KIDNEY
(TUBULES,
INTERSTITIUM
& BLOOD VESSELS)
TUBULAR DISEASES
• ACUTE TUBULAR NECROSIS
• TUBULOINTERSTITIAL NEPHRITIS
– PYELONEPHRITIS
• ACUTE
• CHRONIC
– DRUGS
– TOXINS
• URATE NEPHROPATHY
• HYPERCALCEMIA/NEPHROCALCINOSIS
• MULTIPLE MYELOMA
ACUTE TUBULAR NECROSIS
• Destruction of renal TUBULAR epithelium
• Loss of renal function
• 50% of ACUTE renal failure
• Two types:
ISCHEMIC
NEPHROTOXIC
-AMINOGLYCOSIDES
-AMPHOTERICIN B
-CONTRAST AGENTS
ATN
ATN PATHOGENESIS
• BLOOD FLOW
DISTURBANCES (ISCHEMIC)
• TUBULAR INJURY
(NEPHROTOXIC)
CLINICAL COURSE
• INITIATION (36 hours)
– Mild OLIGURIA
– Mild AZOTEMIA
• MAINTENANCE
– More OLIGURIA
– More AZOTEMIA
– DIALYSIS NEEDED
• RECOVERY
– HYPOKALEMIA main problem
– BUN, CREATININE return to normal
TUBULO/INTERSTITIAL NEPHRITIS
• INFECTIONS, i.e., pyelonephritis
• TOXINS, heavy metals, chemo,
NSAIDS
• METABOLIC, urates, Ca++,
Oxalates
• PHYSICAL, obstruction, radiation
• IMMUNOLOGIC, esp. transplant
rejection
PYELONEPHRITIS
• GI Gram NEGATIVES: E. COLI, Proteus,
Klebsiella, Enterobacter, Strep. faecalis,
usually “NORMAL” flora
• ASCENDING, by FAR, the most common,
i.e., reflux, obstruction
• HEMATOGENOUS too
• ACUTE PYELONEPHRITIS, neutrophils
• CHRONIC PYELONEPHRITIS,
lymphocytes, scars
ACUTE or CHRONIC PYELONEPHRITIS?
MORPHOLOGY
• patchy interstitial suppurative
inflammation, intratubular aggregates
of neutrophils, and tubular necrosis.
• Complication:
– Papillary necrosis
– Pyonephrosis
– Perinephric abscess
FACTORS
• OBSTRUCTION: Congenital or Acquired
• INSTRUMENTATION
• VESICOURETERAL REFLUX
• PREGNANCY
• AGE, SEX, why sex? F>>>M
• PREVIOUS LESIONS
• IMMUNOSUPPRESION or
IMMUNODEFICIENCY
ACUTE or CHRONIC PYELONEPHRITIS?
ACUTE or CHRONIC PYELONEPHRITIS?
FORMS OF PYELOPNEPHRITIS
• Chronic pyelonephritis can be divided into two forms:
→REFLUX NEUROPATHY
→CHRONIC OBSTRUCTIVE PYELONEPHRITIS
GROSS
• Shrunken , scarred kidneys.
• If both kidneys are involved - involvement is asymmetrical
(in constrast with chronic glomerulonephritis in which the
kidneys are symmetrically involved).
• Coarse , discrete cortico - medullary scarring overlying
blunted deformed calyces.
MCIROSCOPY
• Tubules - Atrophy in some and Dilation & Hypertrophy in others.
• Dilated tubules filled with colloid casts – THYROIDIZATON.
• Neutrophils in tubules - if acute reinfection occurs
• Chronic Interstitial Inflammation - cortex and medulla.
• It is not uncommon to see lymphocytes accompany just about
any chronic renal disease: glomerulonephritis, nephrosclerosis,
pyelonephritis. However, the plasma cells are most
characteristic for chronic pyelonephritis.
• Fibrosis - Around calyceal mucosa.
… MCIROSCOPY
• Glomeruli - normal except for Periglomerular Fibrosis.
• Secondary Focal Segmental Glomerulosclerosis in patients with
chronic pyelonephritis and reflux nephropathy who develop
proteinuria in advanced stages. The mechanism is adaptive
glomerular alterations secondary to loss of renal mass caused
by pyelonephritic scarring (renal ablation nephropathy).
• Arcuate and interlobular vessels - Obliterative endarteritis.
• Other arteries - Hypertensive Hyaline Arteriolosclerosis.
DRUGS/TOXINS causing
INTERSTITIAL NEPHRITIS
• Synthetic penicillins (methicillin,
ampicillin), other synthetic antibiotics
(rifampin), diuretics (thiazides), NSAIDs,
and miscellaneous drugs (allopurinol,
cimetidine).
• 2 weeks later: Fever, eosinophilia, rash,
and an acute renal failure type of picture
ANALGESIC NEPHROPATHY
• ASPIRIN, TYLENOL, NSAIDS
–TUBULOINTERSTITIAL NEPHRITIS
–PAPILLARY NECROSIS (also Dm & HbS)
URATE NEPHROPATHY
• Precipitation of Uric Acid Crystals in
the TUBULES, especially in a LOWER
than usual PH situation (mini-TOPHUS)
H & E alcohol fixed POLARIZED LIGHT MICROSCOPY
• Three forms:
– Acute uric acid nephropathy … chemotherapy
related
– Chronic urate nephropathy … gouty, tophi
– Nephrolithiasis … stones
HYPERCALCEMIA
NEPHROCALCINOSIS
PRINCIPLE: In extreme or
uncontrolled or chronic
HYPERCALCEMIA, calcium stones form
in the tubulo-interstitium of the kidney,
which can eventually lead to tubular
obstruction and loss of function
MULTIPLE MYELOMA
• Bence Jones proteinuria
(immunoglobulin light chains)
• AMYLOIDOSIS
Light Chain Cast Nephropathy
• Bence John Proteinuria and Cast
nephropathy
• Amyloidosis
• Light chain deposition disease
• Hypercalcemia and Hyperuricemia
• Acute Phosphate Nephropathy
– No hypercalcemia
– Ca Phosphate stones
• Bile cast Nephropathy
– Hepatorenal syndrome
– Analogous to myeloma protein
VASCULAR DISEASES
• BENIGN NEPHROSCLEROSIS
• MALIGNANT NEPHROSCLEROSIS (i.e.,
malignant hypertension)
• RENAL ARTERY STENOSIS
• THROMBOTIC MICROANGIOPATHIES
– Hemolytic-Uremic Syndromes, Child, Adult, TTP
• THROMBI, EMBOLI, INFARCTS
– SICKLE CELL
– DIFFUSE CORTICAL NECROSIS
BENIGN NEPHROSCLEROSIS
• Sclerosis, i.e., “hyalinization” of arterioles
and small arteries, i.e., arterio-, arteriolo-
• Is this part of “routine” atherosclerosis????
• VERY VERY VERY common
MALIGNANT NEPHROSCLEROSIS
(i.e., malignant hypertension)
• NOT a part of “routine” atherosclerosis
• By definition, associated with rapidly
progressive hypertension (1-2% of HTN)
• VASCULAR DAMAGE
• FIBRINOID NECROSIS
• “ONION SKINNING”
• SIGNIFICANT LUMENAL NARROWING
What is “onion-skinning”?
What is an onion?
What is “fibrinoid” necrosis?
Renal Artery Stenosis
• Rare cause of HTN
• SMALL Kidney
• 1) Plaque type is usual cause, yes
regular old atherosclerosis
• 2) Fibromuscular “dysplasia” type:
–INTIMAL HYPERPLASIA
–MEDIAL HYPERPLASIA
–ADVENTITIAL HYPERPLASIA
– In younger women
PLAQUE, i.e.,
ATHEROSCLEROSIS
FIBROMUSCULAR
DYSPLASIA
MICROANGIOPATHIES
(thrombotic)
• Hemolytic-Uremic Syndrome
–Familial
–Childhood
–Adult
• TTP (Thrombotic
Thrombocytopenic Purpura),
IDIOPATHIC
MICROANGIOPATHIES
COMMON
PROCESSES
–Hemolysis
–Thromboses in renal
capillaries
–Thrombocytopenia (a
“consumption”
coagulopathy)
–FIBRIN PLUGS
• Typicals HUS … Shiga-like toxin by E.
Coli O157:H7
• Atypical HUS … Factor H (C3 convertase
cleaver), Antiphospholipid syndrome, post-
partum, vascular diseases, chemo/radio
therapy
• TTP … ADAMTS13 (vWF cleaver)
OTHER VASCULAR
• Atherosclerosis
• Atheroemboli
• Sickle Cell
• Diffuse Cortical
Necrosis
• Sickle cell nephropathy … hyperosmolarity
in renal medulla dehydrates RBCs and
increases IC HbS levels
• Diffuse cortical necrosis … obs
emergency, septic shock or extensive
surgery … sharply limited to cortex
RENAL INFARCTS
• WEDGE SHAPED
• WELL DELINEATED
• “WHITE” (anemic) INFARCT
• Perhaps a little “YELLOW”
• HEAL WITH A SCAR
Kidney is precious.

Tubulointerstitial diseases of Kidney

  • 1.
  • 2.
    TUBULAR DISEASES • ACUTETUBULAR NECROSIS • TUBULOINTERSTITIAL NEPHRITIS – PYELONEPHRITIS • ACUTE • CHRONIC – DRUGS – TOXINS • URATE NEPHROPATHY • HYPERCALCEMIA/NEPHROCALCINOSIS • MULTIPLE MYELOMA
  • 3.
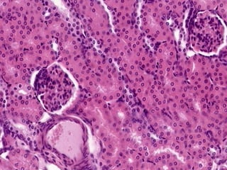
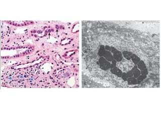
    ACUTE TUBULAR NECROSIS •Destruction of renal TUBULAR epithelium • Loss of renal function • 50% of ACUTE renal failure • Two types: ISCHEMIC NEPHROTOXIC -AMINOGLYCOSIDES -AMPHOTERICIN B -CONTRAST AGENTS
  • 5.
  • 6.
    ATN PATHOGENESIS • BLOODFLOW DISTURBANCES (ISCHEMIC) • TUBULAR INJURY (NEPHROTOXIC)
  • 10.
    CLINICAL COURSE • INITIATION(36 hours) – Mild OLIGURIA – Mild AZOTEMIA • MAINTENANCE – More OLIGURIA – More AZOTEMIA – DIALYSIS NEEDED • RECOVERY – HYPOKALEMIA main problem – BUN, CREATININE return to normal
  • 11.
    TUBULO/INTERSTITIAL NEPHRITIS • INFECTIONS,i.e., pyelonephritis • TOXINS, heavy metals, chemo, NSAIDS • METABOLIC, urates, Ca++, Oxalates • PHYSICAL, obstruction, radiation • IMMUNOLOGIC, esp. transplant rejection
  • 12.
    PYELONEPHRITIS • GI GramNEGATIVES: E. COLI, Proteus, Klebsiella, Enterobacter, Strep. faecalis, usually “NORMAL” flora • ASCENDING, by FAR, the most common, i.e., reflux, obstruction • HEMATOGENOUS too • ACUTE PYELONEPHRITIS, neutrophils • CHRONIC PYELONEPHRITIS, lymphocytes, scars
  • 14.
    ACUTE or CHRONICPYELONEPHRITIS?
  • 15.
    MORPHOLOGY • patchy interstitialsuppurative inflammation, intratubular aggregates of neutrophils, and tubular necrosis. • Complication: – Papillary necrosis – Pyonephrosis – Perinephric abscess
  • 16.
    FACTORS • OBSTRUCTION: Congenitalor Acquired • INSTRUMENTATION • VESICOURETERAL REFLUX • PREGNANCY • AGE, SEX, why sex? F>>>M • PREVIOUS LESIONS • IMMUNOSUPPRESION or IMMUNODEFICIENCY
  • 18.
    ACUTE or CHRONICPYELONEPHRITIS?
  • 19.
    ACUTE or CHRONICPYELONEPHRITIS?
  • 20.
    FORMS OF PYELOPNEPHRITIS •Chronic pyelonephritis can be divided into two forms: →REFLUX NEUROPATHY →CHRONIC OBSTRUCTIVE PYELONEPHRITIS
  • 21.
    GROSS • Shrunken ,scarred kidneys. • If both kidneys are involved - involvement is asymmetrical (in constrast with chronic glomerulonephritis in which the kidneys are symmetrically involved). • Coarse , discrete cortico - medullary scarring overlying blunted deformed calyces.
  • 23.
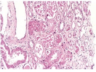
    MCIROSCOPY • Tubules -Atrophy in some and Dilation & Hypertrophy in others. • Dilated tubules filled with colloid casts – THYROIDIZATON. • Neutrophils in tubules - if acute reinfection occurs • Chronic Interstitial Inflammation - cortex and medulla. • It is not uncommon to see lymphocytes accompany just about any chronic renal disease: glomerulonephritis, nephrosclerosis, pyelonephritis. However, the plasma cells are most characteristic for chronic pyelonephritis. • Fibrosis - Around calyceal mucosa.
  • 24.
    … MCIROSCOPY • Glomeruli- normal except for Periglomerular Fibrosis. • Secondary Focal Segmental Glomerulosclerosis in patients with chronic pyelonephritis and reflux nephropathy who develop proteinuria in advanced stages. The mechanism is adaptive glomerular alterations secondary to loss of renal mass caused by pyelonephritic scarring (renal ablation nephropathy). • Arcuate and interlobular vessels - Obliterative endarteritis. • Other arteries - Hypertensive Hyaline Arteriolosclerosis.
  • 29.
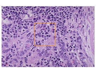
    DRUGS/TOXINS causing INTERSTITIAL NEPHRITIS •Synthetic penicillins (methicillin, ampicillin), other synthetic antibiotics (rifampin), diuretics (thiazides), NSAIDs, and miscellaneous drugs (allopurinol, cimetidine). • 2 weeks later: Fever, eosinophilia, rash, and an acute renal failure type of picture
  • 31.
    ANALGESIC NEPHROPATHY • ASPIRIN,TYLENOL, NSAIDS –TUBULOINTERSTITIAL NEPHRITIS –PAPILLARY NECROSIS (also Dm & HbS)
  • 32.
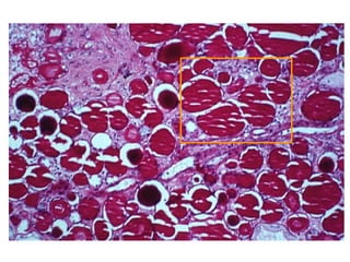
    URATE NEPHROPATHY • Precipitationof Uric Acid Crystals in the TUBULES, especially in a LOWER than usual PH situation (mini-TOPHUS) H & E alcohol fixed POLARIZED LIGHT MICROSCOPY
  • 33.
    • Three forms: –Acute uric acid nephropathy … chemotherapy related – Chronic urate nephropathy … gouty, tophi – Nephrolithiasis … stones
  • 34.
    HYPERCALCEMIA NEPHROCALCINOSIS PRINCIPLE: In extremeor uncontrolled or chronic HYPERCALCEMIA, calcium stones form in the tubulo-interstitium of the kidney, which can eventually lead to tubular obstruction and loss of function
  • 35.
    MULTIPLE MYELOMA • BenceJones proteinuria (immunoglobulin light chains) • AMYLOIDOSIS
  • 36.
    Light Chain CastNephropathy • Bence John Proteinuria and Cast nephropathy • Amyloidosis • Light chain deposition disease • Hypercalcemia and Hyperuricemia
  • 37.
    • Acute PhosphateNephropathy – No hypercalcemia – Ca Phosphate stones • Bile cast Nephropathy – Hepatorenal syndrome – Analogous to myeloma protein
  • 38.
    VASCULAR DISEASES • BENIGNNEPHROSCLEROSIS • MALIGNANT NEPHROSCLEROSIS (i.e., malignant hypertension) • RENAL ARTERY STENOSIS • THROMBOTIC MICROANGIOPATHIES – Hemolytic-Uremic Syndromes, Child, Adult, TTP • THROMBI, EMBOLI, INFARCTS – SICKLE CELL – DIFFUSE CORTICAL NECROSIS
  • 39.
    BENIGN NEPHROSCLEROSIS • Sclerosis,i.e., “hyalinization” of arterioles and small arteries, i.e., arterio-, arteriolo- • Is this part of “routine” atherosclerosis???? • VERY VERY VERY common
  • 40.
    MALIGNANT NEPHROSCLEROSIS (i.e., malignanthypertension) • NOT a part of “routine” atherosclerosis • By definition, associated with rapidly progressive hypertension (1-2% of HTN) • VASCULAR DAMAGE • FIBRINOID NECROSIS • “ONION SKINNING” • SIGNIFICANT LUMENAL NARROWING
  • 41.
    What is “onion-skinning”? Whatis an onion? What is “fibrinoid” necrosis?
  • 42.
    Renal Artery Stenosis •Rare cause of HTN • SMALL Kidney • 1) Plaque type is usual cause, yes regular old atherosclerosis • 2) Fibromuscular “dysplasia” type: –INTIMAL HYPERPLASIA –MEDIAL HYPERPLASIA –ADVENTITIAL HYPERPLASIA – In younger women
  • 43.
  • 44.
  • 45.
  • 46.
    • Typicals HUS… Shiga-like toxin by E. Coli O157:H7 • Atypical HUS … Factor H (C3 convertase cleaver), Antiphospholipid syndrome, post- partum, vascular diseases, chemo/radio therapy • TTP … ADAMTS13 (vWF cleaver)
  • 47.
    OTHER VASCULAR • Atherosclerosis •Atheroemboli • Sickle Cell • Diffuse Cortical Necrosis
  • 48.
    • Sickle cellnephropathy … hyperosmolarity in renal medulla dehydrates RBCs and increases IC HbS levels • Diffuse cortical necrosis … obs emergency, septic shock or extensive surgery … sharply limited to cortex
  • 49.
    RENAL INFARCTS • WEDGESHAPED • WELL DELINEATED • “WHITE” (anemic) INFARCT • Perhaps a little “YELLOW” • HEAL WITH A SCAR
  • 51.

Editor's Notes

  • #5 What percentage of these tubules are PROXIMAL convoluted tubules rather than DISTAL? Answer: 98%
  • #6 The “necrotic” tubular cells are karryolytic.
  • #9 Patterns of tubular damage in ischemic and toxic acute kidney injury. In the ischemic type, tubular necrosis is patchy, relatively short lengths of tubules are affected, and straight segments of proximal tubules (PST) and ascending limbs of Henle's loop (HL) are most vulnerable. In toxic acute kidney injury, extensive necrosis is present along the proximal convoluted tubule segments (PCT) with many toxins (e.g., mercury), but necrosis of the distal tubule, particularly ascending HL, also occurs. In both types, lumens of the distal convoluted tubules (DCT) and collecting ducts (CD) contain casts.
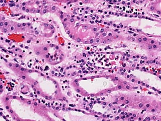
  • #10 Acute kidney injury. Some of the tubular epithelial cells in the tubules are necrotic, and many have become detached (from their basement membranes) and been sloughed into the tubular lumens, whereas others are swollen, vacuolated, and regenerating.
  • #12 Acute & Chronic
  • #17 What are the 3 parts of the ureter which are most subject to obstruction or stones for anatomic reasons alone? UPJ, pelvic brim, bladder inlet
  • #18 Polyoma virus … transplant
  • #19 Pitting geographic “scars” is the hallmark of chronic pyelonephritis.
  • #20 “THYROIDIZATION” is another common hallmark of chronic pyelonephritis. To my knowledge, this is one of 3 things which look like thyroid, but are not. What are the other two? 1) Pars intermedia of pituitary 2) lactation breast lobule
  • #29 Is the primary inflammatory focus in the tubules or interstitium BETWEEN the tubules?
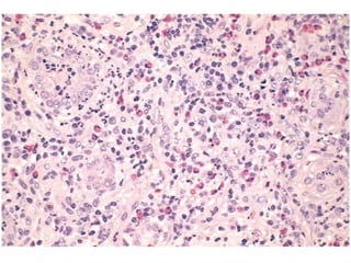
  • #31 Drug-induced interstitial nephritis, with prominent eosinophilic and mononuclear cell infiltrate + tubulitis
  • #35 What is “metastatic” calcification? Ans: The tissue calcification due to hypercalcemia
  • #36 Differentiate Bence-Jones protein from amyloid
  • #39 Is it fair to say just about all of the primary vascular diseases of the kidney might result in hypertension” Answer: YES
  • #41 Does the name “malignant” imply, perhaps, EXTREME blood pressure elevations? Answer: YES
  • #46 Could fibrin plugs in small vessels easily be missed if a fibrin stain is not done, thinking this is merely blood? Answer: YES
  • #48 Is the CORTEX of a kidney MUCH more susceptible than a MEDULLA to ischemia? Answer: YES
  • #50 What is an “anemic” infarct? Ans: It is an infarct which is grossly pale in the acute stage because of lack of collateral circulation.