Embed presentation
Downloaded 20 times


































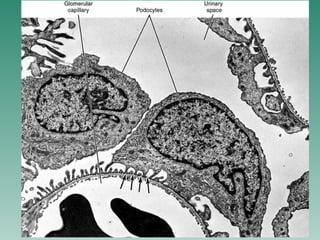
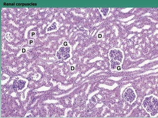
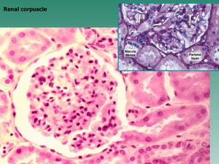
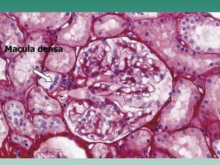
The document discusses the microscopic structure of the urinary system, including the nephron, renal parenchyma, components of the renal parenchyma, histotopography of the nephron, renal corpuscle, podocytes, filtration membrane, uriniferous tubule, loop of Henle, collecting tubules, medulla renis, juxtaglomerular apparatus, macula densa, juxtaglomerular cells, and blood circulation of the kidney. It also briefly mentions the stages in development of the kidneys, including the pronephros, mesonephros, and metanephros.

































