • shock • electrolytes imbalances • recurrence in cases where surgery was not done
  • 15.