11
CERRAHİ SEREBROVASKÜLERCERRAHİ SEREBROVASKÜLER
HASTALIKLARHASTALIKLAR
“Nöro-Vasküler Cerrahi”“Nöro-Vasküler Cerrahi”
Prof. Dr. Mustafa BOZBUĞAProf. Dr. Mustafa BOZBUĞA
TRAKYA ÜNİVERSİTESİ TIP FAKÜLTESİTRAKYA ÜNİVERSİTESİ TIP FAKÜLTESİ
NÖROŞİRÜRJİ ANABİLİM DALINÖROŞİRÜRJİ ANABİLİM DALI
3
VASKÜLER NÖROŞİRÜRJİVASKÜLER NÖROŞİRÜRJİ
 Spontan SubaraknoidSpontan Subaraknoid
Hemoraji/Kanama (SAH/SAK)Hemoraji/Kanama (SAH/SAK)
• İntrakranyal anevrizmalarİntrakranyal anevrizmalar
• Arteriovenöz malformasyonlarArteriovenöz malformasyonlar
 Tıkayıcı serebrovasküler hastalıklarTıkayıcı serebrovasküler hastalıklar
 Spontan intraparenkimal hemorajiSpontan intraparenkimal hemoraji
 Karotiko-kavernöz fistülKarotiko-kavernöz fistül
 Galen veni anevrizmasıGalen veni anevrizması
 Moya-moya hastalığıMoya-moya hastalığı
 Spinal arteriovenöz malformasyonlarSpinal arteriovenöz malformasyonlar
4
SPONTAN SUBARAKNOİDSPONTAN SUBARAKNOİD
HEMORAJİHEMORAJİ
TANIMTANIM
 Araknoid zarın altındaki BOS ileAraknoid zarın altındaki BOS ile
dolu ve büyük damarların,dolu ve büyük damarların,
sinirlerin geçtiği aralığa çeşitlisinirlerin geçtiği aralığa çeşitli
nedenlerle oluşan kanamanedenlerle oluşan kanama
5
6
7
SPONTAN SUBARAKNOİD HEMORAJİSPONTAN SUBARAKNOİD HEMORAJİ
İnsidensİnsidens
• Bu konudaki verilerin çoğu otopsiBu konudaki verilerin çoğu otopsi
materyallerinden elde edilmiştirmateryallerinden elde edilmiştir
• Sıklık; toplumlara,Sıklık; toplumlara, iklimiklime, yıllara göree, yıllara göre
değişirdeğişir
• Yılda 100 bin kişiden 10 - 15’indeYılda 100 bin kişiden 10 - 15’inde
görülürgörülür
8
9
SPONTAN SUBARAKNOİD KANAMALARSPONTAN SUBARAKNOİD KANAMALAR
 Tanımı & Etyoloji & Prognoz - İstatistikTanımı & Etyoloji & Prognoz - İstatistik
 TanısıTanısı
 Hastanın transportu - Uygun merkezHastanın transportu - Uygun merkez
 Yönetim:Yönetim:
• YBÜ/Servis – Medikal Tedavi – Hastanın stabilizasyonuYBÜ/Servis – Medikal Tedavi – Hastanın stabilizasyonu
• Ayrıntılı Tanı:Ayrıntılı Tanı:
 SAK – Etyoloji?:SAK – Etyoloji?: Anevrizma/AVM/Tümör/Diğer,… + Hematom-Kitle etkisiAnevrizma/AVM/Tümör/Diğer,… + Hematom-Kitle etkisi
 KomplikasyonlarKomplikasyonlar (Hematom, hidrosefali, ödem, iskemi, enfarkt, metabolik,.)(Hematom, hidrosefali, ödem, iskemi, enfarkt, metabolik,.)
• Yönetim: Cerrahi Zamanlama & HazırlıkYönetim: Cerrahi Zamanlama & Hazırlık
• Postoperatif Tedavi/Bakım, KontrolPostoperatif Tedavi/Bakım, Kontrol
• Vazospazm …….Vazospazm ……. Önlem - TedaviÖnlem - Tedavi
• Komplikasyonlar …….Komplikasyonlar ……. Önlem - TedaviÖnlem - Tedavi
• Nöroradyolojik YaklaşımNöroradyolojik Yaklaşım
10
SUBARAKNOİDSUBARAKNOİD KANAMALARKANAMALAR
 EtyolojilerEtyolojiler
 AnevrizmalarAnevrizmalar …..….. %75-80%75-80
 AVMAVM …..….. %5%5
 TümörlerTümörler …..….. NadirenNadiren
 Serebral arter diseksiyonlarıSerebral arter diseksiyonları
 Pitüiter apopleksiPitüiter apopleksi
 Spinal AVM, Dural AVM,…Spinal AVM, Dural AVM,…
 Diğer nedenlerDiğer nedenler (Koagülasyon bozuklukları, dural sinüs trombozu, orak(Koagülasyon bozuklukları, dural sinüs trombozu, orak
hücreli anemi, madde kullanımı,… diğer nedenler, - Nedeni belirlenemeyen,…)hücreli anemi, madde kullanımı,… diğer nedenler, - Nedeni belirlenemeyen,…)
11
SUBARAKNOİDSUBARAKNOİD KANAMALARKANAMALAR
 Prognoz – İstatistikPrognoz – İstatistik
 %10-15’i hastaneye getirilemeden exitus.%10-15’i hastaneye getirilemeden exitus.
• İlk birkaç gün içinde mortalite:İlk birkaç gün içinde mortalite: %10%10
• 2 hafta – 30 gün içindeki mortalite:2 hafta – 30 gün içindeki mortalite:
%46-50’nin üstünde%46-50’nin üstünde
• Tüm seyir mortalitesi: yaklaşıkTüm seyir mortalitesi: yaklaşık %67%67
 Genel popülasyonun %2’sinde anevrizmaGenel popülasyonun %2’sinde anevrizma
• %1’i rüptüre olur%1’i rüptüre olur
• %0.5’i ex.%0.5’i ex.
12
SUBARAKNOİD KANAMALARSUBARAKNOİD KANAMALAR
Tıbbi Acil Bir Durumdur!!!Tıbbi Acil Bir Durumdur!!!
- Erken Tanı…- Erken Tanı…
- Hastanın stabilizasyonu…- Hastanın stabilizasyonu…
- Hastanın yönetimi-tedavisi,…- Hastanın yönetimi-tedavisi,…
13
SUBARAKNOİD KANAMALARSUBARAKNOİD KANAMALAR
Tıbbi Acil Bir Durumdur!!!Tıbbi Acil Bir Durumdur!!!
- Erken Tanı!!!- Erken Tanı!!!
““Klinik prezantasyonKlinik prezantasyon
çok geniş bir yelpaze içinde olabilir”çok geniş bir yelpaze içinde olabilir”
14
SUBARAKNOİDSUBARAKNOİD KANAMALARKANAMALAR
 TANI:TANI:
 SAK’ın tanısıSAK’ın tanısı
 KlinikKlinik
 BT,BT, MRGMRG
 LPLP
 SAK’ın etyolojisinin tanısıSAK’ın etyolojisinin tanısı
 DSA,DSA, BTA, MRABTA, MRA
15
SUBARAKNOİDSUBARAKNOİD KANAMALARKANAMALAR
Hastanın transportuHastanın transportu
&&
Uygun merkezUygun merkez
16
SUBARAKNOİDSUBARAKNOİD KANAMALARKANAMALAR
 MORTALİTE/MORBİDİTE nedenleriMORTALİTE/MORBİDİTE nedenleri
• Primer beyin hasarıPrimer beyin hasarı
• Yeniden kanamaYeniden kanama
• VazospazmVazospazm
• Yüksek ICPYüksek ICP
• Fokal/Difüz iskemi, ödem, DIND,…Fokal/Difüz iskemi, ödem, DIND,…
• İntrakranyal hematom(lar) – Kitle etkisiİntrakranyal hematom(lar) – Kitle etkisi
• HidrosefaliHidrosefali
• EpilepsiEpilepsi
• SAK’ın medikal komplikasyonlarıSAK’ın medikal komplikasyonları (Pulmoner(Pulmoner
komplikasyonlar, elektrolit bozuklukları - hiponatremi, DVT, enfeksiyonlar,komplikasyonlar, elektrolit bozuklukları - hiponatremi, DVT, enfeksiyonlar,
kardiyak yetmezlik/iskemi,…)kardiyak yetmezlik/iskemi,…)
 Diğer komplikasyonlarDiğer komplikasyonlar
17
SUBARAKNOİDSUBARAKNOİD KANAMALARKANAMALAR
SAK’ın MEDİKAL TEDAVİSİNDESAK’ın MEDİKAL TEDAVİSİNDE
 CBF RegülasyonuCBF Regülasyonu
 Serebral KorumaSerebral Koruma
 Sistemik Genel Bakım,Sistemik Genel Bakım,
 Komplikasyonların önlenmesiKomplikasyonların önlenmesi
18
SUBARAKNOİDSUBARAKNOİD KANAMALARKANAMALAR
 TANI:TANI:
 SAK’ın tanısıSAK’ın tanısı
 Klinik gradeKlinik grade
 BT gradeBT grade
BT ile SAK TanısıBT ile SAK Tanısı:: SAK, hematom(lar) – Kitle etkisi, hidrosefali,SAK, hematom(lar) – Kitle etkisi, hidrosefali,
enfarkt, kanama paterni – hangi anevrizma kanamış?,…enfarkt, kanama paterni – hangi anevrizma kanamış?,…
SAK sonrası 12. saatte duyarlılık %100, 1. hafta sonunda %50SAK sonrası 12. saatte duyarlılık %100, 1. hafta sonunda %50
Spektrofotometrik analiz,…. Yanlış pozitiflikler!Spektrofotometrik analiz,…. Yanlış pozitiflikler!
BT (-) ise LPBT (-) ise LP
BT (-) ise LP (-)…..SAK?BT (-) ise LP (-)…..SAK?
 SAK’ın etyolojisinin tanısıSAK’ın etyolojisinin tanısı
 DSADSA
19
SUBARAKNOİDSUBARAKNOİD KANAMALARKANAMALAR
 TANI:TANI:
 SAK’ın etyolojisinin tanısıSAK’ın etyolojisinin tanısı
Negatif DSA?Negatif DSA?
- Perimezensefalik SAK- Perimezensefalik SAK
- Klasik SAK…. Etyoloji?- Klasik SAK…. Etyoloji?
20
SUBARAKNOİDSUBARAKNOİD KANAMALARKANAMALAR
Cerrahi Zamanlama!!!Cerrahi Zamanlama!!!
21
SUBARAKNOİDSUBARAKNOİD KANAMALARKANAMALAR
YÖNETİMYÖNETİM
• YBÜ/Servis:YBÜ/Servis:
Medikal Tedavi – Hastanın stabilizasyonuMedikal Tedavi – Hastanın stabilizasyonu
(ACLS: Advanced Cardiac Life Support,…+…)(ACLS: Advanced Cardiac Life Support,…+…)
• Ayrıntılı Tanı:Ayrıntılı Tanı:
 SAK – Etyoloji?:SAK – Etyoloji?: Anevrizma/AVM/Tümör/Diğer,… + Hematom-Kitle etkisiAnevrizma/AVM/Tümör/Diğer,… + Hematom-Kitle etkisi
 Komplikasyonlar:Komplikasyonlar: Hematom, yeniden kanama, vazospazm, hidrosefali,Hematom, yeniden kanama, vazospazm, hidrosefali,
ödem, iskemi, enfarkt, epilepsi, metabolik, sistemik,…ödem, iskemi, enfarkt, epilepsi, metabolik, sistemik,…
• Cerrahi Zamanlama & HazırlıkCerrahi Zamanlama & Hazırlık
• Postoperatif Tedavi/BakımPostoperatif Tedavi/Bakım
• Kontrol DSAKontrol DSA
• Vazospazm …….Vazospazm ……. Önlem - TedaviÖnlem - Tedavi
• Komplikasyonlar …….Komplikasyonlar ……. Önlem - TedaviÖnlem - Tedavi
• Nöroradyolojik YaklaşımNöroradyolojik Yaklaşım
22
MASİF SPONTAN SAK + ICH + İVH + SDH…MASİF SPONTAN SAK + ICH + İVH + SDH…
23
MASİF SPONTAN SAK + ICH + İVH +…MASİF SPONTAN SAK + ICH + İVH +…
• 58 yaşında bayan hasta58 yaşında bayan hasta
• Ani bilinç kaybı şikayetiyle acilAni bilinç kaybı şikayetiyle acil
polikliniğe getirildipolikliniğe getirildi
• İlk NM:İlk NM: Bilinç kapalı; GKS: 5Bilinç kapalı; GKS: 5
Pupillalar anizokorikPupillalar anizokorik
YBÜYBÜ
5. günde exitus5. günde exitus
24
 HP: 53 yaşında kadın hastaHP: 53 yaşında kadın hasta
 Akut, şiddetli başağrısıAkut, şiddetli başağrısı (şiddetli, son 24(şiddetli, son 24
saat içinde)saat içinde)
 GKS 14, Nörodefisit yok (WFNSGKS 14, Nörodefisit yok (WFNS
grade 2)grade 2)
 Fisher grade IIIFisher grade III
25
26
27
28
29
CERRAHİCERRAHİ
 Sol suboksipital retrosigmoidSol suboksipital retrosigmoid
yaklaşımyaklaşım
 Anevrizma kliplendiAnevrizma kliplendi
30
POSTOP MRAPOSTOP MRA
31
POSTOP DSAPOSTOP DSA
32
POSTOP DSAPOSTOP DSA
33
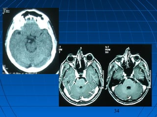
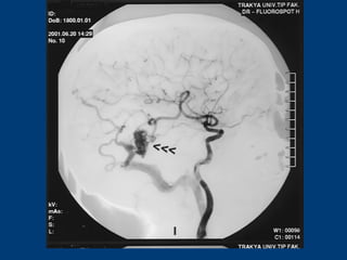
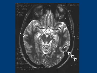
 42 yaşında erkek hasta42 yaşında erkek hasta
 BaşağrısıBaşağrısı (kronik)(kronik)
 Nörolojik olarak intaktNörolojik olarak intakt
34
35
36
CERRAHİCERRAHİ
 Sağ pterional trans-sylvianSağ pterional trans-sylvian
transtentorial pre- and para-transtentorial pre- and para-
pedünküler yaklaşımpedünküler yaklaşım
 PCA Anevrizması kliplendiPCA Anevrizması kliplendi
37
38
 A Y: 33yaşında kadın hastaA Y: 33yaşında kadın hasta
 Şiddetli başağrısıŞiddetli başağrısı (son bir gün içinde)(son bir gün içinde)
 Nörolojik muayene:Nörolojik muayene:
ES-MİB ++, E3M6V4 (GKS 13)ES-MİB ++, E3M6V4 (GKS 13)
 WFNS 2WFNS 2
 Fisher 3Fisher 3
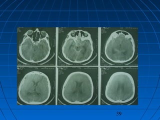
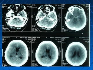
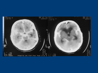
39
40
41
42
CERRAHİCERRAHİ
 Sağ lateral infratentorialSağ lateral infratentorial
supraserebellar - retrosigmoidsupraserebellar - retrosigmoid
yaklaşımyaklaşım
 SCA Anevrizması kliplendi.SCA Anevrizması kliplendi.
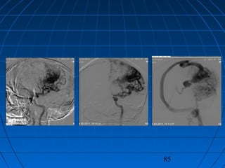
43
POSTOP DSAPOSTOP DSA
44
POSTOP DSAPOSTOP DSA
45
 56 yaşında erkek hasta56 yaşında erkek hasta
 BaşağrısıBaşağrısı (kronik-progresif, yaklaşık bir(kronik-progresif, yaklaşık bir
yıldır)yıldır)
 Nörolojik bakımdan normalNörolojik bakımdan normal
 Kranyal MRG:Kranyal MRG:
 pitüiter macroadenompitüiter macroadenom
 insidental AComA anevrizmasıinsidental AComA anevrizması
46
47
48
49
CERRAHİCERRAHİ
 Sol pterional trans-sylvian yaklaşımSol pterional trans-sylvian yaklaşım
 AcomA Anevrizması kliplendiAcomA Anevrizması kliplendi
50
51
 FA: 56 yaşında erkek hastaFA: 56 yaşında erkek hasta
 Şiddetli başağrısıŞiddetli başağrısı
 GKS 14 (WFNS grade 2)GKS 14 (WFNS grade 2)
 Fisher grade IVFisher grade IV
52
53
54
CERRAHİCERRAHİ
 Sağ pterional trans-sylvian yaklaşımSağ pterional trans-sylvian yaklaşım
 MCA Anevrizması kliplendiMCA Anevrizması kliplendi
55
POSTOP DSAPOSTOP DSA
56
 ST: 43 yaşında kadın hastaST: 43 yaşında kadın hasta
 BaşağrısıBaşağrısı (akut şiddetli, birkaç saat(akut şiddetli, birkaç saat
içinde)içinde)
 GKS 13 (WFNS grade 2)GKS 13 (WFNS grade 2)
 Fisher grade IIIFisher grade III
57
58
59
60
CERRAHİCERRAHİ
 Sağ pterional trans-sylvian yaklaşımSağ pterional trans-sylvian yaklaşım
 Proksimal ICA Anevrizması kliplendiProksimal ICA Anevrizması kliplendi
61
62
63
 DÖ: 59 yaşında erkek hastaDÖ: 59 yaşında erkek hasta
 BaşağrısıBaşağrısı (akut şiddetli, son 24 saat(akut şiddetli, son 24 saat
içinde)içinde)
 GKS 14 (WFNS grade 2)GKS 14 (WFNS grade 2)
 Fisher grade IVFisher grade IV
64
65
66
67
CERRAHİCERRAHİ
 Sol pterional trans-sylvian yaklaşımSol pterional trans-sylvian yaklaşım
 AcomA Anevrizması kliplendiAcomA Anevrizması kliplendi
68
69
 İ.A.: 27 yaşında erkek hastaİ.A.: 27 yaşında erkek hasta
 BaşağrısıBaşağrısı
70
71
72
73
74
75
76
77
CERRAHİCERRAHİ
 Sol oksipital kranyotomiSol oksipital kranyotomi
 AVM’nin total rezeksiyonuAVM’nin total rezeksiyonu
 PostoperatifPostoperatif
Nörolojik Muayene ve DSA:Nörolojik Muayene ve DSA:
NormalNormal
78
ERKEN POSTOP MRGERKEN POSTOP MRG
79
ERKEN POSTOP MRGERKEN POSTOP MRG
80
POSTOP DSAPOSTOP DSA
81
POSTOP DSAPOSTOP DSA
82
 S.Ç.: 32 yaşında kadın hastaS.Ç.: 32 yaşında kadın hasta
 Ani şiddetli başağrısı, B-KAni şiddetli başağrısı, B-K
83
84
85
86
CERRAHİCERRAHİ
 Sol frontoparyetal geniş kranyotomiSol frontoparyetal geniş kranyotomi
 AVM’nin total rezeksiyonuAVM’nin total rezeksiyonu
87
88
89
90
SPONTAN SUBARAKNOİD HEMORAJİSPONTAN SUBARAKNOİD HEMORAJİ
ETYOLOJİETYOLOJİ
• ANEVRİZMALARANEVRİZMALAR % 70 -80% 70 -80
• Arteriovenöz malformasyonlarArteriovenöz malformasyonlar % 5% 5
• Nedeni belirlenemeyenNedeni belirlenemeyen % 10 - 20% 10 - 20
• Diğer nedenlerDiğer nedenler % 5% 5
Bağ dokusu hastalıkları, kanama diyatezleri, tümöralBağ dokusu hastalıkları, kanama diyatezleri, tümöral
91
SPONTAN SUBARAKNOİD HEMORAJİSPONTAN SUBARAKNOİD HEMORAJİ
KLİNİK SEMPTOMATOLOJİKLİNİK SEMPTOMATOLOJİ
 BaşağrısıBaşağrısı
 Bilinç yitimiBilinç yitimi
 KusmaKusma
 Epileptik nöbetEpileptik nöbet
 Nörolojik defisitNörolojik defisit
92
SPONTAN SUBARAKNOİD HEMORAJİSPONTAN SUBARAKNOİD HEMORAJİ
KLİNİK BULGULARKLİNİK BULGULAR
 Meninks irritasyon bulgularıMeninks irritasyon bulguları
 Bilinç bozukluğuBilinç bozukluğu - Koma- Koma
 Fokal nörolojik defisitlerFokal nörolojik defisitler
 Reaktif hipertansiyonReaktif hipertansiyon
93
94
95
96
SPONTAN SUBARAKNOİD HEMORAJİSPONTAN SUBARAKNOİD HEMORAJİ
KLİNİK DERECELENDİRMEKLİNİK DERECELENDİRME
WFNSWFNS SınıflandırmasıSınıflandırması
GradeGrade GCSGCS NörNör
1515 YokYok
IIII 13-1413-14 YokYok
IIIIII 13-1413-14 VarVar
IVIV 7-127-12 Var/YokVar/Yok
VV 3-63-6 Var/YokVar/Yok
97
SPONTAN SUBARAKNOİD HEMORAJİSPONTAN SUBARAKNOİD HEMORAJİ
TANITANI
 AnamnezAnamnez
 İlk nöroradyolojik değerlendirmeİlk nöroradyolojik değerlendirme
• BT - BTABT - BTA
 Lomber ponksiyonLomber ponksiyon
 İkinci nöroradyolojik değerlendirmeİkinci nöroradyolojik değerlendirme
• MRG – MRA - BTAMRG – MRA - BTA
• DSADSA
98
100
101
102
103
104
105
İİNTRAKRANYALNTRAKRANYAL AANEVRİZMALARINNEVRİZMALARIN PPATOGENEZİATOGENEZİ
Anevrizma Görüntülenmesinde YeniAnevrizma Görüntülenmesinde Yeni
TekniklerTeknikler
106
107
108
109
SPONTAN SUBARAKNOİD HEMORAJİSPONTAN SUBARAKNOİD HEMORAJİ
TETKİKLER - ÖNLEMLERTETKİKLER - ÖNLEMLER
 Mutlak yatak istirahatiMutlak yatak istirahati
 Ziyaretçi yasağıZiyaretçi yasağı
 Loş odaLoş oda
 Rutin biokimya - hematolojik tetkikRutin biokimya - hematolojik tetkik
 MonitörizasyonMonitörizasyon
110
SPONTAN SUBARAKNOİD HEMORAJİSPONTAN SUBARAKNOİD HEMORAJİ
TEDAVİTEDAVİ
 MEDİKALMEDİKAL
• Analjezik:Analjezik: kodein fosfatkodein fosfat
• AntihipertansifAntihipertansif
• AntiemetikAntiemetik
• Antikonvülzan:Antikonvülzan: difenilhidantoindifenilhidantoin
• AntitüssifAntitüssif
• SedasyonSedasyon
• LaksatifLaksatif
• Ca kanal blokerleri:Ca kanal blokerleri: nimodipin, nicardipinnimodipin, nicardipin
• GİS koruyucularıGİS koruyucuları
111
İNTRAKRANYAL ANEVRİZMALARİNTRAKRANYAL ANEVRİZMALAR
TANIM VE SIKLIKTANIM VE SIKLIK
 İntrakranyal bölgedeki damarlarınİntrakranyal bölgedeki damarların
duvarlarındakiduvarlarındaki edinsel veya konjenitaledinsel veya konjenital
defektler nedeniyle oluşandefektler nedeniyle oluşan ince duvarlıince duvarlı
baloncuklarbaloncuklar
 Damar dallanma bölgelerinde daha sıkDamar dallanma bölgelerinde daha sık
 Tüm popülasyonda % 1 oranındaTüm popülasyonda % 1 oranında
 Rüptür sıklığı yılda yüzbin kişide 6 -12Rüptür sıklığı yılda yüzbin kişide 6 -12
112
İNTRAKRANYAL ANEVRİZMALARİNTRAKRANYAL ANEVRİZMALAR
ÖZELLİKLERÖZELLİKLER
 Her yaştaHer yaşta görülebilirgörülebilir
 30 - 60 yaşlarda daha sık30 - 60 yaşlarda daha sık
 Erkek /Erkek / KadınKadın = 2 / 3= 2 / 3
 40 yaş altı erkeklerde daha fazla40 yaş altı erkeklerde daha fazla
113
İNTRAKRANYAL ANEVRİZMALARİNTRAKRANYAL ANEVRİZMALAR
MORFOLOJİKMORFOLOJİK
 SakkülerSakküler
 FusiformFusiform
 DissekanDissekan
ETYOLOJİKETYOLOJİK
MikotikMikotik
TravmatikTravmatik
EmbolikEmbolik
114
İNTRAKRANYAL ANEVRİZMALARİNTRAKRANYAL ANEVRİZMALAR
BERABER BULUNABİLEN HASTALIKLARBERABER BULUNABİLEN HASTALIKLAR
 Polikistik böbrek hastalığıPolikistik böbrek hastalığı
 Fibromusküler displaziFibromusküler displazi
 Arteriovenöz malformasyonArteriovenöz malformasyon
 Bağ doku hastalıklarıBağ doku hastalıkları
• Ehlers - Danlos Tip IVEhlers - Danlos Tip IV
• Marfan sendromuMarfan sendromu
 AileselAilesel
 Aort koarktasyonuAort koarktasyonu
115
İNTRAKRANYAL ANEVRİZMALARİNTRAKRANYAL ANEVRİZMALAR
YERLEŞİMYERLEŞİM
 A. communicans anterior %35A. communicans anterior %35
 A. carotis internaA. carotis interna % 30% 30
 A. cerebri mediaA. cerebri media % 25% 25
 Posterior sirkülasyonPosterior sirkülasyon % 10% 10
116
İNTRAKRANYAL ANEVRİZMALARİNTRAKRANYAL ANEVRİZMALAR
PATOGENEZ - PATOLOJİPATOGENEZ - PATOLOJİ
 İntrakranyal arterlerin ‘tunica media’İntrakranyal arterlerin ‘tunica media’
veve ‘lamina elastica interna’‘lamina elastica interna’ tabakaların-tabakaların-
da zayıflık,da zayıflık,
 Anevrizmanın bu defektten gelişimiAnevrizmanın bu defektten gelişimi
anlık bir olay,anlık bir olay,
 Anevrizma rüptüre olduğunda ani birAnevrizma rüptüre olduğunda ani bir
KİBASKİBAS tablosu oluşur.tablosu oluşur.
117
İİNTRAKRANYALNTRAKRANYAL AANEVRİZMALARINNEVRİZMALARIN PPATOGENEZİATOGENEZİ
118
İİNTRAKRANYALNTRAKRANYAL AANEVRİZMALARINNEVRİZMALARIN PPATOGENEZİATOGENEZİ
Anevrizma Görüntülenmesinde YeniAnevrizma Görüntülenmesinde Yeni
TekniklerTeknikler
119
İNTRAKRANYAL ANEVRİZMALARİNTRAKRANYAL ANEVRİZMALAR
KLİNİKKLİNİK
 Rüptür > subaraknoid hemorajiRüptür > subaraknoid hemoraji
% 90% 90
 KompresyonKompresyon %%
77
 İnsidentalİnsidental % 3% 3
120
İNTRAKRANYAL ANEVRİZMALARİNTRAKRANYAL ANEVRİZMALAR
SEYİRSEYİR
 Hastaların 1 / 3’ü ilk kanamaHastaların 1 / 3’ü ilk kanama
anında, 1 / 3’ü izleyen günlerdeanında, 1 / 3’ü izleyen günlerde
komplikasyonlar nedeniylekomplikasyonlar nedeniyle
kaybedilirkaybedilir
 İki yıl sonunda hastaların ancakİki yıl sonunda hastaların ancak
% 25’i hayatta kalabilir% 25’i hayatta kalabilir
121
İNTRAKRANYAL ANEVRİZMALARİNTRAKRANYAL ANEVRİZMALAR
KOMPLİKASYONLARKOMPLİKASYONLAR
 İNTRAKRANYALİNTRAKRANYAL
• Yeniden kanamaYeniden kanama
• VazospazmVazospazm
• HidrosefaliHidrosefali
• EpilepsiEpilepsi
 SİSTEMİKSİSTEMİK
• Akut myokardAkut myokard
enfarktüsüenfarktüsü
• Kardiyak aritmiKardiyak aritmi
• Pulmoner ödemPulmoner ödem
• Stres ülserleriStres ülserleri
• Sıvı - elektrolitSıvı - elektrolit
bozukluklarıbozuklukları
 Diabetes insipitusDiabetes insipitus
 hiponatremihiponatremi
122
İNTRAKRANYAL ANEVRİZMALARİNTRAKRANYAL ANEVRİZMALAR
TEDAVİTEDAVİ
 MedikalMedikal
 CerrahiCerrahi
• KliplemeKlipleme
 GirişimselGirişimsel
nöroradyolojinöroradyoloji
• EndovaskülerEndovasküler
‘coil’leme!‘coil’leme!
123
124
125
126
127
İNTRAKRANYAL ANEVRİZMALARIN PATOGENEZİİNTRAKRANYAL ANEVRİZMALARIN PATOGENEZİ
Endovasküler girişimEndovasküler girişim
Vasküler stentler ?Vasküler stentler ?
Genetik modifiye endotelial hücrelerle kaplıGenetik modifiye endotelial hücrelerle kaplı
stentler ve koiller ?stentler ve koiller ?
Çeşitli büyüme faktörü içeren koillerÇeşitli büyüme faktörü içeren koiller
Radyasyonla indüklenen hücre kaplı koillerRadyasyonla indüklenen hücre kaplı koiller
Gen terapisiGen terapisi
MMP inhibitörlerinin aşırı expresyonuMMP inhibitörlerinin aşırı expresyonu
Antienflamatuar tedavi?Antienflamatuar tedavi?
İntrasisternal uygulamalar?İntrasisternal uygulamalar?
Tedavi Yaklaşımları – Gelecekte?Tedavi Yaklaşımları – Gelecekte?
128
VASKÜLER MALFORMASYONLARVASKÜLER MALFORMASYONLAR
MSS’de yerleşen doğumsalMSS’de yerleşen doğumsal
vasküler malformasyonlar 4 tip:vasküler malformasyonlar 4 tip:
 Arteriovenöz malformasyon (AVM)Arteriovenöz malformasyon (AVM)
 Kavernöz hemangiom (Kavernom)Kavernöz hemangiom (Kavernom)
 Kapiller telanjiektaziKapiller telanjiektazi
 Venöz anjiomVenöz anjiom
129
ARTERİOVENÖZ MALFORMASYONLARARTERİOVENÖZ MALFORMASYONLAR
TANIMTANIM
 İntrakranyal bölgede bir ya da birdenİntrakranyal bölgede bir ya da birden
çok arterden beslenerek bir kapiller ağçok arterden beslenerek bir kapiller ağ
oluşturmaksızın derin ve/ya da yüzeyeloluşturmaksızın derin ve/ya da yüzeyel
venöz sisteme drene olan,venöz sisteme drene olan, anormal-anormal-
dayanıksız bir damar yumağıdayanıksız bir damar yumağı
 Parenkimin her tarafında yerleşebilir veParenkimin her tarafında yerleşebilir ve
çok çeşitli boyutlarda olabilirçok çeşitli boyutlarda olabilir
130
131
ARTERİOVENÖZ MALFORMASYONLARARTERİOVENÖZ MALFORMASYONLAR
KLİNİKKLİNİK
 KanamaKanama % 60% 60 (Mortalite % 10)(Mortalite % 10)
 EpilepsiEpilepsi
 Başağrısı (migrene benzer!)Başağrısı (migrene benzer!)
 Nörolojik defisitNörolojik defisit (normal dokunun beslenme(normal dokunun beslenme
bozukluğu veya basısına bağlı)bozukluğu veya basısına bağlı)
 ÜfürümÜfürüm
132
ARTERİOVENÖZ MALFORMASYONLARARTERİOVENÖZ MALFORMASYONLAR
TANITANI
 KlinikKlinik
 BBilgisayarlıilgisayarlı TTomografiomografi
 MManyetikanyetik RRezonansezonans GGörüntülemeörüntüleme
 DDijitalijital SSubstraksiyonubstraksiyon AAnjiografisinjiografisi
135
ARTERİOVENÖZ MALFORMASYONLARARTERİOVENÖZ MALFORMASYONLAR
TEDAVİTEDAVİ
 CerrahiCerrahi
 MedikalMedikal
 Girişimsel nöroradyoloji - embolizasyonGirişimsel nöroradyoloji - embolizasyon
 Radyocerrahi (gammaknife)Radyocerrahi (gammaknife)
136
137
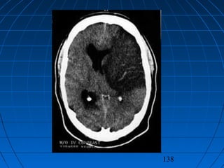
TIKAYICI SEREBROVASKÜLERTIKAYICI SEREBROVASKÜLER
HASTALIKLARHASTALIKLAR
NÖROŞİRURJİKAL YAKLAŞIMNÖROŞİRURJİKAL YAKLAŞIM
 Dekompressif kranyotomiDekompressif kranyotomi
 Karotid endarterektomiKarotid endarterektomi
 Ekstrakranyal - intrakranyalEkstrakranyal - intrakranyal
bypassbypass
138
139
140
141
SPONTAN İNTRAPARENKİMALSPONTAN İNTRAPARENKİMAL
HEMORAJİHEMORAJİ
GENEL BİLGİLERGENEL BİLGİLER
 Nöral parenkim dokusu içineNöral parenkim dokusu içine
kanama,kanama,
 Tüm strokların % 10’uTüm strokların % 10’u
 Sıklık yılda yüzbin kişide 12 - 15Sıklık yılda yüzbin kişide 12 - 15
olguolgu
 Her yaşta görülebilir ancakHer yaşta görülebilir ancak 80 y<80 y<
25 kez fazla25 kez fazla
 Geçirilmiş bir CVAGeçirilmiş bir CVA varsa risk çokvarsa risk çok
142
SPONTAN İNTRAPARENKİMAL HEMORAJİSPONTAN İNTRAPARENKİMAL HEMORAJİ
ETYOLOJİETYOLOJİ
 HipertansiyonHipertansiyon
 Serebral kan akımınınSerebral kan akımının
ani artışıani artışı
 Vasküler anomalilerVasküler anomaliler
 ArteriopatilerArteriopatiler
 TümörlerTümörler
 Kanama diyateziKanama diyatezi
 EnfeksiyonEnfeksiyon
 Dural venöz trombozDural venöz tromboz
 İlaç kullanımıİlaç kullanımı
 EklampsiEklampsi
143
SPONTAN İNTRAPARENKİMAL HEMORAJİSPONTAN İNTRAPARENKİMAL HEMORAJİ
PATOLOJİPATOLOJİ
 Lentikülostriat, talamoperforanLentikülostriat, talamoperforan
ve baziler arter paramedianve baziler arter paramedian
dallarındakidallarındaki Charcot - BouchardCharcot - Bouchard
anevrizmalarıanevrizmaları
 Amiloid anjiopatiAmiloid anjiopati
 Hemorajik tümörlerHemorajik tümörler
144
145
SPONTAN İNTRAPARENKİMAL HEMORAJİSPONTAN İNTRAPARENKİMAL HEMORAJİ
KLİNİKKLİNİK
 Ani başlangıçAni başlangıç
 Bilinç yitimi - nörolojikBilinç yitimi - nörolojik
defisitdefisit
 KusmaKusma
 KİBASKİBAS semptomlarısemptomları
 Yerleşim yerleri :Yerleşim yerleri :
• Bazal ganglionlarBazal ganglionlar
% 37% 37
• TemporalTemporal %%
2020
146
SPONTAN İNTRAPARENKİMAL HEMORAJİSPONTAN İNTRAPARENKİMAL HEMORAJİ
TANITANI
 KlinikKlinik
 NöroradyolojiNöroradyoloji
• BT - BTABT - BTA
• MRG - MRAMRG - MRA
• DSADSA
 Hematolojik, biokimyasal veHematolojik, biokimyasal ve
bakteriyolojik incelemelerbakteriyolojik incelemeler
147
SPONTAN İNTRAPARENKİMAL HEMORAJİSPONTAN İNTRAPARENKİMAL HEMORAJİ
TEDAVİTEDAVİ
 MEDİKALMEDİKAL
• HipertansiyonHipertansiyon
tedavisitedavisi
• KoagülasyonKoagülasyon
kontrolükontrolü
• KİBAS tedavisiKİBAS tedavisi
• AntikonvülzifAntikonvülzif
tedavitedavi
 CERRAHİCERRAHİ
148
KAROTİKO-KAVERNÖZ FİSTÜLKAROTİKO-KAVERNÖZ FİSTÜL
TANIMTANIM
 A. carotis internaA. carotis interna’nın kavernöz’nın kavernöz
sinüs içinden geçerken verdiğisinüs içinden geçerken verdiği
meningo-hipofizeal dallarınmeningo-hipofizeal dalların
hasarıhasarı ile karotis arteri veile karotis arteri ve
kavernöz sinüs arasında oluşankavernöz sinüs arasında oluşan
arterio-venöz bir fistülarterio-venöz bir fistül
 En önemli nedeniEn önemli nedeni travmatravma,,
spontan da oluşabilirspontan da oluşabilir
 ÇoğunluklaÇoğunlukla ön çukur fraktürleriön çukur fraktürleri
sonucunda görülürsonucunda görülür
149
KAROTİKO-KAVERNÖZ FİSTÜLKAROTİKO-KAVERNÖZ FİSTÜL
KLİNİKKLİNİK
 ÇoğunluklaÇoğunlukla ünilateralünilateral
 Travmayı izleyen günlerdeTravmayı izleyen günlerde
gözdegözde pulsatil egzoftalmi,pulsatil egzoftalmi,
kemozis ve üfürümkemozis ve üfürüm
 Vizyon azalmasıVizyon azalması
 Karotis akımı durdurulursaKarotis akımı durdurulursa
üfürüm kaybolurüfürüm kaybolur
 Spontan olarak iyileşmeSpontan olarak iyileşme
150
KAROTİKO-KAVERNÖZ FİSTÜLKAROTİKO-KAVERNÖZ FİSTÜL
TANITANI
 KlinikKlinik
 ÜfürümÜfürüm
dinlenmesidinlenmesi
 BTBT
 MRG - MRAMRG - MRA
 DSADSA
151
152
KAROTİKO-KAVERNÖZ FİSTÜLKAROTİKO-KAVERNÖZ FİSTÜL
TEDAVİTEDAVİ
 SAH önlemleriSAH önlemleri
 GirişimselGirişimsel
nöroradyolojinöroradyoloji
 CerrahiCerrahi
153
GALEN VENİ ANEVRİZMASIGALEN VENİ ANEVRİZMASI
 V. cerebri magna (Galen)’nınV. cerebri magna (Galen)’nın
konjenital anevrizmasıkonjenital anevrizması
 BebeklerBebeklerde konjestif kalpde konjestif kalp
yetmezliği, başın büyümesi,yetmezliği, başın büyümesi,
hidrosefali, üfürümhidrosefali, üfürüm
 Tanı metodları aynıTanı metodları aynı
 Özel nöroradyolojik - cerrahiÖzel nöroradyolojik - cerrahi
metodla tedavimetodla tedavi
154
155
MOYA - MOYA HASTALIĞIMOYA - MOYA HASTALIĞI
 İntrakranyal arter sistemininİntrakranyal arter sisteminin
anormal gelişimi ileanormal gelişimi ile ince ağsıince ağsı
damardamarlar oluşumular oluşumu
 ÇokluklaÇoklukla karotis sistemindekarotis sisteminde
 Çocuklar ve genç erişkinlerdeÇocuklar ve genç erişkinlerde
sıksık
 İskemi veya kanamaİskemi veya kanama
 Tanı yolları aynıTanı yolları aynı
 Özel cerrahi girişimlerle tedaviÖzel cerrahi girişimlerle tedavi
156
SPİNAL AVMSPİNAL AVM
 EnderEnder
 4 farklı tip4 farklı tip
 Akut yada progressifAkut yada progressif
nörolojik defisitnörolojik defisit
 MRG ve DSA ile tanıMRG ve DSA ile tanı
 Tedavi : GirişimselTedavi : Girişimsel
nöroradyoloji ve cerrahinöroradyoloji ve cerrahi

Vasküler Nöroşirurji

  • 1.
    11 CERRAHİ SEREBROVASKÜLERCERRAHİ SEREBROVASKÜLER HASTALIKLARHASTALIKLAR “Nöro-VaskülerCerrahi”“Nöro-Vasküler Cerrahi” Prof. Dr. Mustafa BOZBUĞAProf. Dr. Mustafa BOZBUĞA TRAKYA ÜNİVERSİTESİ TIP FAKÜLTESİTRAKYA ÜNİVERSİTESİ TIP FAKÜLTESİ NÖROŞİRÜRJİ ANABİLİM DALINÖROŞİRÜRJİ ANABİLİM DALI
  • 3.
    3 VASKÜLER NÖROŞİRÜRJİVASKÜLER NÖROŞİRÜRJİ Spontan SubaraknoidSpontan Subaraknoid Hemoraji/Kanama (SAH/SAK)Hemoraji/Kanama (SAH/SAK) • İntrakranyal anevrizmalarİntrakranyal anevrizmalar • Arteriovenöz malformasyonlarArteriovenöz malformasyonlar  Tıkayıcı serebrovasküler hastalıklarTıkayıcı serebrovasküler hastalıklar  Spontan intraparenkimal hemorajiSpontan intraparenkimal hemoraji  Karotiko-kavernöz fistülKarotiko-kavernöz fistül  Galen veni anevrizmasıGalen veni anevrizması  Moya-moya hastalığıMoya-moya hastalığı  Spinal arteriovenöz malformasyonlarSpinal arteriovenöz malformasyonlar
  • 4.
    4 SPONTAN SUBARAKNOİDSPONTAN SUBARAKNOİD HEMORAJİHEMORAJİ TANIMTANIM Araknoid zarın altındaki BOS ileAraknoid zarın altındaki BOS ile dolu ve büyük damarların,dolu ve büyük damarların, sinirlerin geçtiği aralığa çeşitlisinirlerin geçtiği aralığa çeşitli nedenlerle oluşan kanamanedenlerle oluşan kanama
  • 5.
  • 6.
  • 7.
    7 SPONTAN SUBARAKNOİD HEMORAJİSPONTANSUBARAKNOİD HEMORAJİ İnsidensİnsidens • Bu konudaki verilerin çoğu otopsiBu konudaki verilerin çoğu otopsi materyallerinden elde edilmiştirmateryallerinden elde edilmiştir • Sıklık; toplumlara,Sıklık; toplumlara, iklimiklime, yıllara göree, yıllara göre değişirdeğişir • Yılda 100 bin kişiden 10 - 15’indeYılda 100 bin kişiden 10 - 15’inde görülürgörülür
  • 8.
  • 9.
    9 SPONTAN SUBARAKNOİD KANAMALARSPONTANSUBARAKNOİD KANAMALAR  Tanımı & Etyoloji & Prognoz - İstatistikTanımı & Etyoloji & Prognoz - İstatistik  TanısıTanısı  Hastanın transportu - Uygun merkezHastanın transportu - Uygun merkez  Yönetim:Yönetim: • YBÜ/Servis – Medikal Tedavi – Hastanın stabilizasyonuYBÜ/Servis – Medikal Tedavi – Hastanın stabilizasyonu • Ayrıntılı Tanı:Ayrıntılı Tanı:  SAK – Etyoloji?:SAK – Etyoloji?: Anevrizma/AVM/Tümör/Diğer,… + Hematom-Kitle etkisiAnevrizma/AVM/Tümör/Diğer,… + Hematom-Kitle etkisi  KomplikasyonlarKomplikasyonlar (Hematom, hidrosefali, ödem, iskemi, enfarkt, metabolik,.)(Hematom, hidrosefali, ödem, iskemi, enfarkt, metabolik,.) • Yönetim: Cerrahi Zamanlama & HazırlıkYönetim: Cerrahi Zamanlama & Hazırlık • Postoperatif Tedavi/Bakım, KontrolPostoperatif Tedavi/Bakım, Kontrol • Vazospazm …….Vazospazm ……. Önlem - TedaviÖnlem - Tedavi • Komplikasyonlar …….Komplikasyonlar ……. Önlem - TedaviÖnlem - Tedavi • Nöroradyolojik YaklaşımNöroradyolojik Yaklaşım
  • 10.
    10 SUBARAKNOİDSUBARAKNOİD KANAMALARKANAMALAR  EtyolojilerEtyolojiler AnevrizmalarAnevrizmalar …..….. %75-80%75-80  AVMAVM …..….. %5%5  TümörlerTümörler …..….. NadirenNadiren  Serebral arter diseksiyonlarıSerebral arter diseksiyonları  Pitüiter apopleksiPitüiter apopleksi  Spinal AVM, Dural AVM,…Spinal AVM, Dural AVM,…  Diğer nedenlerDiğer nedenler (Koagülasyon bozuklukları, dural sinüs trombozu, orak(Koagülasyon bozuklukları, dural sinüs trombozu, orak hücreli anemi, madde kullanımı,… diğer nedenler, - Nedeni belirlenemeyen,…)hücreli anemi, madde kullanımı,… diğer nedenler, - Nedeni belirlenemeyen,…)
  • 11.
    11 SUBARAKNOİDSUBARAKNOİD KANAMALARKANAMALAR  Prognoz– İstatistikPrognoz – İstatistik  %10-15’i hastaneye getirilemeden exitus.%10-15’i hastaneye getirilemeden exitus. • İlk birkaç gün içinde mortalite:İlk birkaç gün içinde mortalite: %10%10 • 2 hafta – 30 gün içindeki mortalite:2 hafta – 30 gün içindeki mortalite: %46-50’nin üstünde%46-50’nin üstünde • Tüm seyir mortalitesi: yaklaşıkTüm seyir mortalitesi: yaklaşık %67%67  Genel popülasyonun %2’sinde anevrizmaGenel popülasyonun %2’sinde anevrizma • %1’i rüptüre olur%1’i rüptüre olur • %0.5’i ex.%0.5’i ex.
  • 12.
    12 SUBARAKNOİD KANAMALARSUBARAKNOİD KANAMALAR TıbbiAcil Bir Durumdur!!!Tıbbi Acil Bir Durumdur!!! - Erken Tanı…- Erken Tanı… - Hastanın stabilizasyonu…- Hastanın stabilizasyonu… - Hastanın yönetimi-tedavisi,…- Hastanın yönetimi-tedavisi,…
  • 13.
    13 SUBARAKNOİD KANAMALARSUBARAKNOİD KANAMALAR TıbbiAcil Bir Durumdur!!!Tıbbi Acil Bir Durumdur!!! - Erken Tanı!!!- Erken Tanı!!! ““Klinik prezantasyonKlinik prezantasyon çok geniş bir yelpaze içinde olabilir”çok geniş bir yelpaze içinde olabilir”
  • 14.
    14 SUBARAKNOİDSUBARAKNOİD KANAMALARKANAMALAR  TANI:TANI: SAK’ın tanısıSAK’ın tanısı  KlinikKlinik  BT,BT, MRGMRG  LPLP  SAK’ın etyolojisinin tanısıSAK’ın etyolojisinin tanısı  DSA,DSA, BTA, MRABTA, MRA
  • 15.
  • 16.
    16 SUBARAKNOİDSUBARAKNOİD KANAMALARKANAMALAR  MORTALİTE/MORBİDİTEnedenleriMORTALİTE/MORBİDİTE nedenleri • Primer beyin hasarıPrimer beyin hasarı • Yeniden kanamaYeniden kanama • VazospazmVazospazm • Yüksek ICPYüksek ICP • Fokal/Difüz iskemi, ödem, DIND,…Fokal/Difüz iskemi, ödem, DIND,… • İntrakranyal hematom(lar) – Kitle etkisiİntrakranyal hematom(lar) – Kitle etkisi • HidrosefaliHidrosefali • EpilepsiEpilepsi • SAK’ın medikal komplikasyonlarıSAK’ın medikal komplikasyonları (Pulmoner(Pulmoner komplikasyonlar, elektrolit bozuklukları - hiponatremi, DVT, enfeksiyonlar,komplikasyonlar, elektrolit bozuklukları - hiponatremi, DVT, enfeksiyonlar, kardiyak yetmezlik/iskemi,…)kardiyak yetmezlik/iskemi,…)  Diğer komplikasyonlarDiğer komplikasyonlar
  • 17.
    17 SUBARAKNOİDSUBARAKNOİD KANAMALARKANAMALAR SAK’ın MEDİKALTEDAVİSİNDESAK’ın MEDİKAL TEDAVİSİNDE  CBF RegülasyonuCBF Regülasyonu  Serebral KorumaSerebral Koruma  Sistemik Genel Bakım,Sistemik Genel Bakım,  Komplikasyonların önlenmesiKomplikasyonların önlenmesi
  • 18.
    18 SUBARAKNOİDSUBARAKNOİD KANAMALARKANAMALAR  TANI:TANI: SAK’ın tanısıSAK’ın tanısı  Klinik gradeKlinik grade  BT gradeBT grade BT ile SAK TanısıBT ile SAK Tanısı:: SAK, hematom(lar) – Kitle etkisi, hidrosefali,SAK, hematom(lar) – Kitle etkisi, hidrosefali, enfarkt, kanama paterni – hangi anevrizma kanamış?,…enfarkt, kanama paterni – hangi anevrizma kanamış?,… SAK sonrası 12. saatte duyarlılık %100, 1. hafta sonunda %50SAK sonrası 12. saatte duyarlılık %100, 1. hafta sonunda %50 Spektrofotometrik analiz,…. Yanlış pozitiflikler!Spektrofotometrik analiz,…. Yanlış pozitiflikler! BT (-) ise LPBT (-) ise LP BT (-) ise LP (-)…..SAK?BT (-) ise LP (-)…..SAK?  SAK’ın etyolojisinin tanısıSAK’ın etyolojisinin tanısı  DSADSA
  • 19.
    19 SUBARAKNOİDSUBARAKNOİD KANAMALARKANAMALAR  TANI:TANI: SAK’ın etyolojisinin tanısıSAK’ın etyolojisinin tanısı Negatif DSA?Negatif DSA? - Perimezensefalik SAK- Perimezensefalik SAK - Klasik SAK…. Etyoloji?- Klasik SAK…. Etyoloji?
  • 20.
  • 21.
    21 SUBARAKNOİDSUBARAKNOİD KANAMALARKANAMALAR YÖNETİMYÖNETİM • YBÜ/Servis:YBÜ/Servis: MedikalTedavi – Hastanın stabilizasyonuMedikal Tedavi – Hastanın stabilizasyonu (ACLS: Advanced Cardiac Life Support,…+…)(ACLS: Advanced Cardiac Life Support,…+…) • Ayrıntılı Tanı:Ayrıntılı Tanı:  SAK – Etyoloji?:SAK – Etyoloji?: Anevrizma/AVM/Tümör/Diğer,… + Hematom-Kitle etkisiAnevrizma/AVM/Tümör/Diğer,… + Hematom-Kitle etkisi  Komplikasyonlar:Komplikasyonlar: Hematom, yeniden kanama, vazospazm, hidrosefali,Hematom, yeniden kanama, vazospazm, hidrosefali, ödem, iskemi, enfarkt, epilepsi, metabolik, sistemik,…ödem, iskemi, enfarkt, epilepsi, metabolik, sistemik,… • Cerrahi Zamanlama & HazırlıkCerrahi Zamanlama & Hazırlık • Postoperatif Tedavi/BakımPostoperatif Tedavi/Bakım • Kontrol DSAKontrol DSA • Vazospazm …….Vazospazm ……. Önlem - TedaviÖnlem - Tedavi • Komplikasyonlar …….Komplikasyonlar ……. Önlem - TedaviÖnlem - Tedavi • Nöroradyolojik YaklaşımNöroradyolojik Yaklaşım
  • 22.
    22 MASİF SPONTAN SAK+ ICH + İVH + SDH…MASİF SPONTAN SAK + ICH + İVH + SDH…
  • 23.
    23 MASİF SPONTAN SAK+ ICH + İVH +…MASİF SPONTAN SAK + ICH + İVH +… • 58 yaşında bayan hasta58 yaşında bayan hasta • Ani bilinç kaybı şikayetiyle acilAni bilinç kaybı şikayetiyle acil polikliniğe getirildipolikliniğe getirildi • İlk NM:İlk NM: Bilinç kapalı; GKS: 5Bilinç kapalı; GKS: 5 Pupillalar anizokorikPupillalar anizokorik YBÜYBÜ 5. günde exitus5. günde exitus
  • 24.
    24  HP: 53yaşında kadın hastaHP: 53 yaşında kadın hasta  Akut, şiddetli başağrısıAkut, şiddetli başağrısı (şiddetli, son 24(şiddetli, son 24 saat içinde)saat içinde)  GKS 14, Nörodefisit yok (WFNSGKS 14, Nörodefisit yok (WFNS grade 2)grade 2)  Fisher grade IIIFisher grade III
  • 25.
  • 26.
  • 27.
  • 28.
  • 29.
    29 CERRAHİCERRAHİ  Sol suboksipitalretrosigmoidSol suboksipital retrosigmoid yaklaşımyaklaşım  Anevrizma kliplendiAnevrizma kliplendi
  • 30.
  • 31.
  • 32.
  • 33.
    33  42 yaşındaerkek hasta42 yaşında erkek hasta  BaşağrısıBaşağrısı (kronik)(kronik)  Nörolojik olarak intaktNörolojik olarak intakt
  • 34.
  • 35.
  • 36.
    36 CERRAHİCERRAHİ  Sağ pterionaltrans-sylvianSağ pterional trans-sylvian transtentorial pre- and para-transtentorial pre- and para- pedünküler yaklaşımpedünküler yaklaşım  PCA Anevrizması kliplendiPCA Anevrizması kliplendi
  • 37.
  • 38.
    38  A Y:33yaşında kadın hastaA Y: 33yaşında kadın hasta  Şiddetli başağrısıŞiddetli başağrısı (son bir gün içinde)(son bir gün içinde)  Nörolojik muayene:Nörolojik muayene: ES-MİB ++, E3M6V4 (GKS 13)ES-MİB ++, E3M6V4 (GKS 13)  WFNS 2WFNS 2  Fisher 3Fisher 3
  • 39.
  • 40.
  • 41.
  • 42.
    42 CERRAHİCERRAHİ  Sağ lateralinfratentorialSağ lateral infratentorial supraserebellar - retrosigmoidsupraserebellar - retrosigmoid yaklaşımyaklaşım  SCA Anevrizması kliplendi.SCA Anevrizması kliplendi.
  • 43.
  • 44.
  • 45.
    45  56 yaşındaerkek hasta56 yaşında erkek hasta  BaşağrısıBaşağrısı (kronik-progresif, yaklaşık bir(kronik-progresif, yaklaşık bir yıldır)yıldır)  Nörolojik bakımdan normalNörolojik bakımdan normal  Kranyal MRG:Kranyal MRG:  pitüiter macroadenompitüiter macroadenom  insidental AComA anevrizmasıinsidental AComA anevrizması
  • 46.
  • 47.
  • 48.
  • 49.
    49 CERRAHİCERRAHİ  Sol pterionaltrans-sylvian yaklaşımSol pterional trans-sylvian yaklaşım  AcomA Anevrizması kliplendiAcomA Anevrizması kliplendi
  • 50.
  • 51.
    51  FA: 56yaşında erkek hastaFA: 56 yaşında erkek hasta  Şiddetli başağrısıŞiddetli başağrısı  GKS 14 (WFNS grade 2)GKS 14 (WFNS grade 2)  Fisher grade IVFisher grade IV
  • 52.
  • 53.
  • 54.
    54 CERRAHİCERRAHİ  Sağ pterionaltrans-sylvian yaklaşımSağ pterional trans-sylvian yaklaşım  MCA Anevrizması kliplendiMCA Anevrizması kliplendi
  • 55.
  • 56.
    56  ST: 43yaşında kadın hastaST: 43 yaşında kadın hasta  BaşağrısıBaşağrısı (akut şiddetli, birkaç saat(akut şiddetli, birkaç saat içinde)içinde)  GKS 13 (WFNS grade 2)GKS 13 (WFNS grade 2)  Fisher grade IIIFisher grade III
  • 57.
  • 58.
  • 59.
  • 60.
    60 CERRAHİCERRAHİ  Sağ pterionaltrans-sylvian yaklaşımSağ pterional trans-sylvian yaklaşım  Proksimal ICA Anevrizması kliplendiProksimal ICA Anevrizması kliplendi
  • 61.
  • 62.
  • 63.
    63  DÖ: 59yaşında erkek hastaDÖ: 59 yaşında erkek hasta  BaşağrısıBaşağrısı (akut şiddetli, son 24 saat(akut şiddetli, son 24 saat içinde)içinde)  GKS 14 (WFNS grade 2)GKS 14 (WFNS grade 2)  Fisher grade IVFisher grade IV
  • 64.
  • 65.
  • 66.
  • 67.
    67 CERRAHİCERRAHİ  Sol pterionaltrans-sylvian yaklaşımSol pterional trans-sylvian yaklaşım  AcomA Anevrizması kliplendiAcomA Anevrizması kliplendi
  • 68.
  • 69.
    69  İ.A.: 27yaşında erkek hastaİ.A.: 27 yaşında erkek hasta  BaşağrısıBaşağrısı
  • 70.
  • 71.
  • 72.
  • 73.
  • 74.
  • 75.
  • 76.
  • 77.
    77 CERRAHİCERRAHİ  Sol oksipitalkranyotomiSol oksipital kranyotomi  AVM’nin total rezeksiyonuAVM’nin total rezeksiyonu  PostoperatifPostoperatif Nörolojik Muayene ve DSA:Nörolojik Muayene ve DSA: NormalNormal
  • 78.
  • 79.
  • 80.
  • 81.
  • 82.
    82  S.Ç.: 32yaşında kadın hastaS.Ç.: 32 yaşında kadın hasta  Ani şiddetli başağrısı, B-KAni şiddetli başağrısı, B-K
  • 83.
  • 84.
  • 85.
  • 86.
    86 CERRAHİCERRAHİ  Sol frontoparyetalgeniş kranyotomiSol frontoparyetal geniş kranyotomi  AVM’nin total rezeksiyonuAVM’nin total rezeksiyonu
  • 87.
  • 88.
  • 89.
  • 90.
    90 SPONTAN SUBARAKNOİD HEMORAJİSPONTANSUBARAKNOİD HEMORAJİ ETYOLOJİETYOLOJİ • ANEVRİZMALARANEVRİZMALAR % 70 -80% 70 -80 • Arteriovenöz malformasyonlarArteriovenöz malformasyonlar % 5% 5 • Nedeni belirlenemeyenNedeni belirlenemeyen % 10 - 20% 10 - 20 • Diğer nedenlerDiğer nedenler % 5% 5 Bağ dokusu hastalıkları, kanama diyatezleri, tümöralBağ dokusu hastalıkları, kanama diyatezleri, tümöral
  • 91.
    91 SPONTAN SUBARAKNOİD HEMORAJİSPONTANSUBARAKNOİD HEMORAJİ KLİNİK SEMPTOMATOLOJİKLİNİK SEMPTOMATOLOJİ  BaşağrısıBaşağrısı  Bilinç yitimiBilinç yitimi  KusmaKusma  Epileptik nöbetEpileptik nöbet  Nörolojik defisitNörolojik defisit
  • 92.
    92 SPONTAN SUBARAKNOİD HEMORAJİSPONTANSUBARAKNOİD HEMORAJİ KLİNİK BULGULARKLİNİK BULGULAR  Meninks irritasyon bulgularıMeninks irritasyon bulguları  Bilinç bozukluğuBilinç bozukluğu - Koma- Koma  Fokal nörolojik defisitlerFokal nörolojik defisitler  Reaktif hipertansiyonReaktif hipertansiyon
  • 93.
  • 94.
  • 95.
  • 96.
    96 SPONTAN SUBARAKNOİD HEMORAJİSPONTANSUBARAKNOİD HEMORAJİ KLİNİK DERECELENDİRMEKLİNİK DERECELENDİRME WFNSWFNS SınıflandırmasıSınıflandırması GradeGrade GCSGCS NörNör 1515 YokYok IIII 13-1413-14 YokYok IIIIII 13-1413-14 VarVar IVIV 7-127-12 Var/YokVar/Yok VV 3-63-6 Var/YokVar/Yok
  • 97.
    97 SPONTAN SUBARAKNOİD HEMORAJİSPONTANSUBARAKNOİD HEMORAJİ TANITANI  AnamnezAnamnez  İlk nöroradyolojik değerlendirmeİlk nöroradyolojik değerlendirme • BT - BTABT - BTA  Lomber ponksiyonLomber ponksiyon  İkinci nöroradyolojik değerlendirmeİkinci nöroradyolojik değerlendirme • MRG – MRA - BTAMRG – MRA - BTA • DSADSA
  • 98.
  • 100.
  • 101.
  • 102.
  • 103.
  • 104.
  • 105.
    105 İİNTRAKRANYALNTRAKRANYAL AANEVRİZMALARINNEVRİZMALARIN PPATOGENEZİATOGENEZİ AnevrizmaGörüntülenmesinde YeniAnevrizma Görüntülenmesinde Yeni TekniklerTeknikler
  • 106.
  • 107.
  • 108.
  • 109.
    109 SPONTAN SUBARAKNOİD HEMORAJİSPONTANSUBARAKNOİD HEMORAJİ TETKİKLER - ÖNLEMLERTETKİKLER - ÖNLEMLER  Mutlak yatak istirahatiMutlak yatak istirahati  Ziyaretçi yasağıZiyaretçi yasağı  Loş odaLoş oda  Rutin biokimya - hematolojik tetkikRutin biokimya - hematolojik tetkik  MonitörizasyonMonitörizasyon
  • 110.
    110 SPONTAN SUBARAKNOİD HEMORAJİSPONTANSUBARAKNOİD HEMORAJİ TEDAVİTEDAVİ  MEDİKALMEDİKAL • Analjezik:Analjezik: kodein fosfatkodein fosfat • AntihipertansifAntihipertansif • AntiemetikAntiemetik • Antikonvülzan:Antikonvülzan: difenilhidantoindifenilhidantoin • AntitüssifAntitüssif • SedasyonSedasyon • LaksatifLaksatif • Ca kanal blokerleri:Ca kanal blokerleri: nimodipin, nicardipinnimodipin, nicardipin • GİS koruyucularıGİS koruyucuları
  • 111.
    111 İNTRAKRANYAL ANEVRİZMALARİNTRAKRANYAL ANEVRİZMALAR TANIMVE SIKLIKTANIM VE SIKLIK  İntrakranyal bölgedeki damarlarınİntrakranyal bölgedeki damarların duvarlarındakiduvarlarındaki edinsel veya konjenitaledinsel veya konjenital defektler nedeniyle oluşandefektler nedeniyle oluşan ince duvarlıince duvarlı baloncuklarbaloncuklar  Damar dallanma bölgelerinde daha sıkDamar dallanma bölgelerinde daha sık  Tüm popülasyonda % 1 oranındaTüm popülasyonda % 1 oranında  Rüptür sıklığı yılda yüzbin kişide 6 -12Rüptür sıklığı yılda yüzbin kişide 6 -12
  • 112.
    112 İNTRAKRANYAL ANEVRİZMALARİNTRAKRANYAL ANEVRİZMALAR ÖZELLİKLERÖZELLİKLER Her yaştaHer yaşta görülebilirgörülebilir  30 - 60 yaşlarda daha sık30 - 60 yaşlarda daha sık  Erkek /Erkek / KadınKadın = 2 / 3= 2 / 3  40 yaş altı erkeklerde daha fazla40 yaş altı erkeklerde daha fazla
  • 113.
    113 İNTRAKRANYAL ANEVRİZMALARİNTRAKRANYAL ANEVRİZMALAR MORFOLOJİKMORFOLOJİK SakkülerSakküler  FusiformFusiform  DissekanDissekan ETYOLOJİKETYOLOJİK MikotikMikotik TravmatikTravmatik EmbolikEmbolik
  • 114.
    114 İNTRAKRANYAL ANEVRİZMALARİNTRAKRANYAL ANEVRİZMALAR BERABERBULUNABİLEN HASTALIKLARBERABER BULUNABİLEN HASTALIKLAR  Polikistik böbrek hastalığıPolikistik böbrek hastalığı  Fibromusküler displaziFibromusküler displazi  Arteriovenöz malformasyonArteriovenöz malformasyon  Bağ doku hastalıklarıBağ doku hastalıkları • Ehlers - Danlos Tip IVEhlers - Danlos Tip IV • Marfan sendromuMarfan sendromu  AileselAilesel  Aort koarktasyonuAort koarktasyonu
  • 115.
    115 İNTRAKRANYAL ANEVRİZMALARİNTRAKRANYAL ANEVRİZMALAR YERLEŞİMYERLEŞİM A. communicans anterior %35A. communicans anterior %35  A. carotis internaA. carotis interna % 30% 30  A. cerebri mediaA. cerebri media % 25% 25  Posterior sirkülasyonPosterior sirkülasyon % 10% 10
  • 116.
    116 İNTRAKRANYAL ANEVRİZMALARİNTRAKRANYAL ANEVRİZMALAR PATOGENEZ- PATOLOJİPATOGENEZ - PATOLOJİ  İntrakranyal arterlerin ‘tunica media’İntrakranyal arterlerin ‘tunica media’ veve ‘lamina elastica interna’‘lamina elastica interna’ tabakaların-tabakaların- da zayıflık,da zayıflık,  Anevrizmanın bu defektten gelişimiAnevrizmanın bu defektten gelişimi anlık bir olay,anlık bir olay,  Anevrizma rüptüre olduğunda ani birAnevrizma rüptüre olduğunda ani bir KİBASKİBAS tablosu oluşur.tablosu oluşur.
  • 117.
  • 118.
    118 İİNTRAKRANYALNTRAKRANYAL AANEVRİZMALARINNEVRİZMALARIN PPATOGENEZİATOGENEZİ AnevrizmaGörüntülenmesinde YeniAnevrizma Görüntülenmesinde Yeni TekniklerTeknikler
  • 119.
    119 İNTRAKRANYAL ANEVRİZMALARİNTRAKRANYAL ANEVRİZMALAR KLİNİKKLİNİK Rüptür > subaraknoid hemorajiRüptür > subaraknoid hemoraji % 90% 90  KompresyonKompresyon %% 77  İnsidentalİnsidental % 3% 3
  • 120.
    120 İNTRAKRANYAL ANEVRİZMALARİNTRAKRANYAL ANEVRİZMALAR SEYİRSEYİR Hastaların 1 / 3’ü ilk kanamaHastaların 1 / 3’ü ilk kanama anında, 1 / 3’ü izleyen günlerdeanında, 1 / 3’ü izleyen günlerde komplikasyonlar nedeniylekomplikasyonlar nedeniyle kaybedilirkaybedilir  İki yıl sonunda hastaların ancakİki yıl sonunda hastaların ancak % 25’i hayatta kalabilir% 25’i hayatta kalabilir
  • 121.
    121 İNTRAKRANYAL ANEVRİZMALARİNTRAKRANYAL ANEVRİZMALAR KOMPLİKASYONLARKOMPLİKASYONLAR İNTRAKRANYALİNTRAKRANYAL • Yeniden kanamaYeniden kanama • VazospazmVazospazm • HidrosefaliHidrosefali • EpilepsiEpilepsi  SİSTEMİKSİSTEMİK • Akut myokardAkut myokard enfarktüsüenfarktüsü • Kardiyak aritmiKardiyak aritmi • Pulmoner ödemPulmoner ödem • Stres ülserleriStres ülserleri • Sıvı - elektrolitSıvı - elektrolit bozukluklarıbozuklukları  Diabetes insipitusDiabetes insipitus  hiponatremihiponatremi
  • 122.
    122 İNTRAKRANYAL ANEVRİZMALARİNTRAKRANYAL ANEVRİZMALAR TEDAVİTEDAVİ MedikalMedikal  CerrahiCerrahi • KliplemeKlipleme  GirişimselGirişimsel nöroradyolojinöroradyoloji • EndovaskülerEndovasküler ‘coil’leme!‘coil’leme!
  • 123.
  • 124.
  • 125.
  • 126.
  • 127.
    127 İNTRAKRANYAL ANEVRİZMALARIN PATOGENEZİİNTRAKRANYALANEVRİZMALARIN PATOGENEZİ Endovasküler girişimEndovasküler girişim Vasküler stentler ?Vasküler stentler ? Genetik modifiye endotelial hücrelerle kaplıGenetik modifiye endotelial hücrelerle kaplı stentler ve koiller ?stentler ve koiller ? Çeşitli büyüme faktörü içeren koillerÇeşitli büyüme faktörü içeren koiller Radyasyonla indüklenen hücre kaplı koillerRadyasyonla indüklenen hücre kaplı koiller Gen terapisiGen terapisi MMP inhibitörlerinin aşırı expresyonuMMP inhibitörlerinin aşırı expresyonu Antienflamatuar tedavi?Antienflamatuar tedavi? İntrasisternal uygulamalar?İntrasisternal uygulamalar? Tedavi Yaklaşımları – Gelecekte?Tedavi Yaklaşımları – Gelecekte?
  • 128.
    128 VASKÜLER MALFORMASYONLARVASKÜLER MALFORMASYONLAR MSS’deyerleşen doğumsalMSS’de yerleşen doğumsal vasküler malformasyonlar 4 tip:vasküler malformasyonlar 4 tip:  Arteriovenöz malformasyon (AVM)Arteriovenöz malformasyon (AVM)  Kavernöz hemangiom (Kavernom)Kavernöz hemangiom (Kavernom)  Kapiller telanjiektaziKapiller telanjiektazi  Venöz anjiomVenöz anjiom
  • 129.
    129 ARTERİOVENÖZ MALFORMASYONLARARTERİOVENÖZ MALFORMASYONLAR TANIMTANIM İntrakranyal bölgede bir ya da birdenİntrakranyal bölgede bir ya da birden çok arterden beslenerek bir kapiller ağçok arterden beslenerek bir kapiller ağ oluşturmaksızın derin ve/ya da yüzeyeloluşturmaksızın derin ve/ya da yüzeyel venöz sisteme drene olan,venöz sisteme drene olan, anormal-anormal- dayanıksız bir damar yumağıdayanıksız bir damar yumağı  Parenkimin her tarafında yerleşebilir veParenkimin her tarafında yerleşebilir ve çok çeşitli boyutlarda olabilirçok çeşitli boyutlarda olabilir
  • 130.
  • 131.
    131 ARTERİOVENÖZ MALFORMASYONLARARTERİOVENÖZ MALFORMASYONLAR KLİNİKKLİNİK KanamaKanama % 60% 60 (Mortalite % 10)(Mortalite % 10)  EpilepsiEpilepsi  Başağrısı (migrene benzer!)Başağrısı (migrene benzer!)  Nörolojik defisitNörolojik defisit (normal dokunun beslenme(normal dokunun beslenme bozukluğu veya basısına bağlı)bozukluğu veya basısına bağlı)  ÜfürümÜfürüm
  • 132.
    132 ARTERİOVENÖZ MALFORMASYONLARARTERİOVENÖZ MALFORMASYONLAR TANITANI KlinikKlinik  BBilgisayarlıilgisayarlı TTomografiomografi  MManyetikanyetik RRezonansezonans GGörüntülemeörüntüleme  DDijitalijital SSubstraksiyonubstraksiyon AAnjiografisinjiografisi
  • 135.
    135 ARTERİOVENÖZ MALFORMASYONLARARTERİOVENÖZ MALFORMASYONLAR TEDAVİTEDAVİ CerrahiCerrahi  MedikalMedikal  Girişimsel nöroradyoloji - embolizasyonGirişimsel nöroradyoloji - embolizasyon  Radyocerrahi (gammaknife)Radyocerrahi (gammaknife)
  • 136.
  • 137.
    137 TIKAYICI SEREBROVASKÜLERTIKAYICI SEREBROVASKÜLER HASTALIKLARHASTALIKLAR NÖROŞİRURJİKALYAKLAŞIMNÖROŞİRURJİKAL YAKLAŞIM  Dekompressif kranyotomiDekompressif kranyotomi  Karotid endarterektomiKarotid endarterektomi  Ekstrakranyal - intrakranyalEkstrakranyal - intrakranyal bypassbypass
  • 138.
  • 139.
  • 140.
  • 141.
    141 SPONTAN İNTRAPARENKİMALSPONTAN İNTRAPARENKİMAL HEMORAJİHEMORAJİ GENELBİLGİLERGENEL BİLGİLER  Nöral parenkim dokusu içineNöral parenkim dokusu içine kanama,kanama,  Tüm strokların % 10’uTüm strokların % 10’u  Sıklık yılda yüzbin kişide 12 - 15Sıklık yılda yüzbin kişide 12 - 15 olguolgu  Her yaşta görülebilir ancakHer yaşta görülebilir ancak 80 y<80 y< 25 kez fazla25 kez fazla  Geçirilmiş bir CVAGeçirilmiş bir CVA varsa risk çokvarsa risk çok
  • 142.
    142 SPONTAN İNTRAPARENKİMAL HEMORAJİSPONTANİNTRAPARENKİMAL HEMORAJİ ETYOLOJİETYOLOJİ  HipertansiyonHipertansiyon  Serebral kan akımınınSerebral kan akımının ani artışıani artışı  Vasküler anomalilerVasküler anomaliler  ArteriopatilerArteriopatiler  TümörlerTümörler  Kanama diyateziKanama diyatezi  EnfeksiyonEnfeksiyon  Dural venöz trombozDural venöz tromboz  İlaç kullanımıİlaç kullanımı  EklampsiEklampsi
  • 143.
    143 SPONTAN İNTRAPARENKİMAL HEMORAJİSPONTANİNTRAPARENKİMAL HEMORAJİ PATOLOJİPATOLOJİ  Lentikülostriat, talamoperforanLentikülostriat, talamoperforan ve baziler arter paramedianve baziler arter paramedian dallarındakidallarındaki Charcot - BouchardCharcot - Bouchard anevrizmalarıanevrizmaları  Amiloid anjiopatiAmiloid anjiopati  Hemorajik tümörlerHemorajik tümörler
  • 144.
  • 145.
    145 SPONTAN İNTRAPARENKİMAL HEMORAJİSPONTANİNTRAPARENKİMAL HEMORAJİ KLİNİKKLİNİK  Ani başlangıçAni başlangıç  Bilinç yitimi - nörolojikBilinç yitimi - nörolojik defisitdefisit  KusmaKusma  KİBASKİBAS semptomlarısemptomları  Yerleşim yerleri :Yerleşim yerleri : • Bazal ganglionlarBazal ganglionlar % 37% 37 • TemporalTemporal %% 2020
  • 146.
    146 SPONTAN İNTRAPARENKİMAL HEMORAJİSPONTANİNTRAPARENKİMAL HEMORAJİ TANITANI  KlinikKlinik  NöroradyolojiNöroradyoloji • BT - BTABT - BTA • MRG - MRAMRG - MRA • DSADSA  Hematolojik, biokimyasal veHematolojik, biokimyasal ve bakteriyolojik incelemelerbakteriyolojik incelemeler
  • 147.
    147 SPONTAN İNTRAPARENKİMAL HEMORAJİSPONTANİNTRAPARENKİMAL HEMORAJİ TEDAVİTEDAVİ  MEDİKALMEDİKAL • HipertansiyonHipertansiyon tedavisitedavisi • KoagülasyonKoagülasyon kontrolükontrolü • KİBAS tedavisiKİBAS tedavisi • AntikonvülzifAntikonvülzif tedavitedavi  CERRAHİCERRAHİ
  • 148.
    148 KAROTİKO-KAVERNÖZ FİSTÜLKAROTİKO-KAVERNÖZ FİSTÜL TANIMTANIM A. carotis internaA. carotis interna’nın kavernöz’nın kavernöz sinüs içinden geçerken verdiğisinüs içinden geçerken verdiği meningo-hipofizeal dallarınmeningo-hipofizeal dalların hasarıhasarı ile karotis arteri veile karotis arteri ve kavernöz sinüs arasında oluşankavernöz sinüs arasında oluşan arterio-venöz bir fistülarterio-venöz bir fistül  En önemli nedeniEn önemli nedeni travmatravma,, spontan da oluşabilirspontan da oluşabilir  ÇoğunluklaÇoğunlukla ön çukur fraktürleriön çukur fraktürleri sonucunda görülürsonucunda görülür
  • 149.
    149 KAROTİKO-KAVERNÖZ FİSTÜLKAROTİKO-KAVERNÖZ FİSTÜL KLİNİKKLİNİK ÇoğunluklaÇoğunlukla ünilateralünilateral  Travmayı izleyen günlerdeTravmayı izleyen günlerde gözdegözde pulsatil egzoftalmi,pulsatil egzoftalmi, kemozis ve üfürümkemozis ve üfürüm  Vizyon azalmasıVizyon azalması  Karotis akımı durdurulursaKarotis akımı durdurulursa üfürüm kaybolurüfürüm kaybolur  Spontan olarak iyileşmeSpontan olarak iyileşme
  • 150.
    150 KAROTİKO-KAVERNÖZ FİSTÜLKAROTİKO-KAVERNÖZ FİSTÜL TANITANI KlinikKlinik  ÜfürümÜfürüm dinlenmesidinlenmesi  BTBT  MRG - MRAMRG - MRA  DSADSA
  • 151.
  • 152.
    152 KAROTİKO-KAVERNÖZ FİSTÜLKAROTİKO-KAVERNÖZ FİSTÜL TEDAVİTEDAVİ SAH önlemleriSAH önlemleri  GirişimselGirişimsel nöroradyolojinöroradyoloji  CerrahiCerrahi
  • 153.
    153 GALEN VENİ ANEVRİZMASIGALENVENİ ANEVRİZMASI  V. cerebri magna (Galen)’nınV. cerebri magna (Galen)’nın konjenital anevrizmasıkonjenital anevrizması  BebeklerBebeklerde konjestif kalpde konjestif kalp yetmezliği, başın büyümesi,yetmezliği, başın büyümesi, hidrosefali, üfürümhidrosefali, üfürüm  Tanı metodları aynıTanı metodları aynı  Özel nöroradyolojik - cerrahiÖzel nöroradyolojik - cerrahi metodla tedavimetodla tedavi
  • 154.
  • 155.
    155 MOYA - MOYAHASTALIĞIMOYA - MOYA HASTALIĞI  İntrakranyal arter sistemininİntrakranyal arter sisteminin anormal gelişimi ileanormal gelişimi ile ince ağsıince ağsı damardamarlar oluşumular oluşumu  ÇokluklaÇoklukla karotis sistemindekarotis sisteminde  Çocuklar ve genç erişkinlerdeÇocuklar ve genç erişkinlerde sıksık  İskemi veya kanamaİskemi veya kanama  Tanı yolları aynıTanı yolları aynı  Özel cerrahi girişimlerle tedaviÖzel cerrahi girişimlerle tedavi
  • 156.
    156 SPİNAL AVMSPİNAL AVM EnderEnder  4 farklı tip4 farklı tip  Akut yada progressifAkut yada progressif nörolojik defisitnörolojik defisit  MRG ve DSA ile tanıMRG ve DSA ile tanı  Tedavi : GirişimselTedavi : Girişimsel nöroradyoloji ve cerrahinöroradyoloji ve cerrahi

Editor's Notes

  • #23 &amp;lt;number&amp;gt;
  • #24 &amp;lt;number&amp;gt;